CDEWorld > Courses > Gummy Smile and Short Tooth Syndrome - Part 1: Etiopathogenesis, Classification, and Diagnostic Guidelines

CE Information & Quiz

Gummy Smile and Short Tooth Syndrome - Part 1: Etiopathogenesis, Classification, and Diagnostic Guidelines

Antonello F. Pavone, DDS; Marjan Ghassemian, BDS, DDS; and Simone Verardi, DDS, MSD

February 2016 Issue - Expires Thursday, February 28th, 2019

Compendium of Continuing Education in Dentistry

Abstract

Treating patients with “gummy smiles” and improving smile esthetics has become an integral part of dentistry. It is necessary to conduct an accurate diagnosis of what may be multiple causes that coexist simultaneously. Though all causes may not be resolved following treatment, they should be identified; otherwise it might not be possible to conduct an adequate order of treatment, which could involve multidisciplinary collaboration between various dental specialists, and may lead to unexpected and unacceptable final results. The authors propose a complete adult classification of the causes identified for gummy smile (GS) and short tooth syndrome (STS) to ascertain the etiopathogenetic origin(s). Used in combination with the proposed diagnostic procedure, which involves an “outside-in” evaluation of the patient, the classification system will enable clinicians to provide patients an accurate prediction of final results and determine the treatment required.

You must be signed in to read the rest of this article.

Login Sign Up

Registration on CDEWorld is free. Sign up today!
Forgot your password? Click Here!

Smile line assessment is a validated process that is used for esthetic evaluation.1 Gummy smile (GS) has been defined as a nonpathological condition causing esthetic disharmony in which more than 3 mm of gingival tissue is exposed when smiling2 (Figure 1). The possible causes are excessive maxillary growth, short upper lip, or abnormal eruption of maxillary anterior teeth. Subsequently, short tooth syndrome (STS) has been defined as a condition caused either by excessive gingival display or lack of incisal tooth display during smiling or a low smile line.3

The authors consider GS and STS as two esthetic smile alterations that often coexist and have similar or coincident etio-anatomo–pathological origin and need to be diagnosed simultaneously with identical guidelines. Some of the causes of GS—including deep bite and overeruption and compensatory eruption (wear/erosion) in teeth, as well as gingival hyperplasia and altered active/passive eruption in gingiva—can also be identified in STS; however, vice versa is not the case. The aim of this article is to propose a classification of such adult patients and briefly describe a diagnostic process to use with this classification, and to identify a correct treatment plan that can lead to a successful treatment outcome (Figure 2).

GS classifications have been proposed previously,4,5 but both of these recent classifications deal with younger patients. GS, however, is also seen in adults. The condition may be due to a discrepancy in at least one of the following anatomic entities: maxilla,6 lip,7 gingiva,2 or teeth,3 though more than one of these entities is often involved. Differentiating between entities is necessary to define the treatment and to enable the involvement of the various specialists required, even if a compromised treatment plan is to be carried out due to the complexity or invasiveness of the ideal treatment, which may not be accepted by the patient. This is even more critical when the etiology is of mixed origin.

The current authors, therefore, propose modification of the classification presented by Monaco et al4 by applying it to adult GS/STS patients. Examples of gummy smile and associated etiologies, which include the aforementioned causes that can also be identified in STS, are depicted in “Etiology of Gummy Smile” sidebar, click here to view. Furthermore, in the current authors’ classification, GS and STS are considered together to allow clinicians to correctly diagnose and choose the adequate therapy. To correctly identify the etio-anatomo–pathological causes of GS/STS, a well-defined diagnostic process should be used (Table 1). Though esthetic evaluation is usually carried out using an “outside-in” approach, clinicians should highlight the intraoral causes before considering treatment of the extraoral factors or causes, because dental treatment is frequently less invasive than maxillofacial treatment.

GS/STS Diagnostic Process

1. Medical History

Key elements in the patient anamnesis are patient age and general health. The patient’s age provides approximate indication of the eruptive stage of the teeth. The patient’s general health offers information as to whether the patient has a particular condition, such as pregnancy, or is taking medications that may cause gingival hyperplasia (Figure 3).8-10

2. Facial Analysis

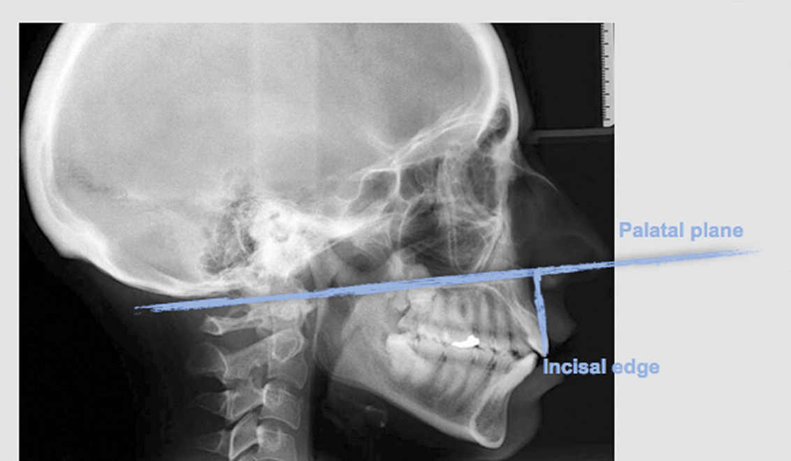
Defining the proportions between the facial thirds of the face in frontal and lateral views will identify any alterations needed in the middle or inferior facial thirds. An increase in ratio of the middle third may indicate vertical maxillary excess (VME).6 Clinical assessment of the facial thirds is only approximative, and further radiographic imaging may be required (Figure 4). VME can be identified using a cephalometric analysis by localizing the distance between the incisal margins of the central incisors and the anterior nasal spine-posterior nasal spine (SPA-SPP) plane (palatal plane-incisal edge: 29 mm to 31 mm).7,11 However, the authors consider the cephalometric measurement—“palatal plane-incisal edge”—unreliable because the distance may vary depending on the amount of wear or in overeruption cases. Therefore, the authors suggest measuring the distance from the palatal plane to the cemento-enamel junction (CEJ) to eliminate any misleading data that might result from the presence of incisal wear, taking into consideration whether an altered CEJ position has resulted from compensatory overeruption.

3. Lip and Perioral Muscular Analysis

An analysis of the upper lip in both static and dynamic positions (Figure 5 and Figure 6) may indicate the presence of a GS. In a static analysis the distance is measured from the subnasal to the lower border of the upper lip.12 White upper lip height is 15 mm to 16 mm, and red upper lip height is 5 mm to 6 mm; measurements inferior to this indicate a short upper lip.13 In a dynamic analysis, hypermobility of the levator labii superioris results in a higher position of the upper lip and increased exposition of the teeth and gingiva when smiling.

4. GS Layout Analysis

It is necessary to identify whether the amount of gingival visibility during smiling is limited to just the anterior part of the mouth (Figure 7) or if it is present in the entire arch (Figure 8). In cases where the GS is displayed only anteriorly, a satisfactory esthetic outcome may be achievable with only a minimally invasive treatment. However, when the entire arch is involved, more invasive treatment might be necessary to obtain a harmonious esthetic result.

5. Dental Analysis

The clinician examines the 3-dimensional position of the incisors within the face in the rest position. By making the patient pronounce “m” words and keep the lips slightly apart the muscular rest position is obtained. The interlabial space between the upper and lower lips should expose about 0 to 4 mm of the incisal margins of the upper incisors, depending on the patient’s age.14 When the incisal margins are too visible in the rest position, VME, overeruption, or short upper lip is immediately suspected. Conversely, if the incisal margins are visible within the normal range, an altered eruption is presumed, whereas if the visibility is reduced, excessive wear is suspected. To confirm these suspicions the clinician needs to continue along in the diagnostic process (Table 1) by measuring the height of the teeth and evaluating the amount of the incisal margin wear. Vertical and horizontal tooth dimensions should be compared to known proportions.15 It is important to understand whether the shortness of the tooth is due to altered eruption or to wear of the incisal edge, or both. By analyzing the incisal edge the clinician can determine if the tooth size alteration is located incisally or gingivally, because the amount of dentin exposed indicates the amount of wear.16

6. Periodontal Analysis

In the periodontal analysis, initial evaluation aims to diagnose pathologic and nonpathologic alterations of the topography of the periodontium. A periodontal probe is used to measure probing depths, clinical attachment levels, and gingival recessions. In cases in which there are short teeth with no abrasion of the incisal margin, it is important to check if the periodontal involvement is due to inflammation, gingival hyperplasia, or an altered eruption.

An altered eruption is a clinical situation produced by excessive amount of gingiva overlapping the enamel surface, resulting in a short clinical crown appearance.17 It is important to differentiate what some authors call altered active eruption (AAE) from altered passive eruption (APE),18 because they are two different entities and thus require different treatment modalities. The clinical detection of the CEJ concavity is one of the diagnostic tools used to assess if the gingiva is excessively covering the clinical crown; this is done with a periodontal probe or a #17 dental explorer to diagnose the position in relation to the gingival margin.

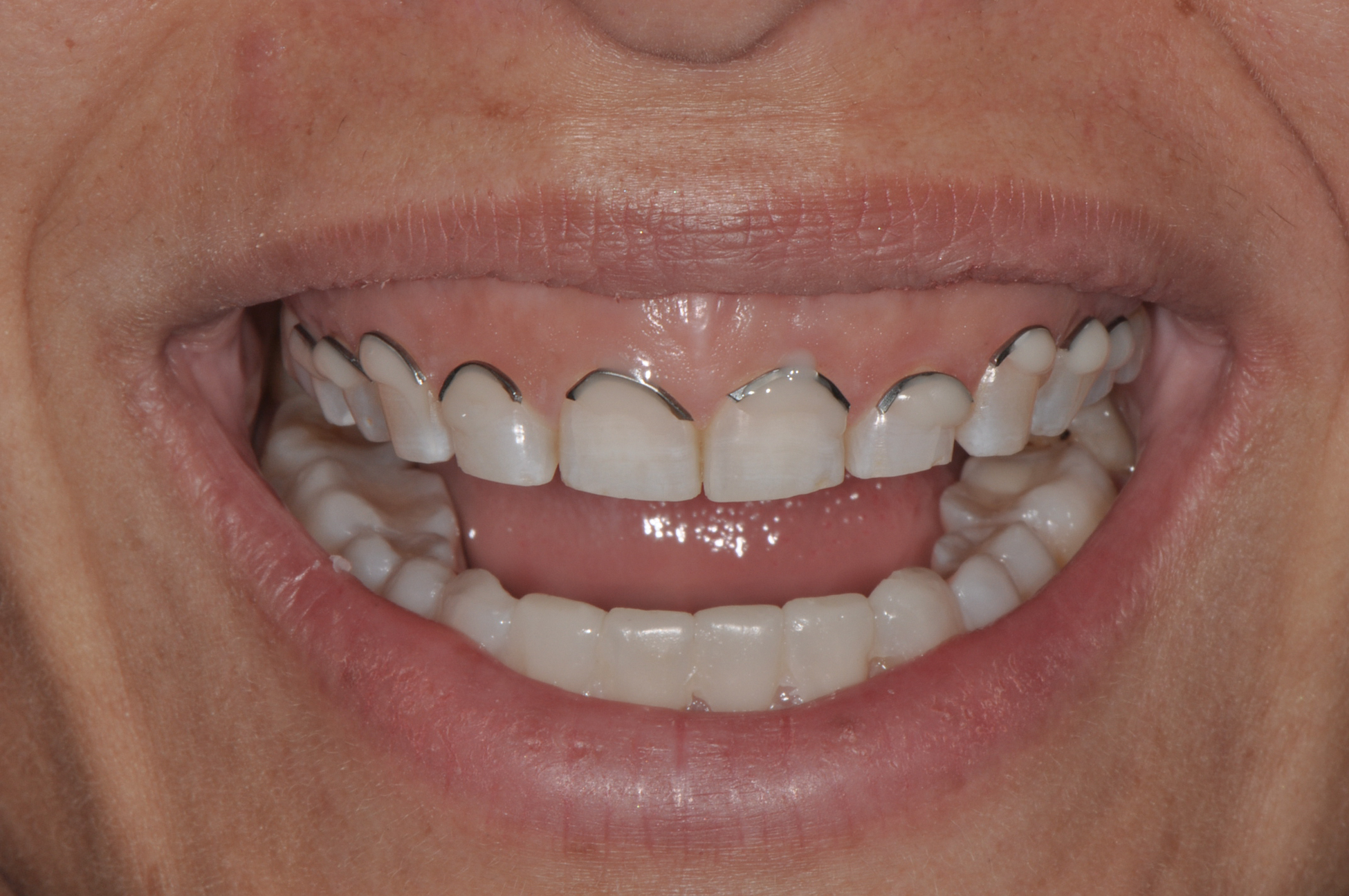
The authors developed what they call the altered eruption x-ray technique (AltErX) whereby a periapical radiograph is taken after placement of a radiopaque flowable composite material or orthodontic wire at the gingival margin to detect discrepancies between the anatomic and clinical crown (Figure 9 and Figure 10). The radiograph should be as perpendicular to the tooth as possible, because excessive x-ray angulation may give false diagnosis in patients with small or high palates. To confirm the presence of an altered eruption, further and more invasive diagnostic procedures are required. If an altered eruption is suspected, bone sounding under local anesthesia should be carried out before periodontal surgery to confirm its presence and discern between APE subclasses.19

Discussion

The proposed modified classification should aid the clinician in identifying the possible intraoral and extraoral causes of GS in adult patients. Several authors agree that the most common extraoral cause of a GS is VME, with the most prevalent intraoral cause being altered eruption.3,4 When centric relation/maximal intercuspation contact is not present or stable, such as in class II patients, where there is a significant overbite and a step between posterior occlusal and incisal planes, there may be dento-alveolar compensatory eruption to maintain the vertical dimension of occlusion,20 which results in an increased appearance of the GS. When factors such as excessive tooth wear or altered eruption increase the visibility of pink/white proportion, the authors identify this as a “perceived gummy smile” (PGS). This occurs when gingival exposition during smiling is within the normal range (or slightly increased), though a reduction in anterior clinical crown height due to wear or altered eruption gives the perceived appearance of a GS.

Lip characteristics such as lip height, muscle hyperactivity, and position have also been associated with GS4,13,21 and patients with high smile lines.22

Diagnosis of intraoral alterations between the proportion of gingiva and teeth is mainly based on the presence of tooth size reduction and/or the presence of excess gingiva. A pink/white tissue alteration may result when teeth are smaller due to excessive wear, attrition, and/or erosion.23,24 Frequently, the wear of anterior teeth is due to bruxism or diurnal tooth clenching,25 though the presence of an abnormal envelope of function may also cause anterior teeth wear and/or irregular incisal margins.26

Excess gingiva is one of the major intraoral causes of GS and STS. The patient should be instructed on correct oral hygiene to reverse plaque-induced gingivitis. The excess gingiva could also be due to the side effects of some common drugs.8-10 If there is no presence of gingivitis nor contributory medical history, the situation may be due to one of the types of altered eruption.

When the tooth height is reduced due to wear or altered eruption, the GS and STS could coexist. At first impact, the clinical signs of these two conditions may be similar, which is why the authors maintain that it is fundamental to consider these two closely linked conditions during the diagnostic phase and treatment management.

If there is no incisal wear, bone sounding under local anesthesia and diagnostic radiographs are of paramount importance in order to locate the position of the bone in relation to the CEJ. This aspect is necessary for choosing the surgical technique of the different subclasses of altered eruption. The type of altered eruption the patient has must be diagnosed in order to manage the GS and obtain the correct proportions and position of the teeth within the face, as well as to predict the possibility of evolution of the eruptive stages of the teeth.

The parallel profile radiograph technique was proposed to measure the dentogingival unit of anterior teeth.27 Cone-beam radiography can also be used to diagnose the presence of altered eruption,28 however the authors believe periapical radiographs used with a radiopaque marker may be less invasive to detect in an approximative manner the presence or absence of an altered eruption (AltErX technique). Another interesting approach is proposed by Cairo et al,29 in which a mathematical formula is used to detect APE by comparing the proportions of the radiographic and clinical crowns.

There are contrasting reports in the literature as to the ideal amount of tooth and gingival visibility during smiling.30,31 The authors believe that the characteristics that make up the GS cannot always be considered as factors that define a displeasing smile. Many gummy smiles have visibility of the gingiva that is greater than 4 mm but may, nonetheless, be attractive, indicating that a moderate exposure of gingival tissue alone is not sufficient to create a displeasing smile. Some GS patients with full and well-defined lips, teeth regular in proportion and length, and adequate muscular tone, can compensate the effect of the GS and result in a pleasing smile.

Conclusion

In treating GS/STS patients, the starting point must be a complete diagnostic procedure that identifies the etio-anatomo–pathological causes. Often, tooth wear may be associated with one or more of the etiologic factors, and in such cases a comprehensive and multidisciplinary approach is mandatory. Using an accurate diagnostic protocol, an adequate and often multidisciplinary treatment is sufficient to compensate for the alteration of pink/white morphology and create a more pleasing and harmonious smile, even without completely resolving the etiopathological causes.

Disclosures

The authors had no disclosures to report.

About the Authors

Antonello F. Pavone, DDS
Co-director
Dental Esthetic Center at LaClinic-Montreux-Switzerland
Co-owner and Scientific Director
Solo Sorrisi dental clinics and iSmile Coaching

Marjan Ghassemian, BDS, DDS
Unit of Oral Surgery and Implant-Prosthetic Rehabilitation
Catholic University of the Sacred Heart
Rome, Italy

Simone Verardi, DDS, MSD
Affiliate Assistant Professor
Department of Periodontics
University of Washington School of Dentistry
Seattle, Washington
President, Schluger-Ammons Study Club
Seattle, Washington

Queries to the author regarding this course may be submitted to authorqueries@aegiscomm.com.

References

1. Passia N, Blatz M, Strub JR. Is the smile line a valid parameter for esthetic evaluation? A systematic literature review. Eur J Esthet Dent. 2011;6(3):314-327.

2. Kokich VG. Esthetics: the orthodontic-periodontic restorative connection. Semin Orthod. 1996;2(1):21-30.

3. Chu SJ, Karabin S, Mistry S. Short tooth syndrome: diagnosis, etiology, and treatment management. J Calif Dent Assoc. 2004;32(2):143-152.

4. Monaco A, Streni O, Marci MC, et al. Gummy smile: clinical parameters useful for diagnosis and therapeutical approach. J Clin Pediatr Dent. 2004;29(1):19-25.

5. Wu H, Lin J, Zhou L, Bai D. Classification and craniofacial features of gummy smile in adolescents. J Craniofac Surg. 2010;21(5):1474-1479.

6. Garber DA, Salama MA. The aesthetic smile: diagnosis and treatment. Periodontol 2000. 1996;11:18-28.

7. Peck S, Peck L, Kataja M. The gingival smile line. Angle Orthod. 1992;62(2):91-102.

8. Hall BK, Squier CA. Ultrastructural quantitation of connective tissue changes in phenytoin-induced gingival overgrowth in the ferret. J Dent Res. 1982;61(7):942-952.

9. Seymour RA. Calcium channel blockers and gingival overgrowth. Br Dent J. 1991;170(10):376-379.

10. Rateitschak-Plüss EM, Hefti A, Lörtcher R, Thiel G. Initial observation that cyclosporine-A induces gingival enlargement in man. J Clin Periodontol. 1983;10(3):237-246.

11. Tsuka H, Kawamoto H, Watanabe Y, et al. Position of temporomandibular joint (Ar) affecting facial features in subjects of normal occlusion. Nihon Kyosei Shika Gakkai Zasshi. 1982;41(4):691-707.

12. Jorgensen MG, Nowzari H. Aesthetic crown lengthening. Periodontol 2000. 2001;27:45-58.

13. Naini FB. Facial Aesthetics: Concepts and Clinical Diagnosis. Oxford, England: Wiley-Blackwell; 2011:387-404. 14. Zachrisson BU. Esthetic factors involved in anterior tooth display and the smile: vertical dimension. J Clin Orthod. 1998;32(7):432-445.

15. Magne P, Gallucci GO, Belser UC. Anatomic crown width/length ratios of unworn and worn maxillary teeth in white subjects. J Prosthet Dent. 2003;89(5):453-461.

16. Atsu SS, Aka PS, Kucukesmen HC, et al. Age-related changes in tooth enamel as measured by electron microscopy: implications for porcelain laminate veneers. J Prosthet Dent. 2005;94(4):336-341.

17. Alpiste-Illueca F. Med. Altered passive eruption (APE): a little-known clinical situation. Med Oral Patol Oral Cir Bucal. 2011;16(1):e100-e104.

18. Goldman HM, Cohen DW. Periodontal Therapy. 4th ed. St. Louis, MO: CV Mosby; 1968.

19. Coslet GJ, Vanarsdall R, Weisgold A. Diagnosis and classification of delayed passive eruption of the dentogingival junction in the adult. Alpha Omegan. 1977;70(3):24-28.

20. Janson G, Oltramari-Navarro PV, de Oliveira RB, et al. Tooth-wear patterns in subjects with Class II Division 1 malocclusion and normal occlusion. Am J Orthod Dentofacial Orthop. 2010;137(1):14.e1-e7.

21. McIntyre GT, Millett DT. Lip shape and position in Class II division 2 malocclusion. Angle Orthod. 2006;76(5):739-744.

22. Miron H, Calderon S, Allon DS. Upper lip changes and gingival exposure on smiling: vertical dimension analysis. Am J Orthod Dentofacial Orthop. 2012;141(1):87-93.

23. Lussi A, Jaeggi T. Dental Erosion: Diagnosis, Risk Assessment, Prevention, Treatment. Hanover Park, IL: Quintessence Publishing; 2011:37-54.

24. Kaifu Y, Kasai K, Townsend GC, Richards LC. Tooth wear and the “design” of the human dentition: a perspective from evolutionary medicine. Am J Phys Anthropol. 2003;suppl 37:47-61.

25. Johansson A, Johansson AK, Omar R, Carlsson GE. Rehabilitation of the worn dentition. J Oral Rehabil. 2008;35(7):548-566.

26. Burnett CA, Clifford TJ. The mandibular speech envelope in subjects with and without incisal tooth wear. Int J Prosthodont. 1999;12(6):514-518.

27. Alpiste-Illueca F. Dimensions of the dentogingival unit in maxillary anterior teeth: a new exploration technique (parallel profile radiograph). Int J Periodontics Restorative Dent. 2004;24(4):386-396.

28. Batista EL Jr, Moreira CC, Batista FC, et al. Altered passive eruption diagnosis and treatment: a cone beam computed tomography-based reappraisal of the condition. J Clin Periodontol. 2012;39(11):1089-1096.

29. Cairo F, Graziani F, Franchi L, et al. Periodontal plastic surgery to improve aesthetics in patients with altered passive eruption/gummy smile: a case series study. Int J Dent. 2012;2012:837658. doi: 10.1155/2012/837658.

30. Van der Geld P, Oosterveld P, Van Heck G, Kuijpers-Jagtman A. Smile attractiveness. Self-perception and influence on personality. Angle Orthod. 2007;77(5):759-765.

31. Geron S, Atalia W. Influence of sex on the perception of oral and smile esthetics with different gingival display and incisal plane inclination. Angle Orthod. 2005;75(5):778-784.

Fig 1. Patient with a gummy smile.

Figure 1

Fig 2. Resolution of gummy smile after treatment in patient shown in Fig 1.

Figure 2

Fig 3. Patient with a gummy smile due to gingival hyperplasia (courtesy of William Becker, DDS, MSD, Tucson, AZ).

Figure 3

Fig 4. Lateral radiograph of patient with VME (anterior maxillary height: palatal plane-incisal edge = 29 mm to 31 mm).

Figure 4

Fig 5. External lip dimension.

Figure 5

Fig 6. Vermillion dimension.

Figure 6

Fig 7. Anterior gummy smile.

Figure 7

Fig 8. Anterior–posterior gummy smile.

Figure 8

Fig 9. Placement of orthodontic wire at the gingival margins (Fig 9), and radiographs showing radiopaque markers for detection of CEJ and gingival margins (Fig 10).

Figure 9

Fig 10. Placement of orthodontic wire at the gingival margins (Fig 9), and radiographs showing radiopaque markers for detection of CEJ and gingival margins (Fig 10).

Figure 10

Table 1

Table 1

CREDITS: 0
AGD CODE: 490 - Periodontics
COST: $0
PROVIDER: Conexiant Education
SOURCE: Compendium of Continuing Education in Dentistry | February 2016

Learning Objectives:

  • identify the etiopathogenetic causes of “gummy smile” (GS) and short tooth syndrome (STS)
  • discuss smile line assessment as a validated process used for esthetic evaluation
  • describe the proposed classification system of adult patients with GS and STS and the diagnostic process used with this classification

Disclosures:

The author reports no conflicts of interest associated with this work.

Queries for the author may be directed to justin.romano@broadcastmed.com.