CDEWorld > Courses > Silver Diamine Fluoride: Its Place in the Hygiene Appointment

CE Information & Quiz

Silver Diamine Fluoride: Its Place in the Hygiene Appointment

Elyssa Jacobs, RDH

February 2021 Issue - Expires Thursday, February 29th, 2024

Inside Dental Hygiene

Abstract

Silver diamine fluoride (SDF) is an antibiotic liquid that is applied to a carious or sensitive surface to inhibit the caries disease progression and desensitize dentin. SDF is beneficial for children, adults with financial concerns for pending treatment, and the elderly population, especially those who might suffer from failing restorations and root caries. Application of SDF annually or biannually can reduce the risk of caries and halt existing caries, resulting in a more stable restorative prognosis. SDF has been shown to be a clinically effective and safe tooth desensitizer for the patient that has exposed root surface and increased sensitivity. Annual or biannual application of SDF in the hygiene room would greatly benefit patients suffering from salivary disfunction, precooperative children, geriatric patients, those with cognitive or physical disabilities, and patients with dental phobias.

You must be signed in to read the rest of this article.

Login Sign Up

Registration on CDEWorld is free. Sign up today!
Forgot your password? Click Here!

Oral health care practitioners need to stay current in the field and provide patients with the latest, most effective, and safe treatment available. For example, incipient lesions, sensitivity, and root decay can now be treated in the hygiene chair in 10 minutes. Moreover, the practice benefits from increased patient satisfaction by offering a service that is pain-free and cost-effective.

Silver diamine fluoride (SDF) is an antibiotic liquid that is applied to a carious or sensitive surface to inhibit the caries disease progression and desensitize dentin. 1,2 SDF was approved in the United States for clinical use in 2014, although it has been used in Japan for more than 80 years.1

SDF has a shelf life of 3 years unopened and does not need refrigeration. The application process is made simple by isolating the affected areas, inserting precut special floss into interproximal areas of affected teeth, and using a microsponge to apply the SDF to the spongy area of the floss. The floss is then pulled through the interproximal contact to deliver the SDF directly into the interproximal area, then the remaining SDF can be directly applied to the buccal and lingual areas of the affected teeth for a duration of 70 seconds. The area is then dried with cotton gauze and sealed with fluoride varnish, preventing saliva from diluting the SDF application site.3

Safety Considerations

Because silver diamine fluoride is relatively new in the United States, and few patients have heard of it, oral health care practitioners are responsible for communicating effectively. A consent form is needed to inform patients, parents, and caregivers, and to standardize procedures for the inexperienced clinician. Ensuring awareness and understanding that the decayed tooth surface will blacken as the decay arrests, along with the likelihood of the necessity of reapplication, is necessary for the patient.4 SDF is not recommended for anyone with a silver allergy or for pregnant or nursing women.1 It is also not recommended for an individual with stomatitis or any ulcerative gingivitis conditions.1

SDF is comprised of silver, water, fluoride, and ammonia. The silver will stain any surface it contacts, as well as the gingiva. Isolation and protection of clinical surfaces is important for this reason. It is important to inform patient of the possibility of permanent staining. Clinical studies have shown that a black stain affecting the arrested decay is common. This would pose a concern for many patients esthetically. However, if the darkening of the tooth becomes problematic for the patient, the lesion can be restored without concern for spreading or worsening of the decay. For this reason, SDF is primarily used on posterior teeth. It has been suggested that applying potassium iodide immediately after application of SDF would lessen the staining.1 However, there is insufficient evidence to support this claim.

Special Populations

SDF is beneficial for children, adults with financial concerns for pending treatment, and the elderly population, especially those who might suffer from failing restorations and root caries.4 Children would have the opportunity to delay treatment that would otherwise be traumatic or uncomfortable until they are emotionally ready. Adults with extensive treatment plans that would otherwise be overwhelming, both financially and mentally, could be addressed in stages without the risk of decay worsening in that time frame.

Children that are high-risk for decay greatly benefit from SDF. Direct comparisons of SDF applied once per year with alternative treatments show that SDF is more effective than four applications of alternative treatments in preventing new carious lesions.3 Annual application of SDF to high-risk surfaces is the most cost-effective approach to cavity prevention, while twice per year application is the most effective. (Unfortunately, due to the metallic nature of SDF, children will find the taste unagreeable, however manageable.)

When SDF is applied to carious teeth, prevention of the surrounding teeth is demonstrated as well. Applying SDF to carious deciduous molars will protect the adjacent permanent molars.1,3 Direct application to healthy enamel also helps to prevent decay and inhibit the growth of bacteria-ideal in children who do not practice proper dental hygiene.5 Allowing one to three minutes for the silver diamine fluoride to soak into and react with a lesion is preferable, but for the uncooperative child patient, even a few seconds of exposure to silver diamine fluoride can result in arrested caries.1 For parents with safety concerns, no adverse events have been recorded since the approval in Japan more than 80 years ago.3,6 Concerns for fluoride safety are most relevant to chronic exposure, whereas SDF would be considered an acute exposure. The Health Department of Australia conducted a study that found no evidence of fluorosis in proper long-term silver diamine fluoride application.1

Elderly patients on a fixed income can also obtain significant benefits. Root caries can be prevalent in the elderly population due to dry mouth, diet, poor dexterity for daily oral hygiene, and dentures. Application of SDF annually or biannually can reduce the risk of caries and halt existing caries, resulting in a more stable restorative prognosis.7 SDF has been shown to be a clinically effective and safe tooth desensitizer for the patient that has exposed root surface and increased sensitivity.2

Application in the Hygiene Room

A common patient complaint is tooth sensitivity: specifically sensitivity to cold temperatures. Most of these patients have been using sensitivity relief toothpastes to obtain relief. For the patient that does not find success with at-home measures, SDF is an effective solution. Treatment of exposed dentin surfaces by topical application of SDF results in partially plugging dentin tubules by forming a squamous layer on the exposed dentin.3 The patient will experience an instant relief of sensitivity rather than the "band-aid" effect of toothpaste, which merely dulls the sensitivity. For the best results, SDF will need to be applied annually or biannually. Most offices will charge $20 to $75 dollars per application. Since SDF is easily applied in the hygiene room, the patient will walk away with instant relief, while production will increase for the office. Annual or biannual application of SDF in the hygiene room would greatly benefit patients suffering from salivary disfunction, precooperative children, geriatric patients, those with cognitive or physical disabilities, and patients with dental phobias.3

SDF as a primary preventative is more effective than any other available material, other than dental sealants which need to be monitored, while being much more expensive and difficult to place successfully. Failed sealants are common. Perhaps the future for sealants will entail  application of SDF prior to placement of polyacrylic acid (PAA) and then a glass hybrid restorative. It must be placed in a wet environment and requires no light activation to create excessive darkening. This would be an ideal technique if caries is suspected. Continual recharging of fluoride release will be ongoing with every fluoride application thereafter. Although there is no clinical evidence at this time to support this technique, it may show promise.

Exemplary Cases

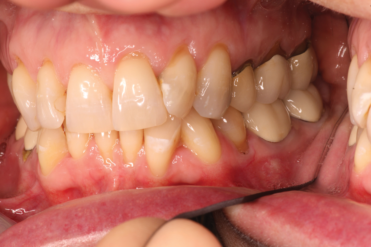
A 56-year-old female patient required an extensive treatment plan, including multiple crowns and fillings in each quadrant. She was able to complete treatment only in stages. By the time one quadrant was completed, she began to have pain on the mesial of tooth No. 20 (Figure 1 and Figure 2). Because the patient had no more dental benefits for the year, she needed to alleviate the sensitivity and prevent further problems between appointments. The doctor recommended SDF to stave off the sensitivity she was experiencing and to prevent growth of the lesion. Silver diamine fluoride was placed during a restorative appointment, and her sensitivity and pain subsided. When she returned a month later for her hygiene visit, she stated her pain had returned. A second SDF treatment was administered, which prevented the pain from returning a third time, until her restorative treatment could resume.

In another case, a 57-year-old patient presented with sensitivity for 6 months on tooth No. 18 which was increasing (Figure 3 and Figure 4). The clinician adjusted it to determine there was no occlusal component compounding the sensitivity. However the patient continued to experience sensitivity. To provide the patient relief, two applications of SDF were recommended. After the first application, which required only 10 minutes, the patient experienced a considerable decrease in sensitivity. A follow-up application of SDF two weeks later resulted in an additional charge for the placement of SDF, which added to the production of the appointment. The patient left with resolution of her complaint.

Another patient who benefited from SDF placement had recently been diagnosed with a large carious lesion. The patient was unable to complete treatment due to scheduling difficulties, but was experiencing substantial sensitivity. At one of her restorative appointments (for a different tooth), the doctor suggested SDF for the large carious lesion to arrest the decay and ease her sensitivity, explaining that she would likely need a second application for a more lasting effect. When she returned a few weeks later for her hygiene visit, she expressed concern that her sensitivity seemed to be returning. The doctor advised a second SDF application to be applied that day in the hygiene chair. The patient was also informed that a biannual placement of SDF would give her the best results until she was able to complete the restorative treatment. In this case, the patient left with zero sensitivity, and did not need to return for clinician chair time.

Upon application of SDF to a decayed surface, there is increased resistance to acid dissolution and enzymatic digestion due to a layer of silver protein that the silver diamine fluoride forms. The treated lesion will increase in density and hardness, while the lesion depth decreases. This is particularly beneficial to treat incipient decay that forms interproximally. The SDF-applied areas are also resistant to biofilm formation and cavity progression.

A 38-year-old female patient with incipient decay discovered on a transillumination caries detection device image (Figure 5 and Figure 6) presented for her bi-annual hygiene visit. The doctor was considering whether to treat the decay with a restoration or to "watch it." He decided that instead of monitoring the lesion, he could treat it with silver diamine fluoride, possibly halting the decay and hardening the lesion. The patient was informed of the possibility the decay would turn black; however, the decay process could halt, and she would not need a filling in the future. She was pleased at the prospect her tooth would remain intact without needing restorative treatment. After signing the consent form, she opted for treatment that day in the hygiene visit. She was appointed for one week later for the re-application of the silver diamine fluoride and advised that it may need to be reapplied one to two times per year.

Conclusion

SDF in the dental hygiene room is an invaluable treatment offered to the patient for sensitivity, incipient carious lesions that have not broken through enamel, and root caries. Patients will be satisfied that their concerns are being addressed, while the practice also considers financial concerns and time management. SDF can add an additional option for care, which in turn brings patients into the treatment planning process and engages them in the decision making.

About the Author

Elyssa Jacobs, RDH
Dental Hygienist • Sandy Point Dental, PC
Zurich, IL

References

1. Horst J, Ellenikiotis H, Milgrom PL. UCSF protocol for caries arrest using silver diamine fluoride: rationale, indications and consent. J Calif Dent Assoc. 2016;44(1):16-28.

2. Castillo JL, Rivera S, Aparicio T, et al. The short-term effects of diammine silver fluoride on tooth sensitivity: a randomized controlled trial. J Dent Res. 2011;90(2):203-208.

3. Featherstone JBD, Jeremy A, Horst JA. Fresh approach to caries arrest in adults. Decisions in Dentistry. 2015: 1(1):36-44.

4. Mei ML, Lo ECM, Chu CH. Clinical use of silver diamine fluoride in dental treatment. Compend Contin Educ Dent. 2016;37(2):93-98.

5. Llodra JC, Rodriguez A, Ferrer B, et al. Efficacy of silver diamine fluoride for caries reduction in primary teeth and first permanent molars of schoolchildren: 36-month clinical trial. J Dent Res. 2005;84(8):721-724.

6. Rosenblatt A, Stamford TC, Niederman R. Silver diamine fluoride: a caries silver-fluoride bullet. J Dent Res. 2009;88(2):116-125.

7. Zhang W, McGrathe C, Lo ECM, Li JY. Silver diamine fluoride and education to prevent and arrest root caries among community-dwelling elders. Caries Res. 2013;47(4):284-290.

(1.) Patient exhbitied pain on the mesial of tooth No. 20.

Figure 1

(2.) Patient required an extensive treatment plan, including multiple crowns and fillings in each quadrant.

Figure 2

(3.) Patient presented with sensitivity for 6 months on tooth No. 18.

Figure 3

(4.) Patient presented with sensitivity for 6 months on tooth No. 18.

Figure 4

(5.)  Incipient decay on tooth No. 29.

Figure 5

(6)  Incipient decay on tooth No. 20.

Figure 6

CREDITS: 0
AGD CODE: 250 - Restorative Dentistry
COST: $0
PROVIDER: Conexiant Education
SOURCE: Inside Dental Hygiene | February 2021

Learning Objectives:

  • Describe the oral health conditions that may be treated with silver diamine fluoride application
  • Explain how SDF works to arrest carious lesions
  • Compare the advantages and disadvantages of SDF treatment for patients

Disclosures:

The author reports no conflicts of interest associated with this work.

Queries for the author may be directed to justin.romano@broadcastmed.com.