CDEWorld > Courses > Inside the Tooth, Outside the Box

CE Information & Quiz

Inside the Tooth, Outside the Box

Miles Reed Cone, DMD, MS, CDT, and Stephen Tangredi, DDS

November 2020 Issue - Expires Thursday, November 30th, 2023

Inside Dentistry

Abstract

With the demand for esthetic dental restorations continuously increasing, discoloration of the anterior dentition has become a frequently cited reason among patients seeking dental treatment. A traumatized and previously restored nonvital central incisor is one of the most challenging situations facing the clinical and laboratory team today. Cases such as this often present with a darkened stump shade and root structure that is difficult to mask, even with contemporary high-end ceramics such as zirconia and opacious lithium disilicate. Although conventional internal whitening techniques are widely known, they are rarely utilized by practitioners to facilitate the successful restoration of intrinsically stained teeth. The walking bleach technique is a safe, effective, and economical treatment planning strategy to facilitate predictable outcomes for these patients. This article examines internal bleaching protocols for nonvital teeth, including the walking bleach technique, discusses potential complications and contraindications, and presents two case studies to demonstrate the results that can be achieved.

You must be signed in to read the rest of this article.

Login Sign Up

Registration on CDEWorld is free. Sign up today!
Forgot your password? Click Here!

Discoloration of the maxillary anterior dentition poses a significant esthetic concern for many individuals seeking cosmetic dental treatment.1,2 The permanent teeth most commonly affected by discoloration are the maxillary central incisors, and the incidence occurs with greater frequency among males.3,4 The discoloration of a single tooth may have multiple etiologies; however, this phenomenon is often related to pulpal necrosis as a direct result of trauma, loss of vitality, incomplete extirpation of the pulp horns, obturation materials, and various restorative procedures.5-8

During the process of pulpal necrosis, the hemorrhaging pulp produces various highly chromogenic long-chain organic pigments, such as hemosiderin, hemin, hematin, and hematoidin. As hemolysis continues, these iron-containing compounds are converted into black ferric sulfide and deposited into the dentinal tubules.9-11 The resulting dental phenotype presents as a yellowish-brown to dark-gray discoloration of the enamel.12

To aid in the successful restoration of discolored teeth resulting from dental trauma and pulpal necrosis, several treatment options are currently available. These options include intracoronal bleaching, composite or porcelain veneers, and full-coverage crowns.13 Regarding these clinical therapies, nonvital internal bleaching remains the most conservative treatment modality for these patients.14 Unfortunately, however, many clinicians remain unaware of this safe, straightforward, and cost-effective treatment strategy.

Internal Bleaching

The history of nonvital tooth bleaching began as early as the mid-1800s, at which point chloride of lime was the chemical of choice for internal bleaching procedures.15 The efficacy of other compounds was soon recognized, and solutions containing oxalic acid and sodium hypochlorite were implemented to augment the final outcome of internal bleaching procedures.14 In 1924, Prinz introduced the dental community to a new thermocatalytic protocol that involved the application of heated lamps and instruments to a 20% to 25% hydrogen peroxide solution placed within the pulp chamber.16

The Walking Bleach Technique

First described by Marsh and published by Salvas in 1938, the walking bleach technique involved the placement of a sodium perborate (NaBO3)/distilled water paste within the pulp chamber of a discolored tooth. After the paste was applied, the access cavity would be sealed with temporary cement for several days. This method allowed the patient to "walk" away from and later return to the dental clinic for the removal of the bleaching solution and its reapplication, if necessary.17 In 1961, Spasser reconsidered the technique, bringing it back into favor,18 at which point Nutting and Poe modified the chemical components by combining sodium perborate with 30% hydrogen peroxide instead of water in order to amplify the bleaching effectiveness of the solution.19

The success of the walking bleach technique is reliant upon the admixture of these oxygen releasing chemicals.20,21 The overall efficacy of the solution is dictated by the concentration of the bleaching agents, the capacity of the agents to reach the chromophore molecules, and lastly, the duration of exposure and the number of times the agents come into contact with the chromophore molecules.22 This technique has been extensively discussed in the current literature, and it has proven to be a reliable, predictable, and cost-effective treatment option for the bleaching of nonvital discolored teeth.23,24

Potential Complications/Contraindications

External invasive cervical resorption is a serious potential adverse complication that has been associated with protocols that utilize 30% to 35% hydrogen peroxide formulations for internal nonvital tooth bleaching.25 However, many of these findings have been attributed to thermocatalytic reactions that occur related to the use of heat during the internal bleaching procedures,26 and numerous long-term follow-up studies have demonstrated that when the walking bleach technique incorporating sodium perborate and 30% hydrogen peroxide is performed in the absence of heat, it presents a relatively low risk of external invasive cervical resorption.27,28

To further minimize this risk, a comprehensive pretreatment evaluation is necessary to determine that the teeth to be treated possess a healthy and intact periodontium. A properly obturated root canal that has been well-sealed via the placement of a temporary protective barrier at the level of the cementoenamel junction (CEJ) is also essential to help prevent the caustic bleaching agents from diffusing into the adjacent periapical tissues.29-31 Visible subgingival cracks and significant loss of dentin in the cervical portion of the tooth, which predispose the patient to leakage of the bleaching agent into the supporting soft tissues and periodontal ligaments, are other contraindications for internal bleaching.32

Following internal bleaching procedures using the walking bleach technique, it has been demonstrated that remnants of oxygen free radicals are still present in the dental hard-tissue structures.33 As a negative consequence of this, the adhesive strength of resin and glass-ionomer cements to the enamel and dentin is temporarily reduced.34,35 Optimal bonding conditions are reestablished following a stabilization period of approximately 3 weeks.36

The long-term predictability of the color stability of the walking bleach technique has also been addressed in the literature. Follow-up studies at 21 years and 25 years have shown success rates of 78.6% and 85%, respectively, with failure being defined as an observable mismatch of the adjacent dentition by two or more shades.37,38 Currently, the precise mechanism that is responsible for relapse is not clearly understood, and the possibility for future discoloration following internal bleaching must be carefully considered by the clinician and adequately discussed with the patient prior to treatment.39

In addition, use of the walking bleach technique is not recommended to treat the intrinsic discoloration associated with metal ions from amalgam restorations, cast posts, silver points, or other metallic objects due to the unbleachable nature of these materials.40

Case Reports

Two patients presented separately to the clinic for the elective replacement of an asymptomatic, discolored, full-coverage restoration on a single maxillary central incisor. The chief complaints of each patient were based solely on esthetics (Figure 1 and Figure 2). During the intraoral examination of each tooth, both patients demonstrated an unremarkable occlusion, good oral hygiene, firm gingiva, probing depths of 2 mm to 3 mm, no bleeding within the sulcus, and tooth mobility that was within normal limits. The results of all sensitivity tests, which included cold, percussion, and palpation, were negative.

The treatment options that were discussed with each patient included the performance of nonsurgical root canal therapy, followed by internal bleaching to increase the value of the underlying stump shade, replacement of any core material, and the placement of a definitive full-coverage, all-ceramic restoration. Both patients were amenable to endodontic therapy and the replacement of their existing all-ceramic crowns.

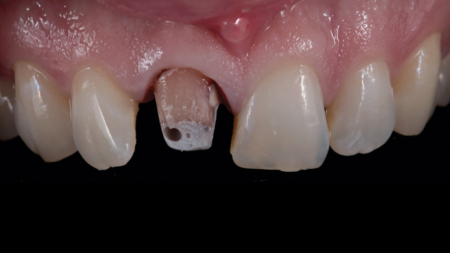
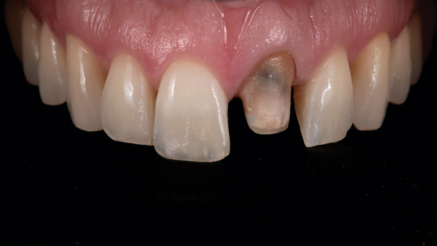
In the first case, the patient reported a history that included childhood dental trauma without swelling or discomfort. The intraoral examination indicated that the existing all-ceramic restoration on tooth No. 8 possessed an inappropriate morphology, surface topography, and shade. Radiographically, tooth No. 8 exhibited a large underlying resin core with significant porosity and periapical radiolucency (Figure 3). The diagnosis for tooth No. 8 was pulp necrosis with asymptomatic apical periodontitis.

In the second case, a preoperative periapical radiographic examination revealed that the patient had previously undergone nonsurgical root canal therapy and that the existing root-filling material stopped 3 mm to 4 mm short of the apex (Figure 4). Further examination revealed an intact lamina dura and normal bone trabeculation. Under high-power microscope magnification, the existing root canal sealer appeared to be the cause of the intrinsic staining; therefore, it was deemed necessary to re-treat and refill the existing root canal.

The prosthetic and endodontic protocols were nearly identical for all phases of treatment in both cases. At the first operative visit, the existing ceramic crown was carefully sectioned and removed (Figure 5 and Figure 6). This was followed by the removal of any existing supragingival core materials in the first case. Next, the highly chromatic underlying natural stump shade was recorded, and a provisional restoration was fabricated and luted with temporary cement. Each patient was then immediately dismissed to the endodontist for same-day elective root canal therapy and internal bleaching treatment with the walking bleach technique.

Once anesthetized by the endodontist, each tooth was conservatively accessed using rubber dam isolation, and in the second case, the existing obturation material was removed. The pulp chamber and canals were then disinfected with a 6% sodium hypochlorite solution and a 17% ethylenediaminetetraacetic acid (EDTA) solution. Following disinfection, the canals were dried and filled with a bioceramic sealer and gutta-percha. A provisional barrier of zinc oxide/calcium sulfate was placed internally, 2 mm to 3 mm below the CEJ, as a precautionary measure to prevent external cervical resorption as discussed in the literature.

For the internal bleaching phase of patient treatment, a 35% sodium perborate solid was mixed with a 35% hydrogen peroxide liquid solution to create a thick paste and loaded into an amalgam carrier. This paste was then placed into the pulp chamber and gently packed with an endodontic plugger so as not to express the hydrogen peroxide out of the paste. An additional 2 mm to 3 mm of coronal access was left unfilled to permit the placement of a final layer of interim restorative material to seal the bleaching agents off from the extraoral environment. Polytetrafluoroethylene tape and temporary cement were then used to seal the access cavity. A final radiograph was acquired (Figure 7 and Figure 8), the provisional restoration was recemented, and each patient was then dismissed without issue.

After 1 week, each patient returned for a progress evaluation of the internal bleaching treatment. Intraoral photographs of the stump shade were taken and sent to the ceramist for consultation (Figure 9 through Figure 12). In each case, it was determined that the value of the underlying tooth structure was now adequate and that no additional internal bleaching would be required. All of the zinc oxide/calcium sulfate and bleaching material were then removed, and the root canal sealer and gutta-percha were placed to seal off the canal.

The rapid color transformation achieved significantly decreased the challenge for the dental technician to block out the darkened tooth structure with a ceramic that possessed optical properties similar to natural teeth. In order to allow the dentin color to stabilize, the final stump shade analysis for each patient was made 2 weeks after the internal bleaching procedure. At that time, the pulp chamber was etched with a 37.5% orthophosphoric acid solution, rinsed, coated with an unfilled resin bonding agent, and light cured. The pulp chamber was then filled with A2/A1-colored resin in 2-mm increments and light cured to add "warmth" to the high-value stump shade. A final vinyl polysiloxane impression was made and sent to the laboratory for fabrication of an indirect all-ceramic restoration.

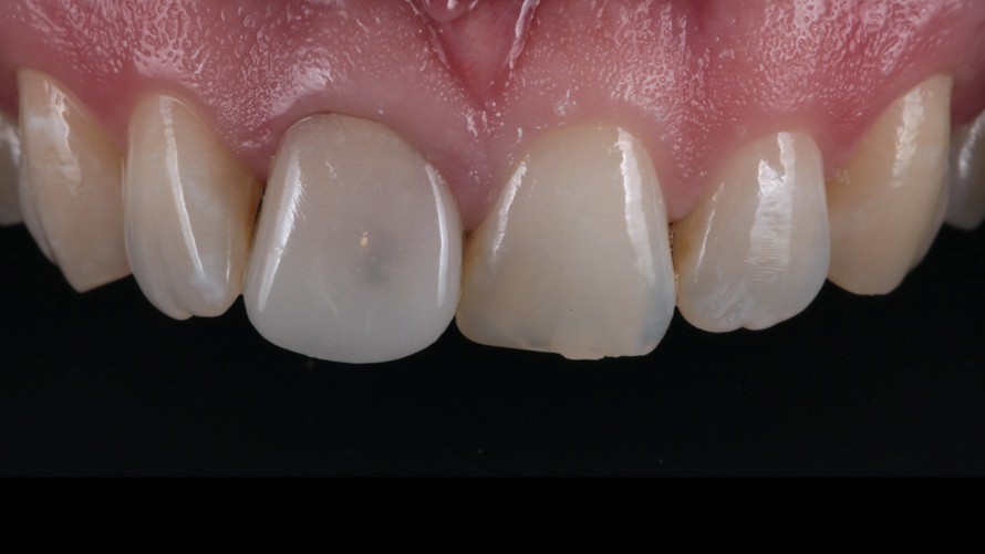
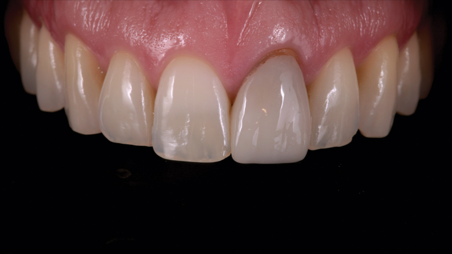
Eight weeks after the initial start of the walking bleach procedure, the final layered lithium disilicate crown was tried-in and evaluated for function and esthetics. Upon patient approval, the intaglio surface of the crown was etched for 20 seconds with a 9.6% hydrofluoric acid etchant, rinsed, and then scrubbed with a 37.5% orthophosphoric acid solution to clean out any ceramic debris. The crown was then placed into an ultrasonic bath of 91% isopropyl alcohol for 5 minutes, after which the intaglio surface was coated with silane and placed under a warm air dryer for 1 minute. A translucent self-adhesive resin cement was used to bond the final restoration to the preparation. The patients both stated that they approved of the form, function, and esthetics of the definitive restoration and that they were very pleased with the final results (Figure 13 through Figure 18). Routine periodic evaluations and radiographs were scheduled to monitor their oral health and esthetics.

Conclusion

For two patients who each presented with a previously restored single maxillary central incisor, lightening of the highly chromatic and discolored stump by means of the walking bleach technique proved to be a safe, economical, and effective procedure. These cases highlight the effectiveness of internal bleaching utilizing a mixture of 35% sodium perborate and 35% hydrogen peroxide in achieving successful and predictable esthetic outcomes for challenging restorative treatments.

Acknowledgement

Special thanks and appreciation to the ceramist, Lucas T. Lammott, of M31 Dental Studio in Gloucester, Massachusetts, for his dedication, expertise, and collaborative efforts in helping these two patients achieve their esthetic goals.

Queries regarding this course may be submitted to authorqueries@aegiscomm.com

About the Authors

Miles Reed Cone, DMD, MS, CDT
Diplomate
American Board of Prosthodontics
Fellow
American College of Prosthodontists

Stephen Tangredi, DDS
Root Dental Specialists
Portland, Maine
Nuance Dental Specialists
Portland, Maine

References

1. Plotino G, Buono L, Grande NM, et al. Nonvital tooth bleaching: a review of the literature and clinical procedures. J Endod. 2008;34(4):394-407.

2. Badole GP, Warhadpande MM, Bahadure RN, Badole SG. Aesthetic rehabilitation of discoloured nonvital anterior tooth with carbamide peroxide bleaching: case series. J Clin Diagn Res. 2013;7(12):3073-3076.

3. Bakland LK, Andreasen JO. Dental traumatology: essential diagnosis and treatment planning. Endod Top. 2004;7(1):14-34.

4. Bastone EB, Freer TJ, McNamara JR. Epidemiology of dental trauma: a review of the literature. Aust Dent J. 2000;45(1):2-9.

5. Ranka M, Dhaliwal H, Albadri S, Brown C. Trauma to the primary dentition and its sequelae. Dent Update. 2013;40(7):534-536, 539-540, 542.

6. Hattab FN, Qudeimat M, al-Rimawi HS. Dental discoloration: an overview. J Esthet Dent. 1999;11(6):291-310.

7. Krastl G, Allgayer N, Lenherr P, et al. Tooth discoloration induced by endodontic materials: a literature review. Dent Traumatol. 2013;29(1):2-7.

8. Mohebbi P, Savadkouhi ST. Tooth discoloration induced by calcium-silicate based materials: a literature review. Minerva Stomotol. 2016;65(6):378-384.

9. Almohareb T. Management of discolored endodontically treated tooth using sodium perborate. J Int Oral Health. 2017;9(3):133-135.

10. Arens D. The role of bleaching in esthetics. Dent Clin North Am. 1989;33(2):319-336.

11. Arikan V, Sari S, Sonmez H. Bleaching a devital primary tooth using sodium perborate with walking bleach technique: a case report. Oral Surg Oral Med Oral Pathol Oral Radiol Endod. 2009;107(5):e80-e84.

12. Grossman LI, Oliet S, Del Rio CE. Endodontic Practice. 11th ed. Philadelphia, PA: Lea & Febiger; 1988.

13. Fearon J. Tooth whitening: concepts and controversies. J Ir Dent Assoc. 2007;53(3):132-140.

14. Attin T, Paqué F, Ajam F, Lennon AM. Review of the current status of tooth whitening with the walking bleach technique. Int Endod J. 2003;36(5):313-329.

15. Dwinelle WW. Ninth annual meeting of American Society of Dental Surgeons. Article X. Am J Dent Sci. 1850;1:57-61.

16. Prinz H. Recent improvements in tooth bleaching. A clinical syllabus. Dent Cosmos. 1924;66:558-560.

17. Salvas JC. Perborate as a bleaching agent. J Am Dent Assoc. 1938;25(2):324.

18. Spasser HF. A simple bleaching technique using sodium perborate. NY State Dent J. 1961;27(8-9):332-334.

19. Nutting EB, Poe GS. A new combination for bleaching teeth. J So Calif Dent Assoc. 1963;31(9):289-291.

20. Camps J, de Franceschi H, Idir F, et al. Time-course diffusion of hydrogen peroxide through human dentin: clinical significance for young tooth internal bleaching. J Endod. 2007;33(4):455-459.

21. Holmstrup G, Palm AM, Lambjerg-Hansen H. Bleaching of discoloured root-filled teeth. Endod Dent Traumatol. 1988;4(5):197-201.

22. Dahl JE, Pallesen U. Tooth bleaching--a critical review of the biological aspects. Crit Rev Oral Biol Med. 2003;14(4):292-304.

23. Amato M, Scaravilli MS, Farella M, Riccitiello F. Bleaching teeth treated endodontically: long-term evaluation of a case series. J Endod. 2006;32(4):376-378.

24. Weiger R, Kuhn A, Löst C. In vitro comparison of various types of sodium perborate used for intracoronal bleaching of discolored teeth. J Endod. 1994;20(7):338-341.

25. Rotstein I, Zalkind M, Mor C, et al. In vitro efficacy of sodium perborate preparations used for intracoronal bleaching of discolored non-vital teeth. Endod Dent Traumatol. 1991;7(4):177-180.

26. Madison S, Walton R. Cervical root resorption following bleaching of endodontically treated teeth. J Endod. 1990;16(12):570-574.

27. Heithersay GS, Dahlstrom SW, Marin PD. Incidence of invasive cervical resorption in bleached root-filled teeth. Aust Dent J. 1994;39(2):82-87.

28. Abbott P, Heah SYS. Internal bleaching of teeth: an analysis of 255 teeth. Aust Dent J. 2009;54(4):326-333.

29. Baratieri LN, Ritter AV, Monteiro S Jr, et al. Nonvital tooth bleaching: guidelines for the clinician. Quintessence Int. 1995;26(9):597-608.

30. Steiner DR, West JD. A method to determine the location and shape of an intracoronal bleach barrier. J Endod. 1994;20(6):304-306.

31. Smith JJ, Cunningham CJ, Montgomery S. Cervical canal leakage after internal bleaching. J Endod. 1992;18(10):476-481.

32. Zarow M. Contraindicated internal bleaching - what to do? Int Dent African Edition. 2018;8(1):42-48.

33. Torneck CD, Titley KC, Smith DC, Adibfar A. The influence of time of hydrogen peroxide exposure on the adhesion of composite resin to bleached bovine enamel. J Endod. 1990;16(3):123-128.

34. Swift EJ Jr, Perdigão J. Effects of bleaching on teeth and restorations. Compend Contin Educ Dent. 1998;19(8):815-820; quiz 822.

35. Attin T, Hannig C, Wiegand A, Attin R. Effect of bleaching on restorative materials and restorations--a systematic review. Dent Mater. 2004;20(9):852-861.

36. Cavalli V, Reis AF, Giannini M, Ambrosano GM. The effect of elapsed time following bleaching on enamel bond strength of resin composite. Oper Dent. 2001;26(6):597-602.

37. Amato M, Carratù P, Spagnuolo G, et al. In-office and walking bleach treatment of non-vital teeth with 10% carbamide peroxide: a 21-year retrospective evaluation. Int Dent African Edition. 2012;2(6):32-38.

38. Amato A, Caggiano M, Pantaleo G, Amato M. In-office and walking bleach dental treatments on endodontically-treated teeth: 25 years follow-up. Minerva Stomatol. 2018;67(6):225-230.

39. Dietschi D. Nonvital bleaching: general considerations and report of two failure cases. Eur J Esthet Dent. 2006;1(1):52-61.

40. Abbott PV. Aesthetic considerations in endodontics: internal bleaching. Pract Periodontics Aesthet Dent. 1997;9(7):833-840; quiz 842.

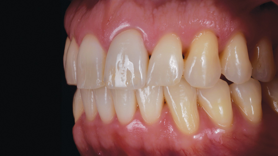
(1.) Case 1: Patient presentation of an asymptomatic, unesthetic full-coverage ceramic restoration on the maxillary right central incisor.

Figure 1

(2.) Case 2: Patient presentation of an asymptomatic, unesthetic full-coverage ceramic restoration on the maxillary left central incisor.

Figure 2

(3.) Case 1: Preoperative radiograph of the maxillary right central incisor, demonstrating periapical radiolucency and porous core buildup.

Figure 3

(4.) Case 2: Preoperative radiograph of the maxillary left central incisor, demonstrating existing nonsurgical root canal therapy.

Figure 4

(5.) Case 1: Discolored stump and resin core immediately following sectioning and removal of the existing ceramic restoration.

Figure 5

(6.) Case 2: Discolored stump immediately following sectioning and removal of the existing ceramic restoration.

Figure 6

(7.) Case 1: Postoperative radiograph following endodontic therapy and the placement of an internal bleaching agent into the pulp chamber.

Figure 7

(8.) Case 2: Postoperative radiograph following endodontic re-treatment and the placement of an internal bleaching agent into the pulp chamber.

Figure 8

(9.) Case 1: Pre-bleaching and 1-week post-bleaching stump shade evaluations, respectively.

Figure 9

(10.) Case 1: Pre-bleaching and 1-week post-bleaching stump shade evaluations, respectively.

Figure 10

(11.) Case 2: Pre-bleaching and 1-week post-bleaching stump shade evaluations, respectively.

Figure 11

(12.) Case 2: Pre-bleaching and 1-week post-bleaching stump shade evaluations, respectively.

Figure 12

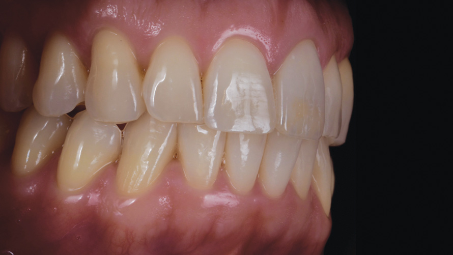
(13.) Case 1: Full-smile view of the definitive all-ceramic restoration on the maxillary right central incisor.

Figure 13

(14.) Case 1: Right- and left-side profile views of the definitive all-ceramic restoration on the maxillary right central incisor.

Figure 14

(15.) Case 1: Right- and left-side profile views of the definitive all-ceramic restoration on the maxillary right central incisor.

Figure 15

(16.) Case 2: Retracted full-smile view of the definitive all-ceramic restoration on the maxillary left central incisor.

Figure 16

(17.) Case 2: Right- and left-side retracted profile views of the definitive all-ceramic restoration on the maxillary left central incisor.

Figure 17

(1818.) Case 2: Right- and left-side retracted profile views of the definitive all-ceramic restoration on the maxillary left central incisor.

Figure 18

CREDITS: 0
AGD CODE: 780 - Esthetics/Cosmetic Dentistry
COST: $0
PROVIDER: Conexiant Education
SOURCE: Inside Dentistry | November 2020

Learning Objectives:

  • Identify the most common etiologies of maxillary tooth discoloration and the options that are available to patients to treat this condition.
  • Examine the history and progression of the materials used in internal bleaching techniques for nonvital teeth.
  • Review the factors that contribute to the efficacy and predictability of the walking bleach technique in the treatment of discolored dentition.
  • Describe the potential complications and contraindications associated with the internal bleaching treatment of nonvital teeth.

Author Qualifications:

Miles Reed Cone, DMD, MS, CDT Diplomate, American Board of Prosthodontics, Fellow, American College of Prosthodontists Stephen Tangredi, DDS Root Dental Specialists, Portland, Maine, Nuance Dental Specialists, Portland, Maine

Disclosures:

The author reports no conflicts of interest associated with this work.

Queries for the author may be directed to justin.romano@broadcastmed.com.