CDEWorld > Courses > Key Factors in Prevention of Peri-implant Diseases

CE Information & Quiz

Key Factors in Prevention of Peri-implant Diseases

Mariano Sanz, MD, DDS, DrMed, DrHC; Myroslav Solonko, DDS; and Fernando Luengo, DDS

September 2017 Issue - Expires Wednesday, September 30th, 2020

Compendium of Continuing Education in Dentistry (Suppl)

Abstract

Prevention and treatment of peri-implant diseases have become a key element in modern implant dentistry. The long-term success of implant-supported restorations is not only dependent on the quality and precision of modern implant systems, but on the efficacy of preventive measures for the long-term maintenance of peri-implant tissues.

You must be signed in to read the rest of this article.

Login Sign Up

Registration on CDEWorld is free. Sign up today!
Forgot your password? Click Here!

Since the introduction of the biologic concept of osseointegration and the use of modern dental implants, ample evidence has shown long-term high survival rates of implant systems (82% to 99%).1-2 Although the high success rates are well-documented for some implant systems, it is becoming increasingly clear that successfully integrated implants are susceptible to disease conditions that may lead to implant loss. These conditions are usually inflammatory diseases affecting the peri-implant tissues and, therefore, have been collectively termed peri-implant diseases; separately, they are classified as peri-implant mucositis, when the inflammatory process affects the soft tissues around an osseointegrated implant without evidence of loss of the supporting bone, and peri-implantitis, when the inflammatory process is combined with detected bone loss.3

The definition of these diseases, however, has changed over time, mainly when setting clear case definitions of peri-implantitis by establishing a certain threshold of crestal bone loss. Peri-implantitis is currently defined as changes in the level of crestal bone and presence of bleeding on probing (BOP) and/or suppuration, with or without concomitant deepening of peri-implant pockets.4

Similarly, there has been controversy on the prevalence of peri-implantitis since most of the available epidemiologic data are derived from convenience samples with a limited number of participants. These studies have reported the prevalence of peri-implantitis ranging between 28% and 56% of subjects and 12% to 40% of implants.5 A recent systematic review reported an estimated weighted mean prevalence of peri-implantitis of 22%, positively correlated with time and negatively correlated with increased thresholds of bone loss.6 Therefore, depending on the follow-up time and the established bone loss threshold in the case definitions, prevalence numbers will change, making comparisons between studies difficult. It is, however, well established that one-fourth of patients and probably one-fifth of implants will suffer peri-implantitis after 5 to 10 years in function,6 which highlights the importance of focusing on the prevention of peri-implant diseases rather than their treatment.7

Effective preventive measures must focus on the cause of the disease and the control of the demonstrated risk factors. In peri-implant diseases, the main etiologic factor is the bacterial biofilm adhering to implant surfaces and provoking an inflammatory reaction in the peri-implant tissues (peri-implant mucositis).8 In fact, presence of plaque is the main risk indicator for developing peri-implant mucositis.9 Similarly, presence of plaque with concomitant BOP in more than 30% of sites has been related to an increased odds ratio of 14.3 for developing peri-implantitis.9 Poor oral hygiene, smoking, and history of periodontitis are currently considered as risk factors associated with peri-implantitis; consequently, they should be the main target of preventive protocols.10 Other studied risk indicators, such as surface roughness, amount of keratinized tissue, and presence of residual cement have also shown positive associations with peri-implant diseases, although their evidence is limited to cross-sectional studies.10

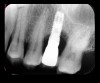
The first step in preventive strategies must be to perform a correct diagnosis of the peri-implant condition by accurately assessing the health of the peri-implant hard and soft tissues through periodontal probing and periapical radiographs at the time of definitive prosthetic installation. These measurements should be considered the baseline diagnosis and, therefore, represent a true starting point for evaluating the changes on the radiographic bone levels and probing pocket depths (PPD) at future recall appointments (Figure 1 and Figure 2).6 Although probing depth measurements of peri-implant tissues do not have the same diagnostic value as probing periodontal tissues, there is evidence that BOP is the most objective sign of peri-implant tissue inflammation; significant deepening of PPD compared with baseline measurements is also a sign of disease that indicates the need to perform a radiographic evaluation (Figure 3 through Figure 5).6,10,11

Current knowledge of the processes shifting from mucositis to peri-implantitis is scarce due to the poor understanding of the immune-biologic processes responsible for peri-implant bone destruction and loss of osseointegration.12 In a prospective 5-year study of 80 patients with peri-implant mucositis at baseline, those patients not attending a preventive maintenance care program showed an almost 20 times greater chance of developing peri-implantitis than those who were compliant with maintenance.13 The management of peri-implant mucositis should, therefore, be considered the primary prevention of peri-implantitis and the main preventive strategy to reduce the risk of peri-implantitis.8

Prevention of Peri-implant Mucositis

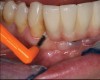
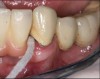
Preventive protocols must be instituted immediately after the installation of the definitive prosthesis and must focus on the importance of plaque control, both patient self-plaque control by strict home-based oral-hygiene practices and professional mechanical biofilm debridement at regular professional interventions, which must be customized to the patient’s risk profile.8 The efficacy of oral hygiene practices will depend on the ease of access to plaque control with both dental brushes and interdental devices, which depends mainly on the design of the prosthesis (Figure 6 through Figure 8). A cleansable implant-supported restoration, therefore, becomes a key factor in the primary prevention of peri-implant diseases. A recent systematic review on the efficacy of mechanical self-performed oral hygiene of implant-supported restorations reported a slight trend of superiority with the use of powered toothbrushes compared with manual.14

Treatment of Peri-implant Mucositis

The endpoint in the treatment of peri- implant mucositis is the resolution of peri-implant mucosal inflammation, clinically assessed as absence of BOP.8 Treatment of peri-implant mucositis must be focused on the removal of the main etiologic factor, the accumulation of bacterial biofilms on implant surfaces.

Recent systematic reviews have evaluated the efficacy of professionally administered plaque removal, either alone or with adjunctive measures.15 Based on seven studies meeting the inclusion criteria, the authors compared the efficacy of mechanical plaque removal using ultrasonic and hand instruments alone or in combination with one of three additional treatment modalities: 1) adjunctive measures for biofilm removal (air-abrasive device), 2) adjunctive antiseptic therapy (phosphoric acid gel,

chlorhexidine digluconate, ozone thera-py, hydrogen peroxide), and 3) adjunctive antibiotic therapy (locally delivered tetracycline HCl, systemic azithromycin). Despite initial results showing some superiority for the groups including adjunctive measures, the differences were minor at the end of the studies. Without proper plaque control by the patient, professional removal of peri-implant biofilm alone, with or without adjunctive measures, will not result in the long-term maintenance of the disease resolution.

The efficacy of patient-administered mechanical and/or chemical plaque control protocols in the management of peri-implant mucositis has also been assessed systematically.16 The use of self-performed mechanical plaque removal combined with chemical plaque control including rinsing/irrigation with antiseptics (chlorhexidine) or application of chlorhexidine gel provided the best results, mainly through the use of electric/sonic toothbrushes, toothpastes with proven anti-gingivitis efficacy, and rinsing or irrigating with chlorhexidine or essential oil solutions. There is, however, no evidence for a specific protocol of self-performed oral hygiene procedures around dental implants and therefore, regimens should be tailored to the patient and the specific design of the prosthetic restoration. In this regard, special emphasis should be placed on patient education, motivation, and instruction on oral hygiene practices by using specific educational materials because the level of knowledge about dental implants among the public is usually poor. Specific maintenance guides should also be provided to the dental team, including information on how to examine peri-implant tissues, how to detect and diagnose peri-implant diseases, and how to properly remove plaque and calculus from implant, abutment, and prosthetic surfaces.

An important aspect of both professionally and patient-administered plaque removal is the cleanliness of the implant-supported restoration. A cohort study on 23 patients demonstrated that 74% of implants had no accessibility to proper oral hygiene and 48% of implants presenting with peri-implantitis were those that were not cleansable.17 The non-fitting or non-cleansable overhanging prostheses, therefore, should be considered iatrogenic factors that contribute to the development of peri-implantitis. Similarly, incorrectly positioned implants or foreign bodies such as impression material or excess luting cement can contribute to increased biofilm accumulation and hence favor the development of peri-implant diseases.10 Correction or elimination of these factors (eg, prosthesis removal and adjustment/replacement, if necessary) should be a principal component of the treatment of peri-implant mucositis (Figure 9 through Figure 11).

Peri-Implantitis Treatment

Following a similar paradigm of treating peri-implantitis the same way that periodontitis is regularly successfully treated, based on the mechanical removal of biofilms adhered to implant/abutment surfaces, different protocols of nonsurgical implant debridement using different mechanical, physical, and chemical mechanisms have been evaluated (Figure 12 through Figure 15). In general, the use of different protocols combining treatments aimed to decontaminate the implant surface (eg, mechanical, lasers) and control the infection process (eg, antiseptics, antibiotics) have shown clinical and significant improvements in the commonly used surrogate outcomes (mean reductions in PPD of around 1.2 mm and mean reductions in the scores of BOP of about 50%) but have not resulted in disease resolution18 or a high degree of predictablility.19 There is currently no specific nonsurgical therapy that has shown efficacy in the resolution of peri-implantitis, and the clinical improvements reported in the clinical studies were not sufficient for the arrest of the disease, leaving the standard of care in the treatment of peri-implantitis as surgical in most cases.20

On the other hand, there is limited evidence on the long-term efficacy of surgical treatment of peri-implantitis. Although different surgical techniques have been tested and even compared, the surgical approach depends on the goal of treatment. When the goal of therapy is access for proper implant surface decontamination and elimination of the inflammatory component of the lesion, access flap surgery should be the treatment of choice. A recent 5-year prospective case series using this surgical approach has shown efficacy in maintaining peri-implant health in 79% of patients at one year after surgery (absence of PPD ≥ 5 mm and BOP) and 63% at 5 years, demonstrating the importance of thorough debridement during surgery, a strict oral hygiene regimen, and a closely monitored recall program as the basis for a successful secondary prevention of peri-implantitis.21 The use of systemic antibiotics as an adjunct to surgical intervention has shown significant improvements in randomized clinical trials.22

The key predictors for stable peri-implant conditions in patients treated for peri-implantitis are presenting with high standards of oral hygiene, attending strict maintenance programs, having cleansable implant-supported restorations, and having shallow pockets without BOP in their peri-implant environment. Positive outcomes were recently demonstrated in a 5-year prospective evaluation of patients with peri-implantitis treated with apically positioned flap surgery. After this period, stable peri-implant conditions were maintained in most of the implants presenting one or two residual pockets after surgery. Progression of peri-implant disease was diagnosed in only 13% of the treated implants in four patients (15%). Presence of pockets around the entire circumference of the implants appeared to qualify as a high predictor for disease progression.23

A similar study evaluating prognostic factors after the surgical treatment of peri-implantitis was done in 74 patients with peri-implantitis (187 implants) who had received resective surgical treatment. Multilevel univariable and multiple logistic regression analyses were performed to evaluate the effect of various potentially prognostic indicators on the primary outcome (failure of peri-implantitis treatment after 12 months). Smoking, mean bone loss at baseline, and presence of plaque were significant predictors, which highlights the importance of early diagnosis and treatment of peri-implantitis, as well as the patient’s plaque control and smoking cessation as key elements in secondary prevention.24

One controversial aspect in the treatment of peri-implantitis is whether implant surface roughness may play a relevant role in the progression of the disease and treatment efficacy, since when exposed to the oral cavity, rough surfaces have been shown to accumulate more plaque than smooth surfaces.25 Some authors have proposed smoothing and polishing the exposed rough implant surface during surgical treatment of peri-implantitis (implantoplasty), not only with the goal of removing surface contamination, but also to reduce future bacterial colonization (Figure 16 through Figure 19). A clinical trial comparing implantoplasty with standard access surgery demonstrated significantly improved clinical outcomes and maintenance of peri-implant bone levels over a 3-year period.26 There is, however, controversy on whether this implant surface elimination would structurally damage the implant or contaminate the surrounding tissues. Recent in vitro studies have confirmed that implantoplasty, although technically demanding and time-consuming, does not seem to significantly alter fracture resistance of standard-diameter external connection implants.27

Although the goal of the treatment of peri-implantitis should be the regeneration and reconstruction of the bone loss from the disease process (Figure 20 through Figure 25), there is limited evidence from prospective case series that this outcome may be predictable when using combinations of bone replacement grafts with barrier membranes in specific anatomical bone defect configurations.28

Conclusions

The key factors in the prevention of peri-implant diseases are a combination of subject-based and local factors. It is imperative to inform and educate the patient on specific oral hygiene measures whenever any implant-supported restoration is installed. The patient should be able to access all implant/abutment surfaces for adequate plaque control and should be instructed on the adequate devices customized for the specific restoration. Also, the baseline clinical (PPD and BOP) and radiographic parameters (crestal bone levels) should be recorded, which should serve for all future comparisons during maintenance therapy.

Patients should be instructed to return at regular intervals for professional plaque removal and early diagnosis of any peri-implant condition. If peri-implant mucositis is detected, this condition should be treated by combining mechanical and chemical plaque removal. It is well established that mucositis is the precursor to peri-implantitis; consequently, the appropriate treatment of mucositis represents the primary prevention of peri-implantitis. If peri-implantitis is diagnosed, effective therapy should be implemented as soon as possible, based on a thorough implant surface decontamination and a strict maintenance protocol including plaque control and regular debridement.

References

1. Jung RE, Zembic A, Pjetursson, BE, et al. Systematic review of the survival rate and the incidence of biological, technical, and aesthetic complications of single crowns on implants reported in longitudinal studies with a mean follow-up of 5 years. Clin Oral Impl Res. 2012;23(suppl 6):2-21.

2. Pjetursson BE, Thoma D, Jung R, et al. A systematic review of the survival and complication rates of implant-supported fixed dental prostheses (FDPs) after a mean observation period of at least 5 years. Clin Oral Impl Res. 2012;23(suppl 6):22-38.

3. Zitzmann NU, Berglundh T. Definition and prevalence of peri-implant diseases. J Clin Periodontol. 2008;35(8 suppl):286-291.

4. Lang NP, Berglundh T; Working Group 4 of Seventh European Workshop on Periodontology. Periimplant diseases: where are we now?--Consensus of the Seventh European Workshop on Periodontology. J Clin Periodontol. 2011;38(suppl 11):178-181.

5. Derks J, Tomasi C. Peri-implant health and disease. A systematic review of current epidemiology. J Clin Periodontol. 2015;42(suppl 16):S158-S171.

6. Sanz M, Chapple IL; Working Group 4 of the VIII European Workshop on Periodontology. Clinical research on peri-implant diseases: consensus report of Working Group 4. J Clin Periodontol. 2012;39(suppl 12):202-206.

7. Tonetti MS, Chapple IL, Jepsen S, Sanz M. Primary and secondary prevention of periodontal and peri-implant diseases: Introduction to, and objectives of the 11th European Workshop on Periodontology consensus conference. J Clin Periodontol. 2015;42(suppl 16):S1-S4.

8. Jepsen S, Berglundh T, Genco R, et al. Primary prevention of periimplantitis: managing peri-implant mucositis. J Clin Periodontol. 2015;42(suppl 16):152-157.

9. Ferreira SD, Silva GL, Cortelli JR, et al. Prevalence and risk variables for peri-implant disease in Brazilian subjects. J Clin Periodontol. 2006;33(12):929-935.

10. Heitz-Mayfield LJ. Peri-implant diseases: diagnosis and risk indicators. J Clin Periodontol. 2008;35(8 suppl):292-304.

11. Serino G, Turri A, Lang NP. Probing at implants with peri-implantitis and its relation to clinical peri-implant bone loss. Clin Oral Implants Res. 2013;24(1):91-95.

12. Figuero E, Graziani F, Sanz I, et al. Management of peri-implant mucositis and peri-implantitis. Periodontol 2000. 2014;66(1):255-273.

13. Costa FO, Takenaka‐Martinez S, Cota LO, et al. Peri‐implant disease in subjects with and without preventive maintenance: a 5‐year follow‐up. J Clin Periodontol. 2012;39(2):173-181.

14. Louropoulou A, Slot DE, Van der Weijden F. Mechanical self-performed oral hygiene of implant supported restorations: a systematic review. J Evid Based Dent Pract. 2014;14(suppl):60-69.

15. Schwarz F, Becker K, Sager M. Efficacy of professionally administered plaque removal with or without adjunctive measures for the treatment of peri-implant mucositis. A systematic review and meta-analysis. J Clin Periodontol. 2015;42(suppl 16):S202-S213.

16. Salvi GE, Ramseier CA. Efficacy of patient-administered mechanical and/or chemical plaque control protocols in the management of peri-implant mucositis. A systematic review. J Clin Periodontol. 2015;42(suppl 16):S187-S201.

17. Serino G, Ström C. Peri-implantitis in partially edentulous patients: association with inadequate plaque control. Clin Oral Implants Res. 2009;20(2):169-174.

18. Muthukuru M, Zainvi A, Esplugues EO, Flemmig TF. Non-surgical therapy for the management of peri-implantitis: a systematic review. Clin Oral Implants Res. 2012;23(suppl 6):77-83.

19. Faggion Jr CM, Chambrone L, Gondim V, et al. Comparison of the effects of treatment of peri-implant infection in animal and human studies: systematic review and meta-analysis. Clin Oral Implants Res. 2010;21(2):137-147.

20. Chan HL, Lin GH, Suarez F, et al. Surgical management of peri-implantitis: a systematic review and meta-analysis of treatment outcomes. J Periodontol. 2014;85(8):1027-1041.

21. Heitz-Mayfield LJ, Salvi GE, Mombelli A, et al. Supportive peri-implant therapy following anti-infective surgical peri-implantitis treatment: 5-year survival and success. Clin Oral Implants Res. 2016;1-6.

22. Carcuac O, Derks J, Charalampakis G, et al. Adjunctive systemic and local antimicrobial therapy in the surgical treatment of peri-implantitis: a randomized controlled clinical trial. J Dent Res. 2016;(1):50-57.

23. Serino G, Turri A, Lang NP. Maintenance therapy in patients following the surgical treatment of peri‐implantitis: a 5‐year follow‐up study. Clin Oral Implants Res. 2015;26(8):950-956.

24. de Waal YC, Raghoebar GM, Meijer HJ, et al. Prognostic indicators for surgical peri- implantitis treatment. Clin Oral Implants Res. 2016;27(12):1485-1491.

25. Albouy JP, Abrahamsson I, Persson LG, Berglundh T. Implant surface characteristics influence the outcome of treatment of peri‐implantitis: an experimental study in dogs. J Clin Periodontol. 2011;38(1):58-64.

26. Romeo E, Ghisolfi M, Murgolo N, et al. Therapy of peri‐implantitis with resective surgery. Clin Oral Implants Res. 2015;16(1):9-18.

27. Costa-Berenguer X, García-García M, Sánchez-Torres A, et al. Effect of implantoplasty on fracture resistance and surface roughness of standard diameter dental implants. Clin Oral Impl Res. 2017;1-9.

28. Schwarz F, Sahm N, Schwarz K, Becker J. Impact of defect configuration on the clinical outcome following surgical regenerative therapy of peri-implantitis. J Clin Periodontol. 2010;37(5):449-455.

Disclosure: The authors reported no conflicts of interest related to this article.

About the Authors

Mariano Sanz, MD, DDS, DrMed, DrHC
Myroslav Solonko, DDS
Fernando Luengo, DDS
Faculty of Odontology-Periodontology University Complutense of Madrid Spain

Fig 1. Baseline measurements at the time of prosthetic delivery: probing pocket depth and

Figure 1

Fig 2. periapical radiographs.

Figure 2

Fig 3. Peri-implant mucositis: mucosal inflammation.

Figure 3

Fig 4. Bleeding on probing.

Figure 4

Fig 5. Radiograph showing no bone loss.

Figure 5

Fig 6. Customized oral hygiene to the implant-supported restoration with use of interdental brush;

Figure 6

Fig 7. use of gauze under the pontic.

Figure 7

Fig 8. use of gauze at the interdental space.

Figure 8

Fig 9. Treatment of peri-implant mucositis: plaque accumulation and mucosal inflammation.

Figure 9

Fig 10. Traumatic impingement of the pontic on the peri-implant mucosa.

Figure 10

Fig 11. After thorough mechanical debridement and modification of the prosthesis to allow cleansing.

Figure 11

Fig 12. Treatment of peri-implantitis: peri-implant mucosal inflammation associated with plaque and calculus accumulation.

Figure 12

Fig 13. Radiograph depicting crestal bone loss around mandibular implants.

Figure 13

Fig 14. After removing the prosthesis, presence of peri-implant plaque and calculus.

Figure 14

Fig 15. Access flaps to allow mechanical debridement of implant surfaces.

Figure 15

Fig 16. Treatment of peri-implantitis: access flap with exposed implant surfaces after being decontaminated.

Figure 16

Fig 17. Implantoplasty of exposed implant surfaces.

FIgure 17

Fig 18. 1-year postoperative view.

Figure 18

Fig 19. 3-year postoperative view.

Figure 19

Fig 20. Treatment of peri-implantitis: occlusal view of peri-implant three-wall defect after thorough implant debridement.

Figure 20

Fig 21. Frontal view of peri-implant three-wall defect after thorough implant debridement.

Figure 21

Fig 22. Peri-implant defect filled with a bone replacement graft.

Figure 22

Fig 23. Peri-implant defect filled with a bone replacement graft and covered with a bioabsorbable membrane.

Figure 23

Fig 24. Radiographic image of affected implant before surgical therapy.

Figure 24

Fig 25. Radiographic image of affected implant one year after the surgical therapy.

Figure 25

CREDITS: 0
AGD CODE: 490 - Periodontics
COST: $0
PROVIDER: Conexiant Education
SOURCE: Compendium of Continuing Education in Dentistry (Suppl) | September 2017
COMMERCIAL SUPPORTER: SUNSTAR

Learning Objectives:

  • Define and characterize peri-implant diseases.
  • Describe the key factors in the primary prevention of mucositis.
  • Describe the key factors in the primary prevention of peri-implantitis.
  • Describe the key factors in the secondary prevention of mucositis.

Disclosures:

The author reports no conflicts of interest associated with this work.

Queries for the author may be directed to justin.romano@broadcastmed.com.