CDEWorld > Courses > Criteria to Manage the Technical and Biologic Success of an Implant Abutment

CE Information & Quiz

Criteria to Manage the Technical and Biologic Success of an Implant Abutment

Leon Hermanides, CDT

Nov/Dec 2016 Course - Expires Thursday, August 31st, 2017

Parkell Online Learning Center

Abstract

To maximize esthetics in anterior implant restorations, the initial step in treatment planning should be determining the prosthesis’s esthetic integration with the patient’s smile in keeping with the patient’s anatomical limitations. This article examines the role of the abutment in supporting both esthetics and technical success. Included are discussions regarding cemented versus screw-retained restorations, material selection for anterior tooth replacement, and design parameters.

You must be signed in to read the rest of this article.

Login Sign Up

Registration on CDEWorld is free. Sign up today!
Forgot your password? Click Here!

As with any restorative procedure, the rationale for delivering biologic harmony is complemented by a series of technical design criteria that guide the dental laboratory during the manufacturing process of an esthetic and functional dental restoration. What is not always understood in the laboratory, however, is that the anatomical limitations of the patient often provide the greatest predictive value for successful esthetic integration of the anterior implant restoration.1,2 Therefore, despite the best efforts of both dentists and laboratories and even with the highest levels of surgical and technical competence, some implant restorations may never achieve the esthetic outcome that was anticipated.

Additionally, considering the challenges posed by implant placement and the design of the implant system, it is understandable why many technicians and restorative dentists have been frustrated with the outcomes achieved. When bone-level implants are placed with the horizontal bevel and internal hex, the shape of the restorative components require “running room” to build root form and to create adequate emergence profile in order to develop a natural-looking tooth. When they are placed as intended, at or slightly below the bone and at least 2 mm from the facial plate, there is ample soft tissue and vertical space for the technician to develop emergence contours that fulfill the criteria that will be discussed in this article. If, however, these implants are placed too far facial or too shallow, the components do not allow for appropriate abutment design, as margin placement is limited and the facial and proximal contour can be compromised. These compromises can be seen in Figure 1 and Figure 2. Although the criteria for implant abutment manufacture will be discussed in this article, it is important to note that esthetic integration with the patient’s smile is determined prior to the implant being placed,2 and the role of the abutment in supporting the esthetics is limited by the treatment planning process for the final restoration (see Figure 3 through Figure 6).

Cemented Vs. Screw-Retained Restorations

The first issue to consider is why an implant abutment should be used. There appears to be a significant demand to manufacture screw-retained restorations rather than an abutment and cemented crown. The most obvious purpose for using an abutment is to achieve correction of an implant placed at an angle that would make the screw-access hole an esthetic liability. This is most common with maxillary anterior teeth, where the bony architecture tends to create a facial inclination of the implant to avoid apical perforation of the buccal plate. The implant, therefore, is inclined toward the facial aspect and leaves the screw-access hole either through the incisal edge or in the facial of the restoration (Figure 7 and Figure 8).

It has been noted in the literature3,4 that screw-access holes on screw-retained porcelain-fused-to-metal (PFM) crowns lead to lower fracture resistance of the ceramic. The screw-access hole becomes a liability, as the ceramic is weakened enough to increase the occurrence of fractures in the veneering ceramic. Screw-retained implant restorations are at a higher risk of mechanical failure due to the increased risk of ceramic failure.5

It also appears that the choice of either an abutment/cement-retained restoration or a screw-retained restoration has no significant impact on the survival rate of the implant.6-8 Although some might dispute these findings, it is generally accepted that accessibility to the restorative margins to remove excess cement is vital when an abutment is used to create an esthetic outcome.

Processing Distortion

The fit of an implant-supported fixed partial denture is an important issue to consider when choosing between a cemented or screw-retained restoration.9 In multiple studies, the data has shown that when evaluating frameworks fitted to implant fixtures manufactured by a variety of methods, there can be measureable distortion.10,11 By cementing the frameworks, any inaccuracies created by casting and bonding ceramic are minimized. The stresses transferred to the implants from conventional processing distortions are mitigated by providing an adequate cement spacer. It has been demonstrated that the cement spacer does not compromise the retention of a cemented restoration and, in fact, improves the fit of the seated restoration.12

Adequate Inter-Occlusal Clearance

One of the challenges in manufacturing an implant abutment is creating an adequate retention and resistance form to prevent the restoration from dislodging. When assessing the vertical space between the implant fixture surface and the opposing dentition, less than 5 mm would provide insufficient space for the abutment margin (0.5 mm to 1 mm), adequate resistance form (3.5 mm), and the appropriate thickness of restorative material (1 mm). In these situations, a screw-retained restoration would be a better option, because the hardware required to manufacture the restoration would allow adequate thicknesses for the ceramic materials.

Retained Cement

The amount and accessibility of retained cement after final delivery of the restoration is a notable argument voiced against the use of a cemented crown and abutment. This can, however, be controlled during manufacture in the dental laboratory through the use of a soft-tissue model to accurately reproduce the soft-tissue profile around the implant. The restoration margin can, therefore, be predictably placed no more than 1.5 mm below the gingival margin. In fact, for a titanium or metal abutment, margin depths of 0.5 mm on the lingual, 1 mm on the mesial and distal interproximal region, and 1.5 mm on the facial should provide adequate access to the margins for the restorative dentist to clean the cement and hide the junction between the abutment and restoration (Figure 9).

Soft-Tissue Model

In order to provide access to the implant replica during the manufacturing process, a soft-tissue model is required for implant restorations. This model uses an addition or condensation silicone material to replicate the soft-tissue contours surrounding the coronal third of the implant replica. Providing a clear view of the interface between abutment and implant replica to ensure the components are fully seated and to verify the fit of the restorations is critical during design and manufacture, particularly for fixed partial dentures. Additionally, this allows the dental technician to reproduce or sculpt the ideal emergence profile between the implant fixture and the gingival margin into the silicone material, which can then be replicated during the manufacture of the abutment (Figure 10 and Figure 11).

Material Selection

For anterior tooth replacement, material selection is an important factor in esthetic success, with the amount of tooth and gingiva displayed in the smile factoring into the decision. It has been shown that, depending on the thickness of tissue over the abutment, a titanium abutment may shadow through the soft tissues.13 When the tissue thickness was less than 2 mm, the authors showed that the human eye would detect the light reflection from the titanium abutment.

Thus, any implant placed facial to the adjacent teeth or less than 3 mm below the expected final gingival margin on a patient who shows the cervical third of the teeth when smiling may require a zirconia abutment. This will minimize the shadowing apical to the gingival margin seen with titanium abutments. Patients who do not show the cervical third of their teeth in a large smile afford the restorative team more flexibility in material choice, as the risk of the reflection of the metal showing is minimal (Figure 12 through Figure 14).

Zirconia abutments are also an excellent option when the accessibility of the restoration margins is of concern, as it is possible to leave the margins closer to the final gingival margin. If there is any future recession, the junction between tooth and restoration is less visible and there is less likelihood of the shadowing expected with a metal abutment.

Design Parameters

As with any restoration manufactured in the dental laboratory, there is a set of parameters that can be used to determine the outcome of the final result. The abutment needs to fulfill the following criteria:

provide adequate retention and resistance form to retain the final crown and an appropriate path of insertion

create the emergence contour to emulate the surrounding dentition

keep the margins accessible for adequate cleaning of any retained cement

Retention and Resistance

An abutment taper of 6° and a minimum prep length of 3 mm to 4 mm are the ideal parameters for a tooth/abutment.14-16 This provides adequate retention and resistance form, assuming the screw-access hole does not compromise the facial or lingual wall of posterior abutments or the mesial or distal wall of anterior abutments. The use of proximal retention grooves on posterior teeth can enhance the resistance to dislodging.

Emergence Profile

The emergence profile of an implant abutment is the most important restorative determinate of the facial gingival level, provided the anatomical limitations discussed earlier in this article are favorable. Placement of an implant in an unfavorable position in relation to the final tooth position poses the greatest challenge to the dental technician trying to develop favorable subgingival abutment contours.

Ideal placement of an anterior implant would be 3 mm to 5 mm apical to the gingival margin of the contralateral tooth or ideal tooth position. The facio-lingual inclination of the implant should be angled through the incisal edge and with the mesio-distal inclination parallel to the roots of the other teeth.17 A facio-lingual placement allowing 2 mm of buccal bone will additionally prevent loss of the facial tissue.18 Creating an appropriate emergence profile when all of these factors are ideal is relatively straightforward. However, the daily reality for the dental technician is that the implant placement usually does not meet one or more of these criteria.

There are three critical dimensions to the emergence profile of the abutment, the combination of which will determine the final position of the gingival margin, the presence of interproximal papilla, and the gingival profile of the restored tooth (Figure 15). These are: facial emergence; proximal emergence and proximity to allow appropriate contact placement; and lingual emergence.

Facial Emergence Profile

It has been demonstrated that a concave profile can increase the volume of tissue18,19 around the abutment, and conversely, the convex profile of an abutment will create an apical migration of the soft tissue.18,20 Therefore, as the facial profile of the abutment is developed, it is crucial to determine the required final gingival position of the restored tooth.

If the gingival margin of the restored tooth is apical to the contralateral tooth (the restoration would create a longer tooth) the profile of the abutment needs to be flat to concave. This would allow the tissue to drape further down the restoration and shorten the visual length of the restoration. However, when the implant has been facially positioned, placed shallower than 3 mm below the gingival margin, or placed with an excessive facial inclination, the opportunity to correct the visual length of the restoration is compromised.

Conversely, when the gingival margin is coronal to the contralateral tooth (the restoration would create a shorter tooth), the profile of the abutment can be slightly convex in order to displace the soft tissue apically and correct the visual length of the restoration. This can be done by adjusting the gingival level and the soft-tissue profile on the soft-tissue model and manufacturing the abutment to this modified profile. However, if the implant has not been positioned 3 mm to 5 mm deep relative to the final gingival margin, modification may not be possible as demonstrated in Figure 12 through Figure 14.

Proximal Emergence Profile

The proximal contours of the abutment influence the presence of interproximal tissue by providing adequate emergence for the appropriate crown contour and contact point placement.21,22 For the single-tooth-replacement implant, the bone level and the presence of the interproximal papilla is determined by the adjacent teeth.23 In adjacent implants, the inter-implant distance appears to influence the height of interproximal bone and corresponding interproximal papilla (Figure 16 and Figure 17).24,25

It is not the abutment that “supports” the tissue but rather the ability of the abutment and restoration to favorably conform to the anatomy and existing tissue volume, which will create the gingival profile and interproximal papilla. The emergence profile of the abutment in the interproximal regions should therefore begin to approximate the contours of the natural tooth to provide a seamless transition to the restoration.

Lingual Emergence Profile

The lingual profile has little impact on the peri-implant esthetics and can be adapted to form the expected contour of the root of a tooth.

Stock Vs. Custom Abutments

As the parameters for emergence profiles and margin accessibility of an abutment are understood, it becomes more difficult to justify the use of stock abutments for anterior teeth. Stock abutments are abutments where the profiles of the abutments are developed to a perceived ideal by the implant company, and allow the technician to adapt the core to the required angulation, length, and taper.

It is possible to differentiate between anterior and posterior teeth in the choice of abutment. As the esthetic requirements for a posterior restoration and the flatter scallop of the interproximal bone provide greater flexibility, the use of a stock abutment is more appropriate for posterior implant restorations (Figure 18).

The relative cost of currently available CAD/CAM options for custom abutments and the quality of the final restorative outcome does, however, support a recommendation for the use of a custom abutment for implant restorations in the esthetic zone.

Conclusion

In summary, a custom-made implant abutment is recommended for anterior implant restorations, particularly for higher risk esthetic patients. An adequately designed implant abutment will provide the patient a long-term benefit. The final esthetic outcome of the restoration can be controlled with the abutment by controlling the intrasulcular profile and abutment material. Finally, access to the restoration margin for cement removal can be controlled by margin placement relative to the gingival margin.

ABOUT THE AUTHOR

Leon Hermanides, CDT
Owner, Protea Dental Studio, Inc., Redmond, Washington; Clinical Instructor, Kois Center, Seattle, Washington

Queries to the author regarding this course may be submitted to authorqueries@aegiscomm.com.

REFERENCES

1. Hermanides LP. Implants in your laboratory. Journal of Dental Technology. August/September 2009;26:16-20.

2. Kois JC. Predictable single tooth peri-implant esthetics: five diagnostic keys. Compend Contin Educ Dent. 2001;22(3):199-206.

3. Shadid RM, Abu-Naba’a L, Al-Omari WM, et al. Effect of an occlusal screw-access hole on the fracture resistance of permanently cemented implant crowns: a laboratory study. Int J Prosthodont. 2011;24(3):267-269.

4. Torrado E, Ercoli C, Al Mardini M, et al. A comparison of the porcelain fracture resistance of screw-retained and cement-retained implant-supported metal-ceramic crowns. J Prosthet Dent. 2004;91(6):532-537.

5. Goodacre CJ, Bernal G, Rungcharassaeng K, Kan JY. Clinical complications with implants and implant prostheses. J Prosthet Dent. 2003;90(2):121-132.

6. Weber HP, Sukotjo C. Does the type of implant prosthesis affect outcomes in the partially edentulous patient? Int J Oral Maxillofac Implants. 2007;22 suppl:140-172.

7. Vigolo P, Givani A, Majzoub Z, Cordioli G. Cemented versus screw-retained implant-supported single-tooth crowns: a 4-year prospective clinical study. Int J Oral Maxillofac Implants. 2004;19(2):260-265.

8. Nissan J, Narobai D, Gross O, et al. Long-term outcome of cemented versus screw-retained implant-supported partial restorations. Int J Oral Maxillofac Implants. 2011;26(5):1102-1107.

9. Karl M, Taylor TD, Wichmann MG, Heckmann SM. In vivo stress behavior in cemented and screw-retained five-unit implant FPDs. J Prosthodont. 2006;15(1):20-24.

10. Hjalmarsson L, Örtorp A, Smedberg JI, Jemt T. Precision of fit to implants: a comparison of Cresco™ and Procera® implant bridge frameworks. Clin Implant Dent Relat Res. 2010;12(4):271-280.

11. Karl M, Rösch S, Graef F, et al. Strain situation after fixation of three-unit ceramic veneered implant superstructures. Implant Dent. 2005;14(2):157-165.

12. Olivera AB, Saito T. The effect of die spacer on retention and fitting of complete cast crowns. J Prosthodont. 2006;15(4):243-249.

13. van Brakel R, Noordmans HJ, Frenken J, et al. The effect of zirconia and titanium implant abutments on light reflection of the supporting soft tissues. Clin Oral Implants Res. 2011;22(10):1172-1178.

14. Kaufman EG, Coelho DH, Colin L. Factors influencing the retention of cemented gold castings. J Prost Dent. 1961;11(3):487-502.

15. Maxwell AW, Blank LW, Peulleu GB Jr. Effect of crown preparation height on the retention and resistance of gold castings. Gen Dent. 1990;
38(3):200-202.

16. Leong EW, Choon Tan KB, Nicholls JI, et al. The effect of preparation height and luting agent on the resistance form of cemented cast crowns under load fatigue. J Prosthet Dent. 2009;102(3):155-164.

17. Phillips K, Kois JC. Aesthetic peri-implant site development. The restorative connection. Dent Clin North Am. 1998;42(1):57-70.

18. Su H, Gonzalez-Martin O, Weisgold A, Lee E. Considerations of implant abutment and crown contour: critical contour and subcritical contour. Int J Periodontics Restorative Dent. 2010;30(4):335-343.

19. Rompen E, Raepsaet N, Domken O, et al. Soft tissue stability at the facial aspect of gingivally converging abutments in the esthetic zone: a pilot clinical study. J Prosthet Dent. 2007;97(6 suppl):S119-S125.

20. Phillips K, Kois JC. Aesthetic peri-implant site development. The restorative connection. Dent Clin North Am. 1998;42(1):57-70.

21. Tarnow DP, Magner AW, Fletcher P. The effect of the distance from the contact point to the crest of bone on the presence or absence of the interproximal dental papilla. J Periodontol. 1992;63(12):995-996.

22. Kois JC, Kan JY. Predictable peri-implant gingival aesthetics: surgical and prosthodontic rationales. Pract Proced Aesthet Dent. 2001;13(9):691-698.

23. Kan JY, Rungcharassaeng K, Umezu K, Kois JC. Dimensions of peri-implant mucosa: an evaluation of maxillary anterior single implants in humans. J Periodontol. 2003;74(4):563-568.

24. Tarnow D, Elian N, Fletcher P, et al. Vertical distance from the crest of bone to the height of the interproximal papilla between adjacent implants. J Periodontol. 2003;74(12):1785-1788.

25. Tarnow DP, Cho SC, Wallace SS. The effect of inter-implant distance on the height of inter-implant bone crest. J Periodontol. 2000;71(4)546-549.

Fig 1 and Fig 2. Facial and proximal contour compromises are evident. The implant is at tissue level, and there is nothing the technician can do to manage the margin placement or intrasulcular profile to improve the esthetics. If this was a traditional external hex design the restorative margin could be placed very close to the abutment-implant interface and the space managed better.

Figure 1

Fig 1 and Fig 2. Facial and proximal contour compromises are evident. The implant is at tissue level, and there is nothing the technician can do to manage the margin placement or intrasulcular profile to improve the esthetics. If this was a traditional external hex design the restorative margin could be placed very close to the abutment-implant interface and the space managed better.

Figure 2

Fig 3 and Fig 4. Because the implant position was mesial to the ideal position, these custom abutments were designed flat on the mesial profile (Fig 3), but they still posed restorative contouring challenges (Fig 4).

Figure 3

Fig 3 and Fig 4. Because the implant position was mesial to the ideal position, these custom abutments were designed flat on the mesial profile (Fig 3), but they still posed restorative contouring challenges (Fig 4).

Figure 4

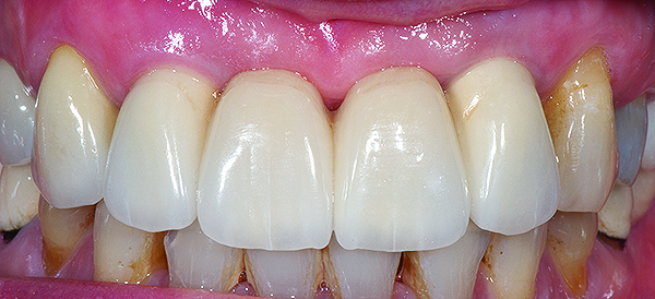
Fig 5 and Fig 6. Implant restorations on the maxillary lateral incisors and right first bicuspid supporting a cement-retained PFM fixed partial denture on Nos. 7 through 10, a single PFM on No. 6, and a cement-retained PFM on No. 5. Retracted view (Fig 5), and smile view (Fig 6). (Photographs courtesy of Linda Cirtaut, DDS)

Figure 5

Fig 5 and Fig 6. Implant restorations on the maxillary lateral incisors and right first bicuspid supporting a cement-retained PFM fixed partial denture on Nos. 7 through 10, a single PFM on No. 6, and a cement-retained PFM on No. 5. Retracted view (Fig 5), and smile view (Fig 6). (Photographs courtesy of Linda Cirtaut, DDS)

Figure 6

Fig 7. and Fig 8. A screw-retained implant fixed partial denture showing ideal implant placement for lingual screw-access. Front view (Fig 7), and lingual view (Fig 8).

Figure 7

Fig 7. and Fig 8. A screw-retained implant fixed partial denture showing ideal implant placement for lingual screw-access. Front view (Fig 7), and lingual view (Fig 8).

Figure 8

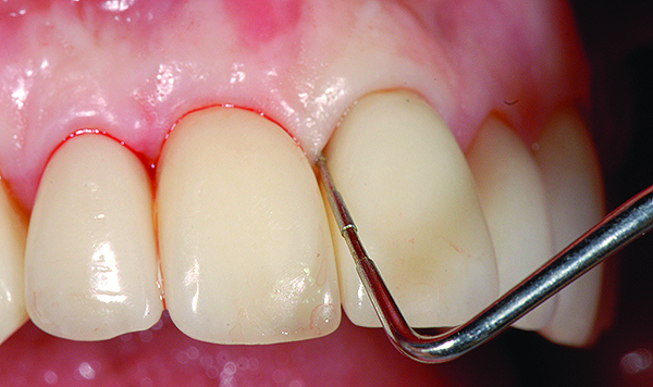
Fig 9. Using a soft-tissue model and a periodontal probe, an abutment margin depth can be accurately located.

Figure 9

Fig 10 and Fig 11. The soft-tissue material on a model allows the subgingival contours of the abutment to be adapted to ideal contour (Fig 10), and when removed it provides access to the analog interface (Fig 11).

Figure 10

Fig 12 through Fig 14. An implant has been placed at a normal depth relative to the bone and tissue level of the site (Fig 12); however, it will be impossible to create a restoration the same length as the contralateral tooth due to the coronal placement of the implant (Fig 13). As demonstrated in the provisional restoration shown in Fig 14, the tooth length discrepancy is significant.

Figure 12

Fig 12 through Fig 14. An implant has been placed at a normal depth relative to the bone and tissue level of the site (Fig 12); however, it will be impossible to create a restoration the same length as the contralateral tooth due to the coronal placement of the implant (Fig 13). As demonstrated in the provisional restoration shown in Fig 14, the tooth length discrepancy is significant.

Figure 13

Fig 12 through Fig 14. An implant has been placed at a normal depth relative to the bone and tissue level of the site (Fig 12); however, it will be impossible to create a restoration the same length as the contralateral tooth due to the coronal placement of the implant (Fig 13). As demonstrated in the provisional restoration shown in Fig 14, the tooth length discrepancy is significant.

Figure 14

Fig 15. A CAD/CAM-manufactured custom abutment.

Figure 15

Fig 16 and Fig 17. With the implant restoration on tooth No. 8, the interproximal bone on the mesial of Nos. 7 (Fig 16) and 9 (Fig 17) can be sounded to verify the appropriate contact point placement from the proximal crest of bone to ensure complete regeneration of the interproximal papilla. (Photographs courtesy of Don Jayne, DDS)

Figure 16

Fig 16 and Fig 17. With the implant restoration on tooth No. 8, the interproximal bone on the mesial of Nos. 7 (Fig 16) and 9 (Fig 17) can be sounded to verify the appropriate contact point placement from the proximal crest of bone to ensure complete regeneration of the interproximal papilla. (Photographs courtesy of Don Jayne, DDS)

Figure 17

Fig 18. The difficulties of using a stock abutment to restore anterior teeth are evident. Because the abutment profile was insufficient, the margins were lowered to allow more room to develop the emergence profile.

Figure 18

CREDITS: 0
AGD CODE: 690 - Implants
COST: $0
PROVIDER: Conexiant Education
SOURCE: Compendium of Continuing Education in Dentistry | Nov/Dec 2016

Learning Objectives:

  • discuss how patients’ anatomical limitations impact implant restoration esthetics
  • understand the role of the abutment in supporting esthetics
  • describe the issues involved in choosing between cemented and screw-retained restorations

Disclosures:

The author reports no conflicts of interest associated with this work.

Queries for the author may be directed to justin.romano@broadcastmed.com.