CDEWorld > Courses > The Impact of Systemic Disease-Associated Gingival Enlargement on Pediatric Patients

CE Information & Quiz

The Impact of Systemic Disease-Associated Gingival Enlargement on Pediatric Patients

Hessam Nowzari, DDS, PhD; and Sandra K. Rich, MPH, PhD

November 2013 Course - Expires Wednesday, November 30th, 2016

Compendium of Continuing Education in Dentistry

Abstract

This article provides an analysis of pediatric systemic disease and the corresponding prescribed medications for selected physical and mental health conditions. The focus is on pediatric oral health, specifically the drugassociated side effect of gingival enlargement. A simple and logical analysis of current pediatric health trends reveals that gingival overgrowth is evident in societies worldwide as a serious epidemic. This article describes the morbidity and risks that are related to drug-associated gingival overgrowth, and proposes a framework of action for treating the side effects of chronic diseases and conditions in pediatric patients.

You must be signed in to read the rest of this article.

Login Sign Up

Registration on CDEWorld is free. Sign up today!
Forgot your password? Click Here!

A healthy gingiva is a source of psychological and physical comfort. In contrast, gingival enlargement can result in significant physical and psychological distress, depression, anxiety, fear, and pain. Enlarged gingiva negatively affects the smile and overall facial expression of children. Many thousands of pediatric patients with special healthcare needs are at risk for gingival overgrowth as well as for periodontal infection. Morbidity related to gingival overgrowth can be severe. Systemic disease, combined with medications leading to gingival overgrowth, can compromise the overall health and well-being of affected children and can result in disturbed oral function, periodontal and dental infections, delayed eruption of teeth, disfigurement, and psychological trauma.

Needs Assessment

Despite notable improvements in oral health in the United States, periodontal disease in children and young adults affected by systemic disease and/or prescription drugs is increasing and many patients do not receive appropriate periodontal treatment. In 2005, there were 9.7 million children in the United States (13%) who had a health problem for which prescription medication had been taken regularly for at least 3 months.1 More than 5.5 million children (8%) in the United States have disabilities or chronic conditions for which they may be taking medications.2 It is becoming increasingly clear that many of these drugs or various drug interactions can be responsible for inducing gingival overgrowth in these child populations. Chronic diseases or other health conditions, such as attention-deficit hyperactivity disorder (ADHD)3 and child obesity/hypertension treatments, can put children at risk for drug-induced gingival overgrowth. The overgrowth may be mild, but capable of providing a subgingival nidus for pathogens that can lead to gingivitis or periodontitis. In its more severe form, treatment of gingival overgrowth involves surgical excision. The overgrowth tissue has potential to become cancerous and, to date, two cases of gingival overgrowth malignancy have been reported in the literature.4,5 An unknown is how the overgrowth may contribute to overall systemic health by providing a reservoir for microorganisms or viral replication. A shortage of oral health professionals and office staff trained or willing to work with affected children, insufficient reimbursement for care, and behavior management are major barriers to periodontal and other dental treatment for these affected populations.

Drug-induced gingival overgrowth develops as a result of an increase in the connective tissue extracellular matrix. Theories and investigations on the histopathology and molecular mechanisms with which the overgrowth occurs have been widely published. Occurrence of the overgrowth can be related to such variables as type of drug, dosage levels, interactions with other drugs, preexisting periodontal disease, presence of dental plaque, current oral hygiene care, and individual variations of response. The condition is recognized as multifactorial, and connective tissue metabolism has been extensively studied in attempt to delineate its role.6 As an example, one possible mechanism through which immunosuppressant drugs are associated with gingival overgrowth is the induction of the profibrotic growth factor transforming growth factor-beta 1 (TGF-β1). Ellis et al (2004)7 investigated plasma levels of TGF-β1 and related them to the development and severity of gingival overgrowth in immunosuppressed transplant patients. Plasma TGF-b1 was significantly elevated (mean = 29.1 ng/ml) as compared with controls (mean = 6.1 ng/ml, P < .0001).

Gingival overgrowth is a known side effect of at least three major drug therapies and an added effect when drugs are taken in combination with other drugs. Drugs of central concern with children are:

  • phenytoin (Dilantin®, Pfizer Inc, New York, NY) therapy for control of epileptic convulsions and other neurologic disorders;
  • cyclosporine and tacrolimus therapy for immunosuppression to prevent organ transplant rejection; and
  • combination therapy with nifedipine (PROCARDIA®, Pfizer Inc; Adalatp, Bayer Healthcare, Wayne, NJ), amlodipine (NORVASC®, Pfizer Inc) and other calcium channel blockers to ameliorate the nephrotoxicity of immunosuppressive agents or as part of a hypertensive regimen.

It is difficult to estimate the numbers of persons in these three categories who are at risk for the side effect of gingival overgrowth, and no government statistics specific for gingival overgrowth are available. However, an examination of the numbers of people with conditions requiring drugs in the three categories listed and some known levels of the adverse response to the drugs allows for some estimation of the number of adults and/or children affected. Furthermore, these estimations begin to suggest the numbers of children who may be at risk for systemic disease-associated gingival overgrowth in the future.

Anticonvulsants

Epilepsy is the most widely occurring major neurologic disorder in children. In the United States, the disease affects 0.5% to 1% of children up to 16 years of age. Approximately 325,000 US children, 5 to 14 years of age, have active epilepsy.8 Population-based epidemiological studies from the United Kingdom, Nordic, Baltic, and western Mediterranean countries estimate the number of children and adolescents in Europe with active epilepsy at 0.9 million.9 Phenytoin is commonly prescribed for the control of seizures. Some alternative anticonvulsive medications, such as carbonmezepine, ethosuximide, and sodium vaporate, are available, but they are known to induce gingival overgrowth as well and the levels of occurrence have not yet been well-documented.10 In epileptic children aged 8 to 13 years, gingival overgrowth occurs within 6 months of commencing therapy with phenytoin.11 Studies report that approximately 50% of adults taking phenytoin demonstrate gingival overgrowth10 and gingival overgrowth attributed to phenytoin has been shown to be greater for children and adolescents than for adults.12 Annually, an additional 20,000 to 45,000 children in the United States are diagnosed with epilepsy.8

Immunosuppressants in Combination with Calcium Channel Blockers

Solid organ transplantation was once a last option for terminally ill children. Today organ transplantation is the treatment of choice for a number of serious child illnesses. The use of more effective medications, such as cyclosporin A, has served to dramatically improve survival rates in the past 15 years. However, organ transplantation is not a cure. Transplantation facilitates a transition from life-threatening disease to a chronic condition. Living with a transplanted organ means a lifetime of medical monitoring and prescription drugs. Over the 10-year period from 1996 to 2005,13 the number of pediatric recipients of any organ grew 23% (from 1,594 to 1,955). The largest increase, 30%, occurred in the largest group, recipients 11 to 17 years old (661 in 1996 and 861 in 2005). The remaining pediatric groups experienced increases of smaller proportion: recipients 6 to 10 years old increased 14% to 308, recipients 1 to 5 years old increased 18% to 494, and recipients less than 1 year old increased 19% to 292.13

In patients undergoing immunosuppressive therapy, the prevalence of cyclosporine-associated gingival overgrowth has been found to vary from 25% to 81%.14 In pediatric patients receiving cyclosporine A for more than 3 months, the incidence of disfiguring gingival overgrowth can approach 70%.15 Gingival overgrowth, particularly around maxillary central incisors, is common in transplant patients and the overgrowth can displace maxillary incisors and destroy anterior papillae. The damage results in extensive treatment needs and presents a challenge to traditional thera-peutic periodontal approaches. A further concern is the ability of viruses, such as human cytomegalovirus, to replicate in the pockets developed from the excessive gingiva. The author and his colleagues16 detected 68.4% gingival overgrowth in adult renal transplant patients and provided evidence for a link between cytomegalovirus, gingival overgrowth, and renal transplant complications.

Over the past 10 years, there have been marked changes in the use of immunosuppressive agents in pediatric patients.13 The use of cyclosporine fell from about 80% in 1996 to less than 15% in 2005. Along with this, the use of tacrolimus (Prograf®, Astellas Pharma US, Inc, Deerfield, IL) rose from less than 15% in 1996 to approximately 80% in 2005. In large part, this change was initiated as a result of the adverse cosmetic effects of cyclosporine in pediatric patients related to gingival overgrowth.

The prevalence and severity of gingival overgrowth is less in transplant children taking tacrolimus compared with cyclosporine. Radwan-Oczko et al17 did not detect gingival overgrowth in patients treated with tacrolimus. Ellis et al18 also observed significant reduction in the prevalence and severity of gingival overgrowth in a group of adult organ transplant recipients immunosuppressed with tacrolimus in comparison with cyclosporine. Those taking tacrolimus had a significantly lower mean gingival overgrowth score (14.1%) compared with cyclosporine (22.4%). This data indicates improvement in controlling incidence of gingival overgrowth, but results also indicate that gingival overgrowth is likely to persist for many transplant patients in spite of the changes in drug regimens.

Tacrolimus is well tolerated in the majority of pediatric patients. However, neuropsychological and behavioral side effects are important and may be under-recognized in children. Kemper et al19 examined 20 children (10 girls and 10 boys) who switched to tacrolimus. The most frequent side effects were neuropsychological and behavioral symptoms in three children. Symptoms included anorexia, depression, and severe insomnia. In one child, behavior was aggressive; this child was exposed to toxic tacrolimus blood levels. All side effects were reversible after discontinuation of tacrolimus.

Wondimu et al20 assessed gingival overgrowth in 30 liver transplant children and young adults, 20 boys and 10 girls, aged 2 to 19 years. Seventeen children (10 boys, seven girls) were on a cyclosporine A-based immunosuppressive regimen whereas 13 children (10 boys, three girls) were on tacrolimus for at least 1 year. In the cyclosporin A group, 35% of children exhibited gingival overgrowth. In contrast, none of the children in the tacrolimus group exhibited gingival overgrowth. McKaig et al21 determined the incidence of gingival overgrowth in 79 children (aged 15 months to 196 months) undergoing liver transplantation. Fifty-two patients were treated with cyclosporine and 27 were treated with tacrolimus. Eighteen children also were receiving nifedipine and were considered separately. Of the 41 children receiving cyclosporine alone, 26 exhibited gingival overgrowth compared with none of the 20 patients receiving tacrolimus alone. The children treated with immunosuppression plus nifedipine developed gingival overgrowth; however, this was much less marked in the tacrolimus group.

Transplant patients are often prescribed nifedipine along with immunosuppressants for at least 3 months after surgery.23 Nifedipine and other calcium channel blockers help to ameliorate the nephrotoxicity of immunosuppressive drugs, but potentiate the effect of cyclosporine in gingival overgrowth by reducing protein synthesis of fibroblasts. Concomitant use of calcium channel blockers and immunosuppressants results in an increased risk for the presence and severity of gingival overgrowth.24

Antihypertensives

Hypertension appears to be increasing in children and adolescents.24 Secondary hypertension in children is most likely from renal disease, while primary hypertension has multiple risk factors, including obesity and a family history of hypertension.25 The prevalence of children aged 6 to 11 being overweight has more than doubled in the past 20 years, going from 7% in 1980 to 18.8% in 2004.26 During the same period, the rate of obesity among adolescents aged 12 to 19 has more than tripled, increasing from 5% to 17.1%.26 Overweight young people are more likely than children of normal weight to become overweight adults, and therefore more at risk for associated adult health problems, including heart disease, type 2 diabetes, stroke, several types of cancer, and osteoarthritis.27 Non-pharmacological recommendations for child or adolescent prehypertension or stage 1 hypertension include weight control, regular exercise, a low-fat, low-sodium diet, smoking cessation, and abstinence from alcohol.25 Pharmacological recommendations for antihypertensive regimens include calcium channel blockers.28 Childhood hypertension is related to adult hypertension29 and therapy begun in childhood may become long-term therapy with drugs that pose a significant risk for gingival overgrowth, along with other side effects.

Other Health Conditions and Gingival Growth

Attention-Deficit Hyperactivity Disorder

In 2005, almost 4.5 million children 3 to 17 years of age (7%) have ADHD.1 Boys (11%) were more than twice as likely as girls (4%) to have ADHD.1 Stimulants, such as amphetamine (Adderall®, Shire US Inc, Newport, KY) and methylphenidate (Ritalin SR®, Novartis Patient Assistance Program, St. Louis, MO), are commonly prescribed to treat ADHD, and in 2003 the US Centers for Disease Control and Prevention estimated that more than 50% of children with ADHD were taking medications for the condition.30

A study with 20 subjects medicated with amphetamine for behavioral disturbances showed that children taking Adderall had a statistically significant increase in the prevalence of gingival enlargement over a group of 20 healthy control subjects taking no medications.3 The test subjects were not taking phenytoin, cyclosporine, or calcium channel blockers. Studies have shown an increased risk for heart attack, stroke, arrhythmia, and hypertension related to amphetamine use.31 Physicians have been advised to monitor the blood pressure of children treated with these drugs and to prescribe hypertensive drugs, if indicated. Therefore, this group of children may be at an additional risk for gingival overgrowth if prescribed antihypertensive (calcium channel blockers) medication.

Cerebral Palsy

Guare et al32 reported that the prevalence of periodontal disease and gingival enlargement was increased in the primary dentition of children with cerebral palsy (CP). About 500,000 people in the United States have some form of CP. Each year 8,000 infants and nearly 1,500 preschool-age children are diagnosed with CP.33 The gingival overgrowth detected in the CP subjects of this study may not have been induced by any specific drug. Yet, the findings highlight that periodontal infection in medically compromised children can manifest with a measurable gingival enlargement, which may itself support a reservoir environment for further viral replication and microbial colonization. The role of periodontal infections in the pathogenesis of systemic disease remains scientifically unresolved. However, Dietrich and Gracia’s review of the literature noted observations of associations between periodontal disease and systemic disease, with or without noting specific drugs as contributing variables.34

Emotional and Psychological Effects of Gingival Overgrowth

Finally, it must be noted that the psychological and emotional impact of gingival overgrowth receives no or little attention. As increasing numbers of pediatric patients are affected by systemic disease-associated gingival overgrowth, concern should be shown for how pediatric patients interpret what is happening to them and how affected children manage difficulties associated with facial appearance (Figure 1 through Figure 4).

Facial differences can bring stigma upon children and adolescents, affect their psychosocial development, self-esteem, and quality of life.35 Because of the centrality of the face, the mouth, and a smile in human interactions, the effect of gingival overgrowth on the smiles of thousands of children cannot be minimized. Regrettably, the media and public culture place a huge value on physical appearance, which can result in a lack of opportunity for and acceptance of those who look different.36 Reports of perception of physical appearance and social alienation suggest that children with facial differences undergo serious psychological and emotional problems as a result of the feelings of isolation and powerlessness.37 Because gingival overgrowth is a visible facial feature it can be categorized as a facial difference. Therefore, by extrapolation, the studies cited35-37 support that human relationships and interaction are negatively influenced by the appearance of gingival overgrowth. Life can be only the sum of moments, and moments lost to pain and suffering that are psychological or social in nature can mean as much or more than moments lost to physical pain and suffering.

A Framework for Action

Research has led to a variety of approaches to improve periodontal health through prevention, early diagnosis, and treatment. Early diagnosis ensures the greatest chance for successful treatment. By learning how to identify and prevent periodontal conditions such as gingival overgrowth that can occur, oral health professionals can improve the overall health of infants and young children with special healthcare needs.

Currently, periodontal disease prevention programs are not being implemented in the vast majority of medical centers. Periodontal health can be raised for those affected by systemic disease-associated gingival enlargement through interdisciplinary collaboration. Awareness at all levels about the overall good prognosis of the preventive and therapeutic measures available is essential to encourage implementation of effective programs with targeted interventions. Periodontists and dental hygienists are in a unique position to reduce or eliminate the risk of gingival overgrowth in patients undergoing immunosuppression or taking other medications that are associated with gingival overgrowth.

References

1. Bloom B, Dey AN, Freeman G. Summary health statistics for U.S. children: National Health Interview Survey, 2005. Vital Health Stat 10. 2006;(231): 1-84.

2. Elinson L, Verbrugge L, Kennedy G. Considering Children with Disabilities and the State Childre’s Health Insurance Program.

1998. Available at: http://www.aspe.hhs.gov/daltcp/reports/kidbroc.htm. Accessed August 9, 2007.

3. Hasan AA, Ciancio S. Relationship between amphetamine ingestion and gingival enlargement. Pediatr Dent. 2004;26(5):396-400.

4. Varga E, Tyldesley WR. Carcinoma arising in cyclosporine-induced gingival hyperplasia. Br Dent J. 1991;171(1):26-27.

5. McLoughlin P, Newman L, Brown A. Oral squamous cell carcinoma arising in phenytoin-induced hyperplasia. Br Dent J. 1995;178(5): 183-184.

6. Trackman PC, Kantarci A. Connective tissue metabolism and gingival overgrowth. Crit Rev Oral Biol Med. 2004;15(3):165–175.

7. Ellis JS, Morgan CL, Kirby JA, et al. Plasma TGF-β1 as a risk factor for gingival overgrowth. J Clin Periodontol. 2004;31(10): 863-868.

8. Pellock JM. Understanding co-morbidities affecting children with epilepsy. Neurology. 2004;62(5 Suppl 2): 17-23.

9. Forsgren L, Beghi E, Oun A, et al. The epidemiology of epilepsy in Europe—a systematic review. Eur J Neurol. 2005;12(4):245-253.

10. Doufexi A, Mina M, Ioannidou E. Gingival overgrowth in children: epidemiology, pathogenesis, and complications. A literature review. J Periodontol. 2005;76(1):3-10.

11. Prasad VN, Chawla HS, Goyal A, et al. Incidence of phenytoin induced gingival overgrowth in epileptic children: a six month evaluation. J Indian Soc Pedod Prev Dent. 2002;20(2):73-80.

12. Seymour RA. Effects of medications on the periodontal tissues in health and disease. Periodontol 2000. 2006;(40): 120-129.

13. U.S. Organ Procurement and Transplantation Network and the Scientific Registry of Transplant Recipients Annual Report: Transplant Data 1996-2005. US Department of Health and Human Services. Available at: http://www.ustransplant.org/annual_reports/current/default.htm. Accessed August 9, 2007.

14. Oliveira Costa F, Ferreira SD, Lages EJ, et al. Demographic, pharmacologic, and periodontal variables for gingival overgrowth in subjects medicated with cyclosporin in the absence of calcium channel blockers. J Periodontol. 2007;78(2):254-261.

15. Chand DH, Quattrocchi J, Poe SA, et al. Trial of metronidazole vs. azithromycin for treatment of cyclosporine-induced gingival overgrowth. Pediatr Transplant. 2004;8(1): 60-64.

16. Nowzari H, Jorgensen MG, Aswad S, et al. Human cytomegalovirus-associated periodontitis in renal transplant patients. Transplant Proc. 2003;35(8):2949-2952.

17. Radwan-Oczko M, Boraty'nska M, Klinger M, et al. Risk factors of gingival overgrowth in kidney transplant recipients treated with cyclosporine A. Ann Transplant. 2003;8(4):57-62.

18. Ellis JS, Seymour RA, Taylor JJ, et al. Prevalence of gingival overgrowth in transplant patients immunosuppressed with tacrolimus. J Clin Periodontol. 2004;31(2):126-131.

19. Kemper MJ, Spartá G, Laube GF, et al. Neuropsychologic side-effects of tacrolimus in pediatric renal transplantation. Clin Transplant. 2003;17(2):130-134.

20. Wondimu B, Németh A, Modéer T. Oral health in liver transplant children administered cyclosporin A or tacrolimus. Int J Paediatr Dent. 2001;11(6): 424-429.

21. McKaig SJ, Kelly D, Shaw L. Investigation of the effect of FK506 (tacrolimus) and cyclosporin on gingival overgrowth following paediatric liver transplantation. Int J Paediatr Dent. 2002;12(6):398-403.

22. Wilson RF, Morel A, Smith D, et al. Contribution of individual drugs to gingival overgrowth in adult and juvenile renal transplant patients treated with multiple therapy. J Clin Periodontol. 1998;25(6):467-464.

23. Thomason JM, Seymour RA, Rice N. The prevalence and severity of cyclosporin and nifedipine-induced gingival overgrowth. J Clin Periodontol. 1993;20(1): 37-40.

24. Sorof JM, Lai D, Turner J, et al. Overweight, ethnicity, and the prevalence of hypertension in school-aged children. Pediatrics. 2004;113(3):475-482.

25. Luma GB, Spiotta RT. Hypertension in children and adolescents. Am Fam Physician. 2006;73(9):1558-1568.

26. Ogden CL, Carroll MD, Curtin LR, et al. Prevalence of overweight and obesity in the United States, 1999-2004. JAMA. 2006;295(13):1549-1555.

27. Centers for Disease Control and Prevention. Promising Practices in Chronic Disease Prevention and Control: A Public Health Framework for Action. Department of Health and Human Services Web site; 2003. Available at: http://www.cdc.gov/nccdphp/publications/PromisingPractices. Accessed on August 9, 2007.

28. Sahney S. A review of calcium channel antagonists in the treatment of pediatric hypertension. Paediatr Drugs. 2006;8(6):357-373.

29. Lauer RM, Clarke WR. Childhood risk factors for high adult blood pressure: the Muscatine Study. Pediatrics. 1989;84(4):633-641.

30. Centers for Disease Control and Prevention (CDC). Mental health in the United States. Prevalence of diagnosis and medication treatment for attention-deficit/hyperactivity disorder-United States, 2003. MMWR Morb Mortal Wkly Rep. 2005;54(34):842-847.

31. Nissen SE. ADHD drugs and cardiovascular risk. N Engl J Med 2006;354(14):1445-1448.

32. Guare Rde O, Ciampioni AL. Prevalence of periodontal disease in the primary dentition of children with cerebral palsy. J Dent Child (Chic). 2004;71(1):27-32.

33. National Dissemination Center for Children with Disabilities, NICHCY Disability Fact Sheet No. 2. Cerebral Palsy. Available at: http://www.nichcy.org/pubs/factshe/fs2.pdf. Accessed August 9, 2007.

34. Dietrich T, Gracia RI. Associations between periodontal disease and systemic disease: evaluating the strength of the evidence. J Periodontol. 2005;76(11 Suppl):2175-2184.

35. Lovegrove E, Rumsey N. Ignoring it doesn't make it stop: adolescents, appearance, and bullying. Cleft Palate Craniofac J. 2005;42(1): 33-44.

36. Strauss RP, Fenson C. "Experiencing the good life": literary views of craniofacial conditions and quality of life. Cleft Palate Craniofac J. 2005;42(1):14-18.

37. Downs AC. Perceptions of physical appearance and adolescents’ social alienation. Psychological Reports. 1990;67(3 Pt 2):1305-1306.

About the Authors

Hessam Nowzari is the Director of Advanced Periodontics, University of Southern California, Los Angeles, California.

Sandra Rich is an Associate Professor of Periodontology, University of Southern California, Advanced Periodontics, Los Angeles, California.

Figure 1  Heart transplant-associated gingival enlargement in a 16-year-old girl. Frontal view.

Figure 1

Figure 2  Heart transplant-associated gingival enlargement in a 16-year-old girl. Palatal view.

Figure 2

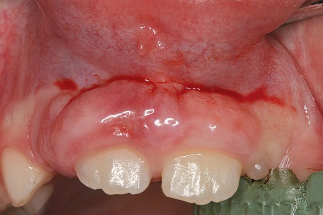
Figure 3  Chronic gingival enlargement of unknown origin in an 8-year old girl. Frontal view.

Figure 3

Figure 4  Chronic gingival enlargement of unknown origin in an 8-year old girl. Buccal view.

Figure 4

CREDITS: 0
COST: $0
PROVIDER: Conexiant Education
SOURCE: Compendium of Continuing Education in Dentistry | November 2013

Learning Objectives:

After reading this article, the reader should be able to:

  • identify systemic conditions and the pharmacological treatments for those conditions that can lead to gingival overgrowth in pediatric patients.
  • describe the mechanisms by which some pharmacological agents cause gingival overgrowth.
  • discuss the psychological as well as the physical importance of treating drug-associated gingival overgrowth in children.

Disclosures:

The author reports no conflicts of interest associated with this work.

Queries for the author may be directed to justin.romano@broadcastmed.com.