CDEWorld > Courses > Socket Preservation as a Precursor of Future Implant Placement: Review of the Literature and Case Reports

CE Information & Quiz

Socket Preservation as a Precursor of Future Implant Placement: Review of the Literature and Case Reports

Vanchit John, DDS, MSD, Robert De Poi, DDS, MSD, Steven Blanchard, DDS, MS

July/August 2011 Course - Expires Sunday, August 31st, 2014

Parkell Online Learning Center

Abstract

Dimensional changes after tooth extraction often result in bone resorption that complicates restorations with implant or traditional prostheses. Preservation of alveolar dimensions after tooth extraction is crucial to achieve optimal esthetic and functional prosthodontic results. In addition, with the increasingly frequent use of dental implants to replace nonrestorable teeth, preservation of the existing alveolus is essential to maintain adequate bone volume for placement and stabilization of the implants. Atraumatic extraction and socket preservation techniques have been introduced to minimize bone resorption after tooth extraction. This article reviews the literature, presents clinical cases on the healing of the alveolus and its dimensional changes after tooth extraction, and discusses socket preservation techniques that have been introduced to minimize these dimensional changes.

You must be signed in to read the rest of this article.

Login Sign Up

Registration on CDEWorld is free. Sign up today!
Forgot your password? Click Here!

Achieving successful dental implant–supported oral rehabilitation requires long-term biologic integration of fixtures with the surrounding tissue, as well as establishment of an ideal implant position for esthetic results. Periodontal disease, developmental defects, root fractures, abscess formation, surgical trauma, or traumatic injury may result in resorption of alveolar bone. Con­sequently, pre­servation of the original volume of the alveolar ridge is essential to meet esthetic and functional goals. The purpose of this article is to review the nature of wound healing after dental extraction and to discuss the efficacy and technique of ridge preservation procedures.

Wound Healing: Review of the Literature

Studies of healing of tooth extraction sites in humans and in animal models have documented the biological mechanisms involved and the sequence of events.1-8 Claflin5 performed early work on undisturbed healing in dogs and found the sequence of undisturbed healing to be: blood clot formation and then organization; crestal bone resorption; bone formation in the fundus of the socket; epithelization; and socket filling with bone by the 31st day. Healing of extraction sockets does not require precursor cartilaginous tissue. However, in a re­cent review of the molecular aspects of the extraction socket healing, Jahangiri and colleagues7 noted that type II and type IX collagen were expressed in the early stages of trabecular bone formation. These collagens are usually associated with cartilage formation.

Amler1 found results similar to Claflin's in a human histological and histochemical investigation of extraction sites. With undisturbed healing, initially a clot forms that fills the entire socket. Granulation tissue arises from the periphery of the socket and replaces this clot within 7 days. Immature connective tissue is noted by the fourth day, and osteoid is evident at the base of the socket by the seventh day. Epithelization occurs around the fourth day, and by the 28th day the socket is two thirds filled with bone. However, it took 100 days for the radiographic density to reach its peak, indicating that healing after extraction is slower in humans than in dogs. The size of the socket affects the rate of healing, with molars taking longer to completely form bone compared with anterior teeth. Teeth with horizontal bone loss and smaller remaining tooth diameter heal faster than teeth with wide socket dimensions. However, bone does not grow above the horizontal level of bone crest, which is the most variable wall of the socket morphology.

Pietrokovski8 investigated the type of bone that was formed in extraction sockets by histological investigation of 120 dry, human skulls that had teeth missing for at least 3 months. The study indicated that the extraction sockets were filled by dense trabecular bone, which was thicker and denser than the rest of the trabecular bone that had formed in the inner portion of the alveolar process, but less dense than the cortical plates of the jaw. Thus, a distinct porosity was noted at the crest of the residual ridge compared with the adjacent bone. Furthermore, changes in ridge shape were noted. From the occlusal aspect, the crest of the residual ridge had shifted lingually when compared with the original position of the teeth before extractions. From the lateral aspect, the residual ridge often formed a concavity between the alveolar crests of adjacent remaining teeth that was more pronounced when more than one tooth was missing.

Radiographic evaluations of alveolar ridge dimensions by Johnson6,9 have shown that there was a loss of height and width when comparisons were made between the bone levels at the time of tooth extraction compared with that seen 12 months later. The reduction in width was generally greater than the reduction in height when patients were treated with an immediate denture. In a 7-year longitudinal study of positional changes of complete dentures, Tallgren10 also found that the greatest reduction of the residual ridge occurs in the early postextraction healing period, from 6 months to 2 years.

Atwood and Coy2,3 performed a clinical, cephalometric, and densitometric study of anterior residual ridges in 76 edentulous patients with varying periods of time since extraction. They were able to show that, while reduction of residual ridge height and shape after extraction was almost universal, individual variations were wide, with resorption not measurable in 23% of the subjects, and only 1 mm/year in another 20%. They found that the rate of ridge resorption was 4 times greater in the maxilla than the mandible.2 On average the rate of anterior resorption was 0.1 mm/year in the maxilla and 0.4 mm/year in the man­-d­ible, leading to 0.5 mm/year of lost ridge height. Thus, while the size of the residual ridge is reduced most rapidly in the first 6 months, bone resorption activity continues at a slower rate throughout life.11

It has been proposed that this bone resorption may result from anatomic, prosthetic, metabolic, and functional factors.7 Misch and colleagues12 speculated that the loss of crestal bone height and labial plate after tooth extraction is due in part to the constriction of the blood clot within the alveolus and the thin labial cortical plates remodeling in response to inadequate blood supply after the extraction. The sequelae then of tooth extraction may result in 40% to 60% loss of bone height and width within 2 to 3 years.13 The localized ridge deformity is even more severe if the buccal alveolar plate of bone has been destroyed, either by disease or the trauma of extraction. Similarly, this is most likely due to the elimination of the 4-walled socket and loss of protection for the blood clot.14

Mecall and Rosenfeld15 confirmed that this resorption of the residual ridge, mainly from the labial direction, can lead to a compromise in position of the implant fixture. In fact, Spray and colleagues16 have confirmed the need for adequate facial bone thickness after placement of dental implants to minimize facial bone height loss. In a review of 3061 implants placed in 32 Veteran Affairs Medical Centers, they endeavored to determine a "critical thickness" of facial bone at which no change or bone gain occurred after implant placement. They determined the thickness to be 2 mm. When the remaining facial plate was less than 2 mm after implant placement, vertical bone loss occurred at a greater frequency. Those implants with >3 mm vertical bone loss had a mean facial bone thickness of 1.3 mm at insertion.

Therefore, several procedures have been suggested to maintain adequate width and height of the alveolar ridge after extraction. The aim of ridge preservation procedures is to prevent jawbone atrophy and maintain adequate height and width of bone for the successful placement of implants.17 While there are few contraindications to a ridge preservation procedure, other than acute infection at the time of extraction, the procedures are most indicated where unassisted alveolar socket healing is likely to result in poor ridge morphology and where esthetics or bone volume are critical. This would require filling the extraction socket with new bone, which would provide a firm vascular base upon which secondary soft tissue grafts and/or implant fixtures could be placed if required.

The principles of guided tissue regeneration and the minimally traumatic removal of teeth and protection of the blood clot have been applied to socket preservation procedures. One method of achieving this is by using an ex­panded polytetrafluoroethylene (ePTFE) membrane after extraction. The membrane maintains the space for the initial clot, protecting it during organization, and prevents non–bone-forming connective tissue and epithelium from invading the extraction socket. This enables skeletal connective tissue to fill the alveolus and for bone to be formed in the socket. Stabilization of the wound has been shown to be an important aspect of periodontal repair and may be important for healing extraction sites as well.18

This concept was tested by Dahlin and colleagues19 by surgically creating standardized defects on both sides of the jaws of 5-month-old rats. The defects on the right side were covered bucally and lingually with an ePTFE membrane extending 2 mm to 3 mm beyond the margins of the defects. The defects on the left side were allowed to heal without any membranes and served as controls. By 6 weeks all the defects that had received a membrane had completely healed by bone fill. None of the control sites had healed at 22 weeks.

Lekovic and coinvestigators20 performed a controlled study of 10 patients who required 2 or more anterior teeth extractions. Extraction procedures were carried out with a full thickness surgical flap approach and the teeth removed with a minimum of trauma to the surrounding bone. After extraction, silicone-based impression techniques were used to produce a model of the alveolar process. Small metal pins were placed in the alveolus to be used as fixed points to make measurements of ridge dimensions. One socket was covered with an ePTFE barrier membrane (experimental site), then the soft-tissue flaps were mobilized using a periosteal releasing incision and the wound closed. The other socket (control site) was closed with primary intention, but without a membrane. Six months after extraction, the sites were reentered to remove the ePTFE membranes and measure ridge dimensions using the pins as fixed points. Both clinical and model measurements showed statistically significant better ridge dimensions at experimental sites than at control sites. There was greater loss of both alveolar bone height and width in the control sites. Three patients had experimental sites with exposed membranes. These sites had di­men­sional changes similar to those in the control sites. Results from this study suggest that use of an ePTFE mem­brane to stabilize the blood clot and isolate it from epithelial elements offers predictable alveolar ridge maintenance, enhancing the bone quality for dental implant procedures and esthetic restorative dentistry. However, when the membrane was ex­posed, no difference between experimental and control sites was noted.

The study was then repeated using bioabsorbable membrane to reduce the complication of exposure of nonresorbable membranes.21 In this study no membrane became exposed in the course of healing. Reentry surgeries were performed at 6 months, and the results showed that experimental sites presented with significantly less loss of alveolar bone height, more internal socket bone fill, and less horizontal resorption of the alveolar bone ridge. While some degree of alveolar loss was observed for all dimensions in experimental and control groups, the experimental sites presented with 1.12 mm less vertical resorption of the alveolar ridge and 1.87 mm more socket bone fill compared with control sites. Changes in horizontal dimensions of the alveolar ridge were more accentuated, with experimental sites losing an average of 3.43 mm less than control sites. Because the experimental group maintained a ridge approximately 6 mm wide, while the control group measured a ridge width of approximately 3 mm, the result was considered significant regarding the ease of later implant placement. Therefore, a ridge preservation procedure at the time of extraction may significantly facilitate implant placement in the future, especially for anterior teeth with thin remaining facial plates of bone.

Artzi and Nemcovsky used deproteinized bovine bone mineral (DBBM) as a socket site filler material to maintain ridge configuration, without applying an occlusive membrane.22 The material was grafted and packed into the socket sites immediately after extractions, and subsequently primary soft-tissue closure was attempted. The ridge healed for 9 months before the second surgical procedure, in which the implant was placed. New bone formation was observed in all histological specimens. DBBM particles adhered to a lamellar-type, highly osteocyte-rich, woven bone. Clinically and histologically, this case report demonstrated DBBM particles to be an effective biocompatible filler agent in extraction sockets for ridge preservation before titanium fixture implantation.

Becker and colleagues23 compared extraction socket healing in 8 patients after implantation with either xeno­genic bovine bone (n=5 sites), demineralized freeze-dried bone allograft (DFDBA) (n=3 sites), autologous bone (n=3 sites), or human bone morphogenetic proteins in an osteocalcin/osteonectin carrier, human bone morphogenetic protein/noncollagenous proteins (hBMP/NCP) (n=2 sites). Three of the patients received 6 commercially pure micro­screws that were fixed into extraction sockets, after which the sockets were implanted with either bovine bone (n=3 sites), DFDBA (n=2 sites), or intraoral autologous bone (n=1 site). Biopsies of the extraction sockets were taken from 3 to 6 months after treatment (average, 4.6 months). Biopsies from bovine bone sockets and DFDBA-implanted sites revealed dead implanted particles surrounded by connective tissue. However, biopsies from sites implanted with hBMP/NCP revealed a combination of woven and lamellar bone. Five of the 6 microscrews were processed and evaluated. Sockets with microscrews im­planted with bovine bone (n=2) or DFDBA (n=2) showed a connective tissue interface between the screws and the surrounding tissues. The screw implanted with intraoral autologous bone was primarily surrounded by vital bone with a connective tissue interface. Three implant threads were in contact with bone.

The results of this study indicate that bovine bone, DFDBA, and intraoral autologous bone do not promote extraction socket healing. Sockets implanted with hBMP/NCP contained vital woven and lamellar bone. Xenogenic bovine bone and DFDBA did not contribute to bone-to-microscrew contacts. Intraoral autogenous bone also did not appear to contribute significantly to bone-to-implant contacts. In fact, intraoral autologous bone, xeno­genic bone, and DFDBA appeared to interfere with nor­mal extraction socket healing, although the authors observed that the grafts did seem to maintain ridge width.

In contrast, Brugnami and colleagues24 evaluated new bone formation in human extraction sockets treated with DFDBA and cell occlusive membranes in 7 sites in 6 patients 14 weeks to 13 months after extraction and grafting. Histological analysis revealed that all samples showed all particles of DFDBA well incorporated within new bone, which exhibited osteocyte-containing lacunae. Distinct cement lines clearly demarcated the DFDBA particles from the surrounding, intimately apposed woven and lamellar bone. There was also a notable lack of fibrous encapsulation of the allograft. These findings seem to demonstrate that commercially available DFDBA has the potential to function physically as a nidus for appositional new bone growth in alveolar sockets after tooth extraction.

An alveolar extraction technique that does not involve elevation and advancement of buccal flaps would make the extraction and ridge preservation procedure simpler and less traumatic. To this end Camargo and colleagues25 evaluated the clinical effectiveness of a bioactive glass used as a graft material combined with calcium sulfate used in the form of a mechanical barrier in preserving alveolar ridges after tooth extraction. Sixteen patients who required extraction of 2 anterior teeth or bicuspids participated in the split-mouth design study. After tooth extraction and elevation of a buccal full-thickness flap, experimental sockets were filled with bioactive glass, which in turn were covered with a layer of calcium sulfate. Control sites did not receive any graft or calcium sulfate. Titanium pins served as fixed reference points for measurements. No attempt was made to advance the flap to cover the socket areas in control or experimental sites (open socket approach).

Reentry surgeries were performed at 6 months and showed that experimental sites presented with significantly more internal socket bone fill, less resorption of alveolar bone height, but a similar degree of horizontal resorption of the alveolar bony ridge as compared with control sites. This study suggests that treatment of extraction sockets with a combination of bioactive glass and calcium sulfate is of some benefit in preserving alveolar ridge dimensions after tooth extraction, although the benefit in preservation of alveolar ridge width was not as effective as with the use of ePTFE or resorbable membranes.20,21

Landsberg and Bichacho26 presented a "socket seal surgery" procedure that, when coupled to a modified prosthetic approach, was aimed at obtaining an optimal functional and esthetic result for anterior dental implants.27 This technique involved minimally traumatic removal of the tooth; curettage and decortication of the socket walls; and de-epithelization of the gingival socket walls before bone grafting with DFDBA. They then sutured a thick, free gingival graft over the socket as the barrier. The advantage of this technique was reportedly the avoidance of flap manipulation, minimizing soft-tissue changes after surgery.

Another approach to primary closure of the socket without advancing buccal flaps has been to use a palatal split-flap procedure. In this procedure the palatal flap is split in 2 with the deeper flap becoming pediculated and rotated over the extraction site. Nemcovsky and Serfaty28 reported on 23 consecutive cases of maxillary anterior tooth extraction and alveolar ridge preservation combining the use of nonresorbable hydroxyapatite (HA) grafting and the palatal split-flap procedure. Follow-up at 12 to 24 months showed that ridge dimensions decreased vertically, with a mean of 1.4 mm, and from the buccal aspect, on average, 0.6 mm (range 0-2 mm). This seemed a predictable procedure, but the use of nonresorbable HA is not indicated in areas where implants are proposed. Instead, a resorbable bone graft material should be used.

An electronic search of the literature from 1966 to the present revealed a paucity of standardized, evidence-based data on socket preservation techniques. Studies by Lekovic and colleagues20,21 and Camargo and colleagues25 are the only papers reporting standardized changes in socket dimensions after healing that included ungrafted controls. The results of their studies are summarized in Table 1. Much of the histological data reported on socket preservation techniques are from case reports and only provides a histological description of healing from trephined cores. While this information is useful, it fails to permit a comparison of healing among the various reports because of the lack of standardized measurements. Studies by Becker and colleagues,23 Artzi and colleagues,29 Smukler and colleagues,30 and Froum and colleagues31 used standardized measurements to quantify histological healing. The results of 3 of these studies are reported in Table 2. The results of the study by Becker and colleagues have not been included because a different bone-scoring system was used, making comparison difficult. Clearly, more evidence-based studies on socket preservation techniques are needed.

Case Reports

Case 1: Extraction Without Socket Preservation

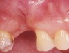
The patient was a 50-year-old woman who needed to have tooth No. 3 removed, as it was deemed unrestorable. No socket preservation was planned before the extraction of the tooth. The tooth was extracted using forceps and elevators (Figure 1A). At the time of the extraction, it was noted that a portion of the buccal plate of bone was also removed. After a period of healing, a significant concavity was present, due to buccal loss of bone (Figure 1B and Figure 1C). The treatment in such a case usually requires additional grafting to compensate for a lack of bucco-lingual width before completing implant-supported restorations.

Case 2: Extraction with Socket Preservation

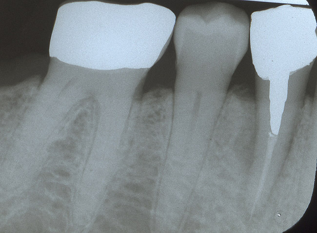
The patient was a 65-year-old healthy man who was referred for a periodontal evaluation of tooth No. 28. The patient presented with the chief complaint of pain and swelling in the lower right side of his mandible. Clinical examination revealed deep probing depth primarily (9 mm) on the distal-facial aspect of tooth No. 28. The tooth presented with grade 2 mobility. A periapical radio­graph of the tooth revealed the presence of a radiolucent appearance that was more significant at the midroot level (Figure 2A). The prognosis was determined to be "hopeless" because of a root fracture.

The patient was scheduled for extraction of the tooth, along with socket preservation. After extraction, the socket was curetted. Bone loss on the buccal aspect as a result of infected tissue was noted (Figure 2B). After socket curettage, the socket was grafted using a combination of freeze-dried bone allograft combined with a calcium sulfate bone graft barrier (Figure 2C). The patient was placed on antibiotic and anti-inflammatory medications. Six months after the socket preservation procedure, the site was prepared for implant placement. At the time of implant placement, a core of bone was harvested from the socket preservation site and analyzed histologically (Figure 2D and Figure 2E).

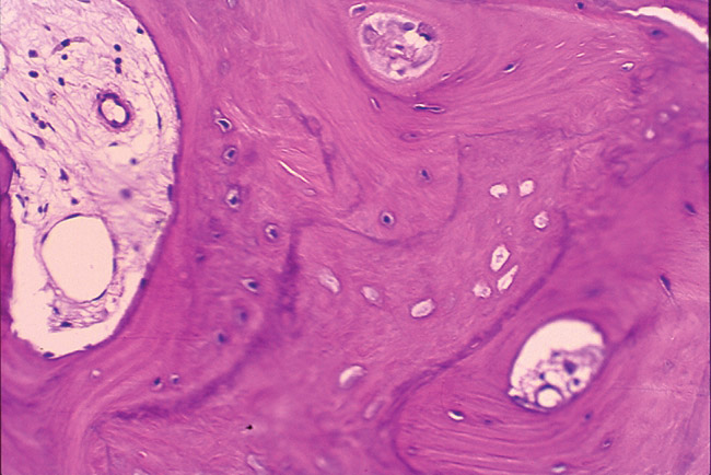
The histology report included the presence of viable bone consisting of anastomosing trabeculae surrounding Haversian systems. The Haversian systems contain connective tissue with variably sized, endothelial-lined vascular spaces. The bone formation is primarily lamellar. Osteocytes are present within the lacunae. Abundant fibrous connective tissue is present at the periphery of this soft-tissue specimen, and woven bone is observed in the dense connective tissue. Fragments of calcified debris are admixed with the periphery of this decalcified specimen. The viable bone exhibits prominent resting and reversal lines. A diagnosis of viable sclerotic bone was made.

Implant placement was completed uneventfully, and after a healing period of about 3 months the implant was restored. The patient's tooth has been restored for about 5 years (Figure 2F).

Case 3: Extraction with Socket Preservation

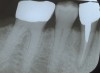
The patient was a 55-year-old woman referred for evaluation of tooth No. 30 (Figure 3A). The tooth presented with a fractured root and was deemed nonrestorable. After a full thickness flap elevation, tooth No. 30 was extracted using an elevator and forceps. It was decided to preserve the socket because the site was planned to have an implant-supported restoration. The socket was grafted using freeze-dried bone allograft mixed with CAPSET (calcium sulfate bone graft barrier).a The socket was allowed to heal for 4 months (Figure 3B). After the healing period, the patient was scheduled to have an implant placed (Figure 3C). At the time of placement, it was noted that the bone appeared to be dense and firm to the touch. The implant was placed uneventfully (Figure 3D) and was successfully restored after a 3-month healing period. The patient has been followed for over 3 years and is functioning well using the implant-supported restoration.

Cases 2 and 3 illustrate the authors' current protocol for socket preservation, which includes atraumatic tooth extractions using periotomes and elevators as required. After the extraction, the socket wall is checked to evaluate the width of the bone. Typically when the bone is thin (< 2 mm on the buccal and lingual aspects), the socket is preserved using a combination of a freeze-dried bone graft material and a protective membrane. The choice of bone grafting materials and membranes may vary and the individual practitioner may have a particular combination that is most successful. Evidence from routine clinical practice indicates that socket preservation significantly benefits maintenance of ridge dimensions and ultimately the successful completion of implant-supported restorations.

Conclusion

After dental extraction, a well-characterized process of wound healing occurs that may result in loss of ridge dimensions, compromising ideal implant replacement. The greater the available bone, the larger the implant width and length that can be used, resulting in better cervical esthetics, prognosis, and ease of oral hygiene procedures. Socket preservation procedures at the time of tooth extraction improve the prognosis regarding maintenance of the width and height of remaining bone. Grafting at the time of extraction takes advantage of the regional acceleratory phenomenon that is induced by the trauma of extraction leading to a reduced healing time.32 Evidence from current research, then, indicates that socket preservation can lead to more successful implant-supported restorations, with reduced treatment time overall; however, additional controlled studies in this area are needed.

References

1. Amler MH, Johnson PL, Salman I. Histological and histo-chemical investigation of human alveolar socket healing in undisturbed extraction wounds. J Am Dent Assoc. 1960;61:32-44.

2. Atwood DA, Coy WA. Clinical, cephalometric, and densitometric study of reduction of residual ridges. J Prosthet Dent. 1971;26:280-295.

3. Atwood DA. Post-extraction changes in the adult mandible as illustrated by microradiographs of mid-sagittal sections and serial cephalometric roentgenographs. J Prosthet Dent. 1963;13:810-824.

4. Mangos JE. The healing of extraction wounds. NZ Dent J. 1941;37:4-22.

5. Claflin RS. Healing of disturbed and undisturbed extraction wounds. J Am Dent Assoc. 1936;23:945-959.

6. Johnson K. A study of the dimensional changes occurring in the maxilla following tooth extraction. Aust Dent J. 1969;14:241-244.

7. Jahangiri L, Devlin H, Ting K, et al. Current perspectives in residual ridge remodeling and its clinical implications: a review. J Prosthet Dent. 1998;80:224-237.

8. Pietrokovski J. The bony residual ridge in man. J Prosthet Dent. 1975;34:456-462.

9. Johnson K. A study of the dimensional changes occurring in the maxilla following closed face immediate denture treatment. Aust Dent J. 1969;14:370-376.

10. Tallgren A. Positional changes of complete dentures: a 7-year longitudinal study. Acta Odontol Scand. 1969;27:539.

11. Carlsson GE, Bergman B, Hedegard B. Changes in contour of the maxillary alveolar process under immediate dentures. Acta Odontol Scand. 1967;25:45-75.

12. Misch CE, Dietsh-Misch F, Misch CM. A modified socket seal surgery with composite graft approach. J Oral Implantol. 1999;25:244-250.

13. Ashman A. Ridge preservation: important buzzwords in dentistry. Gen Dent. 2000;48:304-312.

14. O'Brien TP, Hinrichs JE, Schaffer EM. The prevention of localized ridge deformities using guided tissue regeneration. J Perio­dontol. 1994;65:17-24.

15. Mecall RA, Rosenfeld AL. Influence of residual ridge resorption patterns on implant fixture placement and tooth position. 1. J Periodontics Restorative Dent. 1991;11:8-23.

16. Spray JR, Black CG, Morris HF, et al. The influence of bone thickness on facial marginal bone response: stage 1 placement through stage 2 uncovering. Ann Periodontol. 2000;5:119-128.

17. Denissen HW, Kalk W, Veldhuis HA, et al. Anatomic consideration for preventive implantation. Int J Oral Maxillofac Implants. 1993;8:191-196.

18. Wikesjö UM, Nilvéus R. Periodontal repair in dogs: effect of wound stabilization on healing. J Periodontol. 1990;61:719-724.

19. Dahlin C, Linde A, Gottlow J, et al. Healing of bone defects by guided tissue regeneration. Plast Reconstr Surg. 1988;81:672-676.

20. Lekovic V, Kenney EB, Weinlaender M, et al. A bone regenerative approach to alveolar ridge maintenance following tooth extraction. Report of 10 cases. J Periodontol. 1997;68:563-570.

21. Lekovic V, Camargo PM, Klokkevold PR, et al. Preservation of alveolar bone in extraction sockets using bioabsorbable membranes. J Periodontol. 1998;69:1044-1049.

22. Artzi Z, Nemcovsky CE. The application of deproteinized bovine bone mineral for ridge preservation prior to implantation. Clinical and histological observations in a case report. J Periodontol. 1998;69:1062-1067.

23. Becker W, Clokie C, Sennerby L, et al. Histologic findings after implantation and evaluation of different grafting materials and titanium microscrews into extraction sockets: case reports. J Periodontol. 1998;69:414-421.

24. Brugnami F, Then PR, Moroi H, et al. Histologic evaluation of human extraction sockets treated with demineralized freeze-dried bone allograft (DFDBA) and cell occlusive membrane. J Periodontol, 1996;67:821-825.

25. Camargo PM, Lekovic V, Weinlaender M, et al. Influence of bioactive glass on changes in alveolar process dimensions after exodontia. Oral Surg Oral Med Oral Pathol Oral Radiol Endod. 2000;90:581-586.

26. Landsberg CJ, Bichacho N. A modified surgical/prosthetic ap­proach for optimal single implant supported crown. Part I–The socket seal surgery. Pract Periodontics Aesthet Dent. 1994;6:11-17.

27. Bichacho N, Landsberg CJ. A modified surgical/prosthetic ap­proach for an optimal single implant-supported crown. Part II. The cervical contouring concept. Pract Periodontics Aesthet Dent. 1994;6:35-41.

28. Nemcovsky CE, Serfaty V. Alveolar ridge preservation following extraction of maxillary anterior teeth. Report on 23 consecutive cases. J Periodontol. 1996;67:390-395.

29. Artzi Z, Tal H, Dayan D. Porous bovine bone mineral in healing of human extraction sockets. Part 1: histomorphometric evaluations at 9 months. J Periodontol. 2000;71:1015-1023.

30. Smukler H, Landi L, Setayesh R. Histomorphometric evaluation of extraction sockets and deficient alveolar ridges treated with allograft and barrier membrane: a pilot study. Int J Oral Maxillofac Implants. 1999;14:407-416.

31. Froum S, Cho SC, Rosenberg E, et al. Histological comparison of healing extraction sockets implanted with bioactive glass or demineralized freeze-dried bone allograft: a pilot study. J Perio­dontol. 2002;73:94-102.

32. Frost HM. The regional acceleratory phenomenon: a review. Henry Ford Hosp Med J. 1983;31:3-9.

Figure 1a  Tooth No. 3 was extracted. At the time of extraction, it was noted that a portion of the buccal alveolar plate was attached to the roots of the tooth.

Figure 1a

Figure 1b  Occlusal view of the alveolar ridge after extraction of tooth No. 3. This site will require ridge augmentation before placement of a dental implant–supported restoration.

Figure 2

Figure 1c  Buccal view of the alveolar ridge after extraction of tooth No. 3.

Figure 1c

Figure 2a  A periapical radiograph of the tooth revealed the presence of a radiolucent appearance that was more significant at the midroot level. A root fracture was evident after flap elevation.

Figure 2a

Figure 2b  After extraction of the tooth, the socket was curetted. It was noted that there was bone loss on the buccal aspect because of the presence of infected tissue.

Figure 2b

Figure 2c  The socket was grafted using a combination of freeze-dried bone allograft and a calcium sulfate bone graft barrier.

Figure 2c

Figure 2d  The histology report included the presence of viable bone consisting of anastomosing trabeculae surrounding Haversian systems

Figure 2d

Figure 2e  The bone formation is primarily lamellar. Osteocytes were present within the lacunae. Woven bone was observed in the dense connective tissue. Fragments of calcified debris are admixed with the periphery of this decalcified specimen. The viable bone exhibits prominent resting and reversal lines. A diagnosis of viable sclerotic bone was made.

Figure 2e

Figure 2f: Implant placement was completed uneventfully, and after a healing period of about 3 months the implant was restored.

Figure 2f

Figure 3a  Tooth No. 30 presented with a fractured root deemed nonrestorable.

Figure 3a

Figure 3b  The socket was grafted using freeze-dried bone allograft mixed with CAPSET. The socket was allowed to heal for 4 months.

Figure 3b

Figure 3c  After the healing period, the patient had an implant placed.

Figure 3c

Figure 3d  The implant was placed uneventfully and was successfully restored after a 3-month healing period.

Figure 3d

Learning Objectives:

After reading this article, the reader should be able to:

  • describe the normal healing sequence of the alveolus after tooth extraction.
  • explain the dimensional changes that can occur after tooth extraction.
  • discuss the various grafting materials that may be used to preserve alveolar dimensions after tooth extraction.

Disclosures:

The author reports no conflicts of interest associated with this work.

Queries for the author may be directed to justin.romano@broadcastmed.com.