CDEWorld > Courses > Oral Health Means More Than Just Healthy Teeth

CE Information & Quiz

Oral Health Means More Than Just Healthy Teeth

Belinda Waldo, DMD

June 2009 Issue - Expires Saturday, June 30th, 2012

Inside Dental Assisting

Abstract

Dental practitioners have witnessed a decrease in caries among their patients over the past 30 years due to preventive measures and fluoridation. Yet rampant caries exists among specific groups, such as children, young adults, elderly patients, and individuals living below the poverty level. This article will explore the relationship between unhealthy eating and drinking habits and the development of multiple morbidities including obesity, type 2 diabetes, caries, and dental erosion. The power that education and counseling have on the health of patients is emphasized.

You must be signed in to read the rest of this article.

Login Sign Up

Registration on CDEWorld is free. Sign up today!
Forgot your password? Click Here!

American dental practitioners have witnessed a decrease in caries over the past 30 years because of water fluoridation, sealants, and fluoridated toothpastes.1 However, rampant caries remains a problem in specific groups: children, young adults, elderly patients, and individuals living below the poverty level.1 Although challenging, the dental profession must deliver this message to diverse patient groups and establish caries prevention programs to meet their specific needs and treat their disease. Most dentists agree that diligent home care, fluoride application, healthier eating habits, and limiting sugar intake are essential elements for oral health in all patients; however, some population groups require more emphasis on one or more of these components to prevent dental caries.

Most dentists learned in dental school that caries is a multifactorial, chronic disease and that its severity is modified by factors such as oral bacteria, saliva, oral hygiene, sugar intake, diet, fluoride exposure, and genetics. Dentists restore their patients’ teeth, provide a preventive oral health plan, and schedule their patients for regular check-ups, but they also should educate their patients on the impact of diet on the progression of caries and overall health. This article explores the relationship between unhealthy eating and drinking habits and the development of multiple morbidities, including obesity, type 2 diabetes, caries, and dental erosion. The power that education and counseling have on the diet and health of patients is emphasized.

Ask Your Patient, "Where Do Dental Cavities Come From?"

Would your patients believe that dental caries, one of the most common of all diseases, is a preventable, transmissible, infectious disease? Do young mothers know that bacteria in their mouths are transmitted to their infants’ teeth, and that if they have active caries they can transfer cariogenic microbes to their babies’ teeth?2 Teaching patients about their disease means educating patients with an approach that includes diet counseling and the impact that frequency of sugar intake has on caries risk. Caries prevention and treatment should also include age- and needs-specific fluoride regimens, brushing and flossing instruction, and regular check-ups.

Sugar Consumption: How Important is the Frquency?

The Vipeholm dental caries study3 conducted in the 1950s established the association between the frequency of carbohydrate intake and caries activity; a more frequent exposure to sugar between meals increased caries activity and a higher number of decayed, missing, or filled (DMF) teeth when compared with sugar consumed at a meal. Ismail and colleagues4 showed that frequency of food intake had an important role in determining the cariogenic potential; daily between-meal consumption of three or more soft drinks was associated with a 179% increase in the odds of having a high DMF score and meal-time consumption of soft drinks was not consistently associated with high DMF scores. Others have shown that high sugar intake,5,6 dietary sequence, and the frequency and form of carbohydrate intake have a important role in caries expression.7

Sugar, Calories, Soda, Obesity, and Type 2 Diabetes: Are They Related?

Annual consumption of soft drinks has increased 500% in the past 50 years8 and consumption patterns show that children, teens, and young adults are the main consumers.9 On any given day, 73% of adolescent boys and 62% of adolescent girls consume soft drinks.10 Because soft drinks are the leading source of added sugar in the diets of adolescents, the American Academy of Pediatrics has recommended reducing soft drink consumption and banning sales of soft drinks in school vending machines.11 The US Department of Agriculture advises people who eat a 2,000-calorie diet to limit themselves to about 10 teaspoons of added sugar per day.

Several studies have found a positive association between sugar-sweetened beverages (SSB) and the incidence of obesity in children.12,13 Ludwig et al13 showed that the odds ratio of becoming obese among children increased 1.6 times for each additional can of SSB consumed. Others have shown in a cross-sectional study that children with the highest level of SSB intake had the highest energy intake and gained the most weight.10 A recent meta-analysis14 of soft drink consumption and nutrition found a convincing and significant positive association between soft drink intake, increased energy intake, and body weight. The authors of the analysis noted that, “given the multiple sources of energy in a typical diet, it is noteworthy that a single source of energy can have such a substantial impact on total energy intake. This finding alone suggests that it would be prudent to recommend decreases in soft drink consumption.” From these studies, it is clear that one of the consequences of excessive soda drinking is excessive caloric intake.

Other studies have established the positive association among soft drink intake, weight gain, and obesity among adults. An 8-year prospective study of 91,249 nurses demonstrated a significant association between excessive caloric intake from soda and both the development of obesity and type 2 diabetes.15 Over a 4-year period, weight gain was highest among women who increased their SSB intake and smallest among women who decreased their intake. The relative risk of type 2 diabetes was 1.83 among women consuming one or more SSB per day when compared with those consuming less than one. The study also showed that weight gain was more dramatic for soft drinks than fruit juices. Women with higher intakes of soda tended to be less active, smoke more, and have higher intakes of total energy. Current evidence strongly suggests that SSB intake is a marker of an unhealthy lifestyle and increases the risk of obesity and type 2 diabetes.16

Obesity and Skipping Breakfast

Obesity is the most prevalent health problem facing children in the United States; one in five American children are now overweight.1 Contributors to obesity include consumption of high caloric-density foods, meals away from home, snacks, and SSBs, as well as reduced physical activity. A 2006 review of 30 studies (15 cross-sectional, 10 prospective cohort, and five experimental) showed that in children and adults a higher consumption of SSBs was associated with weight gain and obesity.17 Malik et al17 concluded that “public strategies to educate people about the relationship between beverage intake and increased weight gain and diabetes should be made a priority.”

Studies have shown that adolescents who skip breakfast have a higher body mass index (BMI).18,19 Skipping breakfast may lead to imbalanced eating later in the day and consumption of snack foods with high caloric value. Emphasis should be placed on establishing daily breakfast habits, especially among children and adolescents when behavior patterns are developing. Dental professionals and pediatricians are well-positioned to offer healthy eating advice that should include eating breakfast, eating five servings of fruits and vegetables daily, and limiting sugar intake.

What’s in a Soft Drink?

The potentially harmful effects of soft drinks are related to the excessive consumption of sugar, caffeine, acid, and calories and their subsequent effects on weight, teeth, and bones. A 20-oz can of soda contains 16 teaspoons of sugar, 250 calories, and 91 mg of caffeine, plus it has a pH of 3 (or lower) and contains no minerals, vitamins, or calcium.

Milk vs Soda

Calcium is essential to the development of healthy bones and teeth, and young children require a proportionally greater calcium intake during their growing years for strong bone development. Milk is the principle source of calcium and vitamin D.20 By 18 years of age, women accumulate most of their skeletal bone mass and density.21 Peak bone mass is a key determinant of osteoporosis in later life, and less than optimal bone formation increases the risk of bone fracture later in life. Diminished calcium intake jeopardizes bone density and significantly increases the risk of osteoporosis. Research by Wyshak22 has shown a high correlation between bone fractures and carbonated cola beverage intake among physically active girls. Although the mechanism has not been defined, it is suspected that the phosphoric acid in cola drinks may chelate dietary calcium, preventing gastrointestinal absorption.

Choosing a soft drink means rejecting another beverage, and for many children soda has displaced milk in their diet. Today’s students consume twice as much soda as milk.23 The consequence of drinking a beverage with no nutritional value is lower daily protein, calcium, magnesium, phosphorus, and vitamin intakes.12 Children and adults fail to reduce consumption of solid foods to compensate for the calories in soft drinks, and higher daily energy intakes and lower nutrient intakes have been observed among soda drinkers. Calories added to the typical diet with no increase in physical activity can lead to a weight gain of 15 lb per year with a single 12-oz can ingested daily.16

Caffeine in Beverages Consumed by Children

Caffeine, a central nervous stimulant and mildly addictive drug, is added to many beverages, soft drinks, energy drinks, teas, fitness drinks, and foods. Consumers have a right to know how much caffeine is present in a food or beverage. Caffeine is metabolized more slowly in children, with the effect of the drug more pronounced and prolonged. A study of seventh to ninth graders (191 students) found 18% of the students consumed 100 mg or more of caffeine per day, with the average daily caffeine intake at 52 mg.24 Side effects noted among the children were excessive urination, inattentiveness in school because of inability to sleep at night, and disruption of the nightly sleep cycle.24

The US Food and Drug Administration (FDA) limits the amount of caffeine in carbonated beverages to 0.02% caffeine, 6 mg/oz, or 72 mg in a 12-oz beverage. Nutrition labels are required to list caffeine as an ingredient only, not the caffeine content. In 2007, soft drink manufacturers voluntarily agreed to disclose the exact amount of caffeine in each serving so consumers would know the exact amount of caffeine present in each beverage. Individuals who should limit their caffeine consumption include pregnant women,25 children,26 and people with insomnia, hypertension, and anxiety conditions. Withdrawal symptoms have been observed for individuals ceasing intake of as low as two cans of caffeinated sodas per day.26

A new product on the market, the energy drink, is marketed as a “healthier” alternative to soft drinks. Many young individuals are selecting these beverages; their popularity is evident from the growth in sales. They are advertised as energy boosting or performance drinks and they consist mainly of sugar, water, caffeine, a variety of vitamins, herbals, and putative energy-boosting compounds, such as ginseng, gingko, taurine, and amino acids. They are marketed to enhance performance, concentration, stimulate metabolism, and provide hydration. Another product that has increased in popularity is the “vitamin-enhanced water” drink, a beverage consisting mainly of water with additives, such as vitamins, herbals, and caffeine. The FDA does not regulate the caffeine content of energy drinks, teas, or cold coffee beverages, and caffeine content can extend upward to 160 mg in a 16-oz drink, well above the maximum legal limit for soft drinks. The health risk of such beverages should be scrutinized carefully.

Cariogenicity of Soft Drinks and Damage from pH-Induced Erosion

The cariogenicity of a food or drink depends on multiple factors: food form (liquid, solid, sticky), frequency of consumption, sequence, and combination of other foods ingested. A direct causative association between caries and soft drink consumption cannot be determined with consistent results.4,7 The caries-producing potential of a food cannot be determined in isolation without considering co-ingested food, fluoride exposure, and other factors. Studies3,4 have shown that the cariogenicity of sugary foods and drinks was higher when consumed between meals when compared with consumption during a meal. Zero27 stated in 2004 that “fluoride has raised the threshold of sugar intake at which caries will progress to cavitation, but fluoride has its limits and caries remains a serious problem for disadvantaged individuals in many industrialized countries.”

Many patients do not consider the risk of commercial beverages and are unaware of their potential to damage teeth. Most commercial beverages are acidic and range from pH 2.5 for cola drinks, to 2.8 for iced tea and sports drinks, to 3.2 for non-cola drinks, to 3.3 for energy drinks.28,29 Damage from erosion can occur on enamel and dentin, and the percentage of loss increases with exposure time.28,29 Patients who sip all day should be made aware of the risks of prolonged exposure of teeth to acidic beverages. The optimal neutral pH of the oral cavity is 6.5 to 7.4;30 the threshold pH for caries development is 5.5, and dentin erosion occurs at a pH of 6.0.

The erosive potential is dependent on a number of beverage factors: composition, retention to enamel, the type and strength of acid or acids, pH value, the total or titrable acid level, calcium chelating properties, calcium and phosphate content, and the buffering capacity of the beverage.31-33 A study by Jain and colleagues29 suggested that pH alone is not predictive of the erosion potential. Patient factors that modify erosion include frequency of consumption, method of drinking, fluoride exposure, salivary pellicle, salivary buffering capacity, and salivary flow.34 Von Fraunhofer and Rogers28 showed that non-cola drinks, commercial lemonades, and energy and sports drinks exhibited more aggressive dissolution of enamel (P < .05) than black tea and cola drinks. Jensdottir et al35 showed that several properties have an impact on the erosive potential, including the degree of saturation of hydroxyapatite. Soft drink modifications have shown that the erosive potential can be reduced by adding calcium and phosphate to the beverage.35

Healthful Eating Practices and Children

Home and consume fast food and a soft drink bundled conveniently at an attractive price. Often beverage choices are made without parental supervision at school or sporting events. Manufacturers are relentless advertisers and market beverages to the impressionable young consumer; their goal is to capture the young consumer and establish brand loyalty at an early age. Many school districts have banned soda sales in elementary schools and placed minimal limitations on soda sales in middle and high schools.

A recent study examined the relationship between eating practices and caries in children (2 to 5 years) and showed that young children with poor eating habits were more likely to experience caries.36 The likelihood of experiencing caries was greater for those who skipped breakfast (odds ratio [OR] = 3.77) and for those who did not eat five servings of fruits and vegetables (OR = 3.21).36 Marshall et al6 showed that patients with caries had higher intakes of SSB at 2, 3, 4, and 5 years of age and children with caries at 2 and 3 years of age had lower milk intake than children without caries. They concluded that consumption of SSB and, to a lesser extent, 100% juice was associated with increased caries risk in the primary dentition. Sohn and colleagues37 showed that children (2 to 10 years of age) with a high SSB consumption had a higher prevalence of caries when compared with children with high juice, high milk, or high water consumption. “Children in the high milk consumption pattern had a tendency toward the lowest caries experience.”37

What Happens When the Heaviest Teenagers Stop Drinking Soft Drinks?

A recent intervention program demonstrated that a reduction of SSB consumption resulted in significant weight loss among adolescents.38 A 25-week pilot intervention program consisted of weekly delivery of noncaloric beverages, diet beverages, and bottled water to the homes of adolescent participants; monthly telephone counseling about avoiding sugary drinks; and refrigerator magnet messages with a “think before you drink” theme emphasizing information regarding SSB and excess caloric intake, weight gain, tooth decay, and hunger. The control group was asked to continue their usual beverage consumption habits. An 82% decrease in SSB consumption among the intervention group was reported with no change in the control group. Participants were stratified by gender and BMI (three groups determined at baseline). Those teens in the top one third for BMI (≥ 25.6) reduced their body mass by a mean of 0.75.38 The intervention had no significant effect on teens at the bottom two thirds of BMI. These findings suggest that teens can change soda drinking habits with education and the availability of healthier drink options at home. Maintaining healthy drinking habits for the 25 weeks (6 months) had a demonstrable effect on BMI for the heaviest teenagers (top one third of BMI).

Family Dietary Counseling

Another study looked at the impact of family dietary coaching, nutritional intakes, and weight control. Over an 8-month period, the intervention group received advice on how to reduce their dietary fats and sugars, and the control group received no dietary advice. In a randomized controlled study39 with 1,013 families (children aged 7 to 9 years), among the intervention group, parent participants showed a decrease in BMI, fat mass, and body weight, and lower energy intakes in children were reported. Another 12-month educational intervention program in British schools with 644 children (aged 7 to 11 years) showed the effectiveness of a focused program that resulted in decreased SSB consumption and the percentage of overweight and obese children among the intervention group.40

What Role Do We Play in a Healthier Lifestyle?

Eating patterns developed in childhood can influence long-term nutritional status. US Department of Agriculture surveys show that sugar consumption has increased almost every year since 1982, and beverages account for about 21% of average daily total energy intake.41 Many large studies have established the relationship between SSB, weight gain, obesity, and diminished intake of nutrients.10,12-15 Duffey and Popkin41 established that food and beverage intake are linked intimately and that persons with a healthier dietary pattern had healthier beverage consumption. This research should raise awareness of the importance of healthy beverage intake and the impact on energy intake, diet, and health. Intervention programs that target reduction in energy intake from soft drinks have shown beneficial nutritional outcomes, such as weight loss and a decrease in BMI.38,39

Advice for Patients and Parents

Dentists should encourage parents to model good behavior by limiting their consumption and purchasing fewer commercial beverages. Also, discourage purchasing drinks in a screw-top bottle and recommend a canned drink. A screw-top bottle preserves carbonation, allows recapping, and repeated sipping, whereas soda in a can loses its fizz, becomes less palatable, less portable, and less likely to be finished.

To help reduce SSBs caries-inducing potential, encourage patients to use a straw to divert the drink away from teeth and to drink soda with foods or a meal. Encourage co-consumption of dairy foods rich in calcium and phosphate when ingesting acidic foods or beverages. If patients drink a sports drinks, encourage immediate swallowing of the drink and avoiding its use as a mouth wash. Patients should rinse the mouth and mouth guard with water to minimize residual acidic liquid in the mouth. Also recommend the avoidance of vigorous toothbrushing immediately after drinking an acidic beverage because the enamel is softened. Patients should wait an hour before brushing to allow teeth to remineralize and the enamel to harden.42 Also, the acidic beverage can be cleared from the mouth by rinsing with water.

A soft toothbrush is recommended for patients with exposed dentin or thin enamel to minimize mechanical abrasion. Regular check-ups, fluoridated toothpaste, and a specific fluoride regimen for these patients should be established. Photographs that can show patients areas of erosion, measurement of the depth of erosive lesions, and study casts are ways to monitor erosion and inform patients.

Cariogenicity is just one of the many factors in caries development and it has a more influential role when host and environmental conditions favor the disease. Diet is less of a factor in caries prevention when adequate oral hygiene and daily fluoride are present. When experts were asked what the principal dietary message for caries prevention should be, almost all (92%) said “reduction of frequency of ‘cariogenic’ intakes.”43 Dental professionals should promote healthy eating habits, eating breakfast and five servings of fruits and vegetables, and moderation in commercial beverage consumption; positive outcomes for healthier living will follow. The emphasis for caries prevention and healthy living should focus more on good diets and dietary practices and less on good foods vs bad foods.44

Case Report

An 18-year-old Caucasian man presented requesting routine care to address his chief complaint of stained teeth and teeth sensitive to air. He had a significant 6-year history of soda drinking and 1-year history of cigar smoking. The patient abruptly stopped drinking SSBs 2 months before his visit and agreed to be interviewed to illustrate his dietary and lifestyle history.

History

The patient’s consumption of SSBs began at age 12, when he drank two to three 12-oz cans of SSBs per day between meals. He drank milk at meal times. SSBs were always available at home. He reported an inability to fall asleep at bedtime and trouble sleeping at night. His favorite SSB was a dark cola carbonated beverage. The patient wore braces for 2 years and saw a dentist for routine check-ups. Sealants were present on the first molars, teeth Nos. 3, 14, 19, and 30, an occlusal amalgam on tooth No. 15, and Class IV composite on tooth No 9.

Consumption increased during high school and by age 18 he was consuming at least six 12-oz cans or 20-oz bottles of SSBs per day. He would generally drink the entire beverage. Although his difficulty sleeping decreased with age, he reported being thirsty all the time and craved a beverage with caffeine to satisfy his thirst. The patient drank fluoridated municipal water throughout his life and used fluoridated toothpaste.

He abruptly stopped drinking soda 2 months before his visit, when the patient’s mother learned of the association of dental decay and soft drinks from the Internet. He experienced headaches for a few days after cessation of SSBs. He continues to smoke cigars two to three times per week and has decreased soda consumption to fewer than two cans of soda per day.

Assessment

The caffeine in SSBs affected the patient’s sleep pattern during middle school. He adjusted to the higher levels of caffeine at a later age. Caffeine had a systemic effect on the patient exemplified by his headaches, a common symptom of abrupt withdrawal of caffeine.

The cervical areas of all teeth showed severe staining of the enamel with no cavitations (Figure 1 through Figure 3). These areas had remineralized and the enamel surface, although not cavitated, did have a discolored and rough surface. Cigar smoking contributed to the severity of the staining. At the time the photographs were taken, the patient admitted to drinking one can of SSB per day (at most) and drank water throughout the day. He was using a prescription fluoride toothpaste daily and flossing. Erosion was minimal and visible on tooth No. 9 along the margins of Class IV composite resin (Figure 3).

Treatment Plan

The treatment plan included restoration of the carious lesions on tooth No. 18 (Figure 4) and No. 31 (Figure 5) and removal of sealants on tooth Nos. 19 and 30 to determine if caries was present along the broken margins of the sealants. Recommendations for this patient included: daily usage of a prescription fluoride toothpaste, daily flossing, limitation of SSB consumption, drinking tap water for hydration, and cessation of smoking.

References

1. US Dept of Health and Human Services. Oral Health in America: A Report of the Surgeon General. Rockville, MD: US Dept of Health and Human Services; 2000.

2. Caufield PW, Cutter GR, Dasanake AP. Initial acquisition of mutans streptococci by infants: evidence for a discrete window of infectivity. J Dent Res. 1993:72(1):37-45.

3. Gustafsson BE, Quensel CE, Lanke LS, et al. The Vipeholm dental caries study: the effect of different levels of carbohydrate intake on caries activity in 436 individuals observed for five years. Acta Odontol Scand. 1954;11(3-4):232-264.

4. Ismail AI, Burt BA, Eklund SA. The cariogenicity of soft drinks in the United States. J Am Dent Assoc. 1984;109(2):241-245.

5. Screebny LM. Sugar availability, sugar consumption and dental caries. Community Dent Oral Epidemiol. 1982;10(1):1-7.

6. Marshall TA, Levy SM, Broffitt B, et al. Dental caries and beverage consumption in young children. Pediatrics. 2003;112 (3 Pt 1);e184-e191.

7. Moynihan P, Lingstrom P, Rugg-Gunn AJ, et al. The role of dietary control. In: Fejerskov O, Kidd E, eds. Dental Caries: The Disease and Its Clinical Management. Copenhagen, Denmark: Blackwell Munksgaard; 2003:223-239.

8. Putnam JJ, Allshouse JE. Food Consumption, Price and Expenditures, 1970-97. Washington, DC: Food and Consumers Economics Division, Economic Research Service, US Dept of Agriculture; 1999.

9. Heller KE, Burt BA, Eklund. Sugared soda consumption and dental caries in the United States. J Dent Res. 2001;80(10):1949-1953.

10. French SA, Lin BH, Guthrie JF. National trends in soft drink consumption among children and adolescents age 6 to 17 years; prevalence, amounts, and sources, 1997/1978 to 1994/1998. J Am Diet Assoc. 2003;103(10):1326-1331.

11. American Academy of Pediatrics, Committee on School Health. Soft drinks in schools. Pediatrics. 2004;113(1 Pt 1):152-154.

12. Mrdjenovic G, Levitsky DA. Nutritional and energetic consequences of sweetened drinks consumption in 6-13 year-old children. J Pediatr. 2003;142(6):604-610.

13. Ludwig DS, Peterson KE, Gortmaker SL. Relation between consumption of sugar-sweetened drinks and childhood obesity: a prospective, observational analysis. Lancet. 2001;357(9255):505-508.

14. Vartanian LR, Schwartz MB, Brownell KD. Effects of soft drink consumption on nutrition and health. A systematic review and meta-analysis. Am J Public Health. 2007;97(4):667-675.

15. Schultz MB, Manson JE, Ludwig DA et al. Sugar-sweetened beverages, weight gain, and incidence of type 2 diabetes in young and middle-aged women. JAMA. 2004:292(8);927-934.

16. Apovian CM. Sugar-sweetened soft drinks, obesity and type 2 diabetes. JAMA. 2004;292(8):978-979.

17. Malik VS, Schulze MB, Hu FB. Intake of sugar-sweetened beverages and weight gain: a systematic review. Am J Clin Nutr. 2006;84(2):274-288.

18. Cho S, Dietrich M, Brown CJP, et al. The effect of breakfast type on total daily energy intake and body mass index: results from the Third National Health and Nutrition Examination Survey (NHANES III). J Am Coll Nutr. 2003;22(4):296-302.

19. Timlin MT, Pereira MA, Story M, et al. Breakfast eating and weight change in a 5-year prospective analysis of adolescents: project eating among teens. Pediatrics. 2008;121(3):e638-e645.

20. Feskanich D, Willett WC, Colditz GA. Calcium, vitamin D, milk consumption and hip fractures: a prospective study among postmenopausal women. Am J Clin Nutrition. 2003;77(2):504-511.

21. Matkovic V, Jelic T, Wardlaw GM, et al. Timing of peak bone mass in Caucasian females and its implication for the prevention of osteoporosis. Inference from a cross sectional model. Clin Invest. 1994;93(2):799-808.

22. Wyshak G. Teenaged girls, carbonated beverage consumption and bone fractures. Arch Pediatr Adolesc Med. 2000;154(6):610-613.

23. Jacobson MF. Liquid candy—how soft drinks are harming Americans’ health. Available at: http://www.cspinet.org/sodapop/liquid_candy.htm.

24. Pollak CP, Bright D. Caffeine consumption and weekly sleep patterns in US seventh-, eighth-, and ninth-graders. Pediatrics. 2003;111(1):42-46.

25. US Food and Drug Administration Drug Bull. Caffeine and pregnancy. 1980.

26. Majewski RF. Dental caries in adolescents associated with caffeinated carbonated beverages. Pediatr Dent. 2001;23(3):198-203.

27. Zero DT. Sugar—the arch criminal? Caries Res. 2004;38(2):277-285.

28. von Fraunhofer JA, Rogers MM. Dissolution of dental enamel in soft drinks. Gen Dent. 2004;52(4);308-312.

29. Jain P, Nihill P, Sobkowski J, et al. Commercial soft drinks: pH and in vitro dissolution of enamel. Gen Dent. 2007;55(2);150-155.

30. Bardow A, Moe D, Nyvad B, et al. The buffer capacity and buffer systems of human whole saliva measured without loss of CO2. Arch Oral Biol. 2000;45(1):1-12.

31. Grobler SR, Jenkins GN, Kotze D. The effects of the composition and method of drinking of soft drinks on plaque pH. Br Dent J. 1985;158(8):293-296.

32. Edwards M, Creanor Sl, Foye RH, et al. Buffering capacities of soft drinks: the potential influence on dental erosion. J Oral Rehabil. 1999;26(12):923-927.

33. Ireland AJ, McGuinness N, Sherriff M. An investigation in the ability of soft drinks to adhere to enamel. Caries Res. 1995;29(6):470-476.

34. Lussi A, Jaeggi T, Zero D. The role of diet in the aetiology of dental erosion. Caries Res. 2004;38(Suppl 1):34-44.

35. Jendottir T, Bardow A, Holbrook P. Properties and modification of soft drinks in relation to their erosive potential in vitro. J Dent. 2005;33(7);569-575.

36. Dye BR, Shenkin JD, Ogden CL, et al. The relationship between healthful eating practices and dental caries in children aged 2-5 years in the United States, 1988-1994. J Am Dent Assoc. 2004;135(1):55-66.

37. Sohn W, Burt BA, Sowers MR. Carbonated soft drinks and dental caries in the primary dentition. J Dent Res. 2006;85(3):262-266.

38. Ebbeling CB, Feldman HA, Osganian SK, et al. Effects of decreasing sugar-sweetened beverage consumption on body weight in adolescents: a randomized, controlled pilot study. Pediatrics. 2006;117(3):673-680.

39. Paineau DL, Beaufils MD, Boulier A, et al. Family dietary coaching to improve nutritional intakes and body weight control. Arch Pediatr Adolesc Med. 2008;162(1):34-43.

40. James J, Thomas P, Cavan D, et al. Preventing childhood obesity by reducing consumption of carbonated drinks: cluster randomised control trial [published erratum appears in: BMJ. 2004;328(7450):1236]. BMJ. 2004;328(7450):1237.

41. Duffey KJ, Popkin BM. Adults with healthier dietary patterns have healthier beverage patterns. J Nutr. 2006;136(11):2901-2907.

42. Attin T, Knofel S, Buchalla W, Tutuncu R. In situ evaluation of different remineralization periods to decrease brushing abrasion of demineralized enamel. Caries Res. 2001;35(3):216-222.

43. van Loveren C, Duggal MS. Experts’ opinions on the role of diet in caries prevention. Caries Res. 2004;38(Suppl l):16-23.

44. Duggal MS, van Loveren C. Dental considerations for dietary counseling. Int Dent J. 2001:51(6 Suppl 1):408-412.

 

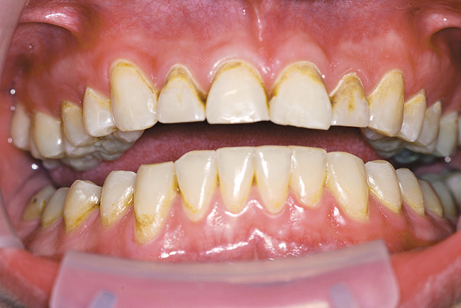
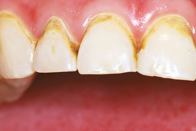
Figure 1  Front view showing significant staining of cervical areas on all teeth. This represents cyclical demineralization and remineralization over the period of time the patient wore braces, consumed large amounts of soft drinks‚Äîespecially colas‚Äîand had a smoking habit. The areas are not cavitated.

Figure 1

Figure 2  Close up of teeth Nos. 7 through 9.

Figure 2

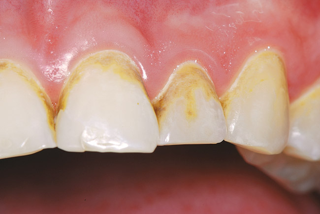
Figure 3  Close up of teeth Nos. 9 through 11.

Figure 3

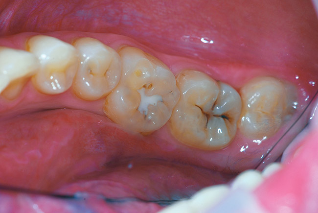
Figure 4  Caries present in tooth No. 18 and sealant of tooth No. 19 with suspected caries along margins.

Figure 4

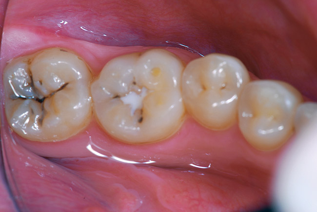
Figure 5 Caries present in tooth No. 31 and sealant of tooth No. 30 with suspected caries along margins.

Figure 5

Learning Objectives:

After reading this article, the reader should be able to:

  • discuss the acid content of commercial beverages such as soft drinks, diet drinks, sports drinks, and vitamin-enhanced water drinks.
  • describe the caries risk and higher energy intakes for children who have high consumption of sweetened beverages. The value of educational programs to reduce soft drink consumption will be presented.
  • provide advice for parents and patients to help reinforce healthy eating practices and safer soda drinking patterns. The pH of drinks will be discussed and the damage from dental erosion.

Disclosures:

The author reports no conflicts of interest associated with this work.

Queries for the author may be directed to justin.romano@broadcastmed.com.