CDEWorld > Courses > Decision-Making for Treatment Planning a Cantilevered Fixed Partial Denture

CE Information & Quiz

Decision-Making for Treatment Planning a Cantilevered Fixed Partial Denture

Edward E. Hill, DDS

April 2010 Course - Expires Tuesday, April 30th, 2013

Parkell Online Learning Center

Abstract

Considerable controversy exists in the dental literature regarding cantilevered pontics. This article discusses basic concepts of the cantilever fixed partial denture (CFPD) in which one cantilevered pontic is supported by only one or two abutment teeth. Three primary factors should be considered carefully to optimize the prognosis for a CFPD: abutment selection, control of functional forces, and rigidity/strength of connectors. Abutments should have a root surface area greater than the tooth being replaced and a crown-to-root ratio of 2:3. They also should exhibit minimal mobility and be vital and periodontally sound. Contact on cantilevered pontics should be light in centric position and nonexistent in excursions. CFPDs ideally should be metal or metal-ceramic, and connectors, which are high-stress areas, require bulk for strength. A cantilevered prosthesis may require more consideration and planning than a conventional fixed partial denture, but when kept within the patient’s biological limitations and executed properly, can provide a restorative option with many advantages.

You must be signed in to read the rest of this article.

Login Sign Up

Registration on CDEWorld is free. Sign up today!
Forgot your password? Click Here!

A cantilevered pontic is supported only at one end by one or more abutments.1 In recent years, the ability to place multiple implants for the support of long-span fixed prostheses has led to frequent use of cantilever pontics.2 Similarly, multiple splinted teeth often have been used to support distal-extension cantilever pontics to avoid removable prostheses.3 Considerable controversy exists in the dental literature regarding cantilevered pontics supported by only one or two teeth. Before the introduction of esthetic metal-ceramics, short cantilevered prostheses were used extensively without regard to biologic and material limitations, which often resulted in early tooth loss and tissue damage.4 Predoctoral textbooks typically offer a very limited discussion on this type of prosthesis, and general dentists may not be knowledgeable of its merits and precautions. This article discusses basic concepts of the cantilever fixed partial denture (CFPD) with the emphasis on short-span prostheses having one cantilevered pontic supported by only one or two natural tooth abutments.

Background

CFPDs were described by Shillingburg et al as having an inherent potentially destructive design.5 A cantilevered pontic in masticatory function can act as a Class 1 level and transfer tipping and/or rotational forces to the abutment(s) (Figure 1), which is in contrast to forces being directed primarily toward the long axis of the teeth as would occur for a comparable conventional fixed prosthesis.6 To minimize abutment risk, Shillingburg conservatively recommended consideration of a CFPD only for the following situations:5

  1. Replacement of a maxillary lateral incisor, using a canine as an abutment.

     

  2. Replacement of a first mandibular premolar, using the second premolar and first molar splinted as abutments.

     

  3. Replacement of the mesial half of a mandibular molar, using the second and first premolars splinted as abutments.

     

 

Rosenstiel et al’s textbook says, “The long-term prognosis of the single-abutment cantilever is poor,”6 referencing only a 1990 article by Cheung et al7 who reported a clinical evaluation of 169 bridges where 15 had cantilever pontics. They found just three cantilever failures and concluded that replacement of a maxillary canine with a cantilever fixed prosthesis is contraindicated. In sharp contrast, clinicians in both Europe and Asia have reported a high degree of success (94% to 97% retention after approximately 3 years service) for one- and two-abutment supported, resin-bonded cantilever fixed prostheses replacing maxillary lateral incisors, premolars, and various mandibular teeth.8,9 Botelho et al9 examined 269 resin-bonded CFPDs in service an average of 51.7 months (4.33 years) and observed no rotation, drifting, or tipping of any abutment teeth. Similarly, Lindquist et al10 found no difference in the 20-year survival rate of 140 conventionally cemented fixed partial dentures placed by Swed-ish dentists with or without cantilever pontics.

Finite element analysis has been used in recent years to confirm what logic would suspect: when the cantilevered pontic is placed under vertical or horizontal loading, considerable stress is generated in the connector between the pontic and adjacent retainer. Likewise, compressive stress is generated in bone and tooth in the midroot area of the terminal abutment on the side closest to the pontic.11 When two splinted abutments are used to support a cantilevered pontic, during vertical loading the terminal abutment is placed under compressive stress while the distal abutment is subjected to tensile stress.11-13 Increasing the number of splinted abutments (up to three) to help support a cantilevered pontic theoretically reduces the stress placed on the terminal abutment to a degree but can offset many of the advantages for selecting this type of fixed prosthesis.14

A 1997 literature review by Stockton15 commented, “The cantilever principle…may inadvertently contribute to the initiation and progression of periodontal destruction.” In contrast, an earlier review by Himmel et al16 supported the use of a cantilever pontic with an abutment that may be compromised periodontally as long as the patient’s periodontal condition and occlusion is stable and the pontic is free from premature contacts. Dykema et al17 probably best summarized the ongoing controversy by stating: “A certain risk is present with a cantilever design since the potential for failure cannot always be predicted…many prostheses of this design have been successful yet others have failed.”

Consideration

From the background discussion, it would appear that three primary factors should be considered carefully to optimize the prognosis for a CFPD: abutment selection, control of functional forces, and rigidity/strength of the connector(s).

Abutment Selection

Ante’s Law, which was offered in the literature many years ago, suggested the root surface area of an abutment tooth should equal or be greater than that of the tooth being replaced by a pontic.18 It continues to provide wise guidance for abutment selection for conventional fixed partial dentures and should be followed closely for abutment selection for a cantilever prosthesis. Also, larger teeth are more suited for additional stresses imparted by loading of an attached pontic.5 As such, the use of a periodontally sound maxillary canine with good clinical crown height as an abutment to support a cantilever pontic replacing a lateral incisor would seem prudent, as suggested by Shillingburg et al.5

An optimal crown-to-root ratio of 2:3, minimal mobility, and favorable root configuration to help resist rotational forces are also desirable features of a CFPD abutment.5 A secondary abutment may be advisable when occlusal forces on the pontic cannot be minimized or will be outside the curvature of the arch. As per basic concepts of splinting, the secondary abutment should be as strong periodontally as the primary abutment and the secondary retainer should have optimal retention. If a distal cantilevered half pontic is being considered to replace a missing mandibular second molar to prevent supereruption, the first molar abutment should be periodontally sound with long, widely spaced roots because molars with blunted or fused roots may not resist long-term tipping forces.19,20

Because of an increased tendency for nonaxially directed forces, along with a higher potential for fracture, the use of endodontically treated teeth as abutments for CFPDs should be avoided except in extremely favorable circumstances (such as a canine or molar abutment opposing a complete denture).21,22 Hämmerle et al23 examined 115 CFPDs placed in Switzerland that had been in service 5 to 16 years and found the fracture rate for abutments next to a cantilevered pontic was twice that of remote/secondary abutments.

Control of Functional Forces

As stated earlier, a cantilevered pontic acts as a Class 1 lever; therefore, functional loading should be kept to a minimum. In a normal occlusal relationship, the pontic of a cantilever should provide only a light centric stop with no disclusive function.16 Minimizing functional contact is more important for a distal cantilevered pontic compared with a mesial cantilevered pontic supported by the same abutment tooth because the latter may generate forces better tolerated by the abutment(s).19 Reduction of buccolingual and/or mesiodistal width has been suggested as a means to limit force on a posterior cantilevered pontic.24 An opposing removable denture, anterior open bite, mandibular protrusive, or any other occlusal relationship that has potential for reduced occlusal forces placed on the pontic may enhance the longevity of the prosthesis.4

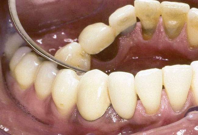
Goldfogel et al25 reported a “wrap around” contact for a cantilevered pontic replacing a maxillary lateral incisor as a means of enhancing stability, but the use of such a design can be limited by esthetics and occlusion. When the situation permits, a guide plane and rest seat on the tooth adjacent to the pontic may help to control movement of a cantilevered prosthesis (Figure 2). When used, the rest seat should follow guidelines for removable partial denture design and be placed on an indirect metal or metal-ceramic restoration. A rest seat for a cantilevered pontic should never be on natural tooth structure, amalgam, or resin because physiologic movement of the abutment tooth may allow for plaque accumulation and the inability to clean under the rest eventually will lead to secondary caries (Figure 3).

 

Rigidity/Strength of Connector(s)

When a cantilever pontic is loaded functionally, the connector between it and the terminal retainer is an area of high-stress concentration and is thought to be the weakest component of the prosthesis.11,24 If a secondary abutment is used, the connector between the primary and secondary retainer also becomes an area of stress concentration.11 It is, therefore, of considerable importance that CFPD connectors be made of sufficient bulk and material that will not distort or fracture from fatigue.16,24 Connector width and height is limited by the available space to allow biologically acceptable embrasures to facilitate cleaning and prevent encroachment of the soft tissues. A posterior metal connector should have a minimal width of 3 mm and height of 2 mm to resist occlusal forces adequately.17 Wright24 suggested use of “U”-shaped connectors rather than the typical “V” form to maximize bulk and strength for cantilevered prostheses.

In the past, cantilevered fixed partial dentures were either metal or metal-ceramic. The relatively recent introduction of all-ceramic restorations with high-strength core materials, along with a considerable increase in the cost of noble alloys, may make it tempting to place all-ceramic CFPDs. Finite element analysis studies have calculated that all-ceramic materials are sufficiently strong enough for short distal CFPDs.13 Stumpel and Haechler26 discussed placement of an all-ceramic Procera® (Nobel Biocare USA, LLC, www.nobelbiocare.com) CFPD with a complete crown as the retainer replacing a lateral incisor, and Kern27 reported a high degree of success during a 15-year period for glass-infiltrated alumina all-ceramic resin-bonded CFPDs. It should be noted that alumina has not been shown to perform as well clinically for conventional fixed partial dentures as do metal-ceramic alloys and that zirconia core ceramics require connectors to be long and bulky for strength.28,29

Advantages and Opportunities for Use

Conservation of tooth structure and reduced cost by placing a single retainer on one abutment are, by far, the most appealing advantages behind selection of this treatment option for replacement of a missing tooth. However, there may be several other important considerations. Esthetics can be a factor if an anterior abutment for a potential conventional fixed partial denture is sound and esthetically acceptable because the optical properties of even the best metal-ceramic (or all-ceramic) restoration are not the same as those of a natural tooth. The absence of one connector that would be present on a comparable conventional fixed partial denture facilitates cleaning by allowing the patient to floss under the prosthesis without the necessity of using a floss threader or other oral hygiene aid. A cantilevered pontic can be used where an edentulous space is too narrow or the residual bone morphology is unfavorable for an implant-supported restoration, which sometimes occurs after completion of orthodontic therapy.

A wide variety of resin-bonded CFPDs using various abutment teeth have been placed in patients in Europe and Asia with a high degree of success.8,9 Ewing4 offered several examples of CFPDs that had been in extended service that did not fall within Shillingburg’s recommendations. Following the considerations given above, three nonconventional situations in which CFPDs were used are shown in Figure 4 (replacement of a mandibular lateral incisor), Figure 5 (replacement of a maxillary second premolar), and Figure 6 (replacement of a mandibular second premolar). All abutment preparations incorporated maximal retention and resistance form, and all three treatment situations provided for each patient a more conservative and more desirable option than a conventional fixed partial denture.

 

Conclusion

The CFPD provides a treatment option for tooth replacement that can often be overlooked. Stockton15 cautioned that a cantilevered prosthesis actually may require more consideration and planning than a conventional fixed partial denture. Even so, when kept within the patient’s biologic limitations and executed properly, it can provide a restorative option with many advantages.

References

1. The Academy of Prosthodontics. The glossary of prosthodontic terms. J Prosthet Dent. 2005;94(1):10-92.

2. Becker CM, Kaiser DA. Implant-retained cantilever fixed prosthesis: where and when. J Prosthet Dent. 2000;84(4):432-435.

3. Budtz-Jorgensen E. Prosthodontics for the Elderly. Chicago, IL: Quintessence Publishing Co; 1999:138-140.

4. Ewing JE. Re-evaluation of the cantilever principle. J Prosthet Dent. 1957;7(1):78-92.

5. Shillingburg HT Jr, Hobo S, Whitsett LD, et al. Fundamentals of Fixed Prosthodontics. 3rd ed. Chicago, IL: Quintessence Publishing Co; 1997:100-102.

6. Rosenstiel SF, Land MF, Fujimito J. Contemporary Fixed Prosthodontics. 4th ed. St. Louis, MO: Mosby; 2006:90-91.

7. Cheung GS, Dimmer A, Mellor R, et al. A clinical evaluation of conventional bridgework. J Oral Rehabil. 1990;17(2):131-136.

8. Hussey DL, Linden GJ. The clinical performance of cantilevered resin-bonded bridgework. J Dent. 1996;24(4):251-256.

9. Botelho MG, Leung KC, Ng H, et al. A retrospective clinical evaluation of two-unit cantilevered resin-bonded fixed partial dentures. J Am Dent Assoc. 2006;137(6):783-788.

10. Lindquist E, Karlsson S. Success rate and failures for fixed partial dentures after 20 years service: part I. Int J Prosthodont. 1998;11(2):133-138.

11. Awadalla HA, Azarbal M, Ismail YH, et al. Three-dimensional finite element stress analysis of a cantilever fixed partial denture. J Prosthet Dent. 1992;68(2):243-248.

12. Yang HS, Chung HJ, Park YJ. Stress analysis of a cantilevered fixed partial denture with normal and reduced bone support. J Prosthet Dent. 1996;76(4):424-430.

13. Eraslan O, Sevimay M, Usumez A, et al. Effects of cantilever design and material on stress distribution in fixed partial dentures—a finite element analysis. J Oral Rehabil. 2005;32(4):273-278.

14. Wang CH, Lee HE, Wang CC, et al. Methods to improve a periodontally involved terminal abutment of a cantilever fixed partial denture—a finite element stress analysis. J Oral Rehabil. 1998;25(4):253-257.

15. Stockton LW. Cantilever fixed partial denture—a literature review. J Can Dent Assoc. 1997;63(2):118-121.

16. Himmel R, Pilo R, Assif D, et al. The cantilever fixed partial denture—a literature review. J Prosthet Dent. 1992;67(4):484-487.

17. Dykema RW, Goodacre CJ, Phillips RW. Johnson’s Modern practice in Fixed Prosthodontics. 4th ed. Philadelphia, PA: WB Saunders Co; 1986:188,380.

18. Ante IH. The fundamental principles of abutments. Mich State Dent Soc Bull. 1926;8:14-23.

19. Alves M, Askar E, Randolph R, et al. A photoelastic study of three-unit mandibular posterior cantilever bridges. Int J Periodontics Restorative Dent. 1990;10(2):152-167.

20. Wang CH, Tsai CC, Chen TY, et al. Photoelastic stress analysis of mandibular posterior cantilevered pontic. J Oral Rehabil. 1996;23(10):662-666.

21. Sorensen JA, Martinoff JT. Endodontically treated teeth as abutments. J Prosthet Dent. 1985;53(5):631-636.

22. Goga R, Purton DG. The use of endodontically treated teeth as abutments for crowns, fixed partial dentures, or removable partial dentures: a literature review. Quintessence Int. 2007;38(2):106-111.

23. Hämmerle CH, Ungerer MC, Fantori PC, et al. Long-term analysis of biological and technical aspects of fixed partial dentures with cantilevers. Int J Prosthodont. 2000;13(5):409-415.

24. Wright WE. Success with the cantilever fixed partial denture. J Prosthet Dent. 1986;55(5):537-539.

25. Goldfogel M, Lambert R. Cantilever fixed prosthesis replacing the maxillary lateral incisor: design consideration. J Prosthet Dent. 1985;54(4):477-478.

26. Stumpel LJ 3rd, Haechler WH. The all-ceramic cantilever bridge: a variation on a theme. Compend Contin Educ Dent. 2001;22(1)45-54.

27. Kern M. Clinical long-term survival of two-retainer and single retainer all-ceramic resin-bonded fixed partial dentures. Quintessence Int. 2005;36(2):141-147.

28. Vult von Steyern P. All ceramic fixed partial dentures. Studies on aluminum oxide-and zirconium dioxide-based ceramic systems. Swed Dent J. 2005;173(suppl):1-19.

29. Devaud V. Guidelines for success with zirconia ceramics: the changing standards. Pract Proced Aesthet Dent. 2005;17(8):508-510.

About the Author

Edward E. Hill, DDS, Professor, Department of Care Planning and Restorative Sciences, University of Mississippi, School of Dentistry, Jackson, Mississippi

Figure 1  A cantilevered pontic has potential to transfer tipping and rotational forces to the abutment(s).

Figure 1

Figure 2  A premolar cantilevered pontic with a guide plane and rest on the adjacent restoration.

Figure 2

Figure 3  Recurrent caries under a cantilevered pontic rest.

Figure 3

Figure 4  Cantilevered pontic replacing a mandibular lateral incisor where a conventional resin-bonded fixed partial denture had failed. The patient did not desire to have the central incisor prepared for a crown, and the canine had a long clinical crown and root with good periodontal support.

Figure 4

Figure 5  Cantilevered pontic replacing a maxillary second premolar where orthodontic therapy had left a small space mesial to the molar abutment, which was in good vertical alignment and had widely spaced roots with good periodontal support.

Figure 5

Figure 6  Cantilevered pontic replacing a mandibular second premolar where mesial drifting had created an edentulous space smaller than the normal tooth. The molar abutment had widely spaced roots with good periodontal support.

Figure 6

Learning Objectives:

After reading this article, the reader should be able to:

  • explain the controversy surrounding the use of cantilevered pontics.
  • discuss factors to optimize the prognosis for a cantilever fixed partial denture (CFPD).
  • recognize appropriate situations for usage of a CFPD.

Disclosures:

The author reports no conflicts of interest associated with this work.

Queries for the author may be directed to justin.romano@broadcastmed.com.