CDEWorld > Courses > When to Save or Extract a Tooth in the Esthetic Zone: A Commentary

CE Information & Quiz

When to Save or Extract a Tooth in the Esthetic Zone: A Commentary

Gary Greenstein, DDS, MS; John Cavallaro, DDS; and Dennis Tarnow, DDS

February 2009 Course - Expires Tuesday, February 28th, 2012

Parkell Online Learning Center

Abstract

BACKGROUND: In the esthetic zone, difficult decisions must be made regarding extraction or retention of compromised teeth. Numerous factors need to be considered to arrive at a proper treatment plan, which may differ from a plan devised for the posterior region of the mouth. TYPES OF REVIEWED STUDIES: Studies were selected that provided background information for clinical decision-making concerning whether a compromised tooth should be retained or removed. RESULTS: In the esthetic zone, before resective surgical procedures are used to resolve periodontitis, consideration should be given to the esthetic outcome. If endodontic therapy is required, additional issues need to be reviewed before initiating treatment, including restorability of the tooth, presence of a large periapical area, use of the tooth as an abutment, etc. Furthermore, before initiating periodontal or endodontic treatment, the patient’s susceptibility to additional periodontal disease progression and caries should be evaluated. CLINICAL IMPLICATIONS: In the esthetic zone, deciding whether to treat or remove a compromised tooth requires careful deliberation. The possibility that additional bone loss can compromise a future implant site needs to be considered before providing periodontal therapy. This is particularly true if recession will be induced. Endodontic therapy is effective; however if crown lengthening is required because of subgingival caries or tooth fracture, thought needs to be given to removal of the tooth before altering the gingival topography. Numerous other factors need to be considered when deciding whether to save or extract a tooth in the esthetic zone: restorability, disease susceptibility, papillary and gingival considerations, tooth esthetics, etc. In conclusion, the decision to extract or maintain teeth must include deliberation with regard to benefits versus risks of retaining compromised teeth. The judgment to remove a tooth may be based on one critical issue or it may rely on collective risks related to a few factors.

You must be signed in to read the rest of this article.

Login Sign Up

Registration on CDEWorld is free. Sign up today!
Forgot your password? Click Here!

The goal of restorative dentistry is to reinstate good form and function to the dentition with excellent esthetics and health. Fundamental to developing a dental treatment plan, a prognosis must be assigned to each tooth. With regard to problematic teeth, questions should be resolved concerning the need for their therapy or replacement. For instance, can a tooth be effectively restored? Will endodontic treatment be successful? Is periodontal therapy a reasonable option? After therapy will a treated tooth be a suitable abutment? What effect will extraction of a tooth have on the final treatment plan? Articles have addressed some of these issues; however none of them have specifically discussed these issues as they pertain to teeth in the esthetic zone.1-3 Therefore, numerous factors were evaluated to determine if they can be used to arrive at a correct judgment regarding whether to retain or extract compromised teeth when esthetics is an additional criterion for success. These factors are discussed with regard to four major subjects: periodontal status and gingival contours, restorability, endodontic considerations, and resistance to disease (periodontitis and caries). Ultimately, when developing a treatment plan, the decision to retain or extract teeth is based on the risks vs benefits of alternate treatments. Sometimes one factor can be the critical determinant dictating that a tooth should be removed; other times, decisions to remove a tooth are based on cumulative risks associated with several factors.

Case Evaluation

To develop an optimal treatment plan the clinician must envision the completed dental rehabilitation. In this regard, factors that contribute to achieving a cosmetic result in the esthetic zone include: smile line, midline, tissue level, height, width, and position of teeth. The smile line is considered high if there is exposure of the teeth and gingiva.4 It is judged average when 75% to 100% of the maxillary incisors are displayed and low if < 75% of the teeth are seen.4 It is more difficult to achieve an optimal esthetic result when there is a high smile line because discrepancies in tooth and gingival or papillary height are visible.

The average length of the maxillary central incisors and canines for men is 10 mm (range 7.7 mm to 11.9 mm) and the corresponding teeth for women are approximately 1 mm shorter.5 Lateral incisors are approximately 1.4 mm shorter than central incisors for both genders.5 The gingival crest of the central incisors and canines is approximately 1 mm above the crest of the lateral incisors; the crest of the canines may be a little higher.6 The peak of the gingival parabolic curve on the central incisors and canines is slightly distal to the long axis of the teeth, whereas it is at the midline of the long axis of the lateral incisors.6,7 This subtle shift of the gingiva enhances a pleasing smile line. At the incisal edge, the lateral incisor is approximately 1 mm shorter than the central incisor.7 The position of the anterior teeth’s incisal edges are important for esthetics and phonetics. The width of the lateral incisor is usually two-thirds the width of the central incisor, which provides an attractive proportion to anterior teeth.6,7

In a healthy dentition with no bone or clinical attachment loss, the underlying alveolar crest follows the scallop of the cementoenamel junction (CEJ) and is around 2 mm apical to the CEJ. The maxillary anterior interdental crests are around 3 mm coronal to the facial bone height (range 2.1 mm to 4 mm).8 On average the free gingival margin is approximately 3 mm coronal to the crest of the bone (biologic width plus sulcus depth).9 Interproximally, interdental papilla between the central incisors are 4.5 mm coronal to the osseous crest and 4.5 mm to 5 mm coronal to the facial gingiva.9 The additional height of the papilla (1.5 mm) is caused by hypertrophy of the interdental tissue and includes the col area when a contact point is present. The absence of osseous support and proper gingival contours need to be considered when developing a treatment plan in the esthetic zone. Compromised teeth may be deficient in diverse ways; therefore, treatment planning in the premaxilla should consider esthetics, form and function, and biology. In particular, retention or removal of compromised teeth must be considered with regard to the esthetics of the final case.

Periodontal Considerations

Prevalence and Incidence of Periodontal Disease Progression

According to the National Health and Nutritional Examination Survey (NHANES III), among dentate individuals who are 30 years of age or older, approximately 30% of adults develop periodontitis of varying degrees.10 The patterns of bone destruction may be linear, episodic, at the same location, or random events.11 Different models of disease progression can occur at various sites within the same mouth or at a particular location at different times. Currently, it is not possible to accurately forecast which sites will manifest disease progression. Therefore, if patients continue to deteriorate, despite periodontal therapy, it is prudent to remove com-promised teeth before additional supporting bone is resorbed and the residual osseous support decreases to < 10 mm. In a systematic review, Goodacre et al12 found that ≥ 10 mm of bone is desirable when placing an implant because integrated implants ≥ 10 mm in length demonstrated better survival rates than shorter implants. Furthermore, bony support is critical for the esthetic form of the gingival tissues.

Size of Periodontal Defects

It is usually desirable to maintain shallow rather than deep probing depths around teeth for multiple reasons: shallow depths facilitate supragingival hygiene, which impacts the subgingival microflora; there is less bleeding on probing; at shallower sites it is easier to instrument root surfaces; there is less predisposition for disease progression; and shallow depths are better forecasters of periodontal stability.13 Pertinently, periodontal surgery is often done to reduce or eliminate deep probing depths.14 However, a usual consequence of periodontal surgery is recession of the gingiva and interdental papillae, which may create undesirable “black triangles” between teeth. Therefore, resective procedures that create an unesthetic gingival topography are contraindicated on teeth that have a questionable prognosis in the esthetic zone. In addition, surgical procedures may result in large interdental embrasures, which are plaque retentive and may cause increased thermal sensitivity (Figure 1).

The judgment call by the clinician whether to extract or retain a tooth needs to include consideration of the smile line, severity of the periodontal condition, expected recession induced by pocket elimination procedures, the need for endodontic intervention with or without post/cores, and the emotional and esthetic concerns of the patient. Ultimately, in the esthetic zone, it is prudent to remove periodontally questionable teeth and replace them with implants if this will assist in maintaining the height of the gingiva and bone. A consequence of maintaining the gingival height where bone loss has occurred is the need to tolerate increased probing depths around implants when they are placed, or the acceptance of the commitment to rebuild osseous support before implants are placed (site development). Atassi15 found that it is preferable to have shallow sulci around an implant, but that deep probing depths do not necessarily reflect peri-implantitis unless there is disease progression.

Preservation of Bone

Six months after an extraction of maxillary anterior teeth, there is loss of bone ridge width (x = 4.56 mm) and height (x = 1.5 mm) if socket preservation techniques are not used (eg, bioabsorbable barrier).16 Most of the osseous resorption occurs during the first 3 months after tooth removal.17 This expected bone loss must be considered in light of the deterioration that already occurred because of periodontitis. Even immediate placement of implants into extraction sites does not prevent initial bone resorption from occurring.18 Subsequently, integrated implants provide stimulation to the alveolar bone and retard osseous resorption,19 whereas an edentulous ridge without implants continues to resorb if a removable prosthesis rests on the ridge.20,21

Restorative Considerations

Biologic Width

The term biologic width refers to the junctional epithelium and connective tissue attachment coronal to the bone; it does not include gingival sulcus depth. The biologic width consists of approximately 1 mm of junctional epithelium and 1 mm of connective tissue,22 but it can range from 1 mm to 4 mm.23 This region must be respected when restorations are fabricated; otherwise there may be chronic gingival inflammation, pain, and unpredictable bone loss. Accordingly, when crown-lengthening procedures are performed, the bone needs to be placed 2 mm to 3 mm apical to the margin of the fixed prosthesis.24 Therefore, problematic teeth in the esthetic zone that require a crown-lengthening procedure (eg, caries under a crown) should be evaluated for extraction, because these measures may result in an unesthetic appearance. Furthermore, increasing crown height usually involves osseous recontouring of the proximal surfaces of adjacent teeth, thus more than one tooth is affected.

Remaining Tooth Structure

Prediction criteria for successfully restoring a tooth that underwent endodontic therapy include 5 mm of suprabony structure: 2 mm for the biologic width, 2 mm for the ferrule, and 1 mm sulcus depth.25 A ferrule is the cervical portion of a restoration that extends 1 mm to 2 mm onto sound tooth structure to prevent fractures.26 Finally, after the post is prepared, there should be enough root length remaining to permit a 4-mm apical seal to impede bacterial penetration.27

Surgical crown lengthening of a compromised tooth that has a poor crown-to-root ratio should be avoided.1 Furthermore, even though some teeth can be retained, strategic extractions of compromised teeth need to be considered to facilitate an optimal restorative result.1

Caries

Caries is an infectious disease and affects many adults over 50 years of age.28 Factors that influence the incidence of caries include environment, oral hygiene, genetics, diet, salivary flow, level of Streptococcus mutans, etc.29 In addition, among patients with recession, cementum and dentin are more susceptible to caries than enamel because of their lower mineral content.30 Caries is a major concern among patients undergoing prosthetic rehabilitations, as it is the main reason for loss of fixed partial restorations.31

In the esthetic zone, if a patient has caries under a fixed prosthesis, crown lengthening should be avoided because it will induce recession and usually result in asymmetric gingival margins (Figure 2). Individuals with a high caries index are prone to additional caries;32,33 therefore, for these patients, it is prudent to avoid crown lengthening and advisable to replace the tooth with dental implants, which cannot decay.

An alternate therapy to crown lengthening to expose subgingival caries is extrusion of a tooth, which can reduce esthetic issues. Orthodontic extrusion for approximately 8 to 12 weeks followed by 4 to 6 weeks for stabilization also can align disharmonious gingival margins and improve the osseous topography at a compromised site.34 However, after forced eruption, some interproximal crown lengthening may still be needed. In this regard, the length of therapy, additional costs to retain the tooth, and the willingness of the patient to wear braces for several months need to be considered. Furthermore, the new crown will have a narrower cervical third because a segment of the root will now be positioned where the crown margin was previously located. In particular, this may produce an unesthetic result if only one central incisor is extruded because asymmetry is created between the necks of the central incisors.

Teeth Adjacent to Edentulous Area

The decision to extract or retain teeth affects adjacent teeth, especially if they are to function as abutments for a fixed or removable partial denture. Pertinently, Aquilino et al35 reported that patients wearing removable partial dentures over a 10-year period lost 44% of abutment teeth, and Wagner et al36 noted that only 42% of removable partial dentures remained in service for 8 years. Therefore, treatment planning must include consideration of the functionality of adjacent teeth. At present, there are no studies that indicate loss of bordering teeth occurs when implants are inserted. In contrast, a large edentulous area may require the span of a fixed partial denture to be extended to incorporate teeth that require endodontic or periodontal treatment, thereby possibly compromising the long-term stability of the prosthesis.

It is also important to evaluate the functional load which will impact on restored teeth. Several studies reported that fixed partial dentures, which used endodontically treated teeth as abutments, failed more often than crowns prepared on vital teeth.37-39 In general, single endodontically treated teeth should be used cautiously as abutments to support distal extension partials or cantilevers because they are subject to additional occlusal loading.25 However, there are exceptions to this concept, which will depend on the clinician’s judgment related to the survivability of the retained tooth.

Numerous investigations have addressed success rates of fixed partial dentures (FPDs) and implant restorations. Walton et al40 reported that the long-term survival rate of FPDs was 87% at 10 years and 69% after 15 years. A recent meta-analysis concerned with the success of FPDs found that after 10 years the success rate (retained without problems) was 71.1% and the survival rate (maintained) was 89.1%.41 In contrast, the following survival rates were reported with single-unit implant restorations: 97.5% after 6 to 7 years;42 97.4% after 10 years;43 and 96.5% over 11 years.44

Endodontic Considerations

Success of Endodontic Therapies

Conventional endodontic therapy has a high success rate.45,46 However, numerous issues need to be considered before endodontic therapy with a post and crown on a tooth in the esthetic zone. The 2003/2004 Toronto study found the endodontic success rate on vital teeth to be 92%, on nonvital teeth without a periapical area to be 89%, and on nonvital teeth with a periapical area to be 74%.47 For endodontic retreatment, the study found the success rate for teeth without a periapical area to be 95% and, when there is a periapical area, 66%.48 It is also necessary to differentiate between success (no periapical area) and survival (asymptomatic with periapical radiolucency present) with regard to retained endodontically treated teeth. Survival rates indicate that 95% of teeth that underwent endodontic therapy are functional.45,46

With respect to apical surgeries, apicoectomies have a success rate of 74% and a survival rate of 91%.49 Wang et al49 noted that when there was a large periapical radiolucency present (> 5 mm) on a nonvital tooth, 65% of the sites healed, whereas if the lesions were small (< 5 mm), 86% did not manifest any periapical radiolucencies (Figure 3). A recent systematic review reported that endodontic surgery had a weighted average of 64% success rate and that resurgery was successful 36% of the time.50 Unfortunately, apicoectomies do not always avoid the need for dental implants. Furthermore, buccal fenestrations created to gain access to the periapical area may not heal with an intact buccal plate of bone. Therefore, these procedures may compromise an implant site and precipitate the need for additional bone grafting when an implant is needed.

Other Endodontic Concerns

Before any teeth are crowned, Whitworth et al51 advised that the teeth be assessed to determine if endodontic therapy is needed. This evaluation consists of a history of patient discomfort, a clinical examination (eg, fistulas, color, percussion, palpation), special tests (thermal or electrical), and radiographs. Determination of the need for endodontic therapy may impact the decision to retain or remove a tooth.

When considering endodontic therapy or apical surgery, a number of other criteria suggest that a tooth should be extracted and replaced with a dental implant: if there is abnormal root anatomy precluding successful endodontic obturation; when the root is short or thin and a post will predispose the tooth to post loosening or root fracture; and when there is a misaligned post that will weaken the root structure.

The etiology of internal root resorption is unknown.52 It is considered a benign proliferate fibro-osseous disorder, and the result of endodontic therapy and filling these lesion sites is not predictable. Therefore, these teeth should be considered for extraction if this condition is detected in the esthetic zone to avoid compromising an implant site if endodontic therapy fails.

Pulp Mortality Among Crowned Teeth

Individual teeth that require endodontic therapy or that will be used as abutments for a fixed prosthesis call for crown preparation. In this regard, studies disagree on the number of teeth that will develop endodontic problems after crowning. For example, a retrospective study found a percent range of 0% to 2.19%,53 but when Valderhaug et al54 studied 291 endodontically treated teeth over 25 years, they found the percentage to be as high as 10%. Furthermore, other studies have indicated that during a 3 to 30 year period, 13.3% of teeth restored with crowns became nonvital,55 and 20% of vital teeth prepared as overdenture abutments developed periapical lesions within 2.5 to 3 years.56 Among patients with advanced periodontal disease, it has been found that 9% of crowned teeth vs 2% of uncrowned teeth become nonvital.57 Thus, it appears that a small percentage of teeth become nonvital after crowning, and this percentage may increase with time. Another factor that could contribute to teeth becoming nonvital is the preparation of teeth beyond what is usually done to correct tooth position: for example, if multiple teeth had to be made parallel to create a line of draw for a fixed prosthesis.

Previously Treated Root Canal Teeth

Endodontically treated teeth left uncrowned because of defective or lost restorations should be considered unreliable, because saliva and microorganisms migrate alongside exposed root fillings.2,58 Researchers observed that, in vitro, dye penetration reached 85% of the root length in 3 days.59 Therefore, Whitmore et al51 suggested that if a tooth were exposed more than 1 month, the filling should be revised.51 If this is not possible, then the tooth should be considered for removal, because it is at risk for failure.

The main function of endodontic posts is to retain the core; however, these posts offer no reinforcement for the tooth. Furthermore, dentin removal to facilitate post insertion may weaken the tooth and create stress concentration at its terminus.51 Therefore, whenever possible, posts should be avoided. The incidence of problems associated with posts can vary. In 1970, Roberts60 reported failure rates as high as 22% over a 5-year period.

It can be concluded that routine endodontic therapy is very successful, and survival rates for both endodontically treated teeth and dental implants are high. Therefore, it isn’t appropriate to conclude that one therapy is superior to the other based solely on success rates.61 The other factors outlined need to be considered when deciding if a tooth should be endodontically treated or replaced with a dental implant. If there are multiple issues associated with endodontic therapy that place the final restoration at risk, it may be prudent to remove the tooth and avoid potential complications.

Resistance to Disease

There is no accurate method to predict which site will experience caries in an individual. However, several authors confirmed that past caries experience was the most significant predictor for future caries development.32,33 Thus, in individuals who have a high caries index or advanced periodontitis, consideration needs to be given to using dental implants if a prosthesis is being treatment planned. At present, the preponderance of data indicate that implants can be successfully placed in patients who have lost teeth because of periodontitis. Recently, a systematic review concluded there was no increased risk of losing implants among patients who lost teeth because of progressive periodontitis, over individuals who never had periodontal disease.62 However, the patients who lost teeth because of progressive peridontitis did have a higher incidence of peri-implantitis. Baelum and Ellegaard63 also reported that implants inserted in individuals with a history of periodontitis had a 5-year survival rate compared with implants placed in nondiseased patients. In this regard, additional studies are needed to determine which surface textures affect the ability of the implant to resist peri-implantitis.

When to Save Teeth

Psychological Impact of Losing or Retaining Teeth

In general, endodontic and implant procedures cause minimal postoperative discomfort and a low incidence of complications. Nevertheless, patients’ past experiences with either treatment modality may influence their decisions and their preferred course of action.64,65 Therefore, besides dental status, time, and cost of therapy, patient preference needs to be taken into account when establishing a treatment plan.66 Strategies need to be presented and decisions should be made together to meet each patient’s best interest. Accordingly, if an individual is very emotional when the word extraction is used, consideration should be given to retaining teeth even if a better esthetic result could be attained with extraction of teeth and replacement with implants. However, the long-term consequences of delaying an extraction(s) should be explained to the patient and noted in the patient’s record.

Avoiding Two Adjacent Implants

To achieve an esthetic result, it is advantageous to have papillary symmetry between contralateral sides of the dentition and avoidance of short papillae between implants. Tarnow et al67 demonstrated that implants should be placed at least 3 mm apart to avoid bone loss, which can result in recession of papillae. In a later study, Tarnow and colleagues68 noted that the average height of a papilla between two implants was 3.4 mm and that > 50% of the papillae between implants were ≤ 3 mm in height (Figure 4).68 Therefore, to attain the best esthetics, if two adjacent implants are to be placed, modification of the treatment plan may be necessary. If possible, consideration should be given to saving one tooth to avoid short papillae.

Several scenarios may be encountered that require different management approaches to achieve the best cosmetic results. In the maxilla, if teeth Nos. 8 and 9 are missing, they can be replaced with implants, because the short papilla that will form between them can be camouflaged by creating a long contact area (Figure 5). Because the short papilla is in the midline, it does not cause asymmetry.69 On the other hand, if teeth Nos. 7 and 8 were lost, then one implant should be placed at site No. 8 and an ovate pontic should be cantilevered at site No. 7.69 If necessary, the gingiva can be augmented before ovate pontic construction. Similarly if teeth Nos. 6 and 7 were missing, then an implant could be placed at site No. 6 and an ovate pontic placed at site No. 7 (Figure 6A and Figure 6B).69 If teeth Nos. 7 through 10 were extracted, then implants should be placed at locations Nos. 7 and 10 (Figure 7).69 This will allow normal sized papillae to form distal to site Nos. 7 and 10 because the papillary height is determined by the supracrestal fibers from the adjacent natural teeth.70,71 Then the shortened mesial papilla on site Nos. 7 and 10 will be symmetrical and can blend with the short papilla between site Nos. 8 and 9.

Thin Biotype

If there is an option to retain a tooth that needs endodontic therapy, and which also has a thin, healthy biotype, then consideration should be given to retaining the tooth. This may facilitate attaining a more esthetic result than extracting the tooth because a thin biotype is prone to recession. In this regard, Kan et al72 found that when thick and thin biotype periodontiums were compared with regard to papillary height after single-tooth implant placement, the thin biotype demonstrated a shorter papilla by approximately 0.7 mm and the facial tissue was approximately 0.4 mm shorter.

Conclusions

The decision to extract or retain a compromised tooth in the esthetic zone requires guarded forward-thinking with respect to the desired outcome. All therapies have potential risks of complications and failures. Therefore, considerations concerning esthetics, functionality, and personal preferences expressed by the patient all impact the decision-making process. Ultimately, practitioners need to base their definitive therapy on: data from clinical trials, reasonable interpretation of that data concerning patient management, clinical experience, patient preferences, and the medical and dental histories of each patient.

References

1. Bader HI. Treatment planning for implants versus root canal therapy: a contemporary dilemma. Implant Dent. 2002;11(3):217-223.

2. Davarpanah M, Martinez H, Tecucianu JF, et al. To conserve or implant: which choice of therapy? Int J Periodontics Restorative Dent. 2000;20(4):412-422.

3. Mordohai N, Reshad M, Jivraj SA. To extract or not to extract? Factors that affect individual tooth prognosis. J Calif Dent Assoc. 2005;33(4):319-328.

4. Tjan AH, Miller GD, The JG. Some esthetic factors in a smile. J Prosthet Dent. 1984;51(1):24-28.

5. Sterrett JD, Oliver T, Robinson F, et al. Width/length ratios of normal clinical crowns of the maxillary anterior dentition in man. J Clin Periodontol. 1999;26(3):153-157.

6. Narcisi EM, DiPerna JA. Multidisciplinary full-mouth restoration with porcelain veneers and laboratory-fabricated resin inlays. Pract Periodontics Aesthet Dent. 1999;11(6):721-730.

7. Partial and complete edentulous maxilla implant treatment plans: fixed and overdenture prosthesis. In: Misch CE. Dental Implant Prosthetics. St. Louis, MO: Elsevier Mosby; 2004:281-308.

8. Becker W, Ochsenbein C, Tibbets L, et al. Alveolar bone anatomic profiles as measured from dry skulls. J Clin Periodontol. 1997;24(10):727-731.

9. Spear F. The esthetic management of multiple missing teeth. Inside Dentistry. 2007;3(1):72-76.

10. US Department of Health and Human Services, National Center for Health Statistics. National Health and Nutrition Examination Survey III 1988-1994, NHANES III [examination data file on CD-ROM]. Hyattsville, Maryland: Centers for Disease Control and Prevention; 1997. Public Use Data File Documentation No. 76200.

11. Goodson JM, Tanner AC, Haffajee AD, et al. Patterns of progression and regression of advanced destructive periodontal disease. J Clin Periodontol. 1982;9(6): 472-481.

12. Goodacre CJ, Bernal G, Rungcharassaeng K, et al. Clinical complications with implants and implant prostheses. J Prosthet Dent. 2003;90(2):121-132.

13. Greenstein G. Current interpretations of periodontal probing evaluations: diagnostic and therapeutic implications. Compend Contin Educ Dent. 2005;26(6):381-398.

14. Palcanis KG. Surgical pocket therapy. Ann Periodontol. 1996;1(1):589-617.

15. Atassi F. Periimplant probing: positives and negatives. Implant Dent. 2002;11(4):356-362.

16. Lekovic V, Camargo PM, Klokkevold PR, et al. Preservation of alveolar bone in extraction sockets using bioabsorbable membranes. J Periodontol. 1998;69(9):1044-1049.

17. Schropp L, Wenzel A, Kostopoulos L, et al. Bone healing and soft tissue contour changes following single-tooth extraction: a clinical and radiographic 12-month prospective study. Int J Periodontics Restorative Dent. 2003;23(4):313-323.

18. Cardaropoli G, Araújo M, Hayacibara R, et al. Healing of extraction sockets and surgically produced—augmented and non-augmented—defects in the alveolar ridge. An experimental study in the dog. J Clin Periodontol. 2005;32(5): 435-440.

19. Finne K, Rompen E, Toljanic J. Clinical evaluation of a prospective multicenter study on 1-piece implants. Part 1: marginal bone level evaluation after 1 year of follow-up. Int J Oral Maxillofac Implants. 2007;22(2):226-234.

20. Tallgren A. The reduction in face height of edentulous and partially edentulous subjects during long-term denture wear. A longitudinal roentgenographic cephalometric study. Acta Odontol Scand. 1966;24(2):195-239.

21. Atwood DA. Bone loss of edentulous alveolar ridges. J Periodontol. 1979;50(4 Spec No):11-21.

22. Gargiulo AW, Wentz FM, Orban B. Dimensions and relations of the dentogingival junction in humans. J Periodontol. 1961;32(3):261-267.

23. Vacek JS, Gher ME, Assad DA, et al. The dimensions of the human dentogingival junction. Int J Periodontics Restorative Dent. 1994;14(2):154-165.

24. Adreana S. Understanding biologic width: a practical approach. Pract Proced Aesthet Dent. 2007: 19(6):374-376.

25. McLean A. Criteria for the predictably restorable endodontically treated tooth. J Can Dent Assoc. 1998;64(9): 652-656.

26. Morgano SM. Restoration of pulpless teeth: an application of traditional principles in present and future contexts. J Prosthet Dent. 1996;75(4): 375-380.

27. de Cleen MJH. The relationship between the root canal filling and post space preparation. Int Endod J. 1993;26(1):53-58.

28. Dye BA, Tan S, Smith V, et al. Trends in oral health status: United States, 1988-1994 and 1999-2004. Vital Health Stat 11. 2007;248:1-92.

29. Selwitz RH, Ismail AI, Pitts NB. Dental caries. Lancet. 2007;369(9555):51-59.

30. Melberg JR. Demineralization and remineralization of root surface caries. Gerodontology. 1986;5(1):25-31.

31. Schwartz NL, Whitsett LD, Berry TG, et al. Unserviceable crowns and fixed partial dentures: life-span and causes for loss of serviceability. J Am Dent Assoc. 1970;81(6): 1395-1401.

32. Disney JA, Graves RC, Stamm JW, et al. The University of North Carolina Caries Risk Assessment Study: further developments in caries risk prediction. Community Dent Oral Epidemiol. 1992;20(2):64-75.

33. Powell LV. Caries prediction: a review of the literature. Community Dent Oral Epidemiol. 1998;26(6): 361-371.

34. Salama MA, Salama H, Garber DA. Guidelines for esthetic restorative options and implant site enhancement: the utilization of orthodontic extrusion. Pract Proced Aesthet Dent. 2002;14(2):125-130.

35. Aquilino SA, Shugars DA, Bader JD, et al. Ten-year survival rates of teeth adjacent to treated and untreated posterior bounded edentulous spaces. J Prosthet Dent. 2001;85(5): 455-460.

36. Wagner B, Kern M. Clinical evaluation of removable partial dentures 10 years after insertion: success rates, hygienic problems, and technical failures. Clin Oral Investig. 2000;4(2):74-80.

37. Eckerbom M, Magnusson T, Martinsson T. Reasons for and incidence of tooth mortality in a Swedish population. Endod Dent Traumatol. 1992;8(6): 230-234.

38. Randow K, Glantz PO, Zöger B. Technical failures and some related clinical complications in extensive fixed prosthodontics. An epidemiological study of long-term clinical quality. Acta Odontol Scand. 1986;44(4):241-255.

39. Reuter JE, Brose MO. Failures in full crown retained dental bridges. Br Dent J. 1984;157(2):61-63.

40. Walton TR. An up to 15 year longitudinal study of 515 metal ceramic FPDs Part 1. Outcome. Int J Prosthodont. 2002;15(5): 439-445.

41. Tan K, Pjetursson BE, Lang NP, et al. A systematic review of the survival and complication rates of fixed partial dentures (FPDs) after an observation period of at least 5 years. III. Conventional FPDs. Clin Oral Implants Res. 2004;15(6):654-666.

42. Naert I, Koutsikakis G, Duyck J, et al. Biologic outcome of single-implant restorations as tooth replacements: a long-term follow-up study. Clin Implant Dent Relat Res. 2000;2(4):209-218.

43. Priest G. Single-tooth implants and their role in preserving remaining teeth: a 10-year survival study. Int J Oral Maxillofac Implants. 1999;14(2):181-188.

44. Lindh T, Gunne J, Tillberg A, et al. A meta-analysis of implants in partial edentulism. Clin Oral Implants Res. 1998;9(2): 80-90.

45. Friedman S, Mor C. The success of endodontic therapy—healing and functionality. J Calif Dent Assoc. 2004;32(6): 493-503.

46. Salehrabi R, Rotstein I. Endodontic treatment outcomes in a large patient population in the USA: an epidemiological study. J Endod. 2004;30(12): 846-850.

47. Friedman S, Abitbol S, Lawrence HP. Treatment outcome in endodontics: the Toronto Study. Phase 1: initial treatment. J Endod. 2003;29(12):787-793.

48. Farzaneh M, Abitbol S, Friedman S. Treatment outcome in endodontics: the Toronto study. Phases I and II: orthograde retreatment. J Endod. 2004;30(9): 627-633.

49. Wang N, Knight K, Dao T, et al. Treatment outcome in endodontics: the Toronto Study. Phases I and II: apical surgery. J Endod. 2004;30(11):751-761.

50. Peterson J, Gutmann JL. The outcome of endodontic resurgery: a systematic review. Int Endod J. 2001;34(3):169-175.

51. Whitworth JM, Walls AW, Wassell RW. Crowns and extra-coronal restorations: endodontic considerations: the pulp, the root-treated tooth and the crown. Br Dent J. 2002;192(6):315-327.

52. Gunraj MN. Dental root resorption. Oral Surg Oral Med Oral Pathol Oral Radiol Endod. 1999;88(6):647-653.

53. Lackard MW. A retrospective study of pulpal response in vital adult teeth prepared for complete coverage restorations at ultrahigh speed using only air coolant. J Prosthet Dent. 2002;88(5): 473-478.

54. Valderhaug J, Jokstad A, Ambjørnsen E, et al. Assessment of the periapical and clinical status of crowned teeth over 25 years. J Dent. 1997;25(2):97-105.

55. Ettinger RL, Qian F. Postprocedural problems in an overdenture population: a longitudinal study. J Endod. 2004;30(5):310-314.

56. Felton D, Madison S, Kanoy E, et al. Long term effects of crown preparation on pulp vitality [abstract]. J Dent Res. 1989;68(Spec Iss):1009.

57. Bergenholtz G, Nyman S. Endodontic complications following periodontal and prosthetic treatment of patients with advanced periodontal disease. J Periodontol. 1984;55(2):63-68.

58. Khayat A, Lee S J, Torabinejad M. Human saliva penetration of coronally unsealed obturated root canals. J Endod. 1993;19(9):458-461.

59. Swanson K, Madison S. An evaluation of coronal microleakage in endodontically treated teeth. Part I. Time periods. J Endod. 1987;13(2):56-59.

60. Roberts DH. The failure of retainers in bridge prostheses. An analysis of 2,000 retainers. Br Dent J. 1970;128(3): 117-124.

61. Dawson AS, Cardaci SC. Endodontics versus implantology: to extirpate or integrate? Aust Endod J. 2006;32(2): 57-63.

62. Schou S, Holmstrup P, Worthington HV, et al. Outcome of implant therapy in patients with previous tooth loss due to periodontitis. Clin Oral Implants Res. 2006;17(Suppl 2):104-123.

63. Baelum V, Ellegaard B. Implant survival in periodontally compromised patients. J Periodontol. 2004;75(10): 1404-1412.

64. Clancy JM, Buchs AU, Ardjmand H. A retrospective analysis of one implant system in an oral surgery practice: phase I, patient satisfaction. J Prosthet Dent. 1991;65(2):265-271.

65. Weibrich G, Buch RS, Wegener J, et al. Five-year prospective follow-up report of the Astra tech standard dental implant in clinical treatment. Int J Oral Maxillofac Implants. 2001;16(40): 557-562.

66. Berggren U. Long-term management of the fearful adult patient using behavior modification and other modalities. J Dent Educ. 2001;65(12):1357-1368.

67. Tarnow DP, Cho SC, Wallace SS. The effect of inter-implant distance on the height of inter-implant bone crest. J Periodontol. 2000;71(4):546-549.

68. Tarnow D, Elian N, Fletcher P, et al. Vertical distance from the crest of bone to the height of the interproximal papilla between adjacent implants. J Periodontol. 2003;74(12):1785-1788.

69. Tarnow D. The esthetic anterior implant. Continuing education course presented at: American Academy of Periodontology, 93rd Annual Meeting; Oct 27, 2007; Washington, DC.

70. Choquet V, Hermans M, Adriaenssens P, et al. Clinical and radiographic evaluation of the papilla level adjacent to single-tooth dental implants. A retrospective study in the maxillary anterior region. J Periodontol. 2001;72(10):1364-1371.

71. Grunder U. Stability of the mucosal topography around single-tooth implants and adjacent teeth: 1-year results. Int J Periodontics Restorative Dent. 2000;20(1):11-17.

72. Kan JY, Rungcharassaeng K, Umezu K, et al. Dimensions of peri-implant mucosa: an evaluation of maxillary anterior single implants in humans. J Periodontol. 2003;74(4):557-562.

About the Author

Gary Greenstein, DDS, MS, Department of Periodontology and Implant Dentistry, New York University College of Dentistry, New York, New York; Private Practice, Freehold, New Jersey

John Cavallaro, DDS, Associate Professor, Department of Periodontology and Implant Dentistry, New York University College of Dentistry, New York, New York; Private Practice, Brooklyn, New York

Dennis Tarnow, DDS, Professor and Chairman, Department of Periodontology and Implant Dentistry, New York University College of Dentistry, New York, New York; Private Practice, New York, New York

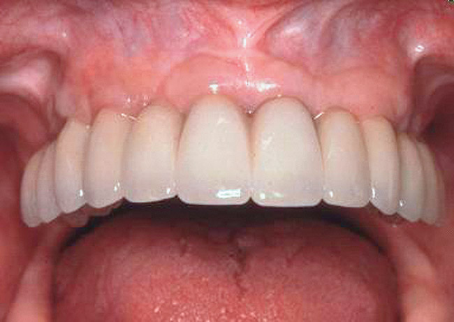
Figure 1  Periodontal surgical procedures on compromised teeth to eliminate deep probing depths usually result in recession interdentally and facially.

Figure 1

Figure 2  Crown lengthening should be avoided if there is caries under a crown in the esthetic zone because it will result in recession and an unesthetic appearance.

Figure 2

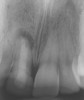
Figure 3   Teeth with periapical lesions > 5 mm should be considered for extraction in the esthetic zone.

Figure 3

Figure 4  The average height of a papilla between 2 implants is 3.4 mm. Note the short papilla between implant-supported crowns on teeth Nos. 9 and 10.

Figure 4

Figure 5  Implants at sites Nos. 8 and 9 with a long contact area between them.

Figure 5

Figure 6a  If teeth Nos. 6 and 7 are missing, one implant should be placed at site No. 6 and site No. 7 should be cantilevered as an ovate pontic. Note that the implant was placed with an abutment at site No. 6.

Figure 6a

Figure 6b  Site No. 6 was restored with a crown and the pontic at site No. 7 was cantilevered off the crown at site No. 6.

Figure 6b

Figure 7  If teeth Nos. 7 through 10 need to be replaced, implants should be inserted at locations Nos. 7 and 10. This facilitates retention of normal sized papilla distal to site Nos. 7 and 10 because the papillary height is determined by the supracrestal fibers from the adjacent natural teeth.

Figure 7

Learning Objectives:

After reading this article, the reader should be able to:

  • describe the consequences of surgical procedures in the maxillary anterior region.
  • discuss factors that need to be considered when treatment planning in the esthetic zone.
  • list alternate treatment plans for the premaxilla zone that can be used to maintain esthetics.

Disclosures:

The author reports no conflicts of interest associated with this work.

Queries for the author may be directed to justin.romano@broadcastmed.com.