CDEWorld > Courses > Restoration of the Endodontically Treated Tooth

CE Information & Quiz

Restoration of the Endodontically Treated Tooth

Howard E. Strassler, DMD

September/October 2009 Issue - Expires Tuesday, September 30th, 2014

Dentistry India

Abstract

The decision making for the type of restoration required to treat an endodontically treated tooth should be based on multiple factors. Critical in concept of the restorative management of the endodontically treated tooth are control of microleakage by establishing a coronal seal, having an adequate biologic width of the periodontium, and the development of a ferrule in the placement of a definitive restoration. Consideration also must be given to whether the endodontically treated tooth will need a post. To place a post in a root canal, an apical seal of 4 mm to 5 mm of gutta-percha must be maintained. The length of the post space should be at least one half of the root length. Endodontic posts can be classified into two groups: (1) custom-made, laboratory fabricated, and (2) prefabricated direct placement. While posts are used extensively in the restoration of the endodontically treated tooth, their use should be limited to those clinical cases in which the core needs to be retained by the post. A major risk when using post systems to restore endodontically treated teeth is that of vertical root fracture. Concepts based on evidence presented in this article provide guidance when selecting the technique that will be used when restoring endodontically treated teeth.

You must be signed in to read the rest of this article.

Login Sign Up

Registration on CDEWorld is free. Sign up today!
Forgot your password? Click Here!

The decision making for the restoration of an endodontically treated tooth must begin with an assessment of the success and prognosis of the endodontic treatment of that tooth. The guidelines for restoration of the endodontically treated tooth evolve from this assessment.1-7

The outcome of endodontic treatment has been documented in a number of studies. Typically, these studies are not accomplished with clinical evaluation but with radiographic evaluation only. In almost all cases, there is no comparison with pretreatment radiographs and clinical signs and symptoms. In most cases the longevity of endodontic treatment is not known. The determination of success relates to periapical status. Tronstad et al reported an overall success rate of endodontically treated teeth at 67.4%.8 Teeth with posts had a success rate of 70.7% and teeth without posts had a success rate of 63.6%. They concluded that the technical quality of root canal treatment was more important than the coronal quality of the restoration.

Ray and Trope reported that based on radiographic evidence of 1,010 endodontically treated teeth, there was a success rate of 61.1%.9 The evaluation criteria included the quality of the coronal restoration and endodontic fill. They stated that the quality of the coronal restoration was more important to endodontic success than endodontic fill quality, which contradicts the Tronstad study.

Hommez et al evaluated radiographs of 745 root-filled teeth. Of the teeth evaluated, 33% had a radiographic diagnosis of apical periodontitis.10 Both the quality of the coronal restoration and endodontic filling are important criteria in evaluating endodontic success based on periapical status. Kayahan et al used radiographs to evaluate 1,268 endodontically treated teeth.11 The quality of root canal fillings was evaluated according to the criteria determined by Tronstad. Apical status was assessed by the Periapical Index scores. Of interest, 59.5% of the endodontically treated teeth evaluated demonstrated a healthy peri-apex, meaning that 41.5% were potentially not successful. Typically, teeth with good endodontic therapy had a higher rate of healthy peri-apices regardless of the type of the restoration. Also, teeth restored with posts had significantly more periapical pathosis. They concluded that although the quality of the root canal filling plays a key role in the outcome of endodontic therapy, the type of restoration can also be a contributing factor in the treatment outcome.

Imura et al evaluated a total of 2,000 teeth both clinically and radiographically that had been treated with initial endodontic treatment and non-surgical retreatment by a specialist.12 Of the 1,376 teeth with initial endodontic treatment, the success rate was 94%; for the retreatment cases (624 teeth) the success rate was 85.9%. Multi-rooted teeth demonstrated a significantly lower percentage of success than premolars and anterior teeth. Travassas et al reported a success rate of 82.9% but noted that patients with less education had lower rates of success (55.6%) compared to more-educated patients (89.7%).13 A 10-year study of teeth treated endodontically by dental students demonstrated an 85.1% success rate.14

Endodontic success is dependent upon two significant factors: the quality of the endodontic treatment and the quality of the coronal seal established by the restoration.8,10,15-17 When treatment planning the restoration of an endodontically treated tooth, a thorough assessment must be done to evaluate the following:

  1. Radiographic evidence of a good apical seal.
  2. No sensitivity to pressure (percussion).
  3. No sensitivity to palpation of the periapical area.
  4. No exudates.
  5. No fistulous tract.
  6. No active inflammation.
  7. Acceptable root canal filling.
  8. The tooth is asymptomatic.
  9. Evidence of apical healing.7

The decision-making for the type of restoration required to treat an endodontically treated tooth after the therapy has been deemed successful should be based on (in no specific order) the periodontal status of the tooth; the amount of remaining tooth structure; the presence or absence of additional restorations other than the endodontic access; caries risk; morphologic differences between anterior and posterior teeth; the type of restoration planned (eg, will the tooth be an abutment of a fixed or removable partial denture); the presence or absence of adjacent contacts; and occlusion and parafunctional occlusal habits. The final decision for restoration planning should include the expected load and load vectors that will be placed on the tooth along with the remaining tooth structure. Critical in the restorative management of the endodontically treated tooth are control of microleakage by establishing a coronal seal, having an adequate biologic width of the periodontium, and the development of a ferrule in the placement of a definitive restoration.18 Consideration also must be given to whether the endodontically treated tooth will need a post.6,7

When and Where to Use Posts

Many times, endodontically treated teeth are compromised in their overall remaining coronal structure because of caries, previous restorations, trauma, and the endodontic access. Reeh et al evaluated reduction in tooth stiffness as a result of endodontic and restorative procedures.19 They found that the tooth was inherently stiff and resistant to flexion. Once a tooth was prepared, the rigidity of the tooth was reduced. An occlusal cavity preparation reduced tooth stiffness by 20%, and loss of marginal ridge integrity with a mesial-occlusal-distal preparation reduced cuspal stiffness by 63%. In comparison, an endodontic access preparation reduced relative tooth stiffness by a mere 5%. Other studies have confirmed that the loss of tooth structure makes endodontically treated teeth more susceptible to fracture.20-22 Some practitioners believe that posts placed in the restoration of an endodontically treated tooth reinforce that tooth.7 Research studies have demonstrated that metal posts, both prefabricated and cast, may in fact lead to root fracture (Figure 1A and Figure 1B).23-25

The decision to use a post when restoring an endodontically treated tooth should be based on remaining tooth structure after the removal of all caries and remaining restorative materials.7 If the coronal structures of a tooth are primarily intact and the primary preparation is the access opening for endodontic treatment and the tooth has favorable occlusion (eg, an anterior tooth that has been traumatized but not fractured that becomes non-vital), a routine restoration without a post would be indicated. When significant portions of the crown are missing as a result of caries and/or fracture or in the presence of an existing restoration that restores multiple tooth surfaces, there may be a need to use a post to provide the coronal restoration with accessory retention.6,7 The types and uses of endodontic posts have evolved with the materials that are used to restore teeth. Recently, the use of adhesive resin cements with fiber posts has been shown to provide root reinforcement.26-30 The use of the post, therefore, is dependent on the amount of tooth structure remaining and the ability of that tooth structure to retain the restorative material. The clinical success of post systems has been well demonstrated.31-35

The use of a post-crown fabricated from gold or silver to restore a root-filled tooth was described more than 200 years ago by Fauchard.36 Today, it is accepted clinical practice to use a post to retain the coronal restoration after endodontic treatment when a significant amount of the coronal tooth structure is missing.6,7 While the use of posts is a standard of care when restoring many endodontically treated teeth, there are disadvantages and risks when using posts. These include: placing a post usually requires additional preparation of the root canal and removing dentin within the root canal, especially at the apical end of the root; placing a post is an additional procedure when restoring the tooth; the post can interfere with endodontic retreatment through the root canal; and the post can place undue forces on the root and tooth in function that may put the tooth at risk in the future.37

Root Canal Preparation for Posts

To place a post in a root canal, the gutta-percha root canal filling material must be removed and an apical seal of 4 mm to 5 mm of gutta-percha maintained.38 In recent years, the method for performing the root canal filling may include the use of a gutta-percha carrier made of plastic or metal that is broken off when the gutta-percha is seated into the prepared root canal. Before attempting to prepare a post space, assess the type of root canal filling material. If the root canal has been filled with a carrier-type system, it may be necessary to re-treat the root canal before placing a post. When creating a post space, care must be taken to follow the prepared root canal. Select a post shape and size that will maintain as much of the root canal dentin wall as possible after the removal of the gutta-percha. It has been recommended that the post diameter be no larger than one third the diameter of the root.39 Larger-diameter metal posts can lead to premature failure from root fracture.3,40 The post selected to restore the tooth should match the diameter of the root canal and not exceed one half the diameter of the root. Guttman outlined criteria for anatomic and biologic considerations when restoring endodontically treated teeth.41 He stated that thin, tapering roots, anatomic irregularities, and tooth thinness can contribute to perforation and root weakening during root canal preparation for post placement. Parallel-sided posts, when chosen, should be sized so that additional tooth root preparation is not required to remove tooth structure where the tooth root is thinnest, at the apical third of the root. He recommended a tapered post that required little if any additional intra-radicular dentin removal for post preparation.

The length of the post space should be at least one half the root length while still maintaining the apical seal of gutta-percha.3,7,37 It is recommended that gutta-percha be removed using a heated endodontic instrument and/or canal-safe Gates-Glidden drills. Aggressive use of inflexible post drills within the root canal can lead to perforation of the canal with subsequent negative consequences on the survivability of the tooth (Figure 2).3,7 This author recommends that the post drills provided by manufacturers be used more as a canal-sizing instrument than for post preparation within the canal. The rationale for using the post drill in this manner assures that the root canal is not overprepared with the potential of perforation of the root canal. It is important when removing the gutta-percha that the length of the root canal be known so that whichever technique is used to remove the gutta-percha, the instrument can be marked to the length of root canal preparation desired. In the case of a rotary instrument or a heated instrument, an endodontic stopper can be placed on the instrument to the length desired (Figure 3). After making the post space, it is advisable to make a radiograph of that tooth to verify the length of the post space and the removal of the gutta-percha (Figure 4).

Types of Endodontic Posts

Endodontic posts can be classified into two groups: (1) custom-made, laboratory fabricated, and (2) prefabricated direct placement. Custom-made posts usually are fabricated by the dental laboratory with the coronal portion (core) attached. A custom-made, morphologic cast post requires two visits for placement. During the first visit, the pattern for the cast post-and-core or an impression of the tooth preparation and root canal post space would be made. These custom posts can be fabricated from dental metals (eg, high-noble, low-noble, and base metals) or from ceramic materials (eg, pressed porcelain) and are cemented into the root canal. The standard for custom, morphological cast post and cores is high-noble alloys (Type III or IV gold). Using a high-noble gold alloy for a custom cast post-and-core that has physical properties similar to tooth structure is easy to adjust at chairside. The high price of high-noble gold alloys has led some practitioners to use less-expensive base metals in the fabrication of cast post-and-cores. Unfortunately, their hardness is a major disadvantage during chairside adjustment. Adjustment of the core portion after cementation can lead to tooth or root fracture.6 Also, chairside adjustment/preparation of the core immediately after cementation can negatively impact the cement/post interface because of the heat and vibration of preparation.

Another type of morphologic post procedure is a single-visit placement using an ultra-high molecular weight, polyethylene lock-stitch weave, composite-resin reinforcing ribbon and a fourth-generation adhesive with a dual-cure composite-resin core material. This type of morphologic core has been shown to be beneficial by being root- and tooth-reinforcing in the restoration of endodontically treated teeth with over-flared canals and endodontic access preparations.41,42

Prefabricated posts made from metals, ceramics, and fiber-reinforced resin-based substrates are available (Table 1 and Table 2). Prefabricated metal posts can be made from stainless steel, titanium, titanium alloys, and gold-plated brass. Ideally, the materials used for posts should possess physical properties similar to dentin, be easily adjusted, be cemented with adhesives that adhere to root dentin, and resist corrosion. The perfect post or post-and-core system is still not within our grasp, although fiber-reinforced polymer posts have many of the desired criteria.




When further classifying prefabricated posts, there are additional subgroupings of active and passive designs. Active posts engage the dentinal walls of the root canal. This is accomplished by preparing the root canal with a post drill that is slightly undersized when compared to the matching post of a given system. Primary retention of an active prefabricated post is through a frictional fit to the walls of the root canal. Active posts can assert more stress on the root, which can lead to root fracture and should only be considered for short roots when additional retention is desired.6,7

Passive posts require that the canal be prepared larger than the post that is to be placed. They are safer than active posts and do not create any internal stresses on the root canal during insertion. Retention of a passive post is accomplished by cementing the post into the root canal with a dental luting material. Dental cements for prefabricated posts include zinc-phosphate cement, polycarboxylate cement, glass-ionomer cement, and resin cements. In recent years, glass-ionomer and resin cements have become the standard for post cementation. While metal posts can be cemented with any type of cement, fiber posts require the use of a dual-cure or self-cure adhesive composite resin cementing technique. The variation in the techniques require that a clinician follow the recommendations of the manufacturer for post cementation.37 For the placement of any cement within the root canal for post cementation, it is highly recommended that cement be extruded into the root canal using a tube dispenser (Figure 5). Research has shown that the use of this device more consistently applies all types of cements into root canals than a lentulo spiral.44

Post design and shape has been based on both anatomic considerations and features that improve retention of the post within the root canal and retention of the core material built in the coronal portion of the tooth. Post shapes include a parallel-wall design, a tapered design, and a hybrid parallel-tapered shape. Posts can have a variety of textures to include smooth, serrated, threaded, and an hourglass shape to improve retention of the post within the root canal when cemented. The heads of some posts have retention features designed to offer additional retention of the coronal restorative material. In research studies, post retention within the root canal is improved with the addition of serrations and threads to a post.45,46 Also, parallel metal posts are more retentive than tapered posts when pull tests are performed to evaluate retention of a post within a root canal.47,48 When using a parallel-sided post, it is critical to use the apical diameter of the root canal to determine the post size to be selected. One should not prepare and enlarge the apical end of the root canal to accommodate a parallel-sided post. Tapered posts are anatomically shaped to mimic the shape of the root canal from coronal to apical end. Use of a tapered post is less likely to weaken the apical end of the tapered root canal.6,41

Factors in Restoration Decision Making

In a case where the tooth has an access preparation only, no post is necessary. The final restoration can be an adhesive composite resin.7,23-25 For premolars and anterior teeth when an access and only one proximal surface is compromised, an adhesive restoration should be sufficient with the composite resin expending into the pulp chamber.49,50 Also, there are other factors that contribute to success when restoring the endodontically treated tooth. It has been demonstrated that endodontically treated teeth with two proximal contacts have substantially better survival than teeth with fewer than two proximal contacts.51 Also, alveolar bone loss from periodontal disease may lead to a decreased risk of endodontically treated tooth survival.52

In cases where significant tooth structure is missing, consideration should be given to restoring the coronal portion of the tooth as a foundation for a full-coverage crown. The restoration of the coronal portion of the tooth can be with a direct restorative material, amalgam or composite resin, or an integrated cast post-and-core.4,6,7 Studies have shown a strong correlation between crown placement and survivability of endodontically treated teeth where tooth structure has been compromised.53-55 Overall survival rates of endodontically treated molars without crown placement at 1, 2, and 5 years had survival rates of 96%, 88%, and 36% respectively.56 In a University of Iowa study evaluating 600 endodontically treated teeth, teeth that were not crowned had a six times greater rate of loss than endodontically treated teeth that were crowned.57

In consideration of the crown preparation, there needs to be sufficient tooth structure remaining to create a ferrule of at least 1.5 mm to 2 mm. Ferrule refers to an extension of the tooth preparation beyond the core restorative so that there is a continuous ring at least 1.5 mm to 2 mm in length of sound tooth structure 360° around the crown preparation. This ensures that the tooth has a rigidity to resist coronal leakage and fracture.58,59 This stiffness of the ferrule will ensure clinical success.60-62 An evaluation of the remaining dentin thickness at the cementoenamel junction (CEJ) is important to determine if there is sufficient tooth structure to support a crown. In the case of a thin-walled root canal, it may be necessary to plan a porcelain-metal crown to conserve the remaining tooth structure when compared to an all-ceramic crown that requires a minimum 1-mm shoulder preparation at the CEJ. If an adequate ferrule is not developed in the crown preparation, the tooth and core are at risk of fracture (Figure 6A through Figure 6C).

While posts are used extensively in the restoration of the endodontically treated tooth, their use should be limited to those clinical cases in which the core needs to be retained by the post.6,7,63-65 For endodontically treated molars, there is usually sufficient tooth structure remaining and the presence of the internal walls of the pulp chamber to retain a core. The use of a post is usually not necessary for molars. If a post is necessary because of significant loss of tooth structure, the consideration should be that the post is placed in the straightest, largest canal. Small-diameter, curved canals are at risk for perforation during post placement. Post placement should be in the distal canal of a mandibular molar and palatal canal of a maxillary molar.

In some cases, the root canal is enlarged. This may be because of the need for endodontic treatment of a young anterior tooth because of trauma (Figure 7), a tooth that has had the root canal enlarged during endodontic treatment, or any tooth that has significant caries in the pulp chamber. For the young child, maintaining the tooth is critical and in some cases an apexification procedure is necessary. For an adult patient, treatment recommendations for an enlarged root canal or caries in the pulp chamber should include replacement with an implant. For the young, immature tooth where there is an enlarged root canal and the root and crown are at risk of fracture, an adhesive-resin cement can be used for root reinforcement. In a widely flared canal, the use of a clear, light-transmitting post with a fourth-generation etch-and-rinse adhesive and a light-cure composite is recommended. The technique with the light-transmitting post involves restoring the enlarged, overprepared root canal with an adhesive restorative composite resin with the post placed centered in the root canal. The post extends 2 mm from the canal and is light-cured at right angles for 1 to 2 minutes. The post is removed leaving a composite resin “canal” that can then be restored with either a prefabricated post or a custom-cast post-and-core. The composite reinforces the overflared canal (Figure 8A and Figure 8B).66-68

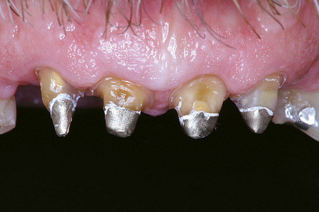
Although there have been trends to use prefabricated post systems, there are specific clinical situations where a morphological, custom-cast post-and-core with a high-noble alloy would be beneficial. A cast post-and-core is the restoration of choice for clinical circumstances where there is limited tooth structure available to develop a ferrule when preparing the tooth for a crown or when there is insufficient tooth structure available to create an anti-rotational design to the core on a prefabricated post.6 Mandibular incisors, maxillary incisors, and canines that have minimal amounts of coronal tooth structure remaining are good candidates for a custom, morphological cast-gold post and core.4-6,69 There are two techniques that can be used when fabricating a custom-made, laboratory-fabricated post. A custom-made post can be fabricated directly in the mouth on the tooth preparation using a plastic post that is burnt-out during the metal-casting or ceramic-pressing process. A more predictable technique uses an impression of the tooth preparation and the root canal (Figure 9A and Figure 9B). This saves chairtime. The impression is poured by the laboratory and casting patterns are made on the master cast by the laboratory technician for casting in either metal or ceramic (Figure 10). The final custom-made post is then cemented into the root canal (Figure 11).

Risk of Root Fracture

A major risk when using post systems to restore endodontically treated teeth is that of vertical root fracture.6,7 A review of the literature reveals that vertical root fractures most frequently occur in posterior teeth in patients between ages 45 and 60.70 The average elapsed time between the endodontic treatment and the subsequent diagnosis of vertical fracture was found to be approximately 10 years. The evidence and symptoms most often found are mild pain in the area of the fractured tooth often accompanied by swelling and fistula, along with a deep pocket in just one area of the attachment surrounding the tooth. Radiographic evidence of the fracture demonstrates a radiolucent area at the site of the fracture. The sign most often revealed by x-ray is a radiolucent peri-radicular band. The major etiologic factors that contribute to vertical root fracture are metal-post placement and over-enlarged root canals during endodontic treatment and restoration with a metal post.71

In recent years, there has been major interest in fiber-reinforced composite posts. In vitro studies have demonstrated that a metal post transmits energy down the post to the apical end of the post within a root canal leading to catastrophic fracture.1,41,72,73 When a fiber-reinforced post is bonded within the root canal it dissipates functional and parafunctional forces reducing the stress on the root.74 In these cases, the post or crown will fracture instead of the post transmitting the energy of force down the root creating a vertical root fracture.

Conclusion

Patient interest in maintaining the natural dentition has led to an increase in endodontic treatment. Improvements in endodontic treatment techniques have led to more predictable treatment outcomes. The clinician faces a challenge in evaluating and treatment planning restoration of these teeth. Restoration of the endodontically treated tooth starts with an understanding of the properties of core materials and posts used when restoring these teeth, as well as the anatomic considerations of the root canal and coronal portion of the tooth to be restored. Concepts based on the evidence presented in this article provide guidance when selecting the technique that will be used when restoring endodontically treated teeth.

References

1. Goodacre CJ, Spolnik KJ. The prosthodontic management of endodontically treated teeth: a literature review. Part I. Success and failure data, treatment concepts. J Prosthodont. 1994;3(4):243-250.

2. Goodacre CJ, Spolnik KJ. The prosthodontic management of endodontically treated teeth: a literature review. Part II. Maintaining the apical seal. J Prosthodont. 1995;4(1):51-53.

3. Goodacre CJ, Spolnik KJ. The prosthodontic management of endodontically treated teeth: a literature review. Part III. Tooth preparation considerations. J Prosthodont. 1995;4(2):122-128.

4. Morgano SM, Rodrigues AH, Sabrosa CE. Restoration of endodontically treated teeth. Dent Clin North Am. 2004;48(2): 397-416.

5. Goodacre CJ. Five factors to be considered when restoring endodontically treated teeth. Pract Proced Aesthet Dent. 2004; 16(6):457-462.

6. Rosenstiel SF. Restoration of the endodontically treated tooth. In:Rosenstiel SF, Land MF, Fujimoto J, eds. Contemporary Fixed Prosthodontics. 3rd ed. St. Louis, MO: C.V. Mosby Co.; 2001:272- 306.

7. Cheung W. A review of the management of endodontically treated teeth. J Am Dent Assoc. 2005;136(5):611-619.

8. Tronstad L, Asbjornsen K, Doving L, et al. Influence of coronal restorations on the periapical health of endodontically treated teeth. Endod Dent Traumatol. 2000;16(5):218-221.

9. Ray HA, Trope M. Periapical status of endodontically treated teeth in relation to the technical quality of the root filling and the coronal restoration. Int Endod J. 1995;28(1):12-18.

10. Hommez GM, Coppens CR, De Moor RJ. Periapical health related to the quality of coronal restorations and root fillings. Int Endod J. 2002; 35(8):680-689.

11. Kayahan MB, Malkondu O, Anpolat C, et al. Periapical health related to the type of coronal restorations and quality of root canal fillings in a Turkish subpopulation. Oral Surg Oral Med Oral Pathol Oral Radiol Endod. 2008;105(1):58-62.

12. Imura N, Pinheiro ET, Gomes BP, et al. The outcome of endodontic treatment: a retrospective study of 2000 cases performed by a specialist. J Endod. 2007;33(11):1278-1282.

13. Travassos RM, Caldas AF, de Albuquerque DS. Cohort study of endodontic therapy success. Braz Dent J. 2003;14(2):109-113.

14. Dammaschke T, Steven D, Kaup M, Ott KH. Long-term survival of root-canal-treated teeth: a retrospective study over 10 years. J Endod. 2003;29(10):638-643.

15. Chugal NM, Clive JM, Spångberg LS. Endodontic treatment outcome: effect of the permanent restoration. Oral Surg Oral Med Oral Pathol Oral Radiol Endod. 2007; 104(4):576-582.

16. Siqueira JF Jr, Rocase IN, Alves FR, Campos LC. Periradicular status related to the quality of coronal restorations and root canal fillings in a Brazilian population. Oral Surg Oral Med Oral Pathol Oral Radiol Endod. 2005;100(3):369-374.

17. Ricucci D, Grondahl K, Bergenholtz G. Periapical status of root filled teeth exposed to the oral environment by loss of restoration or caries. Oral Surg Oral Med Oral Pathol Oral Radiol Endod. 2000;90(3):354-359.

18. Cheung W. Properties of and important concepts in restoring endodontically treated teeth. Dent Asia. 2004;Sept/Oct:40-47.

19. Reeh ES, Messer HH, Douglas WH. Reduction in tooth stiffness as a result of endodontic and restorative procedures. J Endod. 1989;15(11):512-516.

20. Reeh ES, Douglas WH, Messer HH. Stiffness of endodontically-treated teeth related to restoration technique. J Dent Res. 1989;68(11):1540-1544.

21. Lynn J, Messer HH. Effect of restorative procedures on the strength of endodontically treated molars. J Endod. 1994;20(10):479-485.

22. Assif D, Nissan J, Gafni Y, Gordon M. Assessment of the resistance to fracture of endodontically treated molars restored with amalgam. J Prosthet Dent. 2003;89(5):462-465.

23. Guzy GE, Nicholls JI. In vitro comparisons of intact endodontically treated teeth with and without endo-post reinforcement. J Prosthet Dent. 1979;42(1):39-44.

24. Trope M, Maltz DO, Tronstad L. Resistance to fracture of restored endodontically treated teeth. Endod Dent Traumatol. 1985;1(3):108-111.

25. Heydecke G, Butz F. Strub JR. Fracture strength and survival rate of endodontically treated maxillary incisors with approximate cavities after restoration with different post and core systems: an in-vitro study. J Dent. 2001;29(6):427-433.

26. Strassler HE, Simon R, Hiatt H, Behnia A. Using an esthetic post to restore and reinforce a maxillary incisor. Contemporary Esthetics and Restorative Practice. 2000;4(2):36-44.

27. Qualtrough AJ, Mannocci F. Tooth-colored post systems: a review. Oper Dent. 2003;28(1):86-91.

28. Ferrari M, Vichi A, Mannocci F, Mason PN. Retrospective study of the clinical performance of fiber posts. Am J Dent. 2000; 13(Special issue):9B-13B.

29. Pitel ML, Hicks NL. Evolving technology in endodontic posts. Compend Contin Educ Dent. 2003;24(1):13-29.

30. Brown PL, Hicks NL. Rehabilitation of endodontically treated teeth using a radiopaque fiber post. Compend Contin Educ Dent. 2003;24(4):275-284.

31. Morgano SM, Milot P. Clinical success of cast metal posts and cores. J Prosthet Dent. 1993;70(1):11-16.

32. Salvi GE, Siegrist Guldener BE, Amstad T, et al. Clinical evaluation of root filled teeth restored with or without post-and-core systems in a specialist practice setting. Int Endod J. 2007; 40(3):209-215.

33. Jung RE, Kalkstein O, Sailer I, et al. A comparison of composite post buildups and cast gold post-and-core buildups for the restoration of nonvital teeth after 5 to 10 years. Int J Prosthodont. 2007;20(1):63-69.

34. Piovesan EM. Demkarco FF, Cenci MS, Pereira-Cenci T. Survival rates of endodontically treated teeth restored with fiber-reinforced custom posts and cores: a 97 month study. Int J Prosthodont. 2007;20(6):633-639.

35. Ferrari M, Cagidiaco MC, Goracci C, et al. Long-term retrospective study of the clinical performance of fiber posts. Am J Dent. 2007;20(5):287-291.

36. Fauchard P. The Surgeon Dentist. Vol II. Birmingham, Al: Classics of Dentistry Library; 2nd edition 1980:173-204.

37. Strassler HE. Fiber posts: a clinical update. Inside Dentistry. 2007;3(3):70-77.

38. Mattison GD, Delivanis PD, Thacker RW, et al. Effect of post preparation on the apical seal. J Prosthet Dent. 1984;51(6): 785-789.

39. Shillingburg HT, Kessler JC, Wilson EL. Root dimensions and dowel size. Cal Dent Assoc J. 1982;10(10):43-49.

40. Trabert KC, Caputo AA, Abou-Rass M. Tooth fracture—a comparison of endodontic and restorative treatments. J Endod. 1978;4(11):341-345.

41. Gutmann JL: The dentin-root complex: anatomic and biologic considerations in restoring. J Prosthet Dent. 1992;67(4):458-467.

42. Deliperi S, Bardwell DN, Coiana C. Reconstruction of devital teeth using direct fiber-reinforced composite resins: a case report. J Adhes Dent. 2005;7(2):165-171.

43. Vitale MC, Caprioglio C, Martignone A, et al. Combined technique with polyethylene fibers and composite resins in restoration of traumatized anterior teeth. Dent Traumatol. 2004;20(3): 172-177.

44. Strassler HE, Campbell R, Wycall B, VonFraunhofer JA. Evaluation of two techniques for cement application into root canals. J Dent Res. 2000;79:435, abstract no. 2332.

45. Peroz I, Blankenstein F, Lange KP, Namumann M. Restoring endodontically treated teeth with posts and cores-a review. Quintessence Int. 2005;36(9):737-746.

46. Standlee JP, Caputo AA. Effect of surface design on retention of dowels cemented with a resin. J Prosthet Dent. 1993;70(5): 403-405.

47. Sorensen JA, Martinoff JT. Clinically significant factors in dowel design. J Prosthet Dent. 1984;52(1):28-35.

48. Standlee JP, Caputo AA, Hansen EC. Retention of endodontic dowels: effects of cement, dowel length, diameter, and design. J Prosthet Dent. 1978;39(4):400-405.

49. Dietschi D, Due O, Krejci I, Sadan A. Biomechanical considerations for the restoration of endodontically treated teeth: a systematic review of the literature—Part 1. Composition and micro-and macrostructure alterations. Quintessence Int. 2007; 38(9):733-743.

50. Soares PV, Santos-Filho PC, Martins LR, Soares CJ. Influence of restorative technique on the biomechanical behavior of endodontically treated maxillary premolars. Part 1: fracture resistance and fracture mode. J Prosthet Dent. 2008;99(2):30-37.

51. Caplan DJ, Koker J, Rivera EM, Walton RE. Relationship between number of proximal contacts and survival of root canal treated teeth. Int Endod J. 2002;35(2):193-199.

52. Naumann M, Rosentritt M, Preuss A, Dietrich T. The effect of alveolar bone loss on the load capability of restored endodontically treated teeth: a comparative in vitro study. J Dent. 2006; 34(10):790-795.

53. Aquilino SA, Caplan DJ. Relationship between crown placement and the survival of endodontically treated teeth. J Prosthet Dent. 2002;87(3):256-263.

54. Mannocci F, Bertelli E, Sherriff M, et al. Three-year clinical comparison of survival of endodontically treated teeth restored with either full cast coverage or with direct composite resin. J Prosthet Dent. 2002;88(3):297-301.

55. De Backer H, Van Maele G, De Moor N, et al. An 18-year retrospective survival study of full crowns with and without posts. Int J Prosthodont. 2006;19(2):136-142.

56. Nagasiri R, Chitmongkolsuk S. Long-term survivability of endodontically treated molars without crown coverage: a retrospective cohort study. J Prosthet Dent. 2005;93(2):164-170.

57. Lynch CD, Burke FM, Ríordaín R, Hannigan A. The influence of coronal restoration type on the survival of endodontically treated teeth. Eur J Prosthodont Restor Dent. 2004;12(4):171-176.

58. Libman WJ, Nicholls JI. Load fatigue of teeth restored with cast posts and cores and complete crowns. Int J Prosthodontics. 1995;8(2):155-161.

59. Freeman MA, Nicholls JI, Kydd WL, Harrington GW: Leakage associated with load fatigue-induced preliminary failure of full crowns placed over three different post and core systems. J Endod. 1998;24(1):26-32.

60. Tan PL, Aquilino SA, Gratton DG, et al. In vitro fracture resistance of endodontically treated central incisors with varying ferrule heights and configurations. J Prosthet Dent. 2005;93(4): 331-336.

61. Zhi-Yue L, Yu-Xing Z. Effects of post-core design and ferrule on fracture resistance of endodontically treated maxillary central incisors. J Prosthet Dent. 2003;89(4):368-373.

62. Dikbas I, Tanalp J, Ozel E, et al. Evaluation of the effect of different ferrule designs on the fracture resistance of endodontically treated maxillary central incisors incorporating fiber posts, composite cores and crown restorations. J Contemp Dent Pract. 2007;8(7):62-69.

63. Ferrari M, Cagidiaco MC, Grandini S, et al. Post placement affects survival of endodontically treated premolars. J Dent Res. 2007;86(8):729-734.

64. Sorrentino R, Salameh Z, Zarone F, et al. Effect of post-retained composite restoration of MOD preparations on the fracture resistance of endodontically treated teeth. J Adhes Dent. 2007;9(1):49-56.

65. Sirimai S, Riss DN, Morgano SM. An in vitro study of the fracture resistance and the incidence of vertical root fracture of pulpless teeth restored with six post-and-core systems. J Prosthet Dent. 1999;81(3):262-269.

66. Katebzadeh N, Dalton BC, Trope M. Strengthening immature teeth during and after apexification. J Endod. 1998;24(4): 256-259.

67. Gluskin AH, Ahmed I, Herrero DB. The aesthetic post and core: unifying radicular form and structure. Pract Proced Aesthet Dent. 2002;14(4):313-321.

68. Saupe WA, Gluskin AH, Radke RA Jr. A comparative study of fracture resistance between morphological dowel and cores and a resin-reinforced dowel system in the intraradicular restoration of structurally compromised roots. Quintessence Int. 1996:27(7):483-491.

69. Gluskin AH, Radke RA, Frost SL, Watanabe LG. The mandibular incisor: rethinking guidelines for post and core design. J Endod. 1995;21(1):33-37.

70. Testori T, Badino M, Castagnola M. Vertical root fractures in endodontically treated teeth: a clinical survey of 36 cases. J Endod. 1993;19(2):87-91.

71. Llena-Puy MC, Forner-Navarro L, Barbero-Navarro I. Vertical root fracture in endodontically treated teeth: a review of 25 cases. Oral Surg Oral Med Oral Pathol Oral Radiol Endod. 2001;92(5):553-555.

72. Newman MP, Yaman P, Dennison J, Rafter M, Billy E. Fracture resistance of endodontically treated teeth restored with composite posts. J Prosthet Dent. 2003;89(4):360-367.

73. Ferrari M, Vichi A, Garcia-Godoy F. Clinical evaluation of fiber reinforced epoxy resin posts and cast post and core. Am J Dent. 2000;13(Special Issue):15B-18B.

74. Clinical Research Associates Newsletter: Post and core, state of the art. 1998;22(11):2-3.

About the Author

Howard E. Strassler, DMD; Professor and Director of Operative Dentistry; Department of Endodontics, Prosthodontics, and Operative Dentistry; University of Maryland Dental School; Baltimore, Maryland

Figure 1a  Mandibular first molar with distal root fracture. Note the root canal perforation and post in the mesial root.

Figure 1a

Figure 1b  Mandibular second premolar with a short, large-diameter post that has created a vertical root fracture.

Figure 1b

Figure 2  Post space created off-line from root canal creating a root perforation.

Figure 2

Figure 3   Use of an endodontic stopper on all instruments used in the root canal will assist in attaining the length of post space desired.

Figure 3

Figure 4  Take verifying radiographs to check on gutta- percha removal and length of post space desired.

Figure 4

Figure 5  Placement of a resin cement into a root canal before post placement.

Figure 5

Figure 6a  Inadequate ferrule on maxillary central incisor crown led to fracture.

Figure 6a

Figure 6b  Central incisor after crown fracture. This was not an endodontically treated tooth.

Figure 6b

Figure 6c  Mandibular molar fracture with inadequate ferrule in crown preparation.

Figure 6c

Figure 7  Immature central incisor fractured before completion of apexification. Note the enlarged, immature root canal.

Figure 7

Figure 8a  Enlarged root canal with thin dentin root canal walls.

Figure 8a

Figure 8b  Composite resin "canal" created using an etch-and-rinse fourth-generation adhesive and hybrid composite resin with a clear light-transmitting post.

Figure 8b

Figure 9a  Maxillary incisors (with short roots) after endodontic treatment, crown margin, and post preparation.

Figure 9a

Figure 9b  Impression of the crown and root canal post preparation.

Figure 9b

Figure 10  Cast gold post and cores for teeth No. 7 through 10 on the master cast.

Figure 10

Figure 11  Cemented cast gold post and cores.

Figure 11

Learning Objectives:

After reading this article, the reader should be able to:

  • describe the evaluation needed when making the decision to restore an endodontically treated tooth.
  • describe the indications for the different types of post and post and core systems.
  • define and describe the importance of a ferrule when preparing endodontically treated teeth for full-coverage restorations.
  • describe techniques for restorative the endodontically treated tooth.

Disclosures:

The author reports no conflicts of interest associated with this work.

Queries for the author may be directed to justin.romano@broadcastmed.com.