CDEWorld > Courses > Modern Minimally Invasive Dentistry

CE Information & Quiz

Modern Minimally Invasive Dentistry

Wynn Okuda, DMD, AAACD, FICD, FICOI

November 2019 RN - Expires Wednesday, November 30th, 2022

Inside Dentistry

Abstract

Developments in dentistry over the past century have given dentists the ability to provide patients with minimally invasive treatment solutions. From microinvasive treatment to comprehensive cosmetic restorative treatment, the role of minimally invasive dentistry in restorative treatment has expanded. It is always important to explore progressive ideas that allow the dentist to preserve a patient’s natural dentition when possible, instill good health and function, recreate natural esthetics, and achieve long-term success. With advancements in innovative materials, new and improved clinical techniques can be developed to meet these goals. This article focuses on the modern approach to minimally invasive esthetic restorative dentistry.

You must be signed in to read the rest of this article.

Login Sign Up

Registration on CDEWorld is free. Sign up today!
Forgot your password? Click Here!

The Philosophy of Modern Minimally Invasive Dentistry

The philosophy of modern minimally invasive dentistry (MMID) is based on current technology and its influence on the development of new techniques. This contemporary approach has its foundation in evidence-based dentistry; however, it allows clinicians to view dentistry through a less traditional lens and infuse innovative thinking in clinical dentistry. The goals of MMID include the maintenance of natural dentition, instilling good health and function, recreating natural esthetics, and achieving long-term success. New approaches are essential for the evolution of dentistry and for the benefit of our patients.

Nanotechnology and Composite Resins

Molecular engineering of materials has changed the scope of MMID. With these advancements, new options in techniques expand and improve dental care.1 For example, use of nanotechnology in the development of composite resins has changed the approach to esthetic restorative dentistry, with a focus on less removal of tooth structure, improved and predictable color blending using a simplified layering approach for easier application, and easier polishing techniques for long-term success.

In direct esthetic restorative dentistry, nanocomposite resins are continually improving and evolving.2-4 Nanohybrid composite resin (ie, KALORE™ Universal, GC America Inc., www.gcamerica.com) represents the latest advance. With tremendous improvements in material chemistry, nanohybrid composite resin assists clinicians in achieving beautiful esthetic results for their patients. It is a proprietary monomer that provides low shrinkage stress. Clinically, low shrinkage stress improves marginal integrity to reduce microleakage.5 Improvements to the prepolymerized filler particles, along with the long-chain monomer, also help to reduce the shrinkage stress. This provides a harder, ceramic-like surface; long-term wear resistance; and maintenance of high gloss over an extended period of time.

Achieving predictable color harmony between restorative material and natural tooth structure is one of many challenges faced by dentists who employ MMID. To create invisible restorations with composite resin, the clinician must understand color—hue, value, and chroma—and how it interrelates with the human dentition. 6-8 In addition, translucency adds a fourth dimension that makes tooth structure very complex from a visual aspect. Translucency is an important element that allows light to only diffusely pass through an object, creating depth of color.9 This is an especially important property for a composite resin material to have so that a chameleon effect can be achieved. The composition of this nanohybrid composite resin includes many different refractive index fillers, allowing the composite material to “chameleon” itself to the surrounding shade of the tooth being restored, making it simple to achieve great esthetic results. Clinically, this resin makes it easier to attain an invisible restoration for all classifications of direct restorative treatment, especially difficult Class IV restorations.

Injectable Composite Resins

In the evolution of dental materials, it has been of interest to researchers to develop materials that are user-friendly for clinicians, such as providing the ability to restore smaller carious lesions with a simple technique using flowable composite resins. Although flowable resins have been used since the mid-1990s, their heavy resin matrix and less-than-ideal binding of filler to resin matrix have made them an unreliable option for definitive final restorations. To modernize treatment and attain superior outcomes using MMID, researchers have employed “outside the box” thinking.

Over the past several years, there has been much development in the area of MMID materials. Injectable composite resin is truly a material devised by thinking “outside the box,” designed for fast application, fast polishing, and high gloss. Injectable resins give clinicians an alternative to flowable resins for confidently performing Class I, II, III, IV, and V restorations.

Injectable composite resins were developed in an effort to combine the user-friendly aspect of flowable resins with the strength, color shades, and polishability of conventional nanohybrid composite resins. For example, the unique chemistry of G-ænial™ Universal Flo (GC America Inc.), a “liquid” composite resin, features 200-nm strontium glass fillers homogeneously dispersed for high flexural strength, lower flexural modulus, and wear resistance.10 The new silane coupling technology creates a stronger adhesion between the glass fillers and resin matrix, thereby increasing flexural strength and sustained high surface luster.

Recreating Nature with MMID

Case 1

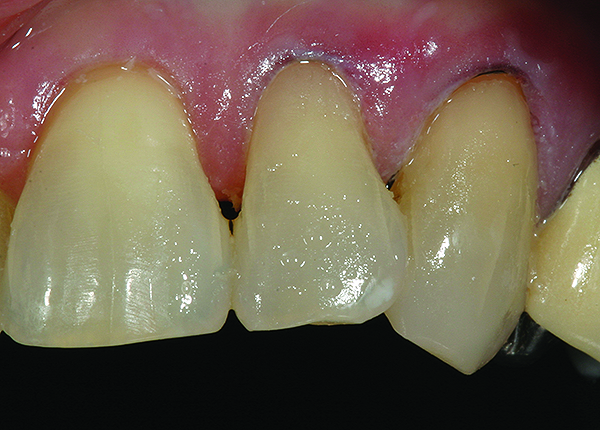
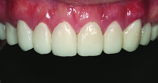
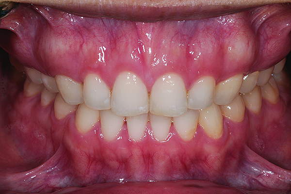
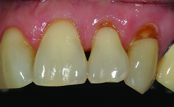
A 55-year-old woman presented with root decay along the left lateral incisor (tooth No. 10) and canine (tooth No. 11) (Figure 1). It was proposed that invisible Class V restorations be placed using an MMID procedure. There are several keys to attaining a successful invisible Class V restoration. Proper understanding of composite resin shade selection, preparation design, and sequence of composite resin layering are important to achieve an ideal blending of the composite resin to the existing tooth. Correct finishing and polishing technique is equally essential in obtaining a seamless esthetic restoration.3,11

Shade selection is always completed before initiating treatment; this is important to develop the proper shade-layering sequence. Composite shades were placed directly on the tooth and shades that matched the areas of the tooth being restored were chosen (Figure 2). To achieve an invisible Class V restoration, a more complex layering process is needed to blend the composite resin.

Total removal of the decay was performed. To keep the preparation minimally invasive, a caries indicator (Seek®, Ultradent Products, Inc., www.ultradent.com) was used so that only the infected dentin was removed. Minimally invasive burs (Micro Prep Kit, Komet USA, www.kometusa.com) were used, which are helpful when minimal tooth removal is an objective (Figure 3). A long-bevel margin (889M-007, Komet USA) was then created along the facial side so that the final composite resin could be blended to the existing dentition. A thin layer of resin-modified glass ionomer (RMGI) (GC Fuji II™ LC, GC America Inc.) was sculpted and light-cured to cover the affected dentin.

Before bonding, the enamel was etched with 37% phosphoric acid (ETCH-37™ 37% Phosphoric Acid Etchant, BISCO, Inc., www.bisco.com). A dentinal adhesive (ALL-BOND UNIVERSAL®, BISCO, Inc.) was placed, blown thin for 10 seconds with forceful compressed air, and then light-cured for 20 seconds (Figure 4). Using an injectable composite resin (G-ænial Universal Flo), a sequence of composite resin layering was performed to blend the composite resin to the existing tooth and create a natural polychromatic effect. To match the chromaticity along the gingival area, an opacious dentin shade, AO2, was bonded over the RMGI to mimic the lost dentin (Figure 5). Using a free-hand sculpt technique, universal shade A2 was injected over the opacious dentin composite resin with an emphasis on placing a convex anatomy to simulate natural dentition. Because of the chameleon effect and the depth of color of the body shade A2, no other shades were needed (Figure 6).

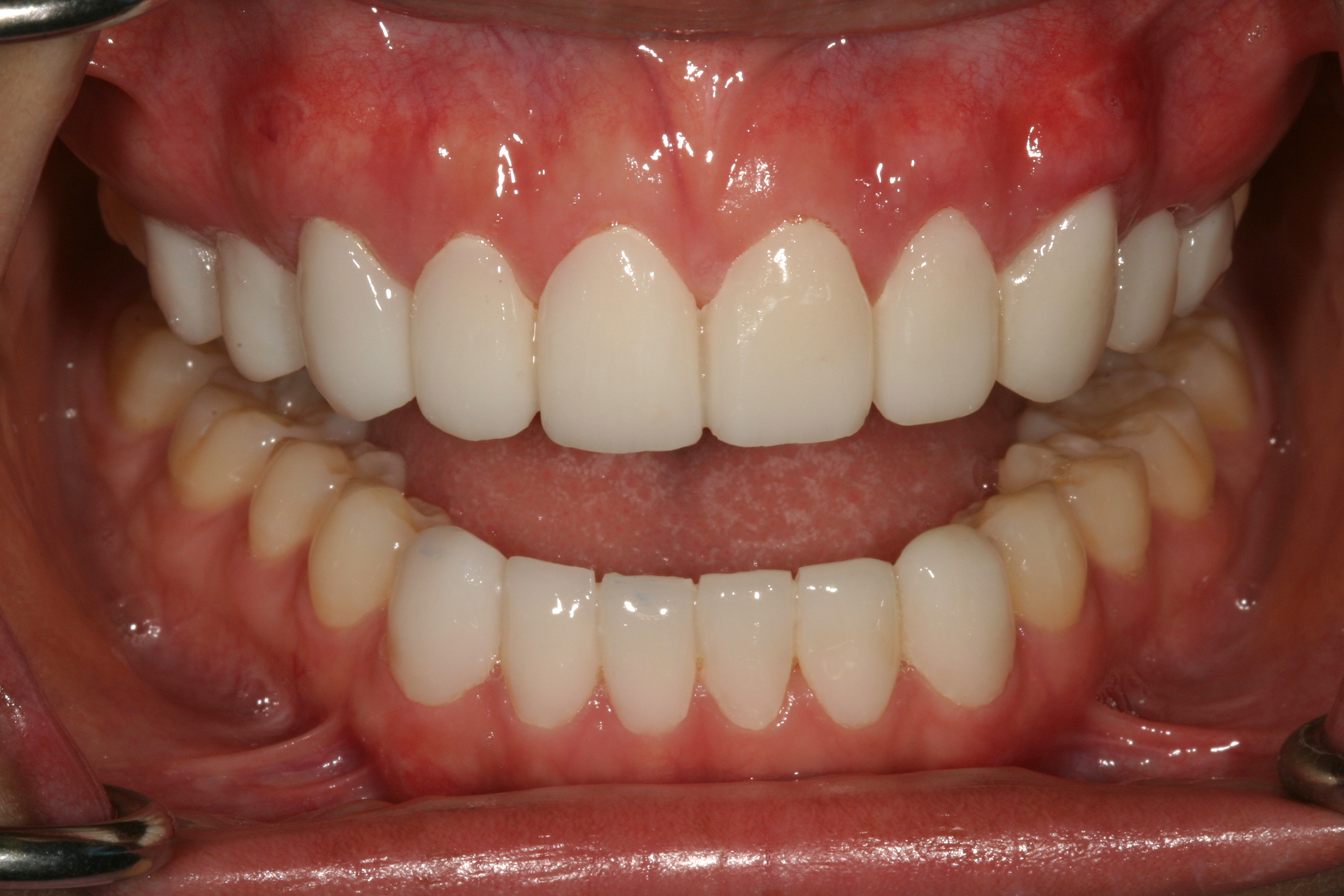
After final light-curing, esthetic contours were refined using aluminum oxide finishing discs (Sof-Lex™ Finishing Disc, 3M ESPE, www.3mespe.com) and Q-Finisher® composite resin finishing burs (H50AQ, Komet USA). Finally, microdiamond-infused polishing wheels and 1.0-µm microdiamond polishing paste brought out the surface luster of this injectable composite resin (Figure 7 and Figure 8). Using proper technique and state-of-the-art dental materials, natural color, contour, and finish to mimic tooth were achieved.12

Advantages of Using RMGI in MMID

Use of glass ionomers in minimally invasive interventions is well documented. When tooth surfaces are exposed to low pH on a long-term basis, demineralization occurs. This reduction of tooth surface integrity leads to enamel degradation and surface cavitation. Fluoride plays an important role in the process of strengthening the tooth structure. In the presence of free fluoride ions, remineralization occurs and fluorapatite forms, rendering the surface resistant to demineralization. Fluoride provides additional benefits as a mild bacteriostatic factor. Therefore, a restorative material that releases fluoride ions can assist in protecting the tooth structure from demineralization.13-15 Glass ionomers are one such material and effectively demonstrates this anti-caries property.

After removal of the bacteria-infected dentin, use of an RMGI as a cavity liner provides a chemical and light-cured bond to dentin, as well as fluoride release. Adhesion of glass ionomer to normal dentin occurs by way of an ion-exchange mechanism, as well as a hydrogen bonding or metallic-ion bridging, to demineralized dentin, resulting in a microleakage-free zone.16-18 In the case of RMGI, an amorphous interfacial zone called the absorption layer is formed between the dentin and the RMGI.19 In proximity to affected dentin, glass ionomer creates a caries-resistant environment, and encourages remineralization of tooth structure and good pulpal response.

As a cavity base, glass ionomer also plays a critical role in MMID. As a biomimetic dentin substitute, glass ionomers can be used as a base before the composite resin is placed; this more direct application of the material is referred to as the sandwich technique. The combination of the glass ionomer and resin reduces the amount of shrinkage stress between the direct resin restoration and the cavity preparation walls by approximately 20% to 50%.18 A significant reduction in polymerization contraction stress can be achieved when using this kind of incremental build-up technique, in which composite resin is layered over RMGI.16,20

Posterior Restorative Application

Case 2

A 48-year-old patient presented with an old, failing Class I alloy restoration and showed recurrent decay on the lower molars (Figure 9). After the existing alloy was removed, the remaining tooth structure was evaluated. It was determined that despite the significant extent of caries present, it would be possible to perform a minimally invasive procedure using an injectable composite resin and an RMGI (Figure 10).

After removing the infected dentinal layer, a caries-detection stain was used to determine if further tooth removal would be necessary. On removal of all infected dentin, a chlorhexidine gluconate swab (CAVITY CLEANSER™ 2% Chlorhexidine Digluconate, BISCO, Inc.) was used to remove any surface bacteria on the prepared site. Next, a polyacrylic acid scrub was performed for 20 seconds to condition the dentin surface. An RMGI (GC Fuji II LC) was sculpted and light-cured to cover the affected and unaffected dentin.4,13,18,19 After the RMGI liner was fully cured, a micropreparation diamond bur (830RM.FG.009, Komet USA) was used to refine the internal form of the preparation. Marginal beveling to a 45° taper was completed along the cavosurface of the final tooth preparations.15

A dentinal adhesive resin was used to further seal the cavity preparation. Using a seventh-generation adhesive (ALL-BOND UNIVERSAL), a polymer chain union was created between the composite resin and RMGI.16 Following proper placement of the adhesive resin, an injectable composite resin (G-ænial Universal Flo) was placed over the RMGI, causing intimate union between the materials. An incremental build-up technique using the injectable composite resin was then easily employed to anatomically reconstruct the tooth.21-23 Because the selected resin has an excellent depth of color, a natural-looking result was achieved with a single shade of resin.24,25

Accurate contouring and margination was achieved using Q-Finisher composite resin finishing burs for final finishing. A composite finishing (H247UF.314.009, Komet USA) (H274Q.314.018, Komet USA) was used to develop initial occlusal anatomy, after which a 30-fluted finishing bur refined the occlusal surface smoothness. Finally, using one-step microdiamond-infused finishing points (C9479, Komet USA) and a microdiamond polishing paste, a natural-looking finish and polish was achieved (Figure 11).27

Dentistry’s Responsibility to Modernize

Our traditional approaches to dentistry are a solid treatment foundation; however, assessment and comprehensive treatment of dental problems often require an excessive number of appointments that can take many months or years to complete. In our modern society, this old fashioned style of treatment may now be considered unacceptable. The dental profession must take the time to participate in the development and evolution of patient care so that dental problems can be resolved in quicker timeframes without sacrificing quality. This evolution must take place to sustain public confidence in our profession. It is with this objective that the concept of minimally invasive comprehensive dentistry, which uses evidenced-based information as a foundation for the development of new, predictable modalities for more extensive treatment, was devised. By instilling creativity into the process, modern versions of traditional treatment methods can be created.

Case 3

A healthy 24-year-old woman presented to the office with a desire to modify a high, gummy smile and small teeth (Figure 12). Over the course of many years, she had undergone extensive orthodontic treatment, including the removal of four bicuspids. The orthodontic outcome left her arches extremely narrow and her smile line angled severely inward (Figure 13). Clinically, her occlusion was in bilateral group function (Figure 14 and Figure 15). Many dentists with whom she had consulted advised that her only option was to undergo Le Fort I osteotomy to reduce the gumminess of her smile and lessen her vertical maxillary overgrowth (Figure 16). Although this traditional approach may have resolved the issue of her gummy smile, it addressed neither her small teeth as they related to her smile nor her malocclusion. In an effort to provide the patient with a more comprehensive solution, a minimally invasive comprehensive dentistry treatment plan was devised and presented to her. This modern approach would conservatively and effectively address all of the patient’s concerns.

When looking at the patient’s face, the vertical facial thirds appeared normal (Figure 17 and Figure 18). Visually, her lower facial third appeared smaller, only because the teeth-to-face proportion looked small.26 It was suspected that a Le Fort I osteotomy would reduce the vertical height of the patient’s mid-face and adversely alter a positive component of her facial beauty. This proposed option of leaving the mid-face intact and addressing her dental concerns without invasive jaw surgery was very enticing to the patient. Using a minimally invasive comprehensive dentistry approach, a minimally invasive gingival crown-lengthening procedure was presented as a treatment option to reduce her vertical maxillary overgrowth. In addition, porcelain veneers would be bonded after the gingival healing. Due to its minimally invasive nature and faster treatment time, this treatment plan was chosen by the patient.

First, a full periodontal assessment was performed to determine gingival sulcus depth, position of biologic width, osseous crestal location, and periodontal biotype (Figure 19).27,28 Excess gingival tissue was then removed along the facial surface of teeth No. 3 to No. 14 with a diode laser (Figure 20). Because this was a combination-treatment case, laser-assisted gingival sculpting was the preferred treatment of choice. The diode laser cauterized the wound site, making same-day porcelain veneer preparations possible. To reestablish the biologic width apically, microsurgical diamond burs were used to reduce the vertical and horizontal crestal bone.29-33 Using this technique of flapless gingival surgery allows the patient’s healing time and pain to be minimal.

Using the combination of laser-assisted gingival surgery and the osseous crown-lengthening technique, the patient’s high, gummy smile was amended and osseous removal was minimal compared with the outcome that would have likely been achieved had the patient undergone Le Fort I osteotomy. Use of these techniques and options resulted in quick healing time for the patient, and after 3 days, accelerated healing was already realized (Figure 21).

Because the porcelain veneer preparations (teeth No. 3 through No. 14; teeth No. 22 through No. 27) and esthetic temporization (Luxatemp Ultra, DMG America, www.dmg-america.com) were completed on the day of the surgery, the patient was able determine and articulate her esthetic and functional goals after one appointment (Figure 22 through Figure 24). Through minimally invasive comprehensive dentistry, we are able to use creativity to modernize a traditional approach to comprehensive dental treatment. Because of the minimally invasive nature of these modern dental plans, this approach is well liked and easily accepted by patients (Figure 25).

Conclusion

The advent of technology has affected many aspects of our lives. Smart computers, tablet computers, smart phones, and smart cars are just a few examples of how our lives have changed in this modern world. With this technology, we are able to obtain practically any piece of information with just a touch of our fingers. Through this advanced technology, we have come to expect instant gratification in many areas of our lives. With this permeating our society, dentistry has a responsibility to keep up with advances as it relates to patient care.

In the evolution of MMID, it is important to explore progressive ideas aimed at advancing the profession while also preserving patients’ natural dentition when possible. With advancements in innovative materials, improved minimally invasive techniques are continually in development. For example, the latest advancements in injectable composite resins are offering long-term solutions in place of what were previously short-term restorations.

The concept of MMID is just as important as it relates to comprehensive dental treatment, and minimally invasive comprehensive dentistry is a trend that dentists should continue to pursue. Tooth- and osseous tissue−conserving methods could replace traditional treatment as a new standard of comprehensive care. Using a creative approach to dentistry, we are able to provide our patients with new options and a new level of excellence.

About the Author

Dr. Wynn Okuda is the past national president and a board-accredited member of the American Academy of Cosmetic Dentistry. He has a regular column on esthetic restorative dentistry in General Dentistry. He is also the esthetic dentistry expert to the National Dental Expert Advisory Board of the Academy of General Dentistry. Dr. Okuda is the founder of the Okuda Educational Institute for Innovative Dentistry in Honolulu, Hawaii, which provides advancement in professional education in cosmetic, implant, and restorative dentistry for clinicians around the world. His practice is located in Honolulu, Hawaii. He can be reached at www.okudacosmeticdentistry.com.

References

1. Kugel G. Materials continue to expand dentistry’s options. Compend Contin Educ Dent. 2012;33(1):80.

2. Mitra SB, Wu D, Holmes BN. An application of nanotechnology in advanced dental materials. J Am Dent Assoc. 2003;134(10):1382-1390.

3. Fahl N Jr, Denehy GE, Jackson RD. Protocol for predictable restoration of anterior teeth with composite resins. Pract Periodontics Aesthet Dent. 1995;7(8):13-21; quiz 22.

4. Mount GJ, Ngo H. Minimal intervention: a new concept for operative dentistry. Quintessence Int. 2000;31(8):527-533.

5. Trushkowsky RD, Gwinnett AJ. Microleakage of Class V composite, resin sandwich, and resin-modified glass ionomers. Am J Dent. 1996;9(3):96-99.

6. Ubassy G. Shape and Color: The Key to Successful Ceramic Restorations. Chicago, IL: Quintessence Publishing; 1993.

7. Rufenacht CR. Fundamentals of Esthetics. Chicago, IL: Quintessence Publishing; 1990.

8. Sieber C. Voyage: Visions in Color and Form. Chicago, IL: Quintessence Publishing; 1994.

9. Muia P. The Four Dimensional Color System. Chicago, IL: Quintessence Publishing; 1993.

10. Christensen GJ. New flowable resins: good, bad or just hype? Clinicians Report. 2013;6(7).

11. Fahl N Jr, Swift EJ Jr. The invisible Class IV restoration. J Esthet Dent. 1989;1(4):111-113.

12. Barghi N. Surface polishing of new composite resins. Compend Contin Educ Dent. 2001;22(11):918-920, 922, 924.

13. Mount GJ. Minimal intervention dentistry: rationale of cavity design. Oper Dent. 2003;28(1):92-99.

14. Hicks J, Garcia-Godoy F, Donly K, Flaitz C. Fluoride-releasing restorative materials and secondary caries. J Calif Dent Assoc. 2003;31(3):229-245.

15. Mount GJ, Ngo H. Minimal intervention: early lesions. Quintessence Int. 2000;31(8):535-546.

16. Mount GJ, Ngo H. Minimal intervention: advanced lesions. Quintessence Int. 2000;31(9):621-629.

17. Lin A, McIntyre NS, Davidson RD. Studies on the adhesion of glass-ionomer cements to dentin. J Dent Res. 1992;71(11):1836-1841.

18. McLean JW. Dentinal bonding versus glass-ionomer cements. Quintessence Int. 1996;27(10):659-667.

19. Tay FR, Sidhu SK, Watson TF, Pashley DH. Water-dependent interfacial transition zone in resin-modified glass-ionomer cement/dentin interfaces. J Dent Res. 2004;83(8):644-649.

20. Davidson CL. Glass-ionomer bases under posterior composites. J Esthet Dent. 1994;6(5):223-224.

21. Magne P, Holz J. Stratification of composite restorations: systematic and durable replication of natural aesthetics. Pract Periodontics Aesthet Dent. 1996;8(1):61-68; quiz 70.

22. Lopes GC, Vieira LC, Araujo E. Direct composite resin restoration: a review of some clinical procedures to achieve predictable results in posterior teeth. J Esthet Restor Dent. 2004;16(1):19-31; discussion 32.

23. Okuda WH. Simplified posterior aesthetics using microhybrid composite resins: techniques for success. Pract Proced Aesthet Dent. 2004;16(2):135-140; quiz 142.

24. Jordan RE, Suzuki M. Posterior composite restorations. Where and how they work best. J Am Dent Assoc. 1991;122(11):31-37.

25. Dietschi D, Magne P, Holz J. Recent trends in esthetic restorations for posterior teeth. Quintessence Int. 1994;25(10):659-677.

26. Sarver DM. Assessment of the face. Esthetic Orthodontics and Orthognathic Surgery. St. Louis, MO: Mosby; 1998:7-13.

27. Kois JC. Altering gingival levels: the restorative connection. Part I: biologic variables. J Esthet Dent. 1994;6(1):3-7.

28. Kois JC. The restorative-periodontal interface: biological parameters. Periodontol 2000. 1996;11:29-38.

29. Tarnow DP, Manger AW, Fletcher P. The effect of the distance from the contact point to the crest of bone on the presence or absence of the interproximal dental papilla. J Periodontol. 1992;63(12):995-996.

30. Sonick M. Esthetic crown lengthening for the maxillary anterior teeth. Compend Contin Educ Dent. 1997;18(8):807-12, 814-6, 818-9; quiz 820.

31. Levine DF, Handelsman M, Ravon NA. Crown lengthening surgery: a restorative-driven periodontal procedure. J Calif Dent Assoc. 1999;27(2):143-151.

32. Cook DR, Mealey BL, Verret RG, et al. Relationship between clinical periodontal biotype and labial plate thickness: an in vivo study. Int J Periodontics Restorative Dent. 2011;31(4);345-354.

33. Fu JH, Yeh CY, Chan HL, et al. Tissue biotype and its relation to the underlying bone morphology. J Periodontol. 2010;81(4):569-574.

About the Author

Wynn Okuda, DMD, AAACD, FICD, FICOI
Founder
Okuda Educational Institute for
Innovative Dentistry
Honolulu, HI
Private Practice
Honolulu, HI

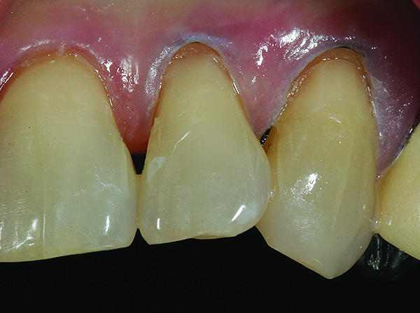
CASE 1 INITIAL RESTORATION STEPS (1.) Extensive root decay along teeth No. 10 and No. 11. (2.) Composite resin try-in was done to develop final layering sequence. (3.) Teeth were isolated and minimally invasive preparations were completed with minimally invasive burs. (4.) After a thin liner of resin-modified glass ionomer was placed, dentinal adhesive was bonded to the root in preparation for composite placement. (5.) To match the chromaticity along the gingival aspect, an opacious dentin shade (AO2) was bonded over the resin-modified glass ionomer to mimic the lost dentin.

Figure 1

CASE 1 INITIAL RESTORATION STEPS (1.) Extensive root decay along teeth No. 10 and No. 11. (2.) Composite resin try-in was done to develop final layering sequence. (3.) Teeth were isolated and minimally invasive preparations were completed with minimally invasive burs. (4.) After a thin liner of resin-modified glass ionomer was placed, dentinal adhesive was bonded to the root in preparation for composite placement. (5.) To match the chromaticity along the gingival aspect, an opacious dentin shade (AO2) was bonded over the resin-modified glass ionomer to mimic the lost dentin.

Figure 2

CASE 1 INITIAL RESTORATION STEPS (1.) Extensive root decay along teeth No. 10 and No. 11. (2.) Composite resin try-in was done to develop final layering sequence. (3.) Teeth were isolated and minimally invasive preparations were completed with minimally invasive burs. (4.) After a thin liner of resin-modified glass ionomer was placed, dentinal adhesive was bonded to the root in preparation for composite placement. (5.) To match the chromaticity along the gingival aspect, an opacious dentin shade (AO2) was bonded over the resin-modified glass ionomer to mimic the lost dentin.

Figure 3

CASE 1 INITIAL RESTORATION STEPS (1.) Extensive root decay along teeth No. 10 and No. 11. (2.) Composite resin try-in was done to develop final layering sequence. (3.) Teeth were isolated and minimally invasive preparations were completed with minimally invasive burs. (4.) After a thin liner of resin-modified glass ionomer was placed, dentinal adhesive was bonded to the root in preparation for composite placement. (5.) To match the chromaticity along the gingival aspect, an opacious dentin shade (AO2) was bonded over the resin-modified glass ionomer to mimic the lost dentin.

Figure 4

CASE 1 INITIAL RESTORATION STEPS (1.) Extensive root decay along teeth No. 10 and No. 11. (2.) Composite resin try-in was done to develop final layering sequence. (3.) Teeth were isolated and minimally invasive preparations were completed with minimally invasive burs. (4.) After a thin liner of resin-modified glass ionomer was placed, dentinal adhesive was bonded to the root in preparation for composite placement. (5.) To match the chromaticity along the gingival aspect, an opacious dentin shade (AO2) was bonded over the resin-modified glass ionomer to mimic the lost dentin.

Figure 5

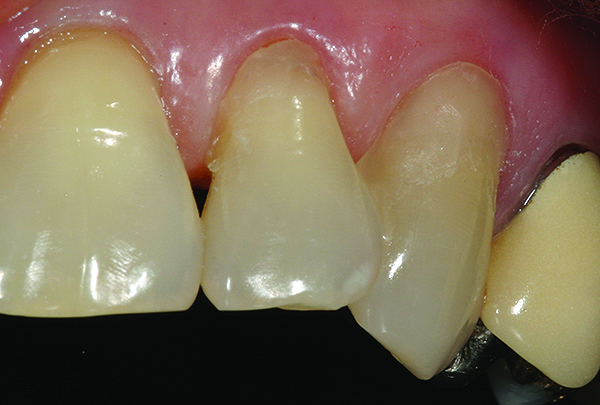
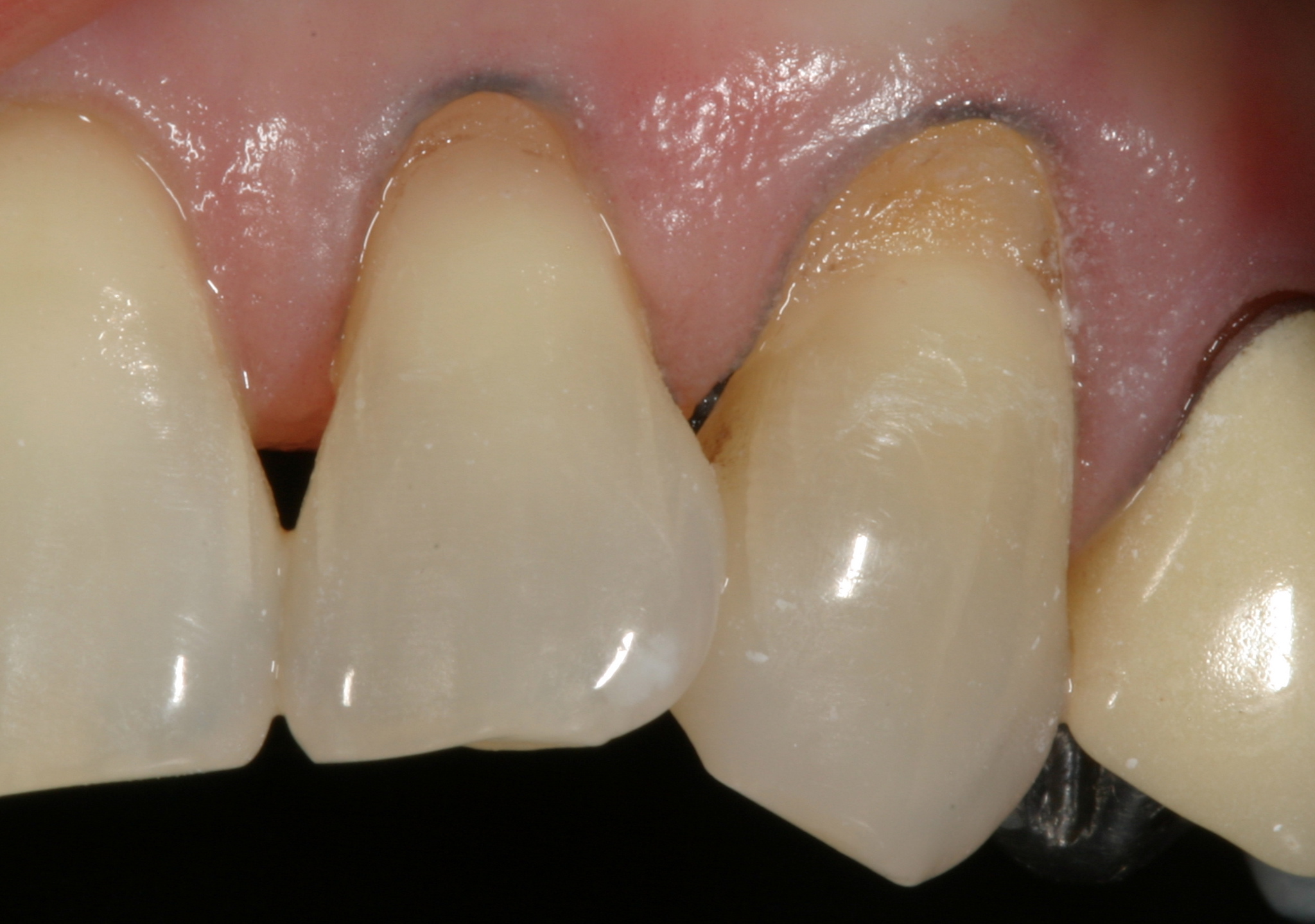
CASE 1 FINAL STEPS (6.) For final blending of this Class V restoration, a body shade of A2 was placed and blended to the enamel cavosurface. (7.) Preoperative view of Class V lesions on teeth No. 10 and No. 11. (8.) Postoperative final Class V restorations using modern minimally invasive dentistry techniques.

Figure 6

CASE 1 FINAL STEPS (6.) For final blending of this Class V restoration, a body shade of A2 was placed and blended to the enamel cavosurface. (7.) Preoperative view of Class V lesions on teeth No. 10 and No. 11. (8.) Postoperative final Class V restorations using modern minimally invasive dentistry techniques.

Figure 7

CASE 1 FINAL STEPS (6.) For final blending of this Class V restoration, a body shade of A2 was placed and blended to the enamel cavosurface. (7.) Preoperative view of Class V lesions on teeth No. 10 and No. 11. (8.) Postoperative final Class V restorations using modern minimally invasive dentistry techniques.

Figure 8

CASE 2 RESTORATIVE TREATMENT (9.) Failing Class I alloy restoration and fissure decay on lower molars. (10.) Modern minimally invasive dentistry preparations on both molars. Notice the moderate decay lesion under the failing alloy. (11.) After placement of resin-modified glass ionomer liner, an injectable composite resin is the ideal material for these conservative restorations.

Figure 9

CASE 2 RESTORATIVE TREATMENT (9.) Failing Class I alloy restoration and fissure decay on lower molars. (10.) Modern minimally invasive dentistry preparations on both molars. Notice the moderate decay lesion under the failing alloy. (11.) After placement of resin-modified glass ionomer liner, an injectable composite resin is the ideal material for these conservative restorations.

Figure 10

CASE 2 RESTORATIVE TREATMENT (9.) Failing Class I alloy restoration and fissure decay on lower molars. (10.) Modern minimally invasive dentistry preparations on both molars. Notice the moderate decay lesion under the failing alloy. (11.) After placement of resin-modified glass ionomer liner, an injectable composite resin is the ideal material for these conservative restorations.

Figure 11

CASE 3 PRESENTATION (12.) The patient disliked her high, gummy smile and small teeth, some of which were angled severely inward. (13.) The previous orthodontic outcome left the patient’s arches extremely narrow and her smile line unesthetic. (14.) Loss of canine-protected function left the right side in group function. (15.) Group function on left side prematurely caused posterior occlusal wear and malocclusion. (16.) Traditional Le Fort I osteotomy had been recommended to the patient to reduce her vertical maxillary excess. (17.) When looking at this patient’s face, the vertical facial thirds appeared normal; however, her esthetic dental problem is evident. (18.) Inward-angled dentition leaves an unesthetic result in the facial profile view.

Figure 12

CASE 3 PRESENTATION (12.) The patient disliked her high, gummy smile and small teeth, some of which were angled severely inward. (13.) The previous orthodontic outcome left the patient’s arches extremely narrow and her smile line unesthetic. (14.) Loss of canine-protected function left the right side in group function. (15.) Group function on left side prematurely caused posterior occlusal wear and malocclusion. (16.) Traditional Le Fort I osteotomy had been recommended to the patient to reduce her vertical maxillary excess. (17.) When looking at this patient’s face, the vertical facial thirds appeared normal; however, her esthetic dental problem is evident. (18.) Inward-angled dentition leaves an unesthetic result in the facial profile view.

Figure 13

CASE 3 PRESENTATION (12.) The patient disliked her high, gummy smile and small teeth, some of which were angled severely inward. (13.) The previous orthodontic outcome left the patient’s arches extremely narrow and her smile line unesthetic. (14.) Loss of canine-protected function left the right side in group function. (15.) Group function on left side prematurely caused posterior occlusal wear and malocclusion. (16.) Traditional Le Fort I osteotomy had been recommended to the patient to reduce her vertical maxillary excess. (17.) When looking at this patient’s face, the vertical facial thirds appeared normal; however, her esthetic dental problem is evident. (18.) Inward-angled dentition leaves an unesthetic result in the facial profile view.

Figure 14

CASE 3 PRESENTATION (12.) The patient disliked her high, gummy smile and small teeth, some of which were angled severely inward. (13.) The previous orthodontic outcome left the patient’s arches extremely narrow and her smile line unesthetic. (14.) Loss of canine-protected function left the right side in group function. (15.) Group function on left side prematurely caused posterior occlusal wear and malocclusion. (16.) Traditional Le Fort I osteotomy had been recommended to the patient to reduce her vertical maxillary excess. (17.) When looking at this patient’s face, the vertical facial thirds appeared normal; however, her esthetic dental problem is evident. (18.) Inward-angled dentition leaves an unesthetic result in the facial profile view.

Figure 15

CASE 3 PRESENTATION (12.) The patient disliked her high, gummy smile and small teeth, some of which were angled severely inward. (13.) The previous orthodontic outcome left the patient’s arches extremely narrow and her smile line unesthetic. (14.) Loss of canine-protected function left the right side in group function. (15.) Group function on left side prematurely caused posterior occlusal wear and malocclusion. (16.) Traditional Le Fort I osteotomy had been recommended to the patient to reduce her vertical maxillary excess. (17.) When looking at this patient’s face, the vertical facial thirds appeared normal; however, her esthetic dental problem is evident. (18.) Inward-angled dentition leaves an unesthetic result in the facial profile view.

Figure 16

CASE 3 PRESENTATION (12.) The patient disliked her high, gummy smile and small teeth, some of which were angled severely inward. (13.) The previous orthodontic outcome left the patient’s arches extremely narrow and her smile line unesthetic. (14.) Loss of canine-protected function left the right side in group function. (15.) Group function on left side prematurely caused posterior occlusal wear and malocclusion. (16.) Traditional Le Fort I osteotomy had been recommended to the patient to reduce her vertical maxillary excess. (17.) When looking at this patient’s face, the vertical facial thirds appeared normal; however, her esthetic dental problem is evident. (18.) Inward-angled dentition leaves an unesthetic result in the facial profile view.

Figure 17

CASE 3 PRESENTATION (12.) The patient disliked her high, gummy smile and small teeth, some of which were angled severely inward. (13.) The previous orthodontic outcome left the patient’s arches extremely narrow and her smile line unesthetic. (14.) Loss of canine-protected function left the right side in group function. (15.) Group function on left side prematurely caused posterior occlusal wear and malocclusion. (16.) Traditional Le Fort I osteotomy had been recommended to the patient to reduce her vertical maxillary excess. (17.) When looking at this patient’s face, the vertical facial thirds appeared normal; however, her esthetic dental problem is evident. (18.) Inward-angled dentition leaves an unesthetic result in the facial profile view.

Figure 18

CASE 3 COMPLETION (19.) A periodontal assessment was performed to determine gingival sulcus depth, position of biologic width, osseous crestal location, and periodontal biotype. (20.) Using a diode laser, gingival tissue was removed along the facial surface of teeth No. 3 through No. 14 to sculpt a new perioesthetic profile. (21. and 22.) Three days after the crown-lengthening surgical technique was performed, good initial healing was already realized. On the same day of surgery, porcelain veneer preparations and esthetic temporary placement was also completed. When performed correctly, the new position of biologic width can be predicted so that porcelain veneer preparations and final impressions can be completed on the same day. (23.) Beautiful esthetics were achieved using minimally invasive techniques.

Figure 19

CASE 3 COMPLETION (19.) A periodontal assessment was performed to determine gingival sulcus depth, position of biologic width, osseous crestal location, and periodontal biotype. (20.) Using a diode laser, gingival tissue was removed along the facial surface of teeth No. 3 through No. 14 to sculpt a new perioesthetic profile. (21. and 22.) Three days after the crown-lengthening surgical technique was performed, good initial healing was already realized. On the same day of surgery, porcelain veneer preparations and esthetic temporary placement was also completed. When performed correctly, the new position of biologic width can be predicted so that porcelain veneer preparations and final impressions can be completed on the same day. (23.) Beautiful esthetics were achieved using minimally invasive techniques.

Figure 20

CASE 3 COMPLETION (19.) A periodontal assessment was performed to determine gingival sulcus depth, position of biologic width, osseous crestal location, and periodontal biotype. (20.) Using a diode laser, gingival tissue was removed along the facial surface of teeth No. 3 through No. 14 to sculpt a new perioesthetic profile. (21. and 22.) Three days after the crown-lengthening surgical technique was performed, good initial healing was already realized. On the same day of surgery, porcelain veneer preparations and esthetic temporary placement was also completed. When performed correctly, the new position of biologic width can be predicted so that porcelain veneer preparations and final impressions can be completed on the same day. (23.) Beautiful esthetics were achieved using minimally invasive techniques.

Figure 21

CASE 3 COMPLETION (19.) A periodontal assessment was performed to determine gingival sulcus depth, position of biologic width, osseous crestal location, and periodontal biotype. (20.) Using a diode laser, gingival tissue was removed along the facial surface of teeth No. 3 through No. 14 to sculpt a new perioesthetic profile. (21. and 22.) Three days after the crown-lengthening surgical technique was performed, good initial healing was already realized. On the same day of surgery, porcelain veneer preparations and esthetic temporary placement was also completed. When performed correctly, the new position of biologic width can be predicted so that porcelain veneer preparations and final impressions can be completed on the same day. (23.) Beautiful esthetics were achieved using minimally invasive techniques.

Figure 22

CASE 3 COMPLETION (19.) A periodontal assessment was performed to determine gingival sulcus depth, position of biologic width, osseous crestal location, and periodontal biotype. (20.) Using a diode laser, gingival tissue was removed along the facial surface of teeth No. 3 through No. 14 to sculpt a new perioesthetic profile. (21. and 22.) Three days after the crown-lengthening surgical technique was performed, good initial healing was already realized. On the same day of surgery, porcelain veneer preparations and esthetic temporary placement was also completed. When performed correctly, the new position of biologic width can be predicted so that porcelain veneer preparations and final impressions can be completed on the same day. (23.) Beautiful esthetics were achieved using minimally invasive techniques.

Figure 23

CASE 3 OUTCOME (24.) By placing new esthetic temporaries, the clinician is able to establish proper esthetic and restorative position. (25.) Total facial esthetics can be achieved with minimally invasive comprehensive dentistry. Tooth- and osseous tissue−conserving methods will replace traditional treatment as a new standard in comprehensive care.

Figure 24

CASE 3 OUTCOME (24.) By placing new esthetic temporaries, the clinician is able to establish proper esthetic and restorative position. (25.) Total facial esthetics can be achieved with minimally invasive comprehensive dentistry. Tooth- and osseous tissue−conserving methods will replace traditional treatment as a new standard in comprehensive care.

Figure 25

CREDITS: 0
AGD CODE: 780 - Esthetics/Cosmetic Dentistry
COST: $0
PROVIDER: Conexiant Education
SOURCE: Inside Dentistry | October 2013

Learning Objectives:

  • Describe the latest in composite technology in modern minimally invasive dentistry (MMID).
  • Explain how to modernize treatment using a MMID approach.
  • Discuss the evolution of comprehensive esthetic dentistry through new minimally invasive approaches.

Author Qualifications:

Founder, Okuda Educational Institute for Innovative Dentistry, Honolulu, HI, Private Practice, Honolulu, HI

Disclosures:

The author reports no conflicts of interest associated with this work.

Queries for the author may be directed to justin.romano@broadcastmed.com.