CDEWorld > Courses > Treating Airway and Breathing Disorders

CE Information & Quiz

Treating Airway and Breathing Disorders

DeWitt C. Wilkerson, DMD

November 2018 Course - Expires Sunday, February 28th, 2021

Inside Dental Assisting

Abstract

Patients can develop airway and breathing disorders at any stage of life. Issues such as allergic reactions, chronic congestion, malocclusions, mouth breathing, improper tongue position or tongue-tie, and other age-related and associated risk factors must be treated to correct the source of obstruction and reestablish proper naso-diaphragmatic breathing. Other conditions with similar symptoms, such as TMD, must be considered during treatment planning in order to avoid complications during therapy. Among older patients, treatment for airway and breathing disorders not only restores proper breathing function, but can also reverse some of the damage seen in brain scans. Because an open airway and proper breathing are foundational to oral and systemic health, every patient treated, regardless of age, should be screened for disordered breathing.

You must be signed in to read the rest of this article.

Login Sign Up

Registration on CDEWorld is free. Sign up today!
Forgot your password? Click Here!

Dentistry continues to grow as a true medical specialty. In the 1970s, the primary focus was on dental occlusion and restorative dentistry. In the 1980s, the focus shifted to dental implants and the treatment of temporomandibular joint disorders (TMDs). In the 1990s, the new focus was on esthetics, cosmetics, and ceramic materials. Since 2000, dentistry's focus has concentrated on digital technology and is now moving toward integrative dental medicine. Integrative dental medicine looks at the dental patient as a whole person and is concerned with issues such as diabetes, systemic inflammation, cardiovascular health, gastric reflux, toxins, stress factors, drug interactions, and other issues related to the convergence of oral and overall health. In addition to these concerns, addressing airway and breathing disorders, both during childhood and throughout life, will be a key focus of integrative dental medicine moving forward.

An understanding of the critical role of airway obstructions and disordered breathing significantly influences proper treatment planning in dentistry. Manifestations may include signs and symptoms such as dental malocclusions, bruxism, tongue-tie, attention deficit, poor sleep, sleep apnea, daytime fatigue, TMD, and morning headaches. Every patient treated, regardless of age, should be assessed for the presence of potential airway problems. (Note: Dentists are not trained or qualified to diagnose obstructive sleep apnea; this diagnosis must be made by a medical doctor. Dentists should work under the guidance of a qualified physician when treatment planning such cases.)

Risk Factors and Treatment for Children

These concerns may start at a very young age—even at birth. Adenoid hypertrophy is the most common cause of nasopharyngeal obstruction in children, the most common cause of pediatric sleep-disordered breathing, and a potential etiologic cause of altered craniofacial growth, characterized by a long face, retrusive chin, and narrow maxilla.1

Roger Price, PharmD, describes a common childhood scenario in which an allergic reaction to dairy products induces mouth breathing. “This mouth breathing results in a lack of filtration and cleansing of the air, allowing airborne bacteria to settle and flourish; an increase in the volume of dirty air over the lymphoid tissue; an increase in inflammation and congestion as a result of over breathing; a lack of release of NO from the sinuses, preventing bacterial control and vasodilation; and diminution of diaphragmatic breathing, which can lead to a reduced lymph flow to the tonsils and adenoids to remove the toxins,” Price explains. “After eliminating the allergic triggers, restoring nasal breathing is a must.”

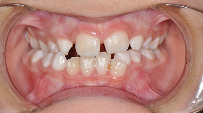
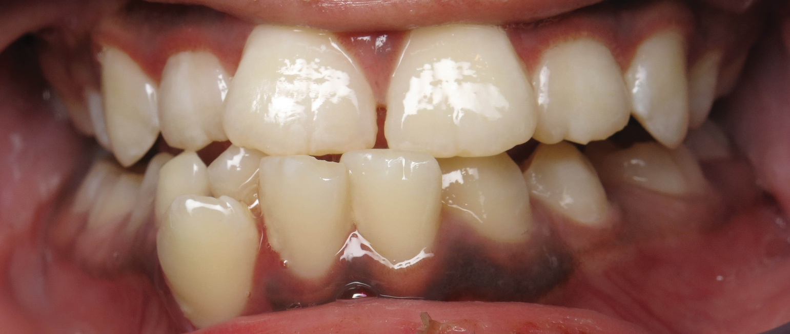
Mouth breathing has also been associated with dental malocclusions in children.2 Zicari and colleagues' analysis of 71, 6- to 12-year-old mouth breathing children revealed a 72.5% incidence of reduced transverse diameter of the maxilla and increased vertical dimension, a 32.5% incidence of cross bite, a 43.7% incidence of skeletal class II malocclusions, and a 90% incidence of atypical swallowing patterns. The results showed a strong correlation between oral breathing and malocclusions, which manifests as both dentoskeletal and functional alterations, leading to a dysfunctional malocclusive pattern (Figure 1 through Figure 3). The study concludes that “this dysfunctional malocclusive pattern makes it clear that the association between oral breathing and dental malocclusions represents a self-perpetuating vicious circle in which it is difficult to establish if the primary alteration is respiratory or maxillofacial. Regardless, the problem needs to be addressed and solved through the close interaction of the pediatrician, otorhinolaryngologist, allergologist, and orthodontist.”

Children can suffer from both obstructive and central sleep apnea. Approximately 10% of children snore and 2% to 4% of them have obstructive sleep apnea (OSA) (including babies, but especially those between 2- and 8-years-old). Up to 40% may experience subtle breathing disturbances, including those related to upper airway resistance syndrome (UARS) with sympathetic nervous system “flight or fight” response and blood cortisol stress hormone surges. Signs and symptoms of sleep apnea among children can include insulin resistance, cardiac modulation, mood swings, cognitive dysfunction/attention deficit, and behavioral changes such as hyperactivity and poor impulse control. In addition, these children are at an increased risk of future cardiovascular disease, especially those with childhood obesity. Most children with sleep apnea are mouth breathers, and many of them snore.

Bruxism commonly accompanies airway obstructions in children. DiFrancesco and colleagues evaluated 69 consecutive children who presented to the Otolaryngology Department of the University of São Paulo Medical School for tonsil and adenoid removal.3 Before surgery, the children's parents reported that 100% experienced sleep apnea, 45.6% engaged in bruxism, and 60.7% possessed dental malocclusions. Three months after surgery, none of the children presented with breathing problems, and 11.8% presented with bruxism. Because there was a significant improvement in bruxism after surgery, the study data suggests that there is a positive correlation between sleep-disordered breathing and bruxism. The researchers conclude that otolaryngologists must be aware that bruxism is associated with airway obstruction and consider it when evaluating tonsil and adenoid hyperplasia (Figure 4 and Figure 5).

When screening children for breathing and airway disturbances, integrative orthodontist, Barry Raphael, DMD, recommends that clinicians ask the following questions:

• Does the child have any sleep issues such as restlessness, bedwetting, frequent awakening, or snoring?
• Is the nose chronically obstructed or congested in any way?
• Are the lips apart at rest?
• Does the tongue rest on the palate and stay there during swallowing?
• Are the chest and shoulders moving during breathing instead of the diaphragm?
• Is the child's respiratory rate greater than 16 breaths per minute?
• Is the child holding his or her head in front of the shoulders to keep the airway open?

Treatment for children's sleep-disordered breathing involves correcting the sources
of obstruction and reestablishing naso-diaphragmatic breathing. There are several areas of focus, including the following:

Treatment of any food and environmental allergies that may be causing upper airway inflammation and obstruction.

Ear, nose, and throat treatment of airway obstructions, including nasal stenosis, deviated septum, and enlarged adenoids and tonsils. It is always best to treat the potential causes of lymphoid infection and inflammation, such as allergies or mouth breathing, before considering removal of the tissues, which provide a valuable first line of defense against invading pathogens.

• Surgical removal of restrictive tongue frenum.
• Orthodontic expansion of the maxillary and mandibular dental arches (Figure 6 and Figure 7).
• Orofacial myofunctional therapy to train proper tongue position and swallowing.
• Training in proper naso-diaphragmatic breathing, including breathing exercises such as the Buteyko method.

Pediatric dentist and anthropologist Kevin Boyd, DDS, MSc, has uncovered published papers from the University of Michigan's archived dental library collection that clearly show that physicians, orthodontists, and general dentists from the mid-19th through the early 20th century were keenly aware of a possible connection between pediatric naso-respiratory dysfunction, somatic and neurological/neurobehavioral growth deficits, and dental malocclusion in the primary/early mixed dentition. Moreover, these medical and dental professionals of yesteryear were collaboratively exploring how preventing or reversing early malocclusion might also prevent or reverse associated systemic and neurological problems.

An open airway and proper breathing are foundational to oral and systemic health. Screening all children for disordered breathing should be a top priority in every dental practice.

Airway/Breathing Disorders and TMD

Young adults often present to the dental office with signs and symptoms that are categorized under the “basket syndrome” TMD. Common manifestations of TMD include sore muscles of mastication, clenching/bruxism, morning headaches, joint soreness, joint clicking/locking, restricted range of mandibular movement, dental malocclusions, cervical neck problems, poor sleep quality, and chronic fatigue.

One of the pioneers in sleep medicine, Christian Guilleminault, MD, studied young, thin men and women who were exhausted despite regularly sleeping 8 hours and having sleep study results in the “normal” range.4 In his classic experiment, he placed thin pressure sensors inside each patient's esophagus and measured pressures during sleep. All of the subjects had multiple episodes of only partial obstruction; however, they exhibited severe respiratory efforts that led to significantly negative pressures in the esophagus. After multiple episodes of labored breathing, patients would awaken from deep to light sleep, which is called an “arousal” in sleep medicine. Although the apneas and hypopneas among these patients were minimal, they experienced severely fragmented sleep. Guilleminault coined the term “UARS” to describe this common phenomenon.

In another Guilleminault study involving 30 subjects age 21 to 24 who were diagnosed with UARS, all reported chronic fatigue, 28 reported non-refreshing sleep, 26 reported disrupted nocturnal sleep, 29 reported daytime performance impairment, and 17 reported morning headaches.5

These are common complaints expressed when interviewing patients diagnosed with TMD as well. UARS and TMD can have many similar symptoms. In practice, it is not unusual to find patients who are suffering from both disorders simultaneously (Figure 8). When determining the appropriate treatment plan, it is important to clarify the cause and effect relationships that are resulting in the patient's symptoms.

Some patients with both TMD and airway/breathing disorders may actually suffer negative effects from traditional TMD therapy. Yves Gagnon, DMD, and Giles Lavigne, DMD, MSc, PhD, conducted a pilot study involving 10 subjects who were previously diagnosed with snoring and sleep apnea through polysomnography.6 Each subject was fitted with a maxillary occlusal splint (ie, nightguard). After one week of wearing the splint to sleep each night, the participants underwent a new overnight polysomnography, during which the splint was worn. The results indicated that, with the splint in the mouth, the apnea-hypopnea index increased by approximately 50% in half of the subjects and the total time snoring while asleep was increased by 40% overall. When airway/breathing disorders are present, including UARS and OSA, it is important to avoid prescribing overnight intraoral splint therapy that may crowd the tongue or allow the mandible to drop back during sleep.

Screening all TMD patients for disordered breathing should be a top priority in every dental practice.

Considerations for Middle-Aged Patients

Another segment that frequently suffers from airway and breathing disorders is the population of middle-aged men and women. For these patients, poor sleep, frequent sleep arousals, daytime fatigue, foggy thinking, early memory loss, tired eyes, bruxism, and gastric reflux can indicate the presence of an airway or breathing disorder (Figure 9).

Research conducted at UCLA by Paul Macey, PhD, concluded that sleep apnea can take a toll on brain function.7 Due to neurotransmitter imbalances, sleep apnea can result in poor concentration, difficulty with memory and decision-making, depression, and stress. There are two key neurotransmitters involved: gamma-aminobutyric acid (GABA) and glutamate. The neurotransmitter GABA acts as a brake pedal in the brain, producing a calming mood and helping to make endorphins, whereas the neurotransmitter glutamate acts as an accelerator in the brain, increasing when the brain is in a state of stress. Chronic high levels of glutamate can be toxic to nerves and neurons.

Sleep apnea may result in low levels of GABA and high levels of glutamate that can essentially produce brain damage. This is indicated by signs of memory loss and foggy thinking and may appear to mimic the early signs of Alzheimer's disease. The good news is that effective therapy can often reverse the damage. After less than one year of continuous positive airway pressure (CPAP) therapy, reversals attributed to increased oxygenation have been seen in brain scans.

Millions of middle-aged men and women across the United States suffer from this reversible form of memory loss and brain damage, and dental professionals are perfectly positioned to screen and intervene. As such, screening all mature adults who snore or are overly tired for disordered breathing should be a top priority in every dental practice.

Conclusion

In October 2017, the American Dental Association (ADA) released a policy statement addressing dentistry's role in sleep-related breathing disorders. The policy encourages dental professionals to screen their patients for OSA, UARS, and other breathing disorders; advocates working with medical colleagues; and emphasizes the effectiveness of intraoral appliance therapy for treating patients with mild to moderate OSA and CPAP-intolerant patients with severe OSA. With the endorsement of the ADA, screening for and treating sleep-related breathing disorders has indeed become the newest focus of integrated dental medicine.

About the Authors

DeWitt C. Wilkerson, DMD
Private Practice
St. Petersburg, Florida
Immediate Past President
American Academy for Oral Systemic Health
Director of Dental Medicine
The Dawson Academy

References

1. Major MP, El-Hakim H, Witmans M, et al. Adenoid hypertrophy in pediatric sleep disordered breathing and craniofacial growth: the emerging role of dentistry. J Dent Sleep Med. 2017; 5(4):83-87.

2. Zicari AM, Albani F, Ntrekou P, et al. Oral breathing and dental malocclusions. Eur J Paediatr Dent. 2009;10(2):59-64.

3. DiFrancesco RC, Junqueira PA, Trezza PM. Improvement of bruxism after T & A surgery. Int J Pediatr Otorhinolaryngol. 2004;68(4):441-445.

4. Guilleminault C, Stoohs R, Clerk A, et al.. A cause of excessive daytime sleepiness. The upper airway resistance syndrome. Chest. 1993;104(3):781-787.

5. Guilleminault C, Lopes MC, Hagen CC, et al. The cyclic alternating pattern demonstrates increased sleep instability and correlates with fatigue and sleepiness in adults with upper airway resistance syndrome. Sleep. 2007;30(5):641-647.

6. Gagnon Y, Mayer P, Morisson F, et al. Aggravation of respiration disturbances by the use of an occlusal splint in apneic patients: a pilot study. Int J Prosthodont. 2004;17(4):447-453.

7. Perry, L. Sleep apnea takes a toll on brain function Page. http://newsroom.ucla.edu/releases/sleep-apnea-takes-a-toll-on-brain-function. Updated February, 11, 2016. Accessed November 22, 2017.

(1.) In children, mouth breathing with low tongue posture can result in narrow maxillary arches, dental crowding, tongue scalloping, and anterior open bites. Images courtesy of Kevin Boyd, DDS, MSc.

Figure 1

(2.) In children, mouth breathing with low tongue posture can result in narrow maxillary arches, dental crowding, tongue scalloping, and anterior open bites. Images courtesy of Kevin Boyd, DDS, MSc.

Figure 2

(3.) In children, mouth breathing with low tongue posture can result in narrow maxillary arches, dental crowding, tongue scalloping, and anterior open bites. Images courtesy of Kevin Boyd, DDS, MSc.

Figure 3

(4.) Enlarged tonsils and adenoids are commonly accompanied by bruxism. Figure 5 courtesy of Kevin Boyd, DDS, MSc.

Figure 4

(5.) Enlarged tonsils and adenoids are commonly accompanied by bruxism. Figure 5 courtesy of Kevin Boyd, DDS, MSc.

Figure 5

(6.) Orthodontic dental arch and airway expansion. Images courtesy of Mark Farina, DMD.

Figure 6

(7.) Orthodontic dental arch and airway expansion. Images courtesy of Mark Farina, DMD.

Figure 7

(8.) Determining if a patient has TMD, UARS, or both is necessary for proper treatment planning.

Figure 8

(9.) Signs and symptoms such as poor sleep, frequent sleep arousals, daytime fatigue, foggy thinking, early memory loss, tired eyes, bruxism, and gastric reflux can be indicative of airway and breathing disorders.

Figure 9

CREDITS: 0
AGD CODE: 730 - Oral Medicine, Oral Diagnosis, Oral Pathology
COST: $0
PROVIDER: Conexiant Education
SOURCE: Inside Dentistry | February 2018

Learning Objectives:

  • Identify the risk factors and describe the screening process for airway and breathing disorders among children.
  • Discuss the areas of focus and techniques involved in the treatment of children with airway and breathing disorders.
  • Explain the issues involved in diagnosing and treating patients with both TMD and airway/breathing disorders.
  • Discuss the risk factors and treatment considerations for middle-aged patients with airway and breathing disorders.

Disclosures:

The author reports no conflicts of interest associated with this work.

Queries for the author may be directed to justin.romano@broadcastmed.com.