CDEWorld > Courses > Diagnostically Driven Planning and Execution of an All-on-4 Treatment Concept

CE Information & Quiz

Diagnostically Driven Planning and Execution of an All-on-4 Treatment Concept

Anthony G. Sclar, DMD; Juan D. Cardenas, DDS; and Uli Von Haussen, CDT

August 2018 RN - Expires Tuesday, August 31st, 2021

Compendium of Continuing Education in Dentistry

Abstract

The All-on-4 treatment concept offers advantages to patients seeking full-arch immediate function, including reduced treatment time and costs, improved esthetics, and high patient satisfaction. The biomechanical basis and clinical success of the All-on-4 concept have been validated by numerous scientific and clinical studies. Nevertheless, relatively few clinicians have successfully implemented this extraordinary service for their patients. This article introduces specific planning and treatment protocols advanced by the authors that are intended to: reduce surgical and restorative chairtime; circumvent surgical site disruption; improve the durability and esthetics of the provisional restoration; optimize patient comfort and convenience; and increase clinical implementation compared to first-generation protocols.

You must be signed in to read the rest of this article.

Login Sign Up

Registration on CDEWorld is free. Sign up today!
Forgot your password? Click Here!

Edentulous patients and those with terminal dentition suffer a disability of oral function and deterioration in their appearance and quality of life, which can also adversely affect self-esteem and social confidence. Moreover, these patients tend to avoid foods with high nutritional value such as raw fruits and vegetables, which can be difficult to chew, due to discomfort from ill-fitting dentures, advanced periodontal disease, malocclusion, temporomandibular disorders (TMD), and compromised dentition. This masticatory disability often results in inadequate consumption of protein and vital nutrients required for good health.1 Although the challenges suffered by edentulous patients are understood, dental professionals sometimes under-appreciate the plight of the soon-to-be-edentulous. These patients not only suffer with functional impairments, chronic oral inflammation, pain, halitosis, and an increased incidence of systemic diseases, but they are also wary of losing their teeth and facing the prospect of wearing a denture.2,3

Conventional approaches to full-arch fixed rehabilitation of edentulous or soon-to-be edentulous patients involve staged treatments, including tooth removal, bone and soft-tissue grafting, placement of dental implants, and delayed restoration. These approaches involve lengthy treatment times and are often cost prohibitive. While edentulous patients may accept wearing a denture during this process, soon-to-be edentulous patients typically demand a fixed provisional restoration and may be reluctant to proceed with treatment if they are required to wear a denture.

The All-on-4 full-arch immediate-function treatment concept represents both a beneficial solution for patients and a paradigm shift for clinicians. Patients treated with the All-on-4 treatment concept report high levels of satisfaction and the majority would recommend this treatment to others.4 In simple terms, this concept makes maximum use of available bone in the anterior maxilla and mandible, and achieves improved prosthesis support from use of longer, distally tilted posterior implants to improve implant distribution and reduce cantilevers. In most cases, only four implants are required. In other cases involving advanced atrophy or anatomic limitations, additional implants may be indicated. Following implant placement, angular corrections between 0° and 30° are accomplished by specialized multi-unit abutments, and an esthetic hybrid provisional prosthesis is typically delivered on the same day.

Scientific Basis for All-on-4 Full-Arch Immediate-Function Treatment Concept

In 1995, Brånemark and coworkers were among the first to determine that implant distribution is as important as the number of implants supporting a fixed prosthesis.5 In a 10-year retrospective study of 150 consecutive patients treated with full-arch fixed prostheses, the same survival rate resulted for restorations with four versus six implants.5 In 2000, Krekmanov and coworkers6 performed a study testing the effect of tilting posterior implants on implant distribution, cantilever length, and biomechanical support for full-arch fixed implant prosthesis. Among 47 consecutive patients, there were 36 mandibular and 30 maxillary implants placed at angles between 25° and 35°, with mean follow-up periods of 40 and 53 months, respectively. A mean gain in prosthesis support of 6.5 mm in the mandible and 9.3 mm in the maxilla resulted. Cumulative survival rates for tilted implants were 98% versus 93% for the non-tilted axial implants. The investigators concluded that tilting posterior implants at angles between 25° and 35° led to improved implant distribution for prosthesis support, use of longer implants with bi-cortical anchorage in dense bone, and avoidance of maxillary sinus lifts and mandibular nerve repositioning. In-vivo strain-gauge biomechanical measurements performed in this study identified no negative effects of load distribution when tilted implants were part of prosthesis support and produced a desirable reduction of implant forces by decreasing cantilever lengths.

Maló and Rangert7 coined the terminology and introduced the “All-on-4” immediate-function concept for edentulous mandibles in 2003, and, in 2005, for edentulous maxillary arches.8 Numerous supporting scientific studies9-12 and prospective and retrospective clinical studies13-25 have since been published in the past decade.

Diagnostically Driven Planning and Execution of All-on-4 Treatment Concept

The protocol for the “All-on-4” treatment concept that the authors are presenting (known as the Sclar Center Protocol) provides numerous advantages compared to first-generation protocols. These include: reduced surgical and restorative chairtime; restoration-driven surgery; simplified restorative procedures; avoidance of surgical site disruption; improved strength, durability, and esthetics of the provisional restoration; and improved patient comfort and convenience. Moreover, an impressive percentage of doctors who were trained on the described protocol have been able to successfully implement the All-on-4 concept in their practices. Requisites for implementation of this protocol include an in-depth understanding of the following: pre-treatment patient evaluation; case selection criteria; contraindications; risk factors for complications; and diagnostically driven interdisciplinary treatment planning. Moreover, precise execution of surgical and prosthetic procedures by a treatment team that has gained the required clinical skills through post-graduate education and/or mentorship specific to the All-on-4 treatment concept is required for optimal outcomes.

Pre-Treatment Patient Evaluation

The following are the critical factors to evaluate and document in each aspect of the evaluation.

Dentofacial Evaluation

  • Tooth-gingival display and buccal corridor exposure during relaxed and animated smile
  • Tooth-gingival display or ridge tissue exposure with and without current prosthesis
  • Verification of transition zone with aid of flangeless prosthesis, if necessary
  • Maxillary central incisal edge position, in both incisal and occlusal planes
  • Phonetic determination of ideal maxillary central incisal edge position and closest speaking space
  • Facial and lip support and profile changes due to lost vertical dimension
  • Upper lip length, philtrum, nasolabial and mentolabial folds, lip commissures
  • Vertical dimension of occlusion (VDO)
  • Skeletal jaw and inter-arch relationships
  • Evidence of TMD-TMJ, parafunction with discoordinate jaw movements

 

Intraoral Evaluation

  • Inter-arch space and/or inter-occlusal space
  • Mouth opening/surgical access
  • Airway/gag reflex/tongue size
  • Adequate keratinized tissue volume/mucosal or other oral pathology
  • Severe periodontal disease/inflamed cyanotic or fibrotic gingival tissues
  • Ridge height, width, morphology, inclination, undercuts, and concavities
  • Presence of composite hard- and soft-tissue ridge defect(s)
  • Arch form (U / V or ovoid shaped)
  • Aberrant muscle attachments
  • Vestibular depth, floor of mouth, and genial tubercle position
  • Opposing dentition, regular or irregular occlusion
  • Relative bite force, evidence of parafunction
  • Oral hygiene proficiency

 

Radiographic Diagnosis and Treatment Planning Survey

  • Presence of adequate bone in Bedrossian zones I (pre-maxilla) and II (bicuspid region)
  • Location of vital structures, mental nerve, and maxillary sinus
  • Presence of composite ridge defects (ridge defect with missing hard and soft tissues)
  • Inter-arch space measured between maxillary and mandibular ridge crests at patient’s VDO
  • Estimated need for bone reduction to create required inter-occlusal restorative space
  • Alveolar ridge width ≥ 5 mm and height ≥ 8 mm in the anterior mandible
  • Alveolar ridge width ≥ 5 mm and height ≥ 10 mm in the anterior maxilla
  • Bone density classification at primary and backup implant sites
  • Verify adequate medullary bone volume for biologic integration at implant sites
  • Absence of sinus pathology and patent osteomeatal complex

 

Diagnostically Driven Treatment Planning

Once the surgeon and the restorative dentist have consulted with the patient and performed a pre-treatment patient evaluation, interdisciplinary treatment planning to identify treatment options for the patient’s dental rehabilitation is completed. The surgeon should have completed and documented a dentofacial and intraoral patient evaluation as well as a radiographic diagnosis and treatment planning survey using cone beam computed tomography (CBCT) (Figure 1) to explore possible treatment options from a surgical perspective. After review of this information, the restorative dentist performs model-based diagnosis and treatment planning. The clinicians jointly review the surgical and restorative treatment planning information and select the treatment option that can be strongly recommended, as well as viable alternatives, for patient education and case presentation.

Model-Based Diagnosis and Treatment Planning

The authors’ All-on-4 treatment planning protocol relies on conventional diagnostic records, including mounted study models. When a single arch will be rehabilitated without changes to the incisal plane, occlusal plane, or the occlusal scheme of the opposing arch, diagnostic models are mounted on a hinge articulator with the aid of a bite registration. However, whenever changes to the incisal plane, occlusal plane, or occlusal scheme of the opposing arch are indicated or when skeletal inter-arch discrepancies require correction, diagnostic study models are mounted in duplicate on an adjustable articulator at the patient’s VDO aided by a facebow transfer and bite registration. When combined with clinical information gained from pre-treatment patient evaluations, all of the information required for interdisciplinary treatment planning is available.

An important advantage of this approach is the ability to simulate bone reduction on the models and verify the presence of 15 mm to 17 mm and 13 mm to 15 mm of required inter-occlusal space for maxillary and mandibular restorations, respectively. This creates a platform for a diagnostic wax-up of the proposed dental rehabilitation and fabrication of wax prosthesis try-ins when necessary. Finally, a modified All-on-4 provisional prosthesis surgical and restorative guide developed by the authors for restoration-driven surgery and simplified restorative procedures is fabricated (Figure 2 through Figure 8).

Surgical Protocol

Surgery can be performed under local anesthesia, intravenous sedation, or oral sedation. Profound local anesthesia is required. Full-arch incisions are best located to preserve keratinized tissue for adaptation around the restorative abutments.

In the maxilla, the flap is elevated to expose the entire ridge and to identify and explore the following: maxillary midline; incisive canal; infraorbital nerves; piriform apertures and nasal floor; anterior sinus wall, and the tuberosity and pterygomaxillary junction.

In the mandible, the flap is elevated to expose, identify, and explore the mental nerve foramen and anterior loops. Lingual flap elevation is limited to what is needed to perform the necessary bone reduction.

Tooth extractions are performed and bone reduction is completed using side-cutting bone rongeurs and bone reduction burs to create a level and convex implant ridge platform. The objective of bone reduction is to provide restorative space and ensure that the transition zone between the prosthesis and the ridge tissue is not visible in a fully animated smile. This also ensures a sufficient bulk of acrylic in the provisional prosthesis to evenly distribute controlled occlusal forces to the implants, thereby avoiding biomechanical implant complications such as prosthesis fracture, periimplant crestal bone loss, and implant failure.

Multiple bone reduction and implant placement guides have been advocated in first-generation treatment protocols.7,8,13,18 Instead of fabrication of multiple costly guides, the provisional prosthesis guide developed and used by the authors is a cost-effective solution that aids in restoration-driven bone reduction, implant placement, abutment orientation, and simplified restorative and laboratory procedures.

Implants are placed to engage dense basilar bone and achieve high primary stability via under-preparation of the osteotomies. Implant placement is initiated with a handpiece, but is finished with a manual torque wrench at insertion torques between 35 Ncm and 70 Ncm. The posterior tilted implants are always placed first.

First-generation surgical protocols use the Maló guide, which is secured in a midline osteotomy after the malleable titanium band is bent to follow the arc of the opposing arch. Although, this guide aids posterior angled implant placements between 30° and 45°, it does not provide landmarks required for restoration-driven surgery. However, in the authors’ protocol, the provisional prosthesis guide provides the advantage of restoration-driven surgery not afforded by previous methods. Benefits of this include: visual verification of bone reduction, restoration-driven implant placement, and abutment orientation—all of which reduce chairtime and improve surgical accuracy and decision making (Figure 9). Once abutments and protective caps are secured, the soft tissues are carefully closed after circumferential adaptation of keratinized tissues.

Prosthetic and Laboratory Protocol

Contrary to the first-generation direct “in the mouth” techniques used for denture conversion, the described prosthetic protocol uses an indirect conversion “in the lab” technique that is designed to: reduce chairtime; improve the quality, strength, and finish of the provisional prosthesis; and improve patient comfort, convenience, and overall satisfaction.

The following 10 steps performed in sequence make up the authors’ restorative and lab protocol: 1) surgical impression; 2) surgical indexing; 3) bite registration; 4) verification of the VDO; 5) laboratory fabrication of a master cast with soft-tissue model and laboratory verification; 6) indirect laboratory denture conversion; 7) delivery of the provisional restoration; 8) occlusal adjustment; 9) esthetic evaluation; 10) phonetic evaluation.

To start, a surgical impression is performed. Open-tray impression copings are secured to the restorative abutments, and a denture-strengthening bar is attached to the copings using a low-expansion pattern resin. The “salt and pepper” technique is used for precise control of the material, thereby avoiding contact with the surgery site and more effectively controlling working time. A plastic impression tray is modified in the occlusal areas where the impression copings will emerge and is tried-in to verify that there are no interferences. Polyvinylsiloxane impression putty is mixed and adapted over the impression copings and denture-strengthening bar. Impression material is also placed in the tray prior to seating. The impression coping screws are exposed and disengaged, allowing the impression to be easily removed. Rigid stabilization of the copings in the impression is verified (Figure 10 through Figure 12). The surgical index is performed using the same provisional prosthesis guide used during the surgery. Only the two anterior implants are indexed. The provisional prosthesis guide is seated to verify the absence of interferences with the two anterior temporary cylinders, and cold-cure acrylic material is applied through the access windows using a “salt and pepper” technique (Figure 13). The prosthesis is held in place with light pressure on the prosthesis guide over the palate or the posterior lingual mandibular ridge until the resin is cured. The VDO is verified after guiding the patient into occlusion with a bite registration recorded in the lab. Esthetic and functional parameters are verified, and the indexed prosthesis is removed with the attached temporary cylinders, and it is then disinfected in cold sterile solution.

The dental technician fabricates a master cast with a soft-tissue model while the indexing and VDO procedures are performed. A silicone material is added around the implant analogues in the surgical impression before model pouring with zero expansion stone (Figure 14 and Figure 15). The soft-tissue model is removed to verify a precise fit of the temporary titanium cylinders indexed in the mouth to the master cast. The indexed provisional prosthesis is modified to allow passive attachment of the posterior temporary cylinders to the prosthesis using heat-cured acrylic processed under pressure. The technician then removes the cold-cure acrylic that was used to index the two anterior temporary components and re-secures them with fresh heat-cured acrylic under pressure (Figure 16). The intaglio surface of the provisional prosthesis is finished with cold-cure acrylic on the master cast and polished to ensure a convex surface with sufficient space to allow for tissue swelling and access for hygiene.

By following the described protocol, insertion and delivery of the provisional prosthesis should proceed without any difficulty. Retaining screws are secured at 15 Ncm. Access holes are filled with Teflon tape and temporary filling material. Functional occlusal adjustments are performed intraorally to achieve light bicuspid and anterior contacts. Esthetic and phonetic parameters are evaluated after full recovery of the anesthesia. Follow-up visits to monitor healing and occlusion are scheduled at 1 and 3 weeks post procedure. The prosthesis is not removed for 8 weeks, at which time an implant assessment is performed to evaluate implant integration and peri-implant health. The authors believe that any complications are better addressed at this stage of the treatment.

The definitive prosthesis is delivered between 6 and 12 months later, allowing time for tissue remodeling. Typically, the preferred definitive restoration is a highly esthetic acrylic hybrid prosthesis secured over a CAD/CAM–milled titanium bar designed for a full acrylic wrap on the intaglio surface of the restoration with pink restorative material that simulates gingiva. This type of restoration is cost-effective and easily repaired or modified. Alternative options include fixed zirconium bridges, fixed zirconium framework with individual cemented crowns, and porcelain-fused-to-metal restorations. Regular recall every 3 to 4 months is paramount for maintenance and to identify and rapidly treat potential biologic or biomechanical complications.

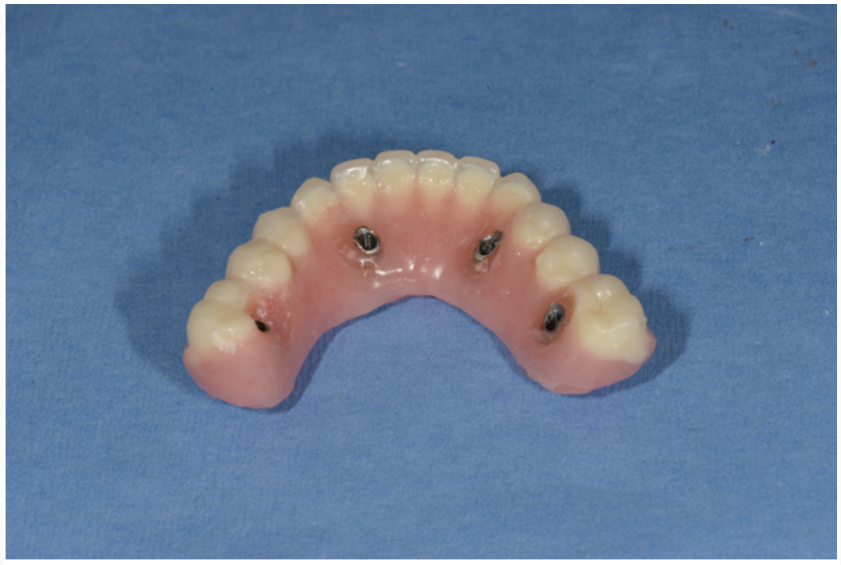
Dental rehabilitation with the All-on-4 treatment concept is often a life-changing event for edentulous and terminal dentition patients that results in unprecedented quality of life improvements (Figure 17 through Figure 20).

Conclusion

Diagnostically driven planning and execution of the All-on-4 treatment concept are the key components of the described protocol, providing advantages for patients and clinicians alike. These benefits include: reduced surgical and restorative chairtime; restoration-driven surgery; simplified restorative procedures; avoidance of surgical site disruption; improved strength, durability, and esthetics of the provisional restoration; improved patient comfort and convenience; and unprecedented ease of implementation for clinicians.

Disclosure

The authors had no disclosures to report.

About the Authors

Anthony G. Sclar, DMD
Founder
Sclar Center for Advanced Implant Dentistry Learning
Miami, Florida
Director of Clinical Research and Dental Implant Surgery
Department of Oral and Maxillofacial Surgery
Nova Southeastern University School of Dentistry
Fort Lauderdale, Florida
Private Practice
Sclar Oral Surgery & Implant Dentistry
Miami, Florida

Juan D. Cardenas, DDS
Prosthodontist
Dental Solutions of Miami
Miami, Florida

Uli Von Haussen, CDT
President
Implant Technical Support, Inc.
Miami, Florida

Queries to the author regarding this course may be submitted to authorqueries@aegiscomm.com.

References

1. Moynihan P, Thomason M, Walls A, et al. Researching the impact of oral health on diet and nutritional status: methodological issues. J Dent. 2009;37(4):237-249.

2. Fiske J, Davis DM, Frances C, Gelber S. The emotional effects of tooth loss in edentulous people. Br Dent J. 1998;184(2):90-93.

3. Davis DM, Fiske J, Scott B, Radford DR. The emotional effects of tooth loss: a preliminary quantitative study. Br Dent J. 2000;188(9):503-506.

4. Babbush, C A. Posttreatment quantification of patient experiences with full-arch implant treatment using a modification of the O HIP-14 questionnaire. J Oral Implantol. 2012;38(3):251-260.

5. Brånemark PI, Svensson B, van Steenberghe D. Ten-year survival rate of fixed prostheses on four or six implants ad modem Brånemark in full edentulism. Clin Oral Implants Res. 1995;6(4):227-231.

6. Krekmanov L, Kahn M, Rangert B, Lindström H. Tilting of posterior mandibular and maxillary implants for improved prosthesis support. Int J Oral Maxillofac Implants. 2000;15(3):405-414.

7. Maló P, Rangert B, Nobre M. “All-on-Four” immediate-function concept with Brånemark System implants for completely edentulous mandibles: a retrospective clinical study. Clin Implant Dent Relat Res. 2003;5(1 suppl):2-9.

8. Maló P, Rangert B, Nobre M. All-on-4 immediate-function concept with Brånemark System implants for completely edentulous maxillae: a 1-year restrospective clinical study. Clin Implant Dent Relat Res. 2005;7(1 suppl):S88-S94.

9. Duyck J, Van Oosterwyck H, Vander Sloten J, et al. Magnitude and distribution of occlusal forces on oral implants supporting fixed prosthesis: an in vivo study. Clin Oral Implants Res. 2000;11(5): 465-475.

10. Zampelis A, Rangert B, Heijl L. Tilting of splinted implants for improved prosthodontic support: a two-dimensional finite analysis. J Prosthet Dent. 2007;97(6 suppl):S35-S43.

11. Begg T, Geerts GA, Gryzagoridis J. Stress patterns around distal angled implants in the All-on-Four concept configuration. Int. J Oral and Maxillofac Implants. 2009;24(4):663-671.

12. Fazi G, Tellini S, Vangi D, Branchi R. Three-dimensional finite element analysis of different implant configurations for a mandibular fixed prosthesis. Int J Oral Maxillofac Implants. 2011;26(4):752-759.

13. Maló P, de Araújo Nobre M, Rangert B. Implants placed in immediate function in periodontally compromised sites: a five-year retrospective and one-year prospective study. J Prosthetic Dent. 2007;97(6 suppl):S86-S95.

14. Pomares C. A retrospective clinical study of edentulous patients rehabilitated according to the “all on four” or the “all on six” immediate function concept. Eur J Oral Implantol. 2009;2(1):55-60.

15. Agliardi EL, Francetti L, Romero D, Del Fabbro M. Immediate
rehabilitation of the edentulous maxilla: preliminary results of a single-cohort prospective study. Int J Oral Maxillofac Implants. 2009;24(5):887-895.

16. Agliardi E, Panigatti S, Clericò M, et al. Immediate rehabilitation of the edentulous jaws with full fixed prosthesis supported by four implants: interim results of a single cohort prospective study. Clin Oral Implants Res. 2010;21(5):459-465.

17. Agliardi E, Clericò M, Ciancio P, Massironi D. Immediate loading of full-arch fixed prostheses supported by axial and tilted implants for the treatment of edentulous atrophic mandibles. Quintessence Int. 2010;41(4):285-293.

18. Maló P, de Araújo Nobre M, Lopes A, et al. A longitudinal study of the survival of All-on-4 implants in the mandible with up to 10 years of follow-up. J Am Dent Assoc. 2011;142(3):310-320.

19. Babbush CA, Kutsko GT, Brokloff J. The all-on-four immediate function treatment concept with NobelActive implants: a retrospective study. J Oral Implantol. 2001;37(4):431-445.

20. Butura CC, Galindo DF, Jensen OT. Mandibular all-on-four therapy using angled implants: a three-year clinical study of 857 implants in 219 jaws. Oral Maxillofac Surg Clin North Am. 2011;23(2):289-300.

21. Graves S, Mahler BA, Javid B, et al. Maxillary all-on-four therapy using angled implants: a 16-month clinical study of 1110 implants in 276 jaws. Oral Maxillofac Surg Clin Am. 2011;23(2):277-287.

22. Francetti L, Agliardi E, Testori T et al. Immediate rehabilitation of the mandible with fixed full prosthesis supported by axial and tilted implants: interim results of a single cohort prospective study. Clin Implant Dent Relat Res. 2008;10(4):255-263.

23. Cavalli N. Barbaro B, Spasari D, et al. Tilted implants for full-arch rehabilitation in completely edentulous maxilla: a retrospective study. Int J Dent. 2012;2012;180379.

24. Weinstein R, Agliardi E, Fabbro MD, et al. Immediate rehabilitation of the extremely atrophic mandible with fixed full-prosthesis supported by four implants. Clin Implant Dent Relat Res. 2012;14(3):434-441.

25. Mozzati M, Arata V, Gallesio G, et al. Immediate postextractive dental implant placement with immediate loading on four implants for mandibular-full-arch rehabilitation: a retrospective analysis. Clin Implant Dent Relat Res. 2013;15(3):332-340.

Fig 1. Radiographic diagnosis and treatment planning survey.

Figure 1

Fig 2. Potential “All-on-4” patient with terminal dentition who was unhappy with his smile esthetics.

Figure 2

Fig 3. Desired changes in the incisal plane are marked on the diagnostic models.

Figure 3

Fig 4. Diagnostic wax-up performed after model surgery simulating maxillary tooth extraction. Note that inferior repositioning of the incisal plane helped create the 15 mm to 17 mm inter-occlusal space needed for the maxillary All-on-4 provisional restoration.

Figure 4

Fig 5. Bone reduction model surgery performed in mandibular arch to create 13 mm to 15 mm of inter-occlusal space required for the mandibular All-on-4 provisional restoration.

Figure 5

Fig 6. Completed diagnostic wax-up for maxillary and mandibular All-on-4 full-arch rehabilitation.

Figure 6

Fig 7. Sclar Center Protocol Provisional Prosthesis Guide used in surgical and restorative procedures. Treatment windows provide for restoration-driven implant placement and simplified restorative procedures.

Figure 7

Fig 8. Provisional prosthesis guide is used as a surgical guide to verify adequate bone reduction and leveling with the incisal and occlusal planes of the prosthesis.

Figure 8

Fig 9. Restoration-driven implant placement—Optimal implant position and distribution is achieved as a result of using the provisional prosthesis guide.

Figure 9

Fig 10. Surgical impression—Open-tray impression copings are secured and splinted with a denture-strengthening bar using low-expansion pattern resin.

Figure 10

Fig 11. Surgical impression—Modified plastic impression tray seated to verify that there are no interferences with the copings or the bar.

Figure 11

Fig 12. Surgical impression—After impression putty is adapted around the impression copings and bar, the tray is filled with impression material and seated, the copings are exposed, and the retention screws are disengaged to allow the impression to be easily pulled.

Figure 12

Fig 13. Surgical indexing of the two anterior implants—After verifying that the modified provisional prosthesis fully seats without interferences with the temporary cylinders attached to the anterior two implants, cold-cure acrylic material is applied using a “salt and pepper” technique.

Figure 13

Fig 14. Soft tissue model—Surgical impression modified by adding a silicone material around the attached implant analogues before pouring the zero expansion stone for master cast fabrication.

Figure 14

Fig 15. Master cast with soft-tissue model fabricated from the surgical impression provides a working model for the indirect denture conversion technique.

Figure 15

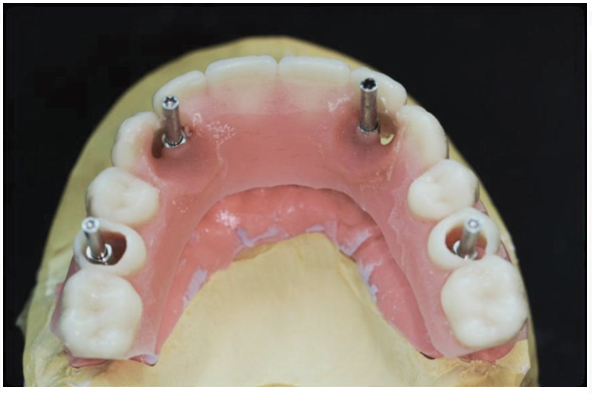
Fig 16. Indirect denture conversion—The indexed provisional prosthesis is modified for passive attachment of the posterior titanium cylinders to the prosthesis using heat-cured acrylic under pressure. This process is repeated for the anterior indexed implants, leading to a higher quality provisional with increased strength.

Figure 16

Fig 17. Pre-treatment smile of patient with terminal dentition.

Figure 17

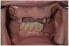
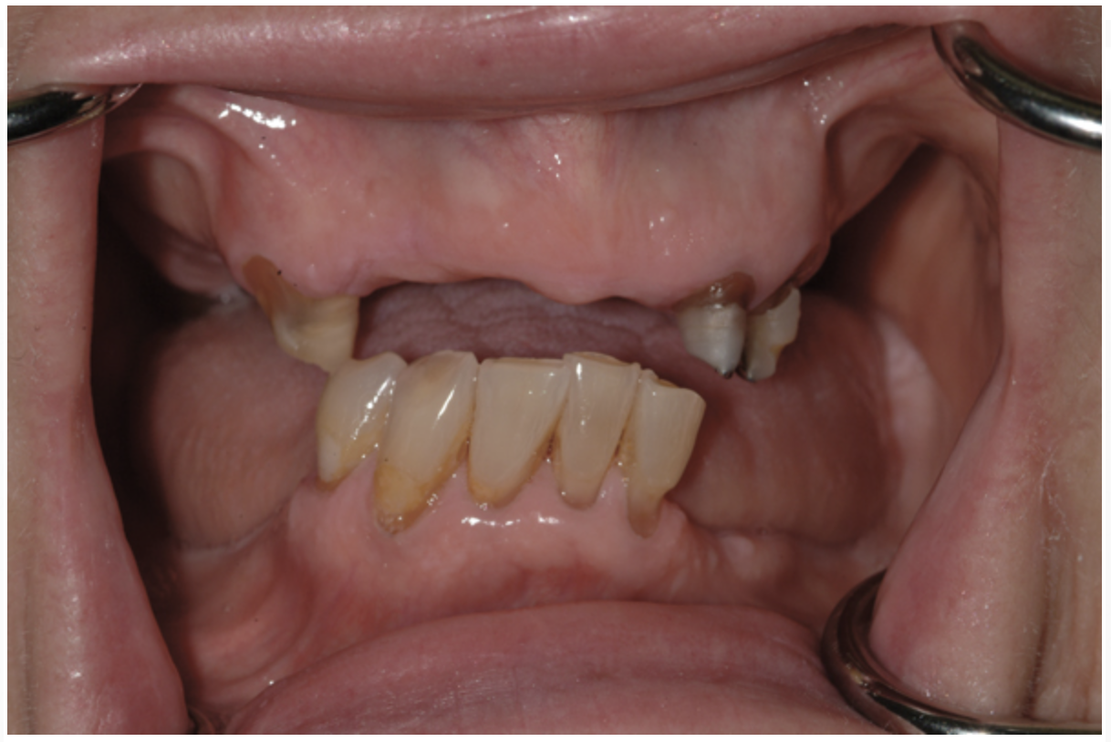
Fig 18. The patient’s intraoral condition.

Figure 18

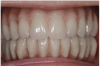
Fig 19. Patient smile shown 3 years post-treatment.

Figure 19

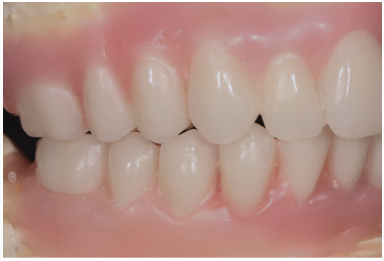
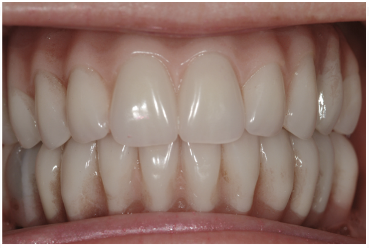
Fig 20. Patient intraoral condition 3 years following delivery of maxillary and mandibular All-on-4 definitive prosthesis.

Figure 20

Learning Objectives:

  • discuss quality-of-life benefits of the All-on-4 treatment concept for patients suffering from edentulism and terminal dentition
  • describe diagnostically driven treatment planning for successful execution of the All-on-4 concept for full-arch immediate function
  • list advantages of the All-on-4 protocol described by the author

Disclosures:

The author reports no conflicts of interest associated with this work.

Queries for the author may be directed to justin.romano@broadcastmed.com.