CDEWorld > Courses > Occlusal Considerations in Full-Arch Implant-Supported Fixed Prosthetics: Design and Material Selection

CE Information & Quiz

Occlusal Considerations in Full-Arch Implant-Supported Fixed Prosthetics: Design and Material Selection

Michael C. Verber, DMD

June 2017 Course - Expires Tuesday, June 30th, 2020

CDEWorld

Abstract

Full-arch implant-supported fixed prosthetics have become the gold standard of care for the rehabilitation of edentulous patients. However, these cases present unique restorative challenges. Trading implants for teeth changes the masticatory system and its ability to mediate functional and parafunctional activity. Treatment requires careful consideration of prosthetic materials and design. This article will explore the differences between implants and teeth that expose implant prosthetics to unmitigated occlusal forces. The advantages and disadvantages of various prosthetic options and materials will also be discussed.

You must be signed in to read the rest of this article.

Login Sign Up

Registration on CDEWorld is free. Sign up today!
Forgot your password? Click Here!

The concept of “complete dentistry,” as described by Dr. Peter Dawson, illustrates the need for restorative dentists to work within the context of the masticatory system. When the requirements of occlusal stability are achieved, a harmonious balance exists between anterior teeth, posterior teeth, muscles, and temporomandibular joints.1 A restored dentition can be stable for decades when functional and parafunctional forces are well controlled. What changes, however, when implants are substituted for teeth? Does the masticatory system change? Do parameters concerning materials and occlusion change?

Implants vs Teeth

When a patient presents with a desire for full-arch implant restoration, the patient is anticipating teeth. From the patient perspective, an implant is synonymous with a tooth. The clinician, however, needs to appreciate that an implant is not a tooth. Perhaps the most significant difference between implants and teeth is the proprioceptive nature of a tooth. Teeth are sensory organs that manage occlusal forces during functional and parafunctional activities. The unconscious rhythms essential to chewing, breathing, and swallowing are all coordinated by tactile sensory feedback.2,3 Research shows that some forms of bruxism can be mitigated with proper management of the sensory motor system. For instance, when posterior interferences are eliminated and immediate disclusion is achieved with canine guidance, parafunction decreases.4-6

Proprioceptive feedback comes from innervation in both the intradental fibers and the periodontal ligaments (PDL). Dong and colleagues identified 12 types of intradental mechanoreceptors along with 39 types in the PDL.7 Vital teeth have a lower tactile sensory threshold than non-vital teeth, and non-vital teeth have a lower threshold than implants.8,9 The only tactile sensation available to implant restorations comes from bone deformation, which results in a threshold level 50 times greater than that of the natural dentition.10

Studies also show that subjects with dentures and implants are unable to position their jaws as precisely as those with teeth.11 This lack of positional control, coupled with increased tactile sensory thresholds, results in much greater force being applied to implant restorations versus tooth-borne prosthetics. Therefore, implant prosthetics are likely to experience a greater incidence of mechanical damage. Dhima and colleagues reported that findings from a Mayo Clinic study demonstrated patients with dental implant-supported fixed hybrid prostheses experienced 3.8 times more prosthetic complications than biologic complications.12

Implant prosthetic failures attributed to unrestrained muscle activity can be found across the literature. In the Toronto Study by Attard, long-term treatment outcomes in edentulous patients with implant-supported fixed prostheses were investigated. The authors confirmed “the overall long-term treatment outcome success of patients treated with fixed prostheses supported by Brånemark implants.” However, the results revealed that the prosthesis longevity was only 8.39 +/- 5.30 years and that there was a need for ongoing maintenance and repair.13

The prosthetic complications are often minimized in such studies because the focus is not on the prosthesis. Many outcomes are based primarily on implant survivability. A 2012 study by Malo found that a CAD/CAM protocol for fixed prostheses with milled titanium frameworks and all ceramic crowns was “acceptable for definitive prosthetic rehabilitation.” However, 44% of the patients experienced crown fractures in the first 5 years.14 Ekfeldt also found that implant-supported fixed dental prostheses often experienced prosthodontic complications, many of which were severe enough to require retreatment.15

The stoic proprioceptive nature of implants is just one factor that puts implant restorations at a mechanical disadvantage. The PDL provides more than just innervation: it gives teeth a resiliency that rigidly integrated implants lack. Moreover, the fibroblasts, cementoblasts, osteoblasts, and osteoclasts in the PDL are part of a cellular mechanism that allows remodeling of the alveolar bone,16 which permits migration, a much more adaptive reaction to unbalanced occlusal forces than the possible catastrophic outcomes seen in implants, including failures of the prosthesis and of the implant osseointegration.

The Dawn of Implant Prosthetics: The Acrylic Fixed Hybrid

Although overall success rates have established implants as the gold standard of care for replacing missing teeth, prosthetic concerns remain. Successful outcomes require careful selection of prosthetic types and materials. Full-arch fixed-implant restorations give patients increased function and improved psychological responses. By eliminating the need for a removable prosthesis and the accompanying acrylic coverage of the mouth, fixed hybrids can deliver a more natural feel along with enhanced eating, speaking, and comfort.

The original hybrid design was essentially an adapted denture composed of acrylic and denture teeth tied into Brånemark implant fixtures via copings. Typically, 1 to 2 mm of space was left between the inferior border of the prosthetic and the alveolar ridge to allow adequate hygienic access. When fabricated without a supporting substructure, a substantial amount of acrylic is necessary to provide strength. In cases of atrophic ridges, the bulk of material is necessary to restore the loss of teeth and bone. When the ridge architecture is more substantial, aggressive alveoplasty to amputate bone may be necessary to accommodate the hybrid.

Advantages of an all-acrylic hybrid include the cost and speed of fabrication. Because of these advantages, these hybrids often are used as interim prostheses in immediate load cases (Figure 1). In addition to fracture, disadvantages with these prosthetic materials include lost retention of the denture teeth, wear, and a proclivity to stain and discoloration (Figure 2). Cast-metal frameworks have begun to be incorporated to support the acrylic and mitigate breakage (Figure 3).

Modern frameworks are produced with CAD/CAM technology and made of titanium alloy, commercially pure titanium, or cobalt-chromium alloy (Figure 4). A review of the literature suggests that milled frameworks can fit more passively than castings17 (Figure 5) achieved by eliminating the inherent inaccuracies of several casting steps, including waxing, investing, casting, and polishing. The aim of a passively fitting framework is to minimize biologic and mechanical complications by creating an even articulation of the fitting surfaces without creating nonfunctional strain or microgaps.

Although frameworks improve acrylic hybrid strength, they don’t decrease the amount of vertical space necessary to accommodate the restoration. A total of 15 mm is still necessary to fully accommodate the framework, enough acrylic for retention of the denture teeth, and the teeth themselves.18 Failure to plan for adequate vertical height often results in the dental laboratory opening the vertical dimension of occlusion (VDO) to accommodate the restoration. This approach is problematic because it can lead to increased forces. It has been established that VDO is determined by the repeated contracted length of the elevator muscles.19,20 The teeth erupt to this position. When VDO is altered with careful restoration of teeth, the alveolar processes adapt to compensate. However, edentulous patients with implants do not have the advantage of alveolar adaption without PDL. Thus, increases in the length of the elevator muscles will result in increased contractive forces (Figure 6).21

The Arrival of Monolithic Zirconia

Advances in materials have decreased the amount of vertical height required for restoration. Less prosthetic material allows preservation of bone, longer implants, and better crown-to-implant ratios (Figure 7). If enough bone exists to mimic traditional crown-and-bridge design with pontic-supported tissue contours, the result can be ideal. However, if there is a need for pink restorative material to replace lost supporting structure, the issue becomes managing the transition between the prosthesis and tissue in relation to lip position. Hypermobility of the upper lip and excessive maxillary display cases can present esthetic and phonetic challenges. More excessive alveolar reduction to position the gingival-prosthetic transition under the lip is advisable in these cases (Figure 8). Steps taken to preserve an adequate amount of keratinized gingiva may improve long-term implant health.22

Zirconia is quickly becoming the material of choice for full-arch implant cases (Figure 9). The world’s largest dental laboratory reports that since December of 2013, the average monthly growth in prescriptions for full-arch zirconia has outpaced more traditional acrylic screw-retained options. The production of the zirconia type now more than doubles that of the acrylic.23

Zirconia has some disadvantages. In cases of dual-arch zirconia restorations, there are numerous anecdotal reports of clacking sounds between teeth during function. However, this result may be exacerbated by improper occlusion. Additionally, the restorations are heavy, often carrying a weight more than twice that of alternative materials. They are more costly than other options, and their technique-sensitive fabrication requires precision and time. Because zirconia hybrids are largely monolithic, with the exception of some veneering porcelain, the contours and occlusion should be worked out before milling to minimize adjustments. This process typically is accomplished by delivering a provisional prototype and allowing time for the patient to function with it before final restoration. Finally, repairs to zirconia hybrids can be difficult and usually require time in the dental laboratory.

The main advantage of zirconia is its strength, which allows an esthetically acceptable monolithic restoration. Recent research suggests that zirconia hybrid restorations are resistant to prosthetic failures.24 Commercial advertising for zirconia hybrid restorations suggests the products have an almost indestructible nature by smashing the prosthetic with a sledgehammer until it is pounded into a wood surface.25 Amazingly, no damage occurs to the prosthetic—but deformation does occur to the wood. What does the wood represent in this analogy? The restorative-implant connection? The alveolar bone? The temporomandibular joints? Long-term studies will be necessary to measure the effect, if any, this strength will have on the entire masticatory system.

Incremental Wear and Repairability: Light-Curing Micro-Hybrid Composite

Full-arch fixed-implant restorations essentially establish a nonadaptive masticatory system in the presence of excessive occlusal forces. If deformation is likely to occur over time, would it not be best for the deformation to occur within the restorative material? If this is the case, the use of a material that can wear incrementally and offer repairability becomes tantamount. One such material comes in the form of a light-cured micro-ceramic polymer system. The system is distinguished from other composites in containing 73% zirconium silicate fillers. An evenly distributed homogenous microstructure offers valuable physical and esthetic properties.25

Although harder than other light-cured options, the zirconium silicate composite is more resilient and elastic than conventional ceramics. It also simulates the wear of enamel, favoring more natural attrition over catastrophic fractures. Repairs can be done directly in the mouth. Moreover, the material is very polishable, allowing ease of adjustments during delivery and occasional maintenance (Figure 10). In addition, the microstructure promotes a hygienic, plaque-resistant surface.

The material does not require firing, so coefficients of thermal expansion are not a concern. The material works with all varieties of frameworks; it has demonstrated years of success in veneering over CAD/CAM tooth form metal frameworks. Frameworks can be designed from scans of approved prototypes that are digitally cut back, allowing a complete wrapping of 1 to 2 mm of the microceramic (Figure 11).26

Highly esthetic restorations are made possible by the material’s natural light transmission and fluorescence. A wide offering of shades and effect colors give technicians limitless possibilities for characterization of both tooth surfaces and gingival structures.26

Although the material has demonstrated up to 5 years of color stability, it doesn’t perform as well as traditional ceramics in this area.26 These prosthetics are likely to eventually require removal for in-laboratory touch-ups. Another disadvantage is the cost associated with the application of this microceramic. A significant amount of time, skill, and artistry on the part of the technician is required to layer the material.

Milled PMMA: Disposable Prosthetics?

The ability to repair small fractures in the mouth or in the office is invaluable. However, patients are often hesitant to give up their prosthetics for laboratory repairs. Can there be an affordable option for patients that is not only repairable but also replaceable? When restoring teeth, stability and longevity of restorations is critical. Does this paradigm change with implants? There is no concern for the biologic trauma and loss of structure from repetitive prepping of teeth. Decay under failing restorations is not a factor, and greater retrievability with implants is possible. Because replacement becomes a more mechanical than surgical event, it may be time to reevaluate options and expectations for implant prosthetics.

The high cost of implant treatment leads doctors and patients to expect that implant prosthetics should last indefinitely. Newer materials such as milled poly (methyl methacrylate) (PMMA) show promise as more affordable transitional restorative options. Often used for temporaries and prototypes, these materials are becoming more and more esthetic, with multiple shade layers available in a single disc (Figure 12). Despite manufacturer indications for 12 to 18 months of service, fixed-implant prostheses made of this material have demonstrated a resistance to fracture and aging. Evidence of biodeterioration similarly to other denture materials exists in the literature, but the author of this article has experience with PMMA full-arch fixed-implant restorations in service for more than 2 years without significant signs of breakdown.27

Future exploration of these materials can lead to a paradigm shift. Rather than focusing primarily on restorations that are indestructible, the focus can shift to restorations that are serviceable esthetically and functionally while also being replaceable. The ability to inexpensively mill duplicates from a digital design allows production of multiple copies. The author is investigating a protocol that allows two identical restorations to be fabricated; one is delivered and a duplicate is held for the patient. Should the prosthesis in service fail, the immediate replacement can be delivered, while the original is replaced with a new backup. Should the prosthesis require repair, polishing, or reglazing, it can be returned to serve as the secondary restoration. Never does the patient need to be compromised without a restoration. In addition, the associated laboratory costs for two PMMA restorations can be significantly less than one zirconia restoration. Fixed-implant restoration can become a viable option for more financially restricted patients or patients who want to phase into a more definitive prosthesis over a period of years.

Occlusion Still Matters

Occlusal goals change a bit when dealing with implants. In a natural dentition, the aim is to achieve centric stops on teeth with the temporomandibular joints seated in centric relation (CR), to have posterior teeth void of interferences in excursive movement, and to maintain lingual contours of the anterior teeth that are in harmony with the envelope of function. However, without the biofeedback from anterior teeth, group function is preferred in implant restorations to more evenly share and distribute force. The anterior lingual contours should be shallowed, allowing more unrestricted movement of the mandible. Also, it is advisable to shroud prosthetics with an appropriate protective nighttime appliance.1

Some occlusal principles don’t change. It is still essential to restore all cases in the CR position. If the condyles are not seated in the most superior position when the teeth are in maximum intercuspation, the most posterior aspect of the prosthesis will act as a pivot point. As the elevator muscles contract, the condyles will move up, creating the fulcrum on the restoration. This concentration of force is particularly problematic in mandibular restorations where posterior cantilevers are often present and in maxillary restorations where the posterior bone quality suffers.

Conclusion

Many factors influence prosthetic choice in fixed full-arch implant rehabilitations, including patient finances, available bone, lip position, esthetic expectations, and parafunctional behaviors. Prosthetic design and material selection for full-arch fixed-implant cases should be a collaborative effort between the patient, the surgeon, the restorative dentist, and the laboratory technician. Decisions should be weighed within the context of not only esthetics and material strength, but also function and biology. Furthermore, treatment planning requires data that can only be gained from a complete examination and full set of records. The design process must include careful consideration of the TMJ and jaw position before crown and three-dimensional planning with diagnostic setups and provisional prototypes. The marriage of informed perspectives and sound processes, from the articulator to the mouth, will result in customized solutions and optimal patient outcomes.

ABOUT THE AUTHOR

Michael C. Verber, DMD
CEO & President
Verber Dental Group
www.verberdental.com

REFERENCES

1. Dawson PE. Requirements for occlusal stability. In: Dawson PE. Functional Occlusion: From TMJ to Smile Design. St. Louis, MO: Mosby Elsevier; 2007:345-348.

2. Kerstein RB, Radke J. Average chewing pattern improvements following disclusion time reduction. Cranio. 2016;35(3):135-151.

3. Levy JH. Teeth as sensory organs. Vistas. 2009; 2(3):14-19.

4. Kerstein RB, Radke J. Masseter and temporalis excursive hyperactivity decreased by measured anterior guidance development. Cranio. 2012;30(4): 243-254.

5. Thumati P. The influence of immediate complete anterior guidance development technique on subjective symptoms in myofascial pain patients: verified using digital analysis of occlusion (Tek-scan) for analyzing occlusion: a 3 years clinical observation. J Indian Prothodont Soc. 2015;15(3): 218-223.

6. Williamson EH, Lundquist DO. Anterior guidance: its effect on electromyographic activity of the temporal and masseter muscles. J Prosthet Dent. 1983;49(6):816-823.

7. Dong WK, Shiwaku T, Kawakami Y, Chudler EH.  Static and dynamic responses of periodontal ligament mechanoreceptors and intradental mechanoreceptors. J Neurophysiol. 1993;69(5):1567-1582.

8. Loewenstein WR, Rathkamp R. A study on the pressoreceptive sensibility of the tooth. J Dent Res. 1955;34(2):287-294.

9. Linden RW. Touch thresholds of vital and nonvital human teeth. Exp Neurol. 1975;48(2):387-390.

10. Jacobs R, van Steenberghe D. Comparison between implant-supported prostheses and teeth regarding passive threshold level. Int J Oral Maxillofac Implants. 1993;8(5):549-554.

11. Trulsson M, Gunne HS. Food-holding and -biting behavior in human subjects lacking periodontal receptors. J Dent Res. 1998;77(4):574-582.

12. Dhima M, Paulusova V, Lohse C, Salinas TJ, Carr AB. Practice-based evidence from 29-year outcome analysis of management of the edentulous jaw using osseointegrated dental implants. J Prosthodont. 2014;23(3):173-181.

13. Attard NJ, Zarb GA. Long-term treatment outcomes in edentulous patients with implant-fixed prostheses: the Toronto study. Int J Prosthodont. 2004;17(4):425-433.

14. Maló P, de Araújo Nobre M, Borges J, Almeida R. Retrievable metal ceramic implant-supported fixed prostheses with milled titanium frameworks and all-ceramic crowns: retrospective clinical study with up to 10 years of follow-up. J Prosthodont. 2012;21(4):256-264.

15. Ekfeldt A, Zellmer M, Carlsson GE. Treatment with implant-supported fixed dental prostheses in patients with congenital and acquired neurologic disabilities: a prospective study. Int J Prosthodont. 2013;26(6):517-524.

16. Basdra EK, Komposch G. Osteoblast-like properties of human periodontal ligament cells: an in vitro analysis. Eur J Orthod. 1997;19(6):615-621.

17. Abduo J. Fit of CAD/CAM implant frameworks: a comprehensive review. J Oral Implantol. 2014;40(6),758-766.

18. Benting D. Outcome analysis for fixed hybrid prostheses. https://www.speareducation.com/spear-review/2014/12/outcome-analysis-fixed-hybrid-prostheses-douglas-benting. Published December 10, 2014. Accessed June 28, 2017.

19. Dawson PE. Neuromuscular dentistry: bioelectronic instrumentation. In: Dawson PE. Functional Occlusion: From TMJ to Smile Design. St. Louis, MO: Mosby Elsevier; 2007:421.

20. Varrela TM, Paunio K, Wouters FR, et al. The relation between tooth eruption and alveolar crest height in a human skeletal sample. Arch Oral Biol. 1995;40(3):175-180.

21. Prombonas A, Vlissidis D, Molyvdas P. The effect of altering the vertical dimension of occlusion on biting force. J Prosthet Dent. 1994;71(2):139-143.

22. Brito C, Tenenbaum HC, Wong BK, et al. Is keratinized mucosa indispensable to maintain peri-implant health? A systemic review of the literature. J Biomed Mater Res B Appl Biomater. 2014;102(3):643-650.

23. Hahn JA, Schaefer P, Kosinski TF. BruxZir® solid zirconia: moving beyond the traditional hybrid denture. http://glidewelldental.com/education/inclusive-dental-implant-magazine/volume-5-issue-3/bruxzir-solid-zirconia-moving-beyond-the-traditional-hybrid-denture/. Accessed June 28, 2017.

24. Rojas Vizcava F. Retrospective 2- to 7-year follow-up study of 20 double full-arch implant-supported monolithic zirconia fixed prostheses: measurements and recommendations for optimal design. J Prosthodont. Published August 29, 2016 [Epub ahead of print]. doi: 10.1111/jopr.12528.

25. Shatter your doubts with the sledgehammer test [video]. http://glidewelldental.com/services/bruxzir-solid-zirconia/bruxzir-over-implants. Accessed June 28, 2017.

26. Ceramage® light-curing micro-hybrid composite. Brochure. Shofu Dental Corporation.

27. Matsuo H, Suenaga H, Takahashi M, et al. Deterioration of polymethyl methacrylate dentures in the oral cavity. Dent Mater J. 2015;34(2):234-239.

Fig 1. A mandibular immediate fixed hybrid fabricated through denture conversion used as an interim prosthesis while integration and tissue maturation occurs.

Figure 1

Fig 2. Wear and discoloration can be seen over time; fixed hybrid restorations made of denture teeth and acrylic.

Figure 2

Fig 3. Although the teeth suffered significant wear and breakdown, the cast-metal framework supporting the acrylic prevented catastrophic fracture.

Figure 3

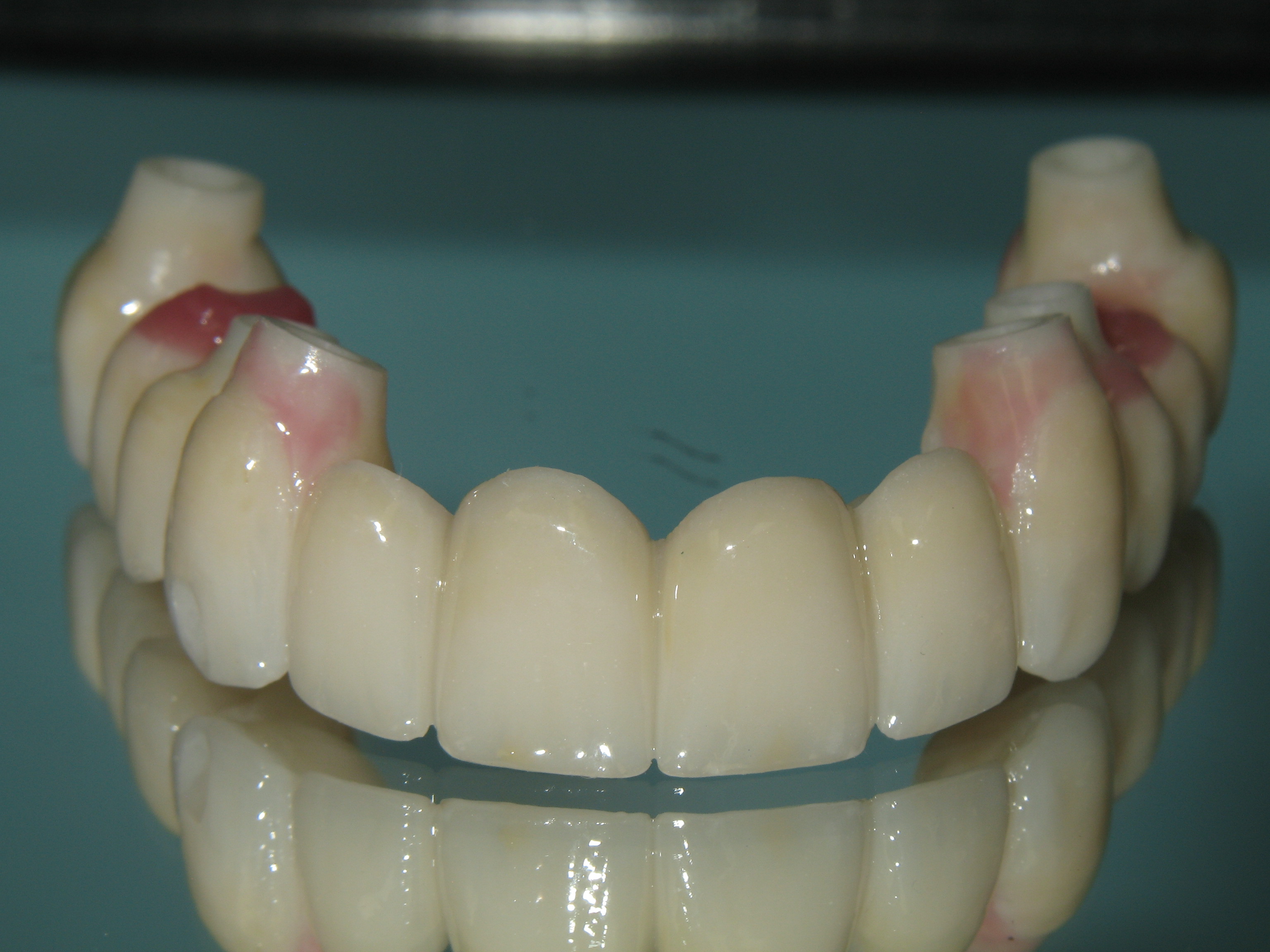
Fig 4. A CAD/CAM milled framework served as foundation for the mandibular restoration.

Figure 4

Fig 5. Open margins seen in the radiograph illustration fit issues with large cast-implant frameworks. The milled replacement displayed an intimate passive fit.

Figure 5

Fig 6. In 18 months of service after the post-delivery appointment, this restoration experienced multiple failures, including loss of veneering porcelain, wear, and framework fracture. After multiple attempts to restore, it was suspected that an initial considerable increase in VDO was leading to failure.

Figure 6

Fig 7. The use of a micro-hybrid composite veneered framework drastically reduced the amount of vertical height needed to accommodate a traditional acrylic hybrid with denture teeth.

Figure 7

Fig 8. The lip line of this patient required deeper implant placement in the partially edentulous area.

Figure 8

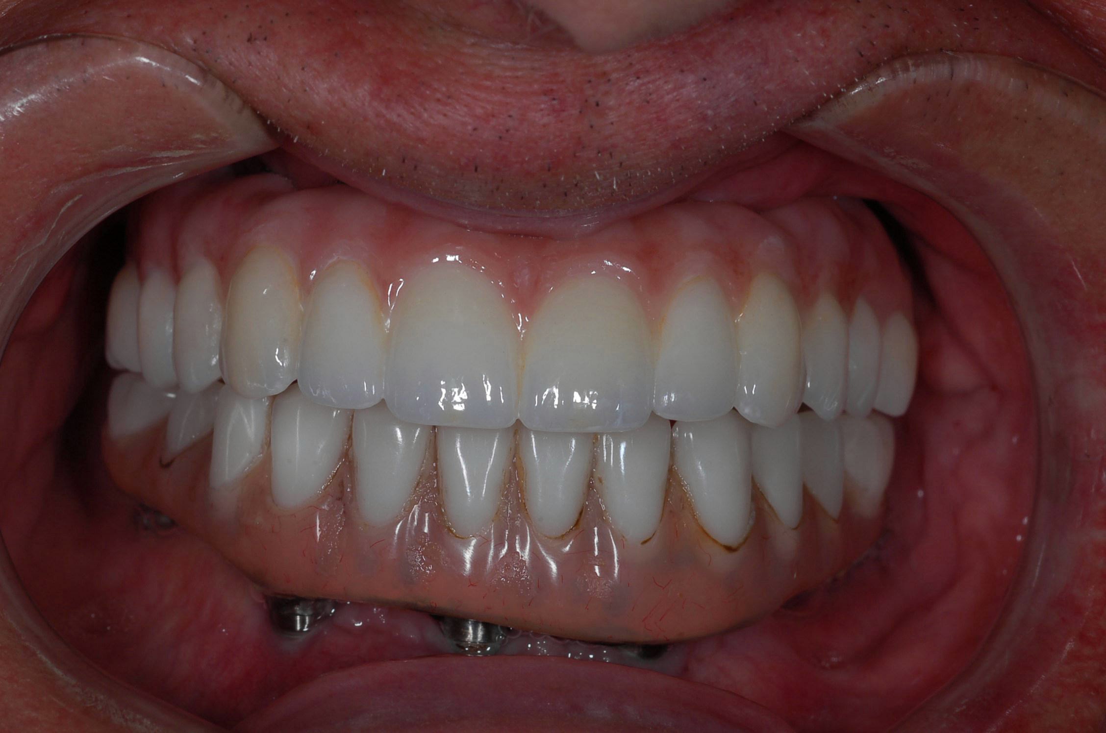
Fig 9. An implant retained over-denture was upgraded to a fixed zirconia hybrid.

Figure 9

Fig 10. The zirconium silicate composite can be repaired in the mouth or returned to the lab to be refreshed, as in this case.

Figure 10

Fig 11. The CAD/CAM process starts with a digital design based off a prototype and ends with a milled framework ready for the application of the composite.

Figure 11

Fig 12. Maxillary restoration fabricated as temporary showed promise esthetically and functionally for longer-term use.

Figure 12

CREDITS: 0
AGD CODE: 610 - Fixed Prosthodontics
COST: $0
PROVIDER: Dental Learning Systems, LLC
SOURCE: Updates in Clinical Dentistry | June 2017
COMMERCIAL SUPPORTER: Preat Corporation

Learning Objectives:

  • Contrast occlusal considerations between implants and teeth.
  • Describe factors that influence prosthetic selection.
  • Recognize the advantages and disadvantages of various prosthetic materials.
  • Consider restorative options that facilitate management of prosthetic complications.

Disclosures:

The author reports no conflicts of interest associated with this work.

Queries for the author may be directed to justin.romano@broadcastmed.com.