CDEWorld > Courses > The New Generation of Adhesives and Selection Criteria

CE Information & Quiz

The New Generation of Adhesives and Selection Criteria

Gaetano Paolone, DDS

March 2022 Issue - Expires Monday, March 31st, 2025

Inside Dentistry

Abstract

The pursuit of minimally invasive treatment solutions and the desire to reduce technique sensitivity has fueled the ongoing development of adhesive systems and techniques. Adhesion can be used to facilitate a wide range of restorative procedures from placing posts, performing buildups, and luting indirect restorations to executing advanced esthetic dentistry protocols. Currently, adhesives can be categorized as 3- or 2-step, etch-and-rinse systems or 2- or 1-step, self-etch systems, the latter of which includes the so-called universal adhesives. This article examines the different types of dental adhesives and discusses the techniques used to place them on different substrates and the effect of these techniques on the bond strength that can be achieved. Universal adhesives are explored in greater detail, including their formulations and the various approaches in which they can be used, and case reports are included that highlight two of these approaches.

You must be signed in to read the rest of this article.

Login Sign Up

Registration on CDEWorld is free. Sign up today!
Forgot your password? Click Here!

The once widely accepted concept of "extension for prevention" proposed by Greene Vardiman Black has been replaced by a more conservative approach known as minimal intervention dentistry.1 Minimally invasive procedures are designed to minimize the extent of preparation and reduce the amount of sound tissue removed. Nowadays, cavity preparation is limited to the removal of unsupported enamel and infected dentin. Minimally invasive preparations may be less mechanically retentive; however, the application of an adhesive system and an adhesive material can provide predictable chemical retention and reliable restorations.2,3

Since the introduction of enamel etching in 1955,4 adhesive systems have evolved to provide clinicians with more reliable procedures and a wider range of clinical indications. In recent years, the concept of minimally invasive dentistry and the desire to preserve as much sound tooth structure as possible has led to the rapid development of adhesive techniques. Adhesively placed restorations, both direct and indirect, are now the gold standard in esthetic dentistry. Moreover, adhesive systems are commonly used in many restorative procedures, even if they are not esthetic. Sealing, cementing posts, performing buildups, luting indirect restorations, and bonding brackets are examples of some of the many dental procedures that are performed with adhesive systems.

Serious efforts have been made by manufacturers to reduce the number of clinical steps needed to apply adhesive systems and obtain good clinical outcomes. In fact, the evolution of adhesive systems and techniques has largely been based on simplifying the step-by-step procedures involved and enhancing the longevity of the direct and indirect restorations placed.

Types of Adhesive Systems

Currently, adhesives are classified as either etch-and-rinse (3- or 2-step) or self-etch (2- or 1-step) systems. Etch-and-rinse adhesives require the use of a separate inorganic acid-usually phosphoric acid-to condition the dental substrate. Self-etch adhesives contain adhesion-promoting monomers within self-etching primer blends that are either coupled with the bonding agent (1-step systems) or separate (2-step systems). Self-etch adhesives achieve better marginal integrity and retention rates when the enamel margins are pretreated with phosphoric acid, which is referred to as the selective enamel etching approach.5

The highest bond strengths are obtained using 3-step, etch-and-rinse adhesives and 2-step, self-etch adhesives because they incorporate an unsolvated hydrophobic resin layer as a final step.6 Nevertheless, universal adhesives are providing excellent clinical results with simplified procedures that are changing adhesive strategies.

Etch-and-rinse adhesives are often considered to be technique sensitive, and the smallest error in clinical application can result in postoperative sensitivity, debonding, or margin degradation.7 Consequently, manufacturers developed new adhesives that were less dependent on the operator's skills. These more recently introduced universal adhesives provide simple procedures to obtain the hybrid layer, with or without the application of phosphoric acid.8 Universal adhesives have shown promising results, but they have specific indications for their application on challenging substrates such as coronal and radicular dentin.

Universal Adhesives

Universal adhesives are self-etch 1-step adhesives that contain functional monomers. The phosphate groups of these functional monomers interact with the calcium ions (Ca++) of hydroxyapatite to facilitate chemical bonding. The most widely known functional monomer, 10-methacryloyloxydecyl dihydrogen phosphate (10- MDP), has been shown to provide a very effective and durable bond to dentin and to form stable MDP-Ca salts.

Universal adhesives may be applied using etch-and-rinse, self-etch, or selective enamel etching approaches, but recent studies suggest using them with phosphoric acid in an etch-and-rinse or selective enamel etching approach. Furthermore, universal adhesives can be used on both enamel and dentin substrates as well as on other substrates, such as composites, glass ceramics, zirconia, and metal alloys.9-13 The formulation of universal adhesives enables clinicians to apply them using any of the aforementioned strategies based on the clinical situation and their personal preferences.14

When applied to enamel, universal adhesives provide improved bond strength if phosphoric acid is applied in advance. The process of enamel etching produces porosities (micro and macro) as a result of the dissolution of hydroxyapatite.15 This process leads to an increase in surface area that can be better infiltrated by resin monomers. Self-etch adhesives contain acidic monomers that condition and prime the substrate, but they are not as effective as a separate phosphoric acid etchant when used on enamel.15 Consequently, concerns have been raised about the limited bond durability and increased potential for nanoleakage associated with universal adhesives.16 The "lower performance" of universal adhesives has been attributed to the copresence of hydrophilic and hydrophobic ingredients within the same single component.17

Despite universal adhesives having shown effectiveness, as with other adhesive systems, they are affected by hybrid layer degradation due to the hydrolytic activity of metalloproteinases.18 The performance of a universal adhesive is dependent not only on the strategy used and the substrate, but also on other factors, such as its pH level. Universal adhesives can be classified based on pH. For example, mild universal adhesives are those with a pH that is greater than or equal to 2.0, intermediately strong universal adhesives are those with a pH of greater than 1.0 but less than 2.0, and strong universal adhesives are those with a pH of less than 1.0. Intermediately strong universal adhesives, irrespective of the strategy applied (etch-and-rinse or self-etch) or the type of substrate, demonstrate a significant decrease in bond strength after any type of aging. Conversely, mild universal adhesives demonstrate higher stability and their bonds benefit from the use of the selective enamel etch strategy.16

The following clinical cases highlight the versatility of universal adhesives in different restorative situations.

Case Report 1: Posterior Region

The placement of posterior restorations may lead to postoperative sensitivity.19 Two main characteristics that are important to consider when dealing with posterior restorations are the configuration factor (C-factor) of the preparation and the amount of dentin involved when compared with the amount of enamel. A preparation's C-factor refers to the ratio of bonded to unbonded surfaces. For example, Class I preparations have a C-factor of 5, and Class II preparations have a C-factor of 2. For preparations in which the amount of dentin is greater than the amount of enamel, a self-etch approach is advised because it may reduce postoperative sensitivity. Universal adhesives with functional monomers are able to chemically bond to dentin, which exists in greater amounts in posterior teeth.20 Using them in a selective enamel etching approach can improve the marginal seal that is obtained. In the clinical case described here, two premolars were restored using a universal adhesive in a selective enamel etching approach. The patient presented with primary and a secondary caries on teeth Nos. 12 and 13 (Figure 1). After isolation with a rubber dam (Figure 2), the teeth were prepared using a cylindrical bur, and the enamel was selectively etched with phosphoric acid (Figure 3). A universal adhesive was then applied, and composite was placed to restore the tooth using a cusp-by-cusp modeling approach (Figure 4 and Figure 5).

Case Report 2: Anterior Region

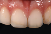
In anterior teeth, the risk of postoperative sensitivity is lower, and the enamel quantity is generally higher. For these reasons, clinicians should consider following an etch-and-rinse approach to obtain higher bond values. This second case report describes a Class IV restoration treated with a universal adhesive applied in etch-and-rinse mode. The patient presented to the office complaining about the esthetic appearance of tooth No. 8, which had a restoration that was performed 5 years earlier after a traumatic accident (Figure 6). The tooth still demonstrated vitality; therefore, the placement of another direct restoration was proposed and accepted by the patient. First, the previous restoration was removed, and the margin was prepared with a chamfer design (Figure 7). After adhesive procedures were performed with a universal adhesive applied in etch-and-rinse mode (Figure 8), the tooth was restored with composite materials in appropriate opaque and translucent shades with the help of a silicone index and sectional matrices (Figure 9 and Figure 10).

Conclusion

Universal adhesives represent a silent revolution in adhesive dentistry. The versatility of these systems empowers clinicians with the ability to employ different adhesive strategies based on the specific clinical situations that they encounter. This opportunity to choose the most appropriate application mode can help in managing the occurrence of unfavorable outcomes, including postoperative sensitivity, poor marginal integrity, and debonding.

Queries regarding this course may be submitted to authorqueries@aegiscomm.com

About the Author

Gaetano Paolone, DDS
Research Professor
Università Vita-Salute San Raffaele
Milan, Italy

References

1. Cardoso MV, de Almeida Neves A, Mine A, et al. Current aspects on bonding effectiveness and stability in adhesive dentistry. Aust Dent J. 2011;56(Suppl 1):31-44.

2. Schwendicke F, Frencken JE, Bjørndal L, et al. Managing carious lesions: consensus recommendations on carious tissue removal. Adv Dent Res. 2016;28(2):58-67.

3. Schwendicke F, Kern M, Dörfer C, et al. Influence of using different bonding systems and composites on the margin integrity and the mechanical properties of selectively excavated teeth in vitro. J Dent. 2015;43(3):327-334.

4. Buonocore MG. A simple method of increasing the adhesion of acrylic filling materials to enamel surfaces. J Dent Res. 1955;34(6):849-853.

5. Rotta M, Bresciani P, Moura SK, et al. Effects of phosphoric acid pretreatment and substitution of bonding resin on bonding effectiveness of self-etching systems to enamel. J Adhes Dent. 2007;9(6):537-545.

6. Scotti N, Cavalli G, Gagliani M, Breschi L. New adhesives and bonding techniques. Why and when? Int J Esthet Dent. 2017;12(4):524-535.

7. Blatz MB, Mante FK, Saleh N, et al. Postoperative tooth sensitivity with a new self-adhesive resin cement-a randomized clinical trial. Clin Oral Investig. 2013;17(3):793-798.

8. Nakabayashi N, Kojima K, Masuhara E. The promotion of adhesion by the infiltration of monomers into tooth substrates. J Biomed Mater Res. 1982;16(3):265-273.

9. Muñoz MA, Luque-Martinez I, Malaquias P, et al. In vitro longevity of bonding properties of universal adhesives to dentin. Oper Dent. 2015;40(3):282-292.

10. da Rosa WL, Piva E, da Silva AF. Bond strength of universal adhesives: a systematic review and meta-analysis. J Dent. 2015;43(7):765-776.

11. Seabra B, Arantes-Oliveira S, Portugal J. Influence of multimode universal adhesives and zirconia primer application techniques on zirconia repair. J Prosthet Dent. 2014;112(2):182-187.

12. Kim JH, Chae SY, Lee Y, et al. Effects of multipurpose, universal adhesives on resin bonding to zirconia ceramic. Oper Dent. 2015;40(1):55-62.

13. Blatz MB, Vonderheide M, Conejo J. The effect of resin bonding on long-term success of high-strength ceramics. J Dent Res. 2018;97(2):132-139.

14. Alex G. Universal adhesives: the next evolution in adhesive dentistry? Compend Contin Educ Dent. 2015;36(1):15-26.

15. Wagner A, Wendler M, Petschelt A, et al. Bonding performance of universal adhesives in different etching modes. J Dent. 2014;42(7):800-807.

16. Cuevas-Suárez CE, da Rosa WLO, Lund RG, et al. Bonding performance of universal adhesives: an updated systematic review and meta-analysis. J Adhes Dent. 2019;21(1):7-26.

17. Van Landuyt KL, Mine A, De Munck J, et al. Are one-step adhesives easier to use and better performing? Multifactorial assessment of contemporary one-step self-etching adhesives. J Adhes Dent. 2009;11(3):175-190.

18. Josic U, Maravic T, Mazzitelli C, et al. The effect of chlorhexidine primer application on the clinical performance of composite restorations: a literature review. J Esthet Restor Dent. 2021;33(1):69-77.

19. Berkowitz G, Spielman H, Matthews A, et al. Postoperative hypersensitivity and its relationship to preparation variables in Class I resin-based composite restorations: findings from the practitioners engaged in applied research and learning (PEARL) Network. Part 1. Compend Contin Educ Dent. 2013;34(3):e44-52.

20. Sancakli HS, Yildiz E, Bayrak I, Ozel S. Effect of different adhesive strategies on the post-operative sensitivity of class I composite restorations. Eur J Dent. 2014;8(1):15-22.

(1.) Pretreatment photograph of primary and a secondary caries on teeth Nos. 12 and 13.

Figure 1

(2.) Isolation of the operatory field with a rubber dam.

Figure 2

(3.) The enamel was selectively etched prior to the application of a universal adhesive.

Figure 3

(4.) Posttreatment photograph of the completed Class I restorations.

Figure 4

(5.) Follow-up photograph of the final restorations taken 3 months postoperatively.

Figure 5

(6.) Pretreatment photograph of an existing composite restoration on tooth No. 8 that was placed 5 years prior to presentation following a traumatic injury. The patient was not satisfied with the esthetic appearance of the restoration.

Figure 6

(7.) After isolation with a rubber dam, the existing restoration was removed, and the margin was prepared with a chamfer design.

Figure 7

(8.) A universal adhesive was applied in an etch-and-rinse mode.

Figure 8

(9.) Composite was placed into a silicone index to mold the palatal and incisal margins, and then the interproximal walls were restored with interproximal matrices.

Figure 9

(10.) Follow-up photograph of the final restoration taken 6 months postoperatively.

Figure 10

CREDITS: 0
AGD CODE: 250 - Operative (Restorative) Dentistry
COST: $0
PROVIDER: Conexiant Education
SOURCE: Inside Dentistry | March 2022

Learning Objectives:

  • Summarize the evolution of adhesive systems with regard to the rise of minimally invasive dentistry and efforts to simplify bonding protocols.
  • Describe the current categories of dental adhesives and the techniques involved in placing them.
  • Discuss the effects of the adhesive systems and techniques used, as well as the substrates involved, on resulting bond strength.
  • Identify the advantages of universal adhesives and discuss the effects of their formulations and the techniques used to place them on bond strength.

Author Qualifications:

Gaetano Paolone, DDS Research Professor Università Vita-Salute San Raffaele Milan, Italy

Disclosures:

The author reports no conflicts of interest associated with this work.

Queries for the author may be directed to justin.romano@broadcastmed.com.