CDEWorld > Courses > A Complex Implant-Supported Reconstruction With Monolithic-Minimally Veneered Zirconia: A Clinical Report

CE Information & Quiz

A Complex Implant-Supported Reconstruction With Monolithic-Minimally Veneered Zirconia: A Clinical Report

Michael Moscovitch, DDS, CAGS

March 2016 RN - Expires Tuesday, December 31st, 2019

Inside Dental Technology

Abstract

The purpose of this case report is to highlight the issues of treating a complex maxillary and mandibular fixed, implant-supported reconstruction. It discusses the use of established evidence-based information along with recently developed supporting digital technologies for diagnostics and laboratory procedures, combined with high-strength zirconia ceramic and acrylic materials (polymethyl methacrylate) for provisionals and prototypes. These developments have created an accurate and precise workflow to provide reliable long-term performance and esthetic outcomes without the associated prevalence of damage and wear with previously used restorative materials.

You must be signed in to read the rest of this article.

Login Sign Up

Registration on CDEWorld is free. Sign up today!
Forgot your password? Click Here!

Implant dentistry has evolved to enable high levels of clinical performance outcomes.1 The development of reliable implants with advanced designs to enhance soft- and hard-tissue response as well as supporting stable prosthetic applications has created myriad choices in implant restorative applications.2 In conjunction with these developments, many new approaches in the management and enhancement of bone and soft tissue have added a dynamic adjunct to implant therapy. The plethora of options available to clinicians for implant selection and placement, abutment connections, soft- and hard-tissue enhancements, restorative materials, and designs of implant prostheses has become somewhat enigmatic for assembling all of the appropriate components for long-term success.

This report will address many of the current concerns in managing a complex maxillary and mandibular implant-supported reconstruction. The article will explore the rationale for implant selection and timing of placement, loading protocols, and workflows for provisional restorations, prototypes, and definitive prosthesis design with the use of an advanced high-strength zirconia ceramic.

Clinical Conditions

In 2011, a 66-year-old male patient presented in good general health with an ailing maxillary porcelain-fused-to-metal (PFM) segmented reconstruction supported by teeth and implants and a failing mandibular PFM splinted reconstruction supported by teeth. These were completed in 1994 in Paris. The original maxillary reconstruction consisted of six external hex implants in positions Nos. 4 (5 mm), 5 (3.75 mm), 7 (3.75 mm), 10 (3.75 mm), 12 (3.75 mm), and 13 (3.75 mm). Teeth Nos. 6, 8, 9, and 11 were maintained via endodontic treatment. This PFM reconstruction was designed as follows:

• Two three-unit implant-supported splinted sections: the first, Nos. 5 and 4 (screwed-retained abutments), No. 3 pontic; the second, Nos. 12 and 13 (screwed-retained abutments), No. 14 pontic.
• Two single implant-supported restorations in positions No. 7 (cement-retained abutment) and No. 10 (screw-retained abutment).
• Nos. 6 and 11 tooth-supported single crowns, Nos. 8 and 9 tooth-supported splinted crowns.
• The original mandibular PFM reconstruction was a 10-unit splinted periodontal prosthesis supported by six teeth (endodontically treated): Nos. 20 through 22 and 27 through 29. Nos. 23 through 26 were pontics.

In 1999, implant No. 13 failed. This resulted in retreatment of the implant section Nos. 12 through 14 as follows: implant No. 12 retained, implant No. 13 replaced (3.75 mm), and an additional implant placed in No. 14 (5 mm), both external hex implants. The new prosthesis was a three-unit PFM splinted segment with three screw-retained abutments.

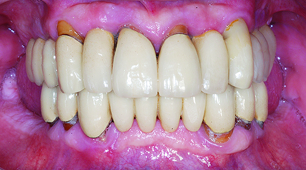
In 2011, the clinical conditions of the above reconstructions were as follows: In the maxilla, the implants were still clinically stable, however the bone levels on implants Nos. 10, 12, 13, and 14 exhibited typical diminished bone levels generally associated with older external hex implants. No. 11 was fractured below the gingival level and the crown was not present. Teeth Nos. 8 and 9 exhibited redecay at the crown margins. In the mandible, the remaining six abutment teeth exhibited 50%-plus bone loss. No. 27 exhibited extensive redecay below the crown margin. Parafunctional wear patterns were noted on the occlusal surfaces of the maxillary and mandibular restorations.

In past decades, the practice of keeping clinically sound teeth in the same arch as implants was a common treatment approach. Although this made good clinical sense in the early days of implant therapy, it was proven that over time this approach created complications in long-term maintenance.3

The patient’s desire was to undertake retreatment to achieve a predictable fixed prosthetic solution for both maxillary and mandibular arches and to avoid having to wear any removable interim or definitive prostheses. The rationale for this approach was important to the patient due to frequent public speaking commitments. This demand created the need to carefully treatment plan the reconstruction to allow for the use of fixed provisionals during the entire treatment period. Fortunately, the remaining natural teeth in both the maxillary and mandibular arches could be strategically retained during treatment so that additional implants could be sequentially placed and loaded allowing for the transition from the existing implant tooth-supported situation in the maxilla to a totally implant-supported definitive restoration. As well, the mandibular teeth were able to support a fixed provisional, while implants were placed in strategic positions to allow for the transition from tooth-supported to a fully implant-supported definitive restoration.

The prosthetic workflow was managed with the aid of digital laboratory technologies in the production of the provisional restorations, prototypes, and subsequent definitive monolithic-minimally veneered zirconia maxillary and mandibular reconstruction. Zirconia has recently been shown to be an extremely reliable material for implant reconstructions due to its favorable properties.4,5 Dental zirconia restorations are produced by milling. This procedure is amenable to CAD/CAM technology and its associated precision and accuracy. This allows for continuity of the design incorporated in the provisionals to be easily transferred through to a prototype, which after minor adjustments of function and esthetics, becomes the definitive blueprint for the milling of the monolithic-minimally veneered (facial porcelain Nos. 6 through 11 not in function) zirconia restorations.6,7

Clinical Workflow

After initial consultation, the preoperative full-mouth radiographs were obtained from the referring periodontist (Figure 1). To address the immediate concern of the patient, replacement of the original crown on tooth No. 11 was provisionally secured to the supporting root. Diagnostic study casts were made of the existing clinical conditions (Figure 2). A complete dental and medical assessment and identification and explanation of treatment objectives was performed. The patient was referred back to the periodontist for confirmation of the implant and periodontal treatment proposals. This included a cone-beam computed tomography (CBCT) scan of the mandible (Figure 3) to aid in optimal implant placement.8 This was then coordinated with the development of the prosthetic sequencing and design. After presentation of the completed treatment plan to the patient, informed consent was obtained.

The study casts were used to develop a diagnostic wax mock-up of the proposed prosthetic design.9 This information was then transferred to a digital environment for refinement of design and milling of the first set of maxillary and mandibular provisional restorations (Figure 4 and Figure 5).10

The maxillary 12-unit provisional restoration (Nos. 3 through 14) was placed as follows: Teeth Nos. 6, 8, 9, and 11 were prepared to the gingival level to allow for these units to be pontics, and then the provisional was secured to the screw-retained abutments on existing implants Nos. 4, 5, 10, 12, 13, and 14 and the cement-retained abutment on No. 7. No. 3 was left as a cantilevered pontic.

The mandibular 10-unit provisional restoration (Nos. 20 through 29) was placed as follows: Teeth Nos. 20 through 22 and 27 through 29 were modified to eliminate decay, and composite cores were placed. Teeth Nos. 23 through 26 were left as pontics.

The periodontist placed additional implants in the maxilla and mandible and selective extractions as follows:

Phase 1—Maxilla: extraction of remaining roots Nos. 6, 8, 9, and 11; placement of internal conical implants in positions Nos. 6 (4.5 mm x 15 mm) and 11 (4.5 mm x 15 mm). This completed the surgical phase of the maxillary reconstruction. The existing provisional was adapted to the new conditions and initially supported by the original implants as described above. Implants Nos. 6 and 11 were left unloaded until full integration, at which time screw-retained abutments were installed. The definitive maxillary bridge would be supported by the existing and newly placed implants (nine) with positions Nos. 3, 8, and 9 as pontics.

Phase 2—Mandible: extraction of teeth Nos. 28, 27, and 21; placement of internal conical implants in positions Nos. 31 (4.5 mm x 9 mm), 30 (4.5 mm x 11 mm), 28 (5 mm x 11 mm), 27 (4.5 mm x 15 mm), 24 (3 mm x 15 mm), 21 (4.5 mm x 13 mm), 19 (4.5 mm x 9 mm), and 18 (4.5 mm x 9 mm). The existing provisional was adapted to the new conditions and supported by remaining teeth Nos. 29, 22, and 20 and immediately loaded implants Nos. 28, 27, 21, and 19 (screw-retained abutments) (Figure 6).

Phase 3—Mandible: extraction of teeth Nos. 29, 22, and 20; placement of internal conical implant in position No. 22 (4.5 mm x 17 mm). This completed the surgical phase of the mandibular reconstruction. The existing provisional was adapted to the new conditions and supported by the previously placed implants and Nos. 30 (screw-retained abutment) and 24 (cement-retained). At this time, abutments were installed on implants Nos. 31 and 18 (screw-retained) but not loaded. After appropriate healing time, an abutment was installed on implant No. 22 (screw-retained). The definitive mandibular bridge would be supported by all of the above implants (nine) with Nos. 29, 26, 25, 23, and 20 as pontics.

Upon completion of the above procedures, alginate impressions were made of the provisionals. Polyvinylsiloxane closed-tray transfer impressions were made of the maxillary and mandibular arches. The bite registration was obtained by transferring the provisionals to the master casts and mounted on an appropriate articulator. The provisionals and master casts were scanned into the digital environment for production of the maxillary and mandibular prototypes. The prototypes offer the advantage of being able to digitally correct minor design issues and then verifying and adjusting intraorally (Figure 7 through Figure 10).

The maxillary prototype was adjusted, polished, and left to function with the mandibular provisional. The definitive maxillary zirconia restoration was then completed from the information provided by the prototype, and the cutbacks for the facial porcelain (Nos. 6 through 11) were done after milling but before sintering. Subsequently, the mandibular prototype was adjusted to the sintered and colored maxillary zirconia framework before the application of porcelain to Nos. 6 through 11 and final glazing (Figure 11). Following this step, the mandibular definitive monolithic zirconia restoration was milled, colored, and sintered. The facial porcelain (Nos. 6 through 11) was applied, and then both maxillary and mandibular restorations were stained and glazed (Figure 12). Both bridges were inserted at the same time (Figure 13 through Figure 15). Minor occlusal adjustments and oral hygiene access was verified and the zirconia surfaces polished. The bridge screws were torqued to 20 Ncm according to the manufacturer’s recommendation, and No. 24 was luted with a provisional cement. Postoperative radiographs were taken (Figure 16).

After a period of 1 month, all conditions were re-verified and adjusted as needed. The screw access channels were then sealed with polytetrafluoroethylene tape (white) and composite.11

The patient has been followed for continuing care since completion of the reconstruction and no complications have been reported to date (Figure 17 through Figure 20).

Discussion

Treating complex implant reconstructions, especially with zirconia, is challenging even when all conditions are favorable.12,13 The task of retreatment of older external hex implants can be associated with unpredictable performance issues with regard to their ability to maintain bone support and prosthetic stability to levels that are expected with newer implant systems.14,15 Therefore, assessment of these older implants with regard to tissue and bone stability must be carefully evaluated before proceeding. Informed consent should include the possibility of future problems that may occur with maintaining osseointegration and subsequent intervention. This condition is becoming more prevalent in older implant cases due to the large volume of patients who were treated over the past decades. These patients are generally in good health, living longer, and many require upgrading of damaged and worn restorations and ailing and failing implants and/or teeth. This places restorative dentists in a possibly tenuous situation to accept full responsibility for performance outcomes of previous treatment without an understanding by the patient.

In this case, the aforementioned conditions were possibly present in the remaining maxillary implants as described above and this was carefully explained to the patient. The additional implants (two) that were placed in the maxilla and the new implants (nine) placed in the mandible were a more current system that has documentation supporting more stable bone and soft-tissue levels over time.16

Immediately loading selected implants and remaining teeth in the mandible as described above with a full-arch splinted fixed provisional is an extensively documented technique.17 This approach avoids the use of a removable mandibular transitional denture and the associated sequelae.

The digital restorative workflow combining PMMA blocks for the provisionals, prototypes, and zirconia has been shown to reduce clinical treatment time and result in greater accuracy and precision as well as enable the ability to store the associated digital files for future use.4

Zirconia has been shown to exhibit superior biologic characteristics with respect to soft and hard tissue,18 superior strength,19 stability,20, 21 and the avoidance of damage,4 wear,22 and allergic response.23 All patients exhibit varying degrees of parafunctional occlusal activity24 but are not required to wear an acrylic (PMMA) protective appliance to protect the performance of zirconia restorations with respect to chipping, cracking, and breakage.4

Conclusion

Complex implant reconstructions have traditionally been challenging due to variable conditions with respect to soft and hard tissues and recreating functional and esthetic demands. The advent of diagnostic and laboratory digital technologies and materials, especially zirconia, has prompted a new era in predictable, reliable, and stable prosthodontic outcomes for dental patients.

Acknowledgments

The author would like to thank Hiam Keren, MDT, for the laboratory support in the production of the restorations in this report; Marvin Werbitt, DDS, periodontist; and Danae Sandoval for the technical assistance in the preparation of this manuscript.

Disclosure

The author had no disclosures to report.

About the Authors

Michael Moscovitch DDS, CAGS (Prosthodontist)
Assistant Clinical Professor
Department of Restorative Sciences/Biomaterials
Goldman School of Dental Medicine
Boston University
Boston, Massachusetts
Lecturer
Faculty of Dentistry
McGill University
Montreal, Quebec, Canada

Dental Residency Program
Jewish General Hospital
Montreal, Quebec, Canada

References

1. Dhima M, Paulusova V, Lohse C, et al. Practice-based evidence from 29-year outcome analysis of management of the edentulous jaw using osseointegrated dental implants. J Prosthodont. 2014;23(3):173-181.

2. Taylor TD, Agar JR. Twenty years of progress in implant prosthodontics. J Prosthet Dent. 2002;88(1):89-95.

3. Lang NP, Berglundh T, Heitz-Mayfield LJ, et al. Consensus statements and recommended clinical procedures regarding implant survival and complications. Int J Oral Maxillofac Implants. 2004;19(suppl):150-154.

4. Moscovitch M. Consecutive case series of monolithic and minimally veneered zirconia restorations on teeth and implants: up to 68 months. Int J Periodontics Restorative Dent. 2015;35(3):315-323.

5. Ilie N, Stawarczyk B. Quantification of the amount of blue light passing through monolithic zirconia with respect to thickness and polymerization conditions. J Prosthet Dent. 2015;113(2):114-121.

6. Moscovitch MS. Monolithic zirconia fixed prostheses. In: Beumer J, Faulkner RF, Shah KC, Moy PK, eds. Fundamentals of Implant Dentistry, Volume 1: Prosthodontic Principles. Hanover Park, IL: Quintessence Publishing. 2015:94-101.

7. Moscovitch MS, Saba S. The use of a provisional restoration in implant dentistry: a clinical report. Int J Oral Maxillofac Implants. 1996;11(3):395-399.

8. Harris D, Horner K, Gröndahl K, et al. E.A.O. guidelines for the use of diagnostic imaging in implant dentistry 2011. A consensus workshop organized by the European Association for Osseointegration at the Medical University of Warsaw. Clin Oral Implants Res. 2012;23(11):1243-1253.

9. Cho SH, Schaefer O, Thompson GA, Guentsch A. Comparison of accuracy and reproducibility of casts made by digital and conventional methods. J Prosthet Dent. 2015;113(4):310-315.

10. Güth JF, Almeida E Silva JS, Beuer FF, Edelhoff D. Enhancing the predictability of complex rehabilitation with a removable CAD/CAM-fabricated long-term provisional prosthesis: a clinical report. J Prosthet Dent. 2012;107(1):1-6.

11. Moráguez OD, Belser UC. The use of polytetrafluoroethylene tape for the management of screw access channels in implant-supported prostheses. J Prosthet Dent. 2010;103(3):189-191.

12. Rojas-Vizcaya F. Full zirconia fixed detachable implant-retained restorations manufactured from monolithic zirconia: clinical report after two years in service. J Prosthodont. 2011;20(7):570-576.

13. Walton TR. Making sense of complication reporting associated with fixed dental prostheses. Int J Prosthodont. 2014;27(2):114-118.

14. Goodacre CJ, Bernal G, Rungcharassaeng K, Kan JY. Clinical complications with implants and implant prostheses. J Prosthet Dent. 2003;90(2):121-132.

15. Ravald N, Dahlgren S, Teiwik A, Gröndahl K. Long-term evaluation of Astra Tech and Brånemark implants in patients treated with full-arch bridges. Results after 12-15 years. Clin Oral Implants Res. 2013;24(10):1144-1151.

16. Eckert SE. Platform switching and clinical science. Int J Oral Maxillofac Implants. 2011;26(2):229-232.

17. Peñarrocha-Oltra D, Covani U, Peñarrocha M, Peñarrocha-Diago M. Immediate versus conventional loading with fixed full-arch prostheses in mandibles with failing dentition: a prospective controlled study. Int J Oral Maxillofac Implants. 2015;30(2):427-434.

18. Hisbergues M, Vendeville S, Vendeville P. Zirconia: Established facts and perspectives for a biomaterial in dental implantology. J Biomed Mater Res B Appl Biomater. 2009;88(2):519-529.

19. White SN, Miklus VG, McLaren EA, et al. Flexural strength of a layered zirconia and porcelain dental all-ceramic system. J Prosthet Dent. 2005;94(2):125-131.

20. Alghazzawi TF, Lemons J, Liu PR, et al. Influence of low-temperature environmental exposure on the mechanical properties and structural stability of dental zirconia. J Prosthodont. 2012;21(5):363-369.

21. Flinn BD, deGroot DA, Mancl LA, Raigrodski AJ. Accelerated aging characteristics of three yttria-stabilized tetragonal zirconia polycrystalline dental materials. J Prosthet Dent. 2012;108(4):223-230.

22. Park JH, Park S, Lee K, et al. Antagonist wear of three CAD/CAM anatomic contour zirconia ceramics. J Prosthet Dent. 2014;111(1):20-29.

23. Gökçen-Röhlig B, Saruhanoglu A, Cifter ED, Evlioglu G. Applicability of zirconia dental prostheses for metal allergy patients. Int J Prosthodont. 2010;23(6):562-565.

24. Klasser GD, Greene CS, Lavigne GJ. Oral appliances and the management of sleep bruxism in adults: a century of clinical applications and search for mechanisms. Int J Prosthodont. 2010;23(5):453-462.

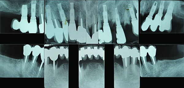
Fig 1. Pre-treatment full-mouth radiographs.

Figure 1

Fig 2. Pre-treatment intraoral frontal view.

Figure 2

Fig 3. Pre-treatment CBCT, selected occlusal image

Figure 3

Fig 4 . Virtual design of maxillary (Fig 4) and mandibular (Fig 5) provisional restorations, transparent view.

Figure 4

Fig 5. Virtual design of maxillary (Fig 4) and mandibular (Fig 5) provisional restorations, transparent view.

Figure 5

Fig 6. Intraoral frontal view of maxillary and mandibular provisionals, phase 2.

Figure 6

Fig 7. Virtual design of maxillary prototype and definitive restoration, occlusal view (Fig 7) and intaglio view (Fig 8).

Figure 7

Fig 8. Virtual design of maxillary prototype and definitive restoration, occlusal view (Fig 7) and intaglio view (Fig 8).

Figure 8

Fig 9. Virtual design of mandibular prototype and definitive restoration, occlusal view (Fig 9) and intaglio view (Fig 10).

Figure 9

Fig 10. Virtual design of mandibular prototype and definitive restoration, occlusal view (Fig 9) and intaglio view (Fig 10).

Figure 10

Fig 11. Intraoral frontal view of the maxillary zirconia restoration and adjusted mandibular PMMA prototype.

Figure 11

Fig 12. Extraoral frontal view of the completed maxillary and mandibular articulated zirconia restorations on master casts.

Figure 12

Fig 13. Intraoral occlusal views of maxillary (Fig 13) and mandibular (Fig 14) implant abutments.

Figure 13

Fig 14. Intraoral occlusal views of maxillary (Fig 13) and mandibular (Fig 14) implant abutments.

Figure 14

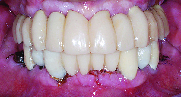
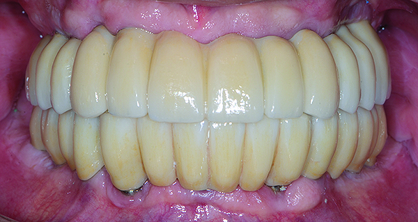
Fig 15. Intraoral frontal view of completed maxillary and mandibular zirconia restorations.

Figure 15

Fig 16. Post-treatment full-mouth radiographs.

Figure 16

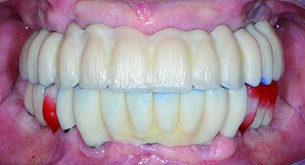
Fig 17. Intraoral frontal view of maxillary and mandibular zirconia restorations at 1.5 years.

Figure 17

Fig 18. Intraoral occlusal views of maxillary (Fig 18) and mandibular (Fig 19) zirconia restorations at 1.5 years.

Figure 18

Fig 19. Intraoral occlusal views of maxillary (Fig 18) and mandibular (Fig 19) zirconia restorations at 1.5 years.

Figure 19

Fig 20. Post-treatment full smile at 1.5 years.

Figure 20

CREDITS: 0
AGD CODE: 690 - Reconstructive Phase Therapy
COST: $0
PROVIDER: Conexiant Education
SOURCE: Inside Dental Technology | March 2016

Learning Objectives:

  • Discuss the concerns involved with managing a complex maxillary and mandibular implant-supported reconstruction
  • Understand the considerations involved with implant selection, definitive prosthesis design, and other steps
  • Explain how digital technologies and materials have helped provide predictability, reliability, and stability

Disclosures:

The author reports no conflicts of interest associated with this work.

Queries for the author may be directed to justin.romano@broadcastmed.com.