CDEWorld > Courses > Advances in Composite Resin Materials

CE Information & Quiz

Advances in Composite Resin Materials

Robert A. Lowe, DDS, FAGD, FICD, FADI, FACD, FIADE, FASDA

December 2015 Issue - Expires Monday, December 31st, 2018

Inside Dentistry

Abstract

No other material has undergone a bigger evolution in the history of dentistry as composite resin. Since the first resins were successfully bonded to dentin, the goal of clinical and material science has been to find simple, predictable approaches to the composite restorative process. This article provides an overview of some key advances in composite resins in the past several decades in terms of composite formulation, bioactivity, and placement.

You must be signed in to read the rest of this article.

Login Sign Up

Registration on CDEWorld is free. Sign up today!
Forgot your password? Click Here!

It has long been a goal of clinical and materials science to improve the direct resin dental restorative process. Unlike amalgam, the forerunner of today’s direct restoratives, the placement of composite resins requires multiple steps and exacting techniques to achieve the best results. In the past few decades, composite materials have been developed to allow the dentist to be able to more simply and efficiently restore teeth in the anterior and posterior.

The chemistry of composite resins has changed significantly since their introduction more than 5 decades ago. Although there are variations in the specific composition and distribution of the resin matrix and fillers, most composites are fabricated using either bisphenol-A diglycidylmetacrylate (bis-GMA) or urethane dimethacrylate (UDMA) with glass fillers and colloidal silica. Classification of composites is typically related to the distribution and average filler particle size (eg, microfill, hybrid, nanohybrid). As new composite formulations have been introduced, their classification has expanded to include the physical and chemical characteristics of the restorative material. Within the composite resin family, composites have been described based upon the location of the teeth being treated (eg, anterior, posterior, universal); material viscosity (eg, flowable, packable); method of placement (eg, bulk fill); and recently, bioactivity (eg, ability to release fluoride). The focus of this article will be on some of the latest technologies that have been incorporated into composite resins.

Nanohybrid Composite Technologies

The trend with composite resins over the past decade has been to develop a material that has optimized physical properties and is polishable. Nanohybrid and nanofilled composites provide a more highly filled and polishable composite material that can be used in the posterior region as well as esthetic areas of the oral cavity. These materials are produced with nanofiller technology and formulated with nanomer and nanocluster filler particles. Nanomers are discrete nano-agglomerated particles of 20 to 75 nm in size and nanoclusters are loosely bound agglomerates of nano-sized particles. The combination of nanomer-sized particles and nanocluster formations reduces the interstitial spacing of the filler particles, creating the ability to increase filler load while having the ability to polish well.1 These materials therefore have better physical properties than earlier generations of hybrid and microhybrid composites and improved polish retention. Besides the universal composites, many of the bulk-fill composite technologies, except for bulk-fill flowable resins meant for dentin replacement only, incorporate nano technology.1-3

Evolution of Bulk-Fill Materials

Glass ionomer cements (GICs) can be considered the first bulk-fill restorative materials, as they have been available for decades as a bulk-fill dentin replacement for large cavities (Figure 1). With a coefficient of thermal expansion similar to dentin and the ability to remineralize tooth structure, GICs have been the choice for many clinicians in deeper lesions where adhesive dentistry doesn’t fare as well. The “sandwich technique,” first described by Dr. John McLean in 1985, used GIC to bond composite resin to teeth.4 Since that time, GICs have been widely used in large cavities to replace lost dentin in a “bulk” fashion and are covered with a surfacing of composite resin.5-7

GIC restorative materials are typically used to restore teeth in non-stress bearing areas due to poor physical properties.8 In addition, most GICs are not as esthetic as composite resins. By adding resin to GICs, the resulting class of materials, resin-modified glass ionomers, demonstrates improved esthetics and physical properties without compromising the bioactivity of fluoride release and adhesion.9

Incremental vs Bulk Placement

Traditionally, clinical placement of composite resins has been done using an incremental technique. Because of polymerization shrinkage, as well as the inability to light cure composite materials beyond a certain depth, it has been generally recommended to place composite resin in increments of 2 mm or less. Also, incremental placement of posterior composites has been associated with porosity and voids within the composite. With advances in polymer chemistry, photo activation, and curing light technologies that we currently see with today’s composite resin materials, incremental placement is no longer the only option.

Most bulk-fill composite materials are placed in up to 4-mm increments and can cure to that depth as well, replacing both enamel and dentin (Figure 2 to Figure 4).10,11 It is critical when light curing bulk-fill composites that adequate light energy is delivered to the composite. In many cases, there will need to be an increase in curing time with LED curing lights with irradiance values of between 600 and 2200 mW/cm2.12 The composition and translucency of these materials has been altered in various ways to allow for increased depth of cure while exhibiting less polymerization shrinkage and shrinkage stress than previous generations of composite materials. Some of the ways these changes in the behavior of composite resins have been accomplished include increased amounts of or different photo initiators to allow for increased curing depth and newer types of monomers and elastic fillers that minimize the shrinkage when the material is polymerized.

As early as 2001, studies comparing incremental versus bulk-fill placement of composite showed there is no difference in cuspal deflection or marginal integrity when comparing techniques of placement.13-18 The main clinical issue with bulk-fill materials is depth of cure. It is also important to note that directional curing from the buccal and lingual (palatal) aspects after removal of the matrix helps increase the ability to cure composite at the gingival margin of the proximal box in a Class II restoration.14-18

Bulk-Fill Flowables

Flowable composites were introduced in the late 1990s.19 They are characterized by a low viscosity that allows the composite to be applied through small-gauge needles and are recommended for preventive resin restorations.

In 2010, bulk-fill flowable composites were introduced to the dental marketplace, the first being Surefil® SDR® (Smart Dentin Replacement) (DENTSPLY Caulk, www.dentsply.com). Since then, many other bulk-fill flowable composites have followed (eg, Tetric EvoFlow®, Ivoclar Vivdent, www.ivoclarvivadent.us; x-tra Base, VOCO America, www.voco.com/us; Venus® Bulk Fill, Heraeus Kulzer, http://heraeus-kulzer.com; HyperFil™ DC, Parkell, www.parkell.com, Beautifil-Bulk Flowable, Shofu, www.shofu.com; Filtek™ Bulk Fill, 3M ESPE, www.3mespe.com).

These materials are indicated for use as a bulk-fill base (dentin replacement) beneath posterior composite restorations and can be placed in a single increment up to 4 mm in depth (Figure 5). Placing that amount of material in a single increment is a significant time saver, and although the concept sounds quite simple, there are several important requirements a material must meet for this particular indication. According to the manufacturers, these include increased depth of cure, a viscosity that will readily adapt to the internal walls of the cavity without the need for manipulation of the material, and low polymerization shrinkage stress.20-23

Because of their translucent nature and decreased percentage of filler particles, bulk-fill flowable composites require a conventional nanohybrid composite material to be placed as the “enamel-capping layer” (Figure 6).21-23

Sonic Bulk-Fill Composite Delivery

Another recent development in bulk-fill composites combines advances in material formulation with a novel delivery system. SonicFill™ (Kerr Dental, www.kerrdental.com) consists of a proprietary composite resin and a sonic handpiece that fits onto a traditional high-speed handpiece coupler. The sonic energy generated by the handpiece causes a dramatic change in the viscosity of the composite resin so that during placement, it behaves similarly to a flowable liner in its ability to adapt to the internal surfaces of the cavity preparation. Although the restorative material is around 86% filled by weight, special additives in the composite allow the filler particles to slide very readily over one another when activated by the sonic energy in the handpiece. It can fill all the intricate line angles and point angles of the most complex posterior cavity preparation in a very precise and uniform fashion. Once the sonic energy is removed, the composite resin gradually returns to a higher viscosity, which is suitable for sculpting the restoration to its most precise morphologic form. The material is then light cured and finished using traditional techniques. Another unique property of SonicFill is that it has a polymerization shrinkage of approximately 1.6% and can be bulk filled to a depth of 5 mm while still having greater than 97% full cure at its deepest point.10 SonicFill does not require a separate nano microhybrid layer as the last occlusal increment (Figure 7 through Figure 9).

Composite Resin Bioactivity

Marginal breakdown and recurrent decay have always been the processes by which many dental restorations ultimately fail. One of the challenges for long-term clinical success of a dental restorative is to find a mechanism by which these materials can slow down or prevent this process. Glass ionomer materials are known for their release of fluoride ions and their ability to help remineralize demineralized tooth structure. The solubility of GICs in the oral environment contributes to their unique ability to be recharged by fluoride over time through the use of fluoride-containing toothpastes and mouthrinses.8 However, as previously mentioned, GICs are not durable in restoring stress-bearing surfaces and do not provide a very esthetic final result.

The Giomer products from Shofu (eg, Beautifil® II, Beautifil-Bulk Restorative and Flowable) improve upon the fluoride release of GICs by means of their unique surface pre-reacted glass (S-PRG) filler. S-PRG fillers have a glass core that is pre-reacted with a polyacrylic acid solution. The glass ionomer phase in Giomer fillers is protected from water sorption and material degradation by a surface modified layer. As a result, the ion exchange from a composite material that incorporates this technology has the ability to help neutralize acids that result from bacterial metabolism and that are a direct cause of tooth demineralization and decay for extended periods of time (Figure 10 through Figure 12). Giomers can give the benefit of ion exchange similar to GIC, which can be especially important in caries-prone individuals.24-27

Moving Away from bis-GMA-Based Composite Materials

As composite restorative materials continue to evolve and improve, some manufacturers are looking at moving away from traditional chemistries. The search is on for a more biocompatible restorative material that has less polymerization shrinkage and a higher degree of conversion (DOC), leaving less unreacted monomer in the restorative matrix. N’Durance® (Septodont, www.septodontusa.com) is a composite that is based on Dimer chemistry and reports conversion rates in the mid 70% range. Traditional bis-GMA composites have conversion rates in the 60+% range.28 Early next year, VOCO will launch an ORMOCER (organically modified ceramic) restorative material that will be the first purely silicate-based direct restorative material in the market. The fillers and matrix of Admira Fusion (VOCO) will be based on silicon oxide (SiO), similar to porcelain, containing none of the classic monomers used in composite chemistry for a higher degree of biocompatibility. Nano-ORMOCER technology reduces polymerization shrinkage and shrinkage stress by up to 50% when compared to conventional composites. The DOC is in the area of 95% to 99%, which is virtually identical to indirect composites, making the material more stain-resistant and able to sustain a high degree of luster.

Conclusion

One of the key goals of innovative restorative materials is to simplify the placement of direct tooth restoration with composite resins without compromising the quality of the final result. Trying to recreate nature’s blueprint with man-made materials is no simple task. Yet, advances are being made to allow dentists to create excellent, esthetic tooth replacements using direct tooth-colored restorative materials that can give the patient an optimal, long-lasting result. Materials science continues to develop and refine resin-filling materials that require fewer steps to place with less technique sensitivity, and that are more biologically harmonious with natural tooth structure.

Author Information

Robert A. Lowe, DDS, FAGD, FICD, FADI, FACD, FIADE, FASDA, received his Doctor of Dental Surgery degree from Loyola University School of Dentistry in 1982, where he graduated magna cum laude and second in his class. After graduating, he completed a 1-year residency program at Edward Hines Veterans Administration Hospital. He received postgraduate training in different areas of dental care, including restorative and rehabilitative dentistry, cosmetic dentistry, endodontics, prosthodontics, periodontics, oral surgery, and sedation dentistry, completing a rotation in surgical anesthesia. He served for 10 years in a full- and part-time capacity as an associate clinical professor of restorative and rehabilitative dentistry at Loyola.

Dr. Lowe has lectured at all of the major dental meetings in the United States, including the American Dental Association Annual Meeting, the American Academy of Cosmetic Dentistry, and the American Society of Dental Aesthetics. In 2005, he was nominated to receive diplomate status on the American Board of Aesthetic Dentistry, an honor shared by fewer than 50 dentists in the United States.

Disclosures

Robert A. Lowe, DDS, FAGD, FICD, FADI, FACD, FIADE, FASDA, has no relevant financial relationships to disclose.

References

1. Curtis AR, Palin WM, Fleming GJ, et al. The mechanical properties of nanofilled resin based composites: characterizing discrete filler particles and agglomerates using a micromanipulation technique. Dent Mater. 2009;25(2):180-187.

2. Rodrigues SA Jr, Ferracane JL, Bona D. Flexural strength and Weibull analysis of a microhybrid and a nanofill composite evaluated by 3- and 4-point bending tests. Dent Mater. 2008;24(3):426-431.

3. Beun S, Glorieux T, Devaux J, et al. Characterization of nanofilled compared to universal and microfilled composites. Dent Mater. 2007;23(1):51-59.

4. McLean JW, et al. The use of glass-ionomer cements in bonding composite resins to dentin. Br Dem J. 1985;158(11):410-414.

5. Mount GJ. Clinical placement of modern glass ionomer cements. Quintessence Int. 1993;24(2):99-107.

6. Christensen G. Glass-ionomer-resin restorations. Clin Res Assoc Newsletter. 1992;16(3):l-2.

7. Mount GJ. Clinical requirements for a successful “sandwich”—Dentine to glass ionomer cement to composite resin. Aust Dent J. 1989:34(3):259-265.

8. Pitel ML. Reconsidering glass-ionomer cements for direct restorations. Compend Contin Educ Dent. 2014 Jan;35(1):26-31; quiz 32.

9. Croll TP, Berg JH. Glass-ionomer cement systems. Inside Dentistry. 2010;6(8):82-84.

10. Yapp R, Powers JM. Depth of cure of several composite restorative materials. Dental Advisor. Res Rpt 33:1. February 2011.

11. Alrahlah A, Silikas N, Watts DC. Post-cure depth of cure of bulk fill dental resin-composites. Dent Mater. 2014;30(2):149-154.

12. Strassler HE, Price RB. Understanding light curing, Part 1. Delivering predictable and successful restorations. Dentistry Today. 2014;33(5):114-121.

13. Rees JS, Jagger DC, Williams DR, et al. A reappraisal of the incremental packing technique for light cured composite resins. J Oral Rehabil. 2004;31 (1):81-84.

14. Idriss S, Habib C, Abduljabbar T, Omar R. Marginal adaptation of Class II resin composite restorations using incremental and bulk placement techniques: an ESEM study. J Oral Rehabil. 2003;30(10):1000-1007.

15. Campodonico CE, Tantbirojan, D, Olin PS, Versluis A. Cuspal deflection and depth of cure in resin based composite restorations filled by using bulk, incremental, and trans tooth illumination techniques. J Am Dent Assoc. 2011;142(10):1176-1182.

16. Flury S, Hayoz S, Peutzfeldt A, et al. Depth of cure of resin composites: is the ISO 4049 method suitable for bulk fill materials? Dent Mater. 2012;28(5): 521-528.

17. El-Safty S, Silikas N, Akhtar R, Watts DC. Nanoindentation creep versus bulk compressive creep of dental resin-composites. Dent Mater. 2012;28 (11):1171-1182.

18. Ilie N, Bucuta S, Draenert M. Bulk-fill resin-based composites: an in vitro assessment of their mechanical performance. Oper Dent. 2013;38(6):618-625.

19. Bayne SC, Thompson JY, Swift EJ Jr, et al. A characterization of first-generation flowable composites. J Am Dent Assoc. 1998;129(5):567-577.

20. Ilie N, Hickel R. Quality of curing in relation to hardness, degree of cure and polymerization depth measured on a nano-hybrid composite. Am J Dent. 2007;20 (4):263-268.

21. Juloski J, Carrabba M, Aragoneses JM, et al. Microleakage of Class II restorations and microtensile bond strength to dentin of low-shrinkage composites. Am J Dent. 2013;26(5):271-277.

22. Van Ende A, De Munck J, Van Landuyt KL, et al. Bulk-filling of high C-factor posterior cavities: effect on adhesion to cavity-bottom dentin. Dent Mater. 2013;29(3):269-277.

23. Roggendorf MJ, Krämer N, Appelt A, et al. Marginal quality of flowable 4-mm base vs. conventionally layered resin composite. J Dent. 2011;39(10):643-647.

24. Nakamura N, Yamada A, Iwamoto T et al. Two-year clinical evaluation of flowable composite resin containing pre-reacted glass-ionomer. Pediatr Dent J. 2009; 19(1):89-97.

25. Tamura D, Saku S, Yamamoto K, Hotta M. Saliva protein which adsorbs to composite resin containing S-PRG filler. The Japanese Society of Conservative Dentistry. 2010;53(2):191-206.

26. Saku S, Kotake H, Scougall-Vilchis RJ, et al. Antibacterial activity of composite resin with glass-ionomer filler particles. Dent Mater J. 2010;29 (2):193-198.

27. Izono T, Saku S, Yamamoto K. Application to the tooth coating material of the glass filler containing acid reactive fluoride. The Japanese Society of Conservative Dentistry. 2009;52(3): 237-247.

28. Eliades GC, Vougiouklakis GJ, Caputo AA. Degree of double bond conversion in light-cured composites. Dent Mater. 1987;3(1):19-25.

About the Author

Robert A. Lowe, DDS, FAGD, FICD, FADI, FACD, FIADE, FASDA Diplomate American Board of Aesthetic Dentistry Lecturer, Educator Private Practice Charlotte, North Carolina

1. Glass ionomer cement (Fuji IX Extra, GC America) being placed as a dentin replacement in this disto-occlusal cavity preparation prior to placement of composite to replace the enamel functional surface.

Figure 1

2. Side-by-side restorations placed with bulk-fill composite (Aura Bulk Fill, SDI) prior to removal of the sectional matrix on the distal aspect of tooth No. 12. A sectional matrix was first placed on the mesial aspect of tooth No. 13 and the restorative material placed and contoured prior to filling the preparation on tooth No. 12.

Figure 2

3. A composite placing instrument (Flexi-Thin Mini 4, Hu-Friedy, www.hu-friedy.com) is used to shape occlusal morphology on this bulk-filled composite restoration (Tetric EvoCeram Bulk Fill, Ivoclar Vivadent) prior to light curing.

Figure 3

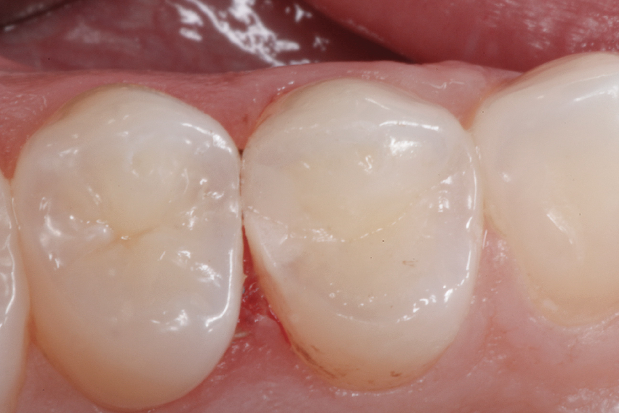
4. A post-polish view of the distal occlusal bulk-filled composite (Beautifil-Bulk Restorative, Shofu) on tooth No. 19. Note the luster as a result of nanofilled composite technology and the chameleon effect that blends the restoration with the tooth surface.

Figure 4

5. Bulk-fill flowable composite (x-tra Base, VOCO America) placed as a dentin replacement in a 4-mm increment after using a self-etching adhesive to bond the flowable to the surface of the dentin.

Figure 5

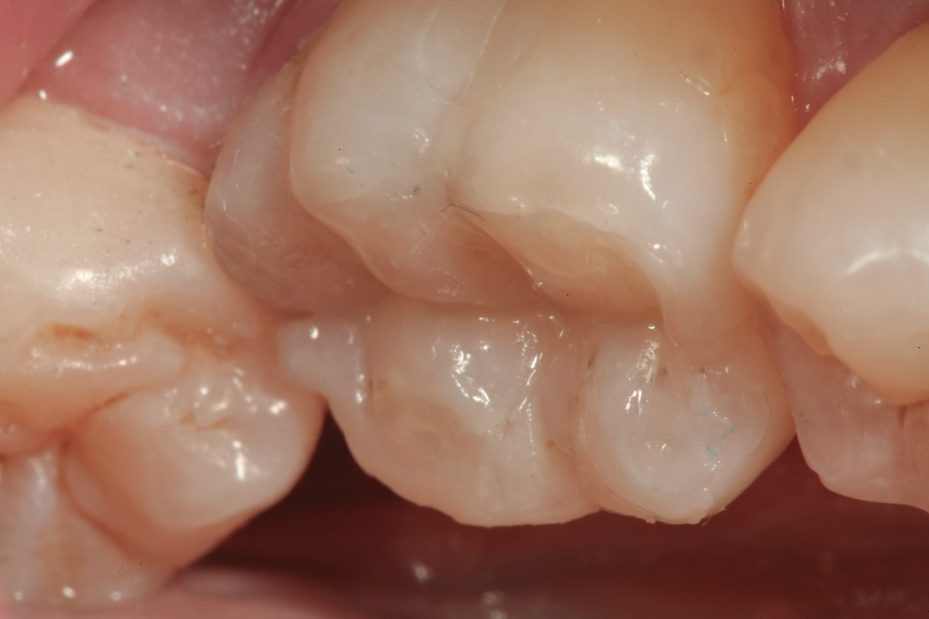
8. A proximal view of the distal occlusal composite placed on tooth No. 29 with SonicFill. The corners of the proximal box where the vertical walls meet the gingival wall are completely filled. This is an area where failure can occur if not filled properly.

Figure 8

9. A 2-week postoperative view of the mesial occlusal bulk-filled composite restoration in tooth No. 31 prior to placement of the ceramic restoration on tooth No. 30. Note the seamless margin between the restorative material and the tooth with no manipulation or “condensing” of the composite material during placement.

Figure 9

10. A bulk-fill flowable composite (Beautifil-Bulk Flowable, Shofu) is used to fill the proximal box of this small Class II cavity preparation in the distal aspect of tooth No. 5. Because of the “self-leveling” properties and low viscosity of a bulk flowable, the geometry of the proximal box is predictably filled without condensation of the material.

Figure 10

11. A bulk-fill composite (Beautifil-Bulk Restorative, Shofu) is used to complete the occlusal aspect of the restoration.

Figure 11

12. An occlusal view of the completed distal occlusal composite restoration on tooth No. 5.

Figure 12

CREDITS: 0
AGD CODE: 250 - Operative (Restorative) Dentistry
COST: $0
PROVIDER: Conexiant Education
SOURCE: Inside Dentistry | December 2015

Learning Objectives:

  • Discuss the significance of nanohybrid technology in the evolution of composite resin materials.
  • Explain the changes in material formulation that allow for successful placement of bulk placement of composite resins.
  • Describe the advantages of organically modified ceramic restoratives.

Disclosures:

The author reports no conflicts of interest associated with this work.

Queries for the author may be directed to justin.romano@broadcastmed.com.



Loading...