CDEWorld > Courses > Case Report Using the “H” Abutment

CE Information & Quiz

Case Report Using the “H” Abutment

David Hornbrook, DDS

September 2015 Issue - Expires Sunday, September 30th, 2018

Inside Dental Technology

Abstract

Replacing an anterior tooth using a dental implant has long been a challenge for most dental professionals. Implant abutment selection is a crucial aspect of maximizing esthetics, strength, and customization. The author has experienced significant success in this regard over a period of more than 7 years using a lithium-disilicate “H” (“Hybrid”) abutment. In this case presentation, a procedure is described for providing these highly esthetic abutment-supported restorations, which may offer significant advantages over traditional options.

You must be signed in to read the rest of this article.

Login Sign Up

Registration on CDEWorld is free. Sign up today!
Forgot your password? Click Here!

With the introduction of new materials, the trend in dentistry over the past decade has been to eliminate the use of metal to achieve improved esthetics as well as conserve tooth structure. This search for the ideal restorative has also influenced the options available for anterior implant restoration. The replacement of an anterior tooth using an implant has been a challenging obstacle for most clinicians.1 While a metal abutment provides long-term predictability and strength, it can compromise the esthetic value of the final restoration and limit the restorative options. This is of particular concern if the implant crown is to be matched to metal-free adjacent restorations such as ceramic veneers or all-ceramic crowns,2,3 which provide translucency that allows the underlying tooth structure to be seen through the restoration, thus providing a more realistic and natural appearance. When a metallic abutment is used on an implant, the restoration must provide the opacity necessary to cover up the dark color of the abutment, thereby diminishing vitality.

The use of a metal-free abutment such as one made of monolithic zirconium oxide offers clinicians an improved platform for an overlying esthetic restoration4 (Figure 1 and Figure 2) in that the abutment can be dentin-shaded, thus allowing for placement of a more translucent overlying restoration. Moreover, compromised esthetics due to any dark grey color emanating from the metal abutment—which can shine through the gingival tissue, especially in a thin biotype—is eliminated. However, there has been concern about the fracture load capacity of these abutments as well as the differences among abutments available from varying manufacturers.5-7 Also, there have been reports from clinicians who have seen fracture of the monolithic zirconium-oxide abutment at the interface between the titanium implant itself and the abutment during torquing of the abutment screw.8,9 Others have reported a high incidence of horizontal and vertical fractures either during placement of the screw or during function of the implant body itself due to the thin zirconium-oxide walls of the abutment (Figure 3).10-13

Using a cast gold UCLA-style abutment over a titanium base has been done successfully for many years.14 The stock abutment is made up of two separate components—the titanium base with the internal or external hex and the coronal nylon sleeve, which can be modified and then cast in gold (Figure 4). One advantage of this type of abutment is the flexibility it affords the laboratory to custom design an ideal implant abutment. However, although abutment shape and margin placement are controllable, the cast gold itself used for the abutment does not allow for the use of a translucent overlying definitive restoration, thereby yielding less-than-optimal esthetics.

The “H” (Hybrid) Abutment

The introduction of a pressable lithium disilicate has created the opportunity for the fabrication of a “hybrid” implant abutment that exhibits the strength and machined accuracy of titanium with the esthetic value of a “dentin”-shaded, bondable suprastructure.15 This suprastructure provides an excellent foundation for a translucent, natural-looking overlying restoration, because it is dentin-shaded and is highly bondable, allowing the placement of an all-ceramic crown as the definitive restoration.16

Since the lithium-disilicate restoration is waxed, sprued, invested, burned out, and ultimately pressed into the burned-out tooth mold, it replaces the role of the gold suprastructure of the traditional cast abutment. This lithium-disilicate suprastructure is bonded to the titanium implant substructure—both the platform and cylindrical chimney or sleeve—using resin-based cement and a metal primer. The internal or external hex of the abutment is machined titanium and, thus, yields a very accurate and intimate fit to the implant body itself; the screw, meanwhile, is torqued against a titanium platform at the base of the abutment and not against the ceramic, as seen with the monolithic zirconium-oxide abutments.

With regards to bonding, the interface between the lithium disilicate and the titanium platform is bonded outside of the mouth and polished. The advantage of a pressed ceramic overlying crown is that the margins of the restoration can be placed supragingivally, and, thus, the cement–abutment interface is several millimeters above the top of the implant itself. Additionally, resin cements are relatively easy to remove, typically peeling away in one clean piece, and they can be polished smooth after cementation. These cements also have thin film thickness and minimal water solubility and marginal breakdown as compared to other cements.17

Case Presentation

A 57-year-old woman presented to the dental office with a provisional fixed bridge replacing her maxillary central incisors. The abutment for the bridge was on her maxillary right central incisor, and the pontic was cantilevered off this abutment to replace a missing left central incisor (Figure 5 and Figure 6). The implant had been placed by a periodontist 6 months prior, and the patient was now ready to obtain her definitive implant-supported restoration. The need for the implant was due to a fractured endodontically treated tooth. The patient history revealed that she had been hit in the mouth with a stick as a teenager; her dentist at the time performed endodontic therapy on the left maxillary central incisor, followed by a metal post and core, and placement of a porcelain-fused-to-metal crown on both maxillary central incisors. Two years prior to her current visit, the patient developed pain and tenderness at the apex of the left central incisor, and a radiograph revealed a radiolucent apical lesion. A computed tomography (CT) scan was taken, and an endodontist determined that the tooth was not restorable due to a vertical root fracture. She was referred to a periodontist, who extracted the tooth, placing an osseous graft at the time of extraction for socket preservation, then replaced the extracted tooth with a cantilever pontic. Four months later, an implant was placed and the provisional was cemented back into place. A phone conversation with the periodontist who placed the implant revealed the type of implant used and confirmed that the implant was ready to be loaded and restored.

Upon clinical examination, the implant had an exposed healing abutment. Mesial Class 3 composite restorations placed on her maxillary lateral incisors were noted, and new interproximal caries were seen on the distal of both of these teeth. After reviewing that the patient’s periodontal condition along with all other dentition was found to be clinically acceptable and within normal limits, a treatment plan was developed. The patient’s primary goal was to have new crowns placed on the central incisors and to improve the esthetics of her lateral incisors. The treatment plan called for an “H” abutment on her implant followed by all-ceramic crowns on the remaining incisors.

Clinical Procedure Phase 1

The cantilever bridge and healing abutment were removed, and an implant impression post was screwed into the implant (Figure 7). After radiographic verification that the transfer post was completely seated, a closed-tray full-arch polyvinyl impression was taken. A facebow transfer jig, anterior bite registration, and opposing full-arch impression were also taken.

A shade was chosen to match as closely as possible the preparation on the patient’s right maxillary incisor. A gingival shade was also taken using gingival shade tabs. After the impression was removed from the mouth, a provisional implant abutment was placed, and a custom provisional crown was fabricated to provide better esthetics than the cantilever and to help develop gingival contours for the definitive crown. Gingival esthetics as well as “tissue training” were developed using the provisional crown. A detailed prescription was sent to the ceramist to fabricate an “H” abutment.

Laboratory Technique Phase 1

The ceramist placed the transfer post into the implant analog and inserted it into the polyvinyl impression. The model was poured, mounted, and trimmed. The transfer post was then removed from the implant analog, and the ceramist inserted the titanium abutment with the waxing sleeve into the implant analog (Figure 8). The ceramist then modified the waxing sleeve and added wax to the sleeve to create an ideal abutment (Figure 9).

The wax pattern and the sleeve were gently removed from the titanium base and sprued. The wax pattern was then invested and after the investment was completely dry, the wax was “burned out” in a burnout furnace. An ingot of lithium disilicate was heated and pneumatically “pressed” into the burn-out abutment mold as per manufacturer’s instructions. After the pressing process, the lithium-disilicate pressed abutment was removed from the investment (Figure 10). The sprue was cut off the abutment and the portion of the implant suprastructure that was subgingival was shaded to match the patient’s existing gingival shade (Figure 11). The titanium base was micro-etched using 50-micron aluminum oxide to increase surface area. A metal primer was applied to the micro-etched titanium and allowed to sit for 60 seconds. The intaglio of the lithium-disilicate suprastructure was etched for 20 seconds using hydrofluoric acid and then rinsed and dried thoroughly (Figure 12). A silane coupling agent was then placed onto the etched lithium disilicate, allowed to sit for 60 seconds, and then air-dried thoroughly. A light-cure flexible provisional material was injected to the titanium sleeve on the abutment base and light-polymerized. This was placed to prevent any cement from entering the sleeve when the suprastructure is cemented. A dual-cure resin luting cement was injected into the internal aspect of the abutment (Figure 13), the lithium-disilicate suprastructure was seated onto the titanium base, and all excess cement was removed using a brush. The abutment was then light-polymerized for 60 seconds.

The interface between the titanium base platform and the lithium disilicate was carefully inspected for any excess cement or roughness and was polished using composite resin polishers to ensure a smooth interface (Figure 14). The abutment above the margins and including the margins was etched with 5% hydrofluoric acid for 20 seconds, rinsed, and air-dried.

The completed “H” abutment was then seated back onto a soft-tissue model to evaluate margin placement and complete seating (Figure 15 and Figure 16).

Clinical Procedure Phase 2

The provisional crowns and provisional abutment were removed, and the “H” abutment was placed and hand-torqued. A radiograph was taken to ensure complete seating and intimate adaptation between the abutment and implant body. The abutment was then torqued using a torque driver following manufacturer’s recommendations. The implant screw hole was filled using a light-cure flexible provisional material placed into the titanium sleeve, followed by a nanohybrid composite resin to match the shade of the abutment, and then light-polymerized. The lateral incisors were prepared for full-coverage all-ceramic crowns to optimize esthetics and function. To capture an accurate representation of the sulcus with the impression material, a 15% aluminum chloride/Kaolin clay retraction paste was injected into the sulcus and allowed to remain for 2 minutes to atraumatically retract the gingival tissues around the margins (Figure 17), and then was rinsed thoroughly. A full-arch polyvinyl impression was taken, followed by an anterior bite registration. The previously taken opposing model was used to mount the maxillary model to the articulator and, thus, a new mandibular impression was not needed.

Preparation shades were taken, as were photographs of the maxillary canines and the opposing teeth to aid the ceramist in shade determination of the final crowns.

New provisionals were fabricated and cemented to the preparations and implant abutment using a dual-cure provisional cement.

Laboratory Technique Phase 2

The maxillary master impression was poured, indexed, and mounted to the opposing mandibular model using the anterior bite registration and posterior facets. A soft-tissue model was also fabricated to aid in ensuring the gingival embrasures were closed as much as possible.

Full-contour, pressed lithium-disilicate crowns were fabricated by the ceramist using the cutback and layering technique to optimize esthetics. After final glaze and polish, the intaglio of the crowns were etched with 5% hydrofluoric acid for 20 seconds and rinsed and dried. The crowns were then placed on the model for final evaluation (Figure 18).

Clinical Procedure Phase 3

The provisionals were removed, and tissue health was evaluated (Figure 19). The crowns were tried in and marginal integrity and proximal contacts verified. A water-soluble veneer cement try-in gel was used to evaluate shade and overall esthetics. After patient approval, the crowns were removed and the internal aspect was cleaned with 35% phosphoric acid, rinsed, and air-dried thoroughly. A silane coupling agent was placed on the intaglio surface and allowed to remain for 60 seconds and air-dried. An unfilled, HEMA-free resin was applied as a very thin layer on this surface and then air-thinned but not light-polymerized. The crowns were then filled using a light-cure-only resin cement and set aside in a light-protective container.

The natural tooth preparations and the implant abutment were etched for 15 seconds with 35% phosphoric acid containing benzalconium chloride and then rinsed thoroughly. A glutaraldehyde/water/HEMA re-wetting agent was then applied to the natural teeth preparations and allowed to remain for 15 seconds. The excess moisture was then removed using a high-speed vacuum tip. A 4th-generation dentinal adhesive system was then applied on the natural teeth preparations and allowed to remain for 15 to 20 seconds before being thoroughly air-dried. Each tooth was then light-polymerized for 10 seconds. The lithium-disilicate abutment was air-dried thoroughly, and a silane coupling agent was applied, allowed to remain undisturbed for 60 seconds, and then air-dried thoroughly. An unfilled light-cure resin was applied to the dried surface and air-thinned.

The 4 crowns, with the resin cement, were placed onto the preparations and cemented using the “tack and wave” technique as described by this author in a previous publication18 (Figure 20). Each crown was “tacked” into place using a 2-mm light guide for 1 second on the facial and 1 second on the lingual, away from the margins (Figure 21). An 8-mm light guide was then placed on the curing light, and each crown was “waved” from approximately 1 inch from the surface for 2 seconds from the buccal and lingual aspects (Figure 22). After the “waving” of the margins, excess partially polymerized resin cement was easily removed using a #12 Bard Parker Blade (Figure 23). Waxed dental floss was then used interproximally to remove any excess cement at the interproximal gingival margins. A glycerin-based oxygen-inhibition gel was then placed around all margins. The crowns were light-polymerized for 40 seconds per tooth using a multi-wavelength LED curing light. After complete polymerization, the oxygen-inhibition gel was rinsed away and any excess cement was removed using a scalpel blade or scaler. Occlusion was evaluated and adjusted, and the restorations and any adjusted porcelain were polished using a porcelain polishing system. Figure 24 through Figure 27 show the final outcome 7 months after cementation of the crowns.

Conclusion

Optimizing esthetics, strength, and customization has always been a challenge when determining the ideal implant abutment, especially in the anterior. The “H” abutment appears to overcome many of the obstacles seen with other traditional options. Advantages of this technique include the following:

• Abutment shape and contours are custom designed by the laboratory technician and the clinician to provide ideal esthetics and function.
• The lithium disilicate can be dentin-shaded rather than bright white or metal-colored, thus increasing esthetic options.
• The lithium-disilicate suprastructure, which represents the tooth preparation of the implant, can be etched with hydrofluoric acid and then silanated and is very bondable.
• The gingival margins for the definitive crown can be away from the implant itself and can even be placed supragingivally and, thus, the chances of peri-implantitis due to excess cement from a “cemented” crown are lessened.19
• The abutment can be inserted in the mouth and modified using a fine-grit diamond bur to place the gingival margins for the definitive crown to be as ideal as possible to optimize esthetics and close gingival embrasures.
• The portion of the implant body that remains subgingival can be shaded to match the patient’s gingival shade to reduce shine-through of the implant abutment through the tissue. This is especially important with patients with very thin biotypes.
• Cost is significantly lower than it is with abutments using cast gold, while allowing similar control of shape and emergence.

During a period of more than 7 years, the author has placed over 75 “H” abutment-supported restorations without any clinical failures or necessity for replacement; the laboratory that fabricated the abutments has delivered more than 350 of them. However, given that long-term clinical experience is lacking and the overwhelming success is somewhat anecdotal, long-term studies and clinical experience are certainly warranted for widespread acceptance.

References

1. Cicciù M, Beretta M, Risitano G, Maiorana C. Cemented-retained vs screw-retained implant restorations: an investigation on 1939 dental implants. Minerva Stomatol. 2008;57(4):167-179.

2. Giordano R, McLaren EA. Ceramics overview: classification by microstructure and processing methods. Compend Contin Educ Dent. 2010;31(9):682-688.

3. Anusavice KJ. Phillips´ Science of Dental Materials. 10th ed. Philadelphia, PA: WB Saunders; 1996.

4. Sadid-Zadeh R, Liu PR, Aponte-Wesson R, O’Neal SJ. Maxillary cement retained implant supported monolithic zirconia prosthesis in a full mouth rehabilitation: a clinical report. J Adv Prosthodont. 2013;5(2):209-217.

5. Lawn BR. Indentation of ceramic with spheres: a century after Hertz. J Am Ceram Soc. 1998;81(8):1977-1994.

6. Beuer F, Stimmelmayr M, Gueth JF, et al. In vitro performance of full-contour zirconia single crowns. Dent Mater. 2012;28(4):449-456.

7. Moraes LM, Rossetti PH, Rossetti LM, et al. Marginal fit at cylinder-abutment interface before and after overcasting procedure. J Appl Oral Sci. 2005;13(4):366-371.

8. Vigolo P, Fonzi F, Majzoub Z, Cordioli G. An in vitro evaluation of titanium, zirconia, and alumina procera abutments with hexagonal connection. Int J Oral Maxillofac Implants. 2006;21(4):575-580.

9. Aboushelib MN, Salameh Z. Zirconia implant abutment fracture: clinical case reports and precautions for use. Int J Prosthodont. 2009;22(6):616-619.

10. Lawn BR, Deng Y, Thompson VP. Use of contact testing in the characterization and design of all-ceramic crownlike layer structures: a review. J Prosthet Dent. 2001;86(5):495-510.

11. Guichet DL, Caputo AA, Choi H, Sorensen JA. Passivity of fit and marginal opening in screw- and cement-retained implant fixed partial denture designs. Int J Oral Maxillofac Implants. 2000;15(2):239-246.

12. Vigolo P, Fonzi F, Majzoub Z, Cordioli G. An in vitro evaluation of ZiReal abutments with hexagonal connection: in original state and following abutment preparation. Int J Oral Maxillofac Implants. 2005;20(1):108-114.

13. Bindl A, Lüthy H, Mörmann WH. Strength and fracture pattern of monolithic CAD/CAM-generated posterior crowns. Dent Mater. 2006;22(1):29-36.

14. Balshi T, Ekfeldt A, Stenberg T, Vrielinck L. Three-year evaluation of Brånemark implants connected to angulated abutments. Int J Oral Maxillofac Implants. 1997;12(1):52-58.

15. Tysowsky GW. The science behind lithium disilicate: a metal-free alternative. Dent Today. 2009;28(3):112-113.

16. Culp L, McLaren EA. Lithium disilicate: the restorative material of multiple options. Compend Contin Educ Dent. 2010;31(9):716-725.

17. Manso AP, Silva NR, Bonfante EA, et al. Cements and adhesives for all-ceramic restorations. Dent Clin North Am. 2011;55(2):311-332.

18. Hornbrook DS. The “Tack & Wave” technique for placement of all-ceramic veneers. Contemporary Esthetics and Restorative Practice. 2002; 6(4):36-48.

19. Santosa RE, Martin W, Morton D. Effects of a cementing technique in addition to luting agent on the uniaxial retention force of a single-tooth implant-supported restoration: an in vitro study. Int J Oral Maxillofac Implants. 2010;25(6):1145-1152.

About the Author

David Hornbrook, DDS Private Practice La Mesa, California

Fig 1. Monolithic zirconium abutment replacing the maxillary left central incisor.

Figure 1

Fig 2. Use of an all-ceramic crown over the abutment to provide excellent esthetics and match adjacent all-ceramic restorations.

Figure 2

Fig 3. Monolithic zirconium abutment.

Figure 3

Fig 4. UCLA-style abutment showing nylon waxing sleeve over titanium base.

Figure 4

Fig 5. Preoperative photographs showing implant in place of maxillary left central incisor.

Figure 5

Fig 6. Preoperative photographs showing implant in place of maxillary left central incisor.

Figure 6

Fig 7. Implant transfer post in place.

Figure 7

Fig 8. Implant abutment placed on implant analog.

Figure 8

Fig 9. Nylon sleeve modified, and wax applied to create ideal abutment.

Figure 9

Fig 10. Lithium-disilicate suprastructure after pressing and removal from investment. Sprue is still attached.10

Figure 10

Fig 11. Margins were placed on abutment to correspond to slightly supragingival margins to facilitate easy final cement removal. All lithium disilicate below gingival height was stained to match natural tissue shading, thus reducing shine-through of implant abutment through tissue, which would compromise final esthetic result.

Figure 11

Fig 12. Lithium disilicate was etched internally with 5% hydrofluoric acid for 20 seconds and rinsed.

Figure 12

Fig 13. Dual-cure resin cement was applied into the lithium-disilicate suprastructure.

Figure 13

Fig 14. Lithium disilicate was seated onto the titanium base, excess cement was removed, and the abutment was light-polymerized for 30 seconds.

Figure 14

Fig 15. The completed “H” abutment was placed on the implant analog on the master model.

Figure 15

Fig 16. The completed “H” abutment was placed on the implant analog on the master model.

Figure 16

Fig 17. The “H” abutment placed and the seating verified. Aluminum chloride/clay retraction paste was placed into the sulcus before master cast impressions.

Figure 17

Fig 18. The definitive restorations on the master model.

Figure 18

Fig 19. Preparations and abutment after provisionals removed.

Figure 19

Fig 20. Crown was seated using a light-cure-only cement.

Figure 20

Fig 21. Restorations were then “tacked” into place.

Figure 21

Fig 22. The margins of the restorations were then “waved” for 2 to 3 seconds per tooth facially and lingually.

Figure 22

Fig 23. After initial wave, excess cement was easily peeled away from all margins.

Figure 23

Fig 24. Final restorations 7 months after cementation of the crowns.

Figure 24

Fig 25. Final restorations 7 months after cementation of the crowns.

Figure 25

Fig 26. Final restorations 7 months after cementation of the crowns.

Figure 26

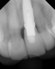
Fig 27. Radiograph of the final restoration demonstrating absence of subgingival cement/bonding agent.

FIgure 27

CREDITS: 0
AGD CODE: 690 - Implants
COST: $0
PROVIDER: Conexiant Education
SOURCE: Inside Dental Technology | September 2015

Learning Objectives:

  • Discuss the fabrication of a “hybrid” implant abutment with a pressable lithium disilicate.
  • Explain the importance of strength, accuracy, and esthetics in implant abutments.
  • Understand the advantages of the “H” abutment over traditional options.

Disclosures:

The author reports no conflicts of interest associated with this work.

Queries for the author may be directed to justin.romano@broadcastmed.com.