CDEWorld > Courses > A Unique Restorative Workflow Using Digital Technology

CE Information & Quiz

A Unique Restorative Workflow Using Digital Technology

Lee Culp, CDT; and Lida Swann, DDS

August 2015 Issue - Expires Friday, August 31st, 2018

Inside Dental Technology

Abstract

Today’s CAD/CAM systems offer the dentist-technician team a more efficient, consistent, and predictable restorative process. Collaboration with a skilled technician is beneficial for a dentist seeking to create complex restorations. This article will present a case in which the patient experience was enhanced by a skilled treatment team using CAD/CAM technology.

You must be signed in to read the rest of this article.

Login Sign Up

Registration on CDEWorld is free. Sign up today!
Forgot your password? Click Here!

The laboratory technician’s primary role in restorative dentistry is to perfectly copy all functional and esthetic parameters that have been defined by the dentist into a restorative solution. It is an architect-builder relationship. From the initial consultation through treatment planning, provisionalization, and final placement, the communication routes between the dentist and technician require a complete exchange of information pertaining to existing, desired, and realistic situations and expectations. Functional components, occlusal parameter, phonetics, and esthetic requirements are just some of the essential types of information that are necessary for the technician to fabricate successful and esthetic restorations.

As dental technology evolves, the dentist-technician team desiring a more efficient, consistent, and predictable restorative process should investigate the array of CAD/CAM systems being offered on the market.

In a digital workflow, it makes sense in some cases for the dentist to work independently and finish the restoration chairside in a single visit with the obvious advantages a clinical CAD/CAM system has to offer. These instances might include less complex or fewer restorations for the same patient, and restorations that do not require any special characterization other than perhaps stain and glaze or polish. Other times, engaging the services of a restorative partner, a technician, is advantageous because he or she possesses the skill and, perhaps more importantly, the time to create restorations that either demand more complex characterization or can be more efficiently created indirectly.

For the restoration in this case, the authors relied on the combined talents of both the dentist and technician in a unique clinical/laboratory digital restorative process.

Case Report

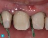
A 22-year-old female patient was referred to the University of North Carolina’s Graduate Prosthodontic Clinic by her hometown dentist in New York. She had been involved in a sports-related accident and had fractured off a large portion of teeth Nos. 7 and 9 and also fractured tooth No. 8 (Figure 1). The dentist discussed treatment options with the patient, including a single-appointment CAD/CAM process with full ceramic crowns and veneers. Properly placed digitally designed and milled restorations have been extremely successful with proper preparations and occlusal design considerations. The patient came in that day for a single preparation and seat appointment. The 3 teeth were prepared for the all-ceramic restorations, following accepted CAD/CAM glass-ceramic preparation guidelines with adequate clearance, rounded internal aspects, and supragingival rounded butt joint margins (Figure 2).

Once tooth preparations were complete, an intraoral scanner was used to capture scans of the preparations and the occlusal surfaces of the neighboring teeth. Next, scans from the occlusal, lingual, and buccal were taken of each preparation to build the virtual model to completion. Multiple scans are taken per preparation in order to capture the full contours and undercuts of the neighboring preparations to aid in proper proximal contact and overall anatomical contours. Once the images of the preparation, neighbors, and bite registration are captured, the computer has the information it needs to prepare the working model—the preparation and opposing model.

The dentists’ team uploaded the scan data into the design computer. The digital system chosen for the restoration of this case was the Planmeca PlanScan system (Planmeca CAD/CAM Solutions, planmecacadcam.com). Along with its accompanying PlanCAD software and Autogenesis™ libraries, this system became the first computerization model to accurately present a 3D virtual model and automatically take into consideration the occlusal effect of the opposing and adjacent dentition. The system also had the ability to simultaneously design 16 individual full-contour, anatomically correct teeth. It essentially takes a complex occlusal scheme and its parameters, and condenses the information, displaying it in an intuitive format that allows dental professionals with basic knowledge of dental anatomy and occlusion to make design modifications.

The computer, with the aid of the PlanScan system and Autogenesis (morphing) software, places the restorations automatically in a preferred and appropriate position (based on all input and neighboring anatomical detail). Then the operator’s experience, training, and knowledge of form and function are needed to manually reposition and contour the restoration to the clinically ideal location if necessary. Customized aspects and artistic creativity are also possible with an array of virtual carving and waxing tools (Figure 3). These can be used to manipulate occlusal anatomy, contours, and occlusal preferences, basically mimicking the actual laboratory methods and armamentarium. When the final virtual restoration has been designed, simply load the milling chamber with the predetermined shade and size of ceramic block and press an on-screen button. After a short time, an exact replica of the design is reproduced in ceramic.

The ceramic restorations were removed from the milling chamber and prepared for final esthetic enhancements. The milling sprue must be removed first, and then facial anatomy and surface texture are defined using diamond burs. Care should be taken to avoid altering occlusal or interproximal contacts, as these areas were perfected in the Planmeca PlanCAD software and accurately reproduced during milling. After esthetic contouring, restorations were rinsed with water to remove surface ceramic debris and dried. Because the patient was still anesthetized and in the chair, try-in for proximal and marginal fit could be completed chairside with assurance. Once verified and adjusted, the restorations were esthetically enhanced by the addition of subtle colors and glaze application. The ceramic chosen was IPS e.max® CAD (Ivoclar Vivadent, ivoclarvivadent.com). These ceramic milling blocks were designed to provide optimal esthetics by offering color and translucency (Figure 4).

Conclusion

Digital dentistry and the digital dental team represent a totally new way to diagnose, treatment plan, and create functional esthetic restorations for patients more productively and efficiently. CAD/CAM dentistry will only further enhance the dentist/technician relationship.

Disclosure

This article was supplied by Planmeca CAD/CAM Solutions.

About the Authors

Lida Swann, DDS
UNC Dental Implant Fellow
University of North Carolina School of Dentistry
Chapel Hill, NC

Lee Culp, CDT
CEO
Sculpture Studios
Morrisville, NC

Fig 1. Preoperative condition of fractured teeth.

Figure 1

Fig 2. Completed preparation, optimized for CAD/CAM fabrication.

Figure 2

Fig 3. Digital design, completed by the restorative dentist team.

Figure 3

Fig 4. Final restorative result.

Figure 4

CREDITS: 0
AGD CODE: 780 - Tooth-Colored Restorations
COST: $0
PROVIDER: Conexiant Education
SOURCE: Inside Dental Technology | August 2015

Learning Objectives:

  • Understand the roles of the dentist, dental technician, and CAD/CAM technology in a case.
  • Explain how the operator’s expertise is necessary when using advanced CAD software.
  • Discuss the treatment option that was chosen in this case.

Disclosures:

The author reports no conflicts of interest associated with this work.

Queries for the author may be directed to justin.romano@broadcastmed.com.