CDEWorld > Courses > The Age-One Dental Visit—Preventing Early Childhood Caries

CE Information & Quiz

The Age-One Dental Visit—Preventing Early Childhood Caries

Joel H. Berg, DDS, MS; and Peter K. Domoto, DDS, MPH

November 2013 Course - Expires Wednesday, November 30th, 2016

Inside Dental Hygiene

Abstract

Early childhood caries (ECC) is a prevalent and devastating disease. Some children are at greater risk than others to develop early childhood caries, which may increase the likelihood of caries-related problems throughout life. The “age-one” dental visit is the best opportunity to prevent the onset and progression of ECC. This article uses the example of the Washington State ABCD (Access to Baby and Child Dentistry) program as a means to create an age-one dental visit program in the general practice. By developing a systematic approach to caries-risk assessment via clinical examination, interview of the family, and the subsequent provision of family oral health education and anticipatory guidance, much of the devastation of ECC can be prevented at an early age.

You must be signed in to read the rest of this article.

Login Sign Up

Registration on CDEWorld is free. Sign up today!
Forgot your password? Click Here!

The “age-one” dental visit is one of the most important interventions dentistry can provide. The ability to prevent dental disease before it can start may assist in better lifelong health.1 Yet, too few practitioners see 1-year-olds in their office. There are numerous resources available to train general practitioners on how to create an infant and toddler program in their office that is effective in promoting good oral heath while also being financially feasible. This article will provide the basic principles of what to implement into such a program, using the renowned Washington State ABCD program2 as an example of success.

Addressing a Serious Problem

In 1994, a group of concerned dentists, dental educators, public health agencies, the state dental association, the Washington Dental Service Foundation, and state Medicaid representatives came together to address the severe lack of dental access to Washington State’s high-risk preschool children.3,4 The proposed solution was the development of the Access to Baby and Child Dentistry (ABCD) Program.

ABCD focuses on preventive and restorative dental care for Medicaid-eligible children (although the principles of the program are applicable to all children) from birth to age 6, with emphasis on enrollment by age 1. It is based on the premise that starting dental visits early in life will yield positive behaviors by both parents and children, thereby helping to control the caries process and reduce the need for costly future restorative work.3

The first ABCD program opened for enrollment in Spokane, Washington, in February 1995 as a collaborative effort between several partners in the public and private sectors. Its success has led other county dental societies and health districts in Washington to adopt the program, as well as prompted interest from other states.3

The ABCD Program was named a “Best Practice” by the American Academy of Pediatric Dentistry (AAPD) in 2000. The AAPD, under a 3-year Health Resources and Services Administration (HRSA) grant, sought programs that use resources efficiently and are culturally competent, replicable, integrated, and sustainable. More than 28 programs in 15 states submitted descriptions for review by an Academy task force. North Carolina and Washington were selected as two states with especially useful approaches.3,5

In 2003, ABCD won the “Heroes of Health Care” award for collaboration from the Washington Health Foundation. In 2004, the Association of State and Territorial Dental Directors (ASTDD) selected ABCD as one of its “Best State Practices.”3,6 According to the ASTDD, “Best Practice is based on a simple maxim: Don’t reinvent the wheel, learn in order to improve it, and adapt it to your terrain to make it work better. If we can demonstrate success and share what we know, it can enable us to go forward in different ways that may lead to innovation and establish other best practices.” Thirty-nine states submitted 116 descriptions of successful dental public health practices to the ASTDD Best Practices Project.3,6

In 2005, the W.K. Kellogg Foundation named the ABCD program as one of three innovative oral health models nationally.3,7 Oral Health America gave ABCD an “A” grade in its 2005 report titled, “A for Effort.”3,8 For receiving an “A” grade for ABCD, Washington is one of eight states earning top grades for improving oral health. ABCD is also recognized as an effective program to address children’s health disparities in a report by the Children’s Defense Fund.3,8

The ABCD program is designed to begin seeing children as soon as the first teeth emerge. The AAPD has adopted a policy for children to be seen by a dentist at age one.9 Because recognition of the need for early pediatric dentistry is new for many dentists and parents, the ABCD Program provides education and training for both.10

 

Parent Orientation and Encounters at the Age-One Dental Visit

Parents should be coached at their initial ABCD orientation and in follow-up visits to bring their children to the dental practitioner before there are problems.11 Family oral health education (discussed below), examination, anticipatory guidance,12 varnish application, lift-the-lip examination, oral hygiene instruction, and risk assessment are all part of the age-one dental visit. Periodic follow-up examination after the age-one visit depends on the child’s risk.13 Low-risk children might only be seen annually or semi-annually until the primary teeth are fully in occlusion. High-risk children should be seen as often as every 2 to 3 months.14

Family Oral Health Education

A family oral health education session is carried out twice per year by the dental office. This education may be delivered by the dentist, dental hygienist, and/or other staff. The session should include:15

  • risk assessment
  • “lift-the-lip” training (a videotape and flipchart teaching the parent/guardian how to examine the child’s mouth)
  • hands-on training in teeth cleaning
  • nutritional counseling and showing the proper use of a cup for drinking
  • discussion and prescription of fluoride supplements (as needed)
  • follow-up (contact within 3 months as a reminder about teeth cleaning, lift-the-lip exams, and fluoride supplements).

Pediatric Dental Techniques

Dentists and other oral healthcare providers should receive continuing education in early pediatric dental techniques. The ABCD program’s education component is certified by the University of Washington’s pediatric dentistry staff. In the initial training, the dental practitioner is taught the lap-to-lap examination procedure (discussed below) as a better method than using a dental chair for examining very young children.16

Fluoride Varnish

Fluoride varnish applications are encouraged for high-risk children. Three applications per year are recommended for moderate to high-risk children. The precise frequency and timing of fluoride varnish applications is currently a topic of discussion. These authors share the belief that even more frequent fluoride varnish application may be necessary for high-risk children, and should be combined with intensive family oral health education.

Atraumatic Restorative Technique

Dental practitioners are encouraged to use atraumatic restorative technique (ART) when providing restorative therapy as a transitional method for restoring teeth in infants and toddlers. This type of treatment, combined with definitive care that may require more extensive behavior management tools (including the possibility of general anesthesia), are used based on a variety of risk and family factors. Glass-ionomer restorative material, which releases fluoride, can be used for treating small- to moderate-sized caries lesions in primary teeth. This process is often referred to as “scoop-and-fill” or “band-aid” restorations. The idea is to stabilize the lesions until the child’s behavior can be better managed and the lesions can be treated with conventional techniques.

Knee-to-Knee Examination Procedure

  1. Position the child in the adult caregiver’s lap while the adult sits in a chair. Interact warmly with both the infant/toddler and the caregiver.
  2. Ask if the child will allow you to pick her/him up. If you have permission to do so, hold the child—briefly. Bounce, jostle, and interact with the youngster and then return the child to the caregiver. If the child is obviously reluctant to be held or the caregiver advises that the child will not allow you to hold her/him, proceed to Step 3.
  3. Give the child a toothbrush (remove from packaging).
  4. Determine if the caregiver or another adult assists the child with toothbrushing by asking “How do you take care of your child’s teeth?” If the caregiver does assist the child with tooth cleaning at home, communicate approval and praise. Request that the caregiver demonstrate brushing of the child’s teeth. Catch the caregiver “doing something right” during tooth cleaning and praise that behavior.
  5. Assume the “knee-to-knee” posture. If you are sure you can successfully hold the child based on your previous experience in Step 2, hold the child face-to-face and place the child’s legs around your hips. Lower the child’s head onto the caregiver’s lap. Ask the caregiver to continue brushing the child’s teeth. While this is happening, observe the child’s mouth and teeth as much as possible as you supervise the tooth cleaning activity. If you are unable to complete this step, proceed to Step 7.
  6. You should continue to lavish praise on the caregiver for appropriate behaviors or skills.
  7. Reverse the position of the child by asking the caregiver to take the child from you and reproduce the position you have just completed. Say, “Give your child a hug now and put her/his legs around your hips.” Now gently lower the child’s head onto your lap (Figure 1). The parent/caregiver can assist you by holding the child’s hands as you complete the assessment.
  8. Using the child’s toothbrush, quickly assess the child’s oral condition.
  9. Use a dental mirror and continue to assess the child’s oral condition and record your findings.
  10. Advise the parent/caretaker of oral findings and recommendations for follow-up. It is essential to specifically document areas where closer attention to detail in brushing must be exerted.

What Are We Preventing?

For many years, health- and childcare professionals have recognized a specific pattern of tooth decay in young children. This specific pattern of tooth decay was called baby-bottle tooth decay (BBTD). BBTD was believed to be primarily associated with the use of a bedtime bottle containing a beverage with natural or added sugars such as formula, juice, or Kool-Aid, and generally occurred between the ages of 12 to 18 months.

In recent years, similar cases of early and severe tooth decay have been found in children who do not fit the classic BBTD pattern of bottle use. In light of this, the term early childhood caries (ECC) is being used to reflect a broader concept of the problem of tooth decay in infants and young children. ECC includes cavities associated with any causative factors, including the continuous use of a sippy cup, at-will breastfeeding throughout the night, use of a sweetened pacifier, or where chronic illness requires the regular use of a sugar-based oral medication.

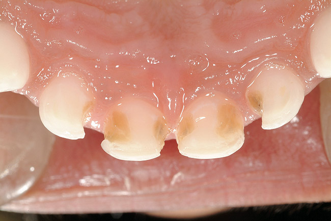
The characteristics of ECC (Figure 2) are:

  1. It develops rapidly. Progression from the enamel into the dentin occurs in 6 months or less.
  2. It affects the upper front teeth first. These teeth usually erupt at around 8 months of age.
  3. Primary molars, which begin to erupt at about 12 months of age, are the next teeth to be affected.
  4. Finally, the lower front teeth are affected when the disease becomes very severe.

ECC is recognized as an infectious disease. Its extent and severity vary with cultural, genetic and socioeconomic influences. In order for dental caries to occur, three things must be present:

  1. A harmful agent, such as the bacterial biofilms responsible for the disease.
  2. A susceptible host (tooth).
  3. The proper environment, ie, the presence of food and drinks that contain fermentable carbohydrates in sufficient frequency, such as natural or refined sugars.

The bacteria use the fermentable carbohydrates (sugars) to produce acid. The acid comes in contact with the tooth and slowly demineralizes the tooth. As demineralization continues, a caries lesion forms.

Because the above three “conditions” must be present for demineralization to occur, there are at least three opportunities for intervention: eliminate or reduce the bacteria through proper oral hygiene; make the tooth more resistant through the use of fluoride; or reduce the presence of fermentable carbohydrates by dietary changes. Oral hygiene and dietary changes require behavioral change on the part of the child’s family but using fluoride does not. Treatments can be applied to the child’s teeth at the dentist’s or pediatrician’s office. Optimal water fluoridation requires no effort at all on the part of the family.

Main Risk Factors to be Assessed During the Age-One Visit

Mothers or Family Members with Untreated Tooth Decay

Mothers or other family members with untreated caries have higher levels of bacterial biofilms in their mouths and tend to have children with high rates of decay because of the transmission of the bacteria to their children.17 Children are not born with high levels of bacteria that cause caries; they acquire the bacteria from their caregiver, usually their mother, through close proximal contact such as kissing, sharing eating utensils, sharing food, or cleaning off a pacifier by mouth. The period when a child is most susceptible to acquiring the decay-causing bacteria is quite short, beginning as early as 6 months and continuing through approximately 31 months. However, not all mothers have bacterial levels high enough to promote dental decay in their children. This is why it is important that caregivers of young children have good oral health and practice good oral hygiene habits.18 Evidence is emerging in this regard to more strongly support the notion of “maternal-child” oral health.

Poor Oral Hygiene Care for the Child

Poor oral hygiene care makes the infant/toddler susceptible to early childhood caries. It is important for parents or other caregivers to begin a routine of daily oral hygiene for their child as soon as the teeth first erupt.19 Plaque and fermentable carbohydrates that are left on the teeth are metabolized by bacteria to produce acid and new plaque.

The frequency and thoroughness of the child’s oral hygiene routine affects the level of bacteria in the child’s mouth. Parents and caregivers need to clean children’s teeth at least once a day. The time spent cleaning a child’s teeth will be very short, usually less than 2 minutes. It is easiest to do with two people, one to hold the child and the other to actually clean the child’s teeth. It can be done using a very small child’s toothbrush or by simply wiping the teeth off with a wet cloth, although a toothbrush positioned and used properly is preferred. There are several age-specific toothbrush products on the market today to help with oral hygiene compliance in children.

However, the quality of cleaning is just as important, if not more, than its frequency. Few children under the age of seven have the ability to clean effectively. While it is normal for children to want to do things for themselves, until a child is about 7 years old an adult needs to brush the child’s teeth for them at least once a day. Allow the child to brush his or her own teeth, but at least once a day, preferably at bedtime, an adult should carefully and thoroughly brush the child’s teeth.

A Diet High in Sugar and Fermentable Carbohydrates

Whenever teeth are repeatedly exposed over time to fermentable carbohydrates, the bacteria in the mouth metabolize the sugars and produce acid, which removes minerals from the tooth enamel.20 At first look, some foods may seem healthy and good for a child to have as snacks throughout the day. Many parents buy cereals, granola bars, and other healthy snacks because these products are thought to be low in refined or added sugars. They also select foods like raisins and fruit juices because they contain natural sugars and are full of vitamins and minerals.21 Neither food category would be appropriate to allow a child to snack on all day long without brushing the teeth. The fermentable carbohydrates in cereals, crackers, and granola bars will stick to the teeth. Some of these foods and all of the drinks are full of refined/added or natural sugars. Caries-causing biofilms do not distinguish between refined or natural sugars. The bacteria metabolize both natural and refined sugars, after which acid is formed.

Parents can be counseled to avoid foods (especially frequent use) that have a form of sugar listed as the first or second ingredient. If they do buy an item with a high sugar content, they should only allow the child to have it as a special treat, not as a regular part of their diet. Of course, as mentioned, effective oral hygiene can counteract some of the negative impact of high-frequency sugar load.

It is important to remember that every time the bacteria in the mouth are exposed to sugar, whether refined or natural, they produce acid; the more frequently a child eats sugar, the more frequently the teeth are exposed to acid. Parents can reduce the chances of their child’s developing cavities by limiting the frequency and amount of sugar their child consumes. Significant time must be spent during infant and toddler dental visits to review these facts with the parents.

Improper Bottle Feeding and/or Bottle Use After Age 1

A bottle may be used by a parent or caregiver to modify the child’s behavior by giving it during sleep time to stop the child from fussing or crying. Other methods of improper bottle-feeding include propping the bottle or giving the bottle to the child all day. This results in frequent exposure of teeth to sugar.22

Breastfeeding at Will Throughout the Night

The authors recommend and support breastfeeding. Breast milk by itself does not promote tooth decay more than other forms of fermentable carbohydrates. However, once a child starts to consume foods or liquids in addition to breast milk, the combination of breast milk and these other foods will promote tooth decay. As a result, once a child is starting to receive nutrition from sources other than solely breast milk, the child is potentially at risk of developing ECC. These children should not be allowed to nurse at will throughout the night. Babies should be removed from the breast when they are finished feeding, and the teeth should be cleaned.

Using Pacifiers Dipped in Sugary Substances

Some parents may give their children pacifiers dipped in a variety of different sweeteners. Giving children pacifiers dipped in jam, corn syrup, or sugar throughout the day results in frequent exposure of teeth to sugar, which is then metabolized by the bacteria to produce decay causing acid.23

Children with chronic illnesses or special healthcare needs may also be at increased risk of ECC. These children are at high risk for tooth decay because their medication may contain sugar. Parents should be advised that medications frequently contain significant concentrations of sugar. Also, certain medications, such as antihistamines, may cause decreased saliva production, causing the mouth to dry out. Saliva is important because it helps to cleanse the teeth of food particles and acts as a buffer for the acid produced by bacterial biofilms. Daily oral hygiene care for these children is very important because dryness also increases food retention on the teeth, gums, and throughout the mouth.

Certain Characteristics of Parents or Caregivers

These characteristics may affect the likelihood of ECC.24 Some examples of characteristics that may increase a child’s risk of ECC are:

  • The single parent or caregiver overloaded with responsibilities so that the bottle is frequently used as a pacifier.
  • Parents of children with special healthcare needs. They have added responsibilities because of the daily needs of their child and may be less likely to notice the early stages of tooth decay or know inappropriate feeding behaviors.
  • Parents or caregivers with limited support from social services.25 Dental practices are in a good position to educate parents who may lack the knowledge to change unhealthy feeding practices, such as bottle propping or a bedtime bottle. If a parent has limited contact with the various social assistance programs, they may not receive the educational information needed to make healthier choices for their child.
  • Families with a pattern of substance abuse. These families often neglect their children’s needs due to their substance abuse.

When ECC is in the advanced stages, it can cause significant pain for the child.

  • The pain may prevent the child from sleeping or from being able to learn.
  • The overall health of the child may be affected because of the chronic infection and high levels of bacteria in their mouth.
  • He or she may be unable to eat the proper foods. The child may select soft foods because of the pain.
  • Children with ECC may have problems pronouncing words and may develop incorrect language patterns because of missing teeth due to the extraction of teeth that have been severely affected by the disease.
  • Children with ECC have an increased risk of decay in permanent teeth because of high levels of bacteria in their mouths.
  • The child can feel self-conscious and uncomfortable about smiling as he or she gets older.
  • The long-term effects of having high levels of dental decay can even affect their future abilities socially, in school, and in the workplace.

When a parent or caregiver says, “They are only baby teeth. They are going to fall out anyway,” you may want to inform them of the consequences of tooth decay and remind them that children do not usually start to lose their baby teeth until they are about 6 years old, and that the last baby teeth are not lost until the child is about 12 years old.

One of the first clinical signs of the presence of ECC is the white-spot lesion—usually first seen on the maxillary incisors.26 The development and location of white-spot lesions are linked to:27

  • The eruption pattern of the teeth. The primary maxillary incisors are among the first teeth to erupt and, therefore, have a longer exposure to acid-producing bacteria.
  • Bottle and tongue position in the mouth. The lower teeth are usually not affected because during sucking the tongue covers them.
  • Decreased saliva flow while sleeping. During sleep, the flow of saliva decreases, allowing the sweetened liquids from the bottle to pool around the child’s maxillary incisors teeth for long periods.

White spot lesions represent ECC in its early stage. During the early white-spot stage, the condition can be reversed by using preventive measures such as professionally applied fluoride varnish, gels, and foams.

There are some developmental conditions that can look like early white-spot lesions. One can discern the difference between white-spot lesions and developmental imperfections in the enamel by the location and the time of their appearance on the tooth. Developmental imperfections occur during tooth formation and can be located anywhere on the tooth. Such imperfections will be present when the tooth erupts, while white-spot lesions will begin appearing several months after tooth eruption and will be primarily around the gingival margin.

As the condition worsens, white-spot lesions develop into larger caries lesions. The time frame from early decay to later decay can be as short as 6 to 12 months. At this point, the child may complain about toothache when extremely cold foods are eaten. As the caries process continues, the lesions will appear as brown/black collars around the gingival margin. The child will often begin to indicate the presence of pain.

The time frame from later to severe decay can be as little as 6 weeks. This is because once the decay penetrates through the hard outer enamel layer of the tooth and enters the dentin, it progresses very quickly.

Because ECC can start very soon after teeth erupt and progress quickly, it is very important to examine children’s teeth frequently and regularly in order to intercept any potential problems.28 How can ECCs be detected? One very important way to detect white-spot lesions before irreversible tooth decay develops is to simply look for the presence of early white-spot lesions.

Children should be examined for white-spot lesions frequently. Dental hygienists can educate the parent or caregiver to play an active role in the examination. Active participation by the parent or caregiver can be useful in the counseling process. Parents can be taught how to lift the lip of their child once a month to look for white spot lesions.

One method is age-appropriate guidance, which can be used for proactive counseling of parents or caregivers about the developmental changes that will occur in the child. Age-appropriate guidance should include the following:

  • Information that can be passed on in age-appropriate pieces for easier understanding by parents and caregivers,29 organized so that each contact has a specified purpose and goal. This cuts down on repetition and allows time for understanding. Parents or caregivers will be better informed, more involved, and are able to absorb future information.
  • Using age-appropriate guidance, the parent or caregiver can be counseled on how to prevent white-spot lesions. Recommend that they do not establish the habit of inappropriate feeding and comforting practices, such as prolonged bottle use after age 1, feeding on demand at bedtime with the bottle or breast, bottle propping, and extended sippy cup use throughout the day.
  • A scheduled age-appropriate guidance format for parent counseling allows any hygienist or staff member to pick up the preventive and educational guidance.
  • When children are identified with one or more of the risk factors for ECC, dental hygienists can focus counseling on the factors putting the child at risk.
  • Remember, change on the part of the parent or caregiver occurs gradually over time. Counseling can be reinforced at each visit to identify and reduce parent or caregiver barriers to change.

For many years dental practitioners in the United States have used fluoride gels, foams, and rinses to stop and even reverse tooth decay. Another type of fluoride administration, fluoride varnish, has been used in Europe for over 30 years. In 1994, this type of fluoride became available for use in the United States. Clinical trials have shown caries reduction as great as 70%.30 The advantages of fluoride varnish are that it:

  • does not require a professional dental cleaning before application
  • is easy to apply
  • takes little time to complete the process of application
  • dries immediately on contact with saliva so there is a reduced probability of swallowing excess product
  • is safe for and well tolerated by infants, small children, and individuals with special needs
  • is inexpensive
  • requires minimal training

 

Application Technique for Fluoride Varnish

Position

If the patient is an infant, position yourself knee-to-knee with the parent. Place the infant on the parent’s lap with the infant’s head on the parent’s knees and the infant’s legs around the parent’s waist. Treat the infant from behind the head or place the infant on an exam table and work from behind the head.

If the patient is a young child, place the child in a prone or sitting position and work from above the head as with an infant.

Application

Open the child’s mouth. Remove excess saliva from the teeth with a gauze sponge. Apply a thin layer of the varnish to all surfaces of the teeth (Figure 3). The varnish will thicken immediately once it comes in contact with saliva.

Postapplication Instructions

Tell the parent or caregiver that the child should eat a soft, non-abrasive diet for the rest of the day. Do not brush or floss the child’s teeth until the next morning.

Once the decay has progressed to the later stages, there are several issues that will affect the type of treatment provided to limit disability and restore function in the child’s mouth—the age of the child, the child’s behavior, the severity of the case, and the training of the parent or caregiver.

Children under 18 months of age are often treated using temporary methods to arrest the decay and to allow postponing treatment until the child is old enough to tolerate the deep sedation or general anesthesia needed for permanent treatment measures.

Most children under the age of three may be difficult to treat and may need to be referred to a pediatric dentist that specializes in treating very young children. Or treatment may have to be provided in a hospital setting where general anesthesia may be administered for the procedure.

The severity of the decay will determine the type of treatment the child receives. Teeth may be so badly destroyed by ECC that extraction is the only option.

Conclusion

Most cases of ECC can be prevented. It is not a genetic problem that we are unable to prevent. Children do not inherit cavities. ECC usually results from a lack of brushing and a poor diet. If discovered during the white-spot lesion stage, the progression of the disease can be halted and possibly reversed. Dental hygienists can work with the parents and caregivers of children identified as being at risk for ECC to develop the routines of daily oral hygiene, modified feeding and comforting practices, and diet. If discovered early enough, the progression of the disease can be halted and possibly reversed through the application of fluoride by either a medical or dental provider.

The age-one dental visit is a productive and extremely important component of total family dentistry. By scheduling patients appropriately and educating the family in oral health during the visits, a productive and effective program can be implemented.

References

1. Donaldson ME, Fenton SJ. When should children have their first dental visit? J Tenn Dent Assoc. 2006;86(2):32-35.

2. Milgrom P, Hujoel P, Grembowski D, et al. Making Medicaid child dental services work: A partnership in Washington State. J Am Dent Assoc.1997;128(10)1440-1446.

3. Access to Baby and Child Dentistry. What is ABCD? Available at: http://www.abcddental.org. Accessed January 19, 2007.

4. Skaret E, Milgrom P, Raadal M, et al. Factors influencing whether low-income mothers have a usual source of dental care. ASDC J Dent Child. 2001;68(2):136-142.

5. Kaakko T, Skaret E, Getz T, et al. An ABCD program to increase access to dental care for children enrolled in Medicaid in a rural county. J Public Health Dent. 2002;62(1):45-50.

6. McCann D. Medicaid Access Program Taps Cooperation for Results. ADA News. 1999;30(6).

7. Kobayashi M, Chi D, Coldwell SE, et al. The effectiveness and estimated costs of the access to baby and child dentistry program in Washington State. J Am Dent Assoc. 2005; 136(9):1257-1263.

8. Donahue GJ, Waddell N, Plough AL, et al. The ABCDs of treating the most prevalent childhood disease. Am J Public Health. 2005; 95(8):1322-1324.

9. American Academy of Pediatric Dentistry Clinical Affairs Committee—Infant Oral Health Subcommittee; American Academy of Pediatric Dentistry Council on Clinical Affairs. Guideline on infant oral health care. Pediatr Dent. 2005-2006;27(7 Reference Manual):68-71.

10. Ramos-Gomez FJ. Clinical considerations for an infant oral health care program. Compend Contin Educ Dent. 2005;26(5 Suppl 1):17-23.

11. Spitz AS, Weber-Gasparoni K, Kanellis MJ, et al. Child temperament and risk factors for early childhood caries. J Dent Child. 2006;73(2):98-104.

12. Farias DG, Leal SC, de Toledo OA, et al. Effect of oral anticipatory guidance on oral health and oral hygiene practices in preschool children. J Clin Pediatr Dent. 2005; 30(1):23-27.

13. Van der Sanden-Stoelinga MS, Koelen MA, Hielkema-de Meij JE. The making of a nationwide campaign fighting the nursing caries. Int J Dent Hyg. 2003;1(1):16-22.

14. Hallett KB, O’Rourke PK. Pattern and severity of early childhood caries. Community Dent Oral Epidemiol. 2006;34(1):25-35.

15. Goldie MP. Oral health care for pregnant and postpartum women. Int J Dent Hyg. 2003;1(3):174-176.

16. Wessel LA, Wolpin S, Sheen J, et al. Early childhood caries prevention: a training project for primary care providers. J Health Care Poor Underserved. 2005;16(2):244-2447.

17. Caufield PW. Dental caries: an infectious and transmissible disease where have we been and where are we going? NY State Dent J. 2005;71(2):23-27.

18. Mamber E. Baby clinic: a comprehensive project to promote oral health in expecting mothers and their babies. Alpha Omegan. 2004;97(3):33-34.

19. Douglass JM, Douglass AB, Silk HJ. A practical guide to infant oral health. Am Fam Physician. 2004;70(11):2113-2120.

20. Nainar SM, Mohummed S. Diet counseling during the infant oral health visit. Pediatr Dent. 200;26(5):459-462.

21. Poland C 3rd, Hale KJ. Providing oral health to the little ones. J Indiana Dent Assoc. 2003-2004;82(4):8-14.

22. De Grauwe A, Aps JK, Martens LC. Early Childhood Caries (ECC): what’s in a name? Eur J Paediatr Dent. 2004;5(2):62-70.

23. Fadavi S. Management of early childhood caries. Gen Dent. 2003;51(1):38-40.

24. Nainar SM, Mohummed S. Role of infant feeding practices on the dental health of children. Clin Pediatr. 2004;43(2):129-133.

25. Kumari NR, Sheela S, Sarada PN. Knowledge and attitude on infant oral health among graduating medical students in Kerala. J Indian Soc Pedod Prev Dent. 2006;24(4):173-176.

26. Abdoll GS. Report on the nursing bottle caries campaign launched by the Free State Oral Health Services. SADJ. 2001;56(1):32-33.

27. Oliveira AF, Chaves AM, Rosenblatt A. The influence of enamel defects on the development of early childhood caries in a population with low socioeconomic status: a longitudinal study. Caries Res. 2006;40(4):296-302.

28. Lee JY, Bouwens TJ, Savage MF, et al. Examining the cost-effectiveness of early dental visits. Pediatr Dent.2006;28(2):102-105; discussion 192-8.

29. Wagner R. Early childhood caries. J Am Dent Assoc. 2006;137(2):148-151.

30. Strohmenger L, Brambilla E. The use of fluoride varnishes in the prevention of dental caries: a short review. Oral Dis. 2001;7(2):71-80.

About the Authors

Joel H. Berg, DDS, MS, Lloyd and Kay Chapman Chair for Oral Health, Department of Pediatric Dentistry, The University of Washington, Seattle, Washington

Peter K. Domoto, DDS, MPH, Professor Emeritus, Department of Pediatric Dentistry, The University of Washington, Seattle, Washington

Figure 1 

Figure 1

Figure 2 

Figure 2

Figure 3 

Figure 3

CREDITS: 0
COST: $0
PROVIDER: Conexiant Education
SOURCE: Inside Dental Hygiene | November 2013

Learning Objectives:

After reading this article, the reader should be able to:

  • identify the risk factors for early childhood caries.
  • list the components of the “age-one” dental visit.
  • discuss which components of the caries process are and are not dependent upon patient/parent compliance.
  • describe the considerations in timing of subsequent visits after the age-one visit.

Disclosures:

The author reports no conflicts of interest associated with this work.

Queries for the author may be directed to justin.romano@broadcastmed.com.