CDEWorld > Courses > Considerations for Nonsurgical Gingival Displacement in the Context of Restorative Dentistry

CE Information & Quiz

Considerations for Nonsurgical Gingival Displacement in the Context of Restorative Dentistry

Manuel S. Thomas, MDS; Robin Mathai Joseph, MDS; and Abhishek Parolia, MDS

October 2013 RN - Expires Monday, October 31st, 2016

Parkell Online Learning Center

Abstract

Gingival displacement is critical for obtaining accurate impressions for the fabrication of fixed restorations, especially when the finish line is at or just within the gingival sulcus. Displacement of the gingival tissue is also important when dealing with the restoration of cervical lesions due to their proximity to the periodontal tissue. The methods of gingival tissue displacement can be broadly classified as nonsurgical and surgical techniques, with nonsurgical being the more commonly practiced method. Dentists must alter their armamentarium and gingival displacement techniques to meet specific demands and obtain predictable results. Hence, the purpose of this article is to describe the different means by which nonsurgical gingival displacement can be achieved effectively under a variety of clinical situations.

You must be signed in to read the rest of this article.

Login Sign Up

Registration on CDEWorld is free. Sign up today!
Forgot your password? Click Here!

Harmony between a restoration and the periodontium that surrounds the teeth is crucial to the success of a restorative procedure. Key to achieving such a relationship is an accurately made impression for indirect restorations or a properly placed direct restoration into the prepared cavity.1 Displacement of the gingival tissue is essential for obtaining accurate impressions for the fabrication of fixed restorations, particularly when the finish line is at, or just within, the gingival sulcus. This is also true when dealing with the restoration of cervical lesions due to their proximity to the periodontal tissue.

Gingival displacement is defined as the deflection of marginal gingiva away from the tooth. This is performed to create sufficient lateral and vertical space between the preparation finish line and the gingival tissue to allow the injection of adequate bulk of the impression material into the expanded crevice. Impression along the subgingival margin is critical to the marginal fit and emergence profile of the prosthesis.2 A bulk of the impression material is required to obtain maximum accuracy and to improve the tear strength of the impression material so it can be removed from the mouth intact with no tearing. The critical sulcular width in this regard seems to be approximately 0.2 mm at the level of the finish line. Control of moisture in the sulcus, particularly when a hydrophobic impression material is used, is also necessary because moisture can cause an incomplete impression of the critical finish line.3 The displacement of the gingiva is also required during the preparation of the tooth cervically and even while placing and finishing the restoration located cervically. This is done to avoid trauma to the periodontal tissue.

The techniques of gingival tissue displacement can be broadly classified as nonsurgical and surgical methods (Table 1). Since surgical methods are usually effective in skilled hands, these techniques are used only by a minority of clinicians in their profession, and even then they are used only as adjuncts to mechanical or mechano-chemical means of gingival displacement. Therefore, the purpose of this article is to describe the different means by which nonsurgical gingival displacement can be achieved effectively under a variety of clinical situations (Table 2).

Retraction Crown/Sleeve

Temporary crown filled with thermoplastic stopping material or bulky temporary cement: In order to displace the gingiva a temporary crown can be adapted to the finish line of the tooth and lined with an excess of temporary stopping material. The crown is then placed on the prepared tooth, and any excess stopping material protruding into the gingival crevice is rounded and smoothened with a hot instrument. In a different method, a custom temporary restoration is placed in which the gingival ends are blunted and covered with bulky temporary cements such as zinc oxide eugenol or non-eugenol-containing periodontal pack. The temporary crown thus fabricated is left in place until the next appointment, at which time the final impression is made.

These methods are no longer practiced since a temporary crown filled with thermoplastic stopping material or temporary cement can cause prolonged or lasting recession if left in place for more than 12 hours. The resulting uncovered neck of the tooth may be sensitive and susceptible to caries. Also, impressions cannot be made the same day as the tooth preparation.4,5

Anatomic compression caps: Anatomically formed compression caps with semicircle spaces on two opposite sides can be easily placed on adjacent teeth. After placement of the adjusted anatomic cap, the patient bites on it and maintains pressure. The cap stops bleeding naturally by compression, opens the sulcus wide, and ensures a dry, clean area with well-defined gingival margin.

Modified Impression Techniques for Gingival Retraction

Copper band impression technique: A copper band can serve as a means of carrying the impression material as well as a mechanism for displacing the gingiva to ensure that the gingival finish line is captured in the impression. One end of the tube is festooned, or trimmed, to follow the contours of the free gingival margin. The tube with the impression material is mechanically carried to the finish line of the preparation and displaces the gingiva to produce an adequate impression. This technique can be used with impression compound and elastomeric impression. If utilized with an elastomeric material, the copper band must be filled with acrylic, fitted to the preparation, and subsequently relieved and vented. An adhesive must also be applied prior to taking the impression. Without the acrylic reinforcement, the band might get distorted during removal. Copper bands are especially useful when multiple preparations are recorded in an elastomeric impression and a localized impression defect has occurred.

The use of a copper band could negate the need to remake an entire full-arch impression just to capture one or two preparations.6 On the basis of wound healing and gingival recession, the metal band with impression material is shown to be better than either surgery or retraction cord. Disadvantages of this technique include the amount of time required to fit and adapt the band, the difficulty in removing the modeling compound-filled band from undercuts, and the trauma to tissue caused by the band itself.4

Temporary acrylic coping: In another technique, a temporary acrylic resin coping is constructed. The inside of this coping is relieved by approximately 1 mm, and a tray adhesive is applied. The temporary coping is then filled with elastomeric impression material and reseated. The tissue is displaced mechanically when the impression material is mechanically forced into the sulcus. A complete arch impression is subsequently made over the coping, and the coping becomes an integral part of the complete arch impression.4 This is a cumbersome technique that is not very popular.

Matrix impression system: A technique called the matrix impression system (MIS) has been described by Livaditis.7 The MIS is done in three steps: 1) a suitable elastomeric semi-rigid material is used initially to form the matrix; 2) a high-viscosity elastomeric impression material that will preferably bond to the matrix-forming material and which is required to make an impression of the preparations in the matrix is used to facilitate displacement of the gingival tissue and effectively flush debris out of the sulcus; and 3) a stock tray with a medium-viscosity elastomeric impression material is used to pick up the matrix impression and the remaining arch not covered by the matrix.7

Modified custom tray technique: In another method, a custom tray is modified by intraoral relining with autopolymerizing resin that is polymerized at 100°C for 5 minutes. Relined areas are refined by trimming excess resin with burs of a known diameter to create a 2-mm clearance for the elastomeric impression material. For areas with subgingival finish lines, only 0.5 mm of resin is removed to direct the elastomer into the gingival sulcus. The procedure is said to be time-saving because it reduces the need for a retraction cord and minimizes inaccuracies that would necessitate another impression.8

Mechanical Retractor

Gingival protector: A gingival protector can be used to displace soft tissue to protect gingiva from rotary instruments during tooth preparation and finishing (Figure 1). A unit is available that features a crescent-shaped tip on an adjustable ball-joint attached to a metal handle. The tip can be rotated to an angle that precisely matches the tooth's facial surface, thereby achieving gingival fit. Such protectors can be used for veneer preparations, finishing porcelain or resin veneer margins, cervical (facial) subgingival caries, and removal and checking marginal fit of crowns. Autoclavable metal protector tips prevent cross-contamination.

Matrices and wedges: Wooden wedges can be placed interproximally to mechanically depress the gingiva, thus providing retraction. Matrices with gingival extension can also displace the gingival tissue when placing interproximal restorations.

Rubber dam: Heavy, extra heavy and special heavy gauges of rubber dam with proper interseptal dimensions can be used when a limited number of teeth in one quadrant are being restored and in situations where the preparations do not extend very far subgingivally. The use of rubber dam is valuable during the preparation of a tooth cervically and also when placing, finishing, and polishing cervical restorations on the buccal/lingual aspect. Inversion of the rubber dam will also aid in gingival displacement. For extra retraction a Ferrier 212 clamp (cervical clamp) can be used (Figure 2 , Figure 3 and Figure 4). Use of the rubber dam helps not only in preparing the tooth but also when making the impression. Impressions can be taken with modified trays with the rubber dam on if the bows and wings of the clamp are blocked out.

This procedure, however, is very tedious, and complete arch impressions are not compatible with the technique.4 The sulfide compounds utilized in the manufacturing of latex can inhibit the polymerization of polyvinyl siloxane (PVS) impression material. Hence, rubber dam should be avoided when this material is used.6

Retraction Cords

Plain retraction cords can be gently forced into the gingival sulcus to displace the gingiva laterally from the tooth. Cords can be fabricated from cotton yarn or purchased commercially in a variety of forms. Retraction cords are supplied as twisted/braided/knitted cord. Desirable qualities of a cord are that it is:9 dark in color, to maximize contrast with the tissues, tooth, and cord; absorbent, to allow the uptake of the liquid medicaments; and available in different diameters to accommodate the varying morphologies of the gingival sulcus. Unfortunately, their effectiveness is limited because the use of pressure alone often will not control sulcular hemorrhage. Pre-impregnating and/or soaking a cord with a hemostatic can control the sulcular hemorrhage and improve its tissue retraction qualities. The chemicals used along with retraction cords (gingival displacement medicaments) can be broadly classified into vasoconstrictors and astringents.10

Vasoconstrictors

Epinephrine: The vasoconstrictor used is typically epinephrine in the racemic form. Endogenous epinephrine is the l-form, whereas the racemic form contains equal amounts of d- and l-form. The overall activity of the racemic epinephrine is about one-half of that of endogenous epinephrine. The epinephrine is used in the concentration of 0.1% and 8%. There is some debate regarding the use of epinephrine for gingival retraction. The local use of epinephrine as a gingival displacement medicament can be absorbed into the systemic circulation and, consequently, affect the cardiovascular system.10 Epinephrine-impregnated retraction cords contain 0.2 mg to 1 mg of racemic epinephrine per inch of cord depending on the diameter and the brand. One inch of the retraction cord with 0.2 mg of racemic epinephrine is capable of exposing the patient to the maximum dose of 0.2 mg (200 µg) for a healthy adult and nearly five times the recommended amount of 0.04 mg (40 µg) for a cardiac patient.11 The amount absorbed depends on its concentration in the cord, length of cord used, amount of vascular bed exposed, and duration of the cord application.10 The possible cumulative effect of epinephrine from cord combined with epinephrine from other sources (epinephrine administered in the local anesthetic and endogenous epinephrine that may be secreted by the patient in reaction to stress associated with dental procedures) must also be considered.11

For patients with cardiovascular disease, hypertension, diabetes, hyperthyroidism, or known hypersensitivity to epinephrine, a cord impregnated with some other agent must be substituted. Epinephrine should also not be used on patients taking monoamine oxidase or tricyclic antidepressants, rauwolfia compounds, ganglionic blockers, or cocaine. Patients without the aforementioned contraindications can also exhibit "epinephrine syndrome" (tachycardia, rapid respiration, elevated blood pressure, anxiety, and postoperative depression). Clinicians should avoid using epinephrine for gingival displacement because of the significant number of contraindications for its use.

Sympathomimetic amine: Several sympathomimetic amines capable of producing local vasoconstriction with minimal systemic side effects are available as nonprescription nasal and ophthalmic decongestants. These include tetrahydrozoline HCl, 0.05%; oxymetazoline, 0.05%; and phenylephrine HCl, 0.25%. Retraction cord can be dipped in these prescriptions to assist in hemostasis.12 Newer hemostatic agents such as the tetrahydrozolines and oxymetazolines have a more acceptable pH and are thought to be kinder to the tooth structure and soft tissues than the conventional solutions.13

Astringents

Astringents act primarily by precipitation of protein and inhibiting transcapillary movement of plasma proteins. They have relatively low cell permeability and act generally as irritants in moderate concentrations and as caustics in higher concentrations. The astringents used in gingival displacement are as follows:

Aluminum sulfate compounds (aluminum potassium sulfate [Alum] and aluminum sulfate): Alum in 100% concentration has been shown to be only slightly less effective in shrinking the gingival tissues than epinephrine, and it shows good tissue response.14 Alum is safer and has fewer systemic effects than epinephrine and, therefore, has been recommended for use in place of epinephrine. Cords saturated with 100% alum can be safely left in the sulcus for as long as 20 minutes without any adverse effect.4

Aluminum sulfate, which differs from alum, has been suggested as a gingival retraction material. The available data indicate that the material is effective and biologically acceptable.15 A practical concern is that, like most sulfates, aluminum sulfate compounds can inhibit/retard the setting reaction of additional reaction impression materials.16

Aluminum chloride: Aluminum chloride is one of the most commonly used astringents.17 The actions of aluminum chloride result from its ability to precipitate protein, constrict blood vessels, and extract fluid from tissues.18 It is used in the concentration of 5% to 25%. Studies have shown that solutions stronger than 10% can cause local tissue destruction. A 10-minute application is usually sufficient.4 Aluminum chloride is the least irritating of the medicaments used for impregnating retraction cords, but it is shown to disturb the setting of PVS impression materials.19 The inhibitory effect can be greatly reduced by thoroughly rinsing the preparation with water after the treated cord is removed.

Ferric sulfate: Ferric sulfate provides good hemostasis on exposed connective tissue. This astringent is provided in solution form only, generally in the concentration of 13% to 20%. Solutions of ferric sulfate above 15% are very acidic and can cause significant tissue irritation and postoperative root sensitivity. The recommended packing time for cord dipped in ferric sulfate solution is 1 to 3 minutes. When tissues are hemorrhaging, the solution should be rubbed into the bleeding areas with an applicator (dento-infusor) or a soaked cotton pellet. Ferric sulfate can modify the accuracy of surface detail reproduction during impressions because it disturbs the setting reaction of polyvinyl siloxanes. Therefore, all traces of medicament should be carefully removed from the tissues before the impressions are recorded.19 Due to its iron content, ferric sulfate stains gingival tissues a yellow-brown to black color for several days after being used as a retraction agent.20 The esthetics of the anterior all-ceramic crowns may also be compromised due to the use of ferric sulfate since it has shown to produce internalized discoloration of the tooth structure.21

The acidity of the commonly used gingival displacement medicaments are high, with pH ranging from 1 to 3.13,22,23 This could result in the removal of the smear layer and can negatively affect the bonding mechanism of the self-etch dentin bonding systems.24 The removal of smear layer could also cause the opening up of the dentinal tubules cervically and cause dentinal hypersensitivity.23

Many different instruments are available for placing cord in the gingival sulcus. Some are purpose-designed packing devices with smooth, nonserrated circular heads that can be used to place and compress twisted cord with a sliding motion. Other devices have serrated circular heads for use with braided cords. The thin edges of these serrated circular heads sink into the braided cord, and the fine serrations keep it from slipping off and cutting the gingival attachment.20 The instrument design used is a matter of the dentist's individual preference.

Techniques for Retraction Cord Placement

Two procedures for placing the retraction cord are the single-cord and double-cord techniques. The technique used is based on the clinical situation.3

The single-cord technique is indicated when making impressions of one to three prepared teeth with healthy gingival tissues, especially when the prepared margins are at or above the tissue. In this technique, a single cord is placed in the sulcus and removed before the impression is taken. This provides displacement about the width of the cord. In a deep sulcus, however, the tissue can collapse over the top of the cord, restricting access of the impression material to the retracted sulcus. This often causes the impression material to tear on removal. Even when tearing does not occur, impression material near the most critical margins will be extremely thin and easy to deform. Though commonly practiced, this technique is often unsatisfactory.

The double-cord technique can be used with single or multiple preparations. It is especially useful for making impressions when tissue health is compromised and the procedure absolutely cannot be delayed. The double-cord technique, which some clinicians use routinely for all impressions, employs two cords, one placed above the other. A thin cord such as silk suture or #000 retraction cord is first packed under the preparation margin to control gingival seepage and hemorrhage. This cord is typically left in place for the impression. The second, larger cord is impregnated with hemostatic agent and placed above the first cord for a minimum of 4 minutes and removed before the impression is taken, Figure 5, Figure 6, Figure 7, Figure 8 and Figure 9). The principal advantage of this technique is that the first cord remains in place within the sulcus, thus reducing the tendency of the gingival cuff to recoil and displace partially set impression material. This approach not only helps to control gingival hemorrhage and exudates but also overcomes the problem of the sulcus impression tearing because of inadequate bulk.25 Another advantage of the double-cord technique is that the first cord acts as a sulcus liner, preventing tearing of the epithelium and subsequent bleeding. The main disadvantage of this technique, however, is that failure to remove the first cord can cause gingival inflammation. Also, if the deeper cord is left in place the impression material may stick to it and cause the impression to tear upon removal.

Use of retraction cord, which can be laborious and time-consuming, must be done carefully as gingival bleeding may occur. It can also be uncomfortable for patients in the absence of anesthesia, and when inappropriately manipulated it can lead to direct injury and gingival recession.26 Clinicians should be cautious when using retraction cords around implants since the junctional epithelium that surrounds an implant is not as adherent, is more permeable, and has a lower regenerative capacity than the junctional epithelium around teeth.20 The artifacts caused by retraction cord fibers that may remain in the sulcus can also affect the accuracy of optical impressions used for CAD/CAM prostheses.27 To overcome these problems, new products and techniques have been introduced into the market.

Retraction Strip

New retraction strips have been proposed for use in dentistry to displace gingival tissue prior to impression-making without damaging the tissue. The synthetic retraction material is chemically extracted from a biocompatible polymer (hydroxylate polyvinyl acetate) that creates net-like strips without debris or fragments. The material, which can be easily shaped and adapted into the sulcus without local anesthesia, is highly effective for absorption of intraoral fluids such as blood, saliva, and crevicular fluid.28 Once inserted around the tooth, the sponge-like strips expand with absorption of fluids and exert pressure on gingival tissues to cause displacement.3 Though time-consuming, this technique has shown to be suitable for the displacement of gingival tissue and to provide a readable impression that is gentle to the periodontium.29

Retraction Paste

Use of cordless retraction materials has gradually made impregnated retraction cords less competitive. Available in a paste-like form and supplied with a specialized dispenser, cordless retraction materials displace the gingiva when injected into the sulcus. Because of the passive technique used to place these pastes, they are significantly less traumatic to the tissue than conventional retraction cord.30 Hence, they are preferred for gingival tissue displacement, especially around cement-retained implant prostheses.20 These materials are also preferred when taking a digital impression for CAD/CAM prostheses since the artifacts caused by retraction cord fibers can be avoided.27

The amount of retraction offered by these pastes is limited, especially with extremely subgingival margins.20 The high cost of retraction pastes, commercially available with or without hemostatic agents, has also prevented them from becoming a mainstream commodity.

Retraction paste with hemostatic agent: There are a number of retraction paste products available with hemostatic agents. One such product is an injectable viscous paste that depends on the hemostatic properties of aluminum chloride and the hygroscopic expansion of kaolin upon contact with the crevicular fluid to provide mild displacement of the gingiva in about 2 minutes. Retraction paste products contain as much as 15% aluminum chloride, which may be hazardous to the gingival tissue.26 The viscosity of an injectable matrix may not be enough to provide sufficient displacement for deeper subgingival preparations, and aluminum chloride can inhibit the set of polyether and PVS materials if clinicians do not rinse it away properly before making impressions.20

Another product is a cordless gingival displacement system that utilizes the patient's bite pressure via a preformed matrix for single-tooth or a custom-made matrix for multiple teeth preparations. The bite pressure pushes the hydrophilic silicone retraction paste to gently retract the gingiva with no tissue damage. The retraction paste also contains a mild, natural astringent to control the seepage of fluid.

Retraction paste without hemostatic agent: There are also various retraction paste products available without hemostatic agents. For example, one PVS material used for gingival displacement generates hydrogen to cause expansion of the material against the sulcus walls during setting. The product is syringed around the preparation margins of the abutment teeth and maintained under pressure using a compression cap for 5 minutes before impression taking. The manufacturer has reported such benefits as gentle placement without the need for local anesthetic, good product visibility in the sulcus due to its bright color, ease of removal, and minimal rinsing of residue. However, since there is no hemostatic agent, hemostasis should be achieved in all cases before using this technique. It is also less effective in cases of teeth with subgingival margins.29

Another type of product in this category is an injection-type retraction material that contains no aluminum chloride. It has shown to produce satisfactory gingival displacement without the drawbacks of pain and gingival recession.31

Conclusion

A healthy coexistence between restorations and their surrounding periodontal structures should be the goal of a diligent dentist. Several techniques have proven to be relatively predictable, safe, and efficacious in the management of the gingival tissue in restorative dentistry. No scientific evidence has established the superiority of one technique over the other. The selection of any one of the various methods of soft-tissue management to control the operative site depends on the clinical situation and the preference of the operator.

References

1. Padbury A Jr, Eber R, Wang HL. Interactions between the gingiva and the margin of restorations. J Clin Periodontol. 2003;30(5):379-385.

2. Al Hamad KQ, Azar WZ, Alwaeli HA, Said KN. A clinical study on the effects of cordless and conventional retraction techniques on the gingival and periodontal health. J Clin Periodontol. 2008;35(12):1053-1058.

3. Donovan TE, Chee WW. Current concepts in gingival displacement. Dent Clin North Am. 2004;48(2):433-444.

4. Benson BW, Bomberg TJ, Hatch RA, Hoffman W Jr. Tissue displacement methods in fixed prosthodontics. J Prosthet Dent. 1986;55(2):175-181.

5. Marzouk MA, Simonton AL, Gross RD. Operative Dentistry: Modern Theory and Practice. 1st ed. St. Louis, MO: Ishiyaku EuroAmerica, Inc; 1985:345-348.

6. Shillingburg HT Jr, Hobo S, Whitsett LD, et al. Fundamentals of Fixed Prosthodontics. 3rd ed. Chicago, IL: Quintessence Publishing; 1997:257-279.

7. Livaditis GJ. The matrix impression system for fixed prosthodontics. J Prosthet Dent. 1998;79(2):208-216.

8. Ortensi L, Strocchi ML. Modified custom tray. J Prosthet Dent. 2000;84(2):237-240.

9. Nemetz H, Donovan T, Landesman H. Exposing the gingival margin: a systematic approach for the control of hemorrhage. J Prosthet Dent. 1984;51(5):647-651.

10. Tyas M. Cotton pellets and gingival retraction cords. Clinical notes No. 2. Aust Dent J. 1984;29(4):279.

11. Donovan TE, Gandara BK, Nemetz H. Review and survey of medicaments used with gingival retraction cords. J Prosthet Dent. 1985;53(4):525-531.

12. Bowles WH, Tardy SJ, Vahadi A. Evaluation of new gingival retraction agents. J Dent Res. 1991;70(11):1447-1449.

13. Woody RD, Miller A, Staffanou RS. Review of the pH of hemostatic agents used in tissue displacement. J Prosthet Dent. 1993;70(2):191-192.

14. de Gennaro GG, Landesman HM, Calhoun JE, Martinoff JT. A comparison of gingival inflammation related to retraction cords. J Prosthet Dent. 1982;47(4):384-386.

15. Weir DJ, Williams BH. Clinical effectiveness of mechanical-chemical tissue displacement methods. J Prosthet Dent. 1984;51(3):326-329.

16. Shen C. Impression materials. In: Anusavice KJ, ed. Phillips' Science of Dental Materials. 11th ed. St. Louis, MO: Saunders; 2003:205-254.

17. Hansen PA, Tira DE, Barlow J. Current methods of finish-line exposure by practicing prosthodontists. J Prosthodont. 1999;8(3):163-170.

18. Dental product spotlight: gingival retraction cord. J Am Dent Assoc. 2002;133(5):652-653.

19. O'Mahony A, Spencer P, Williams K, Corcoran J. Effect of 3 medicaments on the dimensional accuracy and surface detail reproduction of polyvinyl siloxane impressions. Quintessence Int. 2000;31(3):201-206.

20. Bennani V, Schwass D, Chandler N. Gingival retraction techniques for implants versus teeth: current status. J Am Dent Assoc. 2008;139(10):1354-1363.

21. Conrad HJ, Holtan JR. Internalized discoloration of dentin under porcelain crowns: a clinical report. J Prosthet Dent. 2009;101(3):153-157.

22. Land MF, Rosenstiel SF, Sandrik JL. Disturbance of the dentinal smear layer by acidic hemostatic agents. J Prosthet Dent. 1994;72(1): 4-7.

23. Land MF, Couri CC, Johnston WM. Smear layer instability caused by hemostatic agents. J Prosthet Dent. 1996;76(5):477-482.

24. Kuphasuk W, Harnirattisai C, Senawongse P, Tagami J. Bond strengths of two adhesive systems to dentin contaminated with a hemostatic agent. Oper Dent. 2007;32(4):399-405.

25. Wassell RW, Barker D, Walls AW. Crowns and other extra-coronal restorations: impression materials and technique. Br Dent J. 2002;192(12):679-90.

26. Al Hamad KQ, Azar WZ, Alwaeli HA, Said KN. A clinical study on the effects of cordless and conventional retraction techniques on the gingival and periodontal health. J Clin Periodontol. 2008;35(12):1053-1058.

27. Masek R. Margin isolation for optical impressions and adhesion. Int J Comput Dent. 2005;8(1):69-76.

28. Ferrari M, Cagidiaco MC, Ercoli C. Tissue management with a new gingival retraction material: a preliminary clinical report. J Prosthet Dent. 1996;75(3):242-247.

29. Beier US, Kranewitter R, Dumfahrt H. Quality of impressions after use of Magic FoamCord gingival retraction system—a clinical study of 269 abutment teeth. Int J Prosthodont. 2009;22(2):143-147.

30. Phatale S, Marawar PP, Byakod G, et al. Effect of retraction materials on gingival health: A histopathological study. J Indian Soc Periodontol. 2010;14(1):35-39.

31. Yang JC, Tsai CM, Chen MS, et al. Clinical study of a newly developed injection-type gingival retraction material. Chin Dent J. 2005;24(3):147-51.

About the Authors

Manuel S. Thomas, MDS
Assistant Professor, Department of Conservative Dentistry and Endodontics
Manipal College of Dental Sciences
Manipal University
Mangalore, India

Robin Mathai Joseph, MDS
Former Post Graduate
Department of Prosthodontics
Manipal College of Dental Sciences
Manipal University
Manipal, India

Registrar Prosthodontist
Armed Forces Southern Region
King Faisal Military Hospital
Kingdom of Saudi Arabia

Abhishek Parolia, MDS
Assistant Professor
Department of Conservative Dentistry and Endodontics
Manipal College of Dental Sciences
Manipal University
Mangalore, India

Table 1

Table 1

Table 2

Table 2

Figure 1  Use of gingival protector during the finishing of a cervical restoration to prevent trauma to the gingiva.

Figure 1

Figure 2  Caries extending cervically on upper right incisors.

Figure 2

Figure 3  Placement of rubber dam with application of cervical clamp on central incisor for extra retraction.

Figure 3

Figure 4  Final composite restorations with respect to upper right incisors.

Figure 4

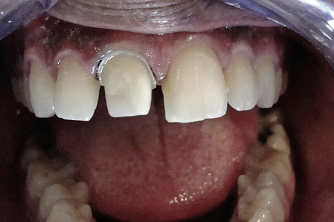
Figure 5  Finish line at the crest of the free gingiva.

Figure 5

Figure 6  Small-diameter cord is first placed in the sulcus.

Figure 6

Figure 7  Large-diameter cord is placed; half its thickness is above small-diameter cord.

Figure 7

Figure 8  Small-diameter cord is left in the sulcus once the larger diameter cord is moistened and removed after 8 to 10 minutes.

Figure 8

Figure 9: Finish line is accurately captured in the elastomeric impression.

Figure 9

CREDITS: 0
COST: $0
PROVIDER: Conexiant Education
SOURCE: Parkell Online Learning Center | October 2013
COMMERCIAL SUPPORTER: Parkell

Learning Objectives:

  • enumerate the various methods of gingival tissue displacement
  • list the advantages and disadvantages of various nonsurgical gingival displacement methods
  • choose the appropriate method of gingival tissue displacement as the clinical situation demands

Disclosures:

The author reports no conflicts of interest associated with this work.

Queries for the author may be directed to justin.romano@broadcastmed.com.