CDEWorld > Courses > Temporization Simplified

CE Information & Quiz

Temporization Simplified

Leendert (Len) Boksman DDS, BSc; and Gregg Tousignant, CDT

January/February 2011 Issue - Expires Friday, January 31st, 2014

Inside Dental Assisting

Abstract

More and more often, the fabrication of temporary restorations has been delegated to auxiliary personnel in many dental practices because, for many dentists, this process is more efficiently managed by dental assistants or expanded-duty dental assistants. In many busy practices, provisionalization is squeezed into the little time remaining at the end of a crown-and-bridge appointment,1 which can create frustration and anxiety if the method used is not predictable, is overly time intensive, or the resulting temporary restoration(s) requires a lot of trimming, fitting, and occlusal adjustment before or at insertion. Creating a temporary restoration that meets the required intraoral criteria, and doing so simply, is the focus of this article.

You must be signed in to read the rest of this article.

Login Sign Up

Registration on CDEWorld is free. Sign up today!
Forgot your password? Click Here!

A predictable provisionalization technique that will increase a dental assistant’s production as well as ensure a positive outcome for the patient.

The temporary restoration or provisional is not just something to occupy the space until the final prosthesis is delivered. The provisional restoration must be esthetic,2 maintain the position of the prepared tooth (teeth) in the arch, and must maintain the position of the adjacent teeth and occluding teeth at the same time, so that the occlusion and interproximal contacts are maintained from the position of the final impression to ensure accurate fit and seating of the final prosthesis.3,4 If the prepared tooth is allowed to move, the final prosthesis may require an inordinate amount of time to adjust or seat, or this movement may necessitate a new impression and remake. The provisional must be strong enough to last over the anticipated time of temporization and the material used should not adversely affect the pulp or dentinal tissue. The remaining cut tooth structure, which usually involves cut dentin, must not only be protected from temperature changes

and sensitivity, but also from the oral environment and possible bacterial contamination.5 It must be covered by a temporary cement that will not affect final cementation or bonding,6 will impede bacterial invasion,4 hold the provisional reliably (yet is easy to remove), and if possible, soothe the tooth.

In most instances, the gingival tissues need to be supported in their original position or modified in contour, and must recuperate from tissue retraction and irritation with a physiologically contoured temporary that does not create either under- or over-contour, does not have open margins or contacts, is not porous, rough, or allow plaque accumulation,7,8 nor allows temporary cement washout, all of which can create inflammation and bleeding when the temporary is removed.9 Lack of tissue health and an unhealthy periodontal complex can seriously complicate any adhesive bonding technique, especially if a hemostatic agent is used, many of which have been shown to reduce bond strengths for adhesively luted restorations.10

Choices of Temporary Materials

Many provisional materials are available to the dental assistant. Preformed crowns of polycarbonate, aluminum, and nickel chrome, even when they are available in multiple sizes, are time consuming and difficult to adapt not only to the interproximal contacts, but also to the occlusion and gingival margins. This can result in many clinical complications when attempting to seat the crown-and bridge-prosthesis.11 They may be lined with various resins for better adaptation, but their use is limited. Preformed crown forms or celluloid shells that can be filled with tooth-colored temporary materials inevitably need major contouring of the cavosurface margins, adjustment or addition of interproximal contacts due to the thickness of the crown form, and need more occlusal adjustment than temporaries made from matrices.

Various types of resins are extensively used in the fabrication of single- or multiple-unit provisionals. Polymethyl methacrylates (self- or heat-cured), such as Jet™ (Lang Dental, www.langdentalmanufacturing.com), ALIKE™ (GC America, www.gcamerica.com), and Trim Plus (Harry J. Bosworth Co, www.bosworth.com) have a high exothermic reaction,12 high shrinkage resulting in fair marginal adaptation, good color stability, and sometimes residual-free monomer that can damage the pulp. Polyethyl methacrylates such as Snap™ (Parkell, www.parkell.com) or Trim (Harry J Bosworth Company) shrink less, and have less of an exotherm but have less strength, less fracture toughness, less color stability, and are not as durable.13 Protemp™ Crowns (3M ESPE, www.3mespe.com) are a bis-GMA light-cured composite that come in single units, are adaptable, have a single shade only, have good wear resistance and good polishability, but because of their single shade are somewhat limited unless one is prepared to custom stain. Most temporary materials currently in use by the general practitioner fall under the grouping of bis-acryl composites and include Temptation® NOW (Clinician’s Choice, www.clinicianschoice.com), Luxatemp® (DMG America, www.dmg-dental.com), Protemp™ II (3M ESPE), Integrity® (DENTSPLY Caulk, www.dentsply.com), and Structur® (VOCO America, www.vocoamerica.com). These materials show a low exothermic reaction, are easy to work with intraorally, have low shrinkage resulting in a better marginal fit, have good abrasion resistance especially when a glaze is applied, come in multiple shades, can be added to with a flowable composite (margins, contacts, occlusion), and have reasonable esthetics with color stability.14,15 They can be brittle when overly thin (some are designed with more flex for longer-span provisionals), can have an oxygen-inhibited layer on the surface which must be removed with alcohol,16 tend to feel somewhat porous or rough to a patient’s tongue if not polished or surface-treated with a glaze, and are more expensive than PMMA and PEMA. The simplification of the technique described below will use a bis-acryl self-cure composite.

Methods of Fabrication

Many dentists and dental assistants prefer the use of matrices for the fabrication of provisional restorations because they can easily be created intraorally from the existing dentition, can easily be created intraorally for simple bridges if a single tooth is missing, or, in more complex restorative cases, they can transfer data accurately from esthetic or functional mock-ups.1 The use of an alginate impression matrix has the limitation of one-time use only (what happens if a temporary fractures later?). Alginate is not dimensionally stable because of syneresis and can imbibe water when wrapped, thus creating distortion.17

The use of a softened hard-pink base-plate wax impression as a matrix has been described,11 but because of the difficulty in stability, adapting the temporary gingivally and interproximally, and finishing and trimming is much more time consuming than other methods. The creation of a suck-down matrix necessitates the taking of an impression, pouring up the model, waiting for it to set, trimming the model, heating the matrix material, adapting it to the model, separation and trimming of the matrix material, clean-up of the trays, and laboratory sterilization of the trays used, and the use of valuable dental assistant time. The accuracy of this suck-down matrix is limited by the accuracy and flow of the alginate impression, which is variable depending on the water-to-powder mix and the water temperature used, and it is nearly impossible to get adaptation of the plastic matrix to the occlusal surfaces, which then necessitates occlusal adjustment. Many times, the taking of these impressions needlessly ties up chairtime and because the majority of crown-and-bridge work performed involves single units,18 study models for these cases are not necessary and the direct matrix technique is more practical and economical.19

However, a suck-down clear matrix is a good adjunct when doing major restorative work using esthetic wax-ups. A putty matrix, which can take a relatively long time to set, may not have the flow necessary to accurately capture the detail of occlusal surfaces, or to accurately pick up gingival contour and interproximal surfaces, so that temporaries fabricated from these types of matrices often need extensive trimming and adjustment. Bite registration materials, which can be silica-filled, are designed to be stiff and have no “bounce” to allow for accurate articulation of models, and thus as a matrix material lack the flex needed to be easily removed from interproximal areas. Polyvinyl substitutes for alginate, such as CounterFIT™ (Clinician’s Choice), Position™ Penta™ Quick (3M ESPE), AlgiNot® (Kerr Corporation, www.kerrdental.com), StatusBlue® (DMG America), or Silgimix™ (Sultan Healthcare, www.sultanhealthcare.com) can be used as a matrix in an impression tray. These alginate substitutes are essentially low-cost polyvinyl siloxanes and have the benefit of good flow, excellent detail reproduction, and the ability to be re-used because of their long-term stability.17 They can take 3 to 4 minutes to polymerize and the cost for creating a single-unit temporary can be minimized by using a sectional tray rather than taking a full-arch impression. Regular polyvinyl siloxane (PVS) materials, such as Affinity™ (Clinician’s Choice), Aquasil™ (DENTSPLY Caulk), and Imprint™ 2 (3M ESPE), which can be either clear or colored opaque formulations, have excellent flow, stability, dimensional accuracy, flex to aid in removal, and have multiple variations in working and setting times. The benefits of using a very fast-set (30 seconds) PVS material and disposable tray that is specifically designed and formulated for the fabrication of provisionals will now be discussed.

Temporization Simplified

When fabricating a matrix for a temporary restoration, the tray you choose can be a major factor in whether the procedure is a success or failure. The tray has to be customizable, be able to be used in all four quadrants and the anterior sextants, must not distort like some plastic trays will, and be cost-effective. There are several high-quality metal trays on the market, including President Tray (Coltene/Whaledent, www.coltène.com) and Spacer Trays (GC America). The metal TempTray™ (Clinician’s Choice) is designed to be a customizable, distortion-free, and disposable temporary tray. When used as a posterior matrix tray, the handle that is facing the retro-molar area is bent over on top of the tray so as not to impinge on the tissue, and the anterior is bent at a 45° angle to facilitate insertion, providing a convenient handle. When used anteriorly, the lingual wall is bent slightly toward the palate and both ends are bent at 45° angles to provide a handle on both ends.

In the author’s opinion, one material that makes this technique so user-friendly is Template® (Clinician’s Choice), which is an ultra-quick-set PVS matrix material that provides good flow for superior detail and accuracy. Template sets in 30 seconds, flows well into the embrasure areas and into the finest morphology, minimizing flash, and yet, when cured, it will release easily. As a PVS it will maintain its form and accuracy indefinitely, which allows for it to be re-used if the patient should fracture or lose their temporary restoration. It is the only material in this category that has a 30-second intraoral set time. There are other materials with a longer setting time that can be used for fabricating provisionals, including TempSpan Clear Matrix (Pentron Clinical Technologies, www.pentron.com); Star VPS Clear Bite (Danville, www.danvillematerials.com); and Memosil 2 (Heraeus, www.heraeus-dental-us.com).

While the practitioner is waiting for anesthesia to take effect, the Template is injected into the TempTray (after dispensing a small portion on a pad which may not be mixed completely), quickly inserted over the tooth to be restored, and then removed after 30 seconds (Figure 2');" rel="imagepop" rem="#ip:figure1 and Figure 2">Figure 1 and Figure 2). The mixing tip is left on until the next use so as not to cross-contaminate the ports of the cartridge. Study casts do not need to be taken to fabricate this matrix, and even if the tooth to be restored is somewhat broken down, this bis-acryl temporary material can be added to with a flowable composite resin after the temporary is fabricated. This modification can easily add contour, add interproximal and occlusal contact points, and minimize gingival discrepancies.

As some bis-acryls can shrink by over 4%, it is an advisable technique to try in the temporary before cementation and assess the gingival adaptation. If there is any discrepancy, a small amount of flowable composite can be injected over the margins, the bis-acryl temporary seated, the excess flowable brushed over the provisional, light-cured, and the provisional then removed. This recapitulation step significantly decreases the marginal gap, decreasing the amount of temporary cement that is exposed for potential wash out, and increases gingival health. Also check the contact areas between the teeth with floss before cementation, and if the contact is open or light, add a small drop of flowable composite to the contact area, insert the temporary, light-cure, and the contact will be re-adapted properly. Some excess may need to be polished if the contour is rough.

Interproximally, especially if there is any malalignment or drifting of teeth, an undercut can often exist that can trap the temporary and make it difficult, if not impossible to remove, once the bis-acryl is completely set. OraSeal® Putty or OraSeal® Caulking (Ultradent Products, www.ultradent.com) is a cellulose material that sticks to wet teeth, is easily placed into the undercuts, and can be simply shaped with a plastic instrument to eliminate the undercut. This makes removal of the temporary much more predictable. It does not harden and can be removed with a plastic instrument and water after the temporary is fabricated.

Never use a petroleum jelly lubricant on the teeth as has been recommended;5 because petroleum-based products are almost impossible to remove. The remnants can lead to premature loss of the temporary, and can affect final bond or cementation strength. If the dental assistant wants to use a lubricant, a water-soluble lubricant is recommended.

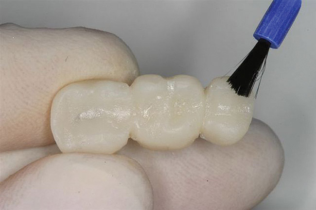
After dispensing a pea-sized amount on a mixing pad or 2X2 (the first amount may not be mixed completely) a fast-setting bis-acryl (the author used TemptationNOW for demonstration purposes) is injected into the matrix (Figure 3) and re-seated over the final preparation (Figure 4). With an initial cure (mouth removal time) of 45 seconds to 1 minute and a complete cure in 4.5 minutes, the overall temporization procedure time is reduced, and it allows for trimming earlier. The amount of bis-acryl injected into the matrix depends on where the gingival margin of the preparation is placed. As a general rule, if the gingival margin of the crown preparation is at the gingival tissues, fill the matrix slightly less than two thirds, and if subgingival, to the gingival margin of the matrix. If the matrix is overfilled, it may not seat completely, resulting in a high occlusion. It is better to under fill than overfill, as it is easier to add to the gingival than to correct a high occlusion. If the assistant wants to guarantee that this does not occur, a small triangular vent can be cut into the matrix material with a #15 Bard Parker blade leading from the gingival margin out through the bottom of the matrix, creating a spillway for the excess. Figure 5 shows the interior and margins of the temporary created for this clinical case. Figure 6 and Figure 7 show a temporary from another patient demonstrating the small amount of gingival flash that is routinely created with this technique. This minimizes the amount of finishing required, as compared to many other temporization techniques. The small amount of flash can be removed with a disc (Figure 8), but the author finds that pointed trimmers are faster, easier to use, and to control (Figure 9).

Because bis-acryls are somewhat rough and tend to wear if left for any protracted amount of time, a glaze is placed over the temporary material (Figure 10) (Glisten™, Clinician’s Choice; PermaSeal, Ultradent Products; BisCover™ LV, Bisco, www.bisco.com; DuraFinish™, Parkell; G-COAT™ Plus, GC America; Lasting Touch®, DENTSPLY Caulk). This application of the glaze totally eliminates the need for any polishing, thereby significantly decreasing procedure time, and creates a smoother surface for the patient’s tongue, as well as increases wear resistance. Because the temporary is now smooth and non-porous, the temporary cement (such as Cling2®, Clinician’s Choice; TempBond®, Kerr Corporation; TempoSIL, Coltène/Whaledent; TempCEM NE and ZONE, DUX Dental, www.duxdental.com; and UltraTemp, Ultradent Products) is much easier to remove as it does not stick to the provisional (Figure 11). Cling2 is a resin-optimized non-eugenol temporary cement with a unique polycarboxylate resin that optimizes adhesion, soothes the tooth, is bacteriostatic, and provides an excellent seal to promote tissue health.

It is important to note that many clear composites, glazes, or lighter composite shades may not use a camphorquinone photocatalyst because it imparts a yellowish or orange hue, and it is critical to use a broad-spectrum light like the VALO™ (Ultradent Products) or bluephase® 20i (Ivoclar Vivadent, www.ivoclarvivadent.us) that cures all photo-initiators and composites.

When a tooth is missing in the arch, keep a few sets of denture teeth in the office (Figure 12), and by using red rope wax, a tooth that fits the space can be molded into position. This can be done directly in the mouth for a single missing tooth to create a bridge matrix or, if preferred, on a model as shown in Figure 13 and Figure 14. The metal tray and impression material are then used to create an instant matrix for a simple case of a missing tooth when a bridge is indicated (Figure 15 and Figure 16 ).

For those extensive restorative cases where a diagnostic and/or treatment wax-up is fabricated (Figure 17 and Figure 18 ), this same technique can be used to create a matrix for sectional provisionalization of the patient. The TempTray and Template are used to impress the mock-up (Figure 19), removed (Figure 20), loaded with bis-acryl, and re-inserted over the prepared teeth to create a provisional that needs little contouring and finishing ( Figure 20 and Figure 21). After application of the glaze (Figure 23), the temporary is inserted with temporary cement, the excess removed, and the occlusion verified (Figure 24).

Conclusion

This article has outlined a user-friendly, predictable, and less time-consuming temporization method. The benefits of using a highly accurate, quick-setting specialized PVS matrix material and its adjustable tray, with a fast setting bis-acryl temporary material and glaze, should eliminate much of the frustration and time required to create a provisional prosthesis that meets all the required criteria for a good temporary.

Disclosure

Dr. Boksman is a part-time paid consultant to Clinical Research Dental and Clinician’s Choice. Mr. Tousignant is an employee of Clinical Research Dental.

References

1. Avery DR. Technical importance of properly fabricated fixed prosthodontic provisional restorations. Contemporary Dental Assisting. 2005;Sept:32-33.

2. Spear F. An interdisciplinary approach to the use of long-term temporary restorations. J Am Dent Assoc. 2009;140:1418-1424.

3. Strassler HE. In-office provisional restorative materials for fixed prosthodontics: part 1 – polymeric resin provisional materials. Inside Dentistry. Sept 2009;5(8):70-74.

4. Strupp Jr WC.Provisional materials. Compendium. 2010;31(2):166-169.

5. Edwards DE. Temporary crowns materials and techniques. Contemporary Dental Assisting. 2007;Nov/Dec:34-39.

6. Carvalho CN, de Oliveria Bauer JR, Loguercio AD. Effect of ZOE temporary restoration on resin-dentin bond strength using different adhesive strategies. J Esthet Restor Dent. 2007;19(3):144-153.

7. Buergers R, Rosentritt M, Handel G. Bacterial adhesion of Streptococcus mutans to provisional fixed prosthodontic material. J Prosthet Dent. 2007;98:461-469.

8. Maalhagh-Fard A, Wagner WC, Pink FE, Neme AM. Evaluation of surface finish and polish of eight provisional restorative materials using acrylic bur and abrasive disk with and without pumice. Oper Dent. 2003;28:734-739.

9. Schwedhelm ER. Direct technique for the fabrication of acrylic provisional restorations. J Contemp Dent Practice. 2006;7:157-173.

10. Kuphasuk W, Harnirattisai C, Senawongse P, Tagami J. Bond strengths of two adhesive systems to dentin contaminated with a hemostatic agent. Oper Dent. 2007;32(4):399-405.

11. Christensen GJ. Provisional restorations for fixed prosthodontics. J Am Dent Assoc. 1996;127:249-252.

12. Moulding MB, Teplisky PE. Intrapulpal temperature during direct fabrication of provisional restorations. Int J Prosthodont. 1990;3(3):299-304.

13. Wassell RW, St. George S, Ingledew RP, Steel JG. Crowns and other extra-coronal restorations: Provisional restorations. Br Dent J. 2002;192(11):619-630.

14. Tjan AH, Castelnuovo J, Shiotsu G. Marginal fidelity of crowns fabricated from six proprietary provisional materials. J Prosthet Dent. 199;77(5):482-485.

15. Lang R, Rosentritt M, Leibrock A, et al. Colour stability of provisional crown and bridge restoration. Br Dent J. 1998;185(9):468-471.

16. Gauthier MA, Stangel I, Ellis TH, Zhu XX. Oxygen inhibition in dental resins.J Dent Res. 2005;84(8):725-729.

17. Boksman L, Tousignant G. Alginate substitutes: Rationale for their use. Dent Today. April 2009;104-105.

18. Christensen G. Dual arch impression summary. Clinicians Report. 2008;1(6).

19. Provisional Composites. The Dental Advisor. Available at: http://www.dentaladvisor.com/publications/the-dental-advisor/articles/provisional-composites.

About the Authors

Leendert (Len) Boksman DDS, BSc, Adjunct Clinical Professor, Schulich School of Medicine and Dentistry, The University of Western Ontario;, Private Practice, London, Ontario, Canada

Gregg Tousignant, CDT, Technical Support Manager, Clinical Research Dental, London, Ontario, Canada

Figure  1  The matrix material is injected into a metal tray, quickly inserted over the tooth to be restored, and removed after 30 seconds.

Figure 1

Figure  2  The matrix material is injected into a metal tray, quickly inserted over the tooth to be restored, and removed after 30 seconds.

Figure 2

Figure  3  After dispensing a pea-sized amount on a mixing pad or 2X2 the fast-setting bis-acryl is injected into the matrix and re-seated over the final preparation.

Figure 3

Figure  4  After dispensing a pea-sized amount on a mixing pad or 2X2 the fast-setting bis-acryl is injected into the matrix and re-seated over the final preparation.

Figure 4

Figure  5  The interior and margins of the temporary created for this clinical case.

Figure 5

Figure  6  A temporary from another patient demonstrating the small amount of gingival flash that is routinely created with this technique.

Figure 6

Figure  7  A temporary from another patient demonstrating the small amount of gingival flash that is routinely created with this technique.

Figure 7

Figure  8 

Figure 8

Figure  9  The small amount of flash can be removed with a disc, but the author finds that pointed trimmers are faster, easier to use, and to control.

Figure 9

Figure  10  Because bis-acryls are somewhat rough and tend to wear if left for any protracted amount of time, a glaze is placed over the temporary material.

Figure 10

Figure  11   Because the temporary is now smooth and non-porous, the temporary cement is much easier to remove, as it does not stick to the provisional.

Figure 11

Figure 12  A tooth from an extra denture set that fits the space can be molded into position by using red rope wax.

Figure 12

Figure  13   A tooth from an extra denture set that fits the space can be molded into position by using red rope wax.

Figure 13

Figure  14   A tooth from an extra denture set that fits the space can be molded into position by using red rope wax.

Figure 14

Figure  15  The tray and impression material are then used to create an instant matrix for a simple case of a missing tooth when a bridge is indicated.

Figure 15

Figure  16  The tray and impression material are then used to create an instant matrix for a simple case of a missing tooth when a bridge is indicated.

Figure 16

Figure  17  A diagnostic and/or treatment wax-up is fabricated.

Figure 17

Figure 18  A diagnostic and/or treatment wax-up is fabricated.

Figure 18

Figure  19  The mock-up is impressed,removed, loaded with bis-acryl, and re-inserted over the prepared teeth to create a provisional that needs little contouring and finishing.

Figure 19

Figure 20 The mock-up is impressed,removed, loaded with bis-acryl, and re-inserted over the prepared teeth to create a provisional that needs little contouring and finishing.

Figure 20

Figure 21  The mock-up is impressed,removed, loaded with bis-acryl, and re-inserted over the prepared teeth to create a provisional that needs little contouring and finishing.

Figure 21

Figure 22 The mock-up is impressed,removed, loaded with bis-acryl, and re-inserted over the prepared teeth to create a provisional that needs little contouring and finishing.

Figure 22

Figure 23  After application of the glaze, the temporary is inserted with temporary cement, the excess removed, and the occlusion is verified.

Figure 23

Figure 24  After application of the glaze, the temporary is inserted with temporary cement, the excess removed, and the occlusion is verified.

Figure 24

Learning Objectives:

After reading this article, the reader should be able to:

  • Explain how the temporary restoration or provisional is not just something to occupy the space until the final prosthesis is delivered
  • Describe the use of matrices for the fabrication of provisional restorations
  • Discuss a simplified method for temporization of prepared teeth

Disclosures:

Dr. Boksman is a part-time paid consultant to Clinical Research Dental and Clinician's Choice. Mr. Tousignant is an employee of Clinical Research Dental. 

Queries for the author may be directed to justin.romano@broadcastmed.com.