CDEWorld > Courses > The Current State of Composite Resins

CE Information & Quiz

The Current State of Composite Resins

Gary M. Radz, DDS; and Karl F. Leinfelder, DDS, MS

September 2009 Issue - Expires Sunday, September 30th, 2012

Inside Dental Assisting

Abstract

In the past two decades, restorative dentistry has seen a remarkable evolution of the technology behind composite resins, which are rapidly becoming the preferred material in clinical practice. This article explores the various types and brands available, including their advantages and limitations. Although the choices are already abundant, these materials present a promising future with more technological advances on the horizon.

You must be signed in to read the rest of this article.

Login Sign Up

Registration on CDEWorld is free. Sign up today!
Forgot your password? Click Here!

The combination of composite resins and the ability to bond to dentinal surfaces has forever changed the way that restorative dentistry is practiced. Based on the efforts of numerous manufacturers and universities, the composite resin is an extensively used direct restorative system. Bonded composite resins are commonly used instead of amalgam by many clinicians. In fact, a growing number of practitioners have totally excluded amalgam from their practices. This is supported by declines in amalgam sales by the manufacturers and a resultant increases in composite sales, indicating that a growing number of practitioners are phasing amalgam out of their material selection and replacing it with resin-based materials.

While composites are nearly the same as amalgams in terms of wear resistance,1 they are more complex to place. This article discusses the different varieties of composite resin restorative materials available and their potential uses in clinical practice.

Microfilled Composites

Microfilled composites have been available in dentistry for nearly 30 years. As their name implies, they are composites that are filled with very small particles. Filler particles in nearly all other types of composite resins are generated by grinding or milling large particles of quartz or glasses into small ones. The average size of these fillers ranges from 0.1 µm to 100 µm. In the case of the microfilled composites, however, particle size averages only 0.04 µm. These ultrasmall particles, commonly referred to as colloidal silica, are produced by heating quartz particles (eg, silicon tetrachloride) to high temperatures, thereby forming a fume. On condensation, ultrasmall silica particles (also called fumed silica) are generated.

The advantage of the small particles is two-fold. In addition to enhancing certain properties of the composite resin, they also render the composite resin highly polishable. Unfortunately, the addition of colloidal silica to the resin matrix rapidly increases the viscosity. Consequently, the filler loading is relatively low. In an effort to resolve this problem, an ingenious technique was developed. Specifically, for microfilled composites, colloidal silica was added to the resin matrix to a level that the resin could be manipulated only by mechanical means. This highly filled resin was then polymerized and subsequently ground into particles averaging approximately 25 µm. These smaller particles of highly filled resin then were added to a resin matrix, in which the filler loading was low enough to permit manual manipulation. This technique increased the filler loading considerably.2

Clinically, microfilled composites can be used to create restorations in anterior areas where esthetics is a main concern. Although they do lack in strength when compared with other types of composite resins, microfilled composites’ small particle size allows for an excellent final finish. Consequently, they have been quite successful in the restoration of class III and V cavity preparations and as a direct restorative resin for facial veneers. Existing examples of microfilled composites are Renamel® Microfill (Cosmedent, Inc, Chicago, IL) and Durafill® VS (Heraeus Kulzer, Inc, Armonk, NY).

Hybrid Composites

Hybrid composites were created to address the issues that plagued microfilled composites (lack of strength) and macrofilled composites (excessive wear and lack of esthetics). Hybrid composites in general possess an average particle size of 1 µm.

In the authors’ opinion, the development of the hybrid composite was the beginning of the development of a universal material. By reducing the particle size, the wear rates of these composites began to show clinically acceptable numbers. Esthetically, these materials began to exhibit a cosmetic result that would be acceptable by most clinicians.

Hybrid composites generally contain two types of filler particles. As a rule, these are ground glass particles and colloidal silica. The average size of the ground glass particles ranges between 0.5 µm and 1 µm, while the colloidal silica is much smaller. The colloidal silica takes up about 20% by weight of the total filler loading, while the larger-sized filler particles represent the balance. Together, the two particles generate a filler loading that approximates nearly 75% by weight.

Existing examples of hybrid composites include TPH Spectrum® (DENTSPLY Caulk, Milford, DE), Z100™ Restorative (3M ESPE, St. Paul, MN), Herculite® XRV™ (Kerr Corporation, Orange, CA), and others. Although still available, this category of composite resins is fading out of existence.

Microhybrid and/or Nanohybrid Composites

This category of composite resins began to appear on the market about 10 years ago. It was developed to improve the hybrid composites and create a more universal material. The improvements in the category of microhybrid and/or nanohybrid composites were focused on enhancing wear resistance and esthetic properties, while maintaining strength.3-4 Most composite resins in this category exhibit an average particle size of 0.5 µm.

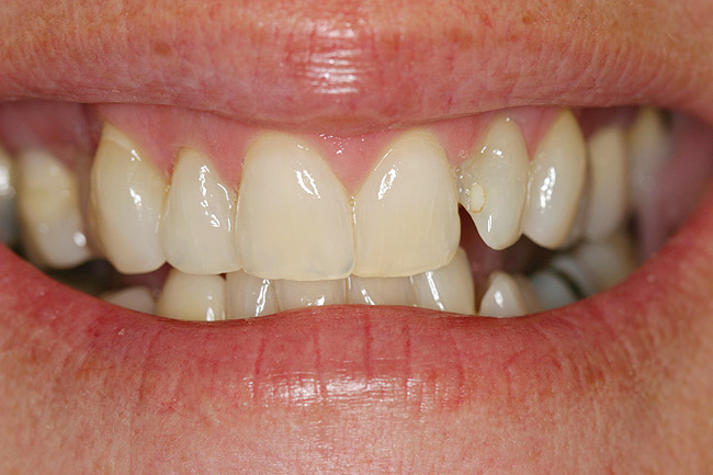
In the authors’ opinion, microhybrids are worthy of being identified as universal materials. They possess the needed strength and wear characteristics for posterior restorations, while having the polish and esthetic potential for anterior restorations (Figure 1 and Figure 2).

Currently, these materials are the most popular commercially available composite resins. Existing examples include Premise™ (Kerr Corporation), Esthet-X® Improved (DENTSPLY Caulk), 4 Seasons® (Ivoclar Vivadent, Inc, Amherst, NY), Tetric EvoCeram® (Ivoclar Vivadent, Inc), Vit-l-essence® (Ultradent Products Inc, South Jordan, UT), Venus® (Heraeus Kulzer, Inc), Gradia Direct (GC America, Inc, Alsip, IL), and Artiste® (Pentron Clinical Technologies, LLC, Wallingford, CT), and others.

Nanoparticles in Composite Resin Systems

Nanoparticles represent a relatively new field of technology not only in the industrial world but also with dental resin composites and dentin adhesives. In essence, nanoparticles are the smallest particles ever used in conjunction with composite resins or dental bonding agents. The prefix nano refers to something that is a billionth of a unit. Nanoparticles are generated differently than conventional particles found in composite resins. Conventional particles are ball-milled, or ground, from larger-sized particles into ones that average from one to several microns. Nanoparticles, on the other hand, are built up on the molecular level. There are two types of nanoparticles. The first (Type I) is divided into two subtypes. The first subtype represents nanomeric particles dispersed as single units within the resin matrix, and the second consists of agglomerated clusters of the nanoparticles. Filtek™ Supreme Plus (3M ESPE) is an example of a composite resin containing this type of system. NDurance™ (Septodont, New Castle, DE) shares a similar chemistry and also falls into this subtype.

The second type (Type II) of nanoparticles is considerably different. Essentially, Type II nanoparticles consist of a cage-like structure that is composed of eight silicon atoms and 12 oxygen atoms. Rather than existing as an individual particle or an agglomerated cluster, the nanoparticle becomes part of the resin matrix. Many different types of agents can be added to the structure, including monomers, alcohols, amines, phenols, and esters. In such a way, many properties of the resin can be appreciably modified. Various property improvements include strength, polishability, and flow characteristics. Examples of products in this category include Artiste® and Simile®, both marketed by Pentron Clinical Technologies.

Many in the industry identify nanocomposite systems as a subcategory of microhybrid systems. Clinically, dentists can consider these materials another universal restorative system.

Specialty Composite Resins

The evolution of composite resins has led to the development of some specialized composites that are clinically beneficial in a number of different situations.

Packable, High-Density, Amalgam-Replacement Composites

This composite category was developed to provide dentists with a composite material that could be handled in a similar manner as amalgam, specifically for class II restorations. The idea was to create a denser material that could be placed using a condensing technique in conjunction with a material that potentially would have the feel of amalgam.

Although none of these materials feel exactly like amalgam, they are denser in nature and do have a “packable” feel to them that allows for the use of a technique similar to that used with amalgam.

To accomplish this denser consistency, many manufacturers of packable, high-density, amalgam-replacement composites increased the particle size as well as the filler volume. This composition, however, often sacrificed wear properties and esthetic potential. There are, however, a number of packable composites resins currently on the market that exhibit wear rates similar to amalgam.

Today, some clinicians find these materials to be beneficial in their class II technique, and the materials remain available. Current examples are SureFil™ (DENTSPLY Caulk), Premise™ Packable (Kerr Corporation), and Alert® (Pentron Clincial Technologies, LLC).

Flowable Composites

Flowable composites are the “utility in-fielder” of composite resins. They have the ability to do many little things well. These materials have a very low viscosity and can easily flow over the walls of the cavity preparation, wetting the surface of the dentin to ensure better adaptation of the resin filling material than with the other composites previously mentioned.

Flowable composites have many clinical applications, including being used as a liner material under a larger composite restoration. They also can be placed in small class III or V restorations and can be used to block out undercuts for an indirect restoration. Plus, these practical materials can be used to repair bis-Acryl temporary restorations. Additionally, they can be used as sealants and as cement for thin, stacked porcelain veneers.

There are many clinical examples: Revolution™ Formula 2 (Kerr Corporation), Esthet-X® Flow (DENTSPLY Caulk), AEliteFlo™ (Bisco, Inc, Schaumburg, IL), Venus® Flow (Heraeus Kulzer, Inc), Tetric EvoFlow® (Ivoclar Vivadent, Inc), LuxaFlow (DMG Brand Division, Foremost Dental LLC, Englewood, NJ), and Flow-It® ALC™ (Pentron Clinical Technologies, LLC).

Core Build-Up Materials

Because composite resins have a dual-cure property (light-curable and self-curable), they are an excellent option for core build-up restorations.

These materials have been modified to meet the specialized demands of a core build-up. In core build-up materials, particle sizes and volume have been modified to maximize compressive strength. Because esthetics was not critical, more effort was spent to create a material that cuts/feels like dentin and has a high compressive strength. Using dual-cure technology, these materials can be placed in bulk and then light-cured to allow for fast placement, so that preparation of the crown can proceed quickly.

Current examples of core build-up materials include LuxaCore® (DMG Brand Division, Foremost Dental LLC), CorePaste XP (Den-Mat, Santa Maria, CA), Build-It® FR™ (Pentron Clinical Technologies, LLC), and CosmeCore™ (Cosmedent, Inc).

Low-Shrinkage Composites

In general, most microhybrid composites shrink at a rate of 2% to 3%. Recently, 3M ESPE introduced the first composite resin system (Filtek™ LS) that claims a rate of shrinkage of < 1%.5 Polymerization shrinkage always has been a concern with resin restorations and has been blamed for some of the reports of sensitivity and micro-leakage. This material does appear to have some clinical advantages; however, it does have its limitations. First, it requires a special adhesive. Second, at present, it is recommended only for posterior restorations.

The problem of shrinkage has been the subject of much research and development over the years. It is encouraging to see that the industry may be on its way to having addressed this issue successfully.

Self-Etching Composites

Although there is no commercially available direct resin system with self-etching capability, common sense says dentists can expect one in the near future. The recent market entries of self-etching resin cements and adhesives systems suggest that the industry is close to developing a restorative system that will have self-etching capability.

Conclusion

Composite resin technology has changed the practice of restorative dentistry significantly over the past 20 years. With the continued improvements and developments in this technology, dentists can to expect to see even more diversity in composites in the future.

Disclosure

Dr. Radz has worked with DMG in the creation and development of LuxaCore and receives royalties associated with this product.

References

1. Lutz F, Imfeld T, Meier CH, et al. Composite resins versus amalgam--comparative measurements of in vivo wear resistance. 1-year report. Quintessence Int. 1979;3(3):77-87.

2. Michl R, Wollwage P. Werkstoffe fur denatlzweeke. Ger Auslegens. 1976. Article in German.

3. Curtis AR, Palin WM, Fleming GJ, et al. The mechanical properties of nanofilled resin-based composites: the impact of dry and wet cyclic pre-loading on bi-axial flexure strength. Dent Mater. 2009;25(2):188-197. Epub 2008 Jul 24.

4. Rodrigues SA Jr, Ferracane JL, Della Bona A. Flexural strength and Weibull analysis of a microhybrid and a nanofill composite evaluated by 3- and 4-point bending tests. Dent Mater. 2008; 24(3):426-431.

5. Burgess J. Determination of Volumetric Shrinkage by Means of a Video Imaging Method (Accu-Vol). St. Paul, MN: 3M ESPE. Data on file.

Figure 1  Pretreatment view of full smile.

Figure 1

Figure 2  Posttreatment view of teeth Nos. 9 and 10 esthetically restored with direct resin veneers (Premise).

Figure 2

Learning Objectives:

After reading this article, the reader should be able to:

  • discuss the differences in composite resins.
  • understand the structure of these materials and how they work.
  • compare the limitations and advantages of composite resins.
  • discuss the potential uses of these materials in clinical practice.

Disclosures:

The author reports no conflicts of interest associated with this work.

Queries for the author may be directed to justin.romano@broadcastmed.com.