CDEWorld > Courses > Acid Erosion: Why is It Important to Your Patients?

CE Information & Quiz

Acid Erosion: Why is It Important to Your Patients?

David Bartlett, BDS, PhD, MRD, FDS, RCS

May 2009 Issue - Expires Thursday, May 31st, 2012

Inside Dental Assisting

Abstract

The wear of teeth is an almost universal problem. Fortunately, severe wear is less common, estimated to affect 7% of patients in a general practice.1 The cause of tooth wear is generally a combination of acid erosion, abrasion, and attrition; however, the interaction is complex and not fully understood. While the impact of attrition and abrasion has been recognized for many years, the role of acid erosion is only now beginning to be fully understood. For those patients with severe tooth wear, conventional prosthodontic or operative treatments to restore the appearance and function of teeth are required. However, for most patients, early signs of wear do not mean that their teeth will wear completely in their lifetimes. For these patients, a preventative approach designed to maximize the techniques available is more relevant.

You must be signed in to read the rest of this article.

Login Sign Up

Registration on CDEWorld is free. Sign up today!
Forgot your password? Click Here!

Tooth Wear and Erosion

The term tooth wear encompasses the processes of erosion, attrition, and abrasion.2 Erosion is the loss of tooth enamel caused by either intrinsic or extrinsic acids. Attrition is caused by tooth-to-tooth wear and is commonly seen in bruxism. Abrasion is the loss of tooth enamel caused by surfaces other than teeth and is most commonly associated with cervical wear. In most circumstances, tooth wear is caused by a combination of erosion, attrition, and abrasion, although the importance of erosion caused by acids is increasingly being recognized as the most important component of tooth wear. Probably the most common cause of erosion is dietary acids.3 The pH or acidity of the acid is an important component in the erosive capacity, but the titratable acidity (the volume of alkali needed to neutralize the acid) is also important. Common dietary acids are listed in Table 1, but intrinsic acids caused by regurgitation or vomiting of gastric acid can be responsible for severe erosive tooth wear.4


Slurry wear can be characterized as an abrasive slurry between two moving tooth surfaces. It is also referred to as “three-body wear” because there are three surfaces in function—the tooth structure on either side of the food substrate. Corrosive wear, also referred to as erosion, is a non-microbial acid-induced tooth loss. Clinically the diagnosis of these conditions can be made by the appearance of the tooth surfaces in different occlusal positions. Surface-to-surface wear can be seen where the teeth interdigitate. Where slurry wear has occurred, the teeth do not fit together in all aspects of the tooth loss. This concept has been frequently referred to as erosion.5 The cupping of dentin on incisal edges and the flattening of posterior cusp tips with the exposing dentin, the Class 6 lesion, can be attributed to this type of wear.

Early Signs of Tooth Wear

The first signs of tooth wear may not be immediately recognizable because changes to the enamel surface can be difficult to diagnose. The mamelons on the incisal edge of incisors wear away within the first decade after eruption, but other less obvious changes also occur (Figure 1). The cusp tips of molars and premolars may flatten as may the facial surfaces of upper incisors. If allowed to progress, eventually the enamel is worn away, exposing small areas of dentin (Figure 2). Dentin exposure is much easier for dentists to recognize, but it means that considerable amounts of the tooth have been lost. Ideally, therefore, early diagnosis should help to prevent the lesion from progressing into dentin. If the process of tooth wear continues without intervention, almost total destruction of the tooth can occur (Figure 3).

Dentin sensitivity can indicate when acid erosion is active. Most patients with dentin sensitivity have clean mouths and teeth. It is believed that the interaction with acidic diets and cleaning techniques causes dentin sensitivity.6 The first intervention should be a detailed diet history spread over a number of days, ideally involving a weekend as most people’s diets change during that period. Any acidic foods and drinks should be highlighted, and patients advised to reduce their frequency of consumption. Secondly, it is worthwhile to emphasize the difference between foods and snacks. Most current medical advice recommends consuming a balanced diet containing fruits and vegetables. If the dentist advises reducing fruit intake, then the health message can become confusing for patients. It is important to emphasize that fruits are an important dietary constituent, but like the message for dental caries, continual snacking should be avoided. Dietary habits are recognized as being more important than the quantity of the acidic food or drink. Any grazing habit using acidic foods, particularly citrus fruits, prolongs the contact of acids with the teeth, increasing the risk of developing erosion. Likewise, holding or swilling an acidic drink in the palate before swallowing increases the time it can cause erosion. Recent research indicates it is the frequency of acid attacks that is important in the progression of erosion.7 Therefore, it is important to discuss with patients how they consume their foods and drinks, and try and illicit if there are any dietary habits likely to increase the risk of acid erosion. Drinking through a straw may reduce the risk.

Another important factor to determine is when patients brush their teeth. Laboratory and clinical studies show that if toothbrushing is undertaken shortly after consuming acids, the risk for the combination of erosion and abrasion is much higher.8,9 Attin et al have shown through a series of in vitro and clinical studies that the ideal time to brush teeth is around 30 minutes after consuming an acid. The authors observed that acids demineralize the tooth surface, weakening it and reducing its resistance to abrasion. Conversely, brushing teeth before meals, for example before breakfast, may be more protective as it theoretically treats the tooth surface with fluoride, thus hardening and increasing its resistance to erosion and abrasion.

Interventions

There is evidence that fluoride prevents the effects of erosion and abrasion.10,11 Fluoride increases the microhardness of enamel, increasing its resistance to acid erosion.12 Toothpastes containing fluoride, particularly those with low abrasivity, will probably assist in the preventive regimen. Also, evidence is mounting that mouthwashes containing fluoride are beneficial. However, in common with all fluoride supplements, the mouthwash should be used outside of the normal tooth cleaning routine. The most efficient use of mouthrinses containing fluoride is frequent application.

The role of casein phosphopeptide-amorphous calcium phosphate (CCP-ACP), known commercially as Recaldent® (Bonlac Bioscience International, Melbourne, Australia) and available in Prospec™ MI Paste™ (GC America, Inc, Alsip, IL), has been investigated with some research supporting its preventive action.13,14 There is growing evidence, particularly from laboratory studies, that the remineralizing properties of CCP-ACP may encourage tooth surfaces to become more resistant to the effects of acid erosion.15 However, the relative high cost of the product compared with fluoride toothpastes means that its use should be targeted toward those patients most at risk: patients with early signs of acid erosion or within at-risk groups (xerostomia, eating disorders, regurgitation of gastric juice).16

If the damage has occurred, the clinician must decide which measures are needed. First, evaluate the risk factors previously discussed; then consider operative measures. Ideally, teeth should last a lifetime, and restorative interventions have been shown to reduce their life expectancy considerably.17 Monitoring early lesions with photographs or study models has been shown to be an effective tool in prevention.18 However, some situations clearly indicate the need for restorations. If sensitivity appears to be intractable and desensitizing toothpastes are found to be ineffective, applying a resin-based adhesive to the sensitive areas can be helpful in limiting the patient’s discomfort. Also, recent research has shown that frequent applications (around every 3 months) of a dentin bonding agent to an erosive lesion can help to prevent further tooth wear.19,20

Most patients want their teeth to last a lifetime. They also want their teeth to look good throughout that time. Therefore, early diagnosis and prevention of the effects of acid erosion, abrasion, and attrition are fundamental to the lifetime needs of patients’ teeth.

Practice Tips

The following tips are offered to assist in the prevention of worn or eroded teeth.

1. Examine the surface of enamel and dentin for signs of erosion and tooth wear. Early signs include generalized flattening of the surface and loss of anatomical features.

2. Carefully investigate the dietary habits of the patient, particularly the frequency of acid consumption.

3. Consider the use of fluoride delivered in either toothpaste or mouthrinse to prevent acid erosion and abrasion.

4. When attrition is past the enamel and exposing dentin, consider a restorative intervention.

5. If attrition has a parafunctional occlusal component, consider an occlusal guard to reduce tooth wear.

References

1. Smith BG, Robb ND. The prevalence of toothwear in 1007 dental patients. J Oral Rehabil. 1996;23(4):232-239.

2. Bartlett DW, Smith BGN. Definition, classification and clinical assessment of attrition, erosion and abrasion of enamel and dentine. In: Addy M, Embery G, Edgar WM, Orchardson R, eds. Tooth Wear and Sensitivity: Clinical Advances in Restorative Dentistry. London, United Kingdom: Martin Dunitz; 2000:87-93.

3. Bartlett DW. The causes of dental erosion. Oral Dis. 1997;3(4):209-211.

4. Bartlett D. Intrinsic causes of erosion. Monogr Oral Sci. 2006;20:119-139.

5. Xhonga FA, Wolcott RB, Sognnages RF. Dental erosion. II. Clinical measurements of dental erosion progress. J Am Dent Assoc. 1972;84:577-582.

6. Addy M, Shellis RP. Interaction between attrition, abrasion and erosion in tooth wear. Monogr Oral Sci. 2006;20:17-31.

7. Moazzez R, Smith BG, Bartlett DW. Oral pH and drinking habit during ingestion of a carbonated drink in a group of adolescents with dental erosion. J Dent. 2000;28(6):395-397.

8. Attin T, Siegel S, Buchalla W, et al. Brushing abrasion of softened and remineralised dentin: an in situ study. Caries Res. 2004;38(1):62-66.

9. Attin T, Zirkel C, Hellwig E. Brushing abrasion of eroded dentin after application of sodium fluoride solutions. Caries Res. 1998;32(5):344-350.

10. Bartlett DW, Smith BG, Wilson RF. Comparison of the effect of fluoride and non-fluoride toothpaste on tooth wear in vitro and the influence of enamel fluoride concentration and hardness of enamel. Br Dent J. 1994;176(9):346-348.

11. Wiegand A, Attin T. Influence of fluoride on the prevention of erosive lesions—a review. Oral Health Prev Dent. 2003;1(4):245-253.

12. Zero DT, Hara AT, Kelly SA, et al. Evaluation of a desensitizing test dentifrice using an in situ erosion remineralization model. J Clin Dent. 2006;17(4):112-116.

13. Iijima Y, Cai F, Shen P, et al. Acid resistance of enamel subsurface lesions remineralized by a sugar-free chewing gum containing casein phosphopeptide-amorphous calcium phosphate. Caries Res. 2004;38(6):551-556.

14. Manton DJ, Walker GD, Cai F, et al. Remineralization of enamel subsurface lesions in situ by the use of three commercially available sugar-free gums. Int J Paediatr Dent. 2008;18(4):284-290.

15. Piekarz C, Ranjitkar S, Hunt D, et al. An in vitro assessment of the role of Tooth Mousse in preventing wine erosion. Aust Dent J. 2008;53(1):22-25.

16. Strassler HE, Kihn PW, Yoon R. Conservative treatment of the worn dentition with adhesive composite resin. Contemporary Esthetics and Restorative Practice. 1999;1(4):42-52.

17. Elderton RJ. Dentistry in the year 2000. Restorative dentistry: 1. Current thinking of cavity design [published erratum appears in: Dent Update. 1986;13(5):240]. Dent Update. 1986;13(3):113-120.

18. Bartlett DW. Retrospective long term monitoring of tooth wear using study models. Br Dent J. 2003;194(4):211-213.

19. Sundaram G, Bartlett D, Watson T. Bonding to and protecting worn palatal surfaces of teeth with dentine bonding agents. J Oral Rehabil. 2004;31(5):505-509.

20. Sundaram G, Watson T, Bartlett D. Clinical measurement of palatal tooth wear following coating by a resin sealing system. Oper Dent. 2007;32(6):539-543.

About the Author

David Bartlett, BDS, PhD, MRD, FDS, RCS, Kings College London Dental Institute, Department of Prosthodontics, London Bridge, England

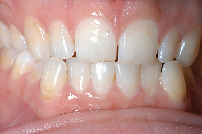
Figure 1  Early enamel loss and some dentin exposure along the cervical margins of the teeth. The cause in this case was identified when the patient admitted to toothbrushing immediately after drinking pure orange juice.

Figure 1

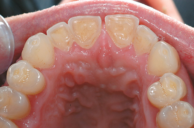
Figure 2  The erosion on the palatal surfaces of the upper incisors was more advanced than on the bicuspids, which show earlier signs of erosion. The cause could not be attrition, so the most likely explanation was erosion. The typical hollowed-out occlusal surfaces on the teeth are indicative of erosion.

Figure 2

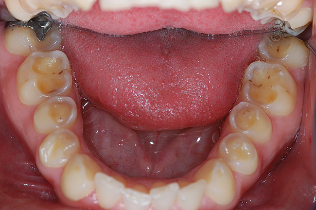
Figure 3  Left untreated and without preventive advice, erosion will continue to develop. In this case, the erosion had started to attack most tooth surfaces, making sensitivity a common finding.

Figure 3

Learning Objectives:

Disclosures:

The author reports no conflicts of interest associated with this work.

Queries for the author may be directed to justin.romano@broadcastmed.com.