CDEWorld > Courses > Use of the Natural Tooth as a Provisional after Immediate Implant Placement

CE Information & Quiz

Use of the Natural Tooth as a Provisional after Immediate Implant Placement

Robert Margeas, DDS

March 2008 Issue - Expires Wednesday, March 31st, 2010

Inside Dentistry

Abstract

Provisionalization for immediate-placed implants using the patient's existing tooth can enhance the final esthetic outcome if certain steps are followed. If the natural tooth is intact and can be used as a provisional, the emergence profile can be very similar to the preoperative condition. This will allow the gingival tissue and papilla to be supported and help prevent collapse of the tissue. The patient's preoperative condition plays a key role in understanding and predicting the final esthetic outcome. This article outlines a technique to use the patient's natural tooth after extraction to provisionalize an implant.

You must be signed in to read the rest of this article.

Login Sign Up

Registration on CDEWorld is free. Sign up today!
Forgot your password? Click Here!

The loss of a tooth in the anterior esthetic region as a result of periodontal disease, trauma, endodontic failure, or root resorption can be a traumatic experience for a patient. Traditional implant therapy often required 2 to 3 months of alveolar ridge remodeling after tooth extraction and an additional 6 months of non-loaded healing for implant osseointegration to be successful.1-3 Esthetic single-tooth implant placement using a traditional two-stage surgery has been well-documented in the literature.4-6 Many complications can occur during the healing phase, such as loss of papilla as a result of flap elevation or blunting of the papilla caused by provisionalization with a removable appliance that is not stable. Bone and gingival tissue loss after maxillary anterior tooth extraction and implant surgery may present additional esthetic challenges.7 Clinical and histologic studies have demonstrated that non-submerged implants osseointegrate as well as submerged implants and function comparably under load over extended periods.8-11

Immediate implant placement using a single-stage surgical approach can reduce the duration of treatment, preserve papilla, and limit apical migration of the free gingival margin. Several studies have shown successful bone regeneration in extraction sites around immediately placed implants with clinical results similar to two-stage procedures.12-15

Extraction, implant placement, and provisionalization combine surgical and restorative principles for tooth replacement. The advantages to this approach include patient comfort, increased esthetics, and better patient acceptance. When using a fixed provisional, the patient’s phonetics is much better than using a removable appliance. Immobile immediate provisionalization can enhance soft tissue management as well.16-18

When using a flapless, one-stage approach, soft tissue healing and maturation can occur simultaneously with implant integration. In addition, implant placement into a fresh extraction site provides an adequate blood supply to the wound and allows sufficient bone maintenance since resorption and remodeling will not yet have occurred. Raising a surgical flap compromises the bone vascularization and may result in marginal bone loss19 and soft tissue recession with collapse of the interdental papillae, particularly in the presence of thin, scalloped gingiva.20

As with traditional implant treatment, approximately 1 mm of gingival recession may occur at the free gingival margin after placement of the definitive restoration.21-22 This may be attributed to the biologic width formation after repeated removal and replacement of the implant components during impression making, try-in, and fitting of the restoration.23-24

If a failing tooth has a free gingival margin positioned more incisally compared to the adjacent tooth, it will allow the final free gingival margin to be similar following apical migration of 1 mm after implant placement. A hopeless tooth with the free gingival margin positioned ideally or more apical would benefit from orthodontic extrusion before extraction.25-26

The form of the periodontium plays an important part in the final esthetics of the implant restoration.27 The three categories of gingival scallop are high, normal, and flat. Based on a clinical survey of 100 patients, the average or normal gingival scallop is positioned 4 mm to 5 mm more incisally than the free gingival margin.28 The high or long gingival scallop will have a much higher risk for gingival loss or flattened papilla after extraction vs the normal or flat scallop. The flat scallop has less volume of papilla in the interproximal area; therefore, it is much more predictable and maintainable after extraction. One of the principal advantages of the immediate technique is the prevention of post-extraction bone resorption. Bone loss may affect approximately 23% of the anterior alveolar crests during the 6 months after extraction.29

Infection affecting the tooth being extracted may be a contraindication to the immediate technique, as it is most often accompanied by apical or lateral bone loss that can impair primary stability. Primary stability after implant placement is important when provisionalizing immediately. Drilling 3 mm to 5 mm beyond the apical limit (in a palatal direction) can ensure sufficient stability.30

The success rates being achieved using this single-stage approach contradicts the basic tenets of the original Bränemark technique, which was to allow the implants to be covered and to protect the implant against early loading. It appears that it is not early loading that creates the effect of fibrous encapsulation, but rather a certain degree of micro-movements at the bone/implant interface31 resulting from inadequate primary stability. Various experimental studies indicate that the range of tolerance of these micro-movements is approximately 50 µm to 150 µm for rough surfaces32-34 and about 100 µm for smooth, machined surfaces.35 Thus, the implant surface is not an indifferent factor in the process of bone healing. Rough surfaces appear to tolerate greater micro-movements and, therefore, could be placed under load at an earlier time.36

Research on the preservation of the tissue architecture, reduction of surgical sequences, augmentation of patient comfort during provisionalization, and greater esthetic requirements37 have led many practitioners to consider immediate replacement of the missing or freshly extracted tooth.

Care must be taken when an immediate single-tooth implant restoration is planned in the anterior region. Successful esthetic results may ultimately be determined by the patient’s presenting anatomy rather than the clinician’s ability to manage state-of-the-art procedures.27

Case Presentation

An 18-year old female patient presented with root resorption of the maxillary right central incisor (Figure 1). Available restorative options were presented to the patient, and included a removable partial denture, a fixed bridge, or an implant-supported restoration. The adjacent teeth had not been previously restored, so the patient chose to have an implant-supported restoration to avoid preparation of the adjacent teeth. The patient also did not want to wear a removable appliance during the implant healing phase. There was no active infection present and no apical pathology was seen radiographically. Periodontal evaluation revealed a thick, normal-scalloped periodontal biotype. Approximately 85% of the population present with thick, flat periodontal forms, whereas the periodontal architecture of the remaining population is thin and scalloped.38 Though the amount of postoperative soft tissue modifications is generally minimal for patients with thick and flat gingiva, significant changes have been observed in those with thin and scalloped biotypes.26

The projected interproximal tissue height depends on the interproximal bone height of the adjacent teeth. Bone sounding of the teeth adjacent to the failing tooth can ascertain predictable interproximal tissue height. In this patient, a normal osseous crest was revealed after bone sounding. Gingival tissue was approximately 3 mm from the osseous crest facially and 5 mm interproximally. The risks and benefits of treatment were presented to the patient, and an implant was selected for immediate placement and fixed provisionalization using the patient’s natural tooth on the abutment. Using the natural tooth as a provisional will allow tissue support and create an emergence profile similar to the pre-extraction condition. This will support the peri-implant mucosa and maintain the papilla height, gingival outline and tissue form throughout the osseointegration phase. Wohrle has described several reports with simultaneous provisionalization on an implant placed into an extraction socket.39

Maintenance of gingival tissues and papillae can be a demanding task when using a full periosteal flap reflection. Several reports have proposed implant placement without flap elevation to minimize bone loss.40,41 Although initial results appear promising, the lack of direct visibility in flapless surgery may present limitations that require careful evaluation of the osseous topography as well as meticulous surgical execution.42

Surgical Procedure

Before extraction of the tooth, stone models were made and a putty index was formed over the teeth. This would act as a guide to placing the tooth in the proper orientation after surgery. Local anesthetic was administered and periotomes were used to loosen the periodontal ligament. The tooth was extracted atraumatically, without flap reflection. A periodontal probe was used to verify the integrity of the facial plate, and the socket was thoroughly debrided.

Primary stability was achieved by engaging the palatal wall and bone approximately 4 mm beyond the apex to the extraction socket with a 13-mm Straumann (Andover, MA) standard diameter 4.1-mm implant with a 4.8-mm collar. Nobel Biocare’s (Yorba Linda, CA) Replace Select® implants would also have been an acceptable choice. The top of the implant was placed approximately 3 mm from the final proposed free gingival margin in the mid-facial area. Ideally, the 1-mm polished collar should be above the bone level. With a flapless surgical approach, this is sometimes difficult to visualize. The implant diameter was within the confines of the tooth socket, without engaging the facial plate, to prevent possible perforation. A minimal distance of approximately 1.5 mm to 2 mm between the implant and adjacent teeth is recommended to minimize marginal bone loss resulting from encroachment.43 Although not necessary with a horizontal distance less than 2 mm from the implant to the facial bone, synthetic bone was placed around the implant and a healing cap (Figure 2) was lightly tightened. Immediate provisionalization was then begun; the healing cap was removed and a Straumann 5.5-mm solid abutment was placed on the implant and hand tightened (Figure 3). No preparation was necessary as this is a stock component and the occlusion did not interfere.

Restorative Procedure

The coronal portion of the patient’s tooth was to be used as the provisional restoration. The extraction was necessary because of the resorption of the root (Figure 4). The root of the tooth was sectioned horizontally with a diamond bur approximately 3 mm from the cementoenamel junction (Figure 5). The tooth was then hollowed out so that it would fit over the abutment (Figure 6). Before relining the tooth, it was placed on the solid abutment to make sure it would fit and that there would be no occlusal contact on the final provisional (Figure 7). After confirming an accurate fit, the tooth was etched for 30 seconds (Figure 8), then rinsed and air-dried. A bonding agent D/E resin was applied and light-cured for 20 seconds (Figure 9). A bis-acryl material was injected into the tooth (Figure 10) and then placed intraorally onto the abutment and allowed to self-cure for 2 minutes.

It is difficult to achieve an accurate margin when relining a provisional, (Figure 11) so it is necessary to reline the margins out of the mouth with a flowable resin (Figure 12). It is very important when relining the restoration extraorally that an analog is used that is exactly the same as intraorally. Do not use a laboratory implant abutment analog for this purpose. It is important to get an accurate fit of the restoration. The final provisional should be refined and contoured flat or slightly under-contoured (Figure 13) on the facial so as not to put too much pressure on the free gingival margin, which can cause apical migration of the tissue. This is done with finishing disks and polishing points to create a smooth surface. The interproximal tissue should be supported by the natural emergence profile of the tooth. It is impossible to create too much interproximal pressure, as it is the exact emergence profile that existed before the extraction. One of the possible complications from immediate placement and provisionalization using a cement-retained restoration is the possibility of leaving excess cement subgingivally. If the implant is placed too deeply and it is impossible to remove all of the cement, it is better to use a screw-retained provisional.

A technique first described by Higginbottom44 allows the majority of the provisional cement to be removed extraorally using the same analog as that used for the fabrication of the temporary. A temporary cement is placed in the crown and then placed on the abutment extraorally (Figure 14). The excess cement is then removed before placing the temporary intraorally. This allows minimal clean-up intraorally and prevents possible gingival irritation. Do not be fooled into placing more cement into the restoration after cleaning. There is adequate cement to hold the restoration on. Place the restoration on the abutment and allow the cement to fully set. Clean off any excess cement.

Figure 15 shows the restoration on the day of surgery. The tooth was taken out of occlusion and the patient was advised against using the surgical site and instructed not to have any contact on that tooth while eating. It is very important for the patient to understand the importance of their part in the success of the restoration. If the patient is not willing to accept some responsibility in the final success, then an immediate restoration may be contraindicated. Patients with deep bites, bruxers, or have active infection present are not good candidates for this type of treatment.

The patient presented 2 weeks postsurgery for a clinical evaluation. The area was healing without any complications (Figure 16).

After 3 months of healing, the patient returned for a final impression of the implant. A fixture-level impression was made for a custom abutment. A synOcta® gold abutment (Straumann) was used as the final abutment. This is a UCLA-type abutment that is waxed (Figure 17), cast, and then porcelain is added to it. The custom abutment was placed and torqued to 35 Ncm (Figure 18). The final restoration was cemented with resin-reinforced glass-ionomer cement. The final restoration is shown in Figure 19. The preoperative smile is shown in Figure 20 and the postoperative smile is shown in Figure 21.

Conclusion

Immediate provisional restorations placed on immediate implants in extraction sockets enhance the preservation of the soft and hard tissue contour. Use of the natural tooth on the abutment will provide an emergence profile similar to the pre-existing condition. This is particularly advantageous for the thin periodontium, where there is greater chance for bone and tissue recession. It is important to evaluate the patient thoroughly before attempting this technically demanding procedure. The patient’s presenting anatomy can ultimately dictate the final esthetic outcome.

Acknowledgment

The author would like to thank Valley Dental Arts in Stillwater, Minnesota, for their assistance in this case.

References

1. Andersson B, Odman P, Lindvall AM, Lithner B. Single-tooth restorations supported by osseointegrated implants: results and experiences from a prospective study after 2 to 3 years. Int J Oral Maxillofac Impl. 1995;10(6):702-711.

2. Avivi Arber L, Zarb GA. Clinical effectiveness of implant-supported single-tooth replacement: the Toronto study. Int J Oral Maxillofac Impl. 1996;11(3):311-321.

3. Bränemark P-I. Osseointegration and its experimental background. J Prothet Dent. 1983;50:399-410.

4. Becker W, Becker BE. Flap designs for minimization of recession adjacent to maxillary anterior implant sites: A clinical study. Int J Oral Maxillofac Impl. 1996;11(1):46-54.

5. Israelson H, Plamons JM. Dental implants, regenerative techniques, and periodontal plastic surgery to restore maxillary anterior esthetics. Int J Oral Maxillofac Impl. 1993;8(5):555-561.

6. Mathews DP. Soft tissue management around implants in the esthetic zone. Int J Periodont Rest Dent. 2000;20(2):141-149.

7. Carlsson GE, Bergman B, Hedegard B. Changes in contour of the maxillary alveolar process under immediate dentures. A longitudinal clinical and x-ray cephalometic study covering 5 years. Acta Odontol Scand. 1967;25(1):45-75.

8. Leimola-Virtanen R, Peltola J, Oksala E, et al. ITI titanium plasma-sprayed screw implants in the treatment of edentulous mandibles: a follow-up study of 39 patients. Int J Oral Maxillofac Impl. 1995;10(3):373-378.

9. Buser D, Mericske-Stern R, Bernard JP, et al. Long-term evaluation of non-submerged ITI implants. Part 1: 8 year life table analysis of a prospective multi-center study with 2359 implants. Clin Oral Impl Res. 1997;8(3):161-172.

10. Vassos DM. Single-stage surgery for implant placement: A retrospective study. J Oral Implantol. 1997;23(4):181-185.

11. Becker W, Becker BE, Israelson H, et al. One-step surgical placement of Branemark implants: A prospective multicenter clinical study. Int J Oral Maxillofac Impl. 1997;12(4):454-462.

12. Grunder U, Polizzi G, Goene R, et al. A 3-year prospective multicenter follow-up report on the immediate and delayed immediate placement of implants. Int J Oral Maxillofac Impl. 1999;14(2):210-216.

13. Becker BE, Becker W, Ricci A, Geurs N. A prospective clinical trial of endosseous screw-shaped implants placed at the time of tooth extraction without augmentation. J Periodontol. 1998;69(8):920-926.

14. Rosenquist B, Grenthe B. Immediate placement of implants into extraction sockets: Implant survival. Int J Oral Maxillofac Impl. 1996;11(2):205-209.

15. Schwartz-Arad D, Grossman Y, Chaushu G. The clinical effectiveness of implants placed immediately into fresh extraction site of molar teeth. J Periodontol. 2000;7(5):839-844.

16. Bain CA, Weisgold AS. Customized emergence profile in the implant crown: a new technique. Compend Contin Educ Dent. 1997;18(1):41-45.

17. Chee WW, Donovan T. Use of provisional restorations to enhance soft-tissue contours for implant restorations. Compend Contin Educ Dent. 1998;19(5):481-489.

18. Markus SJ. Interim esthetic restorations in conjunction with anterior implants.J Prosthet Dent. 1999;82(2):233-236.

19. Bragger U, Hafeli U, Huber B, et al. Evaluation of postsurgical crestal bone levels adjacent to non-submerged dental implants. Clin Oral Impl Res. 1998;9(4):218-224.

20. Becker W, Becker BE, Israelson H, et al. One-step surgical placement of Bränemark implants: A prospective multicenter clinical study. Int J Oral Maxillofac Impl. 1997;12(4):454-462.

21. Grunder U. Stability of the mucosal topography around single-tooth implants and adjacent teeth: 1-year results. Int J Periodont Rest Dent. 2000;20(1):11-17.

22. Small PN, Tarnow DP. Gingival recession around implants: A 1-year longitudinal prospective study. Int J Oral Maxillofac Impl. 2000;15(4):527-532.

23. Hermann JS, Buser D, Schenk RK, et al. Biologic width around titanium implants. A physiologically formed and stable dimension over time. Clin Oral Impl Res. 2000;11(1):1-11.

24. Herman JS, Buser D, Shenk RK, et al. Biologic width around one and two-piece titanium implants. Clin Oral Impl Res. 2001;12(6):559-571.

25. Salama H, Salama M, Garber D, et al. Developing optimal peri-implant papillae within the esthetic zone: guided soft tissue augmentation. J Esthet Dent. 1995;7(3):125-129.

26. Salama H, Salama M. The role of orthodontic extrusive remodeling in the enhancement of soft and hard tissue profiles prior to implant placement: a systematic approach to the management of extraction site defects. Int J Periodontics Restorative Dent. 1993;13(4):312-333.

27. Kois J. Predictable single tooth peri-implant esthetics: five diagnostic keys. Compend Contin Educ Dent. 2001;22(3):199-206.

28. Kois J. Altering gingival levels; the restorative connection part 1: biologic variables. J Esthet Dent. 1994;6(1):3-9.

29. Carlsson GE, Bergman B, Hedegard B. Changes in contour of the maxillary alveolar process under immediate dentures. A longitudinal clinical and x-ray cephalometric study covering 5 years. Acta Odontol Scan. 1967;25(1):45-75.

30. Schwartz-Arad D, Chaushu G. Placement of implants into fresh extraction sites: 4 to 7 years retrospective evaluation of 95 immediate implants. J Periodontol. 1997;68(11):1110-1116.

31. Szmukler-Moncler S, Piattelli A, Favero GA, Dubruille JH. Considerations preliminary to the application of early and immediate loading protocols in dental implantology. Clin Oral Impl Res. 2000;11(1):12-25.

32. Cameron CE. The cracked tooth syndrome: additional findings. J Am Dent Assoc. 1976;93(5):971-975.

33. Saballe K. Hydroxyapatite ceramic coating for bone implant fixation. Mechanical and histological studies in dogs. Acta Orthop Scand Suppl. 1993;255:1-58.

34. Vaillancourt H, Pilliar RM, McCammond D. Finite element analysis of crestal bone loss around porous-coated dental implants. J Appl Biomater. 1995;6(4):267-282.

35. Brunski JB. Biomechanical factors affecting the bone-dental implant surface. Clin Mater. 1992;10(3):153-201.

36. Taborelli M, Jobin M, Francois P, et al. Influence of surface treatments developed for oral implants on the physical and biological properties of titanium. Surface contamination. Clin Oral Impl Res. 1997;8(3):208-216.

37. Touati B, Guez G, Saadoun A. Aesthetic soft tissue integration and optimized emergence profile: Provisionalization and customized impression coping. Pract Periodont Aesthet Dent. 1999;11(3):305-314.

38. Olson M, Linghe J. Periodontal characteristics in individuals with varying form of the upper central incisors. J Clin Periodontol. 1991;18(1):78-82.

39. Wohrle PS. Single-tooth replacement in the aesthetic zone with immediate provisionalization: fourteen consecutive case reports. Pract Periodont Aesthet Dent. 1998;10(9):1107-1114.

40. Wilderman MN. Exposure of bone in periodontal surgery. Dent Clin. 1964;3:23-36.

41. Lansberg CJ, Bichacho N. Implant placement without flaps. A single-stage surgical protocol—part 1. Pract Periodontics Aesthet Dent. 1998;10:1033-1039.

42. al Ansari BH, Morris RR. Placement of dental implants without flap surgery. A clinical report. Int J Oral Maxillofac Implants. 1998;13:861-865.

43. Esposito M, Ekestubbe A, Grondahl K. Radiological evaluation of marginal bone loss at tooth surfaces facing single Bränemark implants. Clin Oral Impl Res. 1993;4(3):151-157.

44. Higginbottom F. Transfer system for cement-retained restorations on nonsubmerged dental implants. Quintessence Dent Technol. 1997;20:55-62.

About the Author

Robert Margeas, DDS
Adjunct Professor
Department of Operative Dentistry
University of Iowa College of Dentistry
Iowa City, Iowa

Private Practice
Des Moines, Iowa

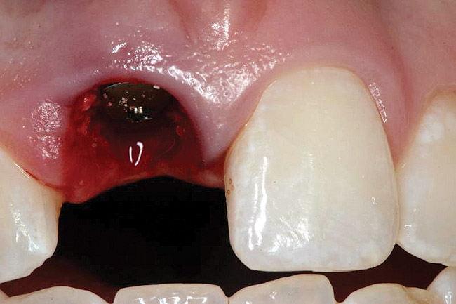
Figure 1  The preoperative condition.

Figure 1

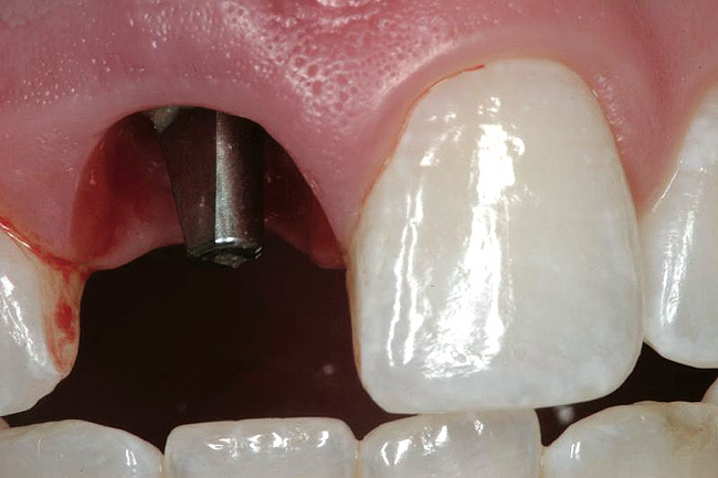
Figure 2  A healing cap was placed after extraction.

Figure 2

Figure 3  A Straumann 5.5-mm solid abutment was hand-tightened.

Figure 3

Figure 4  Root resorption of the tooth.

Figure 4

Figure 5  A diamond bur was used to section off the root.

Figure 5

Figure 6  The hollowed-out tooth.

Figure 6

Figure 7  The tooth was tried on the abutment.

Figure 7

Figure 8  The tooth was etched for 30 seconds.

Figure 8

Figure 9  An unfilled resin was placed.

Figure 9

Figure 10  A bis-acryl material was injected into the tooth.

Figure 10

Figure 11  Fit before relining.

Figure 11

Figure 12  A flowable resin was used for relining.

Figure 12

Figure 13  The polished provisional. Note undercontouring on the facial.

Figure 13

Figure 14  Zone cement was placed on the abutment extraorally to remove excess cement.

Figure 14

Figure 15  The restoration on the day of surgery.

Figure 15

Figure 16  Two-week postoperative view.

Figure 16

Figure 17  Wax-up of the gold abutment.

Figure 17

Figure 18  Porcelain-fused-to-metal abutment torqued onto the implant.

Figure 18

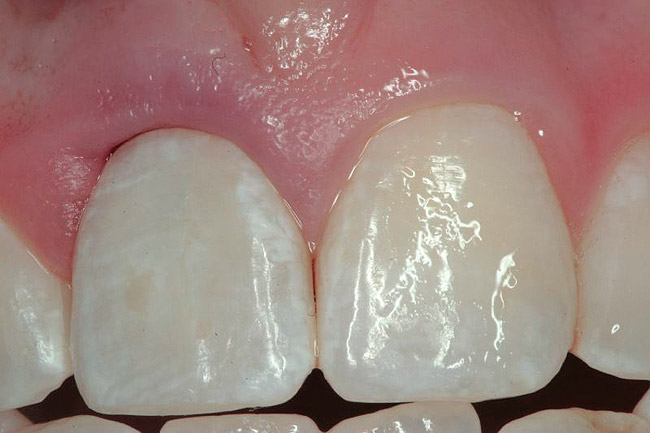
Figure 19  Final close-up of the restoration.

Figure 19

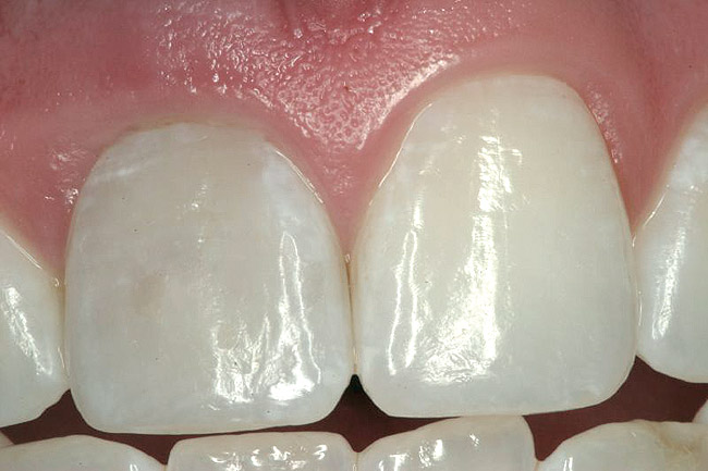
Figure 20  The preoperative smile.

Figure 20

Figure 21  The postoperative smile.

Figure 21

Learning Objectives:

  • describe a technique to help preserve tissue after extraction and immediate implant placement
  • discuss how to use the patient’s natural tooth as a provisional after implant placement.
  • describe how to contour the tooth to prevent tissue migration and help preserve the papilla.

Disclosures:

The author reports no conflicts of interest associated with this work.

Queries for the author may be directed to justin.romano@broadcastmed.com.