CDEWorld > Courses > Approaches to Vertical Dimension

CE Information & Quiz

Approaches to Vertical Dimension

Frank M. Spear, DDS, MSD

July/August 2007 Issue - Expires Monday, August 31st, 2009

Inside Dentistry

Abstract

Vertical dimension is a highly debated topic in dentistry. Differences of opinion over how vertical dimension should be established, whether it can be modified, and what the outcome of modification will be can become confusing for those dentists searching for the right treatment for their patients. The fact is that there are multiple different approaches because there are several correct ways to alter vertical dimension. This article will address the most common reasons dentists consider altering vertical dimension, their five top areas of concern, and the methods by which vertical dimension can be established.

You must be signed in to read the rest of this article.

Login Sign Up

Registration on CDEWorld is free. Sign up today!
Forgot your password? Click Here!

In dentistry there are areas of interest that provoke heated debate among different groups of practitioners. Vertical dimension is one of those topics. There are practitioners who vehemently defend their position as to how vertical dimension should be established, whether it can be modified, and what the outcome will be if it is modified incorrectly. Other practitioners hold the exact opposite beliefs with equal intensity. These differences of opinion become confusing, because most clinicians are searching for the right answer with regard to how patients should be treated. As a general rule, any time multiple different approaches exist for a long period of time in dentistry, it is probably because there are several correct answers to the same problem. As we will see, that is the case with vertical dimension.

Understanding Occlusal Vertical Dimension

The Glossary of Prosthodontic Terms defines “occlusal vertical dimension” as the distance between any point on the maxilla and any point on the mandible where the teeth are in maximum intercuspation. Commonly, nasion and menton are used for these points.

Vertical Dimension During Growth and Development

Three factors affect the occlusal vertical dimension during growth and development: the growth of the ramus, the gonial angle of the mandible, and the eruption of the teeth. As the ramus grows, the teeth continue to erupt, maintaining the occlusion. There can be, however, significant differences in the length of the ramus, which has a significant impact on anterior facial height or “vertical dimension.” In what would be considered normal or ideal ramus development, the midface, measured from glabella to the base of the nose, is roughly equal in measurement to the lower face measured from the base of the nose to the bottom of the chin at the completion of growth. As ramus length varies, both anterior facial height and tooth display vary. Differences in ramus length are primarily influenced by genetic variations.1-11 A patient who has a short ramus with normal posterior tooth eruption will have an increased anterior facial height and an anterior open bite. Often, however, the anterior teeth in such a patient overerupt to maintain the occlusion, creating both excessive tooth and gingival display. Commonly, the patient with a short ramus shows a long lower facial height when compared with their midfacial height. This patient has excessive gingival display and is often treated with a maxillary impaction to decrease their vertical dimension (Figure 1 and Figure 2).12-16 A patient who has a long ramus with normal posterior tooth eruption will have the opposite facial appearance to that of the person with a short ramus. Commonly, this patient will have a very short lower face in comparison to their midface and may have inadequate maxillary tooth display. Unlike the long, slender face of the short ramus patient, the long ramus patient may have a very square face (Figure 3 and Figure 4). Treatment of the vertical dimension of the long-ramus patient often involves a double jaw surgery to rotate the chin inferiorly as well as the maxilla to increase lower facial height and increase maxillary tooth display. This surgery has the impact of lengthening the overall face and increasing the patient’s vertical dimension while at the same time maintaining the length of the ramus or overall posterior vertical dimension.17-22 The patient’s gonial angle also has an impact on the patient’s anterior vertical dimension. A patient with an acute gonial angle has a tendency to mimic the facial features of a patient with a long ramus, with a square face and short lower face compared to his or her midface. These patients are commonly referred to as having a flat mandibular plane angle. Patients who have more obtuse gonial angles mimic the appearance of patients with short ramus heights, with a long narrow face, excessive tooth and gingival display, and a long lower face when compared to their midface. Patients with more obtuse gonial angles often are referred to as having steep mandibular plane angles. There appears to be some evidence that the formation of the gonial angle may be influenced by the strength of the masseter muscle. The stronger and more developed the masseter muscle is, the more pronounced or acute the gonial angle is (Figure 5).22,23 In addition to ramus length and gonial angles, tooth eruption plays a critical role in the development of a patient’s vertical dimension. In normal growth and development, the maxillary and mandibular teeth erupt to maintain occlusal contact as the face grows. There can be variations, however, in tooth eruption that can result in alterations in facial vertical dimension. After growth is completed, tooth eruption is necessary to maintain the vertical dimension if any wear occurs. If eruption occurs at the same rate as tooth wear, the vertical dimension of the patient will be unchanged. If, however, the eruption does not keep up with tooth wear, the vertical dimension may decrease with time. The question of whether eruption keeps up with tooth wear to maintain vertical dimension is one of the most heated debates in dentistry.24-27

Clinical Alterations of Vertical Dimension

Having described how vertical dimension is established during growth and development, it is now important to discuss why vertical dimension might be changed clinically. The most common reasons dentists consider altering vertical dimension are:

  • to improve esthetics by altering facial form and/or tooth and gingival display;
  • to improve occlusal relationships, such as correcting anterior open bites; and
  • to gain space for the restoration of short or worn teeth.

 

Practitioners often mention five areas of concern about altering vertical dimension. Will the vertical alteration have a negative effect on the temporal mandibular joint? Will muscle pain be a side effect of the change in vertical dimension? Will the vertical dimension be stable in its new position? Will muscle activity levels be altered, increasing bite force and potentially increasing the failure rate of restorations? Will speech be affected in a negative way?

Effects on the Temporal Mandibular Joint

To address these concerns, it is helpful to evaluate the literature on the alteration of vertical dimension and its impact in each of the five areas. With regard to pain in the temporal mandibular joint, the literature is clear that if the joint is comfortable at the existing vertical dimension, it is highly unlikely that the joint will experience any discomfort at an altered vertical dimension. It is possible, however, in the event of anterior disc displacement, that altering vertical dimension may change the relationship of how the condyle compresses retrodiscal tissue posterior to the displaced disc (Figure 6). In some instances, increasing the vertical dimension may benefit the relationship of the condyle to the disc, whereas in other circumstances it is possible that a change in vertical dimension may have a negative effect. If the patient is having significant joint symptoms, it will be necessary to try out any vertical changes in an appliance to predict the impact of the vertical dimension on the patient’s symptoms. It is critical that when the vertical dimension is altered, there are stable posterior occlusal contacts, because a lack of posterior occlusion can significantly increase the load on the joints. Alterations in vertical dimension do not have a negative impact on temporal mandibular joints unless the joint suffers from an internal derangement. Even then there is a high likelihood that a vertical alteration will not negatively affect the joint.28-31

Muscle Pain

The next area of concern in altering vertical dimension is the impact regarding muscle pain. When evaluating the literature it is prudent to examine how the research was done. There are several papers that have concluded that altering vertical dimension produces symptoms such as headaches, muscle aches, and muscle fatigue.32-34 The problem with several of these research projects is that they altered vertical dimension by building up only the posterior teeth without any anterior contact or anterior guidance. At the end of the study, several of the patients reported muscle symptoms and it was concluded that it was a result of the change in vertical dimension. In fact, the patients were left with an occlusal scheme that would not be created clinically. If the articles regarding the impact of vertical dimension changes on muscles are limited to those that created an ideal occlusal scheme simply at different vertical dimensions, it is clear that altering vertical dimension does not produce muscle pain. In fact, less than 5% of the patients had any short-term muscle awareness, which disappeared 2 weeks after the vertical alteration.35-40

Stability of Altered Vertical Dimensions

Another area of concern that generates heated debate is the stability of the vertical dimension after any changes. Two basic schools of thought exist. One believes that any change in vertical dimension will be followed by a return to the previous vertical dimension through tooth intrusion or tooth eruption. This group believes that the length of the masseter muscle and medial pterygoid are fixed and, therefore, any alteration in the vertical dimension of occlusion will revert back to the previous vertical dimension because of the fixed nature of the muscles (Figure 7). The second group believes that vertical dimension is adaptable and that changes in the vertical dimension of occlusion are maintained because of an alteration in the length of the muscles. The fact that these arguments between the two groups have gone on for decades should give us some clue as to the confusion regarding stability.

It may be that both groups are correct some of the time. The literature definitely shows examples of a relapse toward the original vertical dimension occurring after an alteration in vertical dimension. This relapse could be an increase in vertical dimension after a significant closing of the vertical dimension, which might occur after maxillary impaction surgery. However, the relapse in these circumstances may be only a small percentage of the actual change that occurred.41-43 Conversely, certain clinical procedures may be associated with significant relapse, such as down-fracturing the maxilla to increase tooth display and facial height in the patient with a long ramus and square face. Immediately after surgery, the vertical change may look excellent, but statistically these patients experience significant relapse.44-46

It is for this reason that today these patients are treated with double-jaw surgery, because the posterior portion of the mandible, including the insertion of the masseter and medial pterygoid muscle, is not altered during the surgery. Instead, the body of the mandible and the maxilla are rotated inferiorly to improve tooth display and facial height while maintaining the length of the muscles (Figure 8). This surgical approach has proven very stable.

The two previous examples involved orthognathic surgery and significant alterations to vertical dimension. Literature searches on more traditional methods of altering vertical dimension, such as through the use of restorative dentistry, do not show clear conclusions with regard to stability. Some articles show very little or no relapse occurring, whereas others indicate a more significant relapse occurring. In some instances, the patients with the highest percentage of relapse were those who had the smallest actual change in vertical dimension.47-52

The reason so much confusion exists regarding stability may in fact have to do with the geometry of the temporal mandibular joint, masseter muscle, medial pterygoid muscle, and anterior teeth. Most alterations to vertical dimension are measured at the anterior teeth, with a 3-mm alteration in anterior vertical dimension resulting in less than 1 mm of change in masseter muscle length. Additionally, if the condyle is seated in the fossa of the temporal mandibular joint during treatment, for each millimeter the condyle is seated vertically the masseter muscle length is reduced almost 1 mm. It is, therefore, possible that if the condyle is seated as the anterior vertical dimension is increased, there will be minimal, if any, change in masseter or medial pterygoid muscle length, and there would be no expectation of relapse (Figure 9). However, if there was no alteration in the vertical position of the condyle as the anterior vertical dimension was increased, a change in muscle length would have occurred, and may be responsible for any relapse.

Because none of the studies47-52 assessed the change in condylar position and related it to the alteration in anterior vertical dimension, it is impossible to make that conclusion. The real question concerning stability is what clinical impact any relapse would have on the patient. It would appear that even in the studies where some relapse occurred, the patients involved were basically unaware of the relapse and experienced no symptoms. Unless an operator was evaluating vertical dimension using radiography, the clinician would not see any changes posttreatment (Figure 10). The conclusion concerning stability is that it is an unknown entity; that is, the patient may or may not experience some relapse, but the treatment will remain successful.

Impact on Muscle Activity Levels

The fourth area of concern when altering vertical dimension is the impact on muscle activity levels. There are two components to the activity levels of muscles: the muscle activity level when the mandible is at rest and the muscle activity level when the patient is clenching. As the vertical dimension is increased, resting muscle activity actually decreases. The more open the vertical dimension is, the less activity is present in the muscles in a postural position. This decrease in muscle activity occurs until there is approximately 10 mm to 12 mm of anterior vertical opening. Opening beyond 10 mm to 12 mm starts to increase elevator muscle activity. Interestingly enough, if the vertical change is maintained for 3 to 4 months, the resting muscle activity returns to a level closely matching the pretreatment resting muscle activity level, although the vertical dimension has not been decreased.53-56

The impact of increasing vertical dimension on clenching muscle activity is the opposite; as the vertical dimension is increased, the electrical activity level in the elevator muscles increases during clenching beyond their pretreatment level. Again, however, if the vertical dimension is maintained for 3 to 4 months, this increased level of clenching electrical activity similarly reduces to pretreatment levels.57-60 In summary, although there is an initial change both in resting and clenching activity levels, after 3 to 4 months at the new vertical dimension, the muscle activity is similar to pretreatment levels. This is a critical finding because any treatment that attempts to modify muscle activity levels by altering vertical dimension can only be successful on a short-term basis because of the body’s natural neuromuscular adaptability.

Effects on Speech

The final area of concern when altering vertical dimension concerns phonetics, particularly the sibilant or “S” sounds. As a general rule, there is a high level of adaptability by most patients with regard to speech. After a short period of time, usually 1 week to 4 weeks, most patients will learn to reprogram their speech patterns to any alterations that have been made dentally. There are, however, patients in whom this adaptation does not occur. To understand how this might be related to vertical dimension it is important to understand the differences in how patients make sibilant sounds. The majority of people make “S” sounds by moving their mandible forward so that the incisal edges of the mandibular incisors are end-to-end with the incisal edges of the maxillary incisors (Figure 11). For these patients, it is the incisal edge position of the teeth that can create phonetic problems if a significant increase in incisal edge length occurred to either the maxillary or mandibular incisors. The teeth may now collide during the “S” sounds, generally resulting in a whistling or slurring any time a sibilant sound is made. This can be evaluated clinically by simply having the patient say “66” or “77” and watching to see if the anterior teeth touch during the sibilant sound. If they do, and the patient has been given 2 to 4 weeks to adapt and has not, it will be necessary to shorten either the upper or the lower incisor. If the upper incisor can be shortened it is possible to correct the phonetics and not alter the centric occlusal contacts at all. However, although it is possible to shorten the lower incisor to correct speech, it is necessary to remove the centric contact on the lingual of the maxillary incisor. If the centric contact can be gained by adding material to the lingual of the maxillary incisor, vertical dimension will not be affected. However, if it is not possible to add material on the lingual of the maxillary incisor, it will be necessary to either close the vertical dimension to regain centric contact restoratively or leave the patient with an anterior open bite, risking secondary eruption and instability (Figure 12).

The second method by which patients make sibilant sounds is between the mandibular incisal edge and the lingual contour of the maxillary incisors. If vertical dimension has been increased restoratively in these patients, any problems with phonetics will be between the mandibular incisal edge and the lingual contour of the maxillary incisors. Again, if after 2 to 4 weeks of adaptation the patient is still having difficulty making “S” sounds, it will be necessary to provide a speaking space. This can be done by shortening the lower incisor or removing material from the lingual of the maxillary incisor. In either case, however, it is highly likely that the centric contact will be removed and since the “S” sound is now made on the lingual of the maxillary anterior teeth, the only method to regain anterior contact is to close the vertical dimension.61-65 In summary, with regard to the five major concerns about altering vertical dimension, it is obvious from reviewing the literature that changes in vertical dimension are well tolerated in the majority of patients and there is no evidence that there is only one correct vertical dimension.

Determining a New Vertical Dimension

The next question that clinicians frequently ask is how to determine a new vertical dimension. Historically, several techniques have been used, many from denture prosthodontics.

Using Freeway Space

The first technique most dentists are exposed to concerning vertical dimension is the use of freeway space. Freeway space is defined as the distance between the maxillary and mandibular teeth when the mandible is in its postural position. Several different techniques have been used to reproduce this postural position, from having the patient say “M,” to having them lick their lips, swallow, and relax. Most schools advise a 2-mm to 4-mm freeway space as normal, so if there is a desire to increase the vertical dimension on a denture it is necessary that the patient have more than 4 mm of freeway space with their existing dentures. The freeway space then determines how much the vertical dimension can be increased. This method of using freeway space to determine vertical dimension has been used for decades in denture prosthodontics. It is important to note, however, that freeway space is only being used to mount the models and set the teeth for the denture try-in. At the try-in, phonetics and esthetics are used to refine final incisal edge position and vertical dimension. The challenge of using freeway space for patients who still have their natural teeth is that as the vertical dimension is changed, multiple studies have found that freeway space recreates itself within the subsequent 4 weeks. Because of this, the use of freeway space to determine whether vertical dimension can be altered is not supported by research for patients who still have natural teeth.66-77

Trial Appliances

Another method of determining vertical dimension is the use of a trial splint or appliance. The patient is asked to wear an acrylic appliance, typically for 3 months, to evaluate if the new vertical dimension can be tolerated. The theory behind this is that the patient will experience pain if the vertical dimension is not acceptable, but the challenge of this approach is that outside of a few patients with temporal mandibular joint problems, altering vertical dimension does not produce pain. Although the appliance may be very useful to determine other elements of treatment or to aid in muscle deprogramming, it does not provide specific information regarding vertical dimension.

Transcutaneous Electrical Neural Stimulation

A third methodology that has also been used for decades to determine vertical dimension is the use of transcutaneous electrical neural stimulation (TENS). In this approach, electrodes are applied over the coronoid notch and a mild, cyclic electrical current is generated to stimulate contraction of the muscles of mastication by way of the cranial nerves. The surface electrical activity of the temporalis, masseter, and digastric muscles are recorded electromyographically, and a jaw-tracking device evaluates the position of the mandible relative to the maxilla. A baseline electromyographic reading is taken before any muscle relaxation. The TENS unit is then started to relax the muscles of mastication and the electrical activity of the muscles evaluated. Neuromuscular rest is achieved when the elevator muscles are at their lowest level of activity without an increase in the electrical activity of the digastric muscles. This neuromuscular rest position is thought to be the starting point for the building of the occlusion. The operator closes up from this position for the “new” amount of freeway space, effectively using the combination of neuromuscular rest and freeway space to determine the new occlusal vertical dimension. The primary flaws of this approach relate to the neuromuscular adaptability of patients. As discussed earlier, the resting electrical activity of muscles, as well as freeway space, relapse toward pretreatment levels from 1 month to 4 months posttreatment. Also, this approach often results in a vertical dimension more open than the patient’s existing vertical dimension, which can lead to the need for an extensive amount of restorative dentistry and extremely large teeth, simply to accommodate the vertical dimension that was dictated by the equipment.

Measurements Using the Cementoenamel Junction

Another methodology that has been described78,79 to determine vertical dimension is to measure from the cemento-enamel junction (CEJ), or gingival margins of the maxillary central incisors to the CEJ, or gingival margins of the mandibular central incisors. This distance is then compared to the 18-mm to 20-mm average distance seen in a dentition of unworn teeth and a class I occlusion. If this distance is less than 18 mm, it probably indicates a loss of vertical dimension and is, therefore, a rationale for increasing it. The primary flaw of this approach is that the anterior teeth do not establish the vertical dimension of occlusion; it is established by the length of the ramus and the eruption of the posterior teeth. Measuring the distance between the CEJ or gingival margins simply evaluates the amount of anterior tooth eruption, not the vertical dimension of occlusion. It is in fact possible to have an extremely diminished CEJ-to-CEJ distance in the anterior and a perfectly normal vertical dimension of occlusion. This can occur commonly in patients with severe anterior tooth wear and no posterior tooth wear (Figure 13).80 Most clinicians examine the worn anterior teeth and decide to open the bite to gain space for restoration, when in fact by intruding the worn anterior teeth or crown lengthening them to correct the gingival levels the patient could be treated at the existing vertical dimension (Figure 14 and Figure 15). As a general rule, if the posterior teeth are present, unworn, and in occlusion, it is highly unlikely that the patient has lost vertical dimension. If there is a lack of space to restore the anterior teeth it is also likely that orthodontics or crown lengthening would allow the patient to be treated without the need to treat their posterior teeth.

The Method of Facial Proportion

As discussed in the introduction, facial proportion is another method that has been described in the literature81,82 for determining vertical dimension. In this approach, the theory is that the vertical dimension of occlusion should be created in a way that corrects facial proportion. In an ideal face, the midface and the lower face are approximately equal in height. The method of facial proportion alters the length of the lower face to correspond to the length of the midface by altering the length of the teeth. Although this approach may be entirely appropriate for an orthognathic surgeon who has the ability of making significant alterations in mandibular position, it is extremely difficult for an orthodontist or restorative dentist to make large variations in vertical dimension that would influence facial proportion and still allow a correct occlusal relationship. As the vertical dimension is increased or decreased, overjet is also altered significantly; for each 3-mm vertical change in the anterior teeth, there is approximately a 2-mm horizontal change in an anteroposterior dimension. This 2-mm change is an alteration in overjet. Therefore, attempting to increase the vertical dimension by 6 mm will result in a 4-mm increase in overjet, making it almost impossible to have correct anterior occlusal contact unless the patient started out with a class III occlusion. In addition to this fundamental flaw regarding overjet, it is almost impossible for the orthodontist or restorative dentist to correct facial proportion if the patient’s lower face is excessively long and the vertical dimension needs to be closed. Finally, in a study evaluating whether dentists were capable of seeing the facial differences caused by changes in vertical dimensions of 2 mm, 4 mm, 6 mm, or 8 mm, Gross83 found that until the change reached 8 mm, dentists were unable to assess the difference in facial features. This is quite logical, as the only time a patient’s vertical dimension of occlusion is generally evaluated is when their teeth are together; typically in most of life’s activities the teeth are apart and therefore not affecting facial proportion. In fact, it is the author’s belief that it is the change in tooth display when vertical dimension is opened that dramatically alters a patient’s esthetics, not the facial change be-cause of the change in vertical dimension.

Choosing the Right Vertical Dimension for the Patient

After reviewing many of the different techniques for determining vertical dimension it is easy to see the flaws in all of them, and yet they all have been used successfully, many of them for decades. This means that vertical dimension is a highly adaptable position, and there is no single correct vertical dimension. Furthermore, using a particular vertical dimension as the rationale to reconstruct teeth that otherwise do not need treatment is not scientifically justified. If the patient does need an extensive reconstruction, several different vertical dimensions could be successful. This ultimately leaves us with the question of which one to choose. In answering that question, and because many different vertical dimensions may be successful, it makes the most sense to the author to choose the one that satisfies the patient’s esthetic goals and the clinician’s functional goals. In many ways this is the simplest of all methods for determining vertical dimension: The first step is to mount the patient’s existing models with the seated condyle. The second step is to establish on the maxillary model the ideal maxillary central incisor incisal edge position, either in wax or composite. This position is arrived at by evaluating the patient’s maxillary central incisor display with the upper lip at rest and in a full smile. The third step is to determine if any alteration to the lingual contour of the maxillary incisors is necessary, and if so, to perform that alteration in wax or composite as well. Essentially, the desired changes to the max-
illary central incisors have now been transferred to the model.

The fourth step is to close the articulator and evaluate the anterior and posterior occlusions. In some patients the desired changes to the maxillary anterior teeth may be made without a significant alteration to the anterior or posterior occlusion. However, in other patients the changes performed on the maxillary anterior will result in a posterior open bite when the articulator is closed. The decision that must be made is whether the posterior open bite will be closed by building up the posterior teeth and therefore opening the vertical dimension, or whether the posterior open bite will be closed by altering the mandibular incisors. In many patients either approach may be successful. Generally, evaluating which teeth need restoration guides the clinician as to whether the lower incisors should be modified or the posterior teeth built up. Whenever possible, using the patient’s existing vertical dimension makes it easier for the patient to phase treatment over time. The fifth step, if necessary, is to modify the mandibular incisors, shortening them until the posterior teeth touch (if that was the ultimate decision). In many cases of severe wear, lengthening them to avoid the need for crown lengthening will now establish the new vertical dimension to which the posterior teeth will be built. The chosen vertical dimension should be a combination of the esthetics of the maxillary and mandibular incisor incisal edge position, the restorative needs of the anterior and posterior teeth, and the desired functional needs of overbite and overjet. It is arrived at on the articulator through trial and error, while balancing all the previous factors as well as attempting to do what is in the best interest of the patient. It is the adaptability of patients to alterations in vertical dimension that allows us to take this approach to treatment rather than to believe that only one vertical dimension can be acceptable (Figure 16, Figure 17, Figure 18, Figure 19, Figure 20, Figure 21 and Figure 22).

Conclusion

There are multiple acceptable vertical dimensions at which patients can be treated; therefore, using vertical dimension as a sole justification for treatment is not supported. In addition, if the patient’s posterior teeth are unworn and in occlusion, virtually all patients can be treated at their existing vertical dimension if they are willing to consider orthodontic movement of their anterior teeth or crown lengthening and restoration of their anterior teeth. At the same time, if a patient does need all of his or her dentition rehabilitated, increasing vertical dimension is a perfectly acceptable way of achieving the esthetics and functional results that are desired.

References

1. The Enigma of the Vertical Dimension. Published in 2000 by the Center of Human Growth and Development, The University of Michigan.

2. Bjork A, Skieller V. Facial development and tooth eruption. Am J Orthod. 1972;62: 339-383.

3. Bjork A. Skieller V. Normal and abnormal growth of the mandible: a synthesis of longitudinal cephalometric implant studies over a period of 25 years. Eur J Orthod. 1983;5:1-46.

4. Sassouni V. A classification of skeletal facial types. Am J Orthod. 1969;55:109-123.

5. Beckmann SH, Kuitert RB, Prahl-Anderson B, et al. Alveolar and skeletal dimensions associated with overbite. Am J Orthod Dentofacial Orthop. 1998;113:443-452.

6. Beckmann SH, Kuitert RB, Prahl-Anderson B, et al. Alveolar and skeletal dimensions associated with lower face height. Am J Orthod Dentofacial Orthop. 1998;113:498-506.

7. Nanda SK. Growth patterns in subjects with long and short faces. Am J Orthod Dentofacial Orthop. 1990;98:247-258.

8. Nanda SK. Patterns of vertical growth in the face. Am J Orthod Dentofacial Orthop. 1998;93:103-116.

9. Richardson A. Skeletal factors in anterior open and deep bite. Am J Orthod. 1969; 56:114-127

10. Brodie AG. On the growth pattern of the human head from the third month to the eighth year of life. Am J Anat. 1941;68: 209-262.

11. Janson GR, Metaxas A, Woodside DG. Variation in maxillary and mandibular molar and incisor vertical dimension in 12-year-old subjects with excess normal and shorter lower anterior face height. Am J Orthod Dentofacial Orthop. 1994;106:409-418.

12. Proffit WR, Field HW, Nixon WL, et al. Facial pattern differences in long-faced children and adults. Am J Orthod. 1984;85:217-223.

13. Proffit WR, Field HW, Nixon WL. Occlusal forces in normal and long-faced children. J Dent Res. 1983;62:571-574.

14. Fish LC, Wolford LM, Epker B. Surgical orthodontic correction of vertical maxillary excess. Am J Orthod. 1978;73:241-257.

15. Cangialosi T. Skeletal morphologic features of anterior open-bite. Am J Orthod. 1984; 85:28-56.

16. Van Spronsen PH, Weijs WA, Valk J, et al. A comparison of jaw muscle orientation and moment arms of long-face and normal adults. J Dent Res. 1996;75:1372-1380.

17. Bell WH. Correction of the short-face syndrome/ vertical maxillary deficiency; a preliminary report. J Oral Surg. 1997;35:110-120.

18. Opdebeec H, Bell WH. The short face syndrome. Am J Orthod. 1987;73:499-511.

19. Linder-Anderson S, Woodside DG. Some craniofacial variables related to small or diminishing lower anterior face height. Swed Dent J. 1982;15(Suppl):131-146.

20. Wessberg GA, Fish LC, Epker BN. The short-face patient: Surgical-orthodontic treatment options. J Clin Orthod. 1982;16:668-685.

21. Wessberg GA, Epker BN. Surgical inferior repositioning of the maxilla: treatment considerations and comprehensive management. Oral Surg Oral Med Oral Path. 1981; 52:349-356.

22. Brodie AG. On the growth pattern of the human head from the third month to the eighth year of life. Am J Anat. 1941;68: 209-262.

23. Ingervall B, Thilander B. Relation between facial morphology and activity of the masticatory muscles: An electromyographic and radiographic cephalometric investigation. J Oral Rehab. 1974;1:131-147.

24. Thompson IL, Kendrick GS. Changes in the vertical dimension of the human male skull during third and fourth decades of life. Anat Rec. 1964;150:209-214.

25. Tallgren A. Changes in adult face height due to aging, wear and loss of teeth and prosthetic treatment. Acta Odontol Scand. 1957;
15(Suppl 24):1-12.

26. Proffitt WK, Vig KW. Primary failure of eruption; a possible cause of posterior open-bite. Am J Orthod. 1981;80:173-190.

27. Gierie WV, Paterson RL, Proffit WR. Response of eruption human premolars to force application. Arch Oral Biol. 1999;44:423-428.

28. Kahn J, Tallents RH, Katzberg RW, et al. Association between dental occlusal variable and intraarticular temporomandibular joint disorders; horizontal and vertical overlap. J Prosthet Dent. 1998;79:658-662.

29. Rivera-Morales WC, Mohl ND. Relationship of occlusal vertical dimension to the health of the masticatory system. J Prosth Dent. 1991;
65:547-553.

30. Kovaleski WC, DeBoever J. Influence of occlusal splints on jaw positions and musculature in patients with temporomandibular joint dysfunction. J Prosthet Dent. 1975;33:321-327.

31. Manns A, Miralles R, Santander H, Valdivia J. Influences of the vertical dimension in the treatment of myofacial pain-dysfunction syndrome. J Prosthet Dent. 1983;50: 700-709.

32. Christensen J. Effect of occlusion-raising procedure on the chewing system. Den Pract Dent Rec. 1970;20:233-238.

33. Carlsson GE, Ingervall B, Kocak G. Effect of increasing vertical dimension on the masticatory system in subjects with natural teeth. J Prosth Dent. 1979;41:284-289.

34. Kohno S, Bando E. Functional adaptation of masticatory muscles as a result of large increases in the vertical dimension. Desch Zahnarzt.

35. Rugh JD, Johnson RW. Vertical dimension discrepancies and masticatory pain/disfunction. In: Abnormal Jaw Mechanics. Solberg WKC, ed. Chicago: Quintessence. 1984:117-133.

36. Sions DG, Mense S. Understanding and measurement of muscle tone as related to clinical muscle pain. Pain. 1998;75:1-17.

37. Tryde G, Stoltze K, Morimoto T, Salk D. Long term changes in the perception of comfortable mandibular occlusal positions. J Oral Rehabil. 1977;4:9-15.

38. De Boever JA, Adriaens PA, Seynhaeve TM. Raising the vertical dimension of occlusion with fixed bridges (abstract). J Dent Res. 1989;68:902.

39. Hellsing G. Functional adaptation to changes in vertical dimension. J Prosthet Dent. 1984;52:867-870.

40. Maxwell LC, Carlson DS, McNamara JA, Faulkner JA. Adaptation of the masseter and temporalis muscles following alteration in length with or without surgical detachment. Anat Rec. 1981;200:127-137.

41. Wessberg GA, O’Ryan FS, Washburn MC, Epker BN. Neuromuscular adaptation to surgical superior repositioning of the maxilla. J Maxillo Surg. 1981;9:117-122.

42. Hoppenreijs RJM, Freihofer HPM, Stoelinga PJW, et al. Skeletal and dento-alveolar stability of Le Fort I: intrusion osteotomies and bimaxillary osteotomies in an anterior open bite deformities: a retrospective tree-centre study. Int J Oral Maxillofac Surg. 1997;26:161-175.

43. Bailey LJ, Phillips C, Proffit WR, Turvey TA. Stability following superior repositioning of the maxilla by LeFort I osteotomy: five year follow-up. Int J Adult Orthod Orthodnath Surg. 1994;9:163-174.

44. Bell WH, Scheidman GB. Correction of vertical maxillary deficiency; stability and soft tissue changes. J Oral Surg. 1981;39:666-670.

45. Quejada JG, Bell WH, Kawamura H, Zhang X. Skeletal stability after inferior maxillary repositioning. Int J Adult Orthodon Orthognath Surg. 1987;2:67-74.

46. Ellis E III, Carlson DS, Frydenlund S. Stability and midface augmentation; an experimental study of musculoskeletal interaction and fixation methods. J Oral Maxillofac Surg. 1989;47:1062-1068.

47. Dahl BL, Krogstead O. Long term observations of an increase occlusal face height obtained by a combined orthodontic/ prosthetic approach. J Oral Rehabil. 1985; 12:173-176.

48. Ismail YH, George WA, Sassouni V, Scott RH. Cephalometric study of the changes occurring in the face height following prosthetic treatment. I. Gradual reduction of both occlusal and rest face heights. J Prosthet Dent. 1968;19:321-330.

49. Ismail YH, Sassoun I V. Cephalometric study of the changes occurring in the face height following prosthetic treatment. II. Variability in the rate of face height reduction. J Prosthet Dent. 1968;19:331-337.

50. Tallgren A. The continuing reduction of the residual alveolar ridges in complete denture wearers: a mixed-longitudinal study covering 25 years. J Prosthet Dent. 1972;27:120-132.

51 Forsberg CM, Eliasson S, Westergren H. Face height and tooth eruption in adults-a 20-year follow-up investigation. Eur J Orthod. 1991;13:249-254.

52 Dahl BL, Krogstad O. The effect of a partial bite raising splint on the occlusal face height: An x-ray cephalometric study in human adults. Acta Odontol Scand. 1982; 40:17-24.

53. Manns A, Miralles R, Guerrero F. The changes in electrical activity of the postural muscles of the mandible upon varying the vertical dimension. J Prosthet Dent. 1981;45:438-445.

54. Michekatti A, Farella M, Vollaro S, Martina R. Mandibular rest positions and electrical activity of the masticatory muscles. J Prosthet Dent. 1997;78:48-53.

55. Miles TS, Poliakov AV, Nordstrom MA. Responses of human masseter motor units to stretch. J Physiol. 1995;483:251-264.

56. Carr AB, Christensen LV, Donegan SJ, Ziebert GJ. Postural contractile activities of human jaw muscles following use of an occlusal splint. J Oral Rehabil. 1991;18:185-191.

57. Manns A, Miralles R, Palazzi C. EMG, bite force, and elongation of the masseter muscle under isometric voluntary contractions and variations of vertical dimension.J Prosthet Dent. 1979;42:674-682.

58. Morimoto T, Abekura H, Tokeyama H, Hamada T. Alteration in the bite force and EMG activity with changes in the vertical dimension of edentulous subjects. J Oral Rehabil. 199623:336-341.

59. Lindauer SJ, Gay T, Rendell J. Effect of jaw opening on masticatory muscle EMG-force characteristics. J Dent Res. 1993;72:51-55.

60. Nakamura T, Inoue T, Ishigaki S, Maruyama T. The effect of vertical dimension change on mandibular movements and muscle activity. Int J Prosthodont. 1988;1:297-301.

61. Hammond RJ, Beder OF. Increased vertical dimension and speech articulation errors. J Prosthet Dent. 1984;52:401-406.

62. Howell PG. Incisal relationship during speech. J Prosthet Dent. 1986;56:93-99.

63. Howell PG. The variation in the size and shape of the human speech pattern with incisor tooth relation. Arch Oral Biol. 1987; 32:587-592.

64. Stoller D. Mass examinations of the smallest vertical dimension during speech in 2000 persons. Scweiz Mschr Zahnbeilk. 1969; 79:735-751.

65. Benediktsson E. Variation in tongue and jaw position in “S” sound production in relation to front teeth occlusion. Acta Odontol Scand. 1958;15:275-303.

66. Atwood DA. A critique of research of the rest position of the mandible. J Prosth Dent. 966;16:848-854.

67. Babu CL, Singh S, Rao SN. Determination of vertical dimension of rest. A comparative study. J Prosthet Dent. 1987;58:238-245.

68. Garnick J, Ramfjord SP. Rest position-an electromyographic and clinical investigation. J Prosth Dent. 1962;12:895-911.

69. Feldman S. Rest vertical dimension determined by electromyography with biofeedback as compared to conventional methods. J Prosth Dent. 1978;84:216-219.

70. Atwood DA. A cephalometric study of the rest position of the mandible. Part I. J Prosth Dent. 1956;6:504-519.

71. Rugh JD, Drago CJ. Vertical dimension; A study of clinical rest position and jaw muscle activity. J Prosth Dent. 1981;45:670-675.

72. Thompson JR. The rest position of the mandible and its application to analysis and correction of malocclusion. Angle Orthod. 1949;19:162-187.

73.Thompson JR. The rest position of the mandible and its significance to dental science. J Am Dent Assoc. 1946;33:151-180.

74.Fish F. The functional anatomy of the rest position of the mandible. Dent Pract Dent Rec. 1961;11:178-188.

75. Gross MD, Ormianer Z. A preliminary study on the effect of occlusal vertical dimension increase on mandibular postural rest position. Dent Pract Dent Rec. 1961;11:178-188.

76. Ormianer Z, Gross M. A 2-year follow-up of mandibular posture following an increase in occlusal vertical dimension beyond the clinical rest position with fixed restorations. J Oral Rehabil. 1998;25:877-883.

77. Lund P, Nishiyama T, Moller E. Postural activity in the muscles of mastication with the subject upright, inclined, and supine. Scand J Dent Res. 1970;78:417-424.

78. Lee RL. Esthetics and its relationship to function. In: Fundamentals of Esthetics. Refenauct CR, ed. Quintessence.

79. Dumont TD. The Ideal Biologic Dental Model. OBI Foundation for Bioesthetic Dentistry. Rev. 2004.

80. Murphy T. Compensatory mechanisms in facial height adjustments to functional tooth attrition. Aust Dent J. 1959;4:312-323.

81. Rifkin R. Facial analysis: A comprehensive approach to treatment planning in aesthetic dentistry. Pract Periodontics Aesthet Dent. 2000;12:865-871.

82. McLaren EA, Rifkin R. Macroesthetics: facial and dentofacial analysis. J Calif Dent Assoc. 2002;30:839-846.

83. Gross MD, Nissan J, Ormianer Z, et al. The effect of increasing occlusal vertical dimension on face height. Int J Prosthodont. 2002; 15:353-357.

About the Author

Frank M. Spear, DDS, MSD
Founder and Director
Seattle Institute for Advanced Dental Education
Seattle, Washington

Affiliate Assistant Professor
University of Washington
School of Dentistry
Seattle, Washington

Private Practice
Seattle, Washington

Figure 1  A patient with a short ramus exhibiting a long anterior facial height, excessive tooth and gingival display, and a significantly longer, lower face than midface. The patient shows 8 mm of tooth at rest, 5 mm more than would be normal for her age.

Figure 1

Figure 2   Before and after photographs of the patient seen in Figure 1 after a maxillary impaction to reduce the excessive tooth and gingival display and reduce the vertical dimension.

Figure 2

Figure 3  A patient with a long ramus. Note the reduced anterior facial height and very square facial appearance.

Figure 3

Figure 4  Before and after photographs of the patient seen in Figure 3 after double-jaw surgery to rotate the mandible and the maxilla inferiorly, increasing tooth display and anterior facial height.

Figure 4

Figure 5   The impact of ramus length and gonial angle on lower facial height and mandibular plane angle. Note the reduced lower facial height in the example with a long ramus and flat angle, and the exaggerated lower facial height in the example with the short ramus and steep angle.

Figure 5

Figure 6  This illustration shows how the condyle compresses retrodiscal tissue after anterior disc displacement.

Figure 6

Figure 7  This illustration shows how the masseter muscle is related to anterior vertical dimension via its insertion points on the maxilla and the mandible.

Figure 7

Figure 8  A superimposition of the before and after cephalometric radiographs from the patient in Figures 3 and 4. There has been no change in molar position but a 5-mm inferior movement of the chin has increased the anterior vertical dimension without changing the posterior vertical dimension.

Figure 8

Figure 9   This illustration shows the geometry relating increases in anterior vertical dimension to decreases in posterior vertical dimension from the seating of the condyle.

Figure 9

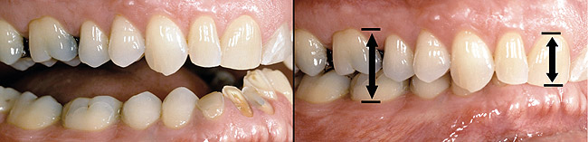
Figure 10  Three stages in the treatment of a patient whose vertical dimension was increased. At the far left is the pretreatment vertical dimension. The middle shows the provisional restorations 6 months postinsertion. The far right shows 5 years after seating of the final restorations. It appears that during the 4.5 years between the middle photograph and the right photograph no change has taken place in terms of vertical relapse. However, it is possible—had this patient not been monitored with cephalometric radiographs—for some relapse to have occurred in the distance between the maxilla and the mandible without the patient or the clinician realizing it, and with the occlusion remaining the same.

Figure 10

Figure 11  Patients use different methods to create sibilant sounds. On the far left is the intercuspal position. In the middle, a patient makes sounds using the lingual of the maxillary incisors. On the far right is a patient who postures the mandible forward, making sibilant sounds between the maxillary and mandibular incisal edges.

Figure 11

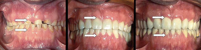
Figure 12  On the left is the patient seen in Figure 10, 1 month after the provisional restorations had been placed, increasing the vertical dimension. On the right is this patient saying “66” and lisping during sibilant sounds. It was necessary to reduce the mandibular incisors to correct phonetics.

Figure 12

Figure 13  On the left, is a 29-year-old patient with minimal or no posterior wear but severe anterior wear. On the right is the same patient in occlusion. Measuring from the gingival margins of the anterior teeth makes it appear as though the patient has lost a vertical dimension but this is an illusion because of the overeruption of the worn anterior teeth.

Figure 13

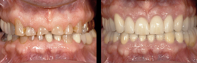
Figure 14  Initial and treatment photographs of the patient seen in Figure 13. The mandibular anterior teeth have been built up and then orthodontically intruded, creating space for restoration.

Figure 14

Figure 15  Before and after photographs of the patient seen in Figures 13 and 14. The patient was treated with orthodontics and four maxillary incisors and four mandibular incisor full crowns. No changes were made to the patient’s vertical dimension.

Figure 15

Figure 16   The initial presentation of a 65-year-old man with severe anterior tooth wear desiring esthetic improvement.

Figure 16

Figure 17   On the left of the full-smile photograph, the white line illustrates the desired incisal position of the maxillary anterior teeth. On the right is a lip at rest, illustrating that the existing teeth are 2.5 mm under the upper lip.

Figure 17

Figure 18  A view of the patient’s mounted models. There is severe wear and secondary eruption of the anterior teeth with minimal wear of the posterior teeth.

Figure 18

Figure 19  On the right, the desired alterations for the maxillary incisors have been made in wax. The mandibular incisors were reduced in length until the posterior teeth were in occlusion. The photograph on the left shows how much the mandibular incisors would need to be shortened to allow for the change in the maxillary anterior teeth with no change in vertical dimension.

Figure 19

Figure 20  On the left, the desired changes in the maxillary incisors have been made in wax. The mandibular incisors have been waxed to a normal length and the articulator has not yet been closed down. On the right, the articulator is now closed until anterior contact occurs. At that point the decision can be made as to whether the anterior relationship is acceptable or not. If it is deemed acceptable, then the incisors have created the new occlusal vertical dimension and the posterior teeth would now be built into contact.

Figure 20

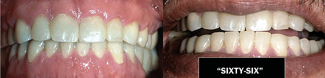
Figure 21  These before and after photographs appear to show a significant increase in vertical dimension; however, the maxillary anterior teeth have had 4 mm to 5 mm of periodontal crown lengthening. Although this patient’s entire mouth was reconstructed at once, the vertical dimension was increased only 1.5 mm because the patient already had excessive overjet.

Figure 21

Figure 22  Before and after photographs illustrate a significant change in appearance, primarily because of a significant change in tooth display with minimal alteration in vertical dimension.

Figure 22

Learning Objectives:

  • explain how vertical dimension is established during growth and development.
  • discuss the five most common concerns of practitioners when considering an alteration of vertical dimension.
  • describe the different beliefs about how vertical dimension should be established.

Disclosures:

The author reports no conflicts of interest associated with this work.

Queries for the author may be directed to justin.romano@broadcastmed.com.