CDEWorld > Courses > Margin Placement for Anterior Esthetic Restorations

CE Information & Quiz

Margin Placement for Anterior Esthetic Restorations

Frank M. Spear, DDS, MSD

March 2006 Issue - Expires Monday, March 31st, 2008

Inside Dentistry

Abstract

When preparing margins for anterior esthetic restorations, the greatest biologic risk occurs when placing them subgingivally. Although there are many common reasons why clinicians may elect to extend a margin below tissue, the negative responses that may occur include violating the biologic width and visually exposed recession. This article describes the clinical options available today that enable predictable placement of esthetic, intracrevicular margins while maintaining optimal, long-term gingival health.

You must be signed in to read the rest of this article.

Login Sign Up

Registration on CDEWorld is free. Sign up today!
Forgot your password? Click Here!

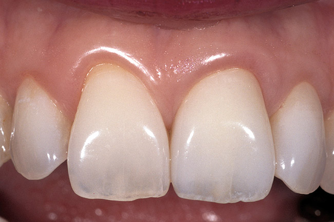
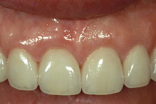
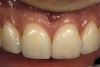
A clinician is faced with 3 options for for margin placement when considering an anterior esthetic restoration: supragingival, equigingival (ie, even with tissue), and subgingival.1 The supragingival or equigingival margin will have the least impact on the periodontium and, classically, was only used in nonesthetic areas because of the stark contrast in color and opacity of traditional restorative materials. With the advent of adhesive dentistry, resin cements, and more translucent restorative materials, the ability to place supragingival or equigingival margins even in esthetic areas is now a reality (Figure 1 and Figure 2). The primary requirement of a material to enable its use in esthetic areas supra- or equigingivally is a high level of cervical translucence. Materials such as feldspathic porcelain, as well as pressable ceramics, meet this requirement. Consequently, whenever possible, these restorations should be chosen not just for their esthetic advantages, but for their favorable periodontal impact as well. The greatest biologic risk occurs when placing subgingival margins.2

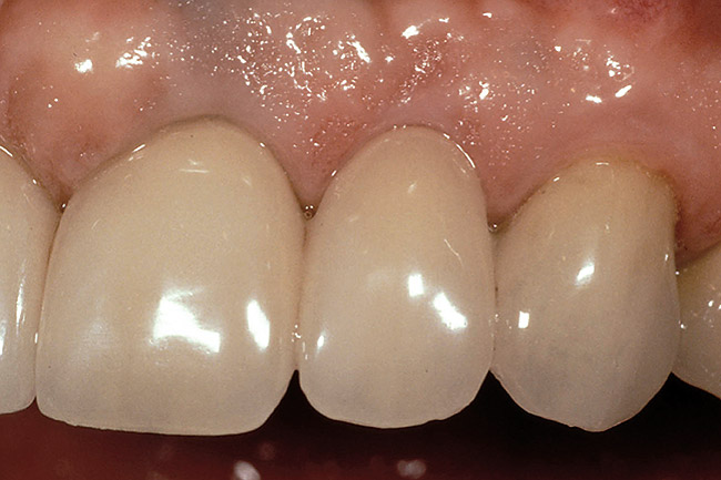
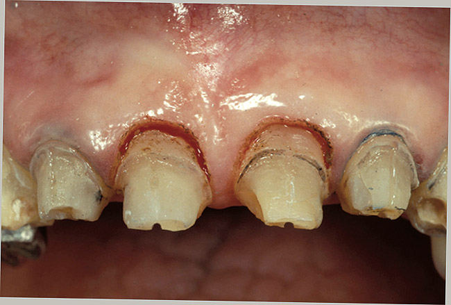
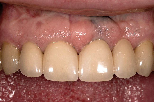
The most common reasons to extend a margin below tissue are: caries below gingiva; old restorations that already exist below gingiva; to achieve adequate tooth preparation length for proper retention and resistance; to make significant contour alterations; to hide the margin when the tooth is discolored (Figure 3 and Figure 4); and to hide the margin when the restorative material of choice demonstrates optical properties different from those of the natural tooth such that the margin would be highly visible. Regardless of why a subgingival margin is chosen, there are 2 negative responses that may occur.

First, the margin may be too deep, violating the biologic width. This will most likely result in inflammation unless some bone loss also occurs. The second negative result that can occur following subgingival margin placement is recession that visually exposes the margin of the restoration. This most likely occurs when the margins are placed in unstable tissue.

To clarify this, consider the eruption patterns of normal teeth.3 First, active eruption occurs when root development moves the crown into the mouth and, on average, moves the cementoenamel junction (CEJ) 2mm coronal to the osseous crest. Second, passive recession occurs, causing the gingiva to recede to its normal position 1mm to 2mm above the CEJ, leaving a facial sulcus depth of 1mm to 2mm in the average human. Consider the tissue stability if the patient has not had normal passive recession and instead has several millimeters of excess tissue still covering the crown of the tooth. This tissue margin is now several millimeters coronal to the top of the epithelial attachment (ie, a deep sulcus is present). When the clinician places a subgingival margin in this area, the tissue is traumatized from the restorative procedures and, within a short time, the margins are exposed because the trauma of the procedure caused the unstable tissue to recede.

There are other variables that have been described in the literature as impacting the likelihood of recession.4 These include whether the gingiva is thick and fibrotic or thin and fragile, and whether the periodontium is highly scalloped or flat in its gingival form. It has been found that highly scalloped, thin gingiva is more prone to recession than a flat periodontium with thick, fibrous tissue.

Margin Placement Based on Periodontal Variables

One method proposed to address margin placement and variations in tissue is the use of bone and the total tissue height above bone as a reference for evaluating the periodontium. This concept developed from evaluating and classifying 3 types of periodontium: the high crest, average crest, and low crest periodontium.5 In the average-crest patient, sounding the periodontium on the facial reveals 3 mm of tissue above the bone. The assumption is that this patient has a 2-mm biologic width, and if the margin is placed 2.5 mm from bone, as determined by sounding to bone during preparation, the margin will not violate the attachment and will be covered by gingiva. In the high-crest patient, sounding the periodontium on the facial reveals less than 3 mm of gingiva above bone. In this situation, the assumption is that placing the margin below tissue would most likely violate the attachment. Therefore, a supragingival margin is recommended. Finally, in the low-crest patient, there is more than 3 mm of tissue above bone on the facial, and the concern is that this tissue is prone to recession. In this situation, 3 options exist.

One option is to place a supragingival margin to avoid traumatizing the unstable tissue. A second option is to place the margin 2.5 mm from bone, recognizing that the margin won’t be in the attachment if the patient has a 2-mm attachment. However, the margin will be far enough below tissue that, if the tissue recedes, the margin won’t be exposed. The last option is to perform a gingivectomy, convert the low-crest patient into an average-crest patient, and then treat the patient as such.

The concern with using this classification method routinely relates to low-crest patients in that it doesn’t account for the variations in biologic width that Vacek et al reported.6 For example, if a patient had 5 mm of gingiva above bone, they would be considered low crest and prone to recession. But, if the patient with 5 mm of tissue had a 3-mm or 4-mm tall attachment apparatus, they would only have a 1-mm to 2-mm facial sulcus and not necessarily be prone to any greater recession than an average-crest patient. In addition, if the patient with a 3-mm or 4-mm tall attachment had the margin placed 2.5 mm from bone, the margin would be in the attachment. The same would be true if a gingivectomy was performed 3 mm above bone in an attempt to modify the low-crest patient into an average crest. If the patient had a 2-mm attachment, this would be acceptable. But, if the patient had a 3-mm or 4-mm tall attachment, the gingivectomy would leave no sulcus and may remove some of the attachment. This would be followed by tissue rebound to recreate the patient’s attachment height and sulcus depth (Figure 5).

An alternate method to determine where to place margins relative to the attachment when subgingival placement is necessary is using sulcus depth. The base of the sulcus can also be considered the top of the attachment and, therefore, variations in attachment height are accounted for by ensuring that the
margin is placed in the sulcus and not in the attachment.7-10 Variations in probing depth are then used to predict how deep the margin can safely be placed below tissue.

If the sulcus depth on the facial probes very shallow (eg, 1 mm to 1.5mm) preparing more than 0.5 mm to 0.7 mm below tissue will risk violating the attachment. This assumes an average probe penetration into the epithelial attachment in healthy gingiva of 0.5 mm. However, this shallow 1-mm to 1.5-mm probing indicates that recession is unlikely because the free gingival margin is located near the top of the attachment. If the sulcus probes 2.5 mm or more, violating the attachment would require the margin to be placed 2 mm or more below tissue. The tissue in this example is much more prone to recession because the free gingival margin is not supported as closely by the attachment. That is not to say that all 3-mm facial sulci will recede. However, in most circumstances the deeper the sulcus the greater is the risk of recession.

The first step in using sulcus depth for margin placement is to manage gingival health. Once the tissue is healthy, the following 3 rules can be used to place intracrevicular margins.

Rule 1: If the sulcus probes 1.5 mm or less, place the margin 0.5 mm to 0.7 mm below tissue on the facial. This prevents violating biologic width in a patient
who is at a higher risk of biologic width violation.

Rule 2: If the sulcus probes greater than 1.5 mm, place the margin one-half the depth of the sulcus below tissue. This places the margin far enough below
tissue that it most likely will not be visible if any recession occurs in a patient who is at a higher risk of recession.

Rule 3: If a sulcus greater than 2 mm is found on the facial, evaluate the teeth esthetically to see if a gingivectomy could be performed to lengthen the teeth and create a 1.5-mm sulcus. Then, treat using Rule 1 (Figure 6, Figure 7, Figure 8, Figure 9, Figure 10 and Figure 11).

The rationale for Rule 3 is that it is more difficult to place a margin one-half the depth of a deep sulcus as compared to 0.5 mm to 0.7 mm below tissue. In addition, the stability of the free gingival margin is less predictable with a deep sulcus than with a shallow sulcus. Therefore, if it is possible to perform a gingivectomy, lengthening the tooth and leaving a
1-mm to 1.5-mm sulcus, doing so will create a more predictable situation in which to place an intracrevicular margin. This does not, however, ensure that the tissue will remain at the level placed, because gingivectomies are frequently followed by some gingival rebound.

The challenge of using sulcus depth for margin placement is the penetration of the probe into the epithelial attachment during probing. For this reason, the tissue must be healthy to use this technique for defining final margin placement.

Clinical Procedures in Margin Placement

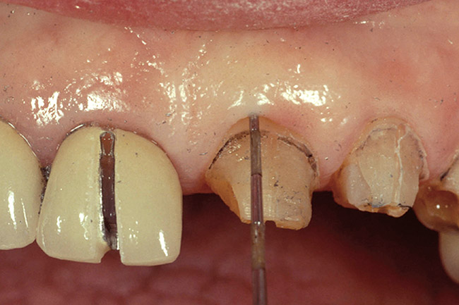
The placement of supragingival or equigingival margins is simple because they require no tissue manipulation. Regarding overall tooth preparation, the amount reduced incisally or occlusally, facially, lingually, and interproximally will be dictated by the choice of restorative materials. Before extending subgingivally, prepare every tooth right to the free gingival margin facially and interproximally. This allows the margin of the tooth preparation to be used asa reference for subgingival extension once the tissue is retracted (Figures 13, Figure 14, Figure 15 and Figure 16).

Tissue Retraction for Rule 1,the Shallow Sulcus

Once the preparation is completed supragingivally, it is necessary to extend below tissue.11,12 Three goals exist in this extension process. The first goal is to place the margin at the correct depth within the sulcus. The second goal is to protect the tissue so that it does not get abraded and begin hemorrhaging when carrying the margin below tissue. Finally, access to the margin for impression-making in a clean, fluid-controlled environment is required. To achieve these goals, begin with a layer of appropriately sized retraction cord. Do not use too small a cord because it will not provide adequate retraction. When placing the cord, push it the distance into the sulcus that the margin is to be placed below tissue. For example, in a Rule 1 margin, place the cord 0.5 mm to 0.7 mm below the previously prepared margin, which represents the unretracted free gingival margin. Once the cord is in place, the top of the cord represents the final margin location (Figure 17). Note that on the interproximal, you should routinely push the cord 1 mm to 1.5 mm below tissue because the interproximal sulcus is routinely 2.5 mm to 3 mm. With the first cord in place, extend the preparation to the top of the cord, holding the bur into the tooth so that it does not abrade the tissue. This protects the tissue and creates the correct axial reduction. When completed, the margin is now at the correct level below tissue. It is not possible to take an impression at this time, however, because the margin and the cord are at the same level.

Placing the Impression Cord

To create space and allow access for a final impression, it is now necessary to pack a second cord. The purpose of the impression cord is to create access to the margin for impression material and provide expansion of the sulcus so the impression material does not tear when removed. To accomplish these goals, the impression cord should sit between the margin of the preparation and the gingiva. Many times, dentists pack the cord too deeply, placing it apical to the margin, in which case the tissue at the level of the margin falls back against the tooth, eliminating access to the margin. The impression cord is placed on top of the first cord that is still in place. The impression cord is pushed so it displaces the first cord apically and sits between the margin and the tissue. When properly packed, the cord will be visible around the preparation when viewed from the occlusal. If in any area the cord is not visible or there is gingiva falling in over the cord and margin, it indicates that the cord is packed too deeply. If the cord is packed too deeply, use an explorer and tease the cord up to the correct level.

If the tissue is still falling in over the cord and margin, there are 2 options. One option is to lift the impression cord out of the sulcus where the tissue is falling over and place a small segment of cord over the first cord in the problem area only. Once this is accomplished, replace the impression cord. If it is still not visible, repeat the process, building up multiple small pieces of cord below the impression cord until the impression cord allows access to the margin. The second option is to remove the overhanging tissue using electrosurgery or laser.

I commonly perform electrosurgery using a fine wire tip. Hold the tip parallel to the tooth preparation, against the margin in the sulcus, and move the tip through the overhanging tissue, thereby opening up the margin and the impression cord to visual access. While doing this, let the electrosurgery tip sit on the impression cord. Having the cord in place protects the attachment, and holding the tip parallel to the preparation results in the removal of the least tissue possible. If any hemorrhaging occurs, dabbing with ferric sulfate while rinsing will usually stop it. If not, a small amount of lidocaine with 1:50,000 epinephrine injected into the papilla from the facial is very effective.

Impressioning

The key to an excellent impression is clear access to the margin in a controlled field.13 Be sure the impression cord has been in place at least 4 minutes and that it is moist. For the impression, remove the top cord only, dry the preparation, and verify that the margins are visible. Once this is confirmed, inject the impression material, holding the tip of the syringe on the margin and placing the material around each tooth and into the sulcus. Note that throughout the procedure, the first or bottom cord is left in place. Once you remove the bottom cord, hemorrhage will occur, so it is advisable to leave it in until after temporization.

Tissue Retraction for Rule 2, the Deep Sulcus

The deep-sulcus patient is approached identically to the Rule 1 patient, with one exception. Instead of 1 layer of cord for tissue deflection, use 2 larger-diameter cords to deflect the tissue before extending the margin apically. The 2 cords open the sulcus so that the preparation can be carried easily below tissue. The top of the second cord is placed the correct distance below the previously prepared margin, into the sulcus, to identify the final margin placement. Once the margin is lowered to the top of the second cord, a third cord is placed as the impression cord, as previously described. From that point on, all the steps remain the same, except that there are now 3 layers of cord packed, rather than 2. Also, instead of leaving 1 cord during the impression, now 2 are left in place (Figure 18, Figure 19, Figure 20, Figure 21, Figure 22, Figure 23, Figure 24 and Figure 25). Note that in the deep-sulcus patient where the margin may be 1.5 mm to 2 mm below tissue, electrosurgery is commonly necessary for trimming overhanging tissue. When trimming the tissue, the goal is to only open access to the margin and not to apically position the gingiva. Therefore, it is important to hold the electrosurgery tip parallel to the preparation. Leaning the tip away from the preparation will alter the gingival height.

Managing the Rule 3 Patient

When a deep-sulcus patient with short teeth has been identified, there are 2 ways to manage the gingivectomy. One is to perform the gingivectomy first, allow the tissue to heal, and then proceed as a Rule1 patient. The other is to perform the gingivectomy, leaving a 1-mm to 1.5-mm sulcus, and proceed to tooth preparation the same day. Both techniques can produce acceptable results, and the operator’s comfort level will determine how they choose to proceed.

Margin Placement for Ultra Thin Tissue

The descriptions provided are for normal tissue types. On occasion, there are gingival types that are extremely thin. If the tissue is so thin that it is transparent, there is no reason to extend below tissue to hide the margin. In this situation, use a supragingival or equigingival margin and a translucent restoration whenever possible.

Conclusion

Over the last 2 decades, advances in restorative materials and adhesive technologies have significantly altered our need for subgingival margin placement. However, there still exist several areas in daily practice where it is necessary for margins to be carried below tissue. The purpose of this article has been to describe the options available to predictably place intracrevicular margins esthetically, while maintaining optimal gingival health long term.

References

1. Tylman SD. Theory and practice of crown and bridge prosthodontics, 5th ed. St. Louis: The C.V. Mosby Co, 1965.

2. Marcum JS. The effect of crown margin depth upon gingival tissue. J Prosthet Dent. 1967;17:479.

3. Coslet JG, Vanarsdall R, Weisgold A. Diagnosis and classification of delayed passive eruption of the dentogingival junction in the adult. Alpha Omegan. 1977;70:24-28.

4. Olsson M, Lindhe S. Periodontal characteristics in individuals with varying forms of the upper central incisors. J Clin Periodontol. 1991;18:78-82.

5. Inber JS, Rose LF, Coslet JG. The “biologic width” a concept in periodontics and restorative dentistry. Alpha Omegan. 1977;10:62-65.

6. Vacek JS, Gher ME, Assad DA, et al. The dimensions of the human dentogingival junction. Int J Periodontics Restorative Dent. 1994;14:154-65.

7. Listgarten MA, Mao R, Robinson PJ. Periodontal probing and the relationship of the probe tip to periodontal tissues. J Periodontal. 1976;47:511.

8. Listgarten MA. Periodontal probing: What does it mean? J Clin Periodontal. 1980;7:165.

9. Armitage GC, Svanberg GK, Löe H. Microscopic evaluation of clinical measurements of connective tissue attachment levels. J Clin Periodontal. 1977;4:173.

10. Robinson PJ, Vitek RM. The relationship between gingival inflammation and the probe resistance. J Periodont Res. 1975;14:239.

11. Hansen PA, Tira DE, Barlow J. Current methods of finish line exposure by practicing prosthodontists. J Prosthodont. 1999;8:163-170.

12. Benson BW, Bomberg TJ, Hatch RA, Hoffman Jr. W. Tissue displacement in fixed prosthodontics.J Prosthet Dent. 1986;55:175-181.

13. Albers HF. Impressions, 1st ed. Santa Monica: Alto Books, 1990.

This article was reprinted with permission from Advanced Esthetics and Interdisciplinary Dentistry, vol. 1, no. 2, 2005.

About the Author

Frank M. Spear, DDS, MSD
Founder and Director
Seattle Institute for Advanced Dental Education
Seattle, Washington

Affiliate Assistant Professor
University of Washington
School of Dentistry
Seattle, Washington

Private Practice
Seattle, Washington

Figure 1  View of 4 porcelain veneer preparations with the margins placed at the level of tissue.

Figure 1

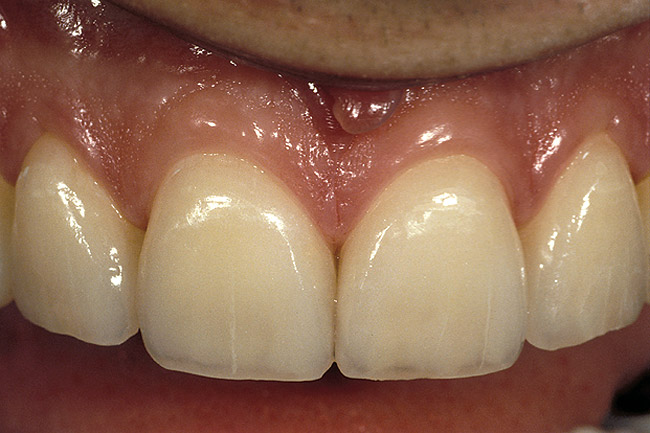
Figure 2  Note the invisibility of the marginal line in the completed veneers, even though the margin has not been carried below tissue.

Figure 2

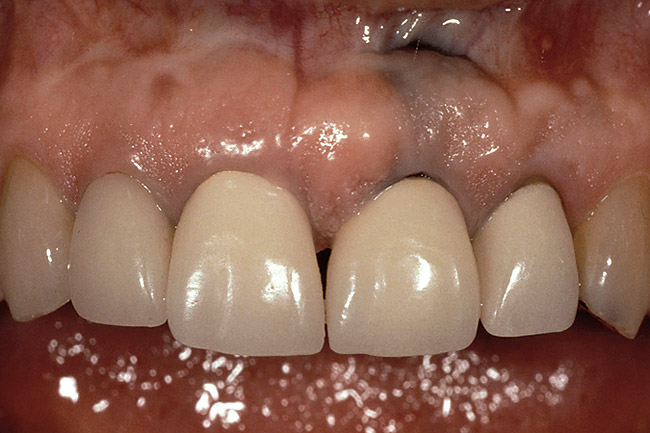
Figure 3  Dark teeth or teeth requiring restorations that are more opaque for masking often require the margin to be carried subgingivally, as with this central and lateral incisor.

Figure 3

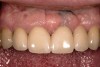
Figure 4  View of the completed central and lateral incisor with margins placed subgingivally, but maintaining tissue health.

Figure 4

Figure 5  Variations in biologic width can occur in the low-crest patient. Left. An average biologic width of 2 mm, with a connective tissue attachment of 1 mm and an epithelial attachment of 1 mm. The total height of gingiva above bone is 5 mm, with a 3-mm sulcus. This is a patient in whom recession might be likely following any restorative procedure. Right. A variation on normal biologic width in the low-crest patient with a connective tissue attachment of 2 mm, an epithelial attachment of 2 mm, for a total biologic width of 4 mm, resulting in only a 1-mm sulcus and minimal risk of recession.5 Variations in biologic width can occur in the low-crest patient.

Figure 5

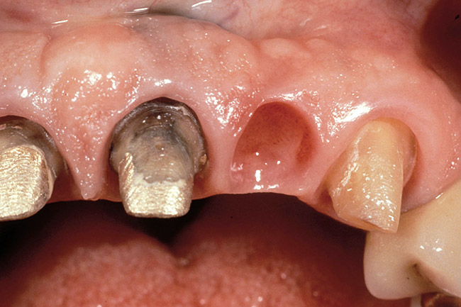
Figure 6  This 78-year-old female presented with maxillary anterior restorations placed 6 months earlier. She is unhappy with the fact that the margins are exposed and the tissue has receded following placement.

Figure 6

Figure 7   Sulcus depth from the existing attachment to the level of the existing margin is slightly greater than 3 mm. This is a patient who had an altered eruption pattern and a sulcus at the time these restorations were placed of over 3 mm.

Figure 7

Figure 8  Sounding to bone reveals a 3.5-mm distance, even following the recession.

Figure 8

Figure 9  The decision was made to perform a gingivectomy, leaving a 1-mm sulcus, then prepare the teeth 0.5 mm subgingivally on the same day.

Figure 9

Figure 10  Note that 4 to 6 weeks following the gingivectomy and re-preparation, the tissue is rebounding coronally over the margins of the temporary restorations.

Figure 10

Figure 11  This is a 4-year recall photograph following placement of the final restorations.

Figure 11

Figure 12  If electrosurgery is necessary in either the normal or altered eruption patient, the correct inclination of the electrosurgery tip is important. Left. Illustration shows the electrosurgery tip being held parallel to the preparation and  resting on the previously placed retraction cord. Right. Representation of the incorrect inclination of the electrosurgery tip. The tip is inclined and will result in the removal of excessive gingival tissue.

Figure 12

Figure 13  A patient who will require the removal of the left lateral incisor because of a split root. Due to the poor condition of the existing teeth, a bridge will be placed from the right central to the left cuspid. The patient declined an implant and is concerned about future recession.

Figure 13

Figure 14  Very dark roots and 3 mm of sulcus depth make the possibility of recession a concern. On the incisors, the decision was made to perform a gingivectomy and create a 1-mm sulcus, followed by placing the margins 0.5 mm below tissue. On the canine a gingivectomy would result in an excessively long tooth compared to the opposite canine, so the decision was made to prepare one-half the depth of the 3-mm sulcus below tissue and hope for no recession. If any occurs, the margin should remain below tissue.

Figure 14

Figure 15  The gingivectomy on the incisors was performed, leaving a 1-mm sulcus depth.

Figure 15

Figure 16  The first step in controlling margin placement is to prepare the tooth even with the gingival margin.

Figure 16

Figure 17  The second step in margin placement is to place a single layer of retraction cord the distance below the previously prepared margin that you want the final margin to be. In this illustration, a single cord has been placed 0.5mm to 0.7mm below the previously prepared margin. The margin of the preparation will now be extended apically to the top of this deflection cord, which represents the correct placement of the margin below the previously undeflected free gingival margin.

Figure 17

Figure 18   The canine, which still has a deep sulcus, is prepared to the level of the gingival margin prior to placing cord.

Figure 18

Figure 19  Two layers of cord have now been placed in the sulcus, and a probe is used to ensure they are 1.5 mm apical to the previously prepared margin.

Figure 19

Figure 20  The margin is now extended apically to the top of the cord. Note that by staying within the tooth while preparing the margin, rather than allowing the bur to extend toward the tissue, it has been possible to place the margin 1.5 mm subgingivally, with no bleeding or tissue removal.

Figure 20

Figure 21  The impression cords have been placed on the incisors and canine. The impression being made is for the construction of an indirect temporary prior to removing the left lateral incisor. By finalizing the margins now, minimal alterations should be necessary after healing. Note the visibility of the cords around all the preparations, except the mesial of the right central incisor. This area can easily be electrosurged to expose the cord. Also note that at this time, the incisors each have 2 cords placed and the canine 3.

Figure 21

Figure 22  When the impression cord on the canine is removed, there is an adequate space created for the impression, with no soft tissue overhanging the margins to trap or tear the impression material. Note this margin is 1.5 mm subgingival, and 2 cords still remain.

Figure 22

Figure 23  View of the soft tissue environment 9 months after the extraction of the lateral incisor. Note the tissue health around all the teeth and the lack of recession.

Figure 23

Figure 24  Placement of final prosthesis following 9-month healing period.

Figure 24

Figure 25  An 8-year recall photograph of the final prosthesis.

Figure 25

Learning Objectives:

  • discuss the reasons why a clinician may choose to place subgingival margins.
  • describe the options available for predictably placing esthetic, intracrevicular margins.
  • explain “if/then” rules that can be used to determine where to place a margin subgingivally.
  • outline the clinical procedures associated with tissue management for subgingival margin placement.

Disclosures:

The author reports no conflicts of interest associated with this work.

Queries for the author may be directed to justin.romano@broadcastmed.com.