CDEWorld > Courses > Overview of Sports Mouth Guards

CE Information & Quiz

Overview of Sports Mouth Guards

Anna Thompson; Amanda Bryans Jackson; and Frederick A. Rueggeberg, DDS, MS

February 2026 Course - Expires Thursday, November 30th, 2028

Inside Dental Assisting

Abstract

The prevention of orofacial injuries in sports is a topic that many dental professionals may have limited exposure to or training in. This article reviews the incidence and types of orofacial injuries commonly encountered in sports and examines the design and function of four types of sports mouth guards regarding their ability to prevent these injuries as well as their ability to potentially prevent concussions and improve athletic performance. Design elements for in-office or laboratory fabricated custom-made sports mouth guards are presented. Emerging technologies, including the potential use of 3D printed materials in sports mouth guard fabrication, are discussed as well as considerations related to cost, clinical decision-making, and maintenance. Finally, factors influencing athlete compliance are explored and a call to action is made for dentists to get involved in sports programs at the local and regional levels to advocate for more effective implementation of sports mouth guards.

You must be signed in to read the rest of this article.

Login Sign Up

Registration on CDEWorld is free. Sign up today!
Forgot your password? Click Here!

Sports mouth guards are frequently used by adolescent and adult patients involved in contact sports in which impacts to the orofacial region are highly probable. A variety of sports mouth guards have been available for years, and these vary substantially in their cost, material choice, and fabrication technique. Such differences can significantly impact their effectiveness and levels of protection. Oftentimes, patients will ask their dental providers for guidance in selecting a suitable mouth guard because they believe that clinicians are knowledgeable authorities on the topic. However, the depth of experience of many dentists is largely related to providing a laboratory prescription. This article is intended to acquaint dentists with the current role of sports mouth guards, the contemporary materials and methods used to make them, the extent of impact prevention that each type provides, and other important considerations.

Incidence of Orofacial Injuries From Contact Sports

The extent of orofacial injury and dental trauma resulting from contact sports is alarming. Nearly one-third of all dental injuries are attributable to participation in sports.1,2 The extent of sport-related dental injuries can be attributed to several factors.3 Extrinsic contributing factors include sport type, playing surface, equipment used, and environmental conditions, while intrinsic factors include age, gender, body size, psychological state, and genetics, among others.3,4 Although many orofacial and dental injuries are attributable to participation in contact sports,4 some may be correlated with low-contact, outdoor activities.1 The most common sports-related orofacial injuries associated with teeth are tooth discoloration, crown or root fracture, and avulsion, with 90% of the trauma being imparted to maxillary central incisors.3,5,6 Between 60% and 80% of contact sport injuries involve soft-tissue lacerations and tooth fractures,7 but they can also include overt skeletal fractures of the nose, zygoma, and mandible.4 Furthermore, impacts resulting in mandibular retrusion have been linked to condylar fracture.5,8

Regulatory Agencies and Mandated Use

Although the use of sports mouth guards has proven effective in reducing the severity and incidence of impact-related orofacial and dental trauma,1 the use of these appliances is not universally mandated.9 In addition, there is no overriding regulatory agency providing standardized fabrication methods or testing procedures for sports mouth guards. Although the American Dental Association and the American Academy of Pediatric Dentistry strongly advocate for mouth guard use in sports, the only professional sport for which mouth guards are mandated is boxing.1 Surprisingly, the National Collegiate Athletic Association (NCAA) leaves mouth guard use to the athlete’s discretion;10 however, the National Federation of State High School Associations (NFHS) and the Sports Medicine Advisory Committee (SMAC) both mandate mouth guard use in football, field hockey, ice hockey, and lacrosse as well as for wrestlers who are undergoing orthodontic treatment.11

The Role of Sports Mouth Guards and Their Types

The overriding purpose of sports mouth guards, which are typically placed on the maxillary arch, is to reduce impact forces to the teeth, oral tissues, and orofacial complex. This objective is met by fabricating them with flexible hydrocarbon materials designed to absorb impact energy through the process of elastic deformation. An excellent guide to the types of sports mouth guards is available in the literature.12

Ready-Made Stock Mouth Guards

These products, which are widely available in general retail stores in limited size ranges (eg, small to large), consist of a U-shaped channel of preformed thermoplastic that fits loosely over the teeth. These mouth guards demonstrate poor retention that necessitates biting to provide stability and protection. Although ready-made stock mouth guards are the least costly, they also provide the lowest level of protection.13

Home-Fitted, Boil-and-Bite Mouth Guards

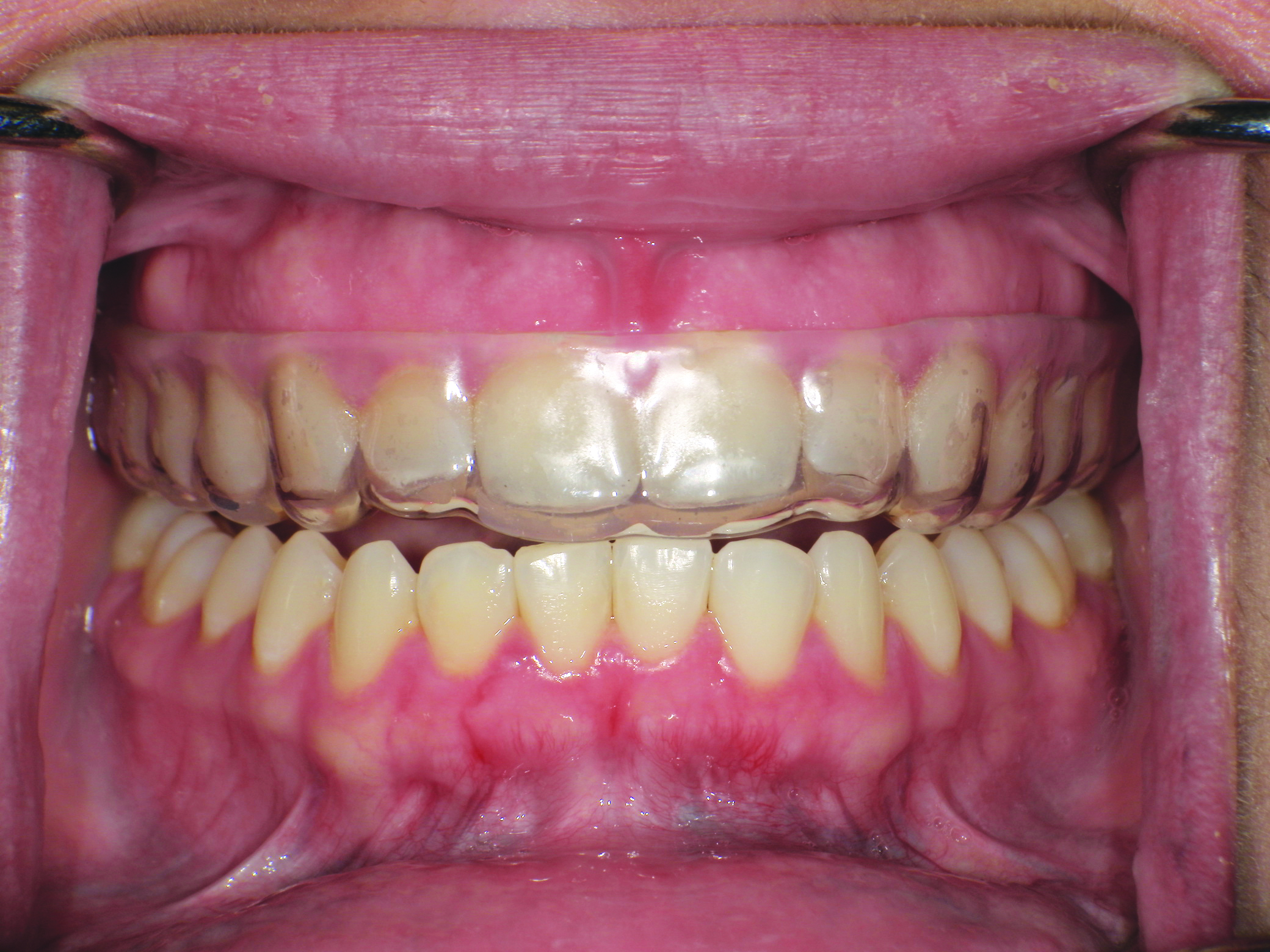
Due to their degree of custom fit, availability, and relatively low cost, “boil-and-bite” sports mouth guards are the most popular (Figure 1). Many of these devices are able to be strapped directly to helmets, which provides an increased level of convenience while decreasing the incidence of them being dropped or misidentified.

In order to fit these appliances, they are placed into boiling water for anywhere from 15 seconds to longer than a minute, depending on the manufacturer’s instructions, and then briefly air- or water-cooled prior to being placed in the mouth. Intimate adaptation of the warmed material is accomplished by assuring proper alignment of the mouth guard with the arch and manipulating the lips and cheeks while the material is still moldable (Figure 2). Once proper alignment and clearance are achieved, the patient bites to fully seat the mouth guard, forcing the still warm and moldable thermoplastic to conform to the hard and soft maxillary tissues. The completed appliance should cover all labial and lingual tooth surfaces, extend into the vestibular flange areas so as not to impinge on the soft tissues (Figure 3), and have an open palate (Figure 4). If the athlete is undergoing orthodontic treatment with traditional bracket and wire braces, this system provides additional protection for the lips and cheeks from impacts.

Boil-and-bite mouth guards are typically made of ethylene vinyl acetate (EVA), either alone or in combination with urethane or other copolymers.12 Although these mouth guards provide a custom fit to the existing dentition, the mucolabial flange extension, as well as the posterior coverage, are only designed to accommodate adolescents or adults. Moreover, these products cannot be reheated to adapt to changing dentitions if the wearer advances in tooth presence or positioning. Therefore, patients must be advised to purchase new mouth guards when dental growth occurs. These products are marketed for at-home fabrication; however, clinicians should familiarize themselves with this process to assist patients in achieving optimal fit in the dental office. Some manufacturers have arrangements with clinicians to deliver their boil-and-bite sports mouth guards in dental offices where the clinicians ensure proper fitting and provide instructions for maintenance.

A variation of the boil-and-bite approach involves a dual-arch appliance, which is referred to as a jaw-joint protector, that purposefully positions the mandible forward to provide enhanced concussion protection for the basal skull region.14 Any sports mouth guard that provides impressed areas of the lower arch may also resist mandible retrusion when the arches are interlocked via biting during impact; however, few of these types of mouth guards are available.15

Home-Fitted, Heat-and-Mold Mouth Guards

Similar to boil-and-bite appliances, a recently introduced product involves a flat, arch-shaped piece of thermoplastic containing strategically located perforations.16 The flat thermoplastic is warmed in hot (not boiling) water, placed against the occlusal surfaces of the maxillary teeth, and molded over them while still in a flexible state. In heat-and-mold mouth guards, the strategically located perforations are designed to act as “crumple zones,” directing energy away from the impact site and reducing local force values. The perforations may also enhance the wearer’s ability to breathe and speak during activity. These sports mouth guards also provide a unique improvement to conventional boil-and-bite products in that they are able to be remolded, either totally or partially, by rewarming them, inserting them back into the mouth, and readapting them. This can be accomplished up to 20 times before they need to be replaced.

In-Office or Laboratory Fabricated Custom-Made Mouth Guards

These sports mouth guards are individually made in a dental practice or laboratory using an analog stone model of the patient’s maxillary arch. Although they are the most expensive due to the number of appointments and potential laboratory fees involved, custom-made mouth guards provide the greatest retention and comfort, demonstrate the lowest interference with ventilation and speech, and are adaptable for orthodontic appliances.

The processing steps for custom-made sports mouth guards include fabrication of a vacuum-formed, soft inner layer over which a harder, pressure laminated layer is added. The inner vacuum-formed layer is fabricated by placing a single sheet of soft, resilient thermoplastic polymer in a specialized thermal vacuum forming machine that heats it, provides a vacuum at the cast base, and then quickly lowers the drooping, warmed sheet over the cast model while allowing the vacuum to run for maximal adaptation (Figure 5). Once cooled, the excess material is removed (Figure 6). The same equipment is used to heat-soften a harder thermoplastic sheet that is pressure fitted over the top of the completed soft inner layer on the patient stone model. Pre-warming the outer surface of the inner layer prior to placement of the harder outer shell helps to facilitate bonding of the two materials.

It should be noted that variation in the elastic modulus of the overlying laminate can significantly affect the device’s ability to prevent hard- and soft-tissue damage. Control over the thickness of in-office fabricated sports mouth guards can be obtained using combinations of inner and outer laminated layers.1 The finished product should have bilateral interocclusal contacts (Figure 7), cover all labial and lingual maxillary tooth surfaces, and have an open palate (Figure 8).

Design Elements of Custom-Made Sports Mouth Guards

Sports mouth guards are mostly fabricated for placement on the maxillary arch; however, for patients who demonstrate class II occlusion, placement on the lower arch is preferred.17 Design parameters have been suggested for custom-made sports mouth guards.12,18 Optimal appliance thickness is critical in providing the underlying tissues with the cushioning effect needed.19 Custom-made sports mouth guards should extend from the most anterior teeth to the most posterior ones and be at least 3-mm thick labially, 3- to 5-mm thick occlusally, and 2-mm thick palatally.20 Furthermore, the labial border should extend within 2 mm of the mucobuccal fold, and the palatal boarder should extend 6 to 10 mm from the gingival margin of all teeth.18 The occlusion must be bilateral and balanced. An excellent guide to the design of sports mouth guards is available in the literature.12

Role in Concussion Prevention and Athletic Performance

Although there is abundant evidence supporting the role of sports mouth guards in protecting against orofacial damage and intraoral trauma, controversy still surrounds their role in reducing the occurrence of brain concussions.21 In recent research, athletes are using sports mouth guards with embedded sensors to correlate the frequency and level of head impact received with the potential for concussion.22 However, to date, no definitive correlation has been made.

The use of sports mouth guards increases the wearer’s vertical dimension of occlusion—the range of which was thought to be associated with optimizing muscular performance. However, an in vivo study negated that hypothesis.23 The most influential factor in athletic performance is likely the maintenance of adequate air flow. Because jaw clenching has been shown to increase the excitability of spinal neurons and thus has the potential to raise muscular responsiveness, when designing sports mouth guards, clinicians need to ensure that proper ventilation exists, even when the wearer is clenching.24

The Future of Sports Mouth Guard Fabrication

3D printing has the ability to provide controlled local thickness, embedded internal porosities, and collapsible compressive and rebound features, offering an entirely new functionality to the fabrication of sports mouth guards.25 To this end, specialized resin formulations have been developed and tested against current thermoplastic materials. Unfortunately, thus far, these 3D printed materials have been found to demonstrate similar hardness values but provide inferior impact resistance when compared to thermoplastic forming materials.26

Patient Considerations and Maintenance Instructions

The cost of sports mouth guards ranges between over-the-counter and custom-made products, with the latter being more expensive.10 Only select insurance companies cover fabrication costs, and when they do, it is generally once per year. In addition, coverage for this procedure may be exclusive to pediatric patients. Generally, custom-made sports mouth guards should be replaced every 1 to 2 years, and over-the-counter products should be replaced even more often. The crystallization of EVA-based mouth guards from continued clenching results in hardening and lowered impact resistance.27 Sports mouth guards should be evaluated regularly by a dentist for signs of wear and loosening, which can decrease efficacy.

Athletes should be instructed to cleanse their mouth guards using a mild antimicrobial agent, tepid water, and a toothbrush. It should be noted that disinfection techniques together with the consumption of isotonic rehydration drinks may discolor EVA-based products.28 Sports mouth guards should be stored in a clean, rigid, and ventilated container and protected from prolonged exposure to direct sunlight or heat. When wearing a sports mouth guard, the consumption of energy or sports drinks should be kept to a minimum because these high-sugar fluids can remain in the guard, continuously bathing the teeth and increasing caries risk. An excellent guide to sports mouth guard maintenance is available in the literature.12

Conclusion

Although boil-and-bite sports mouth guards are the most popular and demonstrate acceptable levels of protection if properly fitted, the ideal sports mouth guard design is custom-made.3 The overriding factor contributing to the success of sports mouth guards is awareness and appreciation for the protection that these devices provide by athletes, their peers, and coaches.17 Dentists should stress the importance of wearing sports mouth guards for all related activates—even during practice sessions, where many orofacial injuries occur. Dentists should also become knowledgeable in all aspects of these protective devices in order to act as authority figures for not only their patients but also for local and regional athletic department administrations and sporting regulatory bodies.12 Despite an abundance of evidence validating the benefit of sports mouth guards in protecting athletes from injury, research has shown that the number of participants using them is low and that many players of a variety of sports at various levels have reported that they never received information about sports mouth guards from coaches or staff.3 Therefore, there is a growing need for dental professionals to involve themselves in community sports to provide continued education, offer direct sales of sports mouth guards in their offices, and ensure proper maintenance.

Queries regarding this course may be submitted to authorqueries@conexiant.com

Acknowledgment

The authors would like to recognize Curtis Read, DDS, an orthodontic resident at the Dental College of Georgia at Augusta University, for his assistance in fabricating the custom-made sports mouth guard used as an example in this article.

About the Authors

Anna Thompson
Fourth Year DMD Candidate
Dental College of Georgia
Augusta University
Augusta, Georgia

Amanda Bryans Jackson
Fourth Year DMD Candidate
Dental College of Georgia
Augusta University
Augusta, Georgia

Frederick A. Rueggeberg, DDS, MS
Professor Emeritus
Dental College of Georgia
Augusta University
Augusta, Georgia

(1.) Example of a boil-and-bite sports mouth guard prior to fitting.

Figure 1

(2.) After boiling and cooling, the boil-and-bite mouth guard is placed on the maxillary arch and hand-adapted and positioned prior to having the patient apply bite pressure to fully seat it.

Figure 2

(3.) Intraoral facial and occlusal views, respectively, of the completed boil-and-bite sports mouth guard.

Figure 3

(4.) Intraoral facial and occlusal views, respectively, of the completed boil-and-bite sports mouth guard.

Figure 4

(5.) When creating a custom-made sports mouth guard, first, the inner vacuum-formed layer is fabricated by placing a single sheet of soft, resilient thermoplastic polymer in a specialized thermal vacuum forming machine that heats it, provides a vacuum at the cast base, and then quickly lowers the drooping, warmed sheet over the cast model. The same machine is used to fabricate the subsequent pressure-formed, harder outer laminate layer.

Figure 5

(6.) View of the excess inner, soft impact-resistant liner material being trimmed on the stone model.

Figure 6

(8.) Retracted intraoral view and occlusal extraoral view, respectively, of the completed, dual-layer, custom-made sports mouth guard.

Figure 7

(8.) Retracted intraoral view and occlusal extraoral view, respectively, of the completed, dual-layer, custom-made sports mouth guard.

Figure 8

Take the Accredited CE Quiz:

CREDITS: 2 SI
AGD CODE: 154 - Sports Dentistry
COST: $18.00
PROVIDER: Conexiant Education
SOURCE: Inside Dentistry | February 2026

Learning Objectives:

  • Discuss the incidence of and contributing factors to orofacial injury and dental trauma resulting from contact sports as well as the recommendations from regulatory agencies regarding the use of mouth guards.
  • Explain the role of sports mouth guards and describe the four main types, including their relative protective levels, fitting and fabrication methods, and pros and cons.
  • Identify some of the important design elements of custom-made sports mouth guards.
  • Summarize the patient considerations and maintenance instructions related to sports mouth guards.

Author Qualifications:

Anna Thompson Fourth Year DMD Candidate, Dental College of Georgia, Augusta University, Augusta, Georgia Amanda Bryans Jackson Fourth Year DMD Candidate, Dental College of Georgia, Augusta University, Augusta, Georgia Frederick A. Rueggeberg, DDS, MS Professor Emeritus, Dental College of Georgia, Augusta University, Augusta, Georgia

Disclosures:

The author reports no conflicts of interest associated with this work.

Queries for the author may be directed to justin.romano@broadcastmed.com.