CDEWorld > Courses > Leveraging Digital Smile Design Technology in Esthetic Restorative Dentistry

CE Information & Quiz

Leveraging Digital Smile Design Technology in Esthetic Restorative Dentistry

Macarena Rivera, DMD, MSc; and Markus B. Blatz, DMD, PhD

June 2025 Issue - Expires Friday, June 30th, 2028

Inside Dental Technology

Abstract

Digital smile design has transformed the approach to planning and executing esthetic dental treatments. The ability to digitally visualize and customize a patient’s smile before any clinical intervention enhances clinical precision and confidence in the final result while elevating patient satisfaction. Modern digital tools have become indispensable in the treatment workflow, allowing practitioners to integrate facial analysis, occlusal evaluation, and dental anatomy to achieve natural and harmonious outcomes with precise measurements, customized designs tailored to the patient’s unique features, and effective collaboration among interdisciplinary teams. By leveraging these technologies, clinicians can streamline diagnostics and treatment planning while also improving accuracy in predicting the final results. This article explores the advantages of digital smile design in esthetic treatment planning along with the key principles of smile design and facial harmony that must be considered for a successful smile transformation.

You must be signed in to read the rest of this article.

Login Sign Up

Registration on CDEWorld is free. Sign up today!
Forgot your password? Click Here!

Dental care embraces not only the management of oral health but also the enhancement of a patient's smile esthetics. The smile is arguably the most distinctive and influential form of social expression, significantly affecting facial attractiveness. Studies suggest that facial symmetry plays a crucial role in partner selection.1 A positive correlation has been established between facial symmetry and perceived beauty, and smile symmetry has been increasingly incorporated into esthetic dentistry and is considered fundamental in achieving an optimal esthetic outcome.

Esthetic dental rehabilitations often encounter three major challenges: (1) aligning the working models with the patient's facial structure, (2) facilitating effective interdisciplinary communication and planning, and (3) achieving meaningful interaction with the patient.2 The advancements in digital dentistry are extremely helpful in overcoming one of the greatest limitations in this field: the discrepancies between the initial plans and the final outcome. In the past, smile rehabilitations often required numerous adjustments, involving significant trial and error, and the final outcomes may not have always been optimal. These challenges were partially attributed to insufficient communication between clinicians and technicians, a lack of orofacial esthetic expertise from the practitioner, and the limitations posed by outdated tools and workflows.3,4

3-Dimensional Simulations

Treatment planning today is more focused on facial esthetics, with smile design serving as a foundational step.5,6 As a result, optimizing the smile design process has become critically important. Historically, the tools and systems available for designing esthetic smiles were limited, making it challenging to achieve true facial harmony. Advancements in computer-aided design/computer-aided manufacturing (CAD/CAM) technology and new materials are leading to a paradigm shift in what many practitioners regard as standard patient care, and reducing operator error has emerged as a priority.

Digital smile design tools and software have evolved significantly and are far more advanced than traditional esthetic evaluation and treatment guidelines, which face a fundamental limitation: reliance on 2-dimensional (2D) picture analysis, simulation, and planning. This 2D-based workflow makes achieving a comprehensive 3-dimensional (3D) smile design technically more challenging, as the transition from 2D simulations to 3D outcomes lacks the necessary precision for fully personalized esthetic results.7 Therefore, the inclusion of 3D analyses and models in the smile assessment and design has become a key aspect of treatment planning.

The digital workflow enables clinicians to generate 3D simulations for different treatment options, improving the translation of interdisciplinary team recommendations into clinical practice. Intra- and extraoral optical scanners can be used to allow a 3D evaluation of oral and facial structures, and digital radiography such as cone-beam computed tomography (CBCT), digital articulators, and jaw tracking devices may be utilized to additionally include functional parameters in the digital planning process.

Computer programs and software tools facilitate the visualization of anticipated esthetic outcomes for the planning and execution of multidisciplinary treatments, guiding the clinician through different necessary periodontal, restorative, orthodontic, and surgical procedures.4 These technologies also support the fabrication of surgical and restorative guides to enhance treatment execution. Integrating cloud-based platforms and communication tools is critical, enabling interdisciplinary consultations and fostering smooth, remote collaboration between clinicians and dental technicians. Machine learning and artificial intelligence are also being progressively applied to improve the accuracy of esthetic evaluations and treatment plans.3,8

Planning and Modifying a Smile

Digital smile design programs are multipurpose conceptual tools that can reinforce diagnostic vision, improve communication with the patient, and enrich treatment outcomes by sharing detailed analysis of the patient's facial and dental characteristics with the laboratory technician. Some examples of such systems include Smile Designer Pro (Tasty Tech Ltd.), Romexis® Smile Design (Planmeca), Digital Smile Design 3D system (DSD), and Guided Positioning System (Noris Medical).7,9 Some of these systems are based on software created by entrepreneurial dentists (eg, Digital Smile Design, SmileCloud [SmileCloud Biometrics], Ivosmile® [Ivoclar], Rebel [Rebel Simplicity]), and some are attached to intraoral scanner software (eg, TRIOS Smile Design [3Shape], inLab CAD Software digital 3D Smile Design [Dentsply Sirona], Romexis Smile Design, Planmeca).

Digital smile design software is one of the most-used modern tools that allows for the digital planning and modification of a patient's smile, offering a preview of the outcome before treatment begins.4,10 The process involves translating a 2D smile frame into a 3D project, either through an analog or digital wax-up, which is then presented to the patient. This is the optimal way to illustrate the treatment and what it can accomplish.11 The smile design serves as a form of visual communication and promotes patient involvement in the decision-making process, encouraging greater confidence in the treatment. Digital smile design helps ensure a more predictable treatment outcome and can enhance case acceptance. Users can select teeth from a digital tooth library and modify their position, rotation, and shape to create a personalized smile design for the patient, integrating its relation to the face.2 The position of the tooth library is transferred into a 3D project using 3D software (eg, Autodesk Meshmixer [Autodesk, Inc.], DentalCAD [exocad]), resulting in a motivational mock-up that will be further used to verify the accuracy of the transfer and validate the design with the patient, as well as to check for preparation depths. This also presents an opportunity for the clinician to translate a design into a visual experience for the patient by photographing and video recording his or her condition before and after treatment.

Despite these advancements, the use of a physical intraoral mock-up remains essential for evaluating the smile design prior to the final restorations.12 Once the design is verified, the intraoral scanning and the digital design can be seamlessly translated into final restorations, facilitating a high level of precision across all materials and techniques.

Complete Digital Workflow

The case presented, an esthetic anterior case, provides an example of how clinicians can use a complete digital workflow, starting with the digital smile design and progressing to the computer-assisted design and manufacture of the final restorations. In this case, a patient presented to the author's (MR) office requesting to modify his compromised anterior esthetic situation regarding several extensively infiltrated composite restorations and a chipped crown showing a darkly stained endodontically treated tooth (No. 9). Following a comprehensive clinical and initial photographic assessment (Figure 1 through Figure 3), a digital smile design protocol (TRIOS Smile Design) was performed to develop a facially driven digital wax-up for the maxillary anterior teeth to address differences in tooth proportion and a deficient crown on tooth No. 9 (Figure 4 and Figure 5). Consistent measurements in such areas as tooth height and width and incisal edge changes act as a strict quality control mechanism, helping to ensure precision and accuracy throughout the design and treatment process.13-15

When planning esthetic restorative cases, particularly for patients with high expectations, the use of a mock-up is essential for effective communication. The mock-up technique allows for a 3D visualization of the anticipated result, often making it preferable to the use of 2D and 3D chairside image modification software.12,16

For this case, a model was printed from a 3D digital wax-up to fabricate an intraoral direct mock-up with a silicone index and bis-acryl material, which also served as a guide for tooth preparation. After analyzing the mock-up and making minor esthetic adjustments, a digital impression was captured to facilitate the future design of the final restorations.

Photographs and video recordings need to be taken to evaluate the esthetics of the proposed smile (Figure 6). Video recording is a valuable tool for patient education, as the video can help patients understand treatment procedures and benefits, which may lead to higher case acceptance rates. Video can capture different viewing angles and be converted into still images by pausing the video and recording a screenshot.2 This process helps to streamline and simplify documentation, saving time and eliminating the need for the clinician to capture the "perfect" moment. It allows for the selection of the best recorded moment. Furthermore, facial analysis conducted through video can effectively guide the smile design process.

One of the main benefits of the chairside workflow is the ability to visualize and assess digital impressions immediately after scanning. In contrast to traditional impressions, where inaccuracies are often discovered only after the master cast has been produced, any errors or deficiencies in a digital impression can be quickly identified and corrected during the same appointment.17,18 A semi-chairside option is also available for clinicians who want to integrate digital impressions into their workflow without performing the milling and finishing of the restorations chairside. This workflow includes an intraoral scan but dismisses the design and milling processes. After the scanning, the digital impression is sent to the dental laboratory, where the design and manufacture of the restoration is made through a compatible software (eg, DentalCAD [exocad], Autodesk Fusion [Autodesk], Clinux [CAD-Ray]).

The preparations were performed according to the APT (aesthetic pre-evaluative temporary) protocol.12 The previous silicone index was also used to check the preparation depths. Upon approval from both the clinician and patient, the intraoral mock-up served as a precise guide for shaping the tooth structure according to the planned final contours. This ensures that only minimal preparation of the tooth structure is performed, or in some cases, no preparation is required in certain areas. Depth cutter burs are used to achieve the treatment goals while preserving as much natural tooth structure as possible (Figure 7).

In this semi-chairside veneer case, after preparations were achieved, the patient's maxillary and mandibular arches were digitally scanned using a wireless intraoral scanner (Figure 8), and the scans were uploaded along with the digital photographs and integrated into the software (Digital Smile System SRL) for the virtual planning of the veneers. The standard tessellation language (STL) files were sent to the laboratory for the manufacture of lithium-disilicate porcelain veneers using subtractive milling technology on a CAD/CAM milling unit. All data transfer, from 3D planning to the laboratory CAD/CAM process, was fast, easily accomplished, and highly predictable, resulting in minimized manufacturing time and chairtime and highly esthetic final results (Figure 9 through Figure 11).7,19

To bond the final restorations, the use of rubber dam is essential to achieve proper moisture control, which is critical for a successful outcome (Figure 12). Bonding followed standard protocols for silica-based ceramics. Based on the authors' experience, these procedures are best conducted under magnification. The final result of this case is shown in Figure 13 through Figure 15.

Discussion

Digital smile design is an extremely versatile conceptual tool that can play a pivotal role in treatment planning for esthetic dentistry. It not only enhances diagnostic vision but also improves communication among the dental team and with the patient.

Despite advancements in technology improving treatment speed, accuracy, and outcomes in facial esthetics and digital smile design, digital software systems in dentistry pose some challenges and limitations.20 Many platforms entail a steep learning curve due to the absence of features such as dynamic occlusal analysis, 3D facial scans, and dynamic scans and videos, which are not integrated into most systems.9,17 As a result, a third-party software often needs to be used to accommodate these options. Furthermore, the costs associated with purchasing and updating software, investing in compatible hardware, and providing the necessary training can be significant barriers to incorporating these technologies. The cost-effectiveness of a digital workflow relies not only on the digital tools but also on the clinician's proficiency, skills, and experience. Additional research is necessary to evaluate clinical outcomes and cost and time efficiencies of digital workflows compared to conventional methods.

As the practice of dentistry progresses, advancements in machine learning and artificial intelligence will likely automate most, if not all, aspects of esthetic evaluation, treatment planning, design, and implementation.6 Nevertheless, the true test of an esthetic treatment and functional success will continue to take place in the clinical setting.

Conclusion

As discussed and demonstrated in the case presented in this article, clinicians can leverage digital smile design technology to streamline diagnostics and treatment planning to achieve highly predictable final outcomes in esthetic dental cases. Digital tools enhance the treatment workflow, enabling practitioners to integrate facial analysis, occlusal evaluation, and dental anatomy to achieve precise, natural, and harmonious results that are tailored to the patient's unique features. Digital smile design improves communication among interdisciplinary teams helping to attain successful smile makeovers.

About the Authors

Macarena Rivera, DMD, MSc

Assistant Professor, Department of Prosthodontics, University of Chile, Santiago, Chile; Adjunct Professor, Department of Preventive and Restorative Sciences, University of Pennsylvania School of Dental Medicine, Philadelphia, Pennsylvania; Private Practice, Santiago, Chile

Markus B. Blatz, DMD, PhD

Professor of Restorative Dentistry, Chair, Department of Preventive and Restorative Sciences, and Assistant Dean, Digital Innovation and Professional Development, University of Pennsylvania School of Dental Medicine, Philadelphia, Pennsylvania

Queries to the author regarding this course may be submitted to authorqueries@conexiant.com.

References

1. Penton-Voak IS, Jones BC, Little AC, et al. Symmetry, sexual dimorphism in facial proportions and male facial attractiveness. Proc Biol Sci. 2001;268(1476):1617-1623.

2. Coachman C, Calamita MA, Sesma N. Dynamic documentation of the smile and the 2D/3D digital smile design process. Int J Periodontics Restorative Dent. 2017;37(2):183-193.

3. Coachman C, Sesma N, Blatz MB. The complete digital workflow in interdisciplinary dentistry. Int J Esthet Dent. 2021;16(1):34-49.

4. Zimmermann M, Mehl A. Virtual smile design systems: a current review. Int J Comput Dent. 2015;18(4):303-317.

5. Silva BP, Mahn E, Stanley K, Coachman C. The facial flow concept: an organic orofacial analysis - the vertical component. J Prosthet Dent. 2019;121(2):189-194.

6. Blatz MB, Chiche G, Bahat O, et al. Evolution of aesthetic dentistry. J Dent Res. 2019;98(12):1294-1304.

7. Alshali S, Asali R. Conventional and digital workflow planning for maxillary teeth restoration with porcelain laminate veneers: a clinical report. Clin Cosmet Investig Dent. 2022;14:45-53.

8. Mykhaylyuk N, Mykhaylyuk B, Sousa Dias N, Blatz M. Interdisciplinary esthetic restorative dentistry: the digital way. Compend Contin Educ Dent. 2021;42(10):594-600.

9. Sanchez-Lara A, Chochlidakis KM, Lampraki E, et al. Comprehensive digital approach with the Digital Smile System: a clinical report. J Prosthet Dent.2019;121(6):871-875.

10. Coachman C, Bohner L, Jreige CS, et al. Interdisciplinary guided dentistry, digital quality control, and the "copy-paste" concepts. J Esthet Restor Dent. 2021;33(7):982-991.

11. Cattoni F, Mastrangelo F, Gherlone EF, Gastaldi G. A new total digital smile planning technique (3D-DSP) to fabricate CAD-CAM mockups for esthetic crowns and veneers. Int J Dent. 2016;2016:6282587.

12. Gurel G, Morimoto S, Calamita MA, et al. Clinical performance of porcelain laminate veneers: outcomes of the aesthetic pre-evaluative temporary (APT) technique. Int J Periodontics Restorative Dent.2012;32(6):625-635.

13. Georg R. Digital smile design: utilizing novel technologies for ultimate esthetics. Compend Contin Educ Dent. 2023;44(10):567-572.

14. Silva BP, Mahn E, Stanley K, Coachman C. The facial flow concept: an organic orofacial analysis - the vertical component. J Prosthet Dent.2019;121(2):189-194.

15. Ahmed WM, Azhari AA, Sedayo L, et al. Mapping the landscape of the digital workflow of esthetic veneers from design to cementation: a systematic review. Dent J (Basel).2024;12(2):28.

16. Reshad M, Cascione D, Magne P. Diagnostic mock-ups as an objective tool for predictable outcomes with porcelain laminate veneers in esthetically demanding patients: a clinical report. J Prosthet Dent.2008;99(5):333-339.

17. Conejo J, Dayo AF, Syed AZ, Mupparapu M. The digital clone: intraoral scanning, face scans and cone beam computed tomography integration for diagnosis and treatment planning. Dent Clin North Am. 2021;65(3):529-553.

18. Rivera M, Blatz MB. Precision matters: the evolution of impression systems and materials. Compend Contin Educ Dent. 2024;45(3):158-159.

19. Ortensi L, Sigari G, La Rosa GRM, et al. Digital planning of composite customized veneers using Digital Smile Design: evaluation of its accuracy and manufacturing. Clin Exp Dent Res.2022;8(2):537-543.

20. Coachman C, Blatz MB, Bohner L, Sesma N. Dental software classification and dento-facial interdisciplinary planning platform. J Esthet Restor Dent.2021;33(1):99-106.

Fig 1. Preoperative full-face smile showing poor anterior esthetics.

Figure 1

Fig 2. Preoperative close-up view of patient’s smile.

Figure 2

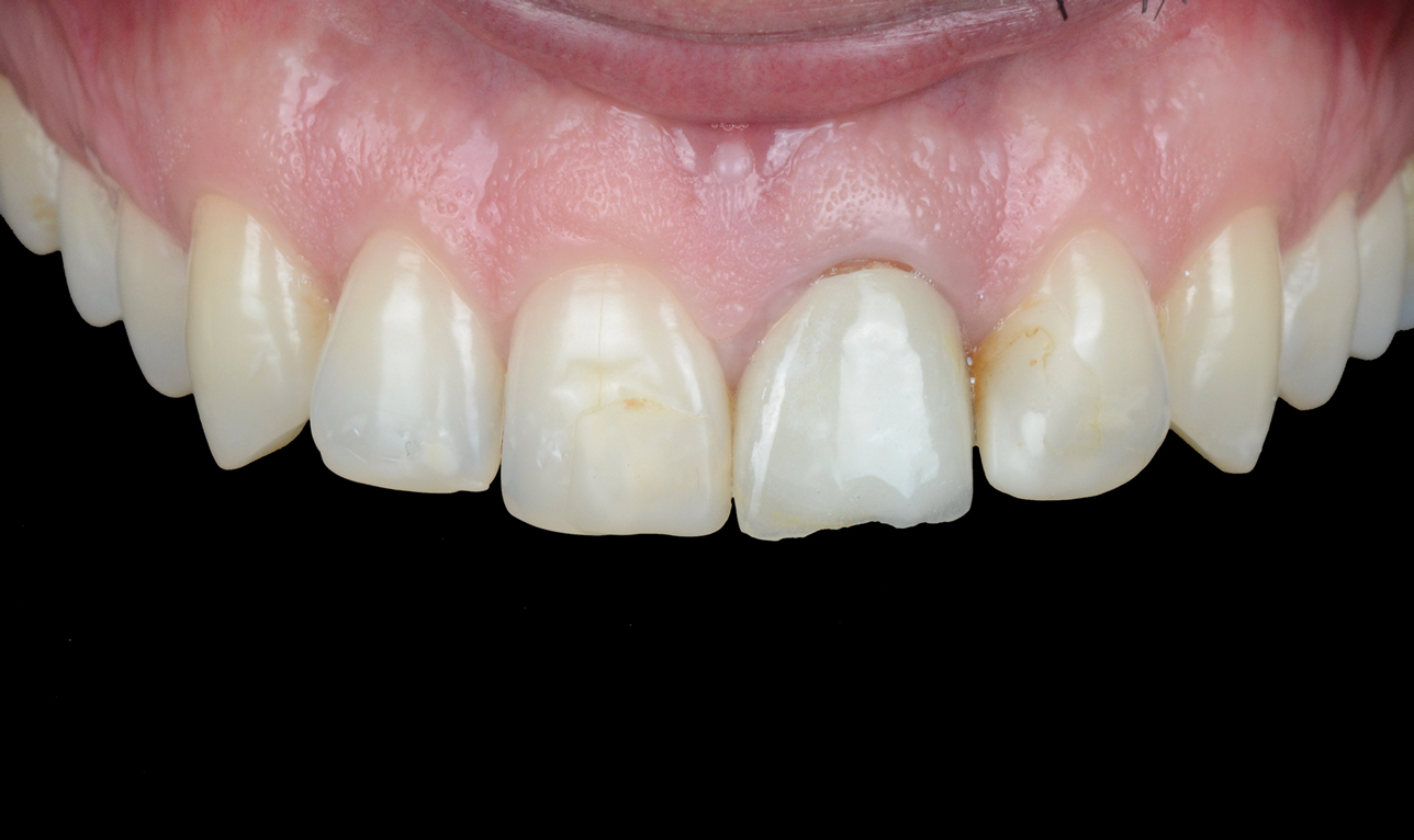
Fig 3. Preoperative retracted view of maxillary teeth.

Figure 3

Fig 4. Digital smile design simulation.

Figure 4

Fig 5. Digital mock-up simulation, full-face view.

Figure 5

Fig 6. Intraoral mock-up.

Figure 6

Fig 7. Intraoral mock-up as an index for veneer preparations.

Figure 7

Fig 8. Digital scanning of final preparations.

Figure 8

Fig 9. Computer-aided design and manufacture of 3D model.

Figure 9

Fig 10. Front view of computer-aided design and manufacture of final porcelain veneers.

Figure 10

Fig 11. Occlusal view of computer-aided design and manufacture of final porcelain veneers.

Figure 11

Fig 12. Bonding protocol utilizing rubber dam.

Figure 12

Fig 13. Retracted view of final lithium-disilicate veneer restorations.

Figure 13

Fig 14. Close-up smile with final restorations.

Figure 14

Fig 15. Full-face smile with final restorations.

Figure 15

Take the Accredited CE Quiz:

CREDITS: 1 SI (Laboratory)
AGD CODE: 610 - Cast Gold Restorations
COST: $8.00
PROVIDER: Conexiant Education
SOURCE: Compendium of Continuing Education in Dentistry | June 2025

Learning Objectives:

  • Discuss the advancements in the implementation of digital technologies for the treatment of patients with esthetic needs
  • Identify digital workflows and digital smile design in a veneer case
  • Explain the advantages and limitations of digital technologies

Disclosures:

The author reports no conflicts of interest associated with this work.

Queries for the author may be directed to justin.romano@broadcastmed.com.