CDEWorld > Courses > The Integration of Artificial Intelligence and Augmented Reality in Dental Education: Current Applications and Future Potential

CE Information & Quiz

The Integration of Artificial Intelligence and Augmented Reality in Dental Education: Current Applications and Future Potential

Ronald Perry, DMD, MS; Gursharanjit Singh, DMD Candidate; Anthony Dame, DMD Candidate; Samar A. Mohamed, DMD Candidate; Angel Mary Idiculla, DMD Candidate; and Ripple Garg, DMD Candidate

May 2025 Issue - Expires Wednesday, May 31st, 2028

Compendium of Continuing Education in Dentistry

Abstract

The integration of artificial intelligence (AI) and augmented reality (AR) in dental education is transforming how students acquire and refine clinical skills. This article explores current applications and the future potential of AI and AR in dental training. AI, defined as the simulation of human cognitive functions by machines, enhances diagnostics, treatment planning, patient management, and educational tools through subfields like machine learning, artificial neural networks, computational vision, robotics, and speech processing. These technologies enable personalized learning, can improve diagnostic accuracy, and streamline administrative tasks. AR, which overlays digital information onto real-world components, provides immersive and interactive learning experiences. In dental education, AR-based simulations enable risk-free environments for skill development, allowing students to practice procedures on virtual patients with real-time feedback. Applications of AR include simulation and training, patient education, endodontics, implantology, and local anesthetic training. These tools help enhance spatial understanding, reduce learning curves, and facilitate standardized training across institutions. Despite challenges such as high implementation costs and the need for faculty training, the potential benefits of AI and AR in dental education are significant. As these technologies continue to evolve, they promise to reshape dental curricula, improve educational outcomes, and, ultimately, enhance patient care.

You must be signed in to read the rest of this article.

Login Sign Up

Registration on CDEWorld is free. Sign up today!
Forgot your password? Click Here!

Imagine a world where machines think, learn, and create. This is not science fiction-it is the evolving reality of artificial intelligence (AI). AI is transforming the world, from how people interact with their personal devices to how doctors diagnose diseases. But what exactly is AI? In simple terms, it is the capability of computers to mimic human intelligence in tasks like learning, problem-solving, and decision-making.

When integrated with augmented reality (AR), AI offers interactive learning experiences, blending the physical and virtual worlds to create immersive educational tools. Similarly, virtual reality (VR) fully immerses users in computer-generated environments, providing hands-on training through simulated scenarios. In dental education, these technologies are redefining how students acquire and refine clinical skills.

Integrating AI into virtual learning platforms is increasingly essential for dental students. A recent study among Turkish dental students revealed that 74.6% supported AI in undergraduate curricula, with 79.8% in favor of its inclusion in postgraduate programs.1 This article aims to achieve two objectives: first, to explore the current applications of AI and AR in dental education, and second, to identify significant AI-driven advancements in dentistry and discuss their future potential to prepare students for a competitive healthcare landscape. In doing so, the authors aim to lay a foundation for future research and curriculum development in dental education.

Overview of Artificial Intelligence in Dental Education

AI, defined as the simulation of human cognitive functions by machines, was introduced at Dartmouth College in 1956.2,3 AI has since evolved across many fields, including dentistry, where it is revolutionizing traditional practice. In dentistry, AI leverages advanced computational techniques to enhance diagnostics, treatment planning, patient interaction, and practice management.4 Major AI subfields relevant to dentistry (Table 1) include the following:

Machine learning (ML): ML refers to a class of AI algorithms that analyze large datasets to identify patterns, make predictions, and improve decision-making. In dental education, ML assists in curriculum design by personalizing learning pathways based on student performance. Additionally, ML models are instrumental in analyzing radiographic images, detecting pathologies, and predicting patient outcomes (Figure 1 and Figure 2).

Artificial neural networks (ANN): ANNs are computational models inspired by the neural pathways of the human brain. These networks process vast amounts of complex data and can recognize patterns in diagnostic images, aiding in early disease detection. In dental education, ANNs can be used for adaptive testing, where student assessments dynamically adjust based on responses, ensuring a more customized learning experience.

Computational vision:Also known as computer vision, this subfield enables AI to interpret and analyze images, such as radiographs, cone-beam computed tomography (CBCT) scans, and intraoral photographs. AI-driven image recognition is becoming integral in caries detection, periodontal assessment, and orthodontic treatment planning. In education, computational vision tools help students practice image-based diagnostics with AI-generated feedback (Figure 3).

Robotics: Robotics in dentistry involves the automation of precise, repetitive tasks, such as crown milling, implant placement assistance, and dental cleaning. In educational settings, robotic systems are being integrated into simulation-based training, allowing students to refine their hand skills before performing procedures on patients.

Speech processing:Speech recognition and natural language processing (NLP) facilitate AI-powered virtual assistants that can interact with students and patients. In dental education, NLP-based systems can serve as virtual tutors, answering student queries, providing case-based discussions, and even assessing verbal clinical examinations. Additionally, AI-driven transcription services assist with documentation and recordkeeping.

By integrating these AI subfields into dental education, institutions can enhance student learning experiences, improve diagnostic accuracy, and streamline dental practice workflows.

Transforming Dental Diagnostics and Clinical Care

Artificial intelligence is rapidly reshaping dentistry, particularly in diagnostic imaging, where AI-powered tools enhance precision and efficiency. Studies demonstrate that AI improves diagnostic accuracy, reduces human error, and optimizes workflow efficiency in clinical practice.5 By integrating AI into dentistry, clinicians can provide more accurate diagnoses, develop tailored treatment plans, enhance clinical workflows, and improve patient care outcomes. Key AI applications in dentistry that are helping redefine the standard of care include the following:

Diagnostic imaging:AI-powered diagnostic tools analyze radiographic images, aiding in the early detection of oral diseases such as dental caries, periodontal disease, and oral cancer. Advanced machine learning models can identify pathologies with accuracy comparable to or even exceeding that of a clinician.4 AI enhances interpretation of periapical radiographs, panoramic images, CBCTs, and even intraoral scans, providing real-time insights for practitioners. Additionally, AI assists in detecting anomalies that may be overlooked by the human eye, facilitating earlier intervention and improved patient prognosis.

Treatment planning: AI algorithms synthesize vast amounts of patient data, including medical history, dental records, and imaging results, to generate personalized treatment plans. In orthodontics, AI-powered systems analyze facial and skeletal structures to predict treatment outcomes and assist in designing aligners and braces. In restorative dentistry, AI-driven CAD/CAM software aids in fabricating precise prosthetic restorations. AI also plays a role in endodontics by predicting the success rate of root canal therapy and identifying the most effective treatment protocols.

Patient management:AI-driven virtual assistants streamline administrative tasks, helping to improve efficiency in dental practices. These AI tools are used to manage patient scheduling, send automated appointment reminders, and facilitate real-time patient communication through chat bots. Additionally, AI-powered electronic health record systems optimize documentation by automatically transcribing clinical notes and organizing patient data. This integration reduces administrative burdens on dental professionals, allowing them to focus more on patient care.

Robotic assistance: Robotics integrated with AI helps enhance precision, consistency, and efficiency of dental procedures. AI-driven robotic systems assist in implant placement, ensuring optimal angulations and depth for improved osseointegration. In restorative dentistry, robotic milling and 3D printing enable the fabrication of highly accurate dental prosthetics. In dental education, robotic simulators provide students with hands-on training experiences, helping to refine their manual dexterity and decision-making skills before treating live patients.

Overview of Augmented Reality in Dental Education

AR is an advanced technology that overlays digital information onto real-world components, enabling learners to engage with virtual objects in 3D spaces. Unlike traditional 2D educational materials, AR offers an immersive and interactive experience, enhancing student engagement and comprehension. In dental education, AR integrates digital overlays with physical environments, allowing students to visualize complex anatomical structures, refine clinical techniques, and practice procedures in a risk-free setting. By bridging the gap between theoretical learning and hands-on experience, AR serves as a powerful tool for dental training and professional development. Current applications of AR in dental school education include the following:

Simulation and training:AR-based dental simulators allow students to practice procedures on virtual patients, offering a realistic yet risk-free environment for skill development. These simulations provide real-time feedback, enabling students to refine techniques in restorative dentistry, endodontics, prosthodontics, and surgical procedures. Advanced haptic feedback systems further enhance training by mimicking the tactile sensations of working on real teeth, helping to improve manual dexterity and hand-eye coordination before clinical practice.

Patient education:AI-powered AR applications enhance patient education by transforming complex dental concepts into easily digestible visual demonstrations. Virtual models of dental conditions and treatment plans help patients understand procedures such as tooth extractions, orthodontic corrections, and implant placements. AR-driven interactive tools foster improved patient communication, which may lead to higher treatment acceptance rates and reduced dental anxiety. AI-driven AR agents also act as virtual assistants, facilitating personalized and empathetic patient interactions.

Endodontics:AR technology enhances the study of root canal anatomy by overlaying digital reconstructions onto traditional radiographs, allowing students to visualize internal structures with greater clarity. This can improve lesion and fracture detection, helping students and clinicians develop precise treatment plans. AR-assisted endodontic guides also aid in locating canal orifices and navigating curved canals, potentially reducing procedural errors and improving patient outcomes.

Implantology: In implantology, AR and virtual reality (VR) help provide a comprehensive understanding of internal oral structures, thus improving student proficiency and precision in implant placement. AR software integrates CBCT scans with 3D virtual models, allowing students to visualize bone density, nerve positioning, and optimal implant angulations before performing procedures. AR-assisted implant planning enhances surgical accuracy, reduces complications, and ensures better long-term success rates.1,6

Local anesthetic training:Administering local anesthesia is a fundamental yet challenging skill for dental students. AR-based training modules can enhance confidence and accuracy by overlaying anatomical guides onto real patients or simulation models. These tools help students visualize nerve pathways, injection sites, and needle trajectories, potentially reducing errors and improving success rates. Studies have shown that AR-assisted anesthetic training increases precision, with success rates reaching 90.2%, demonstrating its effectiveness in enhancing clinical competency.1

By simulating real-world clinical scenarios, AR supports skill development, enhances visualization, and provides real-time feedback, reinforcing its transformative value in dental education. As AR technology continues to advance, its integration into dental curricula is likely to play a crucial role in shaping the next generation of dental professionals.

Artificial Intelligence in Dental Students' Training and Learning

In dental education, AI is enabling highly personalized learning experiences. AI-driven adaptive learning platforms analyze students' performance, identify specific weaknesses, and tailor study materials accordingly, helping to ensure a more efficient and targeted approach to exam preparation.

For instance, AI-powered educational tools, such as CranioCatch® (CranioCatch, craniocatch.com), Relu® Plan (Relu BV, relu.eu), and AiDental (AiDENTAL, aidental.app), have demonstrated measurable improvements in dental students' understanding of complex subjects like removable partial denture designs. Studies have shown that students using AI-assisted learning tools exhibit statistically significant enhancements in their knowledge retention and practical application of concepts.7

Beyond traditional coursework, AI contributes to skill acquisition through interactive and immersive experiences. Intelligent tutoring systems provide real-time feedback on students' work, allowing them to refine their techniques efficiently. Additionally, AI-powered simulation-based training equips students with competency-based skill development opportunities, reducing reliance on direct faculty supervision while maintaining rigorous educational standards.8

Moreover, AI-driven virtual workshops and case-based learning modules offer customized educational pathways. These tools help students navigate complex topics such as occlusion, endodontic procedures, and prosthodontic workflows, adapting in real-time to their progress and comprehension levels. Such advancements not only enhance learning efficiency but also support evidence-based decision-making, ultimately preparing students for real-world clinical challenges.

As AI continues to evolve, its integration into dental education is expected to refine training methodologies, enhance critical thinking skills, and optimize students' preparedness for both board exams and clinical practice. However, while AI's individualized assessments and administrative efficiency benefit student learning, dental providers must avoid overreliance on AI. AI is intended to assist the provider, and any overreliance on it could impair critical thinking and empathy in patient care. Ethical considerations such as data privacy, transparency, and equitable access to AI tools also must be addressed.

Augmented Reality in Dental Students' Training and Learning

AR and VR impact dental education by providing immersive and interactive learning experiences. These technologies enhance students' understanding of complex dental procedures, optimize treatment planning, and improve clinical precision.1 Through the integration of AR and VR into dental curricula, students can engage in hands-on training with enhanced visualization, real-time feedback, and risk-free procedural practice (Table 2).

Interactive simulations and practice: AR and VR platforms simulate real-world dental procedures, enabling students to practice and refine their skills in a controlled, virtual environment. These technologies provide in-depth insights into dental anatomy and pathology, allowing students to explore structures in three dimensions, interact with dynamic models, and better understand spatial relationships within the oral cavity.

A significant advancement in VR-based dental training is haptic feedback, which enhances procedural practice by replicating the tactile sensation of real dental instruments. This feature allows students to develop precise hand skills in procedures such as cavity preparations, root canal treatments, and prosthetic adjustments without the risk of patient harm. Virtual patient simulations further help students build confidence and competence before transitioning to live clinical experiences.

Real-time guidance during procedures:AR technology overlays digital information onto physical models or live patient scans, offering real-time guidance that can improve dexterity, accuracy, and decision-making in dental procedures. This feature is particularly valuable in surgical training, where precision is critical. For example, AR-assisted implantology allows students to visualize the ideal implant placement before performing the procedure to help ensure optimal angulations and depth. Similarly, AR applications in endodontics guide students through root canal therapy by overlaying anatomical landmarks and instrument navigation paths. By integrating gesture-based controls and voice commands, AR platforms enable hands-free access to reference materials, radiographs, and procedural guidelines, enhancing efficiency and focus during hands-on training.

Benefits and challenges:The incorporation of AR and VR into dental education offers several key benefits, one being enhanced spatial understanding. AR improves visualization of complex structures, aiding in procedures such as cavity preparation, crown margin design, and implant placement. AR and VR can also help reduce learning curves, as interactive simulations accelerate skill acquisition by allowing repeated practice without resource constraints or patient risks. Another key benefit is standardized training. Virtual platforms ensure uniform educational experiences, helping bridge gaps in clinical exposure across different institutions.

Despite these benefits, several challenges hinder the widespread adoption of AR and VR in dental training, including high implementation costs. Advanced AR/VR equipment, software development, and maintenance expenses can be prohibitive for many dental schools. Also, limited accessibility can be a challenge, as not all institutions have the infrastructure to support immersive technology, leading to disparities in training opportunities. Finally, adaptation and integration can be difficult, as faculty and students require training to effectively use AR/VR platforms, which could initially slow down curriculum adoption.

As AR and VR technology advances, costs are expected to decrease, making these tools more accessible for dental education. With continued research and innovation, AR and VR have the potential to become integral components of dental training, bridging the gap between theoretical knowledge and clinical proficiency.

Artificial Intelligence and Augmented Reality Integration

The implementation of AI and AR in dental education is gaining momentum, with several leading dental schools and research institutions having successfully integrated AI and AR into their curricula to enhance learning, diagnostics, and clinical skills development. AI-powered diagnostic tools, for example, have been incorporated into radiology training for the improvement of caries detection accuracy in bitewing radiographs. Studies show that AI-assisted analysis enhances diagnostic precision by identifying early-stage lesions that may be overlooked by human examination.9 Additionally, AI-driven grading systems are being piloted to evaluate students' restorative preparations, providing objective feedback on margin integrity, taper, and occlusal clearance.

Similarly, AR-based simulation labs are being utilized for preclinical training, allowing students to visualize complex procedures such as implant placement, endodontic access cavity design, and occlusal adjustments in real-time. These interactive simulations help students develop critical hand skills before transitioning to live patient care. Institutions implementing AR in their training programs have reported improved student confidence and competency in clinical settings.1

Student perspectives on AI and AR integration in dental education have been overwhelmingly positive. In a recent survey, 65% of dental students expressed favorable attitudes toward AI-enhanced learning, citing its ability to streamline studying, provide personalized feedback, and improve diagnostic accuracy.10 Many students also reported that AI-driven adaptive learning platforms helped them identify weaknesses and target study areas more efficiently, ultimately improving their performance in exams and clinical assessments. Students appreciate the immersive learning experience of AR, noting that visualizing procedures in 3D enhanced their spatial understanding and procedural confidence. Hands-on AR simulations were particularly beneficial for mastering complex techniques such as crown preparations and surgical extractions.

Overall, the integration of AI and AR into dental education is providing a transformative shift, equipping students with advanced tools to enhance learning outcomes, improve clinical skills, and optimize future patient care.

Future Potential and Trends

Emerging Technologies and Innovations

The next wave of AI-driven simulations and real-time feedback systems is expected to further enhance clinical training. The use of AI-powered virtual patients with dynamic responses will allow students to practice diagnosing and treating a wide range of dental conditions in a risk-free environment, helping to improve clinical decision-making and patient safety.1 Additionally, gesture-based AR tools will enable students to interact with 3D models, manipulate virtual instruments, and simulate complex procedures such as implant placements, bone grafting, and occlusal adjustments with high precision.

Another emerging innovation is AI-assisted robotic training, where intelligent systems guide students through procedures using haptic feedback. These systems can provide real-time corrections, ensuring that students maintain proper angulations, pressure, and depth during procedures like cavity preparations and endodontic access openings. AI's ability to analyze performance data and provide tailored recommendations is conducive to enhancing skill development and competency assessments.

Integration With Other Educational Tools

The seamless integration of AI with learning management systems and case-based learning platforms is creating a more interactive and data-driven educational ecosystem. AI algorithms can track students' progress, identify knowledge gaps, and suggest personalized learning paths, enabling a more adaptive and student-centered approach to dental education.

In addition, faculty members benefit from AI-powered automation, which streamlines administrative tasks such as grading, curriculum management, and performance evaluation. AI-assisted analytics can help educators identify students who may need additional support, ensuring timely interventions and customized mentoring. This integration fosters a more efficient learning environment, allowing instructors to focus on high-value teaching and clinical guidance.

Moreover, combining AI with digital case libraries enhances problem-based learning by providing students with real-life patient scenarios that they can analyze and discuss. AI-driven case analysis tools can assist in differential diagnosis, guiding students through the decision-making process and reinforcing evidence-based treatment planning.

Long-term Impact on Dental Education and Practice

The long-term impact of AI and AR in dental education and practice will be profound, shaping the future of clinical training, patient care, and professional development. As these technologies become more sophisticated, dental curricula will increasingly incorporate AI-driven assessments, virtual reality patient encounters, and automated skill evaluations, ensuring that students are well-prepared for real-world clinical challenges.

In clinical practice, it is projected that AI will continue to enhance predictive diagnostics, improve treatment planning, and enable more precise and minimally invasive procedures. AI-powered imaging analysis is expected to aid in the early detection of oral diseases, while AR-guided surgical navigation is likely to improve accuracy in procedures such as implant placement and orthognathic surgeries.

However, several challenges must be addressed to ensure the responsible and ethical use of AI and immersive technologies in dental education. Data privacy concerns, high implementation costs, and the need for standardized ethical frameworks remain significant hurdles. Institutions will need to establish guidelines for data security, AI bias mitigation, and responsible technology use to maintain patient trust and uphold educational integrity.

Despite these challenges, AI and AR are expected to redefine the future of dental education, equipping students with the skills and technological expertise needed to excel in modern dentistry. By embracing these advancements, the dental profession will move toward more efficient, precise, and patient-centered care, ultimately improving both educational outcomes and clinical success.

Conclusion

The integration of artificial intelligence and immersive technologies such as augmented reality and virtual reality in dental education is reshaping how students acquire knowledge, develop technical skills, and transition into clinical practice. These innovations have demonstrated significant potential to enhance diagnostics, procedural training, and individualized learning, leading to more effective and engaging educational experiences.

As with any emerging technology, however, the widespread adoption of AI and immersive tools requires ongoing research to refine their implementation and evaluate long-term outcomes. While studies have highlighted improvements in skill acquisition, decision-making, and student engagement, others have yielded inconclusive results, emphasizing the need for standardization and evidence-based guidelines to maximize their effectiveness. Establishing robust scientific frameworks will be essential in ensuring these technologies are applied consistently and ethically across dental institutions. Additionally, challenges such as data privacy concerns, high costs, and the need for faculty training must be addressed to facilitate seamless integration. Institutions must develop ethical policies, training programs, and infrastructure investments to support the responsible use of AI and AR in dental education. Collaborative efforts between academic researchers, technology developers, and policymakers will be critical in establishing best practices and mitigating potential risks.

Despite these challenges, AI and immersive technologies hold immense promise for the future of dental education. By enhancing clinical training, streamlining administrative tasks, and providing real-time feedback, these tools are preparing students to become more skilled, efficient, and patient-centered practitioners. As research progresses and technology advances, AI and AR will continue to redefine the learning experience, ultimately improving both education and patient care outcomes for future generations of dental professionals.

About the Authors

Ronald Perry, DMD, MS
Professor, Comprehensive Care, Director of the International Student Program, Comprehensive Care, Tufts University School of Dental Medicine, Boston, Massachusetts; Fellow, Academy of General Dentistry; Fellow, Academy of Dentistry International

Gursharanjit Singh, DMD Candidate
Tufts University School of Dental Medicine, Boston, Massachusetts

Anthony Dame, DMD Candidate
Tufts University School of Dental Medicine, Boston, Massachusetts

Samar A. Mohamed, DMD Candidate
Tufts University School of Dental Medicine, Boston, Massachusetts

Angel Mary Idiculla, DMD Candidate
Tufts University School of Dental Medicine, Boston, Massachusetts

Ripple Garg, DMD Candidate
Tufts University School of Dental Medicine, Boston, Massachusetts

Queries to the author regarding this course may be submitted to authorqueries@conexiant.com.

References

1. Saghiri MA, Vakhnovetsky J, Nadershahi N. Scoping review of artificial intelligence and immersive digital tools in dental education. J Dent Educ.2022;86(6):736-750.

2. Solomonoff RJ. The time scale of artificial intelligence; reflections on social effects. Human Systems Management. 1985;5:149-153.

3. Solomonoff G. The meeting of the minds that launched AI. IEEE Spectrum website. May 6, 2023. https://spectrum.ieee.org/dartmouth-ai-workshop. Accessed March 31, 2025.

4. Thurzo A, Urbanová W, Novák B, et al. Where is the artificial intelligence applied in dentistry? Systematic review and literature analysis. Healthcare (Basel). 2022;10(7):1269.

5. Mahesh Batra A, Reche A. A new era of dental care: harnessing artificial intelligence for better diagnosis and treatment. Cureus. 2023;15(11):e49319.

6. Mai HN, Dam VV, Lee DH. Accuracy of augmented reality-assisted navigation in dental implant surgery: systematic review and meta-analysis. J Med Internet Res. 2023;25:e42040.

7. Mahrous A, Botsko DL, Elgreatly A, et al. The use of artificial intelligence and game-based learning in removable partial denture design: a comparative study. J Dent Educ. 2023;87(8):1188-1199.

8. Dave M, Patel N. Artificial intelligence in healthcare and education. Br Dent J. 2023;234(10):761-764.

9. Schropp L, Sørensen APS, Devlin H, Matzen LH. Use of artificial intelligence software in dental education: a study on assisted proximal caries assessment in bitewing radiographs. Eur J Dent Educ.2024;28(2):490-496.

10. Amiri H, Peiravi S, Rezazadeh Shojaee SS, et al. Medical, dental, and nursing students' attitudes and knowledge towards artificial intelligence: a systematic review and meta-analysis. BMC Med Educ.2024;24(1):412.

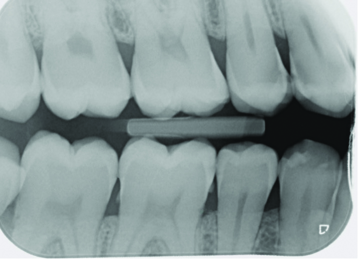
Fig 1. On a conventional dental radiograph, areas of concern, in this case proximal decay, can be difficult for the patient to see on the black and
white image.

Figure 1

Fig 2. Using on-screen overlays with vibrant colors in real-time, dental AI software can help enhance clinical accuracy and improve
case presentation, making it easier for problem areas to be visualized.

Figure 2

Fig 3. Dental AI software may be utilized to detect bone loss.

Figure 3

Table 1

Table 1

Table 2

Table 2

Take the Accredited CE Quiz:

CREDITS: 2 SI
AGD CODE: 750 - Product/technology training
COST: $16.00
PROVIDER: Conexiant Education
SOURCE: Compendium of Continuing Education in Dentistry | May 2025

Learning Objectives:

  • Discuss how the integration of artificial intelligence (AI) and augmented reality (AR) in dental education is impacting how students acquire and refine clinical skills
  • Describe current applications and the future potential of AI and AR in dental training
  • Discuss how AI technologies enable personalized learning, enhance diagnostic accuracy, and streamline administrative tasks

Author Qualifications:

Ronald Perry, DMD, MS Professor, Comprehensive Care, Director of the International Student Program, Comprehensive Care, Tufts University School of Dental Medicine, Boston, Massachusetts; Fellow, Academy of General Dentistry; Fellow, Academy of Dentistry International Gursharanjit Singh, DMD Candidate Tufts University School of Dental Medicine, Boston, Massachusetts Anthony Dame, DMD Candidate Tufts University School of Dental Medicine, Boston, Massachusetts Samar A. Mohamed, DMD Candidate Tufts University School of Dental Medicine, Boston, Massachusetts Angel Mary Idiculla, DMD Candidate Tufts University School of Dental Medicine, Boston, Massachusetts Ripple Garg, DMD Candidate Tufts University School of Dental Medicine, Boston, Massachusetts

Disclosures:

The author reports no conflicts of interest associated with this work.

Queries for the author may be directed to justin.romano@broadcastmed.com.