CDEWorld > Courses > Novel Bleaching Tray Fabrication Techniques

CE Information & Quiz

Novel Bleaching Tray Fabrication Techniques

Van B. Haywood, DMD, and Jacqueline Delash, DMD, MBA, MPH

June 2022 Issue - Expires Wednesday, January 31st, 2024

Inside Dental Assisting

Abstract

Overnight tray bleaching using carbamide peroxide is an effective method of whitening teeth. When a concentration of 10% is used, tray designs do not need to be scalloped and can extend onto the gingiva, facilitating benefits to the soft tissues. The use of thermoplastic materials permits bleaching trays to be fabricated intraorally, eliminating the need for alginate impressions and casts. In addition to cost savings, this is particularly beneficial for pediatric patients, patients with limited time, and patients with severe cough or gag reflexes. This article describes the fabrication methods of several types of thermoplastic trays for bleaching and examines their use in helping to diagnose bruxing, treating sensitivity in various situations, and providing caries control for patients who are undergoing traditional orthodontic therapy. In addition, a closed-mouth impression technique using triple trays is discussed that can be used for patients with severe cough or gag reflexes when casts for the fabrication of conventional bleaching trays are required.

You must be signed in to read the rest of this article.

Login Sign Up

Registration on CDEWorld is free. Sign up today!
Forgot your password? Click Here!

Vital tooth bleaching utilizing a peroxide-based material and tray has been popular since its introduction in 1989 by Haywood and Heymann.1 The original technique, "nightguard vital bleaching," involved the use of a 10% carbamide peroxide material that was available as an over-the-counter oral antiseptic.1 Because this oral antiseptic was intended to be applied to soft tissue, the original tray design extended onto the gingiva. However, as concentrations of carbamide peroxide increased and the use of hydrogen peroxide began to develop, tray designs evolved to accommodate. Modifications to bleaching trays included the addition of scalloped edges, which did not extend onto the soft tissue, and the incorporation of reservoirs or spacers for bleaching material. These modifications had the potential to result in poor tooth-to-tray adaptation and subsequent undesirable gingival irritation due to the high concentrations (ie, greater than 10%) and excess amounts of carbamide peroxide. However, as long as 10% carbamide peroxide is used, the tray design can extend onto soft tissue, eliminating the need for scalloped edges and reservoirs.2,3 In fact, contact with the gingival tissue is somewhat desirable. Research demonstrates that there is improvement in the gingival indices due to the oral antiseptic function of the bleaching material.4,5

Two-Piece Thermoplastic Tray Systems

The two-piece thermoplastic tray system consists of a hard, inner horseshoe-shaped tray that is approximately 1-mm thick contained in a soft outer tray (Figure 1).6 After it has been placed in hot water, the outer tray acts as a carrier for the softened inner tray to facilitate insertion into the mouth. The first step in using the two-piece thermoplastic tray is to practice the insertion technique with the patient. This is accomplished by trying in the tray, verifying a passive fit, and guiding the patient to bite on his or her back teeth upon insertion. Once everyone is comfortable with the process, the next step is to heat up the water.

Hot water can be acquired by heating it in a microwave for about 1.5 minutes on high or by using a Keurig-style single cup coffee maker without inserting a coffee pod. It will take approximately 10 ounces of water in a cup with sufficient width and depth to accommodate the size of the completely submerged tray when suspended vertically by the handle. The use of either a sterilizable ceramic coffee cup or a Styrofoam cup that can be discarded is appropriate. The most efficient method for obtaining hot water is using a sterilized ceramic coffee cup and a single cup coffee maker set to the 10-ounce size setting.

Once the hot water is prepared, the tray is submerged and suspended in it and then slowly waved back and forth, avoiding contact with the cup walls. An indication that the inner tray material is sufficiently softened is when its top edge next to the outer tray's handle starts to curl in. The tray is then removed from the water, the excess hot water is shaken off to avoid patient discomfort, and the edges of the inner tray are pushed back to their original position to allow for proper insertion into the mouth. The dentist should be careful not to allow the edges to contact one another. If this happens, they will fuse together, rendering the tray unusable.

Inform the patient that the tray will be warm, then insert it into the mouth, centered over the anterior and posterior teeth. Immediately press firmly on the buccal and lingual surfaces of the outer tray to force the inner material to mold around the teeth and embrasures, working from the anterior to the posterior segments. After one or two passes, the patient is asked to bite on his or her posterior teeth and produce suction to create a vacuum, which is described as similar to drinking through a straw. After the patient holds the suction for approximately 10 to 15 seconds, the dentist repeats pressing on the buccal and lingual surfaces. This process of molding the tray with pressure/vacuum is repeated until the tray loses its heat. During the setting process, it is advised to slightly dislodge the inner tray from the teeth by about 1 mm to avoid locking into any severe undercuts. If the tray feels tight, apply several more 1-mm movements occlusally to loosen the fit of the tray. If the tray feels loose, then more pressure is applied buccally and lingually. Once the tray system has cooled intraorally, it is removed from the mouth and further set using cold water. The outer tray is then separated from the hardened inner tray (Figure 2).

Next, the inner tray is reinserted into the mouth and evaluated for occlusal stability and overall comfort. If the edges of the tray are rough, they can be smoothed by trimming the tray with crown and bridge scissors or by selectively resoftening an edge in hot water and remolding it intraorally (Figure 3). Once cooled, ask the patient to wiggle his or her lips with them closed to ensure that the edges are smooth. Generally, the occlusion is correct during the fabrication process, but if it is uncomfortable, the tray can be selectively heated to adjust it. Hold the tray by the edges such that only its occlusal surfaces contact the hot water. Once softened, reinsert the tray into the mouth and have the patient bite on his or her back teeth. The final product is a custom-fitted, non-scalloped, no reservoir tray made intraorally.

At home, the patient follows the conventional tray bleaching protocol, placing a "pea size" amount of material in the facial aspect of each tooth mold to be worn for overnight use. This thermoplastic tray works well on the maxillary arch, can greatly reduce the chance of gagging or explosive coughing, and provides a quick start to bleaching. It is recommended to bleach one arch at a time to determine if the patient can tolerate the bleaching process. In addition, some patients who achieve a successful result for the maxillary arch may chose not to bleach their mandibular teeth, even if the result for the maxillary arch is dramatic. The office should have a single-arch bleaching fee to accommodate these patients.7

Because this tray is harder than some one-piece clear thermoplastic trays, it is a good option for bleaching patients who are bruxers. It can also be used to help diagnose currently bruxing patients. After 1 to 2 weeks of wearing the tray, the presence of wear marks or holes will indicate whether or not a patient is currently bruxing (Figure 4). Some patients are aware of their nocturnal bruxism but are hesitant to invest in the needed hard occlusal splint for protection because they are concerned about their nighttime comfort. The chairside fabrication of this tray can allow them to test that concern. If they can sleep comfortably wearing this tray, then they should be able to sleep comfortably wearing a bruxism splint.

Single-Piece Clear Thermoplastic Trays

The single-piece clear thermoplastic tray is similar to the tray produced by the two-piece tray system. However, this type of tray is made from a much softer clear material (Figure 5). The tray is approximately 1 mm thick with a lingual wall that is thicker than the facial wall. The thick lingual wall helps to maintain the shape of the tray, while the thin facial wall conforms tightly against the teeth. The process of heating and inserting is similar to the two-piece tray system, but there is less initial molding of the tray to the teeth and more suction is required. As soon as the softened tray is placed intraorally, the patient closes and bites on his or her back teeth to create the vacuum. The dentist's role with this tray is to ensure that it's centered over the arch, does not touch itself during insertion, and adapts well. The patient's role is to create suction to form the tray around the teeth while maintaining posterior tooth contact. When the tray has lost its heat, it is removed from the mouth, and the handle is removed with crown and bridge scissors (Figure 6). The edges are trimmed as needed for comfort, to allow room for a frenum attachment, or to avoid extension into an undercut (Figure 7).

The primary disadvantage of this type of tray is that it only comes in one size. If the patient has a large arch, then some of the posterior teeth will not be covered by the tray and, thus, will not be bleached during treatment (Figure 8). If this is unacceptable to the patient due to the visibility of these teeth in his or her smile, then the conventional tray fabrication approach must be used.

This tray is ideal for bleaching and the application of desensitizing agents. Because it is clear, it can be worn in public without much visibility. To treat tooth sensitivity, the clear thin thermoplastic tray is used in conjunction with 5% potassium nitrate.8 Sensitivity during bleaching is caused by the easy passage of peroxide through the intact enamel and dentin to the pulp in 5 to 15 minutes,9 leading to a reversable pulpitis. Potassium nitrate travels through the intact enamel and dentin to the pulp in approximately 30 minutes10 and does not allow the nerve to repolarize after it has depolarized in the pain cycle, relieving pain in more than 90% of patients.8 In effect, the potassium nitrate "numbs" the nerve much like a topical anesthetic. This treatment is helpful for patients who have sensitive teeth or who are experiencing sensitivity after periodontal surgery. Wearing a tray with a desensitizing toothpaste for 10 to 30 minutes is effective any time the teeth are sensitive. For patients with a history of sensitive teeth, pretreatment for sensitivity can help prior to hygiene appointments. These patients can wear the tray loaded with potassium nitrate while driving to the office, then have their teeth cleaned with reduced sensitivity. After the cleaning, they can wear the loaded tray home, making for a more comfortable experience from start to finish. This can help to reduce anxiety for patients who are having their teeth cleaned, resulting in less anxiety-related cancellations or late arrivals. In addition, brushing with potassium nitrate for 2 weeks prior to the initiation of bleaching can further reduce sensitivity.11

Thick, Single-Piece Clear Thermoplastic Trays

One of the biggest challenges for teenagers wearing braces is the time that it takes for proper oral hygiene to avoid white spot lesions and active caries.12 Furthermore, their eating habits and lifestyle do not always support good hygiene practices. Research indicates that the use of 10% carbamide peroxide for bleaching results in a reduction of caries because it creates a more basic oral environment with a pH greater than 8.0 within 5 minutes after insertion,13 removing plaque and killing bacteria that cause tooth decay.14 Therefore, tray application of carbamide peroxide has been recommended for elderly and special needs patients with root caries when fluoride trays are ineffective.2,15 It can also provide caries control benefits for patients with orthodontia.

For orthodontic patients, the single clear tray used is 1.5-mm thick. Due to its thickness and the presence of the orthodontic brackets, the dentist takes a more active role in molding this clear tray intraorally. The tray is heated in the same manner as the previously discussed thermoplastic trays. Even when completely softened, it will not become imbedded into the brackets. When seating it, the path of insertion into the mouth should be slightly more facial to avoid engaging the tray edges on the brackets. The dentist must act quickly to seat the tray intraorally and begin applying pressure on the walls from the anterior to the posterior segments to adapt the tray over the brackets and onto the gingiva before it cools. As before, the patient will bite on his or her back teeth and produce suction to create a vacuum. When the tray has lost its heat, it is removed from the mouth, and the handle is removed with crown and bridge scissors. The patient or dentist may initially experience difficulty in determining the seat of the tray because the tooth molds are not as pronounced due to the presence of the orthodontic appliance. However, the tray will have a definite seat and fit once the path of insertion is found, and the patient should be able to insert and remove it easily (Figure 9).

For bleaching treatment, the carbamide peroxide is injected into the tray via the trough created by the arch wires and brackets, and then the tray is inserted into the mouth. Typically, more bleaching material is used with this treatment in order to fully penetrate the wires and brackets to mechanically and chemically clean the braces (Figure 10). It is recommended that patients wear the tray while sleeping because of the reduction in saliva flow that happens nocturnally. A new tray will need to be made about every 3 to 4 months due to the shifting of the teeth, but this soft tray will not impede the progress of the orthodontics. The tray is difficult to fabricate on the mandibular arch because it requires good tongue control by the patient to be successful. Although a conventional alginate impression could be made, it would require removing the arch wires each time, and it would not capture the gingiva as well as a tray made directly in the mouth.

Another preventive option involves injecting carbamide peroxide directly onto the braces prior to brushing (Figure 11), which immediately causes a foaming, bubbling action when the material comes into contact with plaque (Figure 12). The use of this approach to chemically clean the braces as well as the use of 3% over-the-counter hydrogen peroxide in a 1:1 ratio in a water pick is beneficial to preventing white spot lesions. The only side effect of using 10% carbamide peroxide with tray treatment for caries control is that the teeth will be bleached. This is generally a beneficial coincident with orthodontic treatment and can serve as a motivator for a teenager to wear the tray. The cost of this tray bleaching treatment is approximately $400 to $600 over the course of 2 to 3 years of orthodontic treatment, which is far less than the cost of multiple composite restorations should caries occur. Any concerns that there may be yellow spots on the bleached teeth after removal of the brackets are unfounded because the material penetrates the tooth structure to bleach under existing restorations and brackets (Figure 13 and Figure 14).16

Triple Tray Closed-Mouth Alginate Impression

When an alginate impression is desired or required for the fabrication of bleaching trays, and the patient is concerned about having a gag response, one option is a closed-mouth impression. Similar to the closed-mouth quadrant impression trays for crowns, there are full-arch, closed-mouth impression trays for alginate. These "triple trays" come in the same three standard sizes as stock single-arch trays (Figure 15). When a patient has a strong gag reflex but is able to breathe through his or her nose, the impression can be made with the mouth closed. The technique involves preparing a three-scoop mixture of alginate, as would be done for a large maxillary impression, and loading both sides of the closed-mouth tray. Next, alginate is wiped on the occlusal surfaces of the teeth, and the loaded tray is inserted into the mouth on the mandibular arch first with the patient holding his or her tongue to the roof of the mouth. Immediately lift the lips while the patient bites into the maxillary portion of the impression material. Border mold the lips for both the maxillary and mandibular impressions. Once the alginate is set, remove it from the mouth, and rinse and disinfect.

For the casts, pour the maxillary impression first, then wrap the entire impression and unset stone in a wet paper towel and place it suspended in an alginate tray tree to set. Research has shown that if an alginate is poured and wrapped in a wet paper towel, it can be repoured up to 45 minutes later if it does not tear, resulting in a second cast that is as accurate as the first cast or a second alginate impression.17 Because of this property of alginate, as long as the closed-mouth tray remains wrapped in the wet paper towel, the pour of the maxillary impression can be setting without affecting the accuracy of the unpoured mandibular alginate. After 20 to 45 minutes, when the maxillary stone has set, unwrap the tray and pour the mandibular arch. When the mandibular stone has set, both casts can be removed from the impression material (Figure 16). In this manner, bleaching trays can be fabricated conventionally using half the alginate in half the time, and the patient avoids gagging.

Conclusions

When using 10% carbamide peroxide for bleaching, a non-scalloped tray without reservoirs is desirable. This permits several novel tray fabrication options for fabricating bleaching trays directly in the mouth without the need for conventional alginate impressions. This can result in fewer appointments for the patient, less overhead expenses for the dentist, and a lower fee for the treatment.7 In addition to bleaching, novel tray designs can be used for the identification of bruxism, sensitivity treatment, and caries control for orthodontic and other patients. When impressions must be acquired for tray fabrication, closed-mouth alginate impressions can reduce the time and expense as well as benefit patients who have a strong gag reflex.

Queries regarding this course may be submitted to authorqueries@aegiscomm.com

About the Author

Van B. Haywood, DMD
Professor
Department of Restorative Sciences
Dental College of Georgia
Augusta University
Augusta, Georgia

Jacqueline Delash,
DMD, MBA, MPH
Instructor
Department of Restorative Sciences
Dental College of Georgia
Augusta University
Augusta, Georgia

References

1. Haywood VB, Heymann HO. Nightguard vital bleaching. Quintessence Int. 1989;20(3):173-176.

2. Lazarchik DA, Haywood VB. Use of tray-applied 10 percent carbamide peroxide gels for improving oral health in patients with special-care needs. J Am Dent Assoc. 2010;141(6):639-646.

3. Haywood VB. Are reservoirs necessary? J Esthet Dent. 1999;11(1):3.

4. Almas K, Al-Harbi M, Al-Gunaim M. The effect of a 10% carbamide peroxide home bleaching system on the gingival health. J Contemp Dent Pract. 2003;4(1):32-41.

5. Curtis JW, Dickinson GL, Downey MC, et al. Assessing the effects of 10 percent carbamide peroxide on oral soft tissues. JADA. 1996,127(8):1218-1223.

6. Haywood VB, Caughman WF, Frazier KB, Myers ML. Fabrication of immediate thermoplastic whitening trays. Contemporary Esthetics and Restorative Practice. 2001;5(9):84-86.

7. Haywood VB, Delash J. Determining appropriate fees for tooth bleaching. Inside Dentistry. 2019;15(6):34-41.

8. Haywood VB, Caughman WF, Frazier KB, Myers ML. Tray delivery of potassium nitrate-fluoride to reduce bleaching sensitivity. Quintessence Int. 2001;32(2):105-109.

9. Cooper JS, Bokmeyer TJ, Bowles WH. Penetration of the pulp chamber by carbamide peroxide bleaching agents. J Endod. 1992;18(7):315-317.

10. Kwon SR, Dawson DV, Wertz PW. Time course of potassium nitrate penetration into the pulp cavity and the effect of penetration levels on tooth whitening efficacy. J Esthet Restor Dent. 2016;28(Suppl 1):S14-22.

11. Haywood V. Considerations for managing bleaching sensitivity. Dentin hypersensitivity: Consensus-based recommendations for the diagnosis and management of dentin hypersensitivity. 2008;4(9)(Special Issue):25-31.

12. Haywood VB. Orthodontic caries control and bleaching. Inside Dentistry. 2010;6(4):36-50.

13. Leonard RH, Austin SM, Haywood VB, Bentley CD. Change in pH of plaque and 10% carbamide peroxide during nightguard vital bleaching. Quintessence Int. 1994;25(12):819-823.

14. Leonard RH, Jr., Bentley CD, Haywood VB. Salivary pH changes during 10% carbamide peroxide bleaching. Quintessence Int. 1994;25(8):547-550.

15. Haywood VB. Bleaching and caries control in elderly patients. Aesthetic dentistry today. 2007;1(4):42-44.

16. Sword RJ, Haywood VB. Teeth bleaching efficacy during clear aligner orthodontic treatment. Compend Contin Educ Dent. 2020;41(5):e11-e16.

17. Haywood VB, Powe A. Using double-poured alginate impressions to fabricate bleaching trays. Operative Dent. 1998;23(3):128-131.

(1.) The two-piece thermoplastic tray system design uses a rubbery outer tray to carry a rigid inner tray to the mouth after it has been softened in hot water.

Figure 1

(2.) When softened, the inner tray is formed to the shape of the patient’s teeth and gingiva using the outer tray, resulting in a custom-fabricated bleaching tray made directly in the mouth.

Figure 2

(3.) When the custom-fabricated tray has rehardened, any improper extensions or rough areas can be trimmed with crown and bridge scissors or reformed with selective heating.

Figure 3

(4.) Wear damage to the custom-fabricated tray, indicating nocturnal bruxism.

Figure 4

(5.) The single-piece clear thermoplastic tray, which has a thin outer edge to conform tightly to the teeth and a thicker inner edge to help maintain its shape, requires more patient involvement in its formation.

Figure 5

(6.) Once the single-piece clear tray has been formed and loses its heat, it is removed from the mouth, the handle is removed, and any edges extending into undercuts are trimmed.

Figure 6

(7.) The edges are trimmed as needed for comfort, to allow room for a frenum attachment, or to avoid extension into an undercut.

Figure 7

(8.) The disadvantage of thermoplastic trays is that they only come in one size; therefore, for patients with larger arches, some of the teeth may not be covered and, thus, will not be bleached.

Figure 8

(9.) A thermoplastic tray made directly in the mouth over orthodontic braces facilitates caries control and places the 10% carbamide peroxide into the braces to chemically and mechanically clean them.

Figure 9

(10.) Removal of the tray demonstrates how well the bleaching material penetrates the brackets and arch wires.

Figure 10

(12.) When 10% carbamide peroxide is injected onto the braces, it immediately begins foaming upon contact with the plaque.

Figure 12

(11.) Even without tray application, the injection of 10% carbamide peroxide can be beneficial in helping with the oral hygiene of braces.

Figure 11

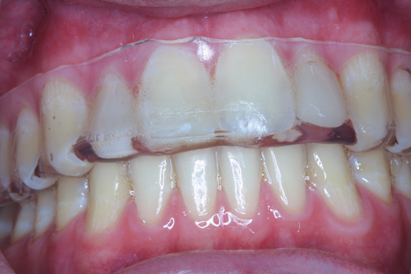
(13.) Retracted view of a patient who had been using tray application of 10% carbamide peroxide for over a year to clean the braces as well as bleach the teeth.

Figure 13

(14.) Smile photograph of the patient in Figure 13 immediately after removal of the arch wires and brackets, showing no white spot lesions or any yellow spots where the the bonded brackets were previously located.

Figure 14

(15.) Triple trays for closed-mouth alginate impressions come in three standard sizes: small, medium, and large.

Figure 15

(16.) If the closed-mouth impression tray is kept wrapped in a wet paper towel during the setting of the maxillary impression, it allows the mandibular impression to be poured up to 45 minutes later, and the final separation yields two casts from one impression.

Figure 16

CREDITS: 0
AGD CODE: 780 - Esthetics/Cosmetic Dentistry
COST: $0
PROVIDER: Conexiant Education
SOURCE: Inside Dentistry | June 2022

Learning Objectives:

  • Discuss the benefits of tray bleaching with 10% carbamide peroxide for the soft and hard tissues.
  • Describe the fabrication process of two-piece and single-piece thermoplastic trays.
  • Explain how the use of thermoplastic trays for bleaching can help identify bruxing, treat sensitivity, and control caries for patients undergoing orthodontics.
  • Describe the process of acquiring a closed-mouth alginate impression using a full-arch triple tray and explain the benefits.

Disclosures:

The author reports no conflicts of interest associated with this work.

Queries for the author may be directed to justin.romano@broadcastmed.com.