CDEWorld > Courses > Dental Chairside Restorative Pathways

CE Information & Quiz

Dental Chairside Restorative Pathways

W. Johnson Rowe, Jr., DDS, AAACD

July 2021 Course - Expires Saturday, December 31st, 2022

Inside Dental Assisting

Abstract

Dental materials and techniques are evolving rapidly. This article will review the putty matrix technique and introduce a new long-lasting, durable material that offers expanded restorative options. 

You must be signed in to read the rest of this article.

Login Sign Up

Registration on CDEWorld is free. Sign up today!
Forgot your password? Click Here!

When a dentist makes the assertion, "The practice of restorative dentistry is constantly changing," he or she is likely to receive unanimous agreement from peers. Quickly evolving technologies and materials offer dentists new tools to meet patient demands for quality restorative dentistry.1 Patients readily consume fast-flowing information from varied media sources and are often exacting and demanding with regard to their expected treatment results. Clear communication between the patient and the restorative team, coupled with meticulous planning and precise execution of the treatment plan, continue to serve as the foundation for esthetic and functional success. The development of new products and protocols offers different pathways for achieving exceptional restorative results.

The objective of restorative dentistry can be broken down to three basic goals: restore health, restore function, and enhance esthetics. The colloquial statement "If it looks right, there's a strong chance it's functioning properly" has been repeated by many experienced teachers of restorative dentistry. In most cases, function and esthetics share a strong clinical correlation.

If the correlation between function and esthetics is to be accepted, the next task the restorative dentist must face is development of a treatment plan or diagnostic pathway to a functional, esthetic restored dentition. The concept of Responsible Esthetics (a term conceived by Michael Sesemann, DDS, and championed by the American Academy of Cosmetic Dentistry) is a framework for the practice of esthetic restorative dentistry.2 Responsible Esthetics is defined as the practice of patient-engaged interdisciplinary dentistry focused on achieving lifelong optimal cosmetic and functional results while minimizing risk to healthy tissues. The restorative dentist must use all available disciplines to achieve mutually agreed-on results desired by the patient with an aim of longevity and maintenance of dental health. Use of the concept of Responsible Esthetics is an effective way to develop a diagnostic pathway to success.

The Putty Matrix Technique

The diagnostic pathway to successful restorative dentistry begins with a comprehensive set of records of a patient's current condition and yields a treatment plan.3 A diagnostic wax-up or digital printed mock-up is often the chosen physical expression of the treatment plan (Figure 1).4 Patient objections to dental treatment can also be addressed through the diagnostic mock-up. The most common objections tend to be time (takes too long), money (costs too much), and discomfort (pain). Often these objections are self-justified by patients due to lack of understanding of proposed treatment. The diagnostic mock-up can help the restorative dentist communicate with the patient in a tangible way. The physical representation of restorative dentistry through the diagnostic mock-up can make the end result seem more "real" to a patient and can aid the restorative dentist in explaining the benefits to be gained through treatment.

Not only does the mock-up serve as a tool for communication for the restorative team and the patient, it can also be used as a template for provisional or definitive restorations. A polyvinyl siloxane matrix can be fabricated using the physical mock-up.5 A light-bodied, thixotropic polyvinyl siloxane material can be applied to the model to capture fine form and textural detail. It can then be compressed into place with a heavy-bodied, rigid putty material that provides solid form to the matrix. The matrix can then be removed from the model, be trimmed as desired, and then be ready for use (Figure 2: video). A self-curing provisional material, such as acrylic or bis-acrylic, can be placed in the matrix and sandwiched onto the prepared teeth. After being cured to the desired stage, the provisional material, along with the matrix, can be removed from the teeth, trimmed, and polished. After cementing into place with a temporary cement, the provisional restorations fabricated through this method can be used as a tool to communicate shared esthetic desires between the patient and the restorative team, to evaluate function, and to preview the patient's definitive restorations (Figure 3 through Figure 5).6

Restorative Challenges

Many challenging situations can be evaluated and addressed by using the putty matrix provisional technique. Restoration of missing teeth, evaluation of questionable teeth, healing of tissues after periodontal surgery, integration of implants, and modification of occlusion are a few of the most prominent areas that can be addressed through provisionalization (Figure 6). Missing teeth can be conveniently added back by bridging gaps after extraction. Splinting periodontally involved or questionable teeth can help stabilize them while attempts at managing the destructive effects of periodontal disease are employed. Osseointegration of dental implants can be managed at all stages from placement to development of emergence profile using properly designed provisional restorations. Hard and soft tissues can be monitored for development and healing while managing occlusal forces to provide a stress-free and cleansable environment. Proper arch form can be developed when teeth are misaligned. Provisionalization can allow the restorative dentist to predictably control the outcome of a case through physical development of form and function.6

Types of Materials

The many benefits of provisionalization in restorative dentistry have led to development of multiple materials and techniques. One of the first durable esthetic materials used to fabricate provisional restorations was cold-cure acrylic. Cold-cure acrylic has a powder and liquid chemistry of methyl methacrylate. Generally, it is mixed in what is described as a "salt and pepper" technique. A measure of liquid is dispensed, and then powder is sprinkled in to achieve the desired consistency. It can be used chairside or in a laboratory setting to fabricate a provisional. It is compatible with the putty matrix technique. Although methyl methacrylate is strong and esthetic, it exhibits a marked exothermic reaction during setting and can be technique sensitive due to its setting properties.

Automix composites were developed as an alternative to the powder and liquid technique of cold-cure acrylic. Automix composite materials are bis-acrylic in chemistry and are delivered in a cartridge form dispensed by an extrusion gun through a mixing tip. The mixing technique allows component measures to be easily controlled, and the delivery makes the fabrication of provisional restorations less technique sensitive. Bis-acrylic provisional materials exhibit a flexural strength in the 96 to 114 MPa range.7They exhibit an exothermic set, but not as pronounced as the set produced by curing methyl methacrylates. Many bis-acrylic formulations are available, with the chemistry adjusted by manufacturers to modify strength, set time, elastic phase, polishability, and other properties. Bis-acrylics can be used for the putty matrix technique and are the most common material used in chairside provisional fabrication at this time.

Practitioners desiring a stronger provisional material suited for longer wear began using polymethyl methacrylate (PMMA) materials for provisionalization. PMMA provisionals exhibit a highly smooth surface and a flexural strength in the 120 to 140 MPa range.8 Although the material is durable, it requires either laboratory fabrication or chairside milling from a prepolymerized block. It cannot be used in the putty matrix technique, so additional time or equipment is required to deliver a PMMA provisional restoration.

The desire for a strong, esthetic material that could be fabricated chairside using the putty matrix technique led to the development of a semi-permanent self-cure composite crown-and-bridge material (Figure 7 through Figure 9). This semi-permanent self-cure composite exhibits a flexural strength of 154 MPa and allows fabrication of restorations with the putty matrix technique.7 The material is a 46% filled composite delivered in cartridge form and dispensed by an extrusion gun through a mixing tip. It exhibits high abrasion resistance and polishability, making it capable of attaining a very smooth surface. Although the material can be used for a long-term provisional, its properties earned it FDA approval for up to 5 years of wear in the mouth.7

The semi-permanent self-cure composite restorations are relatively inexpensive to make compared with laboratory-fabricated or chairside-milled definitive restorations. According to laboratory data, the strong, durable, esthetic material is able to withstand chewing forces in the oral environment up to 5 years. The most critical aspect of fabricating any semi-permanent self-cure composite restoration, or any restoration, is finishing and polishing the marginal interface between tooth structure and restorative material to ensure a smooth, closed interface (Figure 10 through Figure 13; Figure 14: video).9

The semi-permanent self-cure composite material can serve as an option for long-term provisionals and provisional implant abutments, and it can also be used to fabricate affordable crowns and bridges chairside. It provides opportunities to restoratively treat patients with limited finances who may otherwise need to resort to extractions to maintain their oral health. Geriatric patients often present with treatment planning needs specific to their age.10 The material is also an option for the patient who has a limited or unsure life expectancy who may not feel comfortable investing a significant amount of money in an extensive restorative dental treatment plan. Many cancer patients develop xerostomia and then widespread decay secondary to cancer treatment. The semi-permanent self-cure composite material can provide an affordable restorative option to help them maintain their teeth. Elderly patients on a fixed income are candidates for semi-permanent restorations. A semi-permanent crown would also be an option for a patient undergoing active orthodontic treatment or a child in need of a crown on a primary tooth. Semi-permanent crowns and bridges offer more flexibility in treatment-planning options for restorative dentists and their patients.

Conclusion

The semi-permanent self-cure composite crown-and-bridge material provides restorative dentists with a unique new tool in their armamentarium. With that new tool, they are free to explore new treatment options that were previously unavailable and develop new ways to satisfy the goals of restorative dentistry. The evolution and development of dental materials continues, and the profession evolves as a result.

About the Author

W. Johnston Rowe, Jr., DDS, AAACD
Private Practice
Jonesboro, Arkansas

References

1. Bayne SC, Ferracane JL, Marshall GW, et al. The evolution of dental materials over the past century: silver and gold to tooth color and beyond. J Dent Res. 2019;98(3):257-265.

2. Sesemann M. Responsible esthetics [video]. https://www.youtube.com/watch?v=DGHD-HJEHYY&t=282s. Recorded October 22, 2012. Accessed December 3, 2019.

3. Fradeani M. Esthetic Analysis: A Systematic Approach to Prosthetic Treatment. Esthetic Rehabilitation in Fixed Prosthodontics, Volume 1. Chicago, IL: Quintessence Books; 2004.

4. Magne P, Belser U. Bonded Porcelain Restorations in the Anterior Dentition: A Biomimetic Approach. Chicago, IL: Quintessence Books; 2002.

5. Sesemann M. Diagnostic full-coverage provisionals for accurately communicating esthetic and functional data. FERD - Provisionalization. 2008;2(2):8-15.

6. Gürel G. The Science and Art of Porcelain Laminate Veneers. Chicago, IL: Quintessence Books; 2003.

7. DMG. Dental materials for the practice. Internal DMG measurement. 2014. Hamburg, Germany. Data on file. https://uk.dmg-dental.com/fileadmin/user_upload/UK-Ireland/catalog/dmg_kat_2017_2018_en_uk.pdf. Accessed December 13, 2019.

8. Ivoclar Vivadent. Scientific Documentation. Telio CAD R&D. 2009. Liechtenstein. Data on file. https://www.ivoclarvivadent.us/mam/celum/celum_assets/9515011801118_Telio_CAD_Sci_Doc_pdf_5905.pdf?1. Accessed December 13, 2019.

9. Rufenacht CR. Fundamentals of Esthetics. Chicago, IL: Quintessence Books; 1992.

10. Goldstein RE. Esthetics in Dentistry, Volume 2. Hamilton, Ontario: B.C. Decker, Inc; 2002.

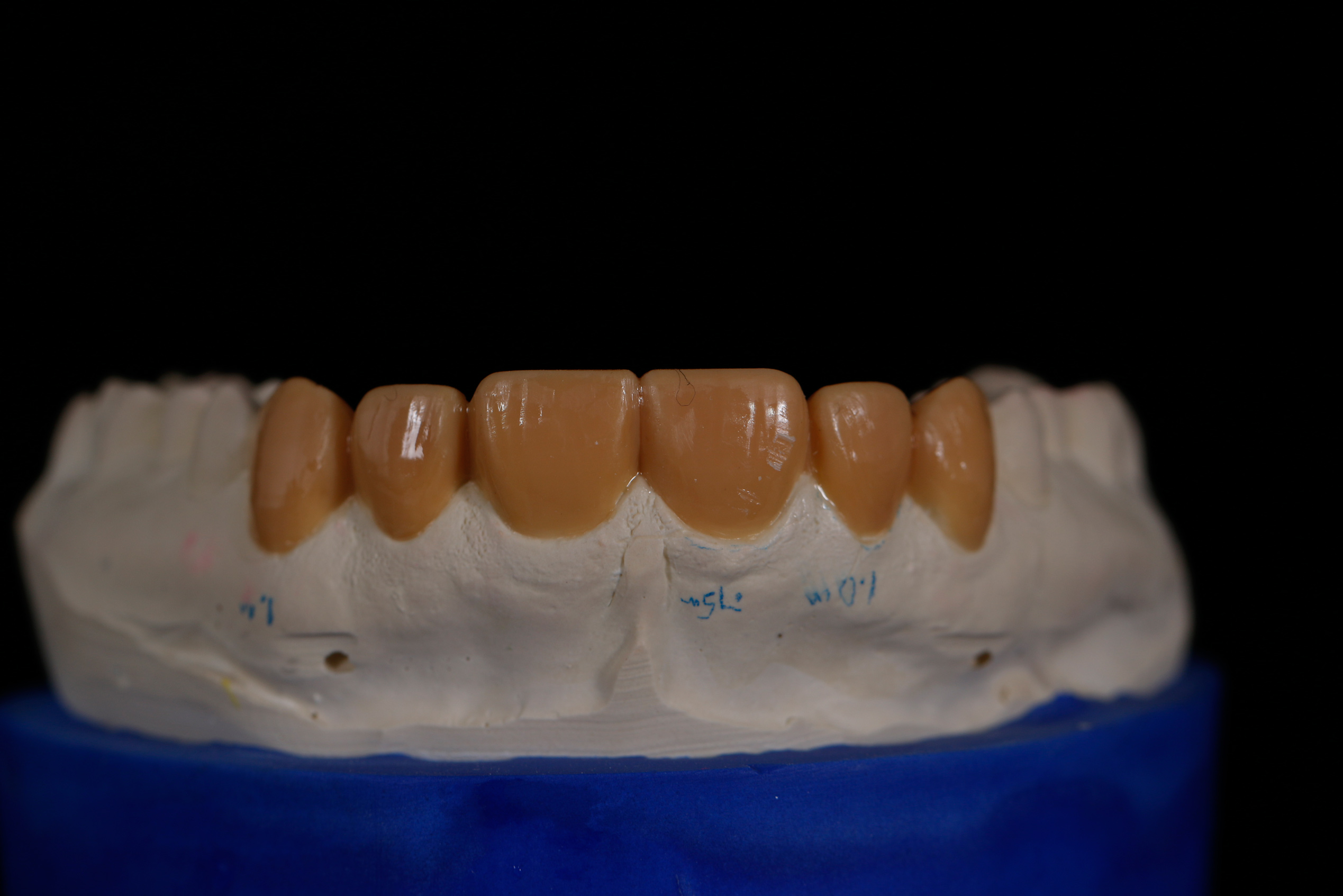
Fig 1. Diagnostic wax-up for a proposed restorative case, Nos. 6 through 11.

Figure 1

Fig 2. Video of fabrication of a putty matrix.

Figure 2

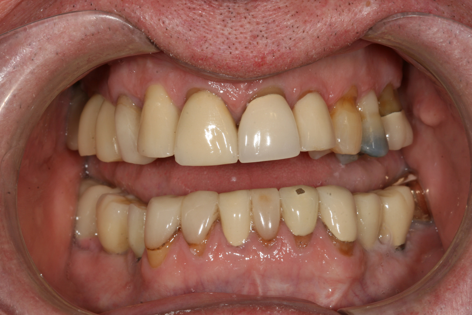
Fig 3. Preoperative condition before functional rehabilitation.

Figure 3

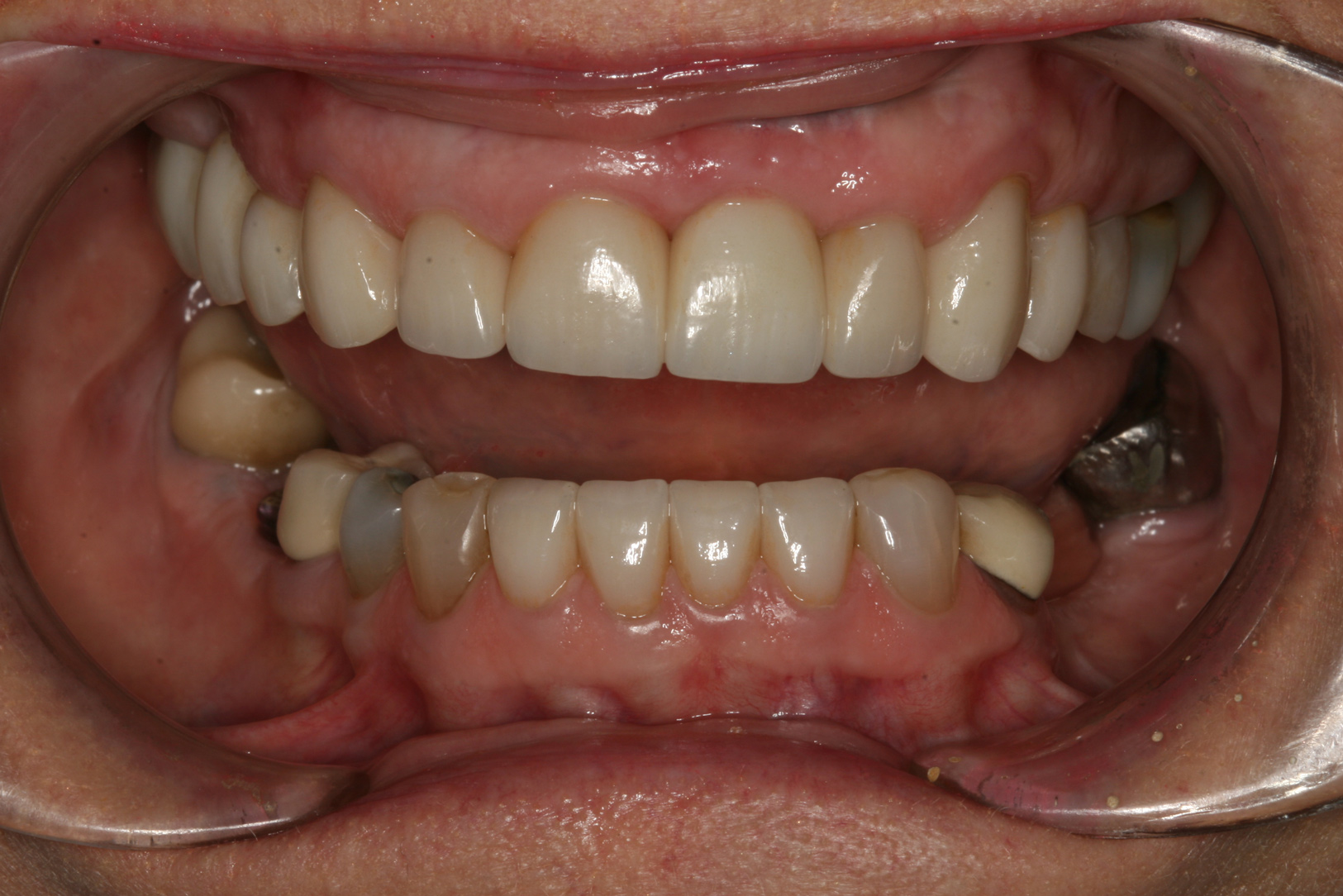
Fig 4. Diagnostic provisionals for functional rehabilitation.

Figure 4

Fig 5. Definitive restorations, full-mouth functional rehabilitation.

Figure 5

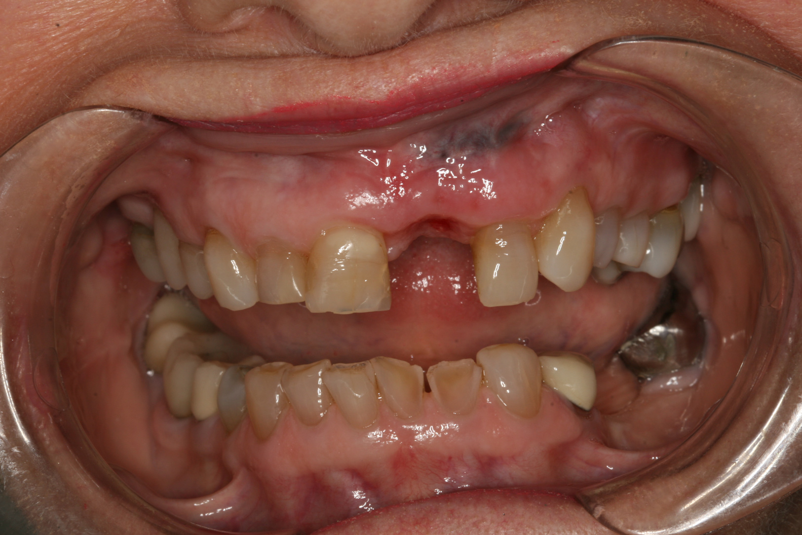
Fig 6. Deep bite, excessive wear, and missing No. 9 present a challenging case for restorative rehabilitation.

Figure 6

Fig 7. Expressing the semi-permanent self-cure composite through the mixing tip into the putty matrix for provisional fabrication.

Figure 7

Fig 8. Placement of the putty matrix in a patient’s mouth.

Figure 8

Fig 9. Removal of the putty matrix stent to show polymerized semi-permanent self-cure composite long-term provisional restorations.

Figure 9

Fig 10. Finishing the semi-permanent self-cure composite long-term provisional while preparing for osseointegration of implant No. 9.

Figure 10

Fig 11. Semi-permanent self-cure composite provisionals Nos. 3 through 12 and 23 through 26 to establish function and esthetics and allow osseointegration of implant No. 9.

Figure 11

Fig 12. Removal of semi-permanent self-cure composite provisionals to restore teeth and osseointegrated implant No. 9.

Figure 12

Fig 13. Definitive restorations Nos. 3 through 12 (implant No. 9) and Nos. 23 through 26 seated.

Figure 13

Fig 14. Video of trimming and finishing of the semi-permanent self-cure composite.

Figure 14

CREDITS: 0
AGD CODE: 10 - Dental Materials
COST: $0
PROVIDER: Conexiant Education
SOURCE: Inside Dentistry | July 2021
COMMERCIAL SUPPORTER: DMG

Learning Objectives:

  • Explain the use of the putty matrix technique in restorative dentistry.
  • Discuss several difficult restorative situations that challenge conventional  restorative solutions.
  • Describe a new material option for durable, long-term fixed restorations.

Author Qualifications:

Private Practice, Jonesboro, Arkansas

Disclosures:

The author has received an honorarium from DMG America for his preparation and presentation of the webinar program on which this article is based.

Queries for the author may be directed to justin.romano@broadcastmed.com.