CDEWorld > Courses > Technology in a Patient-Centered Practice

CE Information & Quiz

Technology in a Patient-Centered Practice

Cynthia Brattesani, DDS

June 2015 Course - Expires Saturday, June 30th, 2018

CDEWorld

Abstract

With today’s technology, dentists can offer patients comfort, convenience, and patient care that is far superior to that previously available. Beyond the technology that enables dentists to scan, design, and manufacture restorations in their offices, they can use new technology to better diagnose and treat oral conditions, including oropharyngeal cancer. However, dentists need to embrace technology as a matter of survival to adapt to new realities, including meeting higher patient expectations and professional standards.

You must be signed in to read the rest of this article.

Login Sign Up

Registration on CDEWorld is free. Sign up today!
Forgot your password? Click Here!

These days, technology says a lot about those who possess and use it. With smartphones and tablets omnipresent at all levels of American society, those who are not adept with it or available through it are, fairly or not, often perceived as being out of touch, both literally and figuratively. Businesses, too, are expected to be able to work with their customers’ technology—to provide websites that are smartphone- and tablet-friendly and to be able to process orders efficiently while protecting their customers’ security. Imaging technology enables doctors—including dentists—to see details that have improved diagnosis and treatment beyond what could have been imagined less than a decade ago. In this environment, dentists need to change their approach to positioning and managing their practices.

Adapting to New Realities

It seems that technology and new modes of communication have raised the bar for performance. For dentists, stepping up to this challenge may well mean getting out of their comfort zone. Marc Cooper, a periodontist who is a coach for the prestigious TED Fellows Program and whose Mastery Company consults to dental practices, says the biggest challenge to dentists is their relationship to failure, and quotes Charles Darwin for what may well be the key to survival in dental practice: “It is not the strongest of the species that survives, nor the most intelligent that survives. It is the one that is the most adaptable to change.”1

Given the changes that have occurred in the dental industry, standing still is no longer an option. The choice is not whether to risk failure by making changes but determining which changes to make.

According to many, including Seth Godin, the marketer and entrepreneur who wrote Purple Cow: Transform Your Business by Being Remarkable, good is the new average, and to stand out, one needs to be remarkable.2

Beyond being open to change, it is, says Robert Safian of the Fast Company, about embracing adaptability. He identifies what he calls not a demographic but a psychographic he terms “Generation Flux,” which refers to the group of people best positioned to thrive in today’s era of high-velocity change. “Fluxers, he says, are defined not by their chronological age but by their willingness and ability to adapt.3

Identifying and Projecting a Personal Philosophy—a Competitive Advantage

Safian says that for Fluxers, success is not an end in itself but a byproduct of using a mission as “the essential strategic tool that allows them to filter the modern barrage of stimuli, to motivate and engage those around them, and to find new and innovative ways to solve the world’s problems. Their experiences show the critical advantages of building mission into your career and your business. Businesses that find and then live by their mission often discover that it becomes their greatest competitive advantage.”3

Simon Sinek, whose book and website “Start with Why,” offers insights into how leaders, such as dentists, can use an identified philosophy as a springboard for decision-making.4 “People do not buy what you do, they buy why you do it. Knowing why you are a dentist, why your office exists, gives you a higher purpose, a cause, a belief—like an engine of innovation.” This philosophy, which informs decisions, he explains, is a “golden circle,” the center of which is why, moving outward first to how, then what. “Whatever we purchase, whatever we want to implement as a system, we want it to be aligned with that why.” He describes this in terms of values—for example, the core values of integrity, trust, respect, joy, and innovation; team values of enjoyment, empowerment, and delivering the best service to patients; and office values of being aligned, receiving a reasonable return on investment through payment for services, and offering better patient care. With this in mind, he says, every piece of technology has to make sense in terms of those values.4

In the case of dentists, investing in technology that conforms to the mission of the practice starts with an understanding of its values—beginning with the goal of providing the best possible patient care, which should be fully compatible with the needs of the entire dental team—ie, to be fulfilled personally and professionally and rewarded economically.

What Patients Want

Doctors whose philosophy is in tune with their patients’ concerns are at an advantage. For example, those who know patients dread injections can find an alternative to the “cold barrel to the lips.” such as the plastic device used by the author, who finds this approach less taxing for both doctor and patient. Still pending Food and Drug Administration (FDA) approval is an anesthetic for upper teeth only that will dispense with the needle entirely for indicated procedures. The needle-free system will deliver anesthesia by means of a nasal spray that contains a combination of the local anesthetic tetracaine and oxymetazoline hydrochloride and targets the maxillary nerve.5

Similarly, dentists can respond to their patients’ desire to fully understand proposed treatments, and to feel cared for and protected through diagnostic and treatment procedures that are more comfortable and effective, examinations that can more accurately detect caries or even oral cancer, and trust that they are receiving a minimal amount of radiation exposure. Beyond that, they appreciate convenience, respect for their time, and knowing that the office is managed efficiently on their behalf.

Where Technology Fits In

Clinicians should be aware of the different types of technology that are now available to support practice values, especially the overarching goal of providing excellent patient care and service. Technology that enables clinicians to show patients what they see connects with them and engages them in their treatment.

Patient Education and Communication

Digital imaging offers the ability to enhance, analyze, and organize the information, which makes it easier to present treatment and otherwise educate patients about their dental issues. The author’s digital imaging system (DEXIS) has a presentation panel to make it easy to show patients only the relevant images. The images can be dragged easily into a PowerPoint or Keynote presentation by staff. Other systems, such as RVG 6500 (Carestream Dental), Schick 33 (Schick by Sirona), and ScanX (Air Techniques) also offer the ability to store, duplicate, send, and retrieve images easily, so the image data can be shared with the patient or others, such as specialists with whom the clinician is collaborating on their treatment via HIPPA-compliant e-mail. That it is integrated with practice management makes for convenient scheduling and oversight when, for example, the clinician is sharing alternate care with a periodontist, who the clinician knows will need vertical bitewings.

Patient Comfort and Safety

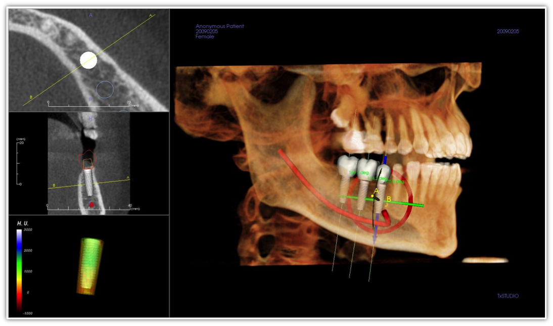
Patient safety and comfort too should be factored into the technology decision. For instance, the author uses a digital x-ray and imaging system that has a more comfortable intraoral sensor with rounded corners that make it more like a lollipop than a credit card, so it is good for people with different anatomies or a pronounced gag reflex. For patients who cannot tolerate even this intraoral system, an extraoral approach can be taken using cone beam computed tomography (CBCT), which is a useful diagnostic tool for general observation, panoramic x-rays, and is essential for practices that offer implants (Figure 1).

The author’s choice of digital x-ray system reflects other issues that may resonate with patients who are better informed about and seeking to minimize their radiation exposure. This desire conforms to the American Dental Association (ADA)’s official position that dentists should apply the ALARA (As Low as Reasonably Achievable) principle to reduce radiation exposure to their patients by: “determining the need for and type of radiographs to take; using ‘best practices’ during imaging, including the application of quality control procedures; and, interpreting the images completely and accurately.”6

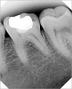
A system that prevents x-ray backscatter emits less radiation. Further, consistently good images due to receptive and efficient backing that captures x-rays across a dynamic range of settings and images that can be enlarged and enhanced without using pixilation enable doctors to capture excellent images to view and show (Figure 2 and Figure 3).

According to a statement by the American Dental Association in conjunction with the FDA, digital imaging reduces radiation significantly—by 40% to 60%.7 This amount of exposure can be reduced even more by using a collimator, as the author does in her own practice.

Value-Added Examinations

Dentists can also set their practices apart by providing more thorough examinations using specialized technology for caries detection or oral cancer or by using CBCT.

The author uses a caries detection device (CariVu™, DEXIS) that uses patented transillumination technology to support the identification of occlusal, interproximal, and recurrent carious lesions and cracks, and is said to offer 99% accuracy compared to 2% via a visual examination and 96% with a bitewing.8 Because it clearly indicates visually where the lesions are, patients understand that even if they have no symptoms, treatment is needed. It also acts somewhat like a GPS showing the clinician exactly where to place the bur to prepare the tooth as conservatively as possible.

According to the American Cancer Society, 39,500 people will get oral cavity or oropharyngeal cancer this year, and about 7,500 people will die of these cancers.8 Further, according to the Oral Cancer Foundation, human papillomavirus (HPV) is the leading cause of oropharyngeal cancer;9 HPV-16 alone, which is responsible for 70% to 80% of all cervical cancers, is also the sole source of 85% to 95% of HPV-related oropharyngeal cancers.10

Despite these statistics, according to the Oral Cancer Foundation fewer than 25% of patients who visit a dentist regularly report having had an oral cancer screening.11 The author uses blue-light technology (Velscope®, LED Dental) to assess oral health with enhanced vision for irregularities (Figure 4). This assessment tool also enables the clinician to open a conversation with the patient about adding value to their cleaning, perhaps through periodontal maintenance. An exciting development that could prevent oral cancer deaths worldwide is a small, low-cost imaging tool for the oral cavity that is being developed at Stanford. It attaches to any smartphone’s camera and provides a panoramic view with the fluorescent light, allowing untrained individuals to affordably screen for oral cancer anywhere, including remote areas where access to oral health professionals is limited, potentially enabling early diagnosis of these preventable deaths, with no dentist visits required.12

Doctors who have CBCT can use it for anatomic assessment of the airway and adjacent structures, and can thereby identify patients at risk for obstruction. Because these scans also include the jaws, teeth, cranial base, spine, and facial soft tissues, there is an opportunity to evaluate the functional and developmental relationships between these structures13 (Figure 5).

The Tech-Savvy Dental Environment

It is not enough to just have the technology that distinguishes a good practice from one that is remarkable. Patients should be made aware of it. To give a sense of having a high-tech office, the dentist and staff should “speak the language,” for example, by saying digital films, not x-rays; check-up digital films, not bitewings; complete series, not FMX/full mouth x-rays; monitor, not watch.

They should engage patients using technology also because people learn best visually: 75% of everything learned comes from a visual stimulation; people might remember 11% of what they are told orally, but 83% of what they see. This comes into play dramatically in treatment acceptance of visual presentations, which are far more persuasive, as suggested by treatment plan research claiming 90% of treatment plans that are not accepted are refused because the patient does not understand, and 87% want to go home and talk to their loved ones about treatment.14

Patients should be made aware that their doctor invested in a system that is designed for their health and safety and to help them become partners in their own healthcare by educating them visually using the most up-to-date technology.

Conclusion

Dentists and their patients now live in a world of connection and of value, and a dental practice that embodies the idea of connection and value can radically set itself apart from other businesses.

Technologies discussed, which are used by the author in her practice, enable patients to become fully involved to the point they are actually interested in their patient-doctor discussion. They have a greater understanding of recommended treatments, and the very fact that their doctor has approached and interacted with them as they may never have been engaged before demonstrates a commitment to ensuring their understanding and confidence in the practice. Giving patients the ability to hold their treatment in their hand—eg, with an iPad —embraces the concept of “no decision about me without me,” and doctors who go to great lengths to help patients understand their treatment are likely to be rewarded with their trust, which leads to higher treatment acceptance rates, referrals, and social media support. By sharing awareness and inspiring dental health with intention—often by using technologies—a doctor is able to project both competence and compassion aligned with the core values of the practice to achieve remarkable things.

References

1. Mastery Company. Dr. Marc Cooper. www.masterycompany.com/page.asp?navid=5#.VVJPfdpVhHw. Accessed June 1, 2015.

2. Godin S. Marketing to the organization. http://sethgodin.typepad.com. Accessed June 1, 2015.

3. Safian R. Generation Flux’s Secret Weapon. www.fastcompany.com/3035975/generation-flux/find-your-mission. Accessed June 1, 2015.

4. Sinek S. Start with why: How great leaders inspire everyone to take action. New York, NY: Penguin Group; 2009. www.startwithwhy.com. Accessed June 1, 2015.

5. Pogorelc D. Mouth-numbing nasal spray could let dentists fill cavities in top teeth without an injection. http://medcitynews.com/2014/03/mouth-numbing-nasal-spray-let-dentists-fill-cavities-top-teeth-without-injections. Accessed June 1, 2015.

6. ADA Statement: Diagnostic Radiation Procedures Must Be Used Sparingly to Reduce Dental Radiation Risk. November 23, 2010.

7. Harrison L. New dental x-ray guidelines spell out radiation reduction. http://www.medscape.com/viewarticle/779091. Accessed June 2, 2015.

8. Kühnisch J. Benefits of the DIAGNOcam Procedure for the Detection and Diagnosis of Caries [study project]. Munich: Ludwig Maximilian University of Munich; 2013.

9. American Cancer Society. What are the key statistics about oral cavity and oropharyngeal cancers? www.cancer.org/cancer/oralcavityandoropharyngealcancer/detailedguide/oral-cavity-and-oropharyngeal-cancer-key-statistics. Accessed June 1, 2015.

10. Oral Cancer Foundation. The HPV Connection. http://oralcancerfoundation.org/hpv. Accessed June 1, 2015.

11. Jones JA. HPV Oropharyngeal cancer: A killer among us. Dentistry Today. www.dentistrytoday.com/viewpoint/8871-hpv-oropharyngeal-cancer-a-killer-among-us. Accessed June 1, 2015.

12. Oral Cancer Foundation. http://oralcancerfoundation.org/dental/role_of_dentists.php. Accessed June 1, 2015.

13. Stanford Medicine News Center. New smartphone scans from Stanford could prevent needless oral cancer deaths. http://med.stanford.edu/news/all-news/2012/04/new-smartphone-scans-from-stanford-could-prevent-needless-oral-cancer-deaths.html. Accessed June 2, 2015.

14. Hatcher DC. Cone beam computed tomography: craniofacial and airway analysis. Dent Clin N Am. 2012;56(2):343-357. http://www.learnairwaydentistry.com/references/CBCT.pdf

15. Guru Dental. What is Guru? http://thehouseofguru.com. Accessed June 1, 2015.

Figure 1. A CBCT scan used in conjunction with implant placement software can help guide successful treatment planning and surgical outcomes.

Figure 1

Figure 2 and Figure 3. The enhancement tools available with many digital imaging systems can help bring to light anatomic detail to increase diagnostic accuracy and case acceptance.

Figure 2

Figure 2 and Figure 3. The enhancement tools available with many digital imaging systems can help bring to light anatomic detail to increase diagnostic accuracy and case acceptance.

Figure 3

Figure 4. An example of an oral cancer screening tool, which uses fluorescence to aid in the visualization of potentially pathology.

Figure 4

Figure 5. CBCT technology looks beyond the oral cavity to offer the clinician a broader picture that can be useful in diagnosing airway obstructions and disorders of the craniofacial and oropharyngeal anatomy.

Figure 5

CREDITS: 0
AGD CODE: 730 - Video Imaging
COST: $0
PROVIDER: Dental Learning Systems, LLC
SOURCE: CDEWorld | June 2015

Learning Objectives:

  • List the many ways technology supports the modern practice of dentistry.
  • Be aware of advances that aid diagnosis and treatment of oral conditions.
  • Discuss how patient perception factors into technology selection decisions.

Disclosures:

The author reports no conflicts of interest associated with this work.

Queries for the author may be directed to justin.romano@broadcastmed.com.