CDEWorld > Courses > Implant Crown Restorations: Considerations for deciding between cement- and screw-retained options

CE Information & Quiz

Implant Crown Restorations: Considerations for deciding between cement- and screw-retained options

March 2020 RN - Expires Saturday, December 31st, 2022

Inside Dental Technology

Abstract

Throughout the years, implant designs, as well as the methods for how they are placed and restored, have evolved, and research, history, and clinical outcomes have played a significant role in this evolution. The implant restorations available for replacing a single tooth and the materials used in the fabrication of crowns have evolved as well. This article reviews and discusses methods of retaining implant crowns, retrievability, and various considerations that can help the restorative team’s decision to restore an implant with a cement- or screw-retained crown.

You must be signed in to read the rest of this article.

Login Sign Up

Registration on CDEWorld is free. Sign up today!
Forgot your password? Click Here!

Presently, implant dentistry is considered mainstream dentistry and will continue to be for the foreseeable future. Dental implants have been shown to be effective in the restoration and replacement of everything from a single tooth to an entire dentition.1,2 Throughout the years, implant designs, as well as the methods for how they are placed and restored, have evolved, and research, history, and clinical outcomes have played a significant role in this evolution. The implant restorations available for replacing a single tooth and the materials used in the fabrication of crowns have evolved as well. This article reviews and discusses methods of retaining implant crowns, retrievability, and various considerations that can affect the restoration team's decision to restore an implant with a cement- or screw-retained crown.

Retention Methods for Implant Crowns

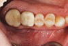
There are two primary methods for retaining an implant crown or restoration: cement retention and screw retention. A cement-retained implant restoration (Figure 1 and Figure 2) begins with a stock or custom abutment that is placed on the implant body and torqued into place to the specifications of the manufacturer. The crown is then conventionally cemented to the abutment using a cement that is appropriate for the material. A screw-retained implant restoration is developed using one of two possible methods. The first involves fabricating the crown and abutment together as one piece (Figure 3) with an occlusal access hole to allow the restorative dentist to attach the restoration to the receiving implant body with a screw and then torque it into place. The second method involves using either a stock abutment or one that is fabricated along with a matching, intimately fitting crown restoration (Figure 4) that has an access hole in the occlusal aspect. For this latter method, the crown and abutment are cemented together outside of the mouth, which allows the excess cement to be removed in its entirety, and then the restoration is placed with the appropriate screw and torque specifications. The type of retention method chosen by the restorative team in each case will be based upon the individual clinical situation presented, as well as the team's previous experience and knowledge, and influenced by the following considerations.

Periodontal Health

One factor to consider when choosing whether to restore a screw-retained or cement-retained restoration is the accessibility of the site, which can affect the dentist's ability to manage the excess cement. In some clinical situations, the implant platform is in a position that is too apical or subgingival or in a position in the arch that will make it too difficult to adequately remove all of the excess cement that may be associated with a cement-retained restoration. If cement is expressed into the surrounding tissue and not adequately removed, it can be detrimental to the long-term success of both the implant and the final restoration. It has been shown that in cement-retained implant restorations, excess cement is a strong risk factor for the development of peri-implantitis, leading to potential bone loss and long-term detrimental effects to the implant restoration.3,4 A recent systematic review showed that the presence of excessive extruded cement can be partially avoided through modifications in the screw access channel with internal vents.5 With a screw-retained implant restoration, there is no cement used in the final placement, which eliminates any concerns regarding retained cement, and according to the results of one study,6soft-tissue health was more favorable around screw-retained crowns when compared with cement-retained crowns. Screw retention can be especially helpful in situations where the implant is placed too far apically to the adjacent teeth and/or tissue zenith.

Retrievability

Should the occasion arise that the crown restoration needs to be removed from the implant body, one of the primary advantages of screw-retained implant restorations over cement-retained ones is their overall retrievability. Removal may be indicated if the implant develops a disease process or if a future treatment plan dictates replacement of the existing restoration to accommodate other implants or another type of restoration, especially if the adjacent teeth have a questionable long-term prognosis. Another situation that may lead to the need to remove an implant restoration from the implant body is when open contacts develop adjacent to the implant. In fact, some studies show that an average of 34% to 43% of the interproximal contacts between an implant prosthesis and a natural tooth are lost over time, and this loss is most often found on the mesial aspect of the implant restoration.7,8 This can lead to an open contact, which can lead to food impaction and, ultimately, decay on the adjacent tooth or an unhealthy periodontium.

Cement-retained implant prostheses can be removed and retrieved but the procedure can prove to be challenging because the access hole for the abutment screw may be difficult to find, the abutment screw head may be damaged or stripped,9 or in some cases, the crown or abutment may be destroyed in the process.

In order to optimize retrievability with a screw-retained restoration, the restorative dentist must take appropriate measures. Once the abutment and crown are placed and the screw is properly torqued into position, the screw access hole must be appropriately sealed with a material that is durable yet easy to remove in the future. Most commonly, a direct resin composite is placed to seal the access (Figure 5). Prior to sealing the access, the first step is to cover the head of the retention screw with a soft material to prevent any contact of the screw head with the resin that will be used. If this occurs, it can lead to difficulty in gaining access and impede proper engagement of the implant driver with the screw head. This, in turn, can lead to the inability to remove the fixture screw and a loss of retrievability.

For cement-retained restorations, it is important for the clinician to cover the abutment screw head as well, protecting it in case the cemented crown and/or abutment need to be removed in the future. Traditionally, a cotton pellet has been used for this purpose, but for a variety of reasons, many dentists now use polytetrafluoroethylene tape, vinyl polysiloxane light-body impression material, or other soft and easily identifiable material, such as gutta-percha, to cover the screw head.

Interocclusal Space

One important consideration when choosing between a screw-retained or a cement-retained implant restoration is the interocclusal space available.10 In clinical situations where there is a limited amount of interocclusal space between the implant platform and the opposing arch, which is often the case in posterior restorative situations, a cement-retained crown may not be indicated (Figure 6 and Figure 7). Ideally, with a cement-retained restoration, there needs to be 7 mm of interocclusal space to accommodate an adequately thick restoration to create retention and resistance. Alternatively, a screw-retained implant restoration can be used in situations with as little as 4 mm of available interocclusal space.

Implant Position

The specific position and orientation of the implant in the bone is another consideration when deciding between cement- and screw-retained restorations. For example, if the implant is placed too far facially or lingually, then the path of draw and the location of the access hole for the retaining screw may be in an area that is less than ideal. For an implant that is placed too far facially, the access hole for the abutment may need to be located in the incisal or facial area of the final anterior crown restoration, which can be unesthetic and difficult to manage (Figure 8 and Figure 9). This can also be the case for other implant orientations where the decision to use a screw-retained restoration would require the access hole to be located in a place that could narratively impact the esthetics or function of the final restoration; however, the selection of a custom abutment for a cement-retained restoration can help alleviate these issues.

Anterior vs Posterior Segment

When it comes to implant crown design, one of the primary considerations is the location of the site in the arch. Anterior tooth replacement with a dental implant can be one of the most challenging dilemmas that a restorative team encounters-even with the help of a skilled surgeon to place the implant in an ideal position. In the anterior segment, the esthetics of the result are more significant, and this can be a determining factor in the type of retention selected. In situations where a screw-retained restoration would be difficult to place at best, a cement-retained restoration with a custom abutment can afford the dentist the ability to use a less-than-ideal implant placement and still obtain a satisfactory result. A screw-retained restoration may be preferable in areas that are difficult to access, such as in the posterior region of the oral cavity where it may be challenging for the clinician to adequately remove any excess cement.

Functional and Mechanical Concerns

Another consideration when it comes to implant restorations and choosing between screw retention and cement retention is the functional and mechanical requirements of the restoration. A screw-retained restoration has a screw access hole present in the occlusal or functional area of the prosthesis. Having an access hole makes retrievability easy; however, depending on the design of the final restoration, it can lead to complications.11 One of the main mechanical complications is the occurrence of porcelain fractures or cracks associated with the access hole. Another complication of screw-retained restorations is loosening of the retaining screw over time. Screw loosening can occur for a variety of reasons, ranging from biomechanical overload to poor fit and finish of the final restoration to how intimately the restoration fits the implant. Screw loosening problems can also occur with the abutments of cement-retained crowns for similar reasons, especially if the crown is subject to excessive forces, the crown is off-center, or the final abutment component does not fit intimately with both the implant platform and the intaglio surface of the crown.

The use of zirconia for implants, abutments, and implant restorations continues to grow and gain popularity in dentistry as a whole and may help to overcome some of the mechanical issues involving chipping and fractures. However, despite the promising reviews, additional longer-term longitudinal studies are needed to determine the viability of zirconia when compared with titanium.12

New Developments and Solutions

Within the past few years, to help alleviate or overcome some of the clinical challenges associated with implant restorations, especially in the anterior segment, dental implant manufacturers have developed new options for abutments and connections. With the overall bony architecture and the correlation between the implant position and the restorative space requirements, one of the biggest challenges in the anterior segment is to be able to properly position and gain access to the implant retention screw. Some manufacturers have developed implants that have an angled prosthetic platform connection.13Others have developed screw heads that permit the use of screw channels with access holes angled up to 25° (Figure 10 and Figure 11), which allows for a screw-retained restoration where only a cement-retained restoration would have been successful in the past.14

To summarize, dental implants and implant restorations are an important part of the restorative dentist's armamentarium and are an excellent choice to help patients replace missing teeth. It is critical for the restorative team to be aware of the variety of clinical situations and issues that can arise with implant restorations, to be able to correlate the current clinical situation to the restoration most suited for the patient, and to be aware of the current advances that are available to optimize the delivery and longevity of the restoration.

Acknowledgment

The author would like to thank Steve Hoofard, CDT, MicroDental, Kennewick, WA, for contributing the images for Figure 1 through Figure 4 as well as for Figure 6 through Figure 11 and John Pinnix, DMD, Advanced Dentistry of Blakeney, Charlotte, NC, for contributing the image for Figure 5.

About the Author

Jeffrey Lineberry, DDS, FAGD, FICOI, AAACD
Private Practice
Mooresville, North Carolina

References

1. Adler L, Buhlin K, Jansson L. Survival and complications: a 9- to 15-year retrospective follow-up of dental implant therapy. J Oral Rehabil. 2019. doi: 10.1111/joor.12866.

2. von Stein-Lausnitz M, Nickenig HJ, Wolfart S, et al. Survival rates and complication behaviour of tooth implant-supported, fixed dental prostheses: a systematic review and meta-analysis. J Dent. 2019;88:103167. doi: 10.1016/j.jdent.2019.07.005.

3. Staubli N, Walter C, Schmidt JC, et al. Excess cement and the risk of peri-implant disease - a systematic review. Clin Oral Implants Res. 2017;28(10):1278-1290.

4. Quaranta A, Lim ZW, Tang J, et al. The impact of residual subgingival cement on biological complications around dental implants: a systematic review. Implant Dent. 2017;26(3):465-474.

5. Weber HP, Kim DM, Ng MW, et al. Peri-implant soft-tissue health surrounding cement- and screw-retained implant restorations: a multi-center, 3-year prospective study. Clin Oral Implants Res. 2006;17(4):375-379.

6. Davoudi A, Rismanchian M. Effects of modifying implant screw access channels on the amount of extruded excess cement and retention of cement-retained implant-supported dental prostheses: a systematic review. J Prosthet Dent. 2019;121(1):52-58.

7. Byun SJ, Heo SM, Ahn SG, et al. Analysis of proximal contact loss between implant-supported fixed dental prostheses and adjacent teeth in relation to influential factors and effects. A cross-sectional study. Clin Oral Implants Res. 2015;26(6):709-714.

8. Koori H, Morimoto K, Tsukiyama Y, et al. Statistical analysis of the diachronic loss of interproximal contact between fixed implant prostheses and adjacent teeth. Int J Prosthodont. 2010;23(6):535-540.

9. Schoenbaum TR, McLaren EA. Retrieval of a defective cement-retained implant prosthesis. Compend Contin Educ Dent. 2013;34(9):692-696.

10. Chiche GJ, Pinault A. Considerations for fabrication of implant-supported posterior restorations. Int J Prosthodont. 1991;4(1):37-44.

11. Ragauskaitė A, Žekonis G, Žilinskas J, et al. The comparison of cement- and screw-retained crowns from technical and biological points of view. Stomatologija. 2017;19(2):44-50.

12. Sadowsky SJ. Has zirconia made a material difference in implant prosthodontics? A review. Dent Mater. 2019. pii: S0109-5641(19)30803-6. doi: 10.1016/j.dental.2019.08.100.

13. Chu SJ, Tan-Chu JHP, Levin BP, et al. A paradigm change in macro implant concept: inverted body-shift design for extraction sockets in the esthetic zone. Compend Contin Educ Dent. 2019;40(7):444-452.

14. Gjelvold B, Sohrabi MM, Chrcanovic BR. Angled screw channel: an alternative to cemented single-implant restorations--three clinical examples. Int J Prosthodont. 2016;29(1):74-76.

Fig 1. Cement-retained implant crown with custom metal-ceramic abutment.

FIgure 1

Fig 2. Cement-retained implant crown on a stone model.

Figure 2

Fig 3. Screw-retained implant crowns.

Figure 3

Fig 4. Two-piece, screw-retained implant crown and abutment. The crown is cemented to the abutment outside of the mouth.

Figure 4

Fig 5. Occlusal view of a screw-retained crown. The screw head has been blocked and the access hole sealed with composite resin.

Figure 5

Fig 6. Screw-retained crown with limited vertical height for a second molar.

Figure 6

Fig 7. Fabrication of screw-retained crowns. Note the limited occlusal clearance.

Figure 7

Fig 8. Facial views of anterior crown fabrications. Note the undesirable positions that are needed for the abutment screws.

Figure 8

Fig 9. Facial views of anterior crown fabrications. Note the undesirable positions that are needed for the abutment screws.

Figure 9

Fig 10. Custom abutment with angled screw channel to provide lingual access.

Figure 10

Fig 11. Anterior screw-retained crown with angled screw channel to provide lingual access.

Figure 11

CREDITS: 0
AGD CODE: 690 - Implant Maintenance
COST: $0
PROVIDER: Conexiant Education
SOURCE: Inside Dental Technology | March 2020

Learning Objectives:

  • Identify the methods of retaining implant crowns
  • Recognize the implications that using differently retained crowns would have on retrievability
  • Discuss the various considerations that impact the choice between using a cement- or screw-retained crown to restore an implant

Author Qualifications:

Private Practice, Mooresville, North Carolina

Disclosures:

The author reports no conflicts of interest associated with this work.

Queries for the author may be directed to justin.romano@broadcastmed.com.