CDEWorld > Courses > Perfecting Dental Treatments Via 3D-Printed Models and Removable Dies

CE Information & Quiz

Perfecting Dental Treatments Via 3D-Printed Models and Removable Dies

Avi Cohen; Chris Brown, BSEE; Lori K. Brown, DDS

June 2015 Issue - Expires Saturday, June 30th, 2018

Inside Dental Technology

Abstract

The art and science of dentistry have evolved significantly over the past few years as clinical and laboratory workflows have progressed from an analogous, manual manipulation of materials to a systematic, digitally verifiable process. Today, these digital processes are being embraced as a means of elevating the total quality of dental offerings so that patients may benefit from enhanced treatment procedures; clinicians can treat patients faster, more smoothly, and with greater consistency; and dental laboratories can provide dependably superior products. The case study presented herein illustrates the ease of utilizing consistent and reproducible 3D-printed verification protocols as a means of ensuring the success of the restorative treatment plan.

You must be signed in to read the rest of this article.

Login Sign Up

Registration on CDEWorld is free. Sign up today!
Forgot your password? Click Here!

Overview

Forward-thinking dental professionals, clinicians, and laboratories are actively pursuing emerging digital dentistry technologies and quickly realizing the benefits. These advancements have yielded new, high-quality materials that are industrially pre-fabricated, tested, and controlled, as well as a standardized process for the creation of exacting treatment solutions, all of which helps the dental professional construct dental devices of higher quality and consistency.

Traditional methods of creating dental casts have multiple opportunities for discrepancies. Technique, material behavior, and material properties can generate substandard results. And because techniques are individualized, noteworthy discrepancies can be seen from day-to-day and person-to-person. Traditional materials exhibit expansions and shrinkages that are challenging to counterbalance and often difficult to control. These discrepancies prevent validating the cast within the oral cavity, potentially making the dental treatment stressful for both the clinician and the patient, since more chair time is necessary to address issues related to fit.

3D imaging software and 3D-printed dental casts constitute the foundation of digital dentistry. With them, dental professionals are able to follow a controlled verification process that duplicates the topography of the intraoral cavity precisely so that the actual seating of the prosthetic is fast and anxiety free.

Finally, by employing digital dentistry technology, dental laboratories can accurately and rapidly produce a range of dental and orthodontic appliances, eliminate the bottleneck of manual modeling, and help the laboratory grow and stay ahead of the competition.

3D-Printed Removable Dies

The removable die is an important component of the model system. Previously, dies were cut out individually to gain access to the prepared margin and to accurately fit the restoration interproximately. This manual process was time-consuming and often imprecise. The use of 3D printing helped address these issues but new challenges arose. While CAM software could segregate the dies from the main cast and print them separately, a large mass of dies were generally printed on one tray at the same time. These dies then needed to be cleaned, labeled, and matched to each specific model. Furthermore, this method produced a slight horizontal shift or inconsistency in the die socket, which frequently led to discrepancies in the final fit.

For these reasons, researchers set to work rethinking the printed model. A simple manipulation within the CAM software now allows the preparation to be duplicated and the removable die to be attached to the external cast, which can be used for verifying the margin. Additionally, now that the removable component has been eliminated within the unsectioned solid cast, there is no potential for horizontal discrepancy shifts in fit.

Case Study: Clinical Considerations

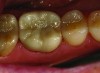
A patient presented with worn dentition, defective amalgam fillings, and visible cracks in the molar regions (Figure 1). The patient, a bruxer, requested a conservative treatment rather than a full-mouth reconstruction to rebuild lost vertical dimension. A treatment plan was proposed to replace the defective amalgams with tooth-colored direct composite fillings, and place full-coverage zirconia Lava™ Plus (3M ESPE, 3mespe.com) crowns where needed. Full-contour zirconia was chosen for the full-crown material based on its strength, minimal reduction requirements, and its ability to provide the desired tooth-colored appearance.

Treatment began on the mandibular lower right quadrant. Teeth Nos. 28, 29, and 31 received new composite fillings. A composite core was placed in tooth No. 30, and the tooth was prepared for a full-contour zirconia crown (Figure 2). The gingiva was retracted to reveal the margin for the digital impression. iTero® (Align Technologies, aligntech.com) was used to scan the operative quadrant, the opposing arch, and finally, the patient’s bite. The resulting digital proposition produced a virtual cast for evaluation of complete capture of data and an accurate rendering.

Case Study: Laboratory Considerations

An open-formatted STL scan file from the iTero impression scanner was imported into the Dental Manager™ (3Shape, 3Shape.com) CAD software. Dental Designer™ (3Shape) software was used to annotate the location of the proposed crown for tooth No. 30 and both a sectioned cast and unsectioned cast. Model Builder™ software (3Shape) was used to reorient the scan data, set the plane of occlusion, and identify the prepared tooth’s margins. Additionally, it proposed bases for both arches and a separated die was virtually extracted from the arch.

STL files were generated for each model cast part accompanied with an operative arch, opposing arch, and an unsectioned model with attached die (Figure 3). The crown was designed with 3Shape design software (Figure 4), then milled and sintered overnight according to the material manufacturer’s recommendations.

This innovative solution for a solid model, including a detached die and opposing arch, was generated, even though current Model Builder software does not support this solution automatically. The solid arch and detachable die were loaded into an industrial CAD software program (Figure 5). A small rectangular shape was created and used to bridge the space between the solid arch and the detachable die (Figure 6). The three individual shapes were combined into one file (Figure 7) and sent to an Objet® Eden260V™ 3D Printer (Stratasys®) along with the other casts (Figure 8).

Restoration Seating

Once sintered, the crown margins were easily finished on the printed detachable die, and contacts were subsequently fitted to the solid model, thereby providing validation of the prosthetic while still in the laboratory. The crown was then stained, glazed, and advanced to the clinician for seating. In the dental office, the Lava Plus zirconia crown was received from the dental laboratory and evaluated again on the model. The fit of the crown on the detached die was perfect, with no rock or rotation, and the margins were undetectable. Interproximal contacts were validated on the solid model as broad and firm. Minimal adjustment was required and the crown was bonded with Scotchbond™ Universal with RelyX™ Ultimate Adhesive Resin Cement (3M ESPE) (Figure 9).

This verification protocol was utilized systematically in the laboratory, and then subsequently in the dental office to produce a superior, verified, and consistent dental treatment.

Conclusion

As shown in this case study, the innovative new model cast CAD/CAM method ensures accuracy and precision by confirming the fit of the crown in the patient’s mouth before it leaves the dental laboratory. All horizontal inconsistencies, which previously led to chair-side adjustments, have been alleviated by using a new verification protocol with the detached die for margin finishing, and the unsectioned solid model for contacts (Figure 10 and Figure 11).

Digital dentistry is rapidly becoming the norm within the profession, and serves as a valuable business tool for dental laboratories by cutting production times, lowering labor costs, and increasing efficiency, accuracy, and profitability. In addition, digital dentistry offers dentists the use of consistent, state-of-the-art dental devices, and their patients a superior healthcare experience.

About the Authors

Avi Cohen
Director
Global Dental at Stratasys Ltd.

Chris Brown, BSEE
Founder
Aclivi
A consulting and technology resource for dental CAD/CAM
Pinckney, Michigan

Lori K. Brown, DDS
Private Practitioner
Enspire Dental
Ann Arbor, Michigan

Figure 1: Pre-op photo.

Figure 1

Figure 2: Crown preparation of tooth No. 30.

Figure 2

Figure 3: 3Shape Model Builder output.

Figure 3

Figure 4: Designed restoration.

Figure 4

Figure 5: Solid arch and die.

Figure 5

Figure 6: Solid arch, die, and bridge.

Figure 6

Figure 7: New solid arch.

Figure 7

Figure 8: Print job.

Figure 8

Figure 9: Restoration placed.

Figure 9

Figure 10: Printed dental model with a non-removable die.

Figure 10

Figure 11: Printed dental model using VeroDentPlusTM material.

Figure 11

CREDITS: 0
AGD CODE: 130 - Electives
COST: $0
PROVIDER: Conexiant Education
SOURCE: Inside Dental Technology | June 2015

Learning Objectives:

  • Explain the problems with traditional methods of creating dental casts.
  • Discuss how the introduction of 3D-printed removable dies helps address discrepancies in the final fit of a prosthetic.
  • Identify situations in which 3D-printed verification protocols can help ensure the success of the restorative treatment plan.

Disclosures:

The author reports no conflicts of interest associated with this work.

Queries for the author may be directed to justin.romano@broadcastmed.com.