CDEWorld > Courses > Smart-Matching Composites: One Shade Fits All

CE Information & Quiz

Smart-Matching Composites: One Shade Fits All

Gregg Helvey, DDS, CDT

June 2022 Course - Expires Monday, June 30th, 2025

CDEWorld

Abstract

Having greatly improved physical, mechanical, and esthetic properties compared with amalgam materials, resin composites have become a mainstay for most dental practitioners performing restorative dentistry. However, while composites are highly valued for their ability to mirror natural tooth shades, challenges with accurate shade selection persist, particularly when composite systems are employed that provide an extensive array of shades. As a result, “one-shade” systems—also known as “smart-matching” composite systems—have recently been developed that simplify the shade selection process by means of innovative coloration technologies that match the shade of the composite to that of the natural tooth. This article explores the features of these one-syringe systems and discusses their coloration technologies and composition, as well as the bonding agents used with smart-matching composites.

You must be signed in to read the rest of this article.

Login Sign Up

Registration on CDEWorld is free. Sign up today!
Forgot your password? Click Here!

Widely used because of their improved physical, mechanical, and esthetic properties, resin composites are highly popular restorative materials for anterior and posterior teeth. Advancements in filler technology are among the main reasons for the improved properties of these materials.1,2The improved conservative tooth preparation that is possible with resin composites has also contributed to their increased use.3However, selecting the correct resin composite shade to match the surrounding tooth structure remains a challenging task for the dental practitioner. Using a composite system that has a multitude of shades to choose from can add to the difficulty involved in selecting the appropriate shade. Composite resin systems with numerous dentin and enamel shades as well as special-effect shades (18 different syringes) not only require time to sort through but also necessitate the use of a number of syringes for restoring a fractured anterior incisal edge. Currently, new composite systems are available that utilize a reduced number of shade syringes. These composite systems-referred to as "one-shade" or "universal shade" (one shade syringe for all teeth) or as "reduced-shade" systems-are said to be "smart-matching composites." This article will explore the principle features of these one-syringe systems and discuss their smart-matching technologies, physical properties, and bonding agents.

FROM CONVENTIONAL TO SMART-MATCHING COMPOSITE SYSTEMS

Although most manufacturers have used the Vitapan Classical shade guide (VITA Zahnfabrik, Bad Säckingen, Germany) as the standard for producing resin composite shades, Ostervemb et al found that this shade guide represents only 6% to 11% of natural teeth shades.4Therefore, in a majority of cases, the correct color match between the natural tooth and a corresponding resin composite may be difficult to determine, as the tooth color is likely not represented in the resin composite system. In such cases, inaccurate shade selection can result.5,6

The natural color of the tooth is affected by several factors, including the tooth's position in the dental arch, whether the tooth is posterior or anterior, the age of the tooth, the amount of internal staining present, and existing restorations (Figure 1 through Figure 3).7 These factors necessitate color-matching techniques that involve a multi-layer approach using several different shades of resin composites that have been produced by pigments or dyes. A mutual color blending can occur at the restorative margin, which can be attributed to the transparent characteristics of the resin composite. However, the color blending that occurs at the margin is also dependent on the light diffusion and transmission properties of the resin composite, as well as the preparation margin configuration (Figure 2 and Figure 3), enamel prism orientation, and age of the tooth.8

One of the first resin composite systems, introduced in 1969, was ADAPTIC Invisible Filling (Johnson & Johnson), which consisted of a two-paste system that was chemically cured. The manufacturer claimed that the innovative product was fabricated from quartz crystal and could mirror the properties of a healthy tooth. Further, it was claimed that the material could bond to the tooth and virtually disappear, blending into the structure of most teeth.9 Another two-paste system was introduced at the same time, Concise (3M), which made similar claims regarding matching tooth color. These Concise composites were macro-filled composites that were difficult to polish and lacked esthetics and color stability, and they tended to yellow in color, owing to their chemical properties.10To counter those early single-shade systems, manufacturers began adding more shades and effects to their systems, which grew to become the multiple-shade conventional systems that we are familiar with today.

The number of shades in conventional composite systems can range from 16 to 30 shades, whereas the newer, smart-matching composite systems have reduced the number of shades to one to 12 shades as a result of optimizing color adaptation technologies. Three one-shade systems are currently available (Venus® Diamond/Venus® Pearl One resin composite, Kulzer; Omnichroma resin composite, Tokuyama Dental; and Admira Fusion x-tra resin composite, Voco) and several reduced-shade systems. Unlike the one-shade systems, the reduced-shade systems, which can include three to 12 shades, do require a shade guide. Both systems reduce waste by avoiding rarely used shades in the office inventory, and they improve efficiency, requiring less time for shade selection and minimizing shade errors. Thus, the shade selection process has now essentially come full circle-from the time of the early, one-shade composites of the 1970s to today, where we utilize, once again, one-shade composite systems.

THE TECHNOLOGY BEHIND ONE-SHADE SMART-MATCHING COMPOSITE SYSTEMS

All of the three currently available one-shade smart-matching composite systems share the ability to use one shade of composite to match any of the full range of natural tooth shades, and all three utilize innovative technologies as the mechanism for coloration of the composite. While they share some commonalities, however, the technologies behind the shade-matching of the different one-shade systems vary depending on the particular composite system and manufacturer.

One smart-matching technology, referred to as "adaptive light matching," enables the resin composite, which is highly translucent with low chroma, to absorb the light waves reflected by the surrounding tooth structure to determine the shade of the restoration.11 The restorative material essentially derives its color from the surrounding tooth through a balanced system of fillers and pigments (red to yellow). The fillers produce a range of shades that mirror the color range of natural teeth. In cases where the restoration is not in direct contact with tooth structure (restoring a missing cusp), the increased thickness of the restorative material derives its shade from the light-scattering effects within the restorative material. According to the manu-
facturer, this resin composite system can create a color match from A-1 to D-4.

In another composite system, a nanohybrid technology (different sized filler particles) is utilized, with fillers that are 60% nano-particulate and 40% micro- and macro-particulate silicon oxide.12 The particulates are spherical in shape, and measuring 20 to 40 nm, they are smaller than visible wavelengths of light.13 According to the manufacturer, when light passes through the nano-particulates, the interaction is subject to the size and shape of the fillers. The light then reflects off the surrounding tooth structure and returns to the observer influenced by the shade and color of the surrounding tooth structure.13 The fillers do not diffract or refract light.13 Silicon oxide forms the chemical base of the restorative material, which the manufacturer refers to as "pure silicate technology."14

A third smart-matching technology is described as "smart chromatic technology."15With this technology, a phenomenon known as structural coloration is achieved (the mechanism that makes a bluebird feather blue).15Structural color is produced by submicron-sized microstructures that reflect light at a specific wavelength through the interaction of two or more light waves, referred to as optical interference.16Structural colors are a result of fundamental optical processes of diffraction, interference, and scattering.1 Changing the microstructure will affect the wavelength of reflection modifying the structural color without altering the overall material design.17According to the manufacturer, this composite incorporates 260-nm spherical fillers that are uniform in size and are the exact size and shape to produce the effects of structural color to match the surrounding tooth.15,18 As ambient light passes through the composite, a red-to-yellow color is created. Coloration of the composite does not involve any added pigments or dyes. Because human teeth are in the red-to-yellow range of color, the patient's surrounding reflected tooth color combines with the red-to-yellow color produced by the nanoparticle fillers and creates a color match.18 According to the manufacturer, this resin composite can create a color match from A-1 to D-4. It is the strict nanotechnology (the uniform size of the spherical fillers) that manipulates light waves to produce the blending effect between tooth and restoration.18

Composite Resin Fillers

There are two basic approaches to filler size in composite resins: nano-filled (same particle size) and nano-hybrid (various particle size).19 Using nanoparticle fillers, which are smaller than 100 nm, improves filler packing density and reduces the polymerization shrinkage while increasing strength and wear resistance. Nanoparticles improve the translucency of the composite, optimizing the chameleon effect of blending between restorative material and tooth structure.20 Over the years, resin composite manufacturers have gone from using hybrid particles to microhybrid-sized particles to microfilled to nano-sized particles.19 Nanoparticles improve the ability of the tooth to be polished and to maintain its luster for a longer period of time. Nanofilled composites have higher polishability but lower strengths and higher wear rates,21 whereas the nanohybrids composites have higher flexural strength and lower wear rates.22

COMPOSITION OF SMART-MATCHING COMPOSITES

Some resin composites contain glass particles23,24 or silica-zirconia,25 and each individual composite has a specific filler weight or volume. Lower filler content correlates with increased flowability of the composite materials.26

Traditional composite materials include bis-
phenol A-glycidyl methacrylate (BisGMA), 1,6-bis(methacryl-ethyloxycarbonylamino)trimethyl hexane (UDMA), triethylene glycol dimethacrylate (TEG-DMA), or 2-hydroxylethyl methacrylate (HEMA); diluents that are found in BisGMA-based composites may be responsible for high polymerization shrinkage.27

Some smart-matching composites utilize a resin matrix that does not include these materials, but instead have a tricyclodecane-urethane acrylate (TCD-urethane) matrix. TCD-urethane resin composites are associated with lower shrinkage and polymerization stress compared with resin composites containing conventional dimethacrylates.28According to the manufacturer, this resin matrix reduces chipping and fracture of the restoration while providing a low elastic modulus and high flexure strength. According to the manufacturer, marginal gapping is reduced because the restoration flexes with the tooth. It is highly biocompatible. This resin matrix is free of bisphenol A and BisGMA. The hydrophobic nature of the resin matrix contributes to a reduction of water uptake compared with the more hydrophilic BisGMA-containing resin-based composites.29

Another smart-matching composite consists of large and precondensed molecules of an inorganic matrix with a high degree of cross-linking, which according to the manufacturer reportedly helps reduce volume shrinkage and shrinkage stress.30 The resin matrix contains a nano-ormocer (organically modified ceramic) technology that does not include any traditional composite materials such as BisGMA, UDMA, TEGDMA or HEMA, yet it is compatible with all conventional bonding agents. It is indicated for Class I, II, and V restorations. The manufacturer does not indicate its use in Class III or IV restorations. The resin matrix of another smart-matching composite consists of UDMA, TEGDMA, mequinol, dibutyl, hydroxyl toluene, and UV absorbers.25

BONDING ADHESIVES

All-in-one adhesives, which  combine etching,

priming, and bonding into a single step, are well-
regarded for bonding of direct composite restorations.31 Most of these adhesives contain one or more functional monomers.31 Smart-matching resin composites can be used in the different bonding modes: no etch, etch and rinse, and selective etch. One such adhesive contains two functional monomers, 10-methacryloyloxydecyl dihydrogen phosphate (10-MDP) and 4-methacryloyloxyethy trimellitate anhydride (4-META) monomers.32,33 Used for chemical bonding to the calcium contained in hydroxyapatite-forming calcium salts,34,35 the 10-MDP monomer bonds to porcelain, zirconia, and metal surfaces. The addition of the 4-META monomer, which dissolves the mineral components of the hard tooth structure, provides enhancement of the enamel and dentin bond strength that is increased more effectively than with HEMA.36Water is added to promote hydrolysis of the 4-META, which triggers the etching process. Other components include methacrylates for film formation, wetting, and formation of the 3D network.37 The solvent is acetone, which acts as the carrier for the hydrophilic and hydrophobic monomers and facilitates the removal of water during evaporation. The manufacturer recommends etching uncut enamel with phosphoric acid before applying the adhesive, which is scrubbed into the preparation for 20 seconds, dried, and light cured for 10 seconds.

An additional example of an all-in-one adhesive used with a smart-matching resin composite is a dual-cure adhesive with silicon dioxide nanoparticles that reinforce the hybrid layer.38 It contains acidic adhesive cross-linking monomers that are functionalized methacrylates able to bond to methacrylate materials.39 Camphorquinone is the initiator, and ethanol and water are the solvents.

According to the manufacturer, another adhesive contains several phosphoric acid monomers having different chain lengths off the main chain, and is able to bond to multiple types of substrates.40 The adhesive comes in a two-bottle mix (A and B). The A bottle contains the phosphoric acid monomer (3D-SR monomer), which adheres to tooth structure, zirconia, alumina, and non-precious metal with the formation of bonding layer.40 MTU-6 is added to bond to precious metal along with BisGMA, TEGDMA, and HEMA. Acetone is the solvent. The B bottle contains a silane coupling agent (y-MPTES) that ensures secure bonding to glass-ceramics without requiring pre-etching with hydrofluoric acid. This bottle also contains acetone, isopropyl alcohol, and water as a solvent. Borate and peroxide are used as the polymerization catalyst, which is a different chemical polymerization initiator from conventional composites. The borate initiator is decomposed by acid (phosphoric acid monomer) and transformed into a borane compound that produces free radicals. After mixing of equal amounts from both bottles, a thin bonding layer forms after exposure to air and hardens because of rapid progression of polymerization and curing on its adhesive interface (self-cure) once it comes into contact with resin materials such as composite. According to the manufacturer's instructions, light polymerization is not necessary before the composite is placed.

SPECIALTY SHADE MATERIALS

In cases where the tooth shade is very dark, additional materials are available to help alleviate shade disparity. One manufacturer offers opaque shades with increased color intensity that can be used to cover amalgam tattoos and discolored teeth. One smart-matching composite offers specialty shades that may include incisal shades that provide more transparency and minimal color intensity. These include clear and amber, which can be layered over the universal shade to create a more natural appearance. Bleached shades can be used for esthetic restorations after bleaching treatments.

Supplementary materials to prevent shade-matching interference may also be useful when treating patients who have very dark teeth, by minimizing the darkening effect on the restorative material. One smart-matching composite system offers a supplementary material that consists of spherical silica-zirconia filler and composite filler as well as bisphenol A and Bis-GMA and can be used to mask slight staining or for restoration of a highly opaque tooth.40 This material can also be used at the lingual cavity wall of extensive Class III and IV restorations when there is limited surrounding dentition.40

In restorative cases where a large portion of the incisal edge is missing or when extending the length of an anterior tooth is required, it is suggested that a lingual wall or "mirror-backing" be created to manage the translucency projecting the darkness from the back of the mouth (Figure 4 and Figure 5).40 The technique involves building a wall on the lingual aspect of the restoration with the opaque shade. This creates a less translucent lingual aspect that blocks the darkness from the back of the mouth and thus prevents it from showing through. After this wall is constructed, the more translucent smart-matching material can be applied to the front of the wall.

CONCLUSION

The increased use and tremendous popularity of resin composites has been well-earned, as over the years these restorative materials have demonstrated improved physical, mechanical, and esthetic properties compared with amalgam fillings. However, in an effort to provide restorative dentistry patients and practitioners with a wide variety of shades to choose from to match to the patient's natural tooth color, many conventional composite systems have provided an overabundance of shades. Despite the extensive array of tooth shades these conventional composite systems offer, shade selection remains a challenge for many practition-
ers, particularly owing to the time involved in reviewing the shade choices. With one-shade smart-matching composite systems, a single shade of composite is used to match any of the full range of natural tooth shades by means of innovative technologies as the mechanism for coloration. Currently three one-shade smart-matching composite systems are available, and the specific technology behind the coloration of the composites varies depending on the manufacturer. With all of the smart-matching composite systems, shade matching is enabled to be more predictable while reducing the inventory of seldom-used syringes, and the patient benefits from improved esthetic results that are achieved through a more expedited process.

References

1. Kobayashi S, Nakajima M, Furusawa K, Tichy A, Hosaka K, Tagami J. Color adjustment potential of single-shade resin composite to various-shade human teeth: effect of structural color phenomenon. Dent
Mater J.
2021;40(4):1033-1040.

2. Ferracane JL. Resin-based composite performance: are there some things we can't predict? Dent Mater.2013;29(1):51-58.

3. Lempel E, Lovász BV, Bihari E, et al. Long-term clinical evaluation of direct resin composite restorationsv in vital vs. endodontically treated posterior teeth- retro- spective study up to 13 years. Dent Mater.2019;35(9): 1308-1318.

4. Ostervemb N, Jorgensen JN, Horsted-Bindslev P. Shade guide optimization-a novel shade arrangement principle for both ceramic and composite shade guides when identifying composite test objects. J Esthet
Restor Dent.
2011;23:22-32.

5. Browning WD, Contreras-Bulnes R, Bracket MG, Brackett WW. Color differences: polymerized composite and corresponding Vitapan Classical shade tab. J Dent. 2009;37(Suppl 1):e34-e39.

6. Paravina RD, Westland S, Johnston WM, Powers JM. Color adjustment potential of resin composites. J Dent Res.2008;87(5):499-503.

7.Joiner A, Hopkinson I, Deng Y, Westland S. A review of tooth color and whiteness. J Dent.2008;36 (Suppl 1):S2-S7.

8. Kinoshita S, Yoshioka S. Structural colors in nature: the role of regularity and irregularity in the structure. Chem Phys Chem. 2005;6(8):1442-1459.

9. Branden M. Selection and properties of some new dental materials. Dent Update.1974;1(10):489-501.

10. Wei SHY, Jensen M. Composite resin restoration. Chapter 12. In: Wei SHY, ed. Paediatric Dentistry - Total Patient Care. Philadelphia: Lea & Febiger; 1988:199-223.

11. Venus® Diamond. Dental Science: Scientific Compendium. Kulzer. Published 2019. Available at: Venus_Diamond_Scientific_Compendium_EN.pdf. Accessed April 20, 2022.

12. Admira Fusion x-tra [instructions for use]. Cuxhaven, Germany: VOCO GmbH.

13. Voco. Simplicity in 1 shade. Available at https://www.voco.dental/us/portaldata/1/resources/products/folders/us/AF_x-tra_single_pages-01-2020_US_Product_Lit_FINAL_1-14-20.pdf.

14. Voco. Admira Fusion. Nano-hybrid Ormocer® Restorative Materials. Available at: https://www.voco.dental/en/portaldata/1/resources/products/folders/gb/admira-fusion-x-tra-flow-x-base_fol_gb.pdf.

15. Tokuyama. Omnichroma. The science of tooth color. 2018. https://omnichroma.com/us/technology/. Accessed May 2, 2022.

16. Huang Y, Zhou J, Su B, Shi L, Wang J, Chen S,
et al.Colloidal photonic crystals with narrow stopbands assembled from low-adhesive superhydrophobic substrates. J Am Chem Soc 2012; 134: 17053-17058.

17. Schmalz G, Hickel R, Van Landuyt KL, Reichl F.-X. Nanoparticles in dentistry. Dent Mater. 2017;33(11): 1298-1314.

18. Maesako M, Kishimoto T, Tomoda S, et al. Evaluation of the repolished and surface properties of a resin composite employing structural coloration technology. Materials (Basel). 2021;14(3):7280.

19. Yamaguchi S, Karaer O, Lee C, Sakai T, Imazato S. Color matching ability of resin composites incorporating supra-nano spherical filler producing structural color. Dent Mater.2021;37(5):e269-e275.

20. Yamaguchi S, Karaer O, Lee C. Sakai T, Imazato S. Color matching ability of resin composites incorporating supra-nano spherical filler producing structural color. Dent Mater.2021;56(1 Suppl):59-66.

21. de Andrade AK, Duarte RM, Medeiros e Silva FD, et al. 30-Month randomised clinical trial to evaluate the clinical performance of a nanofill and a nanohybrid composite. J Dent.2011;39(1):8-15.

22. Pontes LF, Alves EB, Alves BP, Ballester RY, Dias CG, Silva CM. Mechanical properties of nanofilled and microhybrid composites cured by different light polymerization modes. Gen Dent. 2013;61(3):30-33.

23. Venus Diamond [instructions for use]. Hanau, Germany: Kulzer; July 2021.

24. Venus Pearl [instructions for use]. Hanau, Germany: Kulzer; July 2021.

25.Omnichroma [instructions for use]. Tokyo, Japan: Tokuyama Dental Corporation.

26. Baroudi K, Rodrigues JC. Flowable resin composites: a systematic review and clinical considerations.
J Clin Diagn Res. 2015;9(6):ZE18-ZE24.

27. Langalia A, Buch A, Khamar M. Polymerization shrinkage of composite resins: a review. J Med Dent Sci Res. 2015;2(10):23-27.

28. de Oliverira DC, Rovaris K, Hass V, Souza-Júnior EJ, Haiter-Neto F, Sinhoreti MA. Effect of low shrinkage monomers on physicochemical properties of dental resin composites. Braz Dent J. 2015;26(3):272-276.

29. El-Hadary A, Drummond JL. Comparative study of water sorption, solubility, and tensile bond strength of two soft lining materials. J Prosthet Dent. 2000;83(3):356-361.

30. Paganini A, Attin T, Tauböck TT. Margin integrity of bulk-fill composite restorations in primary teeth. Materials (Basel). 2020;13(17)3802.

31. Nikaido T, Ichikawa C, Li N, et al. Effect of functional monomers in all-in-one adhesive systems on formation of enamel/dentin acid-base resistant zone. Dent Mater J. 2011;30(5):576-582.

32. da Silva SV, Bonamn S, Lopes GM, et al. Micro-shear bond strength of universal adhesives to dental enamel: a systematic review and meta-analysis. Int J Dev Res.2021;11(5):46923-46931.

33. Jacker-Guhr S, Sander J, Luehrs A-K. How "universal is adhesion? Shear bond strength of multi-mode adhesives to enamel and dentin. J Adhes Dent.2019;21:87-95.

34. Ilie N, Hickel R. Resin composite restorative materials. Aust Dent J. 2011;56:(1 Suppl):59-66.

35. Shibuya K, Ohara N, Ono S, Matsuzaki K, Yoshiyama M. Influence of 10-MDP concentration on the adhesion and physical properties of self-adhesive resin cements. Restor Dent Endod.2019;44(4):e45.

36. Kurokawa R, Finger WJ, Hoffmann M, et al. Interactions of self-etch adhesives with resin composites. J Dent. 2007;35(12):923-929.

37. Utterodt A, Ruppert K, Schaub M, et al. Dental composites with decreased toxicity containing as crosslinkers tricyclo[5.2.02.6]decane (TCD) derivatives
of urethane group-containing (meth)acrylic acid. Application: EP Patent No. 2007-23518 1935393, 2008 20071205, to Heraeus Kulzer GmbH, Germany.

38. Futurabond U. Dental Advisor website.
https://www.dentaladvisor.com/evaluations/futurabond-u/. Accessed May 6, 2022.

39. Voco. Futurabond U. https://www.voco.dental/us/portaldata/1/resources/products/folders/us/futurabond-u_fol_us.pdf. Accessed May 6, 2022.

40. Omnichroma Blocker [instructions for use]. Tokyo, Japan: Tokuyama Dental Corporation.

41. New "smart-matching" composites: are they faster, easier, better, and less expensive? Clinicians Report.2021;14(3):2-3.

Fig 1. Preoperative view of a tetracycline-stained lower right second bicuspid.

Figure 1

Fig 2. Class I cavity preparation. Note the dark pulpal floor.

Figure 2

Fig 3. Postoperative view after placement of a smart-matching composite without the use of a stainblocker.

Figure 3

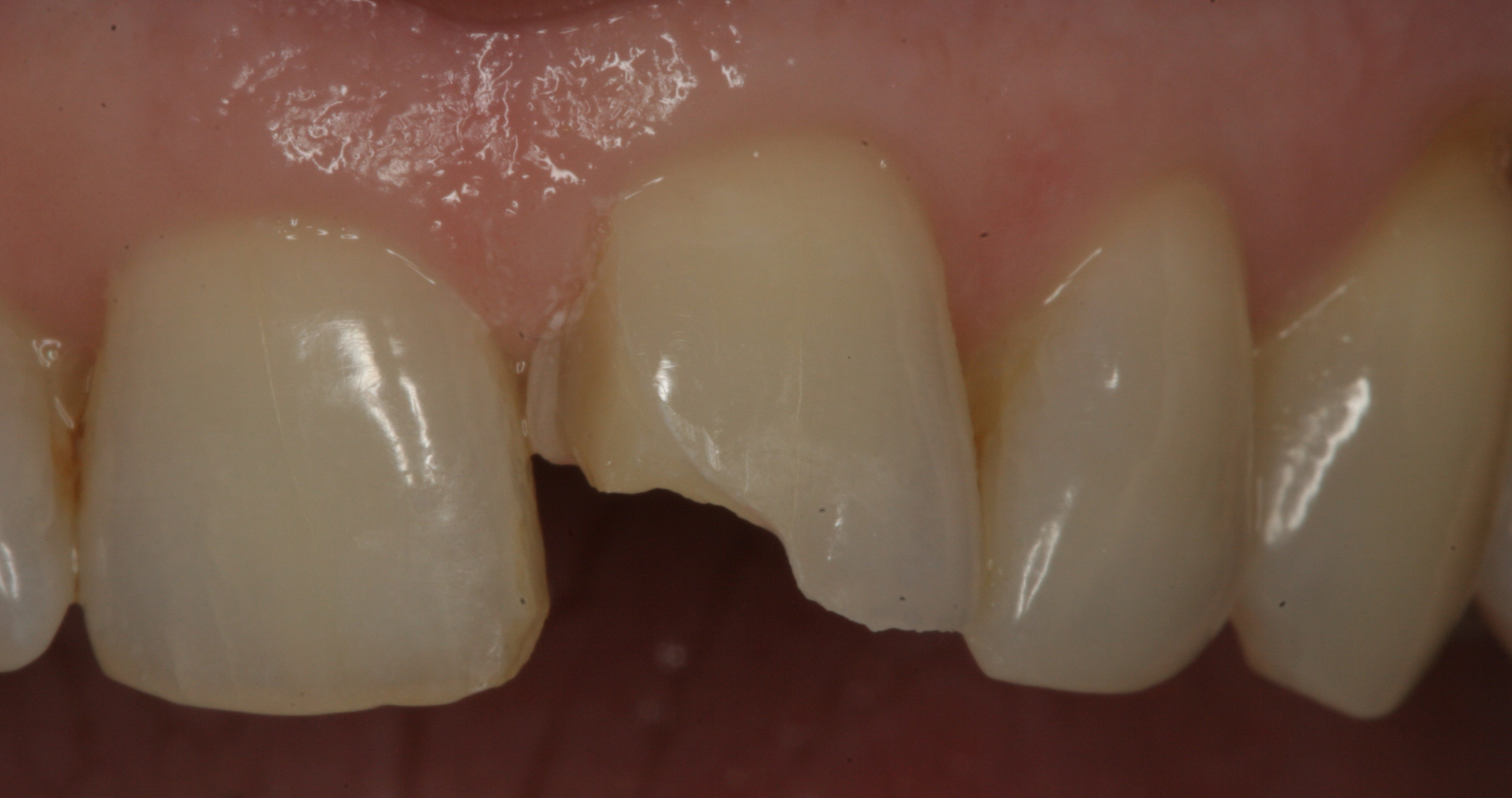
Fig 4. Preoperative view of a maxillary left central incisor after a traumatic incident that had caused loss of the mesial and incisal portion of the tooth.

Figure 4

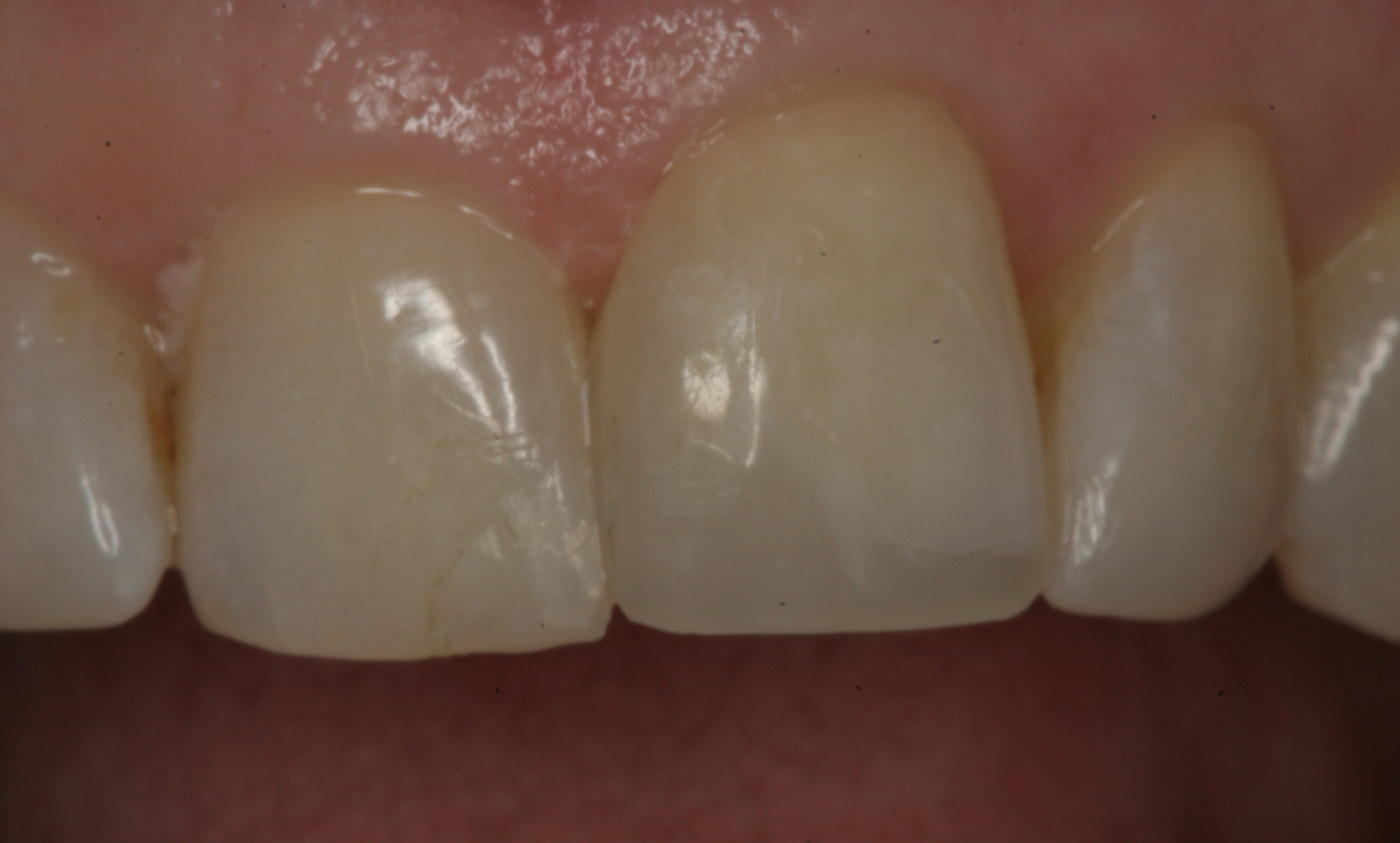
Fig 5. Postoperative view of the restored tooth using a smart-matching resin composite without using a mirror-backing technique. Note the lower value of the incisal edge.

Figure 5

CREDITS: 0
AGD CODE: 250 - Restorative Dentistry
COST: $0
PROVIDER: Dental Learning Systems, LLC
SOURCE: CDEWorld | June 2022
COMMERCIAL SUPPORTER: Kulzer

Learning Objectives:

  • Describe the coloration technologies responsible for shade-matching in the newer one-shade smart-matching composite systems 
  • Discuss the composition and physical properties of the smart-matching resin composites 
  • Describe the different bonding adhesives that are used with smart-matching resin composites

Disclosures:

 Dr. Helvey has received an honorarium from Kulzer for writing this article, and for the preparation and presentation of the webinar on which this article is based.  

Queries for the author may be directed to justin.romano@broadcastmed.com.