CDEWorld > Courses > Dental Photography

CE Information & Quiz

Dental Photography

Linda Kihs, CDA, EFDA, OMSA, MADAA; and Debra Engelhardt-Nash

July 1, 2020 Course - Expires Sunday, December 31st, 2023

American Dental Assistants Association

Abstract

The adage, “A picture is worth a thousand words” refers to the notion that a complex idea can be conveyed with just a single still image. This phrase emerged in the USA in the early part of the 20th century. Its introduction is widely attributed to Frederick R. Barnard who published a piece commending the effectiveness of graphics in advertising with the title “One Look is Worth a Thousand Words” in Printer’s Ink, December 1921. This is also true in dentistry, advertising or any other aspect of life. Since the largest percent of learning takes place visually, photographs are a powerful way to educate and motivate your patients to accept treatment. Thousands of dental offices are now using dental photography to build patients’ trust through visual communication.

You must be signed in to read the rest of this article.

Login Sign Up

Registration on CDEWorld is free. Sign up today!
Forgot your password? Click Here!

Introduction

The adage, "A picture is worth a thousand words" refers to the notion that a complex idea can be conveyed with just a single still image. This phrase emerged in the USA in the early part of the 20th century. Its introduction is widely attributed to Frederick R. Barnard who published a piece commending the effectiveness of graphics in advertising with the title "One Look is Worth a Thousand Words" in Printer's Ink, December 1921.

This is also true in dentistry, advertising or any other aspect of life. Since the largest percent of learning takes place visually, photographs are a powerful way to educate and motivate your patients to accept treatment. Thousands of dental offices are now using dental photography to build patients' trust through visual communication.

Welcome to the World of Dental Photography

Photography, both intraoral and extra-oral, is an important part of the patient's clinical record. The extent to which the dentist uses photography depends on their personal interest. Dental photography is frequently overlooked, yet it is an important part of patient care and treatment acceptance. Photographs should be part of any comprehensive treatment plan and can be used in diagnosis, education and motivation for the patient, case presentation, laboratory communication, insurance submissions, public relations and marketing. Many dental offices are also now using photographs as before and after treatment documentation. A picture can often get a message across much better than the best verbal description.

Types of Cameras - Digital, Intraoral, or Maybe Both

Before making a purchase, the clinician must decide on what purpose the camera will serve.

• What clinical treatment or business process do you want to enhance through the use of the images you create?

• How will you use the images in your practice?

• Do you plan to implement new procedures?

• What auxiliaries will be involved?

• What is your budget for this piece of equipment as well as the installation and support of the hardware?

• What are your colleagues using and what are their results?

With planning and training, an intraoral camera, extra-oral camera, or a combination of both, can add an exciting new facet to your practice. It will enhance diagnostic and treatment planning capabilities and dramatically improve patient communication. Especially with intraoral cameras the added magnification of the area can greatly improve diagnostic capabilities. Most intraoral cameras are connected to a computer in the operatory through a USB (Universal Serial Bus) connection on the front, side, or back of the computer.

Who Can Use Them and for What Reasons

General

• Shows what is present now. Stains and/or caries.

• Shows what needs to be done to restore their mouth to total health.

• Shows new areas of concern since last appointment.

• Shows any treatment diagnosed but not completed.

• Shows areas needing home care attention.

• Shows areas that may need advanced treatment such as crowns, implants, etc.

• Illustrates cosmetic possibilities.

• Shows early indications of oral cancer, kidney disease, bulimia or other disease that presents itself in the oral cavity.

Pediatric dentistry

• Simple, dependable and safe on children.

• Detection of caries before a restoration is needed when a prescription fluoride or other minimally invasive technique is possible.

• Smaller conservative fillings to preserve tooth structure.

• Some restorations can be completed without anesthetic.

• Easy monitoring of old fillings to determine the best time to replace them.

Orthodontics

• Before photos show a baseline.

• Photos taken during the process show the changes, advancement, and progress.

• After photographs demonstrate the final result. These are an effective tool and can be used in marketing with permission.

Periodontics

• Use of photographs to differentiate between healthy and unhealthy gingival tissue. Swelling, infection or recession.

• A visual image to show shape, color and texture in high detail with magnification.

Prosthodontics

• Can demonstrate the need and process of constructing:

1. Crown work

2. Bridge work

3. Denture work

4. Dental implant

5. Cosmetic dentistry

6. Or other necessary prosthetic dental treatment.

Depending on which camera(s) you select, the team needs to work out the step-by-step process of how images will be collected, when, and what new responsibilities will be assigned and what they will entail, if any old images can be eliminated, and how the images are to be used. The amount of additional time will depend on the skill and accuracy of the auxiliary. Once this oral evaluation has been completed, consider reserving some additional time for the case presentation. The stored images will need to be pulled up and discussed with the patient. As a result, the treatment planning and case presentation will be more comprehensive.

Mastering the Task

Digital cameras range in price and dependability from inexpensive, disposable cameras with sensors capturing less than one mega pixel (mp) of data to large-format professional cameras costing thousands of dollars and offering sensors capturing over 100 mp of data. Find the digital camera that combines convenience and flexibility at a modest cost.

Using the right lens will allow you to capture fine detail at close working distances. Digital cameras use a variety of lenses, rated by their focal length as measured in millimeters. For dental photography, the best lens is a 100mm focal length, Macro lens with auto focus and vibration reduction. Consult the camera manufacturer or company where the camera was purchased for their recommendations. If your plan is to use your photographs as a marketing tool, make sure you inform the patient and obtain their written consent if you will be using images showing your patient's face.

Photographing in the tight confines of the oral cavity requires a special type of light source. A ring flash can provide the needed light because it encircles the end of the lens. All camera manufacturers produce ring flash units that work with their cameras and lenses. To improve portrait photography, an additional flash called a "Point Light" was added to the Ring Flash system, allowing the user to choose between two distinct flashes depending upon the subject, ring for intra-orals, and point for facials. The ring light is easy to use and provides shadow less illumination for deep cavity views.

It can be difficult for your patient to hold their head still while being photographed. To minimize blurring, it is important to use a fast shutter speed. The shutter speed also controls the brightness of the image. The shutter consists of mirrors inside the body of the camera. The faster the door opens and closes, the less light comes in and the darker the image will appear. The longer the mirror stays open the lighter the image will be.

Set the lens' aperture to a value that will maximize depth of field in your photograph. Good results can usually be obtained between f/5.6 and f/8. The aperture is the size of the opening at the front of the lens. This size is referred to as an F-Stop. The F-Stop must be set before taking the pictures. A higher F-Stop setting will result in a smaller aperture opening that will restrict light from entering and hitting the computer chip in the camera. The smaller the number the larger the opening is so the brighter the image will be.

Besides the aperture and the shutter speed, the computer chip in the camera is the third aspect of a digital camera that controls light. This setting is called the ASA or ISO, they can be used interchangeably. Typically ISO settings range from 100 to 3200. The lower the number the better quality of image but the less light the chip will absorb. It is typically best to set the ISO range between 100 and 400 range for best quality results. The chip is located in the back of the camera. It reads the light reflected off the patient after the light has already passed through the aperture and shutter.

A decision must be made to record the photographs using the "RAW" or "jpeg" format. "RAW" images contain much more data and detail than "jpeg" images. If recording with both, however, you can file the original image forever with the maximum possible data captured by the RAW file, while using the jpeg format for insurance attachments which are easier for staff to use. Many practice management software programs cannot handle RAW files. Much larger memory cards are required if taking many pictures. RAW files do take longer to download and you need a lot more hard drive (HD) memory to store a large number of RAW files. In most practices shooting in JPEG format is more practical that RAW format.

Manual or Automatic

Most cameras can be set to Manual or Automatic. In general, neither of these two settings yield good results. Rather than choosing Manual or Automatic settings, setting the camera to "A" or "Av" (stands for aperture priority), is usually the best setting option.

Automatic simply means that the camera does it's best to create the image, which usually means the images are of "average" quality at best. Manual means you have to choose the correct settings (Aperture, Shutter Speed and ISO) yourself. Unless you are an experienced photographer, trying to do this in a dental office setting is not practical. As a dental assistant, you should consult your dentist to help provide the correct settings. Write these down so that if the setting are changed accidentally, or by someone else, you can always reset the camera to these original settings. Getting the correct settings will usually take some experimentation.

Fees and Coding for Photographs

Consider an appropriate fee when billing for diagnostic photography. Some fee databases relate that oral/facial images could have the same relative value as four bitewing radiographs. A critical component to a well-balanced fee schedule is to consult the dental association in your area as well as the CDT. Some third-party benefit plans rarely provide reimbursement for diagnostic photographs unless they confirm that which can't be seen in the traditional radiographic image. When diagnostic photographs are submitted for reimbursement, a short and simple narrative should support your findings. An example of such a narrative might be:

"The enclosed radiographic image fails to show the _________."

"The enclosed photograph shows the ________ that is not seen in the radiographic image."

Instructions on Use

1. Make sure all barriers are in place. The intraoral wand is faced to the white side of the packet sleeve; then the outer layer is removed.

2. Prepare your tray set-up with 2x2's, mirrors, retractors, contrasting medium, moisture control, isolation materials, lip lubricant agent, and other equipment of choice.

3. Prepare the computer log-in according to what computer system you are using.

4. Explain to the patient that your practice uses a camera to assist in demonstrating their possible need and that one of the primary uses is for patient education. Always obtain a consent form, giving their permission for photographs to be taken. They need to be assured that the photographs will be stored on a computer file along with an explanation as to why pictures are taken and that they can take a copy of their pictures at the completion of their appointment.

5. Prepare the body parts of the camera: lens (macro allows close-ups), and the ring flash.

6. Turn the camera on and make adjustments following your dentist's instructions. Be sure the flash has been turned on.

7. Position the patient and dry the area with 2x2 gauze and place cheek retractors. Cheek retractors are available in either metal or plastic, single or double ended. The patient can hold the retractors; be sure you are gloved when you do this.

8. Extra-oral photographs consist of 5 basic shots: Teeth in occlusion or front on, maxillary occlusal using a mirror, mandibular using a mirror, a right lateral view and a left lateral view. Use retractors (metal or plastic) and/or mirrors to pull the lips back posteriorly when taking lateral view photographs so that the pre-molars can be seen. For the frontal view, focus with the midline of the patient at the middle of the screen. Side views use the canine and 1st pre-molar as your guide. For the maxillary arch, position the mirror as far back as possible. Ask the patient to breathe through their nose to keep the mirror from fogging. A mirror will also be used for the mandibular arch positioning it again as far posterior as possible. To avoid patient's gagging on the mirror when taking occlusal photos, ask the patient to hold the mirror themselves.

Sources of Errors

There are a number of errors that can occur but they can usually be divided between two groups. The first group includes errors that arise due to inappropriate choice or use of equipment including the camera, lens, flash, retractors, mirrors, suction, or a lack of understanding. The second group of errors relates to any recording medium and involves inappropriate positioning of the subject. These errors need to be minimized to achieve the highest possible quality of photographic records.

Tips for Taking Proper Photographs

• Standardize the photographs by taking them at the same distance from the subject every time. That way they will be easier to compare before and after shots.

• Proper position of the camera avoids the errors associated with canting and taking the shots at angles that are too high or too low from the front.

• Reposition the head of the patient slightly instead of leaning over him or her.

• Patient should stand against a neutral colored non-distracting background for head shots for a better looking picture. Do not place the patient too close, preferably 6-8 inches from the background as this may create shadows.

• Try to take the occlusal views looking down the incisal edges of the anteriors.

• Use the interpupillary line and the vertical midline to orient the camera.

• Remove anything that would make the picture look bad, such as excess saliva, blood, food, lipstick on teeth, excess cement, etc.

• Mirrors can be placed in warm water to prevent fogging during use.

Forensic Odontology

Although forensic odontology is not a recognized dental specialty, it does require some extra training and expertise. It is the art and science of dentistry that relates to civil and criminal law. Proper handling, examination and evaluation of dental evidence is then presented to legal entities in the interest of justice. Forensic dentistry can be utilized in the identification of human remains, craniofacial trauma, malpractice, mass disasters, bite and tooth mark analysis, case management, child abuse and battered adult recognition.

No two individuals, including identical twins, have exactly the same dentition. Identification requires providing a proof of identity and there is no room for error. This is done using dental records including radiographic images, intraoral and extra-oral ante-mortem and postmortem photographs and DNA.

Infection Control

All photographic equipment in the set up must be sterilized or disinfected according to manufacturer's instructions. Infection control practices to prevent cross contamination must be utilized whenever possible. The dental professional must be mindful of what is touched, including the camera(s) and computer accessories.

All equipment needs to be sterilized separately to avoid scratching. To prevent water stains from the steam autoclave or Statim, wrap mirrors in a paper towel before bagging.

Sanitary sheaths and plastic barriers are used to cover equipment that cannot be sterilized in an autoclave. After becoming contaminated, they must be disposed of according to state OSHA standards.

Recycling

When retiring or selling your practice, and there is clearly no need for dental cameras any longer, consider recycling them versus just tossing them away.

• Call the Public Works in your area and ask a representative if there are any special instructions in recycling used dental equipment.

• Take the camera to your nearest recycling center. Some centers pay for recyclables.

• Donate it to a local charity. Non-profit volunteers that provide dental work to poverty-stricken communities around the world.

• Recycle through another dental office. A new dentist or practice in town.

• Donate to a local teaching institute or free dental clinic.

Photographic Documentation

Each photograph is expected to have certain teeth or facial features showing. The following sections lead the dental professional through the steps in obtaining diagnostic photographs for the patient record.

Portrait (full face)

Check camera settings according to your dentist's recommendation.

Turn on camera and check for remaining battery life.

Turn on the flash and shoot a "test shot" to ensure everything is working properly and the resulting image is good.

Look through the viewfinder and compose the subject in the middle of the picture frame.

Press the shutter button half way and wait for the sound that indicates the camera is focused. Press the shutter release button fully to record the image. View the photo on the camera's LCD screen. Retake the photo if you do not like the result.

Patient face should be framed with the chin near the lower border. The head should be in full view.

The patient should present a natural, relaxed smile. Center the patient nose.

The interpupillary line and vertical midline of the face should be shewed to orient the camera. The lips and teeth are less reliable for alignment.

Use a solid background to avoid visual distraction. To avoid any back shadow in the photos, have the patient positioned slightly forward of any background.

Stand directly in front of patient for straight on view.

Front smile view

Show a full natural smile. Face should be relaxed. The vertical center of the slide should be the philtrum of the upper lip. Avoid compensating for midline discrepancies.

Confirm that the incisal plane of the maxillary teeth is the horizontal middle of the photo. If patient presents a canted incisal plane, duplicate position in this view. Camera should not be tilted to compensate for canted midline.

Stand directly in front of patient for straight on view. The camera should be 90 degrees to the patient's face. Teeth normally viewed in full natural smile should appear in image. Mandibular teeth may not appear.

Right and left full smile views

Use retractors to pull back the lips to show the pre-molars, and molars when possible.

The vertical midline of the image should be the lateral incisor. The horizontal midline is the incisal plane, perpendicular to the vertical midline.

Focus camera on lateral incisor. Proper depth of field will allow other visible teeth to be in focus.

Natural asymmetry should be produced.

Maxillary and mandibular teeth views

The maxillary and mandibular teeth should be slightly parted so incisal edges are visible. This view provides evaluation of incisal embrasures and incisal plane.

Retractors should be placed symmetrically for straight image. Display as much gingiva as possible. Retractors should be pulled away from the teeth before taking image. Lips and retractors views should be minimized as much as possible. Tongue should be resting away from teeth.

Midline of face should be used as vertical midline of image. If patient's teeth are canted, image should be reproduced consistent with full face image.

Camera should be positioned directly in front and 90 degrees to the patient. Focus on central and lateral incisors. Proper depth of field with high F-Stop will allow other visible teeth to be focused.

Maxillary anterior view

Center the maxillary anterior teeth using the frenum and midline as references. The lips should not be visible.

No retractors should be visible. The gingiva adjacent to the teeth should be visible. The opposing teeth should not be visible.

A contrasting or background device may be used to block out images of mouth and tongue.

Image should be captured at 90 degrees to the patient and directly in front.

The maxillary four to six teeth should be captured.

Maxillary anterior right and left views

The lateral incisor should be centered in this image to bisect the image vertically.

Retractors should not be visible. The gingiva should be clearly visible in the frame.

The opposing teeth should not be visible.

A contrasting or background device may be used to block out images of mouth and tongue.

Image should be captured at 90 degrees to the patient and directly in front.

Retractors should be pulled away from the teeth.

The maxillary four to six teeth should be captured.

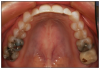
Maxillary arch view

Retractors are required to capture images of the maxillary arch. A high quality mirror should be used to capture reflected image.

The facial surfaces of the central incisors should be visible near the edge of the image.

Lips and mirror edges views should not be visible. The nose and mandibular teeth should not appear in image.

To eliminate fog on the mirror, warm the mirror in hot water ahead of time and ask the patient to breathe through their nose. Hitting the mirror with a light stream of air while taking the photo may be helpful as well.

Capture the image at approximately 45 degree angle to the mirror surface. The placement of mirror should allow for the facial and lingual surfaces to be seen at the same time.

Show as many teeth as possible. The central incisors to the mesial of the second molars should be visible. The anterior teeth must be clearly shown. Maxillary teeth and facial and lingual embrasures should be visible.

Image may be captured from in front of the patient, with patient partially inclined or directly behind the patient with patient fully reclined.

Focus on the reflected image of the premolars.

Adjust the focal length as needed to frame the maxillary arch.

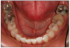
Mandibular arch view

Retractors are required to capture image of the mandibular arch. A high quality mirror should be used to capture reflected image.

The facial surfaces of the central incisors should be visible near the edge of the image. Lips and mirror edges views should not be visible. The nose and maxillary teeth should not appear in image.

To eliminate fog on the mirror, warm the mirror in hot water ahead of time and ask the patient to breathe through their nose. Hitting the mirror with a light stream of air while taking the photo may be helpful as well.

Capture the image at approximately 45 degree angle to the mirror surface. The placement of mirror should allow for the facial and lingual surfaces to be seen at the same time.

Show as many teeth as possible. The central incisors to the mesial of the second molars should be visible. The anterior teeth must be clearly shown. Mandibular teeth and facial and lingual embrasures should be visible.

Image may be captured from in front of the patient. The patient's tongue should be positioned in the posterior position and may be retracted with the occlusal mirror.

Focus on the reflected image of the premolars.

Adjust the focal length as needed to frame the mandibular arch.

Images of restorations

To capture images of restorations prior to placement, place restorations on a black background or mirror.

Tip: The more light you have on the subject, the easier and faster it will be for your camera to focus.

Summary

Dental photographs are very useful when educating the dental patient on oral conditions. Patient fees can be covered by certain insurance plans when coded properly and reasons given to support the need for comprehensive dental treatment. Before making a choice on an office camera, the staff should understand how it will be used and the training necessary to use it. Each patient position must capture the correct position and angle of the teeth in the correct lighting. With the ability to capture and store digital photographs becoming more accessible for the dental practice, it is important that the dental auxiliary understand proper photographing techniques.

Glossary

Ante-mortem - preceding death.

Aperture - hole or opening through which light travels.

Canted - angular deviation from a vertical or horizontal plane.

CDT - Current Dental Terminology; published by the American Dental Association (ADA) to achieve accuracy and consistent reporting of dental treatment for the efficient processing of dental claims.

Contraster - contrasting medium; a black material in an occlusal form or shield to create a "blacked-out" background

Extra-oral camera - photographs taken from outside of the mouth.

F-stop - scale of numbers referring to the amount of light let in through the aperture.

Interpupillary line - the plane created from the center of the pupils of the two eyes.

Intraoral camera - small cameras with a built-in light source, about the size of a pen, used to zoom in to view areas up to 25 times magnification inside the mouth.

Jpeg - a format for compressing images.

Lens - a transparent optical device used to converge or diverge transmitted light and to form images.

Mega pixel - one million pixels.

Philtrum - the median groove on the outside of the upper lip.

Postmortem - after death.

RAW image file - contains minimally processed data from the image sensor of either a digital camera, image scanner, or motion picture film scanner.

Red eye effect - occurs when using a photographic flash very close to the camera lens (as with most compact cameras), in ambient low light.

USB - Universal Serial Bus; an industry standard developed in the mid-1990s that defines the cables, connectors and communications protocols used in a bus for connection, communication and power supply between computers and electronic devices.

Zoom - allows magnification.

References

Al-Amad, Suhail. "Forensic Odontology." .smile-mag.com. Smile Dental Journal , n.d. Web. 1 Aug 2013. <http://www.smile-mag.com/art_files/Forensic_Odontology.pdf>.

auth. "Dental Photography- The Basics." N.p., . web. 31 July 2013.

Boudet, Carlos. "CLINICAL TECHNIQUES An Introduction to Dental Photography."glidewelldental.com. Glidewell Laboratories. Web. 31 July 2013. <http://www.glidewelldental.com/dentist/chairside/issues/v7-2/clinical-techniques4.asp>.

Brinker, Shannon. "The Importance of Good Clinical Photography." http://cpsmagazine.com/. Contemporary Product Solutions. Web. 31 July 2013. <http://cpsmagazine.com/current-publication/december2012/files/42.html>.

"Dental Intraoral Camera / Intraoral Digital Cameras."dentalcompare.com. N.p.. Web. 12 December 2012. <http://www.dentalcompare.com/Dental-Digital-Imaging-Dental-Imaging/4477-Intraoral-Camera-Intraoral-Digital-Cameras/>.

"Digital Intra-oral Cameras." wholelifedentistry.com. PBHS. Web. 12 December 2012. <http://www.wholelifedentistry.com/advanced-technology/digital-intra-oral-imaging.html>.

Ehrlich, Ann, Hazel Torres, and Doni Bird. Essentials of Dental Assisting. 2. Philadelphia: Saunders, 1996. Print.

Finkbeiner, Betty, and Claudia Johnson. Comprehensive Dental Assisting. St. Louis: Mosby, 1995. Print.

Griffith, Andrea. "How to Recycle an Intraoral Camera."eHow.com. Demand Media. Web. 21 January 2013. <http://www.ehow.com/how_7700466_recycle-intraoral-camera.html>.

"How Intraoral Cameras Can Enhance Your Dental Care." southportdentalindianapolis.com. N.p., n.d. Web. 21 January 2013. <http://www.southportdentalindianapolis.com/582774/2012/11/02/how-intraoral-cameras-can-enhance-your-dental-care.html>.

Jameson, John, and Cathy Jameson. "Using photography to build your practice." dentaleconomics.com. PennWell. Web. 12 December 2012. <http://www.dentaleconomics.com/articles/print/volume-97/issue-5/features/using-photography-to-build-your-practice.html>.

"Journal of Orthodontics." 32. (2005): n. page. Web. 1 Aug. 2013.

"Making it Easy to Integrate Photography into Your Practice." dentaldigitalphotography.com. Digital Dental Photography. Web. 31 July 2013. <http://www.dentaldigitalphotography.com/>.

Matthew, Glassgold. N.p.. Web. 31 July 2013. <http://www.dinecorp.com/?page_id=124>.

Morris, Michael. "Digital photography: Your modern communication and marketing tool."dentaleconomics.com. PennWell. Web. 31 July 2013. <http://www.dentaleconomics.com/articles/print/volume-99/issue-3/features/digital-photography-your-modern-communication-and-marketing-tool.html>.

N.p. Web. 31 July 2013. <https://en.wikipedia.org/wiki/Forensic_dentistry>.

N.p. Web. 31 July 2013. <http://www.dentaleconomics.com/articles/print/volume-95/issue-3/columns/the-world-of-digital-dentistry/choosing-the-right-digital-camera.html>.

"PATIENT PHOTOGRAPHIC RECORDS." aligntechinstitute.com. invisalign. Web. 31 July 2013. <http://www.aligntechinstitute.com/GetHelp/Documents/pdf/PhotographicQSG.pdf>.

Payet, Charles. "8 Uses for Dental Photography."dentaldigitalphotography.com. Digital Dental Photography, 29 Dec 2010. Web. 17 January 2013. <http://www.dentaldigitalphotography.com/2010/12/29/8-uses-for-dental-photography/>.

Payet, Charles. "RAW or JPEG for dental photography?."dentaldigitalphotography.com. Digital Dental Photography, 31 Dec 2009. Web. 17 January 2013. <http://www.dentaldigitalphotography.com/2009/12/31/raw-or-jpeg-for-dental-photography/>.

perf. "The Best Dental photography video." N.p., 20 March 2011. web. 31 July 2013. <http://www.youtube.com/watch?v=p1YFG40iyMw>.

"Procedure II: Extraoral Photography." prenhall.com. Person Education. Web. 31 July 2013. <http://wps.prenhall.com/chet_tyler_comp_dentalassisting_1/145/37265/9540077.cw/content/index.html>.

Rosenberg, Warren. "How to Master Digital Dental Photography." ehow.com. Demand Media, Inc.. Web. 31 July 2013. <http://www.ehow.com/how_6783889_master-digital-dental-photography.html>.

"USB." wikipedia.org. Wikipedia®, 12 June 2013. Web. 31 July 2013. <http://en.wikipedia.org/wiki/USB>.

"Utilizing Intraoral Photography." osseonews.com. OsseoNews, Inc., 18 Mar 2005. Web. 31 January 2013. <http://www.osseonews.com/utilizing-intraoral-photography/>.

"What Is an Intraoral Camera?." wisegeek.com. Conjecture Corporation. Web. 31 July 2013. <http://www.wisegeek.com/what-is-an-intraoral-camera.htm>.

"What Does a Forensic Dentist Do?" wisegeek.com. Conjecture Corporation. Web. 31 July 2013. <http://www.wisegeek.com/what-does-a-forensic-dentist-do.htm>.

"What is an Intra-Oral Camera?" http://www.peterveremisdds.com/. N.p.. Web. 31 July 2013. <http://www.peterveremisdds.com/intra-oral-camera/index.html>.

About the Authors

Linda Kihs, CDA, EFDA, OMSA, MADAA

Linda is a current Certified Dental Assistant through the Dental Assisting National Board, a life member of the American Dental Assistants Association and is an Expanded Function Dental Assistant in the state of Oregon. Linda obtained her Oral Maxiofacial Surgery Assistant certification through the University of Southern California. Linda was the state of Oregon's first dental assistant to receive her Masters with the American Dental Assistant Association. Linda has worked in general chairside, endodontics, periodontics and as an instructor for the Dental Assisting Program at Linn-Benton Community College. Over the years, Linda has served in numerous positions at the local, state and national association levels, culminating with her term as Tenth District Trustee representing Oregon, Washington, Alaska, Montana, and Idaho. She has also assisted ADAA's Director of Education with construction of test questions for continuing education courses. Linda currently volunteers time assisting in oral surgery at the Free Dental Clinic in Salem, Oregon, when she is not line dancing or spending time with her two grandchildren Katie and Zachary.

Debra Engelhardt-Nash

Debra has presented workshops nationally and internationally for numerous study groups and major dental meetings. She has written for a number of dental publications and honored twice as author of the year for her contributions to dental journals.

Debra has been a guest instructor for the Central Piedmont Community College Dental Assisting Program, Medical College of Georgia School of Dentistry and Oregon Health Sciences Continuing Dental Education.

Debra is a founding member and served two terms as President of the National Academy of Dental Management Consultants. She is an active member of the American Dental Assistants Association and serves on the Board of the American Dental Assistants Association Foundation. Debra is also a member of the American Academy of Dental Practice Administration and a fellow in the International Academy of Dental Facial Esthetics.

Because of her contributions to the industry of dentistry, Debra received the Kay Mosley Distinguished Service Award given by the American Dental Assistants Association Foundation in 2008. It is their highest honor.

Figure 1 – Cannon 50D Camera

Figure 1

Figure 2 – Taking a Full Face View

Figure 2

Figure 3 – Full Face View

Figure 3

Figure 4 – Taking Portrait View

Figure 4

Figure 5 – Taking Front Smile View

Figure 5

Figure 6 – Front Smile View

Figure 6

Figure 7 – Taking a Right Smile View

Figure 7

Figure 8 – Taking a Left Smile View

Figure 8

Figure 9 – Left Smile View

Figure 9

Figure 10 – Cheek Retractors

Figure 10

Figure 11 – Placing Cheek Retractors

Figure 11

Figure 12 – Maxillary and Mandibular Teeth View

Figure 12

Figure 13 – Contrasting Background

Figure 13

Figure 14 – Maxillary Anterior View

Figure 14

Figure 15 – Maxillary Anterior Left View

Figure 15

Figure 16 – Maxillary Anterior Right View

Figure 16

Figure 17 - Using Contrast Paper

Figure 17

Figure 18 – Occlusal Mirror

Figure 18

Figure 19 – Taking Maxillary Arch View

Figure 19

Figure 20 – Maxillary Arch View

Figure 20

Figure 21 – Taking Mandibular Arch View

Figure 21

Figure 22 – Mandibular Arch View

Figure 22

CREDITS: 0
AGD CODE: 138 - Dental Photography
COST: $0
PROVIDER: American Dental Assistants Association
SOURCE: American Dental Assistants Association | July 2020

Learning Objectives:

  • Ascertain the different ways dental photography can enhance a practice.
  • Explain the difference between extra and intraoral cameras.
  • Understand how various specialties as well as general dentistry can utilize photography.
  • Be familiar with the parameters in obtaining good images.
  • Understand the step by step technique on exposing photographs.
  • Understand the importance of antemortem and postmortem photographs and how they play a part in forensic odontology.
  • Discuss and explain the five basic shots of extraoral photographs.
  • Be familiar with different means of camera disposal.

Disclosures:

The author reports no conflicts of interest associated with this work.

Queries for the author may be directed to justin.romano@broadcastmed.com.