CDEWorld > Courses > Xerostomia/Salivary Gland Hypofunction: Diagnosis and Management

CE Information & Quiz

Xerostomia/Salivary Gland Hypofunction: Diagnosis and Management

Susan L. Zunt, DDS, MS

January 2019 Course - Expires Wednesday, June 30th, 2021

Inside Dental Assisting

Abstract

The patient with xerostomia (sensation of dry mouth) or inadequate saliva (salivary gland hypofunction) may present with a wide range of clinical signs and symptoms affecting the oral cavity and systemic health. Recognition of these clinical presentations allows the dental healthcare professional to perform objective tests to identify the status of salivary gland function. Based on these results, recommendations for treatment using over-the-counter and prescription medications can be made. This article discusses clinical indications related to salivary gland hypofunction, testing methodologies, and treatment approaches.

You must be signed in to read the rest of this article.

Login Sign Up

Registration on CDEWorld is free. Sign up today!
Forgot your password? Click Here!

Salivary gland hypofunction, ie, inadequate saliva, may be caused by many conditions. Causes of or conditions associated with xerostomia, which is the sensation of dry mouth, and/or salivary hypofunction are wide ranging and include mouth breathing, smoking tobacco or marijuana, candidiasis, menopause, aging, dehydration, diabetes mellitus, radiation therapy, and a variety of other medical conditions (Table 1). Hundreds of prescription and over-the-counter (OTC) medications have induced salivary gland dysfunction as an adverse effect.1-4 Dry mouth tends to be a more frequent complaint in older individuals,5 and 80% of patients aged 60 years or older have complaints of oral dryness, burning mouth, and taste alterations if they are on medications, even with a normal salivary flow rate.6,7

Determining the cause of salivary gland hypofunction can include the use of laboratory blood testing for diabetes mellitus, hypothyroidism, Sjögren's syndrome, and other autoimmune diseases.8 Biopsy of accessory salivary glands in the lower lip can be used to identify causes of salivary gland hypofunction should blood tests yield normal results. Diseases such as Sjögren's syndrome, amyloidosis, and sarcoid may be identified on salivary gland biopsy.9-12

Clinical Features Associated With Salivary Gland Hypofunction

The patient with dry mouth or salivary gland hypofunction may present with a wide range of clinical signs or symptoms (Table 2). Clinical symptoms frequently develop when the salivary flow rate has decreased 50% or more.13 A patient with salivary gland hypofunction may have one or more of these signs and symptoms.

When salivary flow is reduced the saliva may be altered in texture. The saliva can be white, thick, frothy, sticky, stringy, or ropy. There can be a sensation of a film on the teeth or mucosa. Sometimes the patient will complain of too much saliva, because the reduced volume results in a thick saliva that feels like more saliva. Salivary flow rate measurements can determine if there is too much saliva (sialorrhea, >1 mL per minute). The average amount of saliva generated in 5 minutes is 2 mL to 3 mL. Typically, patients may notice oral dryness sensation or experience clinical signs of salivary gland hypofunction when the salivary flow rate is decreased by 50%.13

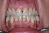
With reduced salivary flow, the mucosa can appear dry and even adhere to examination gloves, gauze, or mouth mirror. The lingual dorsum may exhibit fissures and elongation of the filiform papillae, often described as a coated or hairy tongue (Figure 1). Dental caries may be present, especially in the cervical areas or root caries (Figure 2). Small erythematous macules on the buccal mucosa represent bite marks, which are common with inadequate saliva (Figure 3). Gingivitis (Figure 4), gingival recession, and periodontal disease may be present.14,15

Administering the xerostomia inventory (XI) is a method of capturing and quantifying the impact of subjective alterations associated with dry mouth before and after treatment. The XI inventory includes 11 items (Table 3), and the patient scores each item: (1) Never, (2) Hardly ever, (3) Occasionally, (4) Fairly often, or (5) Very often. A score of 11 indicates mild xerostomia, while a score of 55 signifies severe xerostomia. A change of six or more points in the score indicates clinical significance of the treatment intervention.16,17 Several questions can be asked of the patient that have been reported to identify individuals with salivary gland hypofunction, even if they do not report feeling dry. These include: Does the amount of saliva in your mouth feel to be too little? Does your mouth feel dry when eating a meal? Do you sip liquids to aid in swallowing dry food? Do you have difficulty swallowing?18

Objective Testing

With a low salivary flow rate, patients may or may not feel dry in the mouth (xerostomia) but have other clinical features. Patients with a chief complaint of a dry mouth require an objective measurement of the resting salivary flow rate. It has been recommended that dental patients have baseline salivary flow rates measured on an annual basis.19,20

An important step in the evaluation of the patient who presents with any clinical sign or symptom of salivary gland hypofunction is to measure the unstimulated and stimulated salivary flow rates.21,22 Equipment needed for salivary gland measurement includes a tube, funnel, pH paper strips, and Schirmer tear test strips. A stimulated salivary flow rate can be measured after the patient chews paraffin for 1 minute or after a test dose of salivary stimulant medication has been administered. Completed testing of unstimulated whole salivary flow rate and submandibular flow is measured with Schirmer strips and pH strips before and after challenge with 5 mg pilocarpine.

The patient should fast for 2 hours before the measurement. The fast includes no food, beverage, chewing gum, tooth brushing, or flossing. The unstimulated salivary flow rate is taken with the patient sitting in the coachman's position on the edge of the dental chair perpendicular to the long axis with feet flat on the floor, arms resting on the legs and knees, and with the head and neck bowed. The patient holds a funnel and tube gently over his or her open lips, resting on the face. The eyes should remain open but can continue to blink. The unstimulated saliva should flow into the funnel and tube for 5 minutes, with a timer being used.

The volume of saliva collected in 5 minutes is divided by five to determine the salivary flow rate in millimeters per minute. The average salivary flow rate for healthy individuals can vary widely. The mean salivary flow rate for healthy individuals is about 0.3 mL/min to 0.4 mL/min. Therefore, if an individual with clinical signs of salivary gland hypofunction has a flow rate of less than 0.3 mL/min, this is consistent with salivary gland hypofunction.23 An individual with an unstimulated salivary flow rate of <0.1 mL/min has severe salivary gland hypofunction. The normal salivary pH is between 7 and 7.5, neutral to slightly alkaline. Salivary pH may be lower (more acidic) with salivary gland hypofunction. A low salivary pH can contribute to tooth erosion, mucosal irritation, and burning sensation. Salivary pH usually improves with increased flow rate.24 Calibrated paper techniques to measure salivary flow have been reported.25

Treatment

Saliva is a complex fluid containing many enzymes, proteins, and minerals that help maintain the health of the oral cavity and upper gastrointestinal tract.26 Establishing a normal salivary flow rate is the optimal treatment option. For individuals who cannot tolerate a salivary stimulant, artificial saliva and other lubricants can be helpful.

The patient with symptoms of dry mouth or salivary gland hypofunction can be treated with OTC or prescription medication or electrical stimulation. The treatment of xerostomia is the same regardless of the underlying disease process.27

The goals of treatment of salivary gland hypofunction are to relieve oral dryness symptoms, prevent the anticipated consequences of diminished saliva such as dental caries and oral candidiasis, stimulate salivary function, slow the loss of functional salivary gland tissue, and promote the repair of salivary gland tissue.28 To date it has been suggested that use of a salivary stimulant medication will slow the progressive loss of salivary gland functional tissue in autoimmune disease. Rituximab has been shown to reverse salivary gland injury in Sjögren's syndrome.29,30 OTC dietary supplement coenzyme Q10, 100 mg daily for 1 month, has been shown to increase salivary flow and reduce dry mouth symptoms in patients with salivary gland hypofunction.31

The treatment for medication-induced oral dryness is the same as for oral dryness caused by other conditions. Medication-related dry mouth is often reversible if medication can be eliminated or changed; however, for many patients with chronic illnesses such as hypertension the physician cannot eliminate or change the medication. Most causes of salivary gland hypofunction are chronic, may progressively worsen over time even with treatment, and are noncurable. Symptoms may be able to be controlled with prescription secretagogues, pilocarpine, or cevimeline, with or without other strategies depending on the amount of residual salivary gland function present.

Future interventions for salivary gland dysfunction may include gene therapy, stem cell therapy, or tissue engineering.32 For now, however, the principles of treatment include: normalize/optimize salivary flow rate, hydrate adequately, and add lubrication if needed.

Normalize/Optimize Salivary Flow Rate

Ideally, the treatment of salivary gland hypofunction should re-establish a normal salivary flow and physiologic function. A treatment option to establish an improved baseline salivary flow rate is the regular use of salivary stimulant medication (eg, sialogogues, secretagogues). These medications improve the baseline salivary flow rate, but they do not improve physiologic response to functional challenges. Improving the baseline salivary flow reduces the risk of developing oral candidiasis and improves quality of life. Improved salivary flow rate often can be established with stimulation of salivary glands by taking pilocarpine 5-mg to 7.5-mg tablet three to four times daily or cevimeline 30-mg to 60-mg capsule three times daily. Pilocarpine and cevimeline are salivary stimulating medications (sialogogues, secretagogues) approved by the US Food and Drug Administration (FDA) for the treatment of dry mouth. The medications are muscarinic agonists. They increase the salivary flow and decrease the oral sensation of dryness. The most common side effects include sweating, flushing, urinary frequency, and gastrointestinal discomfort. These medications cannot be taken with uncontrolled asthma, narrow angle glaucoma, and acute iritis. They should be used with caution in patients with significant cardiovascular disease, Parkinson's disease, asthma, or chronic obstructive pulmonary disease.33

Pilocarpine and cevimeline are cholinergic agonists that stimulate muscarinic-type receptors in salivary glands and, to some extent, other exocrine glands. The onset of action of pilocarpine is usually 20 to 30 minutes, with duration of action 3 to 5 hours, and no residual effect. The pilocarpine works quickly, spiking saliva production, then decreases with each dose. Sweating and/or a hot flash with pilocarpine may occur with the onset of action. Taking pilocarpine with a glass of water 20 to 30 minutes prior to a meal will help to produce saliva to enable the patient to taste and make food easier to chew and swallow. Taking the last dose at bedtime can be helpful for those patients who have severe dryness while sleeping. Cevimeline's onset of action takes 30 to 90 minutes and lasts 6 to 8 hours. There is a residual effect, and over time there is a more even elevation of the salivary flow rate.34,35

When starting a salivary stimulant medication, the patient may be aware of swallowing more often. Swallowing rate decreases with salivary hypofunction and increases with re-establishment of an improved salivary flow rate. Normal swallowing rate on average is approximately 2,000 times per day.36

Prescription artificial saliva is available to replace saliva in patients who are unable to produce saliva or enough saliva with a salivary stimulant, or for patients who cannot tolerate a salivary stimulant. Prescription supersaturated calcium phosphate rinse artificial salivas include Caphosol (EUSA Pharma, eusapharma.com), NeutraSal® (OraPharma, neutrasal.com), and SalivaMAX (Forward Science, SalivaMAX.com); Aquoral® (Mission Pharmacal, aquoral.com) is a prescription artificial saliva that provides relief from dry mouth due to certain diseases, medication use, inflammation, medication, chemo- or radiotherapy, stress, or aging. The latter product relieves symptoms of dry mouth such as difficulties with swallowing, speech, and changes in taste.

Hydrate

Adequate hydration is required to optimize salivary flow. Dehydration is associated with diminished salivary flow. When the body loses 8% of its water content, approximately 4 liters, the salivary flow rate decreases to virtually zero.37 Salivary function does not return to normal in 24 hours, even after rehydration.38 Drinking 64 to 80 ounces of non-caffeine, non-alcoholic beverages daily is typically adequate for many patients. Another method to estimate the amount of adequate daily beverage intake is to divide the patient's weight in pounds by two; this will establish the number of ounces of non-caffeine, non-alcoholic beverage to drink daily.

Lubricate

Because salivary stimulant medications do not restore physiologic function, patients on salivary stimulant medication may find they need additional lubrication for speaking at length or comfort. A wide variety of lubricants are available over the counter (Table 4). Patients can be encouraged to try new products to find those that work best for them. Rinsing frequently with salt water or salt water (1/2 teaspoon) and bicarbonate of sodium (1/2 teaspoon) in 8 ounces of water can be cleansing and increase comfort by neutralizing acids and removing debris. A drop of mineral oil or glycerine placed on the tongue can be spread on the oral mucosa to improve comfort. Other suggestions for patient self-care include drinking more water; chewing sugar-free gum; tooth brushing and flossing twice daily; having regular dental care; avoiding tobacco, which is drying; and avoiding caffeine and alcohol, both of which are dehydrating.

Stimulation of Salivary Flow

Electrical Stimulation

Transcutaneous electric nerve stimulation (TENS) placed on the skin overlying the parotid glands for 5 minutes increased salivary flow in 68% of patients tested in one study39 and 81% in another study.40 TENS units are available over the counter. An FDA-approved electrical salivary stimulating intraoral appliance has been shown in clinical trials to be effective in stimulating salivary flow.41,42 A "pen" unit, a small handheld portable medical device that uses electrical impulses to stimulate saliva, has been approved and is available in Europe and Australia but has not yet been submitted for US FDA approval.

Behavioral Changes

Advice to dental patients with dry mouth may include recommendations for behavioral changes. Such changes can include drinking more water, increasing the use of topical fluoride products and OTC rinses, chewing sugar-free gum, and using dry-mouth toothpastes and saliva substitute gels, sprays, lozenges, oral patches, and melts.43 There are many OTC mouth rinses, sprays, gels, and lozenges to temporarily improve oral dryness (Table 4). These products can be used as often as needed. They do not interfere or react with prescription medications and, in general, do not have side effects unless an individual is sensitive to an ingredient, such as an artificial sweetener that may cause gastrointestinal distress.44-46 Studies have shown that patients prefer using a salivary stimulant medication over saliva substitutes.47-50

There are a number of other suggestions clinicians can give to patients to help with salivary gland hypofunction or xerostomia. To reduce dry mouth symptoms, patients can use sugarless gum and lozenges, rinse with diluted warm salt water, allow small ice chips to melt in the mouth, and take frequent sips of water. Chewing stimulates salivary flow. Eating certain foods daily such as raw carrots can help stimulate salivary flow.51 Cigarettes, alcohol, caffeine, and spicy, salty, or acidic food should be avoided, as should refined carbohydrates (sugar) in the diet.

Individuals with dry mouth require scrupulous oral hygiene, tooth brushing, and flossing daily. Fluoride toothpaste, fluoride gels, and dental floss should be used daily. If dental caries develop despite daily use of topical fluoride, a soft acrylic carrier can be constructed for nighttime use of fluoride gels. Moisturizing gels can be used once or twice per hour while awake for maximum comfort and can be used under intraoral prostheses/appliances.

Summary

Patients with xerostomia or salivary gland hypofunction can be identified through recognition of clinical signs and symptoms and objective saliva tests. Current treatment options include OTC and prescription products to ameliorate the symptoms and prevent oral damage. These include salivary stimulant medications; artificial saliva; lubricating rinses, sprays, gels, and lozenges/discs; and electrical salivary gland stimulation. Interventions such as gene therapy, stem cell therapy, or tissue engineering may be forthcoming for the treatment of salivary gland dysfunction.

About the Author

Susan L. Zunt DDS, MS

Professor of Oral Pathology and Chair, Oral Pathology, Medicine & Radiology, Indiana University School of Dentistry, Indianapolis, Indiana

Queries to the author regarding this course may be submitted to authorqueries@aegiscomm.com.

References

1. Guggenheimer J, Moore PA. Xerostomia: etiology, recognition and treatment. J Am Dent Assoc. 2003;134(1):61-69.

2. Porter SR, Scully C, Hegarty AM. An update of the etiology and management of xerostomia. Oral Surg Oral Med Oral Pathol Oral Radiol Endod. 2004;97(1):28-46.

3. Närhi TO, Meurman JH, Ainamo A. Xerostomia and hyposalivation: causes, consequences and treatment in the elderly. Drugs Aging.1999;15(2):103-116.

4. Wolff A, Joshi RK, Ekstrom J, et al. A guide to medications inducing salivary gland dysfunction, xerostomia, and subjective sialorrhea: a systematic review sponsored by the World Workshop on Oral Medicine VI. Drugs R D. 2017;17(1):1-28.

5. Han P, Suarez-Durall P, Mulligan R. Dry mouth: a critical topic for older adult patients. J Prosthodont Res. 2015;59(1):6-19.

6. Nagler RM, Hershkovich O. Relationships between age, drugs, oral sensorial complaints and salivary profile. Arch Oral Biol. 2005;50(1):7-16.

7. Ship JA, Pillemer SR, Baum BJ. Xerostomia and the geriatric patient. J Am Geriatr Soc. 2002;50(3):535-543.

8. Huo AP, Lin KC, Chou CT. Predictive and prognostic value of antinuclear antibodies and rheumatoid factor in primary Sjögren's syndrome. Int J Rheum Dis. 2010:13(1):39-47.

9. Daniels TE. Labial salivary gland biopsy in Sjögren's syndrome: assessment on a diagnostic criterion in 362 suspected cases. Arthritis Rheum.1984;27(2):147-156.

10. Stewart SM, Bhattacharyya I, Berg K, et al. Labial salivary gland biopsies in Sjögren's syndrome: still the gold standard? Oral Surg Oral Med Oral Pathol Oral Radiol Endod. 2008;106(3):392-402.

11. Al-Hashimi I, Drinnan AJ, Uthman AA, et al. Oral amyloidosis: two unusual case presentations. Oral Surg Oral Med Oral Pathol. 1987;63(5):586-591.

12. Mansour MJ, He C, Al-Farra ST, et al. Sarcoidosis and Sjögren's syndrome: clinical and salivary evaluation. J Oral Pathol Med. 2013;42(8):594-599.

13. Ship JA, Fox PC, Baum BJ. How much saliva is enough? ‘Normal' function defined. J Am Dent Assoc. 1991:122(3):63-69.

14. Bruce SD. Radiation-induced xerostomia: how dry is your patient? Clin J Oncol Nurs. 2004;8(1):61-67.

15. Zunt SL. The importance of saliva. Dimensions of Dental Hygiene. 2006;4(1):26-29.

16. Thomson WM, Chalmers JM, Spencer AJ, Williams SM. The xerostomia inventory: a multi-item approach to measuring dry mouth. Community Dent Health. 1999;16(1):12-17.

17. Thomson WM. Measuring change in dry-mouth symptoms over time using the xerostomia inventory. Gerodontology. 2007;24(1):30-35.

18. Fox PC, Busch KA, Baum BJ. Subjective reports of xerostomia and objective measures of salivary gland performance. J Am Dent Assoc. 1987;115(4):581-584.

19. Scully C, Bagan J, Carrozzo M, et al. Pocketbook of Oral Disease. London, UK: Churchill Livingstone; 2012:371-372.

20. Sreebny LM, Vissink A. Dry Mouth: The Malevolent Symptom: A Clinical Guide. Hoboken, NJ: Wiley-Blackwell; 2010:35,43.

21. Löfgren CD, Wickström C, Sonessson M, et al. A systemic review of methods to diagnose oral dryness and salivary gland function. BMC Oral Health. 2012;12:29.

22. Zunt S. Evaluation of the dry mouth patient. Alpha Omegan. 2007;100(4):203-209.

23. Dawes C. Factors influencing salivary flow rates and composition. In: Edgar M, Dawes C, O'Mullane D, eds. Saliva and Oral Health. 4th ed. London, UK: Stephen Hancocks Limited; 2012:37-49.

24. Welton H. Introduction: the anatomy and physiology of salivary glands. In: Edgar M, Dawes C, O'Mullane D, eds. Saliva and Oral Health. 4th ed. London, UK: Stephen Hancocks Limited; 2012:11.

25. Fontana M, Zunt S, Eckert GJ, Zero D. A screening test for unstimulated salivary flow measurement. Oper Dent. 2005;30(1):3-8.

26. Pedersen AM, Bardow A, Jensen SB, Nauntofte B. Saliva and gastrointestional functions of taste, mastication, swallowing and digestion. Oral Dis. 2002;8(3):117-129.

27. Chambers MS, Artopoulou II, Garden AS. Xerostomia. In: Myers EN, Ferris RL. Salivary Gland Disorders. New York, NY: Springer; 2007:221.

28. Wallace DJ, Bromet EJ. The New Sjögren's Syndrome Handbook. 3rd ed. New York, NY: Oxford University Press; 2005:125.

29. Pijpe J, Meijer JM, Bootsma H, et al. Clinical and histologic evidence of salivary gland restoration supports the efficacy of rituximab treatment in Sjögren's syndrome. Arthritis Rheum. 2009;60(11);3251-3256.

30. Meijer JM, Pijpe J, Vissink A, et al. Treatment of primary Sjögren syndrome with rituximab: extended follow-up, safety and efficacy of retreatment. Ann Rheum Dis. 2009;68(2):284-285.

31. Ryo K, Ito A, Takatori R, et al. Effects of coenzyme Q10 on salivary secretion. Clin Biochem. 2011;44(8-9):669-674.

32. Quock RL. Xerostomia: current streams of investigation. Oral Surg Oral Med Oral Pathol Oral Radiol. 2016;122(1):53-60.

33. Sreeny LM, Vissink A. Dry Mouth: The Malevolent Symptom: A Clinical Guide. Hoboken, NJ: Wiley-Blackwell; 2010:194.

34. Zunt SL. Improving salivary flow, letter to the editor. J Am Dent Assoc. 2015;146(6):360.

35. Zunt SL. Re-establishing a normal salivary flow. Dimensions of Dental Hygiene. 2006;4(5):30,32.

36. Rudney JD, Ji Z, Larson CJ. The prediction of saliva swallowing frequently in humans from estimates of salivary flow rate and the volume of saliva swallowed. Arch Oral Biol. 1995;40(6):507-512.

37. Dawes, C. Factors influencing salivary flow rate and composition. In: Edgar M, Dawes C, O'Mullane D, eds. Saliva and Oral Health. 4th ed. London, UK: Stephen Hancocks Limited; 2012:38-39.

38. Ship JA, Fischer DJ. The relationship between dehydration and parotid salivary gland function in young and older healthy adults. J Gerontol A Biol Sci Med Sci. 1997;52(5):M310-M319.

39. Hargitai IA, Sherman RG, Strother JM. The effects of electrostimulation on parotid saliva flow: a pilot study. Oral Surg Oral Med Oral Pathol Oral Radiol Endod. 2005;99(3):316-320.

40. Aggarwal H, Pal-Singh M, Mathur H, et al. Evaluation of the effect of transcutaneous electrical nerve stimulation (TENS) on whole salivary flow rate. J Clin Exp Dent. 2015;7(1):e13-e17.

41. Alajbeg I, Falcão DP, Tran SD, et al. Intraoral electrostimulator for xerostomia relief: a long-term multicenter open-label uncontrolled clinical trial. Oral Surg Oral Med Oral Pathol Oral Radiol. 2012;113(6):773-781.

42. Strietzel FP, Lafaurie GI, Mendoza GR, et al. Efficacy and safety of an intraoral electrostimulation device for xerostomia relief: a multicenter randomized trial. Arthritis Rheum. 2011;63(1):180-190.

43. Dry mouth. Clinicians Report. 2016;9(3):1,4-5.

44. Ship JA, McCutcheon JA, Spivakovsky, Kerr AR. Safety and effectiveness of topical dry mouth products containing olive oil, betaine and xylitol in reducing xerostomia for polypharmacy-induced dry mouth. J Oral Rehabil. 2007;34(10):724-732.

45. Wiegand A, Gutsche M, Attin T. Effect of olive oil and an olive-oil-containing fluoridated mouthrinse on enamel and dentin erosion in vitro. Acta Ocontol Scand. 2007;65(6):357-361.

46. De Rossi SS, Thoppay J, Dickinson DP, et al. A phase II clinical trial of a natural formulation containing tea catechins for xerostomia. Oral Surg Oral Med Oral Pathol Oral Radiol. 2014;118(4):447-454.

47. Björnström M, Axéll T, Birkhed D. Comparison between saliva stimulants and saliva substitutes in patients with symptoms related to dry mouth. A multi-centre study. Swed Dent J. 1990;14(4):153-161.

48. Stewart CM, Jones AC, Bates RE, et al. Comparison between saliva stimulants and a saliva substitute in patients with xerostomia and hyposalivation. Spec Care Dentist. 1998;18(4):142-148.

49. Davies AN, Daniels C, Pugh R, Sharma K. A comparison of artificial saliva and pilocarpine in the management of xerostomia in patients with advanced cancer. Palliat Med. 1998;12(2):105-111.

50. Brimhall J, Jhaveri MA, Yepes JF. Efficacy of cevimeline vs. pilocarpine in the secretion of saliva: a pilot study. Spec Care Dentist. 2013;33(3):123-127.

51. Eat fruits and veggies for a healthy smile. University of Illinois at Chicago College of Dentistry website. https://dentistry.uic.edu/patients/healthy-foods-fruits-veggies. Accessed May 4, 2018.

Fig 1. White-tan elongated filiform papillae present in a patient with no saliva collected in 5 minutes. Mouth malodor also present.

Figure 1

Fig 2. Caries-related tooth loss, dental caries, and abundant dental plaque present in a patient with no salivary flow in 5 minutes.

Figure 2

Fig 3. Flat red macules due to cheek biting or nipping present in a patient due to inadequate salivary lubrication.

Figure 3

Fig 4. Mild gingivitis present in a patient with severe salivary gland hypofunction.

Figure 4

Table 1

Table 1

Table 2

Table 2

Table 3

Table 3

Table 4

Table 4

CREDITS: 0
AGD CODE: 250 - Restorative Dentistry
COST: $0
PROVIDER: Conexiant Education
SOURCE: Compendium of Continuing Education in Dentistry | January 2019

Learning Objectives:

  • Describe clinical signs and symptoms associated with salivary gland hypofunction
  • Perform objective testing to determine salivary flow rate
  • Recommend management approaches and discuss treatment goals for patients with salivary gland hypofunction

Author Qualifications:

Professor of Oral Pathology and Chair, Oral Pathology, Medicine & Radiology, Indiana University School of Dentistry, Indianapolis, Indiana

Disclosures:

The author reports no conflicts of interest associated with this work.

Queries for the author may be directed to justin.romano@broadcastmed.com.