CDEWorld > Courses > Oral Piercings: Implications for Dental Professionals

CE Information & Quiz

Oral Piercings: Implications for Dental Professionals

Patricia A. Frese, RDH, MEd

May 2018 Course - Expires Friday, January 15th, 2021

Procter & Gamble

Abstract

Oral and perioral piercings are increasingly popular. Patients will present with such body modifications and dental professionals need certain skills and knowledge to adequately treat them. This course will explore types of oral piercings, oral jewelry selection, post piercing healing and care and dental management. Other topics include educating the patient considering a piercing and choosing a professional piercer.

You must be signed in to read the rest of this article.

Login Sign Up

Registration on CDEWorld is free. Sign up today!
Forgot your password? Click Here!

Disclaimer: Participants must always be aware of the hazards of using limited knowledge in integrating new techniques or procedures into their practice. Only sound evidence-based dentistry should be used in patient therapy.

Introduction

The goal of this course is to provide dental team members with the knowledge and skills necessary to appropriately treat the patient with oral piercings.

Overview

Oral and perioral piercings are increasingly popular. Patients will present with such body modifications and dental professionals need certain skills and knowledge to adequately treat them. This course will explore types of oral piercings, oral jewelry selection, post piercing healing and care and dental management. Other topics include educating the patient considering a piercing and choosing a professional piercer.

Definition of Oral Piercing

Oral piercing is defined as the cosmetic piercing of the oral cavity for the insertion of objects such as rings, studs or pins where both ends of the jewelry are confined to the oral cavity.2,13,21 A needle is inserted to create an opening through which a decorative ornament may be worn (Figure 1).9

Oral piercings may also include the perioral area such as cheeks, nose and eyebrows. Perioral piercings are piercings where one end of the jewelry is intraoral and the other end penetrates the skin surface of the cheeks, upper/lower lip or the chin.2 An additional oral modification includes tongue splitting where the tongue is divided into 2 lateral halves, creating a ‘forked' appearance.2,3,20 The tongue is the most common oral piercing site, followed by lips (including the labiomental groove and the philtrum), cheeks, lingual or maxillary labial frenum or some combination. Rarely, the uvula may be pierced.24 The uvula is seldom pierced as it is difficult to perform the piercing as well as place the jewelry. There are concerns with aspiration or swallowing of the jewelry both during the piercing process and subsequent wearing of the jewelry. Issues such as the gag reflex, throat irritation, risk of nausea and interference with swallowing also contribute to the rarity of uvula piercing (Figure 2).11,19

There are two types of tongue piercings: the dorsoventral and the dorsolateral.21 The dorsoventral tongue piercing is the most common and safer as it generally avoids most major blood vessels. The tongue is pierced in the midline just anterior to the lingual frenum and the jewelry is generally worn so there is a sphere on both the dorsal and ventral surfaces of the tongue (Figure 3).

The dorsolateral tongue piercing is not a safe procedure due to the tongue's vascularity and is generally not performed by professional piercers. In this piercing, the 2 spheres of the jewelry are both on the dorsum of the tongue, close to the lateral borders and about half way anteroposteriorly. The curved barbell between the spheres curves ventrally and resurfaces dorsally (Figure 4).

The placement of a piercing may contribute to the name of the piercing.24 The labret is on the lower lip just above the labiomental crease (Figure 5).

A piercing on the upper lip, off center and resembling a beauty mark for which these women are known, includes the Madonna, on the right side, and the Monroe, on the left side (Figure 6).

A Medusa piercing is in the philtrum of the upper lip, centered and just below the nose (Figure 7).

A Smiley piercing pierces the maxillary labial frenum (Figure 8), a Frowny pierces the mandibular labial frenum (Figure 9) and a Web pierces the mandibular lingual frenum (Figure 10).

A Rhino piercing goes through the tip of the nose, and the result resembles a rhino horn (Figure 11).

Brief History and Current Popularity

Various forms of body modification including piercing have been practiced in almost every society throughout history.21 Preserved bodies of people who lived 4000 to 5000 years ago have piercings. Anthropologists consider body modification to be a way for an individual to identify with a group (religious, tribe or gang), denote financial or marital status or beautify the body.11 To demonstrate courage or virility, Egyptian pharaohs pierced their navels, Roman soldiers pierced their nipples and Mayans pierced their tongues.11,17 As a rite of passage into puberty, Eskimos and Aleuts pierced the lower lips of boys. As part of a purification ritual, they pierced the lips of infant females. A variety of materials have been used as jewelry: wood, metal, pottery, ivory, bone and stone. The introduction of Christian influences led to a decrease in the cultural practice of piercing.9

Recent years, beginning in the late 1980s, have seen a renewed popularity as well as social acceptance, especially in young adults.5,24 Motivations to obtain a piercing include expression of individuality, body beautification, fashion statement, pleasure, physical endurance, group affiliations, resistance, spiritual or cultural tradition or sexual motivation (Figure 12).2,9,18,24,26

The average prevalence of oral piercings is estimated to be 5.2% with a high prevalence in women. Geography, groups participating in the study and differing definitions of a piercing create a range of 0.8-12%.

Types of Oral Piercing Jewelry

The size and shape of jewelry is usually determined by the body part being pierced.24 Shapes of jewelry for oral piercings include studs (Figure 13), a metal stem with a sphere on one end and a smooth flat disk on the other; closed rings (Figure 14) also called seamless rings; unclosed rings (also called circular barbells or horseshoes) which may have a sphere at one or both ends (Figure 15); and barbells, where the stem may be curved or straight and has a sphere on each end (Figure 16).18,19 A magnetic force 10 times the force of a conventional magnet may hold the parts of a stud together although internally threaded jewelry is used more often.19 Internal threading, where the head/sphere screws into the post over external threading, where the head/sphere screws onto the post, is preferred as it provides a cleaner, smoother, less traumatic surface especially with movement of the jewelry (Figure 17).19

Preferred materials for quality jewelry during the initial healing period include implant grade stainless steel, titanium and niobium. After the initial healing period, jewelry of 14K or higher gold, platinum or non-reactive, inert plastics like Tygon® or Teflon® may also be acceptable.9,13 Avoid metal alloys containing nickel due to the potential for allergic reactions. Sterling silver jewelry typically does not contain nickel but can cause discoloration of the surrounding area. Most plastic or acrylic jewelry is too porous and can, therefore, harbor bacteria and is not recommended for routine wear.9,13 These may be the materials of choice for temporary jewelry use to keep the piercing site open during procedures such as radiographs where metal jewelry would interfere with image quality (Figure 18). Temporary plastic jewelry is also known as a ‘retainer.'

Choosing a shiny finish, over a matte finish, is preferred as it is generally cleaner and less traumatic. Jewelry that comes with a lifetime guarantee is generally of better quality and is, therefore, preferred. Materials such as stone, bone and ivory were used in antiquity but are rarely used today except in certain cultures.21

Complications of Oral Piercings

When a person is considering getting a piercing, they should be made aware they are exposing themselves to danger and there are risks to getting a piercing. The oral cavity is a warm, moist environment that contains millions of bacteria. These bacteria can then be transmitted to others without proper infection control measures or can migrate through the piercing wound into the bloodstream with multiple consequences. These and other complications from oral piercings can be categorized into 4 types:8,24,26

1. Complications that can occur at any time.

2. Complications that occur during the initial procedure of piercing.

3. Primary post-operative complications (short-term complications) that occur immediately following the piercing.

4. Secondary post-operative complications (long-term complications) that occur over time.

Complications that can occur at any time include:

Transmission/development of Hepatitis B, C, D, E, G; tetanus; tuberculosis; herpes simplex; Epstein-Barr; HIV/AIDS; candidiasis; endocarditis; Ludwig's Angina; brain abscess; cellulitis; bacteremia; infection at the piercing site (Figure 19).3,8,21,22 
Allergic reactions.22
All or part of the jewelry can come loose, resulting in choking, aspiration or swallowing. Patients have reported swallowing jewelry more than once.24 
Jewelry may interfere with speaking, chewing, or swallowing and may require adaptation to the placement.20
The need to remove jewelry that can interfere with diagnostic and therapeutic procedures. X-ray, ultrasound, and CAT and MRI images may be distorted by metal jewelry. Ferromagnetic jewelry could move and cause injury during an MRI. Electrical burns could occur during defibrillation or the use of electrocautery devices. Orofacial piercings worn during the administration of inhalation anesthesia could result in swallowing or aspiration, bleeding, trauma and edema. Hypoxia, laryngospasm and tongue bleeding have been reported after endotracheal intubation when tongue piercing jewelry was present. These occurrences demonstrate the importance of removing jewelry prior to such procedures.13
Remove jewelry when wearing a mouth guard, which should be worn when participating in sports, especially contact sports. The increased blood flow, respiration rate and chance of bleeding from a contact injury increase the chance of infection in athletes. During sporting contact, jewelry can be dislodged and potentially inhaled. The jewelry may prevent proper fit and function of the mouth guard resulting in increased salivation which could lead to gagging, or inhibition of breathing or speech.1

Complications that may occur during the initial piercing procedure include:

Loss of consciousness or other medical emergency.24
Bruising, swelling, tenderness, and bleeding.9
The piercer's lack of anatomical knowledge combined with poor pain control may cause a need to perform the procedure swiftly. This can lead to poor position of the piercing/ jewelry.24

Primary post-operative complications may include:

Bruising, swelling, tenderness, bleeding and serous drainage.9 
Nerve damage.21 
Prolonged bleeding.13
Excessive salivation/drooling.13 
Increased plaque/calculus formation (Figure 20).2 
Dentinal hypersensitivity.4 
Gingival inflammation.2 
Impaired/metallic taste.18 
Leaking of intraoral fluids through the piercing tract.13
Chemical burns from improper use of post-piercing care products.1 
Jewelry that is too small can cut off blood supply or cause ‘nesting' in the tissue, causing the need for surgery.18,24
Too large/heavy jewelry can tear/traumatize the tissue as well as lead to more plaque/ calculus accumulation.14,18,24 

Secondary post-operative complications may include:

Over-scarring or the formation of keloids which may subside when the piercing is permanently removed or may require surgery.24
Pulpal sensitivity from galvanic currents.3
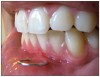
Gingival recession/overgrowth (Figure 21).2,16,17
Chronic poor oral hygiene, heavy smoking and porous jewelry material can cause a shift from bacteria with a moderate periodontopathogenic potential to bacteria with a high periodontopathogenic potential.11
Periodontitis.9
Periodontal/periapical abscesses.9 
Tooth abrasion/mobility/fracture/loss (Figure 22).17,26
Diastema or misaligned teeth.6,7
Damage to restorations/fixed porcelain prostheses.3
Deaths from herpes simplex, hepatitis and multiple brain abscesses associated with tongue piercing.12,15

Aftercare for Piercings

The average healing period for oral piercings varies from 1-6 months with 2-4 months being more typical. Unexpected or exacerbated reactions or delayed healing may extend the healing beyond 6 months.9,24

A quality piercing establishment will give post piercing instructions both verbally and in writing. A comprehensive brochure has been produced by the Association of Professional Piercers (APP) and can be viewed and downloaded from their website, www.safepiercing.org. Highlights from the brochure include the following:

What to expect during the first 3-5 days:

• Significant swelling
• Light bleeding
• Bruising 
• Tenderness 
• Light secretion of a clear serous fluid (not pus) 

To reduce swelling:

Allow ice chips to melt in the mouth.
Use an over-the-counter non-steroidal anti-inflammatory drug (NSAIDS) according to package directions. This will help with pain control as well.
Don't speak or move the jewelry more than necessary.

In case of bleeding:

For light bleeding, press the area with a clean cloth.
Seek medical help if the bleeding does not stop.

Cleaning:

Use an antimicrobial or antibacterial mouth rinse, preferably alcohol-free, or a saline rinse. Swish for 30 seconds 4-5 times daily, especially after meals and at bedtime.
Wash hands thoroughly prior to cleaning or touching the jewelry or surrounding area.
Apply a saline soaked gauze 2-3 times daily for 5-10 minutes, rinsing carefully afterwards to remove any residue.
While showering, use a small amount of mild soap to clean the jewelry and the piercing. Once a day for no more than 30 seconds is recommended. Rinse thoroughly to remove any soap residue.
Dry carefully with a clean disposable paper product. Reusable items can harbor bacteria. Woven cloth items could snag the jewelry and cause injury. 

Infection:

Signs of infection may include:
  Yellow or green discharge - white or clear is normal.
  Thick, dark tissue that builds up around the piercing site
  Increased redness, pain, swelling, bleeding, or any tearing.
  Low grade, persistent fever.
If you suspect an infection:
  Seek professional care.
  Keep quality jewelry or inert plastic in place to encourage drainage.
  Removing the jewelry will allow surface healing that could trap the infection and result in an abscess.

Eating:

Avoid:
  Alcohol.
  Very hot foods.
  Hard or sticky foods - mashed potatoes, oatmeal, etc. can stick to the mouth and jewelry. 
Take small bites.
Cold foods and beverages are soothing and help reduce swelling.
With a tongue piercing, keeping the tongue level in the mouth can reduce the possibility of the jewelry getting caught between the teeth.
For cheek and lip piercings, don't open the mouth too wide as the jewelry can catch on teeth.

Wearing jewelry:

After the swelling has subsided, it is essential to change the original, longer jewelry to shorter jewelry to avoid damage. This change usually occurs during healing and should be done by a professional piercer. 
With clean hands or a disposable cloth, regularly check the threaded ends of the jewelry and retighten as necessary.
Carry clean, spare jewelry in case of breakage or loss.
The professional piercer can recommend a non-metal alternative in the event the jewelry needs to be removed temporarily for a medical or dental procedure.
Do not remove the jewelry for an extended period of time unless closure of the piercing is desired. Even piercings that have been healed for years can begin to close. With this partial closing, replacing the jewelry could result in re-piercing and the associated post-piercing issues.
Should you desire to permanently remove the jewelry, continuing caring for the piercing site. This should minimize scaring. Excess scarring can be unaesthetic, collect food debris or cause pain when the scar is pressed.

What to avoid:

The use of aspirin or NSAIDS for 7 days after the piercing, if heavy bleeding is present.
Playing with the jewelry. Cracks and fractures of the teeth caused by clicking, tapping, or rubbing the jewelry on the teeth occur so frequently the Academy of General Dentistry (AGD) calls them ‘wrecking ball fractures.'
All tobacco products.
Recreational drug use.
Chewing gum, fingernails, pencils/pens, earpieces of glasses/sunglasses, and other foreign objects that can harbor bacteria.
Sharing cups, plates and eating utensils.
Public water sources such as pools, lakes and hot tubs.
Hydrogen peroxide or makeup/personal care/beauty products.
Antibacterial/antibiotic ointments as they are heavy, block air circulation, attract/retain dirt/debris and are not shown to positively affect healing or scar development.

Dental Implications and Recommendations for the Dental Team

A patient with an oral piercing may present for treatment. Having the knowledge and skills to treat such a patient will provide for a better treatment experience. Asking about oral piercings (and any complications) on the medical or dental history will alert you to the presence of oral piercings.9,25

If a patient has a new, unhealed piercing, recall this is essentially an open wound and, therefore, a conduit for infection.9 Consider reappointing the patient far enough in the future to assure the piercing is completely healed. Remind the patient to follow aftercare instructions and provide them, if necessary. The APP's aftercare brochure is downloadable at www.safepiercing.org.

The oral exam should include inspection of jewelry and the surrounding area.9 Have the patient remove jewelry to avoid catching on the jewelry or having it interfere with a complete oral inspection or any radiographic procedures.13 For panoramic radiographs, all jewelry should be removed above the neck. Cheek and labret jewelry should be removed for periapicals and bitewing radiographs because of their location in relation to film placement and tube head. The need for jewelry removal during local anesthesia is at the discretion of the oral healthcare professional. The mandibular block is one injection for which tongue jewelry removal may be prudent. When the tongue is anesthetized, there is increased possibility for tooth damage from the jewelry until the anesthesia has completely disappeared.19 Consider having sterile, non-metal temporary type jewelry (sometimes called retainers) available or asking the patient to bring to avoid having the piercing tract begin to close (Figure 18).

During the oral exam, observe for signs of complications listed in Table 1. Remind the patient clicking, tapping, rubbing or biting the jewelry should be avoided. Jewelry that is properly fitted and tightened is also important to avoid long-term damage.

Offer instructions on home care for the piercing. The oral exam may offer ideas for individualized instruction and the following suggestions may provide general guidelines:

A clean, soft-bristled toothbrush (regularly replaced and properly stored) should be used to gently clean the jewelry and surrounding area. As healing is complete, the jewelry can be removed for more thorough cleaning. Consider having a toothbrush used only for cleaning the jewelry.11

Brush teeth and tongue and use a non-alcohol or saline rinse after every meal.
Floss daily.
Avoid clicking the jewelry against the teeth or gums.4
With clean hands, check the tightness of jewelry to avoid choking, swallowing or inhaling dislodged jewelry.24
Remove the jewelry and wear a mouth guard when participating in sports.1
Know and look for signs of infection or other complications.
Routine dental care both at home and professionally is important for optimum oral health.
Provide written information.

It is a good idea to have at least a basic working knowledge of how to remove oral piercing jewelry. In the event of an emergency, the jewelry could interfere with emergency procedures and the patient may be unable to remove the jewelry for themselves. The APP's brochure "Jewelry for Healed Piercings" is available from www.safepiercing.org and is a good reference. A sample of removal techniques are presented here. Occasionally a specialized tool is needed to remove an oral piercing. Having a sterile Ring Expanding Pliers available is prudent (Figure 23).

These pliers may be needed to spread a ring open enough to get the bead out. Place the head of the pliers inside of the ring and slowly squeeze on the handle to spread the jaws open, widening the ring just enough to pull the ball out (Figure 24).

On a fixed bead ring, the bead is attached to one side of the ring. Grasp the ring on each side of the bead, pull gently and one end will pop out of the bead. Push one end away from you and pull the other end toward you to open the ring like a spiral. The beadless variation also opens by twisting (Figure 25).

The bead or captive piece of a captive ring is held in by the tension of the ring. Grasp the ring with one hand near the bead, and with the other hand grasp the bead itself. Gently pull the ring and bead in opposite directions and the bead should pop out of the ring. To remove it, twist the ring a little (as in opening a bead ring) and rotate the jewelry to slide it out (Figure 26).

Barbells and their variations have threaded end(s) that can be unscrewed. Like most threaded objects, they tighten to the right and loosen to the left (Figure 17).

While oral piercings are the fashion, they are not without consequences.9 If the dental health care professional is in a position to play an active role in the decision to get an oral piercing, educating the patient about the risks and consequences so they can make an informed decision may result in the decision not to pierce. Patients should be aware the decision to pierce should not be made on a whim. It is a procedure that requires constant care.4,24 Encourage those patients under the age of 18 to speak with parents before getting a piercing. Parents should be aware body piercing may be associated with an increase in other risky behavior such as smoking.23 For patients who have poor oral hygiene or a high caries rate, oral piercings should be strongly discourage as the patient may be less likely to care for the piercing properly.18 A professional piercer will further educate the patient and require the following:

Bring valid photo identification, even if you are clearly over the age of majority.
Be completely sober.
Have eaten within 4 hours.
If possible, avoid taking aspirin or other blood thinners.
Have addressed potential health issues, e.g., if you require antibiotics prior to dental work, see your doctor.

Piercers

The decision to have any body modification should not be made lightly. The client should be fully aware of the impact of such a decision and make wise choices. One of those choices is the selection of the person who will do the piercing. The Association of Professional Piercers and others make the following recommendations.9,11,24,26

1. The piercer should have knowledge of anatomy, medical conditions, sterilization and infection control measures, prevention and treatment of complications and medical emergency procedures.

2. Visit the establishment prior to getting a piercing. Observe the location for the following (Figure 27):

Does the piercer wear gloves, mask and a ‘cover shirt;' open sterile items in front of you; use disposable items when possible and appear clean?
Does the location appear clean, have a separate treatment room, and a separate sterilization/infection control area?
Is the piercer friendly and willing to answer all your questions and show you a portfolio of their work including photos both immediately after the piercing and later follow up photos? Do the piercings seem to be centered and angled correctly? Off-kilter piercings can rub, get caught or trap debris. Do they place quality jewelry? Do you find the results esthetically pleasing?
Do they take a medical history and discuss any implications with you? Prevention of complications begins with a healthy piercing candidate. The medical history should ask about allergies, systemic diseases such as cardiac disease and uncontrolled diabetes or other conditions that may predispose the client to infection. The female client should be asked if she may be pregnant. Professional piercers will not perform piercings on a pregnant client because of the potential complications from infections.
Does the studio have sterile, quality jewelry?
Are aftercare instructions reviewed verbally and provided in writing? 
Is the piercer available for follow up and questions after the piercing?
Does the studio advocate self-piercing? The internet provides myriad ‘how-to' videos and sites but does not mention the risks involved. The self-piercer generally does not have appropriate knowledge of anatomy, infection control or other areas necessary for a safer piercing experience.
Does the studio allow taping or photographing the procedure? These then could be posted on the internet and contribute to self or at home piercing. Generally professional piercers do not allow this and believe it can be a distraction while they work.
Do they use a piercing gun? This pushes the jewelry through the skin and can be source of contamination (Figure 28).
Are health certificates visible or available? All states require piercers to have current CPR, First Aid and Blood Bourne Pathogens training. Some states require periodic inspections of the studio. Only a few states currently require a certificate or license to be a piercer.
The APP advocates that an apprenticeship with a clean, respected, skilled, experienced professional piercer is the best way to learn the art and science of piercing. The APP suggests the following for the novice piercer:
  Attend a reputable training seminar of four days or longer. The course should combine lectures on anatomy, safety, hygiene, techniques, and hands-on piercing experience.
  Spend a minimum of three months full time as a trainee, learning sterilization, disinfection, cross-contamination and other health and safety issues before piercing.
  Spend a minimum of six months to one year in full-time supervised training as an apprentice before achieving the title of piercer. Location, volume and studio standards will help to determine the duration of an apprenticeship. 
  Observe all procedures before attempting them, and only attempt a new procedure with close supervision by a senior/training piercer
  Learn customer service, appropriate jewelry quality and selection, aftercare procedures, and troubleshooting.

Conclusion

Oral piercings are a growing trend and dental care professionals are increasingly likely to treat a patient with at least one oral piercing. Having the knowledge to provide quality care to such patients, to educate the patient about the complications of oral piercings prior to the procedure and to recognize problems and appropriately treat or refer the patient is important in our ever-more-global society.

References

1. Academy of General Dentistry. Dentists Tell Athletes Keep the Mouthguard, Take Out the Barbell. January 2012. Accessed January 3, 2018.

2. American Academy of Pediatric Dentistry. Policy on Intraoral/Perioral Piercing and Oral Jewelry/ Accessories. 2016. Accessed January 3, 2018.

3. American Dental Association. Oral Health Topics. Oral Piercings. ADA Statement on Intraoral/ Perioral Piercing and Tongue Splitting. Accessed January 3, 2018.

4. American Dental Association. Healthy mouth series, Oral piercings fact sheet. (n.d.). Accessed January 3, 2018.

5. Angel E. The piercing bible: the definitive guide to safe body piercing. Berkeley, CA. Crossing Press. 2009.

6. Bagnall S. Oral piercing and dental complications. Vital. 2011 Winter;9(1):20-2. Accessed January 3, 2018.

7. Fehrenbach MJ. Tongue piercing and potential oral complications. J Dent Hyg. 1998 Winter;72(1):23-5.

8. Francu LL, Calin DL. Lingual piercing: dental anatomical changes induced by trauma and abrasion. Romanian J of Functional & Clinical, Macro- & Microscopica. 2012 Jan;11(1):74-7. Accessed January 3, 2018.

9. Hennequin-Hoenderdos NL, Slot DE, Van der Weijden GA. Complications of oral and peri-oral piercings: a summary of case reports. Int J Dent Hyg. 2011 May;9(2):101-9. doi: 10.1111/j.1601- 5037.2010.00504.x.

10. Hennequin-Hoenderdos NL, Slot DE, Van der Weijden GA. The incidence of complications associated with lip and/or tongue piercings: a systematic review. Int J Dent Hyg. 2016 Feb;14(1):62-73. doi: 10.1111/idh.12118. Epub 2015 Feb 17.

11. Hennequin-Hoenderdos NL, Slot DE, Van der Weijden GA. The prevalence of oral and peri-oral piercings in young adults: a systematic review. Int J Dent Hyg. 2012 Aug;10(3):223-8. doi: 10.1111/j.1601-5037.2012.00566.x.

12. Herskovitz MY, Goldsher D, Finkelstein R, et al. Multiple brain abscesses associated with tongue piercing. Arch Neurol. 2009 Oct;66(10):1292. doi: 10.1001/archneurol.2009.204.

13. Holbrook J, Minocha J, Laumann A. Body piercing: complications and prevention of health risks. Am J Clin Dermatol. 2012 Feb 1;13(1):1-17. doi: 10.2165/11593220-000000000-00000.

14. Kapferer I, Steiner C, Beier U, et al. Biofilm formation on oral piercings. J. Stomat. Occ. Med. 2010 Sep;3: 171-6. doi: 10.1007/s12548-010-0059-z. Accessed January 3, 2018.

15. Lakhan SE, Harle L. Fatal fulminant herpes simplex hepatitis secondary to tongue piercing in an immunocompetent adult: a case report. J Med Case Rep. 2008 Nov 20;2:356. doi: 10.1186/1752- 1947-2-356.

16. López-Jornet P, Camacho-Alonso F. Oral and dental complications of intra-oral piercing. J Adolesc Health. 2006 Nov;39(5):767-9. Epub 2006 Jul 10. doi: 10.1016/j.jadohealth.2006.04.006.

17. Mishra P, Gupta M, Shrivastava K, et al. Oral Tattoos: ‘Beauty Lies in the Eyes of the Beholder.' Adv Hum Biol. 2015;5(2):17-21. Accessed January 3, 2018.

18. Peter T, Titus S, Francis G, et al. Ornamental Dentistry - An Overview. J Med Dent Sci. 2013 Feb 18;2(7):666-76. doi: 10.14260/jemds/321. Accessed January 3, 2018.

19. Peticolas T, Tilliss TS, Cross-Poline GN. Oral and perioral piercing: a unique form of self-expression. J Contemp Dent Pract. 2000 Aug 15;1(3):30-46.

20. Plessas A, Pepelassi E. Dental and periodontal complications of lip and tongue piercing: prevalence and influencing factors. Aust Dent J. 2012 Mar;57(1):71-8. doi: 10.1111/j.1834- 7819.2011.01647.x.

21. Pramod RC, Suresh KV, Kadashetti V, et al. Oral piercing: A risky fashion. J Educ Ethics Dent. 2012;2:56-60. Accessed January 3, 2018.

22. Rethman J. Educate patients about oral piercing risks. Dimensions of Dental Hygiene. November 2012; 10(11):74. Accessed January 3, 2018.

23. Silk H, Romano-Clarke G. The seven tenets to teen oral health. Contemp Peds. 2009 June;26(6):52-9. Accessed January 3, 2018.

24. Vieira EP, Ribeiro AL, Pinheiro Jde J, et al. Oral piercings: immediate and late complications. J Oral Maxillofac Surg. 2011 Dec;69(12):3032-7. doi: 10.1016/j.joms.2010.12.046. Epub 2011 May 7.

25. Vozza I, Fusco F, Corridore D, et al. Awareness of complications and maintenance mode of oral piercing in a group of adolescents and young Italian adults with intraoral piercing. Med Oral Patol Oral Cir Bucal. 2015 Jul 1;20(4):e413-8.

26. Ziebolz D, Hildebrand A, Proff P, et al. Long-term effects of tongue piercing-a case control study. Clin Oral Investig. 2012 Feb;16(1):231-7. doi: 10.1007/s00784-011-0510-6. Epub 2011 Jan 27.

Additional Resources

• Academy of General Dentistry - www.agd.org
• Association of Professional Piercers - www.safepiercing.org
• American Dental Association - www.ada.org
• American Academy of Pediatric Dentistry - www.aapd.org

About the Author

Patricia A. Frese, RDH, MEd

Patricia Frese is Professor Emerita of the University of Cincinnati Blue Ash College Cincinnati, Ohio. She has been in education since 1980. She is a 1976 graduate of the dental hygiene program at Raymond Walters College (now UC Blue Ash). She has private practice experience in general, research and periodontal practice settings. She has presented on a variety of topics at professional meetings. Pat is an active member of the American Dental Hygienists' Association.

Email: patricia.frese@uc.edu

Figure 1. Tongue being pierced with needle.

Figure 1

Figure 2. Uvula piercing.

Figure 2

Figure 3. Pierced tongue with jewelry in place.

Figure 3

Figure 4. Dorsolateral tongue piercing.

Figure 4

Figure 5. Labret piercing.

Figure 5

Figure 6. Madonna and Monroe piercings.

Figure 6

Figure 7. Medusa piercing.

Figure 7

Figure 8. Smiley piercing.

Figure 8

Figure 9. Frowny piercing.

Figure 9

Figure 10. Web piercing.

Figure 10

Figure 11. Rhino piercing.

Figure 11

Figure 12. Multiple facial piercings.

Figure 12

Figure 13. Stud.

Figure 13

Figure 14. Closed rings.

Figure 14

Figure 15. Unclosed rings.

Figure 15

Figure 16. Barbells.

Figure 16

Figure 17. Barbell with internal threading.

Figure 17

Figure 18. Temporary plastic jewelry.

Figure 18

Figure 19. Infection at the piercing site.

Figure 19

Figure 20. Temporary plastic jewelry.

Figure 20

Figure 21. Gingival recession.

Figure 21

Figure 22. Tooth abrasion.

Figure 22

Table 1. Signs of Piercing Complications.

Table 1

Figure 23. Ring expanding pliers.

Figure 23

Figure 24. Ring expanding pliers being used to expand ring.

Figure 24

Figure 25. Fixed bead ring.

Figure 25

Figure 26. Captive bead ring.

Figure 26

Figure 27. Piercing room.

Figure 27

Figure 28. Professionals Do Not Use Piercing Guns.

Figure 28

CREDITS: 0
AGD CODE: 750 - Special Patient Care
COST: $0
PROVIDER: Procter & Gamble
SOURCE: Procter & Gamble | May 2018

Learning Objectives:

  • Distinguish the types of oral piercings.
  • List the characteristics of quality oral jewelry.
  • Educate the patient regarding complications of oral piercings.
  • Summarize adequate aftercare for a piercing.
  • Develop and perform appropriate treatment protocols for patients with oral piercings.
  • Identify the attributes of a professional piercer.

Disclosures:

Conflict of Interest Disclosure Statement
Ms. Frese has done consulting work for P&G.

Queries for the author may be directed to justin.romano@broadcastmed.com.