CDEWorld > Courses > Updating Composite Resin Bulk Fill Restorative Materials

CE Information & Quiz

Updating Composite Resin Bulk Fill Restorative Materials

Robert A. Lowe, DDS

June 2014 Course - Expires Friday, June 30th, 2017

Updates in Clinical Dentistry

Abstract

It has long been a goal of clinical and materials science to find a less technique sensitive approach to the direct resin dental restorative process. Unlike amalgam, the patrician of direct restoratives, the placement of composite resins requires many more steps and exacting technique to achieve the best results. Low shrinkage and bulk fill composite materials have been developed to allow the dentist to be able to more simply and efficiently place composite materials.

You must be signed in to read the rest of this article.

Login Sign Up

Registration on CDEWorld is free. Sign up today!
Forgot your password? Click Here!

Glass Ionomer Cement: The “First” Bulk Fill Dentin Replacement

Glass ionomer cements (Fuji IX Extra, GC America; Riva Self Cure, SDI; Ketac Molar Quick, 3M ESPE) have been available for decades as a bulk fill dentin replacement for large cavities (Figure 1). With a coefficient of thermal expansion similar to dentin and the ability to remineralize tooth structure, glass ionomers have been the choice for many clinicians in deeper lesions where adhesive dentistry does not fare as well. The “sandwich technique” was first described by Dr. John McLean in 1985, and used glass ionomer cement to bond composite resin to teeth.1 Since that time, glass ionomer cement has been widely used in large cavities to replace lost dentin in a “bulk” fashion.2-4

Incremental Versus Bulk Fill Technique for Composite Placement: The Clinical Dilemma

Traditionally, clinical placement of composite resins has been done using an incremental placement technique. Because of polymerization shrinkage, as well as the inability to light-cure composite materials beyond a certain depth, it has been generally recommended to place composite resin in increments of 2 mm or less. The question is, with advances in polymer chemistry, photoactivation, and curing light technologies that we currently see with today’s composite resin materials, is this still true? Several studies have been done, some as early as 2001, that compare incremental versus bulk fill placement of composite that show that there is no difference in cuspal deflection or marginal integrity when comparing techniques of placement.5-11 The main clinical issue with bulk fill is the depth of cure. It is also important to note that directional curing from the buccal and lingual (palatal) aspects after removal of the matrix help increase the ability to cure composite at the gingival margin of the proximal box in a Class II restoration.7-11

Bulk Fill Flowables as “Dentin Replacements” for Posterior Composite Restorations

In 2010, bulk fill flowable composites were introduced to the dental marketplace, the first being Surefil SDR (Smart Dentin Replacement) by DENTSPLY Caulk. Since then, many other bulk fill flowable composites have followed (Xtra Base, VOCO America; Venus Bulk Flow, Heraeus Kulzer; HyperFil DC, Parkell; Beautifil Bulk Flowable, Shofu; Filtek Bulk Fill, 3M ESPE). These materials are indicated for use as a bulk fill base (dentin replacement) beneath posterior composite restorations and can be placed in a single increment up to 4 mm in depth (Figure 2). Being able to place that amount of material in a single increment is a significant time saver, and while the concept sounds quite simple, there are several important requirements a material must meet for this particular indication. According to the manufacturers, these include 1) increased depth of cure; 2) a viscosity that will readily adapt to the internal walls of the cavity without the need for manipulation of the material; and 3) low polymerization shrinkage stress.12-15

Because of their transparent nature, and decreased percentage of filler particles, bulk fill flowable composites require a conventional nanohybrid composite material to be placed as the “enamel-capping layer” (Figure 3).13-15

GIOMER – A Class of “Smart” Composites

Marginal breakdown and recurrent decay has always been one of the processes by which many dental restorations ultimately fail. One of the challenges for the long-term clinical success of a dental restorative is to find a mechanism by which these materials can slow down or prevent this process. Glass ionomer materials are known for their release of fluoride ions and their ability to help remineralize demineralized tooth structure. The limitation of the fluoride release has always been that because of the solubility of the material in the oral environment, there is a short, finite amount of time that this protection can be available. GIOMER products are characterized by their unique surface pre-reacted glass (S-PRG) filler. S-PRG fillers have a glass core that is pre-reacted with a poly acrylic acid solution. The glass ionomer phase in GIOMER fillers is protected from water sorption and material degradation by a surface modified layer. As a result, the ion exchange from a composite material that incorporates this technology has the ability to help neutralize acids that are the result of bacterial metabolism that are the direct cause of tooth demineralization and decay for extended periods of time (Figure 4, Figure 5, Figure 6). One such material on the market that incorporates GIOMER technology is a product called BeautiFil - Bulk Flowable (Shofu). Giomers can give the benefit of ion exchange similar to glass ionomer cement, which can be especially important in caries-prone individuals.16-19

Nanohybrid Composite Technologies

Nanohybrid and nanofilled composites have been introduced to the dental marketplace as a more highly filled and polishable composite material that can be used in the posterior region as well as esthetic areas of the oral cavity. These materials are produced with nanofiller technology and formulated with nanomer and nanocluster filler particles. Nanomers are discrete nanoagglomerated particles 20 nm to 75 nm in size, and nanoclusters are loosely bound agglomerates of nano-sized particles. The combination of nanomer-sized particles and nanocluster formations reduces the interstitial spacing of the filler particles, creating the ability to increase filler load while having the ability to polish well.20 These materials, therefore, have better physical properties than earlier generations of microhybrid composites and improved polish retention. Many of the bulk fill composite technologies, except for bulk fill flowable resins, which are meant to be used as dentin replacements only, incorporate the use of nano technology.20-22

Sonic Delivery of Composite Resins

SonicFill (Kavo Kerr) consists of a proprietary composite resin and a sonic handpiece that fits onto a traditional high-speed handpiece coupler. The sonic energy generated by the handpiece causes a dramatic change in the viscosity of the composite resin, so that during placement, it behaves similar to a flowable liner in its ability to adapt to the internal surfaces of the cavity preparation. Although the restorative material is around 86% filled by weight, special additives in the composite allow the filler particles to slide very readily over one another when activated by the sonic energy in the handpiece. It can fill all the intricate line angles and point angles of the most complex posterior cavity preparation in a very precise and uniform fashion. Once the sonic energy is removed, the composite resin gradually returns to a higher viscosity, which is suitable for sculpting the restoration to its most precise morphologic form. The material is then light-cured and finished using traditional techniques. Another unique property of SonicFill is that it has a polymerization shrinkage of around 1.6% and can be bulk filled to a depth of 5 mm while still having a greater than 97% full cure at its deepest point.23 Unlike other bulk fill flowable materials on the market, SonicFill does not require a separate nano microhybrid layer as the last occlusal increment (Figure 7, Figure 8, Figure 9).

Bulk Fill Composite Resins

Other manufacturers have developed “conventional type delivery” for bulk filled composite materials (Tetric Bulk Fill, Ivoclar; X-tra Fil, VOCO America; Aura Bulk Fill, SDI; Beautifil Bulk Fill Restorative, Shofu). These materials are placed in up to 4-mm increments and can cure to that depth as well, replacing both enamel and dentin (Figure 10, Figure 11, Figure 12). The composition of these materials has been altered in various ways to allow for increased depth of cure while having less shrinkage and shrinkage stress than previous generations of composite materials. Some of the ways these changes in the behavior of composite resins been accomplished include: 1) increased amounts of or different photoinitiators to allow for increased curing depth; and 2) newer types of monomers and elastic fillers that minimize the shrinkage when the material is polymerized. These bulk fill materials like SonicFill are designed to replace both enamel and dentin layers of the tooth.24,25

Conclusion

The goal of creating materials for bulk placement is to simplify the placement of direct tooth restoration with composite resins without compromising the quality of the final result. Trying to recreate nature’s blueprint with manmade materials is no simple task. Yet, advances are being made to allow dentists to create excellent, esthetic tooth replacements using direct tooth-colored restorative materials that can give the patient an optimal, long-lasting result. Materials science continues to develop and refine resin-filling materials that require fewer steps to place with less technique sensitivity, and that are more biologically harmonious with natural tooth structure. The saga continues.

References

1. McLean JW, Powis DR, Prosser HJ, Wilson AD. The use of glass-ionomer cements in bonding composite resins to dentin. Br Dem J. 1985;158:410-414.

2. Mount GJ. Clinical placement of modern glass ionomer cements. Quintessence Int. 1993;24:99-107.

3. Christensen G. Glass-ionomer-resin restorations. CRA Newsletter. 1992;16(3):1-2.

4. Mount GJ. Clinical requirements for a successful "sandwich" — dentine to glass ionomer cement to composite resin. Aust Dent J. 1989:34:259-265.

5. Rees JS, Jagger DC, Williams DR, et al. A reappraisal of the incremental packing technique for light-cured composite resins. J Oral Rehabil. 2004;31(1):81-84.

6) Idriss S, Habib C, Abduljabbar T, Omar R. Marginal adaptation of Class II resin composite restorations using incremental and bulk placement techniques: an ESEM study. J Oral Rehabil. 2003;30(10):1000-1007.

7. Campodonico CE, Tantbirojan, D, Olin PS, Versluis A. Cuspal deflection and depth of cure in resin based composite restorations filled by using bulk, incremental, and trans tooth illumination techniques. J Am Dent Assoc. 2011;142(10):1176-1182.

8. Rees JS, Jagger DC, Williams DR, et al. A reappraisal of the incremental packing technique for light cured composite resins. J of Oral Rehab. 2004;31:81-84.

9. Flury S, Hayoz S, Peutzfeldt A, et al. Depth of cure of resin composites: is the ISO 4049 method suitable for bulk fill materials? Dent Mater. 2012;28(5):521-528.

10) El-Safty S, Silikas N, Akhtar R, Watts DC. Nanoindentation creep versus bulk compressive creep of dental resin-composites. Dent Mater. 2012;28(11):1171-1182.

11. Ilie N, Bucuta S, Draenert M. Bulk-fill resin-based composites: an in vitro assessment of their mechanical performance. Oper Dent. 2013;38(6):618-625.

12. Ilie N, Hickel R. Quality of curing in relation to hardness, degree of cure and polymerization depth measured on a nano-hybrid composite. Am J Dent. 2007;20(4):263-268.

13. Juloski J, Carrabba M, Aragoneses JM, et al. Microleakage of Class II restorations and microtensile bond strength to dentin of low-shrinkage composites. Am J Dent. 2013;26(5):271-277.

14. Van Ende A, De Munck J, Van Landuyt KL. Bulk-filling of high C-factor posterior cavities: effect on adhesion to cavity-bottom dentin. Dent Mater. 2013;29(3):269-277.

15. Roggendorf MJ, Krämer N, Appelt A, et al. Marginal quality of flowable 4-mm base vs. conventionally layered resin composite. J Dent. 2011;39(10):643-647.

16. Nakamura N, Yamada A, Iwamoto T, et al. Two-year clinical evaluation of flowable composite resin containing pre-reacted glass-ionomer. Pediatr Dent J. 2009;19(1):89-97.

17. Daisuke T, Seitaro S, Koji Y, Masato H. Saliva protein which adsorbs to composite resin containing S-PRG filler. The Japanese Society of Conservative Dentistry. 2010;53(2):191-206.

18. Saku S, Kotake H, Scougall-Vilchis RJ, et al. Antibacterial activity of composite resin with glass-ionomer filler particles. Dent Mater J. 2010;29(2):193-198.

19. Taizou I, Seitaro S, Koji Y. Application to the tooth coating material of the glass filler containing acid reactive fluoride. The Japanese Society of Conservative Dentistry. 2009;52(3)237-247.

20. Curtis AR, Palin WM, Fleming GJ, et al. The mechanical properties of nanofilled resin based composites: characterizing discrete filler particles and agglomerates using a micromanipulation technique. Dent Mater. 2009;25(2):180-187.

21. Rodrigues SA Jr, Ferracane JL, Della Bona. Flexural strength and Weibull analysis of a microhybrid and a nanofill composite evaluated by 3- and 4-point bending tests. Dent Mater. 2008;24(3):426-431.

22. Beun S, Glorieux T, Devaux J, et al. Characterization of nanofilled compared to universal and microfilled composites. Dent Mater. 2007;23(1):51-59.

23. The Dental Advisor. Research Report #33. February 2011. Data available upon request.

24. Yapp R, Powers JM. Depth of cure of several composite restorative materials. Dental Advisor Research Report. February 2011.

25. Alrahlah A, Silikas N, Watts DC. Post-cure depth of cure of bulk fill dental resin-composites. Dent Mater. 2014;30(2):149-154.

Figure 2. Bulk fill Flowable composite (X-tra Base: VOCO America) has been placed as a dentin replacement in a 4 mm increment after using a self etching adhesive to bond the flowable to the surface of the dentin.

Figure 2

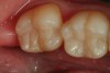
Figure 3. An occlusal view of tooth numbers 18 and 19 after anatomic placement of the enamel “capping” layer (Xtra-Fil: VOCO America), finishing, and polishing.

Figure 3

Figure 5. A bulk fill composite (Beautifil Bulk Fill Restorative: Shofu) is used to complete the occlusal aspect of the restoration.

Figure 5

Figure 6. An occlusal view of the completed distal occlusal composite restoration on tooth number 5.

Figure 6

Figure 9. A two-week post operative view of the mesial occlusal bulk filled composite restoration in tooth number 31 prior to placement of the ceramic restoration on tooth number 30. Note the seamless margin between the restorative material and the tooth with no manipulation or “condensing” of the composite material during placement.

Figure 9

Figure 10. Side by side bulk fill composites placed with bulk fill composite (Aura Bulk Fill: SDI) prior to removal of the sectional matrix (Garrison Composi-Tight 3D: Garrison Dental solutions) on the distal aspect of tooth number 12. A sectional matrix was first placed on the mesial aspect of tooth number 13 and the restorative material placed and contoured prior to filling the preparation on tooth number 12.

Figurer 10

CREDITS: 0
AGD CODE: 250 - Restorative Dentistry
COST: $0
PROVIDER: Dental Learning Systems, LLC
SOURCE: CDEWorld | June 2014
COMMERCIAL SUPPORTER: VOCO

Learning Objectives:

• Understand the basic differences behind the various approaches to bulk fill dental restorative materials.
• Choose the bulk fill technology that best suits the patient’s clinical situation.
​• Successfully reduce the chairtime and stress in placing posterior composite restorations, particularly Class II proximal types.

Disclosures:

Dr. Lowe has received an honorarium for his preparation of this course.

Queries for the author may be directed to justin.romano@broadcastmed.com.