CDEWorld > Courses > Adapting the Digital Reference Denture Technique for Full-Arch Cases Using a Novel Fixed Attachment System

CE Information & Quiz

Adapting the Digital Reference Denture Technique for Full-Arch Cases Using a Novel Fixed Attachment System

Michael D. Scherer, DMD, MS

May 2025 Issue - Expires Thursday, April 30th, 2026

Inside Dental Technology

Abstract

Digital technology has tremendously impacted implant dentistry and particularly the production of full-arch reconstructions. The use of digital methods to fabricate removable and fixed complete dental prostheses with implants offers many benefits, yet for some clinicians a hybrid method that combines analog and digital techniques for full-arch restorations may be beneficial. This article describes a combination analog-digital method that utilizes the patient’s existing removable prosthesis to guide fabrication of a fixed full-arch restoration using a novel stud-style abutment system with a contemporary housing and insert combination.

You must be signed in to read the rest of this article.

Login Sign Up

Registration on CDEWorld is free. Sign up today!
Forgot your password? Click Here!

Digital workflows for the fabrication of fixed single and tooth- or implant-supported multi-unit restorations have evolved substantially over the past few years and become relatively common in dental practice. Rapid proliferation of optical scanning technology, such as intraoral scanners, and affordable manufacturing methodologies, such as chairside milling and 3-dimensional (3D) printing, have facilitated this transformation. Some clinicians advocate intraoral scanning because it yields a high level of reliability for clinical practice, and many of the newer technologies have enhanced usability.1,2

The growth and penetration of digital dentistry has tremendously impacted clinicians who focus their practice on implant dentistry, especially full-arch reconstructions. Many clinicians are often first introduced to digital production methods when preparing patients for template-driven guided surgical applications for single tooth restorations.3,4 As the clinician becomes more comfortable with digital production methods for these simpler restorations, many are inclined to expand into more complex full-arch restorations.5-8 Full-arch restorations have challenges beyond single-unit restorations, as the tolerances of fit of restorations with more than two units are substantially higher and more difficult to achieve than those of single-unit restorations.9,10 The path for fabricating fixed full-arch restorations is typically more challenging than that of other restorations.

Prosthetic reconstruction of fixed full-arch restorations should begin with the restorative plan in mind prior to executing the surgical route. Fundamental full-arch diagnosis and treatment planning is often rooted in knowledge of methods of complete denture construction.11,12Tooth position, esthetics, vertical dimension, and occlusal relationships are key fundamental mechanisms that must be understood in order to properly evaluate a removable or fixed full-arch prosthesis.

A Conventional/Digital Hybrid Approach

The use of digital methods to fabricate removable and fixed complete dental prostheses with implants can result in reduced laboratory and clinical costs, less frequent clinical appointments for the patient, and a potentially lower overall burden on edentulous patients.13,14 The transformation of the production of removable restorations from analog methods to digital ones, however, presents unique challenges as the reliability of computer-aided design/computer-aided manufacturing (CAD/CAM) methods for fabrication of these restorations is less known.15 While some benefits are clear, they often are contrasted with the increasing complexity of software design, technology that is unfamiliar to some, a learning curve, and the unknown longevity of materials used in restorations produced via additive manufacturing methods. As a result, a hybrid method of combining analog and digital techniques for full-arch restorations may be beneficial.14,16-18 This combination permits the clinician and technician to merge classic analog denture methodology with newer digital optical scanning methods, leveraging the best of each while minimizing the limitations of each.

Traditional full-arch fixed restorations utilize screw-receiving abutments, metal frameworks that firmly attach to the abutments with prosthetic screws, and a prosthesis that has access holes through the occlusal aspect of the restoration. While this remains a prevalent restorative design style, limitations in fabricating restorations in this manner must be considered. These include the requirement for ample prosthetic space, screw channels that may be thin and lead to a weak area of the restoration, and the need for a high degree of technical skill.19 Over- denture restorations that use stud-style abutments (such as LOCATOR®, Zest Dental Solutions; ERA®, Sterngold; Ankylos Syncone, Dentsply International) are a popular removable restorative option because they require less prosthetic space and enable simplicity of prosthetic fit.

The use of stud-style abutments historically has been limited to restoring patients with removable restorations. A novel abutment system that utilizes a stud-style abutment traditionally used for overdentures has been adapted to permit restoring using a fixed design without the need for a separate abutment. This article aims to describe a combination analog-digital method that utilizes the patient's existing removable prosthesis to guide fabrication of a fixed full-arch restoration using a novel stud-style abutment system with a contemporary housing and insert combination.

Clinical Case

A 65-year-old male patient presented with existing immediate dentures with a soft reline in the mandibular prosthesis, which had been placed on the day of extractions (Figure 1). The patient had dental implants (locator implants) and locator abutments placed in approximately the Nos. 18, 21, 23, 26, 28, and 31 positions (Figure 2).

Scan bodies were placed onto each abutment (Figure 3). An intraoral scanner was used to capture an optical impression of the mandibular arch (Figure 4 and Figure 5). The mandibular prosthesis was air-dried, and light-body polyvinyl siloxane (PVS) impression material was placed onto the intaglio surface of the prosthesis and the edentulous ridge (Figure 6). The patient was instructed to close into occlusion, and border molding procedures were then performed (Figure 7).

After complete polymerization, the prosthesis was removed and a 360-degree wraparound optical impression of the mandibular prosthesis was captured using the aforementioned intraoral scanner (Figure 8). A scan of the opposing dentition was also captured, followed by a scan of the prostheses in occlusion (Figure 9). The two sets of optical scan files-ie, the intraoral mandibular arch with scan bodies and the mandibular prosthesis scanned 360 degrees in occlusion with the opposing prosthesis-were both sent to the laboratory.

Using laboratory software, a technician super- imposed the scan of the scan bodies onto the scan of the relined denture using fiduciary alignment markers that represented similar soft-tissue markers present between each scan (Figure 10). A new prosthesis was digitally designed using the relined denture as a guide for the anatomical tooth position and shape of the prosthesis (Figure 11). Because the new prosthesis was designed as a fixed prosthesis, the flanges and borders were adapted to be shorter than the denture and the lingual slope was designed with more thickness. The design file was imported into a milling machine and the prosthesis was milled using polymethyl methacrylate (PMMA).

The patient returned, and housings with processing inserts for a fixed full-arch restoration were placed onto each abutment. Composite resin was injected into the prepared recesses of the intaglio surface of the prosthesis, and the prosthesis was seated onto the arch using gentle pressure. The patient was instructed to close into light occlusion and hold until polymerization of the material. After polymerization, the prosthesis was removed and inspected, ensuring all housings were properly attached (Figure 12). The processing inserts were removed, and definitive fixed inserts were placed (Fig- ure 13). The prosthesis was seated onto the abutments (Figure 14). The patient was extremely pleased with the final appearance and comfort of the prosthesis (Figure 15).

Concluding Comments

Fabrication of traditional screw-retained full-arch fixed restorations requires technically demanding procedures, with four to six clinical and laboratory procedures often needed prior to finalizing the prosthesis. In this case report, a patient was treated with a novel fixed abutment system utilizing an analog-digital hybrid process that involved using traditional impression material inside the patient's existing prosthesis and combining optical scans of the prosthesis and scan bodies from the intraoral abutment positions. This expedited method was made possible through the ability to digitally fuse multiple optical scans in the software and design the new prosthesis from the reline impression. Additionally, during prosthesis placement, composite resin was used to attach housings chairside to provide a passive-fitting full-arch prosthesis, which would not have been possible with traditional screw-retained restorations.

About the Author

Michael D. Scherer, DMD, MSAssistant Clinical Professor, School of Dentistry, Loma Linda University, Loma Linda, California; Fellow, American College of Prosthodontists; Private Practice limited to Prosthodontics and Implant Dentistry, Sonora, California

Queries to the author regarding this course may be submitted to authorqueries@broadcastmed.com.

References

1. Güth JF, Runkel C, Beuer F, et al. Accuracy of five intraoral scanners compared to indirect digitalization. Clin Oral Investig. 2017;21(5):1445-1455.

2. Siqueira R, Galli M, Chen Z, et al. Intraoral scanning reduces procedure time and improves patient comfort in fixed prosthodontics and implant dentistry: a systematic review. Clin Oral Investig. 2021;25(12):6517-6531.

3. Scherer MD. Presurgical implant-site assessment and restoratively driven digital planning. Dent Clin North Am. 2014;58(3):561-595.

4. Scherer MD. A contemporary approach to intraoral optical scanning and in-office 3D printing. Dent Today. 2015;34(12):46-47.

5. Cappare P, Sannino G, Minoli M, et al. Conventional versus digital impressions for full arch screw-retained maxillary rehabilitations: a randomized clinical trial. Int J Environ Res Public Health. 2019;16(5):829.

6. Papaspyridakos P, De Souza A, Bathija A, et al. Complete digital workflow for mandibular full-arch implant rehabilitation in 3 appointments.  J Prosthodont. 2021;30(6):548-552.

7. Michelinakis G, Apostolakis D, Kamposiora P, et al. The direct digital workflow in fixed implant prosthodontics: a narrative review. BMC Oral Health. 2021;21(1):37.

8. Papaspyridakos P, Chochlidakis K, Kang K, et al. Digital workflow for implant rehabilitation with double full-arch monolithic zirconia prostheses. J Prosthodont. 2020;29(6):460-465.

9. Joda T, Zarone F, Ferrari M. The complete digital workflow in fixed prosthodontics: a systematic review. BMC Oral Health. 2017;17(1):124.

10. Holst S, Karl M, Wichmann M, Matta RE. A technique for in vitro fit assessment of multi-unit screw-retained implant restorations: application of a triple-scan protocol. J Dent Biomech. 2012;3:1758736012452181.

11. Bedrossian E, Sullivan RM, Fortin Y, et al. Fixed-prosthetic implant restoration of the edentulous maxilla: a systematic pretreatment evaluation method. J Oral Maxillofac Surg. 2008;66(1):112-122.

12. Scherer MD. Planning full-arch reconstructions for today and tomorrow: implant overdentures and fixed restorations. Compendium eBook. September 2021. https://www.aegisdentalnetwork.com/cced/ebooks/planning-full-arch-reconstructions-for-today-and-tomorrow-implant-overdentures-and-fixed-restorations. Accessed Septem-ber 28, 2022.

13. Srinivasan M, Schimmel M, Naharro M, et al. CAD/CAM milled removable complete dentures: time and cost estimation study. J Dent. 2019;80:75-79.

14.Scherer MD. Expedited digital-analog hybrid method to fabricate a 3D-printed implant overdenture. J Prosthodont. 2022;31(S1):52-57.

15. Kouveliotis G, Tasopoulos T, Karoussis I, et al. Complete denture digital workflow: combining basic principles with a CAD-CAM approach. J Prosthet Dent. 2022;127(4):550-555.

16. Schmidt MB, Rauch A, Schwarzer M, et al. Combination of digital and conventional workflows in the CAD/CAM-fabrication of an implant-supported overdenture. Materials (Basel). 2020;13(17):3688.

17. Scherer MD. Simplifying full-arch implantology with digital dentistry. Dent Today. 2019;38(2): 76-81.

18. Oh KC, Jeon J, Kim JH. Fabrication of a removable partial denture combining conventional and digital techniques. J Prosthet Dent. 2021;125(4):588-591.

19. Zitzmann NU, Marinello CP. A review of clinical and technical considerations for fixed and removable implant prostheses in the edentulous mandible. Int J Prosthodont. 2002;15(1):65-72.

Fig 1. Patient presented wearing soft relined immediate dentures.

Figure 1

Fig 2. Locator implants were in the mandibular arch with stud-style (locator) abutments.

Figure 2

Fig 3. Scan bodies were placed onto the abutments; cheek retractors were used to control soft tissues.

Figure 3

Fig 4. An optical scan of the scan bodies and edentulous arch was captured with an intraoral scanner.

Figure 4

Fig 5. The optical scan of the mandibular arch was processed and sent to the laboratory. Scan bodies were removed from the abutments and set aside.

Figure 5

Fig 6. The mandibular prosthesis was air-dried, and light-body PVS was applied to its intaglio surface.

Figure 6

Fig 7. The mandibular prosthesis was placed onto the edentulous ridge, and the patient was instructed to close lightly into occlusion. Border molding procedures were performed.

Figure 7

Fig 8. After complete polymerization, the prosthesis was optically scanned 360 degrees capturing the soft tissue and teeth in one image.

Figure 8

Fig 9. The opposing arch was optically scanned, and an optical scan of the teeth in occlusion was captured.

Figure 9

Fig 10. A technician superimposed the scan of the arch with scan bodies onto the scan of the relined denture using a dental laboratory software.

Figure 10

Fig 11. A new prosthesis was designed with a fixed full-arch prosthesis design, which included short borders, thickened lingual slope, and full occlusion. The prosthesis was milled in monolithic PMMA using a laboratory milling machine.

Figure 11

Fig 12. Processing housings were placed onto the abutments and the prosthesis was tried in. Composite resin was used to pick-up the housings.

Figure 12

Fig 13. The processing inserts were changed to a novel snap-in fixed insert.

Figure 13

Fig 14. The prosthesis was placed onto the abutments and snapped into place. Complete adaptation of the prosthesis was ensured

Figure 14

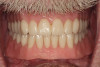
Fig 15. Retracted view of the final prosthesis.

Figure 15

Take the Accredited CE Quiz:

CREDITS: 1 SI (Laboratory)
AGD CODE: 690 - Implants
COST: $8.00
PROVIDER: Conexiant Education
SOURCE: Compendium of Continuing Education in Dentistry | May 2025

Learning Objectives:

  • Describe the benefits and disadvantages of digital methods to fabricate complete dental prostheses
  • Discuss limitations of fabricating traditional full-arch fixed restorations​
  • Discuss a hybrid analog digital method for fabrication of a fixed full-arch restoration, as described in the case study

Disclosures:

Dr. Scherer is Chief Clinical Officer at Zest Dental Solutions.

Queries for the author may be directed to justin.romano@broadcastmed.com.